Clinica Integral I
Caso Clínico Por Hugo Reyes Morales 260846
Caso Clínico.
HUGO REYES MORALES
5°E
Universidad autónoma de
Chihuahua
Docentes:
Dr. Efrén Gonzales
Dra. Laura Islas
Dra. Jenny Beltrán
Dra. Bárbara
Dr. Fidel Hernández
18 de febrero de 2014.
Edad: 23 Años
Sexo: Masculino
Ocupación: Estudiante
De Ingeniería.
Motivo De Consulta
• “ Diagnostico Dental “
Antecedentes Heredofamiliares
• “ Diabetes”
Antecedentes
Patologicos
• “ Intervención por aorta obstruida”
Biotipo: Alargado
Labios en reposo al estar
juntos
- Perfil:
- Concavo.
- Angulo nasolabial:
90°
- Angulo mentolabial:
130
ARCADA FORMA:
*REDONDA
PROFUNDIDAD DE PALADAR:
NORMAL
AUSENCIA DE AMBOS PRIMEROS
PREMOLARES
ARCADA FORMA
HERRADURA
PRESENCIA DE ZARRO
EN DIENTES ANTERIORES
AUSENCIA DEL PRIMER
PREMOLAR
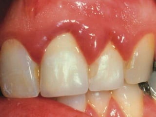
Overbite : 50%
Fractura en el tercio incisal del 21
Presencia de placa dentobacteriana
encia inflamada
TRATAMIENTO
• “PROFILAXIS DENTAL y EDUCACION AL
PACIENTE”
HILO DENTAL
Cepillo Interdental
Enjuague
PASTA
• La mayoría de los tratamientos para la enfermedad de las
encías involucran al dentista, aunque mantener la
enfermedad controlada alivia al menos la mitad del
problema. Si tienes gingivitis leve, considera estos
tratamientos no-quirúrgicos:
• Tu dentista podría recomendar que te hagas una limpieza
profesional de dientes y encías dos veces al año si tu
gingivitis es propensa a desarrollarse. El dentista que
haga la limpieza retirará tanto la placa como el sarro que
haya por debajo y por encima de la línea de la encía.
• La placa y el sarro del paciente es raspado
(desincrustado) y las partes difíciles son alisadas
(aplanadas). Este procedimiento generalmente se realiza
si el dentista determina que la placa y el sarro debajo de
la línea de las encías deben ser retirados.
Enfermedad
Periodontal
¿qué son?
patologías que afectan al periodonto, es
decir, a los tejidos que sostienen los
dientes; causadas por bacterias, aunque
la etiología es multifactorial y también
influyen factores genéticos, ambientales,
locales
Porphyromona gingivalis
Actinomyces israeli
Encia
Funciona como una
barrera entre las
bacterias y los agentes
químicos y agresiones
físicas hacia el hueso
y la raíz del diente.
Cuando la encia está sana ella se adapta a los dientes en forma festoneada
Gingivitis
• Cuando se afecta únicamente la encía, causando un
proceso inflamatorio reversible, se denomina gingivitis
• Sangrado de las encías después de cepillarse los dientes.
• Encías sensibles, inflamadas y más rojas de lo habitual.
• Mal aliento persistente (halitosis).
• Línea de la encía retraída.
• Bolsas profundas entre los dientes y las encías, lo que
causa que los dientes se aflojen.
• Los alimentos atrapados bajo las encías se combinan con
las bacterias para crear placa, un "preparado tóxico" que
irrita las encías y las hace sangrar.
• La mayoría de los tratamientos para la enfermedad de las
encías involucran al dentista, aunque mantener la
enfermedad controlada alivia al menos la mitad del
problema. Si tienes gingivitis leve, considera estos
tratamientos no-quirúrgicos:
• Tu dentista podría recomendar que te hagas una limpieza
profesional de dientes y encías dos veces al año si tu
gingivitis es propensa a desarrollarse. El dentista que
haga la limpieza retirará tanto la placa como el sarro que
haya por debajo y por encima de la línea de la encía.
• La placa y el sarro del paciente es raspado
(desincrustado) y las partes difíciles son alisadas
(aplanadas). Este procedimiento generalmente se realiza
si el dentista determina que la placa y el sarro debajo de
la línea de las encías deben ser retirados.
Periodontitis
• se caracteriza por una destrucción del hueso alveolar
maxilar que soporta el diente, acabando, con el tiempo, en
una perdida dentaria si no se recibe tratamiento.
Se manifiesta por
• :
• -Enrojecimiento de las encías
• -Sangrado de las encías al cepillarse o espontáneamente
• -Retracción de las encías, con sensación de alargamiento
de diente
• -Aumento de la sensaci6n dentaria al frío
• -Movilidad dentaria
• -Aparición de abscesos en la encía, con dolor en la zona.
Clasificacion
Una periodontitis según su grado de
afectación dental se clasifica en:
leve, moderada o grave. Y según su
extensión se denomina: localizada o
generalizada.
Clasificacion
• crónicas,
• agresivas y
• asociada a estados sistémicos.
Periodontitis cronica
• La pérdida de soporte se produce en los periodos activos
de la enfermedad. Sin embargo, la presencia de
Porphyromonas gingivalis indica una alta probabilidad de
periodontitis activa que si no trata a tiempo puede traer
irreversibles consecuencias.
Periodontitis agresiva
• Aparece a los veinte años de edad o antes. Supone,
aproximadamente, entre un 10 y un 15% de todas las
periodontitis. En la presentación clásica de la
periodontitis juvenil localizada, la pérdida ósea está
localizada a los primeros molares y a los incisivos
inferiores definitivos.
Periodontitis agresiva
localizada
• Afecta principalmente a los primeros molares e incisivos,
probablemente porque ya están erupcionados al iniciarse
la enfermedad. Puede progresar a la forma generalizada o,
posteriormente, a la periodontitis de evolución rápida.
Periodontitis de inicio
precoz generalizada
• Se distingue de la periodontitis de evolución rápida en
función del tiempo de inicio de la enfermedad.
• . Se relaciona con la presencia de una serie de bacterias
como son Aggregatibacter actynomicetemcomitans o la
Porfiromona gingivalis.
Periodontitis agravada
por factores sistémicos
• Enfermedades
• diabetes mellitus,
• la enfermedad de Addison,
• la enfermedad de Crohn
• enfermedades hematológicas
• el sida
• provocan una progresión más rápida de la periodontitis,
con diferentes manifestaciones clínicas.
Examen Radiografico
• El examen radiológico es de un gran valor en el
diagnóstico de la enfermedad periodontal. En ocasiones,
el exámen radiológico permite detectar lesiones que no se
observan clínicamente
• :
• Perdida ósea
• forma y dimensiones radiculares
• relación corono-radicular
• lesiones de la furcación
• ensanchamiento del ligamento periodontal
• cálculo subgingival interproximal
• coronas y restauraciones desbordantes
• caries, fracturas, hipercementosis
• tratamientos endodónticos
• inclusiones dentarias
• patología periapical
• Un examen radiológico periapical completo debe constar
de un número adecuado de radiografías con ángulo y
contraste adecuado (entre 10 y 20 radiografías). El
examen radiológico permite evaluar una valiosas serie de
parámetros
¿Es lo mismo gingivitis y
periodontitis?
• Gingivitis y periodontitis no son lo mismo aunque no
están . La periodontitis es un estado avanzado de la
gingivitis. Se empieza teniendo gingivitis y si no se trata a
tiempo esos problemas de gingivitis derivan en una
periodontitis con mayores complicaciones
• La secuencia gingivitis – periodontitis sería la siguiente:
• Acumulación de sarro en las encías.
• Problemas de gingivitis.
• El sarro se agrava y se acumula debajo de las encías.
• Aparecen los problemas de periodontitis.

Diagnostico Integral

  • 1.
    Clinica Integral I CasoClínico Por Hugo Reyes Morales 260846
  • 2.
    Caso Clínico. HUGO REYESMORALES 5°E Universidad autónoma de Chihuahua Docentes: Dr. Efrén Gonzales Dra. Laura Islas Dra. Jenny Beltrán Dra. Bárbara Dr. Fidel Hernández 18 de febrero de 2014.
  • 3.
    Edad: 23 Años Sexo:Masculino Ocupación: Estudiante De Ingeniería.
  • 4.
    Motivo De Consulta •“ Diagnostico Dental “
  • 5.
  • 6.
  • 7.
    Biotipo: Alargado Labios enreposo al estar juntos
  • 8.
    - Perfil: - Concavo. -Angulo nasolabial: 90° - Angulo mentolabial: 130
  • 9.
    ARCADA FORMA: *REDONDA PROFUNDIDAD DEPALADAR: NORMAL AUSENCIA DE AMBOS PRIMEROS PREMOLARES
  • 10.
    ARCADA FORMA HERRADURA PRESENCIA DEZARRO EN DIENTES ANTERIORES AUSENCIA DEL PRIMER PREMOLAR
  • 11.
    Overbite : 50% Fracturaen el tercio incisal del 21 Presencia de placa dentobacteriana encia inflamada
  • 18.
    TRATAMIENTO • “PROFILAXIS DENTALy EDUCACION AL PACIENTE”
  • 19.
  • 21.
  • 23.
  • 25.
  • 28.
    • La mayoríade los tratamientos para la enfermedad de las encías involucran al dentista, aunque mantener la enfermedad controlada alivia al menos la mitad del problema. Si tienes gingivitis leve, considera estos tratamientos no-quirúrgicos:
  • 30.
    • Tu dentistapodría recomendar que te hagas una limpieza profesional de dientes y encías dos veces al año si tu gingivitis es propensa a desarrollarse. El dentista que haga la limpieza retirará tanto la placa como el sarro que haya por debajo y por encima de la línea de la encía.
  • 32.
    • La placay el sarro del paciente es raspado (desincrustado) y las partes difíciles son alisadas (aplanadas). Este procedimiento generalmente se realiza si el dentista determina que la placa y el sarro debajo de la línea de las encías deben ser retirados.
  • 33.
  • 34.
    ¿qué son? patologías queafectan al periodonto, es decir, a los tejidos que sostienen los dientes; causadas por bacterias, aunque la etiología es multifactorial y también influyen factores genéticos, ambientales, locales
  • 35.
  • 36.
  • 37.
    Encia Funciona como una barreraentre las bacterias y los agentes químicos y agresiones físicas hacia el hueso y la raíz del diente.
  • 38.
    Cuando la enciaestá sana ella se adapta a los dientes en forma festoneada
  • 40.
    Gingivitis • Cuando seafecta únicamente la encía, causando un proceso inflamatorio reversible, se denomina gingivitis
  • 42.
    • Sangrado delas encías después de cepillarse los dientes. • Encías sensibles, inflamadas y más rojas de lo habitual. • Mal aliento persistente (halitosis). • Línea de la encía retraída. • Bolsas profundas entre los dientes y las encías, lo que causa que los dientes se aflojen.
  • 44.
    • Los alimentosatrapados bajo las encías se combinan con las bacterias para crear placa, un "preparado tóxico" que irrita las encías y las hace sangrar.
  • 46.
    • La mayoríade los tratamientos para la enfermedad de las encías involucran al dentista, aunque mantener la enfermedad controlada alivia al menos la mitad del problema. Si tienes gingivitis leve, considera estos tratamientos no-quirúrgicos:
  • 48.
    • Tu dentistapodría recomendar que te hagas una limpieza profesional de dientes y encías dos veces al año si tu gingivitis es propensa a desarrollarse. El dentista que haga la limpieza retirará tanto la placa como el sarro que haya por debajo y por encima de la línea de la encía.
  • 50.
    • La placay el sarro del paciente es raspado (desincrustado) y las partes difíciles son alisadas (aplanadas). Este procedimiento generalmente se realiza si el dentista determina que la placa y el sarro debajo de la línea de las encías deben ser retirados.
  • 53.
    Periodontitis • se caracterizapor una destrucción del hueso alveolar maxilar que soporta el diente, acabando, con el tiempo, en una perdida dentaria si no se recibe tratamiento.
  • 58.
    Se manifiesta por •: • -Enrojecimiento de las encías • -Sangrado de las encías al cepillarse o espontáneamente • -Retracción de las encías, con sensación de alargamiento de diente • -Aumento de la sensaci6n dentaria al frío • -Movilidad dentaria • -Aparición de abscesos en la encía, con dolor en la zona.
  • 59.
    Clasificacion Una periodontitis segúnsu grado de afectación dental se clasifica en: leve, moderada o grave. Y según su extensión se denomina: localizada o generalizada.
  • 60.
    Clasificacion • crónicas, • agresivasy • asociada a estados sistémicos.
  • 61.
  • 62.
    • La pérdidade soporte se produce en los periodos activos de la enfermedad. Sin embargo, la presencia de Porphyromonas gingivalis indica una alta probabilidad de periodontitis activa que si no trata a tiempo puede traer irreversibles consecuencias.
  • 63.
  • 65.
    • Aparece alos veinte años de edad o antes. Supone, aproximadamente, entre un 10 y un 15% de todas las periodontitis. En la presentación clásica de la periodontitis juvenil localizada, la pérdida ósea está localizada a los primeros molares y a los incisivos inferiores definitivos.
  • 66.
    Periodontitis agresiva localizada • Afectaprincipalmente a los primeros molares e incisivos, probablemente porque ya están erupcionados al iniciarse la enfermedad. Puede progresar a la forma generalizada o, posteriormente, a la periodontitis de evolución rápida.
  • 68.
    Periodontitis de inicio precozgeneralizada • Se distingue de la periodontitis de evolución rápida en función del tiempo de inicio de la enfermedad. • . Se relaciona con la presencia de una serie de bacterias como son Aggregatibacter actynomicetemcomitans o la Porfiromona gingivalis.
  • 69.
    Periodontitis agravada por factoressistémicos • Enfermedades • diabetes mellitus, • la enfermedad de Addison, • la enfermedad de Crohn • enfermedades hematológicas • el sida • provocan una progresión más rápida de la periodontitis, con diferentes manifestaciones clínicas.
  • 70.
    Examen Radiografico • Elexamen radiológico es de un gran valor en el diagnóstico de la enfermedad periodontal. En ocasiones, el exámen radiológico permite detectar lesiones que no se observan clínicamente • :
  • 72.
    • Perdida ósea •forma y dimensiones radiculares • relación corono-radicular • lesiones de la furcación • ensanchamiento del ligamento periodontal • cálculo subgingival interproximal • coronas y restauraciones desbordantes • caries, fracturas, hipercementosis • tratamientos endodónticos • inclusiones dentarias • patología periapical
  • 74.
    • Un examenradiológico periapical completo debe constar de un número adecuado de radiografías con ángulo y contraste adecuado (entre 10 y 20 radiografías). El examen radiológico permite evaluar una valiosas serie de parámetros
  • 75.
    ¿Es lo mismogingivitis y periodontitis? • Gingivitis y periodontitis no son lo mismo aunque no están . La periodontitis es un estado avanzado de la gingivitis. Se empieza teniendo gingivitis y si no se trata a tiempo esos problemas de gingivitis derivan en una periodontitis con mayores complicaciones
  • 77.
    • La secuenciagingivitis – periodontitis sería la siguiente: • Acumulación de sarro en las encías. • Problemas de gingivitis. • El sarro se agrava y se acumula debajo de las encías. • Aparecen los problemas de periodontitis.

Notas del editor

  • #20 , tiene una parte inicial dura sin nylon, que sirve para introducirlo en el espacio interdentario .Eliminan mucha placa y está muy indicado para limpiar prótesis fijas e implantes. Al ser de mayor tamaño que las anteriores, cuando los espacios son muy pequeños no entra y recurrimos a las anteriores.
  • #25 que contiene Clorhexidina, un agente antibacteriano que ha demostrado clínicamente que inhibe la formación de placa dentobacteriana. es una sustancia antiséptica de acción bactericida y fungicida. Al usar como colutorio, no debe usarse más de 21 días ya que mancha las piezas dentales.
  • #27 Su principal ingrediente activo, Fluoruro de Estaño estabilizado (SnF2 ), provee un aumento en el poder antibacteriano, lo que resulta en el más alto nivel de protección de la familia de pastas dentales Oral-B Pro-Salud.
  • #28 Estudios clínicos demuestran que productos que contienen Fluoruro de Estaño (0.454% de fluoruro de estaño) reducen la gingivitis en 21%, el sangrado gingival en 57.1% y la placa en un 6,9%**.
  • #36 pertenece al filo Bacteroidetes y es una, no móviles Gram-negativas , con forma de barra, anaeróbico patógena bacteria Forma colonias negras en agar sangre .
  • #38 ayudando a aislar el hueso de las bacterias del medio externo de la boca. Funciona como una barrera entre las bacterias y los agentes químicos y agresiones físicas hacia el hueso y la raíz del diente.
  • #40 Gingivitis incipiente. Están apareciendo los primeros signos de inflamación. Si se toca la papila interdentaria señalada, probablemente sangrará. Compárese con la paila del lado contrario.