Fabiola Mendoza
Gladis Mata
Introducción
 Facomatosis procede del griego Phakos
significa mancha o lunar.
 Se definen en términos generales como
displasias o anomalías del desarrollo
embrionario, hereditarias, en mayoría
autosómicas dominantes, caracterizadas por
la aparición de manchas muco-cutáneas
congénitas, acompañadas de formaciones
tumorales originadas a partir de células no
diferenciadas y en relación con otras
malformaciones de nacimiento.
Dentro de las facomatosis con predominio neuroectodérmico se
incluyen:
• La neurofibromatosis múltiple o enfermedad de Von
Recklinghausen.
• La esclerosis cerebral tuberosa o enfermedad de Bourneville.
• El síndrome de Watson (que se acompaña de retraso mental).
• El síndrome de Walter-Polansky (asociado a cardiopatía
congénita), etc.
Dentro de las facomatosis de origen mesodérmico, se incluyen las
siguientes:
• Enfermedad de Sturge-Weber-Krabbe.
• Enfermedad de Von Hippel-Lindau.
• El síndrome de Klippel-Trenaunay.
• La telangiectasia hemorrágica o enfermedad de Rendu-Osler-
Weber.
• Los aneurismas neuro-óculo-faciales arteriovenosos, etc.
NEUROFIBROMATOSIS TIPO 1
 O Von recklinghausen, debido al patólogo
alemán que describió por primera vez esta
enfermedad en 1882.
 Es un trastorno dominante autosomico.
 Incidencia 1 en 3000.
 Causado por índole familiar la mitad de los
casos y el resto es por nuevas mutaciones.
 El gen NF1 en el cromosoma 17q11.2
codifica la proteína “Neurofibromina”,
que pertenece a la familia que activa la
guanosina trifosfatasa, la cual a su vez
regula el protooncogen ¨ras¨ de
sarcoma murino.
 Causa: tumores del SN (neurofibromas,
neurofibromas plexiformes, gliomas del
nervio óptico, tumores cutáneos
múltiples, blandos y consistencia de
caucho.
 MC: manchas de café con leche (pecas),
nódulos de Lisch, neurofibromas dermicos,
corta estatura y macrocefalia.
Complicaciones
 HTA
 Neurofibromas Plexiformes
 Cancer (tumores embrionarios y
neurosarcomas)
 Dificultad de aprendizaje
 Pseudoartrosis
 Escoliosis
 Glioma Optico
 Epilepsia
 Neurofibromas de la medula espinal
NEUROFIBROMATOSIS TIPO 2
 o NF del VIII par craneal.
 Es menos frecuente, con incidencia de 1
por 40000.
 Es un trastorno dominante autosomico.
 Causado por mutaciones nuevas.
 El gen NF2 en 22q que codifica una
proteína citoesquelética llamada
“merlina” que actúa como
oncosupresora.
 Se caracteriza por shwannomas
vestibulares bilaterales (90%),
meningiomas múltiples, opacidades
subscapulares del cristalino y
hemartomas retinianos.
ESCLEROSIS TUBEROSA
 O Bourneville.
 Es un trastorno dominante autosomico.
 Incidencia de 1 en 10000 neonatos
vivos.
 Causado por mutaciones en el gen
TSC1.
 En el cromosoma 9q34 codifica la proteína
llamada “hemartina”.
 En el cromosoma 16p13.3 codifica la
proteína “tuberina”.
 Estas dos forman un complejo que inhibe las
señales celulares a través del mTOR y actúa
como regulador negativo del ciclo celular.
 Puede afectar cualquiera o todos los sistemas
del cuerpo, causando una variedad de signos y
de síntomas.
 Muy leves hasta sumamente graves.
 Los tumores benignos que ocurren con
frecuencia en el CET, otros síntomas comunes
incluyen las convulsiones, el retraso mental,
problemas de conducta y anormalidades de la
piel.
 Más comúnmente en el cerebro, los riñones, el
corazón, los pulmones y la piel.
Afecta:
 Renal: 40-80%
-quistes (pequeños, aparecen en números limitados y no
causan ningun problema serio).
-angiomiolipomas (son crecimientos benignos formados por
tejido graso y células musculares).
 Cerebro:
-los tubérculos corticales (se forman en la superficie del
cerebro)
-los nódulos subependimales (en las paredes de los
ventrículos)
-astrocitomas de células gigantes (causan una acumulación
del líquido y presión y produciendo dolores de cabeza y
visión nublada)
 Los facomas oculares, aparecen como
manchas blancas en la retina,
generalmente no causan la perdida de
la visión.
 Piel:
-máculas hipomelánicas ("manchas tipo
hojas cenizas").
- angiofibromas faciales (conformados por
vasos sanguineos y tejido fibroso)
- placas de la frente (son comunes y
tipicas de esta enfermedad).
 MC: convulsiones, retraso mental,
adenomas sebáceo, parches de piel áspera,
maculas hipomelanoticas, angiomiolipomas
renales.
Como se diagnostica:
 Principalmente por clinica, TAC, RM.
 No hay cura, aunque existe tratamiento para
un número de síntomas.
 Los antiepilépticos se pueden utilizar para
controlar las convulsiones.
 Los programas de intervención, incluyendo
enseñanza especializada y terapia
ocupacional, pueden beneficiar a individuos
con necesidades especiales y problemas de
desarrollo.
 La cirugía, incluyendo la dermabrasión y el
tratamiento con rayos láser pueden ser útiles
en el tratamiento de las lesiones de la piel.
Hipomelanosis de Ito
 Fue descrita originalmente como una entidad
netamente cutánea por Ito en 1952.
 1 en 10,000
 Es la tercera enfermedad neurocutanea mas
comun
 Etiologia desconocida pero se cree es
causada por un mosaisimo cromosomal de
ciertor genes como el 9q33-qter, 15q11-q13,
y el Xp11
Manifestaciones Clínicas
En esta enfermedad se afecta lo siguiente:
 La piel
 El pelo
 El musculo esquelético
 El SNC
 Los ojos
Piel
 Maculas hipopigmentadas que siguen
las lineas de Blaschko
 Manchas de café con leche
 Cutis marmorata
 Nevus angiomatoso
 Ictiosis
 Mancha mongolica
Pelo, uñas y dientes
 Alopecia focal o difusa
 Ausencia de uñas
 Alteraciones en numero, tamaño y
espacio de dientes
 Hamartomas dentales
 Implatacion dentaria anormal
Oculares
 Estrabismo
 Nistagmus
 Miopia
 Asimetria corneal
 Cataratas
 Microftalmia
 Hipopigmentacion de retina
SNC
 Retraso en el desarrollo
 Retraso mental
 Convulsiones
 Comportamiento autista
Musculares esqueléticas
 Hipotonía
 Hemihipertrofia
 Hemihipotrofia
 Escoliosis
 Deformidad torácica
Exámenes complementarios
 La tomografía axial computarizada y en
especial la resonancia magnética son
útiles para identificar anomalías del
SNC como atrofia cerebral focal o
generalizada y la hipoplasia o atrofia del
cerebelo
Tratamiento
 Tratamiento de la epilepsia: debe llevarse a
cabo un tratamiento agresivo y precoz de las
crisis. En ocasiones hay que recurrir a cirugía
de la epilepsia.
 Tratamiento del retraso mental y del retraso
psicomotor: estimulación precoz, escolarización
con apoyo y adaptación en muchos de los
casos, tratamiento logopédico en los trastornos
del lenguaje, tratamiento farmacológico del
déficit de atención…
 Tratamiento de las anomalías esqueléticas:
fisioterapia, tratamiento rehabilitador, ortésis,
cirugía ortopédica…
 Tratamiento de las manifestaciones oculares
Enfermedad de Sturge-Weber
 Angiomatosis encefalotrigeminal
 Etiopatogenia desconocida
 Mas frecuente dentro de los
sindromes neurocutaneos con
predominio de anomalias
vasculares.
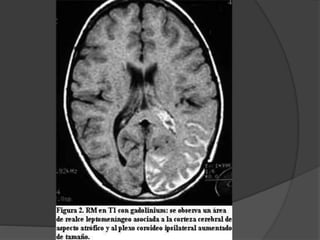
La lesion fundamental es una malformacion
vascular de tipo telangiectasico-venoso que
afecta:
 la coroides (angioma coroideo)
 la cara (angioma facial)
 el cerebro (angioma leptomeningeo)
Puede ser del mismo lado, bilateral o presentarse
inclompleto.
Mancha en
vino de
oporto
Otras afecciones
 Buftalmos
 Glaucoma
 Epilepsia
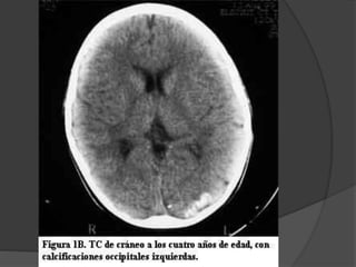
 Calcificaciones cerebrales
 Retraso mental
 Hemianopsia
 Hemiparesia
Diagnostico
 Clínica
 TC y RM
Tratamiento
 Crisis epilépticas
 Tratamiento quirúrgico (unilateral, ep.
Refractaria y sin retraso mental)
 Aspirina (controversial)
 Laserterapia (estético)
Incontinecia Pigmenti
 También llamado síndrome e Bloch-
Sulzberger.
 Genodermatosis rara que afecta a
tejidos derivados del mesodermo y
ectodermo.
 Descrita por primera vez por Garrod en
1906 y clasificada por sus
características anatamopatologicas y
clínicas por Bloch-Sluzberger en 1926.
 La causa una mutación en el gen
NEMO/IKK cuyo loccus se encuentra en
Xq28 (dominante cromosoma X)
 Predominante en mujeres debido a que
casi todos los varones mueren intra-
utero, excepto los que presentan un
cariotipo 47 XXY, una alteracion con
menos mutaciones deleteras o
mosaicismo somatico.
Manifestaciones Clínicas
Cutáneas
 Primer estadio: Se caracteriza por lesiones
eritematopapulosas de distibucion por las
lineas de Blascko, localizados principalmenste
en tronco y extremidades (primeras dos
semanas de vida).
 Segundo estadio: se caracteriza por la
presencia de papulas de aspecto
hiperqueratosico o verrucoso. Las lesiones se
pustalizan o queratinizan. Aparece entre las
dos y seis semanas de vida.
 Tercer estadio: se caracteriza por lesiones
hiperpigmentadas de color marron grisaceo en
el tronco.
 Cuarto estadio: solo presente en un tercio de
los pacientes, se distingue por lesiones
autoinvolutivas hipopigmentadas o atroficas.
Pueden acompañarse de hipotricosis o
anhidrosis. Suele desarrollarse durante la
adolescencia.
Manifestaciones Clínicas
Extracutáneas
 Alteraciones dentales (65%) con anodoncia
parcial o completa, dientes conicos o retraso en
la erupcion de los dientes.
 Alteraciones oculares (35%) por afetacion
retiniana o no retiniana (microftalmia, cataratas)
 Alteraciones neurologicas (30-35%)
convulsiones, retraso mental, motor
 Otras alteraciones: deformidades esqueleticas,
labio leporino, anomalias cardiacas o
utogenitales.
Tratamiento
 El tratamiento es sintomático
 Se da curación a heridas e hidratación de piel
y en caso de infección antibióticos
 Uso de laser no recomendado
 En caso de anomalías dentales tratamiento
con el dentista (es apropiado a los 2 años de
edad)
 Tratamiento para las manifestaciones
oftálmicas y para convulsiones (en caso de
que se presenten)

Enfermedades neurocutaneas: Facomatosis

  • 1.
  • 2.
    Introducción  Facomatosis procededel griego Phakos significa mancha o lunar.  Se definen en términos generales como displasias o anomalías del desarrollo embrionario, hereditarias, en mayoría autosómicas dominantes, caracterizadas por la aparición de manchas muco-cutáneas congénitas, acompañadas de formaciones tumorales originadas a partir de células no diferenciadas y en relación con otras malformaciones de nacimiento.
  • 3.
    Dentro de lasfacomatosis con predominio neuroectodérmico se incluyen: • La neurofibromatosis múltiple o enfermedad de Von Recklinghausen. • La esclerosis cerebral tuberosa o enfermedad de Bourneville. • El síndrome de Watson (que se acompaña de retraso mental). • El síndrome de Walter-Polansky (asociado a cardiopatía congénita), etc. Dentro de las facomatosis de origen mesodérmico, se incluyen las siguientes: • Enfermedad de Sturge-Weber-Krabbe. • Enfermedad de Von Hippel-Lindau. • El síndrome de Klippel-Trenaunay. • La telangiectasia hemorrágica o enfermedad de Rendu-Osler- Weber. • Los aneurismas neuro-óculo-faciales arteriovenosos, etc.
  • 5.
    NEUROFIBROMATOSIS TIPO 1 O Von recklinghausen, debido al patólogo alemán que describió por primera vez esta enfermedad en 1882.  Es un trastorno dominante autosomico.  Incidencia 1 en 3000.  Causado por índole familiar la mitad de los casos y el resto es por nuevas mutaciones.
  • 6.
     El genNF1 en el cromosoma 17q11.2 codifica la proteína “Neurofibromina”, que pertenece a la familia que activa la guanosina trifosfatasa, la cual a su vez regula el protooncogen ¨ras¨ de sarcoma murino.  Causa: tumores del SN (neurofibromas, neurofibromas plexiformes, gliomas del nervio óptico, tumores cutáneos múltiples, blandos y consistencia de caucho.
  • 8.
     MC: manchasde café con leche (pecas), nódulos de Lisch, neurofibromas dermicos, corta estatura y macrocefalia.
  • 9.
    Complicaciones  HTA  NeurofibromasPlexiformes  Cancer (tumores embrionarios y neurosarcomas)  Dificultad de aprendizaje  Pseudoartrosis  Escoliosis  Glioma Optico  Epilepsia  Neurofibromas de la medula espinal
  • 14.
    NEUROFIBROMATOSIS TIPO 2 o NF del VIII par craneal.  Es menos frecuente, con incidencia de 1 por 40000.  Es un trastorno dominante autosomico.  Causado por mutaciones nuevas.
  • 15.
     El genNF2 en 22q que codifica una proteína citoesquelética llamada “merlina” que actúa como oncosupresora.  Se caracteriza por shwannomas vestibulares bilaterales (90%), meningiomas múltiples, opacidades subscapulares del cristalino y hemartomas retinianos.
  • 17.
    ESCLEROSIS TUBEROSA  OBourneville.  Es un trastorno dominante autosomico.  Incidencia de 1 en 10000 neonatos vivos.  Causado por mutaciones en el gen TSC1.
  • 18.
     En elcromosoma 9q34 codifica la proteína llamada “hemartina”.  En el cromosoma 16p13.3 codifica la proteína “tuberina”.  Estas dos forman un complejo que inhibe las señales celulares a través del mTOR y actúa como regulador negativo del ciclo celular.
  • 19.
     Puede afectarcualquiera o todos los sistemas del cuerpo, causando una variedad de signos y de síntomas.  Muy leves hasta sumamente graves.  Los tumores benignos que ocurren con frecuencia en el CET, otros síntomas comunes incluyen las convulsiones, el retraso mental, problemas de conducta y anormalidades de la piel.  Más comúnmente en el cerebro, los riñones, el corazón, los pulmones y la piel.
  • 20.
    Afecta:  Renal: 40-80% -quistes(pequeños, aparecen en números limitados y no causan ningun problema serio). -angiomiolipomas (son crecimientos benignos formados por tejido graso y células musculares).  Cerebro: -los tubérculos corticales (se forman en la superficie del cerebro) -los nódulos subependimales (en las paredes de los ventrículos) -astrocitomas de células gigantes (causan una acumulación del líquido y presión y produciendo dolores de cabeza y visión nublada)
  • 21.
     Los facomasoculares, aparecen como manchas blancas en la retina, generalmente no causan la perdida de la visión.  Piel: -máculas hipomelánicas ("manchas tipo hojas cenizas"). - angiofibromas faciales (conformados por vasos sanguineos y tejido fibroso) - placas de la frente (son comunes y tipicas de esta enfermedad).
  • 22.
     MC: convulsiones,retraso mental, adenomas sebáceo, parches de piel áspera, maculas hipomelanoticas, angiomiolipomas renales.
  • 23.
    Como se diagnostica: Principalmente por clinica, TAC, RM.
  • 24.
     No haycura, aunque existe tratamiento para un número de síntomas.  Los antiepilépticos se pueden utilizar para controlar las convulsiones.  Los programas de intervención, incluyendo enseñanza especializada y terapia ocupacional, pueden beneficiar a individuos con necesidades especiales y problemas de desarrollo.  La cirugía, incluyendo la dermabrasión y el tratamiento con rayos láser pueden ser útiles en el tratamiento de las lesiones de la piel.
  • 25.
    Hipomelanosis de Ito Fue descrita originalmente como una entidad netamente cutánea por Ito en 1952.  1 en 10,000  Es la tercera enfermedad neurocutanea mas comun  Etiologia desconocida pero se cree es causada por un mosaisimo cromosomal de ciertor genes como el 9q33-qter, 15q11-q13, y el Xp11
  • 26.
    Manifestaciones Clínicas En estaenfermedad se afecta lo siguiente:  La piel  El pelo  El musculo esquelético  El SNC  Los ojos
  • 27.
    Piel  Maculas hipopigmentadasque siguen las lineas de Blaschko  Manchas de café con leche  Cutis marmorata  Nevus angiomatoso  Ictiosis  Mancha mongolica
  • 29.
    Pelo, uñas ydientes  Alopecia focal o difusa  Ausencia de uñas  Alteraciones en numero, tamaño y espacio de dientes  Hamartomas dentales  Implatacion dentaria anormal
  • 31.
    Oculares  Estrabismo  Nistagmus Miopia  Asimetria corneal  Cataratas  Microftalmia  Hipopigmentacion de retina
  • 32.
    SNC  Retraso enel desarrollo  Retraso mental  Convulsiones  Comportamiento autista
  • 33.
    Musculares esqueléticas  Hipotonía Hemihipertrofia  Hemihipotrofia  Escoliosis  Deformidad torácica
  • 34.
    Exámenes complementarios  Latomografía axial computarizada y en especial la resonancia magnética son útiles para identificar anomalías del SNC como atrofia cerebral focal o generalizada y la hipoplasia o atrofia del cerebelo
  • 36.
    Tratamiento  Tratamiento dela epilepsia: debe llevarse a cabo un tratamiento agresivo y precoz de las crisis. En ocasiones hay que recurrir a cirugía de la epilepsia.  Tratamiento del retraso mental y del retraso psicomotor: estimulación precoz, escolarización con apoyo y adaptación en muchos de los casos, tratamiento logopédico en los trastornos del lenguaje, tratamiento farmacológico del déficit de atención…  Tratamiento de las anomalías esqueléticas: fisioterapia, tratamiento rehabilitador, ortésis, cirugía ortopédica…  Tratamiento de las manifestaciones oculares
  • 37.
    Enfermedad de Sturge-Weber Angiomatosis encefalotrigeminal  Etiopatogenia desconocida  Mas frecuente dentro de los sindromes neurocutaneos con predominio de anomalias vasculares.
  • 38.
    La lesion fundamentales una malformacion vascular de tipo telangiectasico-venoso que afecta:  la coroides (angioma coroideo)  la cara (angioma facial)  el cerebro (angioma leptomeningeo) Puede ser del mismo lado, bilateral o presentarse inclompleto. Mancha en vino de oporto
  • 39.
    Otras afecciones  Buftalmos Glaucoma  Epilepsia  Calcificaciones cerebrales  Retraso mental  Hemianopsia  Hemiparesia
  • 40.
  • 44.
    Tratamiento  Crisis epilépticas Tratamiento quirúrgico (unilateral, ep. Refractaria y sin retraso mental)  Aspirina (controversial)  Laserterapia (estético)
  • 45.
    Incontinecia Pigmenti  Tambiénllamado síndrome e Bloch- Sulzberger.  Genodermatosis rara que afecta a tejidos derivados del mesodermo y ectodermo.  Descrita por primera vez por Garrod en 1906 y clasificada por sus características anatamopatologicas y clínicas por Bloch-Sluzberger en 1926.
  • 46.
     La causauna mutación en el gen NEMO/IKK cuyo loccus se encuentra en Xq28 (dominante cromosoma X)  Predominante en mujeres debido a que casi todos los varones mueren intra- utero, excepto los que presentan un cariotipo 47 XXY, una alteracion con menos mutaciones deleteras o mosaicismo somatico.
  • 47.
    Manifestaciones Clínicas Cutáneas  Primerestadio: Se caracteriza por lesiones eritematopapulosas de distibucion por las lineas de Blascko, localizados principalmenste en tronco y extremidades (primeras dos semanas de vida).  Segundo estadio: se caracteriza por la presencia de papulas de aspecto hiperqueratosico o verrucoso. Las lesiones se pustalizan o queratinizan. Aparece entre las dos y seis semanas de vida.
  • 48.
     Tercer estadio:se caracteriza por lesiones hiperpigmentadas de color marron grisaceo en el tronco.  Cuarto estadio: solo presente en un tercio de los pacientes, se distingue por lesiones autoinvolutivas hipopigmentadas o atroficas. Pueden acompañarse de hipotricosis o anhidrosis. Suele desarrollarse durante la adolescencia.
  • 50.
    Manifestaciones Clínicas Extracutáneas  Alteracionesdentales (65%) con anodoncia parcial o completa, dientes conicos o retraso en la erupcion de los dientes.  Alteraciones oculares (35%) por afetacion retiniana o no retiniana (microftalmia, cataratas)  Alteraciones neurologicas (30-35%) convulsiones, retraso mental, motor  Otras alteraciones: deformidades esqueleticas, labio leporino, anomalias cardiacas o utogenitales.
  • 53.
    Tratamiento  El tratamientoes sintomático  Se da curación a heridas e hidratación de piel y en caso de infección antibióticos  Uso de laser no recomendado  En caso de anomalías dentales tratamiento con el dentista (es apropiado a los 2 años de edad)  Tratamiento para las manifestaciones oftálmicas y para convulsiones (en caso de que se presenten)