ANEURISMA DE LA AORTA ABDOMINALDr. José Luis Charles GonzálezResidente de Medicina InternaCiudad Victoria, Tamaulipas21 de Septiembre, 2011
ObjetivosRevisar las generalidades sobre el aneurisma de aorta abdominalEnfocar el abordaje en los estudios de imagen, sobretodo en pacientes con factores de riesgoValorar los tratamientos actuales y las indicaciones, contraindicaciones y complicaciones de los mismosAumentar la sospecha diagnostica, en base a los factores de riesgo, para que el principal manejo sea la prevención
Introducción	La aorta es un conducto cuyo diámetro máximo en adultos corresponde a su origen (3 cm), disminuyendo caudalmente siendo de 2,5 cm a nivel de la porción de aorta descendente torácica  hasta 1,8 a 2 cm en la porción abdominal de la misma.JOURNAL OF VASCULAR SURGERYOctober Supplement 2009
Introducción	La pared vascular está formada por:	La intima delgada, compuesta de endotelio, capa subendotelial de tejido conjuntivo y una capa interna elástica	La túnica media de células musculares lisas y matriz extracelular	La adventicia formada por tejido conectivo, que engloba los vasa vasorum y la inervación del vasoJOURNAL OF VASCULAR SURGERYOctober Supplement 2009
Aneurisma de la aortaSegmento patológico dilatado que es propenso a expandirse y romperseUn criterio es que la dilatación sea mas del 50% del tamaño esperado para dicha región en sujetos sanos de la misma edad y sexoSe le puede describir según su tamaño, localización, morfología y etiologíaJOURNAL OF VASCULAR SURGERYOctober Supplement 2009
ClasificaciónFormas:Saculares (Dilatación localizada a una porción de la pared)Fusiformes (Mas comunes, dilatación simétrica y difusa de la pared, con alta tendencia a tener trombos en su interior que estrechan la luz aórtica)Reloj de arena (Dos áreas de dilatación focal, divididas por aorta normal)JOURNAL OF VASCULAR SURGERYOctober Supplement 2009
ClasificaciónEstructura:Falso (Pseudoaneurismas que ocasionan hematoma alrededor del lumen de vaso, producto de trauma, disección o ruptura contenida)Verdadero (La pared aortica esta intacta, pero involucra todas las capas del vaso)JOURNAL OF VASCULAR SURGERYOctober Supplement 2009
EtiologíaDegenerativosArterioscleróticos (Son los mas comunes de todos)FibrodisplasiaProtésicosCongénitosInfecciososSífilis, tuberculosis, salmonelosis, S. aureus, micosisAsociados a arteritisLupusArteritis de células gigantesTakayasuJOURNAL OF VASCULAR SURGERYOctober Supplement 2009
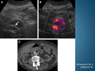
Placa de ateroma y aneurisma en USGUltrasound Crin 3 (2008)83–91
EtiologíaAnormalidades del tejido conectivoMarfán, Ehlers-Danlos, necrosis quística de la mediaMecánicosPostestenóticosTraumáticosJOURNAL OF VASCULAR SURGERYOctober Supplement 2009
Aneurisma de la aorta abdominalIncremento en el diámetro > 3 cmsLa incidencia aumenta según la edadOcurre en 3-9% de hombres > 50 añosLa relación hombre : mujer es 5:1Hasta el 90% se origina en la aorta infrarenal, el resto son yuxtarenales y en raros casos, suprarrenalesJOURNAL OF VASCULAR SURGERYOctober Supplement 2009
Factores de riesgo de incidenciaObesidadDislipidemiaEPOC (enfisema)Hipertensión arterial sistémicaSexo masculino (aunque crece y se rompe mas en mujeres)TabaquismoLos fumadores tienen 5 veces mas riesgo que los no fumadoresAntecedentes familiaresHasta en el 20% de los casos, lo que sugiere predisposiciónJOURNAL OF VASCULAR SURGERYOctober Supplement 2009
Factores de riesgo de disección aorticaHipertensión arterial sistémicaSíndrome de Ehlers – DanlosSíndrome de MarfanSíndrome de TurnerSíndrome de NoonanJOURNAL OF VASCULAR SURGERYOctober Supplement 2009
Ultrasound Crin 3 (2008)83–91
Factores de riesgo de disección aorticaEmbarazoUso de cocaínaTrauma (contuso o penetrante)IatrogeniasAteroesclerosisJOURNAL OF VASCULAR SURGERYOctober Supplement 2009
Ultrasound Crin 3(2008) 83–91
PatogénesisLa dilatación y la ruptura resultan de inflamación crónica, así como degradación de la proteínas del tejido conectivo, que normalmente dan fuerza tensil mecánica, resistencia e integridad estructural  a la paredLos aneurismas degenerativos o arterioscleróticos son los mas frecuentesLa proporción de incidencia abdominal : torácico es de 7:1 en hombres y es de 3:1 en mujeresJOURNAL OF VASCULAR SURGERYOctober Supplement 2009
Riesgo de rupturaCrecimiento medio entre 0.2 cm y 0.4 cm anuales, con un aumento mayor para aneurismas > 5-6 cm de diámetro20% de los aneurismas por < 4 cm de diámetro aumentan su tamaño medio mas de 0.5 cm anuales9% se rompen los primeros meses sin expansión significativaEl riesgo de ruptura para un aneurisma con diámetro < 4 cm se estima en 2%, en > 5 cm se calcula entre 25 - 45% a los cinco añosJOURNAL OF VASCULAR SURGERYOctober Supplement 2009
Ruptura de aneurismaUltrasound Crin 3 (2008)83–91
Cuadro clínicoSe desarrollan lentamente y a menudo son asintomáticosSi se expande rápidamente, se rompe o hay disección aórtica, los síntomas se pueden desarrollar de manera súbitaJOURNAL OF VASCULAR SURGERYOctober Supplement 2009
Cuadro clínicoDolor en el abdomen o espalda intenso, repentino, persistente o constante, irradiado a ingle, glúteos o piernasDiaforesisNáuseas y vómitosTaquicardiaChoqueJOURNAL OF VASCULAR SURGERYOctober Supplement 2009
Exploración físicaMasa pulsátil, sensible y dolorosa epigástrica o periumbilical, a la palpación, de pacientes delgados con aneurismas grandesSoplos en la auscultación de abdomenDebe también incluir la palpación de las arterias poplíteas y femorales (pulsos disminuidos)Tromboembolismo sintomático del 2-5% de los pacientes, asociado a trombos muralesJOURNAL OF VASCULAR SURGERYOctober Supplement 2009
Trombo mural dentro del aneurisma
Diagnostico75% son asintomáticos en el momento del diagnósticoSon hallazgos casuales durante la exploración física rutinaria de un paciente como una masa pulsátilMas frecuentemente como resultado del empleo de técnicas diagnosticas (radiografía, ecografía o TAC ) con motivo de otra patologíaJOURNAL OF VASCULAR SURGERYOctober Supplement 2009
DiagnosticoEco doppler color(dúplex scan) de la aorta abdominalTAC de abdomen
Resonancia Magnética de Abdomen
AortografiaJOURNAL OF VASCULAR SURGERYOctober Supplement 2009
ECO DOPPLER COLORUltrasound Crin 3 (2008)83–91
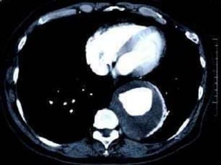
TAC ABDOMINALSurg Clin N Am 91 (2011) 185–193
RESONANCIA MAGNETICA
AORTOGRAFIA
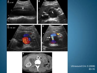
Ultrasonido abdominalEs el método de elección en un paciente con sospechaTiene una sensibilidad de casi el 100%, permite realizar mediciones en plano longitudinal y transverso, con una variabilidad de 0.6 cmNo es invasivo, no requiere medio de contraste, es accesible, seguroEs un estudio operador – dependienteDa información insuficiente para plantear la cirugía de reconstrucciónUltrasound Crin 3 (2008)83–91
Ultrasound Crin 3 (2008)83–91
Ultrasonido abdominalEs impreciso en determinar límites, así como en detectar mas del 50% de los casos, una vez que hay rupturaDa información  insuficiente sobre la vasculatura visceralDa información imprecisa en obesos, o con abdomen distendido por gas intestinal (2-3% de los casos)Es de elección como herramienta diagnóstica inicial y para seguimiento, en pacientes en los que no está indicada cirugía, en el momento del diagnósticoUltrasound Crin 3 (2008)83–91
Placa de ateroma y aneurisma en USGUltrasound Crin 3 (2008)83–91
TAC abdominalMuy sensible y específico, particularmente cuando se combinan medio de contraste, cortes finos y reconstrucciones tridimensionales con mediciones perpendiculares a la línea media de la aortaDa información precisa sobre la forma y relaciones anatómicas de los vasos renales, iliacos  y viscerales, así como la presencia de trombos murales, calcificaciones y ateroesclerosis oclusiva Se recomienda en caso de que se plantee tratamiento de reconstrucción aórticaSurg Clin N Am 91 (2011) 185–193
TAC abdominalPuede dar información errónea en el caso de aorta tortuosa, igual que la ecografíaInvasivo, pues requiere contrastes intravenosos y el uso de radiaciones ionizantesEs mas caro y de menor disponibilidad por lo que no se recomienda como técnica de screening inicialSurg Clin N Am 91 (2011) 185–193
Resonancia Magnética de AbdomenEs el mejor método de imagenPermite realizar medidas muy precisas y buena correlación anatómica con vasos renales y  visceralesNo es invasiva, no utiliza radiaciones ionizantes y no necesita contrastes intravenososSurg Clin N Am 91 (2011) 185–193
Angioresonancia
Resonancia Magnética de AbdomenEs costosa y de escasa disponibilidadNo es precisa en la identificación de enfermedad oclusiva arterial asociadaLimitaciones como pacientes portadores de marcapasos o necesidad de equipos de monitorizaciónSurg Clin N Am 91 (2011) 185–193
Resonancia Magnética
AortografiaNo debe ser de uso rutinario; no define el tamaño real del aneurisma debido a trombos intramurales que restringen el contraste a la parte central de la luz aórticaÚtil en pacientes > 50 años con historia familiar de aneurismas  aórticos (familiares de primer grado)Útil en pacientes > 65 años con enfermedad vascular periférica, (mayor incidencia de aneurisma aórtico en pacientes con  aneurismas de arterias periféricas)JOURNAL OF VASCULAR SURGERYOctober Supplement 2009
Aortografia	Indicaciones absolutas 	a. asociación de hipertensión renovascular 	b. fracaso renal inexplicable 	c. síntomas compatibles con angina visceral 	d. presencia de enfermedad oclusiva ileofemoral 	e. presencia de aneurismas iliacos o poplíteos 	f. situaciones especiales: sospecha de riñón en herradura por variantes en  la distribución de irrigación arterial renal, o colectomía previa para  visualizar la alteración de la vasculatura del colon remanenteJOURNAL OF VASCULAR SURGERYOctober Supplement 2009
Tratamiento
TratamientoLa reparación se reserva para aneurismas > 5 - 5.5 cms de diámetro; en aquellos que miden 3 – 4 cms, la tasa de crecimiento es de 10% anual, y se recomienda seguimiento anual con USGEn aneurismas > 4 cms, la tasa de crecimiento es mayor, por lo que se recomienda seguimiento cada 6 meses; en los aneurismas > 4.5 cms, se prefiere la TAC sobre el USG por su mayor precisiónJOURNAL OF VASCULAR SURGERYOctober Supplement 2009
Tratamiento no quirúrgicoDejar de fumar (disminuye la tasa de crecimiento y ruptura)Control de la HAS, dislipidemia y DMUso de estatinas (enfermedad ateroesclerótica)Uso de propranolol, losartan, doxiciclinaEjercicio regularJOURNAL OF VASCULAR SURGERYOctober Supplement 2009
Tratamiento
Tratamiento quirúrgicoPuede realizarse de dos formas:Reparación quirúrgica abiertaReparación endovascularLa selección dependerá de la anatomía individual y de factores secundarios como la edad del paciente y los riesgos asociados a la anestesia y la cirugíaJOURNAL OF VASCULAR SURGERYOctober Supplement 2009
Terapia endovascularEn septiembre de 1990 el Dr. Juan Carlos Parodi (argentino), concreto el primer procedimiento endovascular exitoso para el tratamiento de un aneurisma de aorta abdominal mediante la colocación de una endoprótesis
Riesgo operatorioLa mortalidad  perioperatoria (a 30 días) esta entre el 1 - 5% para aneurismas intactos y asintomáticos, elevándose hasta 18% en caso de cirugía de aneurisma sintomático integro y 50% de mortalidad  en el aneurisma de aorta abdominal rotoDisminución de supervivencia a cinco años de hasta el 30% en pacientes con cardiopatía isquémicaEn la mortalidad tardía incluimos complicaciones como sépsis, aneurisma anastomótico y otras que completan 2% del totalJOURNAL OF VASCULAR SURGERYOctober Supplement 2009
Contraindicaciones quirúrgicasLas contraindicaciones para cirugía electiva de reconstrucción aórtica son:	1.—Infarto de miocardio en los seis meses previos a cirugía	2.—Insuficiencia cardiaca congestiva intratable	3.—Angina intratable	4.—Insuficiencia respiratoria severa con disnea de reposo	5.—Enfermedad renal crónica severa	6.—ACVA previo con secuelas incapacitantes	7.—Expectativas de vida inferiores a 2 añosJOURNAL OF VASCULAR SURGERYOctober Supplement 2009
Criterios de mal pronostico postquirúrgicoEdad> 85 añosCardiológicosFracción eyección < 30%Insuficiencia cardiaca congestivaIAM recienteAneurisma VIEnfermedad valvular graveCardiopatía Isquémica sin posibilidad de revascularizaciónJOURNAL OF VASCULAR SURGERYOctober Supplement 2009
Criterios de mal pronostico postquirúrgicoPulmonarOxígeno domiciliarioPaO2 < 60 mmHg basalFEV1 < 1 litroRenalCreatinina sérica > 3 mg/dlHepáticoCirrosis con ascitis (biopsia)AbdominalFibrosis retroperitoneal difusaJOURNAL OF VASCULAR SURGERYOctober Supplement 2009
ComplicacionesSangrado excesivoTrombosis del injertoEmbolizacion distalIsquemia intestinalAfectación renalInfección de la herida quirúrgicaInfección de la prótesisFistula aorto-entericaPancreatitisColecistitis agudaJOURNAL OF VASCULAR SURGERYOctober Supplement 2009
Fistula aorto-entericaSurg Clin N Am 91 (2011) 185–193
Hematoma retroperitoneal por ruptura de aneurisma de la aortaSurg Clin N Am 91 (2011) 185–193
ConclusionesEl aneurisma de aorta abdominal continua siendo una entidad subdiagnosticada y tratada hasta que se presenta como un cuadro agudo urgenteLos estudios de imagen son excelentes herramientas para su detección, lo que permitiría hacer un screening en pacientes con múltiples factores de riesgoEl principal manejo continua siendo quirúrgico, sin menospreciar el poder de la prevención y cuidado de comorbilidades y factores de riesgo asociados
Bibliografía adicional1. Golledge J, Norman PE: Pathophysiology of abdominal aortic aneurysm relevant to improvements in patients' management.  Curr Opin Cardiol  2009; 24:532.2. Kim LG, P Scott RA, Ashton HA, Thompson SGMulticentre Aneurysm Screening Study Group: A sustained mortality benefit from screening for abdominal aortic aneurysm.  Ann Intern Med  2007; 146:699.3.  Cosford PA, Leng GC: Screening for abdominal aortic aneurysm. Cochrane Database Syst Rev (2):CD002945, 2007.4. Fleming C, Whitlock EP, Beil TL, Lederle FA: Screening for abdominal aortic aneurysm: A best-evidence systematic review for the U.S. Preventive Services Task Force.  Ann Intern Med  2005; 142:203.5. Chaikof EL, Brewster DC, Dalman RL, et al: The care of patients with an abdominal aortic aneurysm: The Society for Vascular Surgery practice guidelines.  J Vasc Surg  2009; 50(Suppl):S2.6. Helgadottir A, Thorleifsson G, Magnusson KP, et al: The same sequence variant on 9p21 associates with myocardial infarction, abdominal aortic aneurysm and intracranial aneurysm.  Nat Genet  2008; 40:217.7. Rayt HS, Sutton AJ, London NJ, et al: A systematic review and meta-analysis of endovascular repair (EVAR) for ruptured abdominal aortic aneurysm.  Eur J Vasc Endovasc Surg  2008; 36:536.

Aneurisma de la aorta abdominal

  • 1.
    ANEURISMA DE LAAORTA ABDOMINALDr. José Luis Charles GonzálezResidente de Medicina InternaCiudad Victoria, Tamaulipas21 de Septiembre, 2011
  • 2.
    ObjetivosRevisar las generalidadessobre el aneurisma de aorta abdominalEnfocar el abordaje en los estudios de imagen, sobretodo en pacientes con factores de riesgoValorar los tratamientos actuales y las indicaciones, contraindicaciones y complicaciones de los mismosAumentar la sospecha diagnostica, en base a los factores de riesgo, para que el principal manejo sea la prevención
  • 3.
    Introducción La aorta esun conducto cuyo diámetro máximo en adultos corresponde a su origen (3 cm), disminuyendo caudalmente siendo de 2,5 cm a nivel de la porción de aorta descendente torácica  hasta 1,8 a 2 cm en la porción abdominal de la misma.JOURNAL OF VASCULAR SURGERYOctober Supplement 2009
  • 5.
    Introducción La pared vascularestá formada por: La intima delgada, compuesta de endotelio, capa subendotelial de tejido conjuntivo y una capa interna elástica La túnica media de células musculares lisas y matriz extracelular La adventicia formada por tejido conectivo, que engloba los vasa vasorum y la inervación del vasoJOURNAL OF VASCULAR SURGERYOctober Supplement 2009
  • 7.
    Aneurisma de laaortaSegmento patológico dilatado que es propenso a expandirse y romperseUn criterio es que la dilatación sea mas del 50% del tamaño esperado para dicha región en sujetos sanos de la misma edad y sexoSe le puede describir según su tamaño, localización, morfología y etiologíaJOURNAL OF VASCULAR SURGERYOctober Supplement 2009
  • 9.
    ClasificaciónFormas:Saculares (Dilatación localizadaa una porción de la pared)Fusiformes (Mas comunes, dilatación simétrica y difusa de la pared, con alta tendencia a tener trombos en su interior que estrechan la luz aórtica)Reloj de arena (Dos áreas de dilatación focal, divididas por aorta normal)JOURNAL OF VASCULAR SURGERYOctober Supplement 2009
  • 11.
    ClasificaciónEstructura:Falso (Pseudoaneurismas queocasionan hematoma alrededor del lumen de vaso, producto de trauma, disección o ruptura contenida)Verdadero (La pared aortica esta intacta, pero involucra todas las capas del vaso)JOURNAL OF VASCULAR SURGERYOctober Supplement 2009
  • 13.
    EtiologíaDegenerativosArterioscleróticos (Son losmas comunes de todos)FibrodisplasiaProtésicosCongénitosInfecciososSífilis, tuberculosis, salmonelosis, S. aureus, micosisAsociados a arteritisLupusArteritis de células gigantesTakayasuJOURNAL OF VASCULAR SURGERYOctober Supplement 2009
  • 14.
    Placa de ateromay aneurisma en USGUltrasound Crin 3 (2008)83–91
  • 15.
    EtiologíaAnormalidades del tejidoconectivoMarfán, Ehlers-Danlos, necrosis quística de la mediaMecánicosPostestenóticosTraumáticosJOURNAL OF VASCULAR SURGERYOctober Supplement 2009
  • 16.
    Aneurisma de laaorta abdominalIncremento en el diámetro > 3 cmsLa incidencia aumenta según la edadOcurre en 3-9% de hombres > 50 añosLa relación hombre : mujer es 5:1Hasta el 90% se origina en la aorta infrarenal, el resto son yuxtarenales y en raros casos, suprarrenalesJOURNAL OF VASCULAR SURGERYOctober Supplement 2009
  • 18.
    Factores de riesgode incidenciaObesidadDislipidemiaEPOC (enfisema)Hipertensión arterial sistémicaSexo masculino (aunque crece y se rompe mas en mujeres)TabaquismoLos fumadores tienen 5 veces mas riesgo que los no fumadoresAntecedentes familiaresHasta en el 20% de los casos, lo que sugiere predisposiciónJOURNAL OF VASCULAR SURGERYOctober Supplement 2009
  • 20.
    Factores de riesgode disección aorticaHipertensión arterial sistémicaSíndrome de Ehlers – DanlosSíndrome de MarfanSíndrome de TurnerSíndrome de NoonanJOURNAL OF VASCULAR SURGERYOctober Supplement 2009
  • 21.
    Ultrasound Crin 3(2008)83–91
  • 22.
    Factores de riesgode disección aorticaEmbarazoUso de cocaínaTrauma (contuso o penetrante)IatrogeniasAteroesclerosisJOURNAL OF VASCULAR SURGERYOctober Supplement 2009
  • 23.
  • 24.
    PatogénesisLa dilatación yla ruptura resultan de inflamación crónica, así como degradación de la proteínas del tejido conectivo, que normalmente dan fuerza tensil mecánica, resistencia e integridad estructural a la paredLos aneurismas degenerativos o arterioscleróticos son los mas frecuentesLa proporción de incidencia abdominal : torácico es de 7:1 en hombres y es de 3:1 en mujeresJOURNAL OF VASCULAR SURGERYOctober Supplement 2009
  • 25.
    Riesgo de rupturaCrecimientomedio entre 0.2 cm y 0.4 cm anuales, con un aumento mayor para aneurismas > 5-6 cm de diámetro20% de los aneurismas por < 4 cm de diámetro aumentan su tamaño medio mas de 0.5 cm anuales9% se rompen los primeros meses sin expansión significativaEl riesgo de ruptura para un aneurisma con diámetro < 4 cm se estima en 2%, en > 5 cm se calcula entre 25 - 45% a los cinco añosJOURNAL OF VASCULAR SURGERYOctober Supplement 2009
  • 26.
    Ruptura de aneurismaUltrasoundCrin 3 (2008)83–91
  • 27.
    Cuadro clínicoSe desarrollanlentamente y a menudo son asintomáticosSi se expande rápidamente, se rompe o hay disección aórtica, los síntomas se pueden desarrollar de manera súbitaJOURNAL OF VASCULAR SURGERYOctober Supplement 2009
  • 28.
    Cuadro clínicoDolor enel abdomen o espalda intenso, repentino, persistente o constante, irradiado a ingle, glúteos o piernasDiaforesisNáuseas y vómitosTaquicardiaChoqueJOURNAL OF VASCULAR SURGERYOctober Supplement 2009
  • 29.
    Exploración físicaMasa pulsátil,sensible y dolorosa epigástrica o periumbilical, a la palpación, de pacientes delgados con aneurismas grandesSoplos en la auscultación de abdomenDebe también incluir la palpación de las arterias poplíteas y femorales (pulsos disminuidos)Tromboembolismo sintomático del 2-5% de los pacientes, asociado a trombos muralesJOURNAL OF VASCULAR SURGERYOctober Supplement 2009
  • 30.
    Trombo mural dentrodel aneurisma
  • 31.
    Diagnostico75% son asintomáticosen el momento del diagnósticoSon hallazgos casuales durante la exploración física rutinaria de un paciente como una masa pulsátilMas frecuentemente como resultado del empleo de técnicas diagnosticas (radiografía, ecografía o TAC ) con motivo de otra patologíaJOURNAL OF VASCULAR SURGERYOctober Supplement 2009
  • 32.
    DiagnosticoEco doppler color(dúplexscan) de la aorta abdominalTAC de abdomen
  • 33.
  • 34.
    AortografiaJOURNAL OF VASCULARSURGERYOctober Supplement 2009
  • 35.
    ECO DOPPLER COLORUltrasoundCrin 3 (2008)83–91
  • 36.
    TAC ABDOMINALSurg ClinN Am 91 (2011) 185–193
  • 37.
  • 38.
  • 39.
    Ultrasonido abdominalEs elmétodo de elección en un paciente con sospechaTiene una sensibilidad de casi el 100%, permite realizar mediciones en plano longitudinal y transverso, con una variabilidad de 0.6 cmNo es invasivo, no requiere medio de contraste, es accesible, seguroEs un estudio operador – dependienteDa información insuficiente para plantear la cirugía de reconstrucciónUltrasound Crin 3 (2008)83–91
  • 40.
    Ultrasound Crin 3(2008)83–91
  • 41.
    Ultrasonido abdominalEs imprecisoen determinar límites, así como en detectar mas del 50% de los casos, una vez que hay rupturaDa información  insuficiente sobre la vasculatura visceralDa información imprecisa en obesos, o con abdomen distendido por gas intestinal (2-3% de los casos)Es de elección como herramienta diagnóstica inicial y para seguimiento, en pacientes en los que no está indicada cirugía, en el momento del diagnósticoUltrasound Crin 3 (2008)83–91
  • 42.
    Placa de ateromay aneurisma en USGUltrasound Crin 3 (2008)83–91
  • 43.
    TAC abdominalMuy sensibley específico, particularmente cuando se combinan medio de contraste, cortes finos y reconstrucciones tridimensionales con mediciones perpendiculares a la línea media de la aortaDa información precisa sobre la forma y relaciones anatómicas de los vasos renales, iliacos y viscerales, así como la presencia de trombos murales, calcificaciones y ateroesclerosis oclusiva Se recomienda en caso de que se plantee tratamiento de reconstrucción aórticaSurg Clin N Am 91 (2011) 185–193
  • 45.
    TAC abdominalPuede darinformación errónea en el caso de aorta tortuosa, igual que la ecografíaInvasivo, pues requiere contrastes intravenosos y el uso de radiaciones ionizantesEs mas caro y de menor disponibilidad por lo que no se recomienda como técnica de screening inicialSurg Clin N Am 91 (2011) 185–193
  • 47.
    Resonancia Magnética deAbdomenEs el mejor método de imagenPermite realizar medidas muy precisas y buena correlación anatómica con vasos renales y  visceralesNo es invasiva, no utiliza radiaciones ionizantes y no necesita contrastes intravenososSurg Clin N Am 91 (2011) 185–193
  • 48.
  • 49.
    Resonancia Magnética deAbdomenEs costosa y de escasa disponibilidadNo es precisa en la identificación de enfermedad oclusiva arterial asociadaLimitaciones como pacientes portadores de marcapasos o necesidad de equipos de monitorizaciónSurg Clin N Am 91 (2011) 185–193
  • 50.
  • 51.
    AortografiaNo debe serde uso rutinario; no define el tamaño real del aneurisma debido a trombos intramurales que restringen el contraste a la parte central de la luz aórticaÚtil en pacientes > 50 años con historia familiar de aneurismas  aórticos (familiares de primer grado)Útil en pacientes > 65 años con enfermedad vascular periférica, (mayor incidencia de aneurisma aórtico en pacientes con  aneurismas de arterias periféricas)JOURNAL OF VASCULAR SURGERYOctober Supplement 2009
  • 53.
    Aortografia Indicaciones absolutas  a. asociaciónde hipertensión renovascular  b. fracaso renal inexplicable  c. síntomas compatibles con angina visceral  d. presencia de enfermedad oclusiva ileofemoral  e. presencia de aneurismas iliacos o poplíteos  f. situaciones especiales: sospecha de riñón en herradura por variantes en  la distribución de irrigación arterial renal, o colectomía previa para  visualizar la alteración de la vasculatura del colon remanenteJOURNAL OF VASCULAR SURGERYOctober Supplement 2009
  • 55.
  • 56.
    TratamientoLa reparación sereserva para aneurismas > 5 - 5.5 cms de diámetro; en aquellos que miden 3 – 4 cms, la tasa de crecimiento es de 10% anual, y se recomienda seguimiento anual con USGEn aneurismas > 4 cms, la tasa de crecimiento es mayor, por lo que se recomienda seguimiento cada 6 meses; en los aneurismas > 4.5 cms, se prefiere la TAC sobre el USG por su mayor precisiónJOURNAL OF VASCULAR SURGERYOctober Supplement 2009
  • 57.
    Tratamiento no quirúrgicoDejarde fumar (disminuye la tasa de crecimiento y ruptura)Control de la HAS, dislipidemia y DMUso de estatinas (enfermedad ateroesclerótica)Uso de propranolol, losartan, doxiciclinaEjercicio regularJOURNAL OF VASCULAR SURGERYOctober Supplement 2009
  • 58.
  • 59.
    Tratamiento quirúrgicoPuede realizarsede dos formas:Reparación quirúrgica abiertaReparación endovascularLa selección dependerá de la anatomía individual y de factores secundarios como la edad del paciente y los riesgos asociados a la anestesia y la cirugíaJOURNAL OF VASCULAR SURGERYOctober Supplement 2009
  • 61.
    Terapia endovascularEn septiembrede 1990 el Dr. Juan Carlos Parodi (argentino), concreto el primer procedimiento endovascular exitoso para el tratamiento de un aneurisma de aorta abdominal mediante la colocación de una endoprótesis
  • 63.
    Riesgo operatorioLa mortalidad perioperatoria (a 30 días) esta entre el 1 - 5% para aneurismas intactos y asintomáticos, elevándose hasta 18% en caso de cirugía de aneurisma sintomático integro y 50% de mortalidad en el aneurisma de aorta abdominal rotoDisminución de supervivencia a cinco años de hasta el 30% en pacientes con cardiopatía isquémicaEn la mortalidad tardía incluimos complicaciones como sépsis, aneurisma anastomótico y otras que completan 2% del totalJOURNAL OF VASCULAR SURGERYOctober Supplement 2009
  • 64.
    Contraindicaciones quirúrgicasLas contraindicacionespara cirugía electiva de reconstrucción aórtica son: 1.—Infarto de miocardio en los seis meses previos a cirugía 2.—Insuficiencia cardiaca congestiva intratable 3.—Angina intratable 4.—Insuficiencia respiratoria severa con disnea de reposo 5.—Enfermedad renal crónica severa 6.—ACVA previo con secuelas incapacitantes 7.—Expectativas de vida inferiores a 2 añosJOURNAL OF VASCULAR SURGERYOctober Supplement 2009
  • 65.
    Criterios de malpronostico postquirúrgicoEdad> 85 añosCardiológicosFracción eyección < 30%Insuficiencia cardiaca congestivaIAM recienteAneurisma VIEnfermedad valvular graveCardiopatía Isquémica sin posibilidad de revascularizaciónJOURNAL OF VASCULAR SURGERYOctober Supplement 2009
  • 66.
    Criterios de malpronostico postquirúrgicoPulmonarOxígeno domiciliarioPaO2 < 60 mmHg basalFEV1 < 1 litroRenalCreatinina sérica > 3 mg/dlHepáticoCirrosis con ascitis (biopsia)AbdominalFibrosis retroperitoneal difusaJOURNAL OF VASCULAR SURGERYOctober Supplement 2009
  • 67.
    ComplicacionesSangrado excesivoTrombosis delinjertoEmbolizacion distalIsquemia intestinalAfectación renalInfección de la herida quirúrgicaInfección de la prótesisFistula aorto-entericaPancreatitisColecistitis agudaJOURNAL OF VASCULAR SURGERYOctober Supplement 2009
  • 68.
    Fistula aorto-entericaSurg ClinN Am 91 (2011) 185–193
  • 69.
    Hematoma retroperitoneal porruptura de aneurisma de la aortaSurg Clin N Am 91 (2011) 185–193
  • 71.
    ConclusionesEl aneurisma deaorta abdominal continua siendo una entidad subdiagnosticada y tratada hasta que se presenta como un cuadro agudo urgenteLos estudios de imagen son excelentes herramientas para su detección, lo que permitiría hacer un screening en pacientes con múltiples factores de riesgoEl principal manejo continua siendo quirúrgico, sin menospreciar el poder de la prevención y cuidado de comorbilidades y factores de riesgo asociados
  • 72.
    Bibliografía adicional1. Golledge J, Norman PE: Pathophysiology ofabdominal aortic aneurysm relevant to improvements in patients' management.  Curr Opin Cardiol  2009; 24:532.2. Kim LG, P Scott RA, Ashton HA, Thompson SGMulticentre Aneurysm Screening Study Group: A sustained mortality benefit from screening for abdominal aortic aneurysm.  Ann Intern Med  2007; 146:699.3.  Cosford PA, Leng GC: Screening for abdominal aortic aneurysm. Cochrane Database Syst Rev (2):CD002945, 2007.4. Fleming C, Whitlock EP, Beil TL, Lederle FA: Screening for abdominal aortic aneurysm: A best-evidence systematic review for the U.S. Preventive Services Task Force.  Ann Intern Med  2005; 142:203.5. Chaikof EL, Brewster DC, Dalman RL, et al: The care of patients with an abdominal aortic aneurysm: The Society for Vascular Surgery practice guidelines.  J Vasc Surg  2009; 50(Suppl):S2.6. Helgadottir A, Thorleifsson G, Magnusson KP, et al: The same sequence variant on 9p21 associates with myocardial infarction, abdominal aortic aneurysm and intracranial aneurysm.  Nat Genet  2008; 40:217.7. Rayt HS, Sutton AJ, London NJ, et al: A systematic review and meta-analysis of endovascular repair (EVAR) for ruptured abdominal aortic aneurysm.  Eur J Vasc Endovasc Surg  2008; 36:536.