Leucemia mieloide
aguda
JOSÉ MIGUEL SÁNCHEZ BELDA
UNIVERSIDAD CRSITOBAL COLON
ESCUELA DE MEDICINA PAPI AUSSSSSHHHH
Leucemia
Cáncer de la medula ósea y la sangre
Cuatro tipos principales:
Leucemia mieloide aguda
Leucemia mieloide crónica
Leucemia linfoblastica aguda
Leucemia linfocítica crónica
Enfermedades de progresión rápida, afectan a células sin desarrollo completo
LEUKEMIA & LYMPHOMA SOCIETY ®; 2014
Tipos de leucemia
LEUKEMIA & LYMPHOMA SOCIETY ®; 2014
Etiologia
Agentes predisponentes que aumentan 20 a 30 veces la probabilidad:
Radiaciones ionizantes
Sustancias químicas derivadas del benceno
Enfermedades hereditarias:
Sx de Bloom
Anemia de Fanconi
Sx de Down
Anemia de Diamond Blackfan
Sx de Klinefelter
Virus HTLV 4, Epstein-Barr
Surgimiento de casos con tratamiento (Farmacos alquilantes, Inibidores de la topisomerasa II)
Genes que limitan capacidad de eliminar toxicidad en células
LEUKEMIA & LYMPHOMA SOCIETY ®; 2014
Fisiopatologia
Cada paciente puede desarrollar una variedad distinta de la enfermedad, a simple vista igual,
pero molecularmente diferente (Genetica)
LEUCEMOGENESIS
Origen o promoción (Mutaciones de los oncogenes) [Proliferación & apoptosis]
Expansión o proliferación (Crecimiento celular) [30 días]
Aparición clínica (Detección)
Se requiere de 2 a 6 meses & la cantidad de “blastos” es de 1X10₁₂ (1kg de tejido)
LEUKEMIA & LYMPHOMA SOCIETY ®; 2014
Leucemia mieloide aguda (AML)
El cambio comienza en una célula de la medula ósea (GR,GB & PL)
Resultado de cambios adquiridos en el ADN
Se multiplica en 11 mil millones de células o mas. (Blastos leucémicos)
La exposición al benceno puede ser un factor en el desarrollo de AML
(Daña el ADN-Derivado del petróleo)
Mas común en niños menores de 1 año
(Rara en niños mayores & adolescentes)
LEUKEMIA & LYMPHOMA SOCIETY ®; 2014
Los síntomas de un paciente con LMA son inespecíficos
Reflejan la producción disminuida de elementos normales de la medula osea:
Recuento elevado leucocitario / Presencia de mieloblastos
AnemiaTrombocitopeniaNeutropenia
PalidezFatigaHematomasHemorragia
Es rara en los mayores y adolescentes// Segundo pico de incidencia alrededor de los 40 años
LEUKEMIA & LYMPHOMA SOCIETY ®; 2014
Signos, síntomas & diagnostico
• Perdida de bienestar
(Producción insuficiente de
células)
• Astenia
• Anemia
• Trombocitopenia
• Fiebre
• Inflamacion de encías
• Infecciones menores
• Perdida de apetito & peso
• Artralgias
• Esplenomegalia
• Hepatomegalia
• Pruebas de sangre y medula
osea:
Cambio en cantidad y apariencia
• Aspiracion y bipsosia de medula
osea
• Confirmacion:
Celulas blasticas leucémicas
Antigenos CD13 o CD33
Identificacion
Desarollo
LEUKEMIA & LYMPHOMA SOCIETY ®; 2014
Sarcoma mieloide
Rara vez se forma un cumulo de células AML (Sarcoma mieloide)
Puede presentarse en casi cualquier parte del cuerpo
Un diagnostico de Sarcoma mieloide es equivalente a AML
Cloroma, Sarcoma granulocitico, mieloblastoma & monocitoma
LEUKEMIA & LYMPHOMA SOCIETY ®; 2014
Subtipos de AML
Existen 8 subtipos de AML
Basado en el sistema de clasificación francés, estadounidense y británico (FAB)
El tratamiento es similar para la mayoría, a excepción de M3 (APL)
LEUKEMIA & LYMPHOMA SOCIETY ®; 2014
M0
Los blastos no desarrollan características morfológicas mieloides
Reactividad de al menos un antígeno mieloide relacionado (Sin antígenos linfociticos)
M1
Se desarrolla una diferenciación mieloide mínima
Mieloblastos constituyen mas del 30% de las células nucleadas de la medula
3% positivo a antígenos mieloides
LEUKEMIA & LYMPHOMA SOCIETY ®; 2014
M1
M2
30% de las células nucleadas exceden numero de eritrocitos nucleados
Monocitos constituyen menos del 20% de las células
Positivos para antígenos mieloides
(30% de los casos de LMA)
Fármacos:
Daunorrubicina & arabinosido de citosina
LEUKEMIA & LYMPHOMA SOCIETY ®; 2014
M3
Existen dos tipos de LMA M3
1. Tipo hipergranular M3
Mas del 30% son células mieloblasticas
Promielocitos abundantes en gránulos citoplasmáticos
Núcleos reniformes o bilobulados
Intensa coloración de antígenos mieloides
2. Tipo microgranular M3
Gránulos pequeños por microscopia electrónica
Ausencia del antígeno DR(1ª) (HLA-DR1a) (Cartometría de flujo)
LEUKEMIA & LYMPHOMA SOCIETY ®; 2014
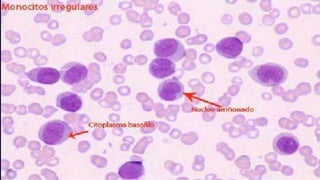
M4
Presenta células malignas con características granulociticas y monociticas
Recuento absoluto de monocitos en sangre periférica es 5 X 10₉/L = M4
Coloración inespecífica para esterasa de medula ósea +20% células precursoras
Niveles de lisozima en suero u orina (3 veces mas de lo normal)
Leucemia mielomonocitica con eosinofilia moderada (M4Eo) (4%)
Medula ósea con eosinofilos aumentados del 5% (Compromiso del LCR)
LEUKEMIA & LYMPHOMA SOCIETY ®; 2014
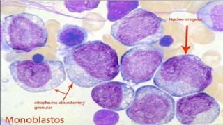
M5
Constituye el 12% de los casos afectados
Mas del 80% debe tener morfología monocitica & 20% de células granulociticas
Existen 2 subtipos:
1. M5a (Leucemia monocitica aguda mal diferenciada)
80% de células son monoblastos
Núcleos destacados, cromatina delicada
2. M5b (Leucemia monocitica aguda diferenciada)
Menos del 80% de células son monoblastos
Predominan monocitos
Núcleos cerebriformes con nucléolos
LEUKEMIA & LYMPHOMA SOCIETY ®; 2014
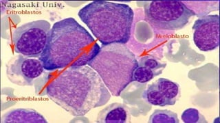
M6
Tipo raro de LMA (3% de los casos)
Única LMA con hiperplasia de precursores eritroides
Mas del 50% de células son eitrocitos nucleados- 30% Constituido por mieloblastos
Muestran características megaloblastoides / varios núcleos
Frecuente Sx mielodisplasico (Mielosis eritemica)
LEUKEMIA & LYMPHOMA SOCIETY ®; 2014
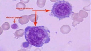
M7
Tipo mas raro de LMA (1% de los casos)
Dificultad de definir el megacarioblasto presente
Presencia del 30% de blastos en medula (Megacarioblastos)
Posee una cromatina delicada / nucléolos destacados prominentes
Megacariocitos inmaduros
Los pacientes presentan manifestaciones clínicas variadas en los primeros 3 meses como:
Trastorno mieloproliferativo c/ Pancitopenia - mielofibrosis
LEUKEMIA & LYMPHOMA SOCIETY ®; 2014
LEUKEMIA & LYMPHOMA SOCIETY ®; 2014
LEUKEMIA & LYMPHOMA SOCIETY ®; 2014
Tratamiento
Planificación:
Definir subtipo
Análisis citogeneticos
Presencia de Qx
Presencia de infección sistémica
Edad y estado general
Ciertos cambios en los cromosomas y en los genes pueden ofrecer información
60% de las personas tienen anomalías cromosómicas
Trisomía 8, trisomía 21, monosomia 7, monosomia 21 y perdida de X o Y
LEUKEMIA & LYMPHOMA SOCIETY ®; 2014
Especificidad
1. Pre-inducción en caso de ser hiperleucocitaria ( Leucocitos > de 35x10₉/L)
2. Inducción a la remisión (IR)
3. Consolidación o intensificación
4. Mantenimiento
5. Profilaxis al sistema nervioso central (SNC)
6. Reinducciones
LEUKEMIA & LYMPHOMA SOCIETY ®; 2014
Quimioterapia
Fase inicial: “Tratamiento de inducción”
Uso simultaneo de varios fármacos (Antraciclina, daunorrubicina, idarrubicina o citarabina)
Actúan deteniendo la proliferación de células AML y causan apoptosis
LEUKEMIA & LYMPHOMA SOCIETY ®; 2014
Antraciclinas
Daunorrubicina
Doxorrubicina
Idarrubicina
Mitoxantrona
Antimetabolitos
Cladribina
Clofarabina
Citarabina
Inhibidores de topoisomerasa
Etoposido
Topotecan
Farmacos que dañan el ADN
Ciclofosfamida
Carboplatino
Temozolomida
Remisión
La producción normal de células sanguíneas se reanudara terminado el tratamiento inicial
No se detectan células leucémicas en el paciente
LEUKEMIA & LYMPHOMA SOCIETY ®; 2014
Consolidación
Altas dosis de quimioterapia con medicamentos combinados
Disminuir la clona patológica & emergencia de células resistentes a la quimioterapia
LEUKEMIA & LYMPHOMA SOCIETY ®; 2014
Mantenimiento
Tratamiento menos agresivo (Administración por vía oral)
Periodo de 2 a 3 años continuos
LEUKEMIA & LYMPHOMA SOCIETY ®; 2014

Leucemia mieloide aguda

  • 1.
    Leucemia mieloide aguda JOSÉ MIGUELSÁNCHEZ BELDA UNIVERSIDAD CRSITOBAL COLON ESCUELA DE MEDICINA PAPI AUSSSSSHHHH
  • 3.
    Leucemia Cáncer de lamedula ósea y la sangre Cuatro tipos principales: Leucemia mieloide aguda Leucemia mieloide crónica Leucemia linfoblastica aguda Leucemia linfocítica crónica Enfermedades de progresión rápida, afectan a células sin desarrollo completo LEUKEMIA & LYMPHOMA SOCIETY ®; 2014
  • 4.
    Tipos de leucemia LEUKEMIA& LYMPHOMA SOCIETY ®; 2014
  • 5.
    Etiologia Agentes predisponentes queaumentan 20 a 30 veces la probabilidad: Radiaciones ionizantes Sustancias químicas derivadas del benceno Enfermedades hereditarias: Sx de Bloom Anemia de Fanconi Sx de Down Anemia de Diamond Blackfan Sx de Klinefelter Virus HTLV 4, Epstein-Barr Surgimiento de casos con tratamiento (Farmacos alquilantes, Inibidores de la topisomerasa II) Genes que limitan capacidad de eliminar toxicidad en células LEUKEMIA & LYMPHOMA SOCIETY ®; 2014
  • 6.
    Fisiopatologia Cada paciente puededesarrollar una variedad distinta de la enfermedad, a simple vista igual, pero molecularmente diferente (Genetica) LEUCEMOGENESIS Origen o promoción (Mutaciones de los oncogenes) [Proliferación & apoptosis] Expansión o proliferación (Crecimiento celular) [30 días] Aparición clínica (Detección) Se requiere de 2 a 6 meses & la cantidad de “blastos” es de 1X10₁₂ (1kg de tejido) LEUKEMIA & LYMPHOMA SOCIETY ®; 2014
  • 8.
    Leucemia mieloide aguda(AML) El cambio comienza en una célula de la medula ósea (GR,GB & PL) Resultado de cambios adquiridos en el ADN Se multiplica en 11 mil millones de células o mas. (Blastos leucémicos) La exposición al benceno puede ser un factor en el desarrollo de AML (Daña el ADN-Derivado del petróleo) Mas común en niños menores de 1 año (Rara en niños mayores & adolescentes) LEUKEMIA & LYMPHOMA SOCIETY ®; 2014
  • 9.
    Los síntomas deun paciente con LMA son inespecíficos Reflejan la producción disminuida de elementos normales de la medula osea: Recuento elevado leucocitario / Presencia de mieloblastos AnemiaTrombocitopeniaNeutropenia PalidezFatigaHematomasHemorragia Es rara en los mayores y adolescentes// Segundo pico de incidencia alrededor de los 40 años LEUKEMIA & LYMPHOMA SOCIETY ®; 2014
  • 11.
    Signos, síntomas &diagnostico • Perdida de bienestar (Producción insuficiente de células) • Astenia • Anemia • Trombocitopenia • Fiebre • Inflamacion de encías • Infecciones menores • Perdida de apetito & peso • Artralgias • Esplenomegalia • Hepatomegalia • Pruebas de sangre y medula osea: Cambio en cantidad y apariencia • Aspiracion y bipsosia de medula osea • Confirmacion: Celulas blasticas leucémicas Antigenos CD13 o CD33 Identificacion Desarollo LEUKEMIA & LYMPHOMA SOCIETY ®; 2014
  • 12.
    Sarcoma mieloide Rara vezse forma un cumulo de células AML (Sarcoma mieloide) Puede presentarse en casi cualquier parte del cuerpo Un diagnostico de Sarcoma mieloide es equivalente a AML Cloroma, Sarcoma granulocitico, mieloblastoma & monocitoma LEUKEMIA & LYMPHOMA SOCIETY ®; 2014
  • 14.
    Subtipos de AML Existen8 subtipos de AML Basado en el sistema de clasificación francés, estadounidense y británico (FAB) El tratamiento es similar para la mayoría, a excepción de M3 (APL) LEUKEMIA & LYMPHOMA SOCIETY ®; 2014
  • 17.
    M0 Los blastos nodesarrollan características morfológicas mieloides Reactividad de al menos un antígeno mieloide relacionado (Sin antígenos linfociticos) M1 Se desarrolla una diferenciación mieloide mínima Mieloblastos constituyen mas del 30% de las células nucleadas de la medula 3% positivo a antígenos mieloides LEUKEMIA & LYMPHOMA SOCIETY ®; 2014
  • 18.
  • 19.
    M2 30% de lascélulas nucleadas exceden numero de eritrocitos nucleados Monocitos constituyen menos del 20% de las células Positivos para antígenos mieloides (30% de los casos de LMA) Fármacos: Daunorrubicina & arabinosido de citosina LEUKEMIA & LYMPHOMA SOCIETY ®; 2014
  • 20.
    M3 Existen dos tiposde LMA M3 1. Tipo hipergranular M3 Mas del 30% son células mieloblasticas Promielocitos abundantes en gránulos citoplasmáticos Núcleos reniformes o bilobulados Intensa coloración de antígenos mieloides 2. Tipo microgranular M3 Gránulos pequeños por microscopia electrónica Ausencia del antígeno DR(1ª) (HLA-DR1a) (Cartometría de flujo) LEUKEMIA & LYMPHOMA SOCIETY ®; 2014
  • 21.
    M4 Presenta células malignascon características granulociticas y monociticas Recuento absoluto de monocitos en sangre periférica es 5 X 10₉/L = M4 Coloración inespecífica para esterasa de medula ósea +20% células precursoras Niveles de lisozima en suero u orina (3 veces mas de lo normal) Leucemia mielomonocitica con eosinofilia moderada (M4Eo) (4%) Medula ósea con eosinofilos aumentados del 5% (Compromiso del LCR) LEUKEMIA & LYMPHOMA SOCIETY ®; 2014
  • 23.
    M5 Constituye el 12%de los casos afectados Mas del 80% debe tener morfología monocitica & 20% de células granulociticas Existen 2 subtipos: 1. M5a (Leucemia monocitica aguda mal diferenciada) 80% de células son monoblastos Núcleos destacados, cromatina delicada 2. M5b (Leucemia monocitica aguda diferenciada) Menos del 80% de células son monoblastos Predominan monocitos Núcleos cerebriformes con nucléolos LEUKEMIA & LYMPHOMA SOCIETY ®; 2014
  • 26.
    M6 Tipo raro deLMA (3% de los casos) Única LMA con hiperplasia de precursores eritroides Mas del 50% de células son eitrocitos nucleados- 30% Constituido por mieloblastos Muestran características megaloblastoides / varios núcleos Frecuente Sx mielodisplasico (Mielosis eritemica) LEUKEMIA & LYMPHOMA SOCIETY ®; 2014
  • 28.
    M7 Tipo mas rarode LMA (1% de los casos) Dificultad de definir el megacarioblasto presente Presencia del 30% de blastos en medula (Megacarioblastos) Posee una cromatina delicada / nucléolos destacados prominentes Megacariocitos inmaduros Los pacientes presentan manifestaciones clínicas variadas en los primeros 3 meses como: Trastorno mieloproliferativo c/ Pancitopenia - mielofibrosis LEUKEMIA & LYMPHOMA SOCIETY ®; 2014
  • 30.
    LEUKEMIA & LYMPHOMASOCIETY ®; 2014
  • 31.
    LEUKEMIA & LYMPHOMASOCIETY ®; 2014
  • 32.
    Tratamiento Planificación: Definir subtipo Análisis citogeneticos Presenciade Qx Presencia de infección sistémica Edad y estado general Ciertos cambios en los cromosomas y en los genes pueden ofrecer información 60% de las personas tienen anomalías cromosómicas Trisomía 8, trisomía 21, monosomia 7, monosomia 21 y perdida de X o Y LEUKEMIA & LYMPHOMA SOCIETY ®; 2014
  • 33.
    Especificidad 1. Pre-inducción encaso de ser hiperleucocitaria ( Leucocitos > de 35x10₉/L) 2. Inducción a la remisión (IR) 3. Consolidación o intensificación 4. Mantenimiento 5. Profilaxis al sistema nervioso central (SNC) 6. Reinducciones LEUKEMIA & LYMPHOMA SOCIETY ®; 2014
  • 34.
    Quimioterapia Fase inicial: “Tratamientode inducción” Uso simultaneo de varios fármacos (Antraciclina, daunorrubicina, idarrubicina o citarabina) Actúan deteniendo la proliferación de células AML y causan apoptosis LEUKEMIA & LYMPHOMA SOCIETY ®; 2014
  • 35.
  • 36.
    Remisión La producción normalde células sanguíneas se reanudara terminado el tratamiento inicial No se detectan células leucémicas en el paciente LEUKEMIA & LYMPHOMA SOCIETY ®; 2014
  • 37.
    Consolidación Altas dosis dequimioterapia con medicamentos combinados Disminuir la clona patológica & emergencia de células resistentes a la quimioterapia LEUKEMIA & LYMPHOMA SOCIETY ®; 2014
  • 38.
    Mantenimiento Tratamiento menos agresivo(Administración por vía oral) Periodo de 2 a 3 años continuos LEUKEMIA & LYMPHOMA SOCIETY ®; 2014