EMBARAZO ECTOPICO



        DRA.KENA ZARAGOZA VELASCO
EMBARAZO ECTOPICO

 Ocurre cuando el blastocisto se implanta fuera del
  endometrio.

 Sigue siendo causa de muerta durante el primer trimestre
  del embarazo

 Tasa de mortalidad 9- 14%.


 Teorías:
   Función
   Ovulación contralateral
   Obstrucción del paso
   Angulación
Factores de riesgo

    Cualquier tipo de patología tubárica que retrase o impida el paso del cigoto

    Gestación tubáricas previa
    Cirugía reparadora tubárica previa
    Enfermedad pélvica inflamatoria: Salpingitis--Tx
    DIU
    Anticonceptivos
    Factores maternos
        Edad materna avanzada
        Alteraciones uterinas congénitas
        Numero de embarazos previos
        Pacientes sometidas a inducción de la ovulación o fertilización in vitro.
    Tabaquismo
    Endometriosis

    Todas las pacientes en edad fértil tienen el riesgo de padecer EE.
Presentación clínica

   Amenorrea de 5-9 sem.
   Triada clásica:
       Dolor, sangrado vaginal y masa anexial ( 45 % )


   Otros signos y síntomas:
       Amenorrea, sensibilidad ovárica, dolor a la movilización cervical


   Por arriba del 50% de las pacientes con embarazo ectópico son
    asintomáticas.
Abordaje

 Evaluación inicial
 Mediciones de hGC
 Niveles de progesterona
 Ultrasonido abdominal:
   EE cuando se alcanza una B- hGC de 6500 mlU/ml

 Ultrasonido Transvaginal: Estudio de elección
   Saco gestacional será visible con niveles de b-hGC mayores de
    1.500-2000 mlU/ml
Diagnósticos ecográficos

   Estudio abdominal

       Vejiga llena

       Debe ser visto el útero y anexos en
        sagital y transversal

           Se debe rastrear para visualizar una
            masa extraovarica

           La presencia de líquido libre

       Valorar la rapidez con la que se a
        producido la hemorragia
Estudio endovaginal

   Para visualizar el saco gestacional

   Permite la evaluación mas detallada del
    endometrio, del canal endometrial y de
    los anexos

   Elevada sensibilidad a la presión con el
    transductor endovaginal

   Elevada sensibilidad ovárica


   Se puede diferir si hay:
       Hemoperitoneo, paciente inestable,
        EE diagnosticado tras abdominal.
Evaluación ultrasonográfica

   Saco pseudosaco gestacional
       Cuando aún no es posible la identificación
        del saco vitelino o del embrión.

       Pequeña colección de líquido rodeada por
        un anillo ecogénico ubicado de manera
        ceentral dentro del endometrio.

       US Transvaginal:
         Diferenciación  entre la     decidua   y
          pseudosaco gestacional
Evaluación ultrasonográfica

   El signo de la doble decidua se visualiza a las 5 semanas. Consiste en
    dos anillos ecogénicos que rodean al saco gestacional en un
    embarazo normal intrauterino.

   A diferencia del pseudosaco el saco gestacional es excéntrico.


   El saco vitelino se identifica a las 5.5 semanas, cuando mide 10 mm.

   La actividad cardiaca se podrá observar a las 5.6 semanas cuando el
    saco mide mas de 18 mm o cuando el polo embrionario mide 5 mm o
    mas.
           La ausencia de saco gestacional intrauterino, obliga a buscar EE.

           Recordar que por arriba del 35% de los EE no demostraran
           anormalidad en los anexos!!!!!!!
Líquido en cavidad uterina
                Hipoecoico
  Hiperecoica

Hiperecoica
Hallazgo ecográfico específico
   Embrión vivo
       Es especifica para el diagnóstico. 17-28%
       Visualizar actividad cardiaca en modo M, Doppler color o PW.
Hallazgos intrauterinos de EE

   Endometrio de grosor normal o trilaminar:
     se observa durante la fase proliferativa tardía




   Pseudosaco gestacional: 10% de las pacientes.



   Quiste decidual.
        Son quistes simples de pared delgada
        Localizados en la unión del endometrio con el miometrio
        Se relacionan con EE, embarazo intrauterino normal
        Generalmente múltiples
        Sin borde ecogénico
Hallazgos inespecíficos

   Masa anexial en estados distintos del embarazo ectópico:
       Hemorragia de un quiste del cuerpo lúteo, endometriosis, absceso.
   Dolor local a la exploración

   Hematosalpinx

   Detección de líquido libre
       En mujeres embarazadas , sin evidencia de gestación intrauterina sugiere
        EE, se acumula en el fondo de saco
       Hemoperitoneo
         Aparición complicación
Hallazgos por localización

 Localización
   Distintos sitios
  Embarazo ectópico tubárico 95%
    de los casos:

             Ampular 70%
             Istmica 12 %
             Fimbria 11.1%
     Formas infrecuentes de
      embarazo ectópico
         Intersticial 2 -4 %
         Cuello uterino
         Abdominales ( son muy raras )
Embarazo tubárico

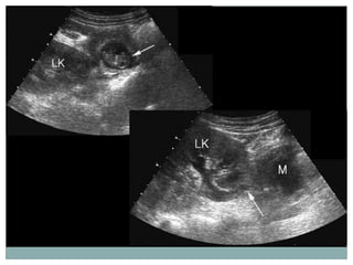
 Una masa anexial es mas especifica cuando contiene SV o el embrión, o
  cuando se mueve de forma independiente al ovario.

 En ocasiones un masa extrauterina no siempre es detectada en UTV.


 El signo del anillo tubárico es el signo mas común.
     Es un anillo hiperecoico
     Se relaciona con signo del anillo de fuego
     La vascularidad periférica no es un hallazgo especifico ..
Localización intramural o intersticial
   Antecedente de salpingectomia y fertilización In vitro.

   Ocurre cuando el saco gestacional se implanta en el segmento
    intramiometral de la trompa.

   La ruptura hemorragia masiva intraperitoneales

   Hallazgos:
       Signo de la línea intersticial
           Situado a una mayor altura del fondo
           Saco gestacional excéntrico, rodeado de miometrio menor de 5 mm.
           Hallazgo mas especifico es signo de la línea intersticial.  Una
            línea ecogénica que se extiende por arriba del cuerno y rodea el
            margen intramural del saco gestacional.
           Tiene un 80% de S y 98 % de E.

   Morbilidad y mortalidad más alta
Diagrama del embarazo intersticial.
Embarazo Cornual

 Se refiere a la implantación en un cuerno de útero bicorne
  o septado.

 Esta es rara menos del 1%.


 La ruptura de este es catastrófica (hemorragia).


 Hallazgos:
     Saco gestacional rodeado de miometrio menor a 5 m.
     Saco gestacional excéntrico.
Embarazos del cuello uterino:
   Menos del 1%
   Asociada a fertilización In vitro
   Se localiza en el centro del cuello uterino
    modifican el canal endocervical.

   Imagen en reloj de arena o de “8” conforme el feto se
    expande en el cérvix.

   Se diferencia del aborto en evolución por la
    presencia de actividad cardiaca?.

   Cuando el SG se visualiza en el cérvix, la manipulación
    gentil del saco puede ayudar a diferenciar un EE de un
    aborto Signo de deslizamiento si se manipula
    el SG, no es cervical si esta fijo es cervical.

   En estudio Doppler se puede mostrar el anillo
    trofoblastico el cual es hipervascular.
Ovárico

 Cuando un ovocito es fecundado y retenido en el ovario


 3% de los EE


 Asociado al uso de dispositivos intrauterinos.


 Tiempo de presentación = al EE Tubárico.


 La presencia de SG, quiste atípico con anillo hiperecoico,
  dentro del ovario, y trompa normal sugiere este tipo de
  embarazo.
Embarazo ectópico abdominal
   Infrecuente. Aborto tubario??

   Implantación en la cavidad peritoneal. Se
    excluye las trompas, ovarios y localizaciones
    intraligamentarias.

   Mas frecuente en tratamientos de
    reproducción asistida.

   Representan el 1.4% de los embarazos
    ectópicos

   Asociado a hemorragia y alta mortalidad
    materna.

   Se pueden observar fuera de la pelvis en
    abdomen superior

   Extraperitoneales!!!
EE en cicatriz

 Rara
 La implantación se da en la cicatriz de
  una cesárea previa.
 El blastocisto esta rodeado de
  miometrio y tejido fibroso.
 5-6 sem con sangrado transvaginal.


 Ruptura hemorragia shock


 Se ve el SG en la pared anterior hacia
  la porción inferior del útero.

 Con adelgazamiento del miometrio.
Embarazo heterotópico

 Combinación de un
  embarazo intrauterino con
  un extrauterino.
 1 : 30 000
 El índice esta en aumento:
    1–3%
    Mujeres sometidas a inducción de
     la ovulación
    Fecundación in vitro
    Transferencia de múltiples
     embriones
    Estimulación ovárica
TIPOS DE                    HALLAZGOS POR US
EMBARAZO
Tubárico (95%)              Gestación extrauterina con vida, masas anexiales, signo del anillo
                            tubárico, signo del anillo de fuego, hemorrágica pélvica.
Intersticial (2-4%)         Saco gestacional (SG) de localización excéntrica, SG rodeado por
                            miometrio adelgazado (<5mm), signo de la línea intersticial.
Ovárico (3%)                Β-HGC >1000mlU/ml; trompas normales, SG, vellosidades coriónicas,
                            o quistes atípicos en el ovario, niveles normales de Β-HGC después del
                            tratamiento.
Cervical (<1%)              Flujo trofoblástico rodeando un SG en el cérvix, línea endometrial
                            normal, SG en el cérvix con actividad cardíaca, útero en forma de reloj
                            de arena, actividad cardíaca por debajo del orificio cervical interno.
En cicatriz de cesárea      SG localizado en el segmento anterior e inferior del útero, en el sitio de
                            corte de la cesárea previa, miometrio anterior adelgazado por el SG.
Abdominal                   Ausencia de SG intrauterino, SG localizado en la cavidad
(Incidencia: 1en 3372 y 1   intraperitoneal, abdominal o hemorragia pélvica.
en 7931 embarazos)
Embarazo persistente


• Falla en la resección del EE después del
 tratamiento.

• Puede ocurrir después del manejo quirúrgico o
 médico.

• Es más común después de un tratamiento
 conservador en un embarazo tubárico con
 salpingostomía o extirpación de la fimbria
 Es una forma poco común de EE, se manifiesta con pocos
  síntomas y con títulos bajos o ausentes de HGC.

 El término crónico describe sólo la apariencia de la masa
  pélvica formada como resultado de hemorragias repetidas
  (coágulos viejos y hematoma con adherencias), no implica
  duración.

 La apariencia por ultrasonido puede simular EPI,
  endometriosis o leiomiomas uterinos.
Diagnósticos diferenciales

   Enfermedad pélvica inflamatoria
   Apendicitis
   Ruptura del cuerpo lúteo
   Litiasis
   Infección renal
   Amenaza de aborto
   Embarazo temprano normal
   Aborto espontáneo
   Embarazo molar
Conclusiones

 La mortalidad ha disminuido estas ultimas décadas debido a un diagnostico e
  intervención adecuados.

 Sin embargo continua siendo una causa de muerte en mujeres en el primer
  trimestre del embarazo.

 En la actualidad se le atribuye al uso de técnicas de reproducción asistida y
  eventos quirúrgicos.

 La localización mas frecuente es la trompa de Falopio

 Los hallazgos puede ser categorizados por localización (intra-extrauterina)


 Muchos hallazgos no son específicos

 Correlacionar con estudios de laboratorio e historia clínica.

 Consideraciones medicolegales

Embarazo Ectópico

  • 1.
    EMBARAZO ECTOPICO DRA.KENA ZARAGOZA VELASCO
  • 2.
    EMBARAZO ECTOPICO  Ocurrecuando el blastocisto se implanta fuera del endometrio.  Sigue siendo causa de muerta durante el primer trimestre del embarazo  Tasa de mortalidad 9- 14%.  Teorías:  Función  Ovulación contralateral  Obstrucción del paso  Angulación
  • 3.
    Factores de riesgo Cualquier tipo de patología tubárica que retrase o impida el paso del cigoto  Gestación tubáricas previa  Cirugía reparadora tubárica previa  Enfermedad pélvica inflamatoria: Salpingitis--Tx  DIU  Anticonceptivos  Factores maternos  Edad materna avanzada  Alteraciones uterinas congénitas  Numero de embarazos previos  Pacientes sometidas a inducción de la ovulación o fertilización in vitro.  Tabaquismo  Endometriosis  Todas las pacientes en edad fértil tienen el riesgo de padecer EE.
  • 4.
    Presentación clínica  Amenorrea de 5-9 sem.  Triada clásica:  Dolor, sangrado vaginal y masa anexial ( 45 % )  Otros signos y síntomas:  Amenorrea, sensibilidad ovárica, dolor a la movilización cervical  Por arriba del 50% de las pacientes con embarazo ectópico son asintomáticas.
  • 5.
    Abordaje  Evaluación inicial Mediciones de hGC  Niveles de progesterona  Ultrasonido abdominal:  EE cuando se alcanza una B- hGC de 6500 mlU/ml  Ultrasonido Transvaginal: Estudio de elección  Saco gestacional será visible con niveles de b-hGC mayores de 1.500-2000 mlU/ml
  • 6.
    Diagnósticos ecográficos  Estudio abdominal  Vejiga llena  Debe ser visto el útero y anexos en sagital y transversal  Se debe rastrear para visualizar una masa extraovarica  La presencia de líquido libre  Valorar la rapidez con la que se a producido la hemorragia
  • 7.
    Estudio endovaginal  Para visualizar el saco gestacional  Permite la evaluación mas detallada del endometrio, del canal endometrial y de los anexos  Elevada sensibilidad a la presión con el transductor endovaginal  Elevada sensibilidad ovárica  Se puede diferir si hay:  Hemoperitoneo, paciente inestable, EE diagnosticado tras abdominal.
  • 8.
    Evaluación ultrasonográfica  Saco pseudosaco gestacional  Cuando aún no es posible la identificación del saco vitelino o del embrión.  Pequeña colección de líquido rodeada por un anillo ecogénico ubicado de manera ceentral dentro del endometrio.  US Transvaginal:  Diferenciación entre la decidua y pseudosaco gestacional
  • 9.
    Evaluación ultrasonográfica  El signo de la doble decidua se visualiza a las 5 semanas. Consiste en dos anillos ecogénicos que rodean al saco gestacional en un embarazo normal intrauterino.  A diferencia del pseudosaco el saco gestacional es excéntrico.  El saco vitelino se identifica a las 5.5 semanas, cuando mide 10 mm.  La actividad cardiaca se podrá observar a las 5.6 semanas cuando el saco mide mas de 18 mm o cuando el polo embrionario mide 5 mm o mas. La ausencia de saco gestacional intrauterino, obliga a buscar EE. Recordar que por arriba del 35% de los EE no demostraran anormalidad en los anexos!!!!!!!
  • 10.
    Líquido en cavidaduterina Hipoecoico Hiperecoica Hiperecoica
  • 11.
    Hallazgo ecográfico específico  Embrión vivo  Es especifica para el diagnóstico. 17-28%  Visualizar actividad cardiaca en modo M, Doppler color o PW.
  • 12.
    Hallazgos intrauterinos deEE  Endometrio de grosor normal o trilaminar:  se observa durante la fase proliferativa tardía  Pseudosaco gestacional: 10% de las pacientes.  Quiste decidual.  Son quistes simples de pared delgada  Localizados en la unión del endometrio con el miometrio  Se relacionan con EE, embarazo intrauterino normal  Generalmente múltiples  Sin borde ecogénico
  • 14.
    Hallazgos inespecíficos  Masa anexial en estados distintos del embarazo ectópico:  Hemorragia de un quiste del cuerpo lúteo, endometriosis, absceso.  Dolor local a la exploración  Hematosalpinx  Detección de líquido libre  En mujeres embarazadas , sin evidencia de gestación intrauterina sugiere EE, se acumula en el fondo de saco  Hemoperitoneo  Aparición complicación
  • 15.
    Hallazgos por localización Localización  Distintos sitios Embarazo ectópico tubárico 95% de los casos:  Ampular 70%  Istmica 12 %  Fimbria 11.1%  Formas infrecuentes de embarazo ectópico  Intersticial 2 -4 %  Cuello uterino  Abdominales ( son muy raras )
  • 16.
    Embarazo tubárico  Unamasa anexial es mas especifica cuando contiene SV o el embrión, o cuando se mueve de forma independiente al ovario.  En ocasiones un masa extrauterina no siempre es detectada en UTV.  El signo del anillo tubárico es el signo mas común.  Es un anillo hiperecoico  Se relaciona con signo del anillo de fuego  La vascularidad periférica no es un hallazgo especifico ..
  • 19.
    Localización intramural ointersticial  Antecedente de salpingectomia y fertilización In vitro.  Ocurre cuando el saco gestacional se implanta en el segmento intramiometral de la trompa.  La ruptura hemorragia masiva intraperitoneales  Hallazgos:  Signo de la línea intersticial  Situado a una mayor altura del fondo  Saco gestacional excéntrico, rodeado de miometrio menor de 5 mm.  Hallazgo mas especifico es signo de la línea intersticial.  Una línea ecogénica que se extiende por arriba del cuerno y rodea el margen intramural del saco gestacional.  Tiene un 80% de S y 98 % de E.  Morbilidad y mortalidad más alta
  • 20.
    Diagrama del embarazointersticial.
  • 21.
    Embarazo Cornual  Serefiere a la implantación en un cuerno de útero bicorne o septado.  Esta es rara menos del 1%.  La ruptura de este es catastrófica (hemorragia).  Hallazgos:  Saco gestacional rodeado de miometrio menor a 5 m.  Saco gestacional excéntrico.
  • 22.
    Embarazos del cuellouterino:  Menos del 1%  Asociada a fertilización In vitro  Se localiza en el centro del cuello uterino modifican el canal endocervical.  Imagen en reloj de arena o de “8” conforme el feto se expande en el cérvix.  Se diferencia del aborto en evolución por la presencia de actividad cardiaca?.  Cuando el SG se visualiza en el cérvix, la manipulación gentil del saco puede ayudar a diferenciar un EE de un aborto Signo de deslizamiento si se manipula el SG, no es cervical si esta fijo es cervical.  En estudio Doppler se puede mostrar el anillo trofoblastico el cual es hipervascular.
  • 24.
    Ovárico  Cuando unovocito es fecundado y retenido en el ovario  3% de los EE  Asociado al uso de dispositivos intrauterinos.  Tiempo de presentación = al EE Tubárico.  La presencia de SG, quiste atípico con anillo hiperecoico, dentro del ovario, y trompa normal sugiere este tipo de embarazo.
  • 25.
    Embarazo ectópico abdominal  Infrecuente. Aborto tubario??  Implantación en la cavidad peritoneal. Se excluye las trompas, ovarios y localizaciones intraligamentarias.  Mas frecuente en tratamientos de reproducción asistida.  Representan el 1.4% de los embarazos ectópicos  Asociado a hemorragia y alta mortalidad materna.  Se pueden observar fuera de la pelvis en abdomen superior  Extraperitoneales!!!
  • 28.
    EE en cicatriz Rara  La implantación se da en la cicatriz de una cesárea previa.  El blastocisto esta rodeado de miometrio y tejido fibroso.  5-6 sem con sangrado transvaginal.  Ruptura hemorragia shock  Se ve el SG en la pared anterior hacia la porción inferior del útero.  Con adelgazamiento del miometrio.
  • 30.
    Embarazo heterotópico  Combinaciónde un embarazo intrauterino con un extrauterino.  1 : 30 000  El índice esta en aumento:  1–3%  Mujeres sometidas a inducción de la ovulación  Fecundación in vitro  Transferencia de múltiples embriones  Estimulación ovárica
  • 31.
    TIPOS DE HALLAZGOS POR US EMBARAZO Tubárico (95%) Gestación extrauterina con vida, masas anexiales, signo del anillo tubárico, signo del anillo de fuego, hemorrágica pélvica. Intersticial (2-4%) Saco gestacional (SG) de localización excéntrica, SG rodeado por miometrio adelgazado (<5mm), signo de la línea intersticial. Ovárico (3%) Β-HGC >1000mlU/ml; trompas normales, SG, vellosidades coriónicas, o quistes atípicos en el ovario, niveles normales de Β-HGC después del tratamiento. Cervical (<1%) Flujo trofoblástico rodeando un SG en el cérvix, línea endometrial normal, SG en el cérvix con actividad cardíaca, útero en forma de reloj de arena, actividad cardíaca por debajo del orificio cervical interno. En cicatriz de cesárea SG localizado en el segmento anterior e inferior del útero, en el sitio de corte de la cesárea previa, miometrio anterior adelgazado por el SG. Abdominal Ausencia de SG intrauterino, SG localizado en la cavidad (Incidencia: 1en 3372 y 1 intraperitoneal, abdominal o hemorragia pélvica. en 7931 embarazos)
  • 32.
    Embarazo persistente • Fallaen la resección del EE después del tratamiento. • Puede ocurrir después del manejo quirúrgico o médico. • Es más común después de un tratamiento conservador en un embarazo tubárico con salpingostomía o extirpación de la fimbria
  • 33.
     Es unaforma poco común de EE, se manifiesta con pocos síntomas y con títulos bajos o ausentes de HGC.  El término crónico describe sólo la apariencia de la masa pélvica formada como resultado de hemorragias repetidas (coágulos viejos y hematoma con adherencias), no implica duración.  La apariencia por ultrasonido puede simular EPI, endometriosis o leiomiomas uterinos.
  • 35.
    Diagnósticos diferenciales  Enfermedad pélvica inflamatoria  Apendicitis  Ruptura del cuerpo lúteo  Litiasis  Infección renal  Amenaza de aborto  Embarazo temprano normal  Aborto espontáneo  Embarazo molar
  • 36.
    Conclusiones  La mortalidadha disminuido estas ultimas décadas debido a un diagnostico e intervención adecuados.  Sin embargo continua siendo una causa de muerte en mujeres en el primer trimestre del embarazo.  En la actualidad se le atribuye al uso de técnicas de reproducción asistida y eventos quirúrgicos.  La localización mas frecuente es la trompa de Falopio  Los hallazgos puede ser categorizados por localización (intra-extrauterina)  Muchos hallazgos no son específicos  Correlacionar con estudios de laboratorio e historia clínica.  Consideraciones medicolegales