Cáncer de páncreas Dr. Héctor Marín Vera
 
Generalidades Una de las principales causas de muerte Menos de 2 % de los cánceres a nivel mundial La mayoría exócrinas  1.5-1 (H:M) Quinto lugar en México en hombres Séptimo lugar en mujeres Cáncer de páncreas.Rev Gastroenterol Méx, Vol. 72, Supl 2, 2007
Generalidades Más del 80 % se diagnostican en estadios avanzados Raro encontrarlo en las primeras 3 décadas de vida Máximo: 60-70 años Cáncer de páncreas.Rev Gastroenterol Méx, Vol. 72, Supl 2, 2007
Epidemiología. Morbilidad  Fuente: Globocan 2002 (2005) Elaboración: FCAECC
Epidemiología Fuente: Globocan 2002 (2005) Elaboración: FCAECC
Epidemiología. Morbilidad Fuente: Globocan 2002 (2005) Elaboración: FCAECC
Epidemiología. Mortalidad Fuente: Globocan 2002 (2005) Elaboración: FCAECC
Epidemiología Fuente: Globocan 2002 (2005) Elaboración: FCAECC
Mortalidad Fuente: Globocan 2002 (2005) Elaboración: FCAECC
Morbilidad Fuente: Globocan 2002 (2005) Elaboración: FCAECC
Mortalidad Fuente: Globocan 2002 (2005) Elaboración: FCAECC
Morbilidad Fuente: Globocan 2002 (2005) Elaboración: FCAECC
Mortalidad Fuente: Globocan 2002 (2005) Elaboración: FCAECC
Epidemiología Fuente: Globocan 2002 (2005) Elaboración: FCAECC
Epidemiología Fuente: Globocan 2002 (2005) Elaboración: FCAECC
2009 Estimated US Cancer Cases* *Excludes basal and squamous cell skin cancers and in situ carcinomas except urinary bladder. Source: American Cancer Society, 2009. Men 766,130 Women 713,220 27% Breast 14% Lung & bronchus 10% Colon & rectum 6% Uterine corpus  4% Non-Hodgkin   lymphoma 4% Melanoma of skin   4%  Thyroid 3% Kidney & renal pelvis 3% Ovary 3% Pancreas (10) 22% All Other Sites Prostate 25% Lung & bronchus 15% Colon & rectum 10% Urinary bladder 7% Melanoma of skin 5% Non-Hodgkin 5%  lymphoma Kidney & renal pelvis 5% Leukemia  3% Oral cavity 3% Pancreas (10) 3% All Other Sites 19%
2009 Estimated US Cancer Deaths* ONS=Other nervous system. Source: American Cancer Society, 2009. Men 292,540 Women 269,800 26% Lung & bronchus 15% Breast 9% Colon & rectum   6% Pancreas 5% Ovary 4% Non-Hodgkin   lymphoma   3% Leukemia 3% Uterine corpus 2%  Liver & intrahepatic bile duct 2% Brain/ONS 25%  All other sites Lung & bronchus 30% Prostate 9% Colon & rectum  9% Pancreas 6% Leukemia 4% Liver & intrahepatic 4% bile duct Esophagus 4% Urinary bladder 3%  Non-Hodgkin  3%  lymphoma  Kidney & renal pelvis 3% All other sites  25%
Epidemiología en México En el año 2003 se informaron 422 casos con una tasa de 0.4 por cada 100000 habitantes  3100 defunciones (4.8 por cada 100000) 34º  lugar de incidencia  Cáncer de páncreas. Manual de oncología INcan. Pag 650
Epidemiología en México Fuente: INEGI. Estadísticas Vitales, Base de datos 2005
7º
Factores de Riesgo Susceptibilidad genética (10 %) Tabaquismo (25 %) DM Edad avanzada Raza negra  Sinérgicas Cáncer de páncreas.Rev Gastroenterol Méx, Vol. 72, Supl 2, 2007
Factores de riesgo No se ha establecido un gen definitivo relacionado con éste cáncer  Aumenta el riesgo con cada miembro de una familia que es afectado El antecedente familiar de cualquier tumor Cáncer de páncreas.Rev Gastroenterol Méx, Vol. 72, Supl 2, 2007
Factores hereditarios CÁNCER DE PÁNCREAS FAMILIAR Por lo menos 2 familiares de primer grado  Tres o más familiares de cualquier grado o alguno de ellos <50 años AD Mutación del gen  palladin??  …4q32-34 Cáncer de páncreas.Rev Gastroenterol Méx, Vol. 72, Supl 2, 2007
Factores hereditarios PANCREATITIS HEREDITARIA Episodios frecuentes de pancreatitis aguda Mutación del gen del tripsinógeno catiónico (PRSSI) : 70 % mutación de R122H y N291 40 % de riesgo  Riesgo triplicado en fumadores Cáncer de páncreas.Rev Gastroenterol Méx, Vol. 72, Supl 2, 2007
Factores hereditarios SINDROME DE PEUTZ-JEGHER AD Síndrome hereditario que tiene mayor riesgo de desarrollo de cáncer Mutación STK1/LKB1 Cáncer de páncreas.Rev Gastroenterol Méx, Vol. 72, Supl 2, 2007
 
Factores hereditarios CANCER DE MAMA/OVARIO ASOCIADO A BRCA1/BRCA2 AD 19 % con dos familiares 17 % con 3 o más Cáncer de páncreas.Rev Gastroenterol Méx, Vol. 72, Supl 2, 2007
Factores hereditarios POLIPOMATOSIS ADENOMATOSA FAMILIAR APC 5q21 AD  CANCER COLORRECTAL HEREDITARIO NO ASOCIADO A PÓLIPOS (LYNCH II) Cáncer de páncreas.Rev Gastroenterol Méx, Vol. 72, Supl 2, 2007
Factores hereditarios NEM1 Síndrome de Von Hippel-Lindau Cáncer de páncreas. Manual de Oncología; Granados García. Pag 649-659
Enfermedades y otras DM2 80 % tienen intolerancia a la glucosa 39 % se diagnostican al mismo tiempo que se detecta el cáncer  Incrementa la resistencia a la insulina Proinsulina-insulina  Hiperinsulinemia, hiperglucemia, ac grasos libres en sangre Cáncer de páncreas.Rev Gastroenterol Méx, Vol. 72, Supl 2, 2007
Obesidad IMC>30 Riesgo de 19 % Mayor de 40 años Resistencia a la insulina IGF-1 Estrés oxidativo  Cáncer de páncreas.Rev Gastroenterol Méx, Vol. 72, Supl 2, 2007
Colecistectomía y gastrectomía Colelitiasis Colecistectomía Cáncer de páncreas No hay suficiente evidencia  Gastrectomía parcial??  Cáncer de páncreas.Rev Gastroenterol Méx, Vol. 72, Supl 2, 2007
Factores exógenos Tabaquismo: 25 % Aminas aromáticas y aminas heterocíclicas con expresión de polimorfismo  P4501A2 , NAT1 y NAT2. NAT1 : mujeres y no fumadores  Sinergismo con la genética Cáncer de páncreas.Rev Gastroenterol Méx, Vol. 72, Supl 2, 2007
RIESGO RELATIVO NUNCA   FUMARON # DE CIGARRILLOS/DÍA
Factores exógenos Dieta?? Café??? Alcohol?? Exposición ambiental *DDT , desengrasantes de metales, tintorería Cáncer de páncreas.Rev Gastroenterol Méx, Vol. 72, Supl 2, 2007
Otros Esteroides sexuales : poco impacto para detección o tratamiento Receptores estrógeno y progesterona Aspirina y AINE?? *5 aspirinas a la semana por más de 10 años  Cáncer de páncreas.Rev Gastroenterol Méx, Vol. 72, Supl 2, 2007
TIPOS HISTOLÓGICOS DEL CARCINOMA PANCREÁTICO MALIGNOS MALIGNIDAD LIMÍTROFE Carcinoma de células ductales Tumor quístico mucinoso con displasia Carcinoma de células acinares Tumor intraductal papilar mucinoso con atipia Carcinoma papilar mucinoso Tumor sólido seudopapilar Carcinoma de células en anillo de sello Carcinoma adenoescamoso Carcinoma indiferenciado Carcinoma de células gigantes Carcinoma mixto (ductal, acinar, endócrino) Carcinoma de células pequeñas No clasificado Pancreatoblastoma Neoplasia papilar quística
 
normal pancreatic duct adenocarcinoma Model: Pancreatic cancer develops in a multistep process The end product is an aggressive  cancer. taken from R. Hruban at Johns Hopkins Distinct stages of pancreatic cancer development PanIN-1A PanIN-1B PanIN-2 PanIN-3
Patología Molecular Cáncer de páncreas. Gastroentrolo villalobos pag 621-627 Principales oncogenes mutados en el cáncer de páncreas Oncogen Localización cromosomal Frecuencia de mutación (%) K-ras 12 p 75-100 % cERB 17 q 65-70 % AKT2 19 q 10-20 % Ki-67 6 q 10 %
Cáncer de páncreas.  Gastroentrolo villalobos pag 621-627 Genes supresores tumorales inactivados en el Cáncer de Páncreas Gen supresor Localización cromosomal Frecuencia (%) p53 17p 40-75 p16 9p 27-98 p19 9p 27-82 CDKN2B 9p 27-48 MADH4 18q 50-55 FHIT 3p 66-70 RBI 13q 0-10 BRCA2 13q 7-10 STK11 19q 5 MAP2K4 17p 4 MLH1 3p 3 MSI+ 3p 3 ALK5 9p 1 MSI- 3p 1
Patología molecular FCE FCVE FCF IL-1, IL-6, TNF- α ,  IL-8 NFkB,  AP-1 Cáncer de páncreas.  Gastroentrolo villalobos pag 621-627
Patología molecular Sobreexpresión de COX-2 PGE2 MMP2 BLC-2 Anoikis  Cáncer de páncreas.  Gastroentrolo villalobos pag 621-627
British Journal of  Cancer (2004) 91, 1633-1638
Frontiers in Bioscience 3, d1148-1160, November 15, 1998
British Journal of  Cancer (2004) 91, 1633-1638
Presentación clínica 60 % se presentan en la cabeza del páncreas Sintomatología por efecto de masa más que por disfunción exo/endonina Dependen del tamaño y localización Neoplasias páncreas. Rosesch Dietlen pag 545-560
Presentación clínica ICTERICIA: 50%. (cabeza: 80%).    Prurito, coluria, acolia. Progresiva. DOLOR: Precoz, epigástrico, transfictivo o dorsal, sin relación con la función TD. DIARREA: con/sin esteatorrea. ATAQUE AL ESTADO GENERAL: Anorexia, pérdida de peso, hipovitaminosis Dr. Nogueira de Rojas
Presentación clínica DIABETES: Tardía, descontrol en estable. Desconocida. NEUROSIQUIÁTRICOS: Angustia, depresión, psicosis, ideas suicidas. Hemorragia TD, nódulos SC, ascitis, tromboflebitis migratorias. EF: General. Ictericia, hepatomegalia, ascitis, esplenomegalia, tumor palpable Dr. Nogueira de Rojas
Adaptado de Robert Freelove, EP. Pancreatic cancer: diagnosis and management. American Academy of Family Physicians, 2006 Prevalencia de síntomas de cáncer pancreático CABEZA DEL PÁNCREAS CUERPO Y COLA SÍNTOMAS PACIENTES (%) SÍNTOMAS PACIENTES (%) Pérdida de peso 92 Pérdida de peso 100 Ictericia 82 Dolor 87 Dolor 72 Náusea  43 Anorexia 64 Debilidad 42 Coluria 63 Vómito 37 Acolia 62 Anorexia 33 Náusea 45 Constipación  27 Vómito 37 Intolerancia v.o 7 Debilidad  35 Ictericia 7
Presentación clínica Signo de Courvoisier en 25 % Paniculitis nodular sistémica Ganglio de Virchow Ganglio de la hermana María José Neoplasias páncreas. Rosesch Dietlen pag 545-560
Diseminación Directa: Conducto biliar, duodeno, estómago, bazo, colon, glándula suprarrenal, vasos sanguíneos Linfática: Ganglios peripancreáticos, pancreatoduedenales, hilio hepático, hilio esplénico, tronco celiaco Hematógena: Hígado, pulmón
Estadificación TUMOR PRIMARIO TX: no se puede evaluar T0: No existe evidencia de tumor primario T1: Tumor limitado al páncreas, con diámetro máximo menor o igual a 2 cm T2: Tumor limitado al páncreas, de diámetro mayor de 2 cm T3: El tumor se extiende directamente a cualquiera de las siguientes estructuras: duodeno, colédoco o tejidos peripancreáticos T4: Tumor extiende a cualesquiera de: estómago, bazo, colon, grandes vasos adyacentes Cáncer de páncreas. Manual de Oncología; Granados García. Pag 649-659
Estadificación GANGLIOS REGIONALES NX: No es posible evaluar los ganglios regionales N0: No existen ganglios regonales metastásicos METÁSTASIS A GANGLIOS REGIONALES N1: Metástasis en un solo ganglio regional METÁSTASIS A DISTANCIA M0: Sin metástasis a distancia M1: Metástasis a distancia Cáncer de páncreas. Manual de Oncología; Granados García. Pag 649-659
 
Diagnóstico CLÍNICO: Avanzado e incurable. LABORATORIO: Anemia, desnutrición, obstrucción biliar, hiperamilasemia. US: Sensibilidad: 80%, especificidad: 75%. (>3 cm). Ganglios, dilatación VB. TAC: Estudio inicial de elección. CPRE: Obstrucción del Wirsung. Dr. Nogueira de Rojas
Diagnóstico P.F.H---Ictericia obstructiva Tiempos de coagulación  Ca19-9: muy poco útil como escrutinio. *Precisión del 80 % si >90 u/ml *95 % si es >200 u/ml *con estudios de imagen hasta 100 % ACE: muy poco específico  Neoplasias páncreas. Rosesch Dietlen pag 545-560
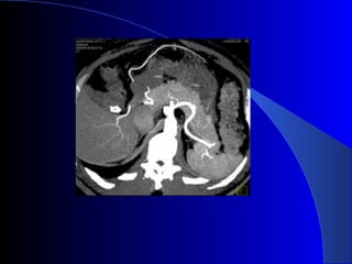
Estudios de imagen USG abdominal TAC helicoidal dinámica en tres fases: estándar de oro para diagnóstico y valorar resecabilidad CPRE RMN TEP Neoplasias páncreas. Rosesch Dietlen pag 545-560
 
 
 
 
La CPRE en el cáncer del páncreas Colédoco dilatado Wirsung deforme
 
Laparoscopia Para estadiaje de tumores potencialmente resecables  Valora la extensión (implantes peritoneales) Cáncer de páncreas. Manual de Oncología; Granados García. Pag 649-659
 
Pronóstico Menos del 2 % sobreviven 5 años 8 % a 2 años Menos del 50 % sobreviven 3 o más después del diagnóstico Menos de 3 cm a 5 años: 28 % Ganglios negativos a 36 meses es 25-30 % Cáncer de páncreas.  Gastroentrolo villalobos pag 621-627 Cáncer de páncreas. Manual de Oncología; Granados García. Pag 649-659
Pronóstico Con ganglios positivos la supervivencia es de 6 a 8 meses Margen quirúrgico positivo: 8 % No hay supervivientes a 4 años entre los enfermos con metástasis a distancia Cáncer de páncreas. Manual de Oncología; Granados García. Pag 649-659
Seguimiento Los enfermos tratados deben someterse a control cada 2 a 3 meses, con examen físico completo, radiografía de tórax, P.F.H y TC, de acuerdo con el criterio del médico tratante. Cáncer de páncreas. Manual de Oncología; Granados García. Pag 649-659
Resumen terapéutico ESTADIO I:  Resección quirúrgica, pero solo 20 % tiene masa resecable. Con 5-FU y radiación regional coadyuvante alcanza 40 % ESTADIO II:  Casi todos son irresecables, algunos se benefician de la resección. Colocación de endoprótesis transhepática o endoscópica para ictericia. Qt o Rt paliativas (opcional) Cáncer de páncreas. Manual de Oncología; Granados García. Pag 649-659
Resumen terapéutico ESTADIO III: Procedimientos quirúrgicos o endoscópicos paliativos. Alternativa (QtRt 5-FU) ESTADIO IV: Paliativo…..ablación paliativa, analgésicos, Rt externa, colocación de endoprótesis, esquemas de Qt o bloqueo químico de nervios esplácnicos Cáncer de páncreas. Manual de Oncología; Granados García. Pag 649-659
GRACIAS!!!!

CáNcer De PáNcreas

  • 1.
    Cáncer de páncreasDr. Héctor Marín Vera
  • 2.
  • 3.
    Generalidades Una delas principales causas de muerte Menos de 2 % de los cánceres a nivel mundial La mayoría exócrinas 1.5-1 (H:M) Quinto lugar en México en hombres Séptimo lugar en mujeres Cáncer de páncreas.Rev Gastroenterol Méx, Vol. 72, Supl 2, 2007
  • 4.
    Generalidades Más del80 % se diagnostican en estadios avanzados Raro encontrarlo en las primeras 3 décadas de vida Máximo: 60-70 años Cáncer de páncreas.Rev Gastroenterol Méx, Vol. 72, Supl 2, 2007
  • 5.
    Epidemiología. Morbilidad Fuente: Globocan 2002 (2005) Elaboración: FCAECC
  • 6.
    Epidemiología Fuente: Globocan2002 (2005) Elaboración: FCAECC
  • 7.
    Epidemiología. Morbilidad Fuente:Globocan 2002 (2005) Elaboración: FCAECC
  • 8.
    Epidemiología. Mortalidad Fuente:Globocan 2002 (2005) Elaboración: FCAECC
  • 9.
    Epidemiología Fuente: Globocan2002 (2005) Elaboración: FCAECC
  • 10.
    Mortalidad Fuente: Globocan2002 (2005) Elaboración: FCAECC
  • 11.
    Morbilidad Fuente: Globocan2002 (2005) Elaboración: FCAECC
  • 12.
    Mortalidad Fuente: Globocan2002 (2005) Elaboración: FCAECC
  • 13.
    Morbilidad Fuente: Globocan2002 (2005) Elaboración: FCAECC
  • 14.
    Mortalidad Fuente: Globocan2002 (2005) Elaboración: FCAECC
  • 15.
    Epidemiología Fuente: Globocan2002 (2005) Elaboración: FCAECC
  • 16.
    Epidemiología Fuente: Globocan2002 (2005) Elaboración: FCAECC
  • 17.
    2009 Estimated USCancer Cases* *Excludes basal and squamous cell skin cancers and in situ carcinomas except urinary bladder. Source: American Cancer Society, 2009. Men 766,130 Women 713,220 27% Breast 14% Lung & bronchus 10% Colon & rectum 6% Uterine corpus 4% Non-Hodgkin lymphoma 4% Melanoma of skin 4% Thyroid 3% Kidney & renal pelvis 3% Ovary 3% Pancreas (10) 22% All Other Sites Prostate 25% Lung & bronchus 15% Colon & rectum 10% Urinary bladder 7% Melanoma of skin 5% Non-Hodgkin 5% lymphoma Kidney & renal pelvis 5% Leukemia 3% Oral cavity 3% Pancreas (10) 3% All Other Sites 19%
  • 18.
    2009 Estimated USCancer Deaths* ONS=Other nervous system. Source: American Cancer Society, 2009. Men 292,540 Women 269,800 26% Lung & bronchus 15% Breast 9% Colon & rectum 6% Pancreas 5% Ovary 4% Non-Hodgkin lymphoma 3% Leukemia 3% Uterine corpus 2% Liver & intrahepatic bile duct 2% Brain/ONS 25% All other sites Lung & bronchus 30% Prostate 9% Colon & rectum 9% Pancreas 6% Leukemia 4% Liver & intrahepatic 4% bile duct Esophagus 4% Urinary bladder 3% Non-Hodgkin 3% lymphoma Kidney & renal pelvis 3% All other sites 25%
  • 19.
    Epidemiología en MéxicoEn el año 2003 se informaron 422 casos con una tasa de 0.4 por cada 100000 habitantes 3100 defunciones (4.8 por cada 100000) 34º lugar de incidencia Cáncer de páncreas. Manual de oncología INcan. Pag 650
  • 20.
    Epidemiología en MéxicoFuente: INEGI. Estadísticas Vitales, Base de datos 2005
  • 21.
  • 22.
    Factores de RiesgoSusceptibilidad genética (10 %) Tabaquismo (25 %) DM Edad avanzada Raza negra Sinérgicas Cáncer de páncreas.Rev Gastroenterol Méx, Vol. 72, Supl 2, 2007
  • 23.
    Factores de riesgoNo se ha establecido un gen definitivo relacionado con éste cáncer Aumenta el riesgo con cada miembro de una familia que es afectado El antecedente familiar de cualquier tumor Cáncer de páncreas.Rev Gastroenterol Méx, Vol. 72, Supl 2, 2007
  • 24.
    Factores hereditarios CÁNCERDE PÁNCREAS FAMILIAR Por lo menos 2 familiares de primer grado Tres o más familiares de cualquier grado o alguno de ellos <50 años AD Mutación del gen palladin?? …4q32-34 Cáncer de páncreas.Rev Gastroenterol Méx, Vol. 72, Supl 2, 2007
  • 25.
    Factores hereditarios PANCREATITISHEREDITARIA Episodios frecuentes de pancreatitis aguda Mutación del gen del tripsinógeno catiónico (PRSSI) : 70 % mutación de R122H y N291 40 % de riesgo Riesgo triplicado en fumadores Cáncer de páncreas.Rev Gastroenterol Méx, Vol. 72, Supl 2, 2007
  • 26.
    Factores hereditarios SINDROMEDE PEUTZ-JEGHER AD Síndrome hereditario que tiene mayor riesgo de desarrollo de cáncer Mutación STK1/LKB1 Cáncer de páncreas.Rev Gastroenterol Méx, Vol. 72, Supl 2, 2007
  • 27.
  • 28.
    Factores hereditarios CANCERDE MAMA/OVARIO ASOCIADO A BRCA1/BRCA2 AD 19 % con dos familiares 17 % con 3 o más Cáncer de páncreas.Rev Gastroenterol Méx, Vol. 72, Supl 2, 2007
  • 29.
    Factores hereditarios POLIPOMATOSISADENOMATOSA FAMILIAR APC 5q21 AD CANCER COLORRECTAL HEREDITARIO NO ASOCIADO A PÓLIPOS (LYNCH II) Cáncer de páncreas.Rev Gastroenterol Méx, Vol. 72, Supl 2, 2007
  • 30.
    Factores hereditarios NEM1Síndrome de Von Hippel-Lindau Cáncer de páncreas. Manual de Oncología; Granados García. Pag 649-659
  • 31.
    Enfermedades y otrasDM2 80 % tienen intolerancia a la glucosa 39 % se diagnostican al mismo tiempo que se detecta el cáncer Incrementa la resistencia a la insulina Proinsulina-insulina Hiperinsulinemia, hiperglucemia, ac grasos libres en sangre Cáncer de páncreas.Rev Gastroenterol Méx, Vol. 72, Supl 2, 2007
  • 32.
    Obesidad IMC>30 Riesgode 19 % Mayor de 40 años Resistencia a la insulina IGF-1 Estrés oxidativo Cáncer de páncreas.Rev Gastroenterol Méx, Vol. 72, Supl 2, 2007
  • 33.
    Colecistectomía y gastrectomíaColelitiasis Colecistectomía Cáncer de páncreas No hay suficiente evidencia Gastrectomía parcial?? Cáncer de páncreas.Rev Gastroenterol Méx, Vol. 72, Supl 2, 2007
  • 34.
    Factores exógenos Tabaquismo:25 % Aminas aromáticas y aminas heterocíclicas con expresión de polimorfismo P4501A2 , NAT1 y NAT2. NAT1 : mujeres y no fumadores Sinergismo con la genética Cáncer de páncreas.Rev Gastroenterol Méx, Vol. 72, Supl 2, 2007
  • 35.
    RIESGO RELATIVO NUNCA FUMARON # DE CIGARRILLOS/DÍA
  • 36.
    Factores exógenos Dieta??Café??? Alcohol?? Exposición ambiental *DDT , desengrasantes de metales, tintorería Cáncer de páncreas.Rev Gastroenterol Méx, Vol. 72, Supl 2, 2007
  • 37.
    Otros Esteroides sexuales: poco impacto para detección o tratamiento Receptores estrógeno y progesterona Aspirina y AINE?? *5 aspirinas a la semana por más de 10 años Cáncer de páncreas.Rev Gastroenterol Méx, Vol. 72, Supl 2, 2007
  • 38.
    TIPOS HISTOLÓGICOS DELCARCINOMA PANCREÁTICO MALIGNOS MALIGNIDAD LIMÍTROFE Carcinoma de células ductales Tumor quístico mucinoso con displasia Carcinoma de células acinares Tumor intraductal papilar mucinoso con atipia Carcinoma papilar mucinoso Tumor sólido seudopapilar Carcinoma de células en anillo de sello Carcinoma adenoescamoso Carcinoma indiferenciado Carcinoma de células gigantes Carcinoma mixto (ductal, acinar, endócrino) Carcinoma de células pequeñas No clasificado Pancreatoblastoma Neoplasia papilar quística
  • 39.
  • 40.
    normal pancreatic ductadenocarcinoma Model: Pancreatic cancer develops in a multistep process The end product is an aggressive cancer. taken from R. Hruban at Johns Hopkins Distinct stages of pancreatic cancer development PanIN-1A PanIN-1B PanIN-2 PanIN-3
  • 41.
    Patología Molecular Cáncerde páncreas. Gastroentrolo villalobos pag 621-627 Principales oncogenes mutados en el cáncer de páncreas Oncogen Localización cromosomal Frecuencia de mutación (%) K-ras 12 p 75-100 % cERB 17 q 65-70 % AKT2 19 q 10-20 % Ki-67 6 q 10 %
  • 42.
    Cáncer de páncreas. Gastroentrolo villalobos pag 621-627 Genes supresores tumorales inactivados en el Cáncer de Páncreas Gen supresor Localización cromosomal Frecuencia (%) p53 17p 40-75 p16 9p 27-98 p19 9p 27-82 CDKN2B 9p 27-48 MADH4 18q 50-55 FHIT 3p 66-70 RBI 13q 0-10 BRCA2 13q 7-10 STK11 19q 5 MAP2K4 17p 4 MLH1 3p 3 MSI+ 3p 3 ALK5 9p 1 MSI- 3p 1
  • 43.
    Patología molecular FCEFCVE FCF IL-1, IL-6, TNF- α , IL-8 NFkB, AP-1 Cáncer de páncreas. Gastroentrolo villalobos pag 621-627
  • 44.
    Patología molecular Sobreexpresiónde COX-2 PGE2 MMP2 BLC-2 Anoikis Cáncer de páncreas. Gastroentrolo villalobos pag 621-627
  • 45.
    British Journal of Cancer (2004) 91, 1633-1638
  • 46.
    Frontiers in Bioscience3, d1148-1160, November 15, 1998
  • 47.
    British Journal of Cancer (2004) 91, 1633-1638
  • 48.
    Presentación clínica 60% se presentan en la cabeza del páncreas Sintomatología por efecto de masa más que por disfunción exo/endonina Dependen del tamaño y localización Neoplasias páncreas. Rosesch Dietlen pag 545-560
  • 49.
    Presentación clínica ICTERICIA:50%. (cabeza: 80%). Prurito, coluria, acolia. Progresiva. DOLOR: Precoz, epigástrico, transfictivo o dorsal, sin relación con la función TD. DIARREA: con/sin esteatorrea. ATAQUE AL ESTADO GENERAL: Anorexia, pérdida de peso, hipovitaminosis Dr. Nogueira de Rojas
  • 50.
    Presentación clínica DIABETES:Tardía, descontrol en estable. Desconocida. NEUROSIQUIÁTRICOS: Angustia, depresión, psicosis, ideas suicidas. Hemorragia TD, nódulos SC, ascitis, tromboflebitis migratorias. EF: General. Ictericia, hepatomegalia, ascitis, esplenomegalia, tumor palpable Dr. Nogueira de Rojas
  • 51.
    Adaptado de RobertFreelove, EP. Pancreatic cancer: diagnosis and management. American Academy of Family Physicians, 2006 Prevalencia de síntomas de cáncer pancreático CABEZA DEL PÁNCREAS CUERPO Y COLA SÍNTOMAS PACIENTES (%) SÍNTOMAS PACIENTES (%) Pérdida de peso 92 Pérdida de peso 100 Ictericia 82 Dolor 87 Dolor 72 Náusea 43 Anorexia 64 Debilidad 42 Coluria 63 Vómito 37 Acolia 62 Anorexia 33 Náusea 45 Constipación 27 Vómito 37 Intolerancia v.o 7 Debilidad 35 Ictericia 7
  • 52.
    Presentación clínica Signode Courvoisier en 25 % Paniculitis nodular sistémica Ganglio de Virchow Ganglio de la hermana María José Neoplasias páncreas. Rosesch Dietlen pag 545-560
  • 53.
    Diseminación Directa: Conductobiliar, duodeno, estómago, bazo, colon, glándula suprarrenal, vasos sanguíneos Linfática: Ganglios peripancreáticos, pancreatoduedenales, hilio hepático, hilio esplénico, tronco celiaco Hematógena: Hígado, pulmón
  • 54.
    Estadificación TUMOR PRIMARIOTX: no se puede evaluar T0: No existe evidencia de tumor primario T1: Tumor limitado al páncreas, con diámetro máximo menor o igual a 2 cm T2: Tumor limitado al páncreas, de diámetro mayor de 2 cm T3: El tumor se extiende directamente a cualquiera de las siguientes estructuras: duodeno, colédoco o tejidos peripancreáticos T4: Tumor extiende a cualesquiera de: estómago, bazo, colon, grandes vasos adyacentes Cáncer de páncreas. Manual de Oncología; Granados García. Pag 649-659
  • 55.
    Estadificación GANGLIOS REGIONALESNX: No es posible evaluar los ganglios regionales N0: No existen ganglios regonales metastásicos METÁSTASIS A GANGLIOS REGIONALES N1: Metástasis en un solo ganglio regional METÁSTASIS A DISTANCIA M0: Sin metástasis a distancia M1: Metástasis a distancia Cáncer de páncreas. Manual de Oncología; Granados García. Pag 649-659
  • 56.
  • 57.
    Diagnóstico CLÍNICO: Avanzadoe incurable. LABORATORIO: Anemia, desnutrición, obstrucción biliar, hiperamilasemia. US: Sensibilidad: 80%, especificidad: 75%. (>3 cm). Ganglios, dilatación VB. TAC: Estudio inicial de elección. CPRE: Obstrucción del Wirsung. Dr. Nogueira de Rojas
  • 58.
    Diagnóstico P.F.H---Ictericia obstructivaTiempos de coagulación Ca19-9: muy poco útil como escrutinio. *Precisión del 80 % si >90 u/ml *95 % si es >200 u/ml *con estudios de imagen hasta 100 % ACE: muy poco específico Neoplasias páncreas. Rosesch Dietlen pag 545-560
  • 59.
    Estudios de imagenUSG abdominal TAC helicoidal dinámica en tres fases: estándar de oro para diagnóstico y valorar resecabilidad CPRE RMN TEP Neoplasias páncreas. Rosesch Dietlen pag 545-560
  • 60.
  • 61.
  • 62.
  • 63.
  • 64.
    La CPRE enel cáncer del páncreas Colédoco dilatado Wirsung deforme
  • 65.
  • 66.
    Laparoscopia Para estadiajede tumores potencialmente resecables Valora la extensión (implantes peritoneales) Cáncer de páncreas. Manual de Oncología; Granados García. Pag 649-659
  • 67.
  • 68.
    Pronóstico Menos del2 % sobreviven 5 años 8 % a 2 años Menos del 50 % sobreviven 3 o más después del diagnóstico Menos de 3 cm a 5 años: 28 % Ganglios negativos a 36 meses es 25-30 % Cáncer de páncreas. Gastroentrolo villalobos pag 621-627 Cáncer de páncreas. Manual de Oncología; Granados García. Pag 649-659
  • 69.
    Pronóstico Con gangliospositivos la supervivencia es de 6 a 8 meses Margen quirúrgico positivo: 8 % No hay supervivientes a 4 años entre los enfermos con metástasis a distancia Cáncer de páncreas. Manual de Oncología; Granados García. Pag 649-659
  • 70.
    Seguimiento Los enfermostratados deben someterse a control cada 2 a 3 meses, con examen físico completo, radiografía de tórax, P.F.H y TC, de acuerdo con el criterio del médico tratante. Cáncer de páncreas. Manual de Oncología; Granados García. Pag 649-659
  • 71.
    Resumen terapéutico ESTADIOI: Resección quirúrgica, pero solo 20 % tiene masa resecable. Con 5-FU y radiación regional coadyuvante alcanza 40 % ESTADIO II: Casi todos son irresecables, algunos se benefician de la resección. Colocación de endoprótesis transhepática o endoscópica para ictericia. Qt o Rt paliativas (opcional) Cáncer de páncreas. Manual de Oncología; Granados García. Pag 649-659
  • 72.
    Resumen terapéutico ESTADIOIII: Procedimientos quirúrgicos o endoscópicos paliativos. Alternativa (QtRt 5-FU) ESTADIO IV: Paliativo…..ablación paliativa, analgésicos, Rt externa, colocación de endoprótesis, esquemas de Qt o bloqueo químico de nervios esplácnicos Cáncer de páncreas. Manual de Oncología; Granados García. Pag 649-659
  • 73.

Notas del editor

  • #4 Las neoplasias endócrinas oscilan alrededor del 8 % de los tumores endocrinos pancreaticos
  • #8 Número estimado de los principales cánceres en el mundo
  • #18 Now we will turn our attention to the number of new cancers anticipated in the US this year. It is estimated that about 1.5 million new cases of cancer will be diagnosed in 2009. Cancers of the prostate and breast will be the most frequently diagnosed cancers in men and women, respectively, followed by lung and colorectal cancers in both men and in women.
  • #19 Lung cancer is, by far, the most common fatal cancer in men (30%), followed by prostate (9%), and colon &amp; rectum (9%). In women, lung (26%), breast (15%), and colon &amp; rectum (9%) are the leading sites of cancer death.
  • #20 Las discrepancias anteriores se debe a un registro deficiente de casos nuevos por irresecabilidad.
  • #22 En irapuato, ocupa el octavo lugar en mortalidad por cáncer
  • #23 Los factores anteriores pueden compartir vías de carcinogénesis
  • #25 Cuando se afectan al menos 2 familiares existe 18 veces más de riesgo de desarrollar cáncer en familiares de primer grado. Cuando son tres o más miembros de una familia los afectados el riesgo llega a 57 veces. Y puede ser mucho mayor si tiene historia de tabaquismo Éstos dos familiares afectados deben haber sido diagnosticados por histología y no tengan algún otro síndrome hereditario canceroso El gen palladin se encuentra más frecuentemente en lesiones precancerosas. La mutación de éste gen ocasiona una pérdida del citoesqueleto, afectando la morfología, movimiento y estructura celular, pudiendo contribuir a la capacidad de invadir y migrar.
  • #26 Éstos episodios son generalmente en la infancia y en &lt;25 años los datos de pancreatitis crónica. Se han identificado alrededor de 25 mutaciones en el gen PRSSI
  • #29 El cáncer de mama/ovario: predominaba en población judía Ashquenazi
  • #30 Multiples adenomas en el colon con potencial progresión a cáncer y tumores en otros órganos El cáncer colorrectal hereditario no asociado a pólipos se pude asociar también a endometrio,k ovario, mama, uréter y vías biliares
  • #32 Existe una controversia acerca de si la DM2 es un factor de riesgo o forma parte de la fisiopatología del cáncer de páncreas al ser una de las manifestaciones de la propia enfermedad. Un metaanálisis basao en 20 estudios demostró que el antecedente de DM con más de 5 años de evolución aumenta el riesgo de cáncer de páncreas hasta dos veces. La hiperinsulinemia, la hiperglucemia y los ac grasos libres en sangre, promueven el crecimiento de cáncer de páncreas. Un estudio observó que el riesgo es mayor en los pacientes que son tratados con insulina e hipoglucemiantes orales al mismo tiempo
  • #33 Un metaanálisis de 14 estudios encontró éste 19 % de riesgo en obesos
  • #34 Los datos anteriores son controversiales La gastrectomía parcial se identificó como un grupo de riesgo mayor de cáncer de páncreas después de los 20 años de intervención
  • #35 Después de 2 años de dejar de fumar se reduce el riesgo un 48 %, después de 10 años de suspender el tabaquismo el riesgo, es similar al de la población que nunca fumó. El NAT! Es un acetilador rápido
  • #37 Se propuso que existía relación entre diferentes componentes de la dieta y el cáncer de páncreas, como que el consumo de grasas, carne y carbohidratos incrementan el riesgo, y el consumo de frutas y verduras en particular fibra, folatos y vitamina C, lo disminuían. Sin embargo no existen datos contundentes que demuestren una verdadera asociación, hay que éstas observaciones son producto de estudios con limitaciones metodológicas que ameritan nuevos estudios con mayor precisión. El último estudio de cohorte realizado en el año 2000 no mostró relación entre la ingestión de café y cáncer de páncreas. De los solventes usados: Tricloroetileno, difenilospoliclorados, cloruros de metilo y vinilo, hidrocarburos alifáticos y alicíclicos y estireno, y Níquel.
  • #38 Se han encontrado receptores estrógeno y progesterona en el tumor. No existen datos que avalen que la aspirina es un factor protector o desencadenante como lo muestra la transparencia.
  • #44 Los facotres anteriores provocan evasión de la muerte celular programada , autosuficiencia en señales de crecimiento, angiogénesis y metástasis. La expresión aumentada de FCVE se cree que es regulado principalmente por hipoxia, que es una característica común de los tumores sólidos. Il-8 es la principal interleucina implicada en angiogénesis junto con FCVE . El factor nuclear-KB activa la expresión de ciclina D1, que promueve la actividad del ciclo celular. La ciclina E1 induce la proliferación celular a expensas de una reducción enla expresión de inhibidores del ciclo como p27
  • #45 Los tumores que sobreexpresan PGE2 tienen mayor invasividad y potencial metastásico del cáncer de páncreas. Así también la MMP2 Se ha observado un incremento en el BLC-2 (proteína antiapoptosis) Anoikis: supervivencia celular en lugar de la muerte celular programada
  • #49 La presencia de dolor abdominal es un síntoma más tardío e inicia como un dolor vago en abdomen superior o espalda, que normalmente se atribuye a otra cauusa. Aproximadamente 10 % presentan DM. Hepatomegalia y vesícula biliar palpable presentes en 50 %
  • #53 Cuando el dolor epigástrico es transfictivo suele indicar que invadió la transcavidad de los epiplones La ictericia indolora indica una enfermedad menos avanzada, con más probabilidades de resección La esteatorrea y malabsorción por obstrucción biliopancreática La DM de inicio reciente suele indicar posibilidad de neoplasia pancreática que se presenta en 10 %
  • #59 La ictericia obstructiva se verifica por: elevación importante de la bilirrubina directa, fosfatasa alcalina, y en menor grado de transaminasas. La elevación plaquetaria pre y postoperatoriamente se han asociado con un peor pronóstico y un menor intervalo libre de enfermedad El CA 19-9 habitualmente se pide para evaluar la respuesta terapéutica posterior a la resección. Niveles preoperatorios pueden sugerir una fnermedad irresecable. No se usa como escrutinio porque al menos 15 % de individuos no son secretores de CA 19-9 y por otro lado en estadios iniciales del cáncer de páncreas, este marcador está por lo general dentro de límites normales o incluso, puede elevarse en otros cánceres del tracto gastrointestinal y algunas enfermedades benignas como colangitis aguda o pancreatitis crónica, además de ser secretado por otras neoplasias como: hepatocelular, colangiocarcinoma, gástrico, colorrectal y ovárico. El ACE es muy poco específico encontrándose en 50 % de los pacientes, pero también se eleva en carcinomas de colon, mama, pulmón y ovario
  • #60 El USG abdominal debe ser el primer estudio en pacientes con ictericia Una CPRE para diferenciar ictericia obstructiva en pacientes sin tumoración demostrable por tomografía, eo en pacientes
  • #69 En tumores mayores la sobrevivencia a 5 años es del 15 %