Imagen por resonancia magnética
en el traumatismo craneoencefálico
Imagen por Resonancia
Magnetica
 Discordancia Clinica – radiologica
 Evolucion torpida
 Evaluacion de secuelas
  Valora mejor:
 Hematomas pequenos
 Lesiones de tallo y cuerpo calloso
 Lesiones no hemorragicas
  Exploracion mas prolongada (20 30 m)
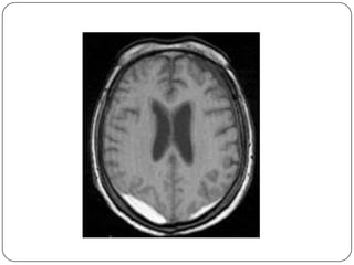
Ofrece una diferenciación entre la sustancia gris y la sustancia blanca
 todavía mayor que la TC. Permite la obtención de imágenes directas en
los planos coronal y sagital. LCR aparece negro, aunque el hueso cortical
      se muestra negro, la grasa y cuero cabelludo son muy blancas.
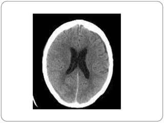
Hematoma Subdural
 Sangre entre la dura y la aracnoides
 No hay relacion con fracturas
 Forma semilunar
 Cruza las suturas, pero no las inserciones
  durales
 T.A.C. fase aguda = coleccion hiperdensa
 I.R.M.detecta hematomas muy pequenos
hueso
dura
aracnoides
pia
cerebro
Hueso

dura

aracnoides
pia
Cerebro

             Hematoma subdural
             concavo en su margen interno
Hematoma Subdural
 Sangre entre la dura y la aracnoides
 No hay relacion con fracturas
 Forma semilunar
 Cruza las suturas, pero no las inserciones
  durales
 T.A.C. fase aguda = coleccion hiperdensa
 I.R.M.detecta hematomas muy pequenos
hueso
dura
aracnoides
pia
cerebro
Hueso

dura

aracnoides
pia
Cerebro

             Hematoma subdural
             concavo en su margen interno
Hematoma Epidural
 Mayor incidencia en ninos que en adultos, de
    origen venoso
   Forma biconvexa, lenticular
   No cruza suturas, si inserciones durales
   T.A.C. hiperdenso, heterogeneo precoz, se vuelve
    homogeneo en pocas horas
   85% al 95% se asocia a fractura craneal
   Frecuentemente provoca herniaciones
Hueso

Dura




   Dura: delgada, densa, no elastica, adherida
   fuertemente a la tabla interna del hueso
Hematoma epidural: lenticular, biconvexo
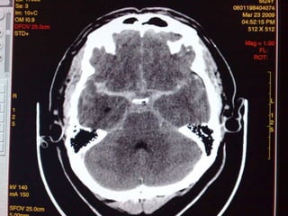
Hemorragia Sub-aracnoidea
 Lesion de vasos perforantes de la pia y
    aracnoides
   Mas frecuente en los extremos de edad
   Hiperdensa en la tomografia computada
   Ocupacion de cisuras, surcos y cisternas
   Complicaciones:
    hidrocefalia comunicante
    vaso-espasmo, isquemia
Hueso

Dura

aracnoides
Pia

cerebro
Hueso

dura
aracnoides
Pia

cerebro


 Hemorragia sub-aracnoidea   sutil
                             difusa
                             inter-hemisferica
                             intra-ventricular
Lesiones secundarias
     Lesiones vasculares
 Mecanismo:
    Traumatismo penetrante
    Flexion, extension, rotacion
   Lesiones: oclusion, diseccion,
    pseudoaneurismas
   Diagnostico dificil y tardio
   Angio-TAC y Angio-Resonancia para
    despistaje
   Si existe alta sospecha: angiografia
    convencional

Resonancia magnética en TCE

  • 1.
    Imagen por resonanciamagnética en el traumatismo craneoencefálico
  • 2.
    Imagen por Resonancia Magnetica Discordancia Clinica – radiologica  Evolucion torpida  Evaluacion de secuelas Valora mejor:  Hematomas pequenos  Lesiones de tallo y cuerpo calloso  Lesiones no hemorragicas Exploracion mas prolongada (20 30 m)
  • 8.
    Ofrece una diferenciaciónentre la sustancia gris y la sustancia blanca todavía mayor que la TC. Permite la obtención de imágenes directas en los planos coronal y sagital. LCR aparece negro, aunque el hueso cortical se muestra negro, la grasa y cuero cabelludo son muy blancas.
  • 10.
    Hematoma Subdural  Sangreentre la dura y la aracnoides  No hay relacion con fracturas  Forma semilunar  Cruza las suturas, pero no las inserciones durales  T.A.C. fase aguda = coleccion hiperdensa  I.R.M.detecta hematomas muy pequenos
  • 11.
  • 12.
    Hueso dura aracnoides pia Cerebro Hematoma subdural concavo en su margen interno
  • 13.
    Hematoma Subdural  Sangreentre la dura y la aracnoides  No hay relacion con fracturas  Forma semilunar  Cruza las suturas, pero no las inserciones durales  T.A.C. fase aguda = coleccion hiperdensa  I.R.M.detecta hematomas muy pequenos
  • 14.
  • 15.
    Hueso dura aracnoides pia Cerebro Hematoma subdural concavo en su margen interno
  • 18.
    Hematoma Epidural  Mayorincidencia en ninos que en adultos, de origen venoso  Forma biconvexa, lenticular  No cruza suturas, si inserciones durales  T.A.C. hiperdenso, heterogeneo precoz, se vuelve homogeneo en pocas horas  85% al 95% se asocia a fractura craneal  Frecuentemente provoca herniaciones
  • 19.
    Hueso Dura Dura: delgada, densa, no elastica, adherida fuertemente a la tabla interna del hueso
  • 20.
  • 23.
    Hemorragia Sub-aracnoidea  Lesionde vasos perforantes de la pia y aracnoides  Mas frecuente en los extremos de edad  Hiperdensa en la tomografia computada  Ocupacion de cisuras, surcos y cisternas  Complicaciones: hidrocefalia comunicante vaso-espasmo, isquemia
  • 24.
  • 25.
    Hueso dura aracnoides Pia cerebro Hemorragia sub-aracnoidea sutil difusa inter-hemisferica intra-ventricular
  • 27.
    Lesiones secundarias Lesiones vasculares  Mecanismo: Traumatismo penetrante Flexion, extension, rotacion  Lesiones: oclusion, diseccion, pseudoaneurismas  Diagnostico dificil y tardio  Angio-TAC y Angio-Resonancia para despistaje  Si existe alta sospecha: angiografia convencional