Jesús Bautista Meneses
BENEMERITA UNIVERSIDAD
AUTONOMA DE PUEBLA

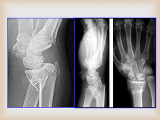
 Fractura de Colles:
se localiza a una distancia de 2 a 5 cm proximal a la articulación de la
muñeca y se asocia con angulación dorsal, desplazamiento radial y
acortamiento distal con deformación en tenedor de mesa.
FRACTURA DE
POUTEAU COLLES

 Fractura de Smith:
también llamada fractura de Colles invertida, se produce como
consecuencia de una caída hacia atrás con el brazo extendido y
sobre la palma de la mano, se localiza en la misma región de la
fractura de Colles, pero se asocia con desplazamiento palmar y
deformación en pala de jardinero.
FRACTURA DE
GOYRAND-SMITH

EPIDEMIOLOGÍA
Fractura
de
muñeca
49-69
años
Por
caída
mujeres

ANATOMÍA
Las articulaciones de la muñeca son:
• Articulación radio carpiana.
• Articulación cubito carpiana.
• Articulaciones de la hilera
carpiana.
• Articulación medio carpiana.
• Articulación radio cubital distal y
proximal.

 Primer mecanismo: caída sobre una
mano hiperextendida.
 El segundo mecanismo: lesión
durante una actividad deportiva
 El tercero mecanismo: representada
por accidentes automovilístico
PATOGENIA

Fractura de Smith
 Fractura de Colles invertida
 Caída sobre el dorso de la mano

FRACTURAS DEL EXTREMO DISTAL DEL
RADIO
Hipersensibilidad
Crepito óseo
edema
Limitación
funcional
Deformidad en
dorso de tenenor
Deformidad en
bayoneta
CUADRO CLINICO

 Enfermo generalmente de > 40 años.
 La evaluación debe comenzar con un interrogatorio.
 Dolor espontaneo y/o a la palpación, tumefacción, crepitación,
deformación de la muñeca (en forma de tenedor), y disminución
del espectro de movimiento.
ABORDAJE CLÍNIO
 Evaluación visual
 Delimitación de los movimientos flexión, extensión,
desviación cubital y radial, supinación y pronación. Debe
compararse con la amplitud del movimiento activo y
pasivo con la del miembro contralateral.
 cambios de color de la piel, asimetrías.
 La palpación puede contribuir a establecer un posible
diagnostico.
 Evaluación neuromuscular
EXAMEN FISICO

 La evaluación radiográfica incluye proyecciones antero-posterior
(AP), lateral (L) y oblicua que deben mostrar la extensión y
dirección del desplazamiento inicial.
 Tras la reducción cerrada deberán repetirse las radiografías para
identificar la deformidad residual y el grado de conminución.
GABINETE

Imagenologia
 Rx AP y L de Muñeca
 TAC


Reducción cerrada
Inmovilización por 6 semanas:
Radiografía control.
Bajo anestesia focal
Pulgares
sobre
segmento
desplazado
Tracción longitudinal

TRAMPA CHINA
Bajo tracción con trampa china

Fractura de Colles
 Tratamiento Quirúrgico:
 Se realiza cirugía + inmovilización

FRACTURAS DEL EXTREMO DISTAL DEL RADIO

 Lesiones nerviosas los nervios mediano y cubital
 Lesiones tendinosas mas frecuentes son ruptura del extensor largo
del pulgar.
 Artrosis postraumática
 Enfermedad de Dupuytren
 Tenosinovitis estenosante
 Inestabilidad carpiana y consolidación viciosa
 Pseudoartrosis radial y de la estiloides cubital
COMPLICACIONES

1. Mª.J. SERRANO DE LA CRUZ FERNÁNDEZ. Fracturas distales
de radio. Clasificación. Tratamiento conservador. Revista
Española de Cirugía Osteoarticular. N.º 236 . Vol. 46 . OCTUBRE
- DICIEMBRE 2008
2. Fitzgerald. Kaufer. Malkani. ORTOPEDIA. Tomo I. Editorial
Medica Panamericana. Sección III. Capitulo 9. Pág.. 340-352.
BIBLIOGRAFÍA

 Un buen sistema de clasificación debe tener tres características:
1. describir las fracturas (tipo y gravedad de las mismas)
2. Establecer un pronostico y orientar hacia el tratamiento
3. Facilitar la comunicación entre diferentes personas que la
usen como comparación.
Las clasificaciones publicadas son numerosa, pero ninguna es
universal ni permite resolver todos los problemas.
CLASIFICACIÓN

CLASIFICACIÓN UNIVERSAL DE LAS FRACTURAS DE RADIO Y SU TRATAMIENTO
CLASIFICACION DE FRACTURA TRATAMIENTO
No articular, no desplazada Inmovilización en yeso/férula
No articular, desplazada
a) reductible, estable Inmovilización en yeso+/-férula
b) reductible, inestable Agujas percutánea+/ -fijación externa
c) Irreductible Reduccón abierta y fijacion interna+ /- fijacion
externa.
Articular, no desplazada Inmovilización escayolada+/-agujas
percutaneas
Articular desplazada
d) Reductible, estable Reducción cerrada/agujas percutáneas
e) reductible, inestable Reducción cerrada, fijación externa +/- agujas
percutáneas
f) Irreductible Reducción cerrada +/- agujas percutáneas +/-
FI +/- FE
g) compleja Fijación con placa + injerto óseo +/- agujas
percutáneas

Fractura de colles

  • 1.
    Jesús Bautista Meneses BENEMERITAUNIVERSIDAD AUTONOMA DE PUEBLA
  • 2.
      Fractura deColles: se localiza a una distancia de 2 a 5 cm proximal a la articulación de la muñeca y se asocia con angulación dorsal, desplazamiento radial y acortamiento distal con deformación en tenedor de mesa. FRACTURA DE POUTEAU COLLES
  • 3.
      Fractura deSmith: también llamada fractura de Colles invertida, se produce como consecuencia de una caída hacia atrás con el brazo extendido y sobre la palma de la mano, se localiza en la misma región de la fractura de Colles, pero se asocia con desplazamiento palmar y deformación en pala de jardinero. FRACTURA DE GOYRAND-SMITH
  • 4.
  • 5.
     ANATOMÍA Las articulaciones dela muñeca son: • Articulación radio carpiana. • Articulación cubito carpiana. • Articulaciones de la hilera carpiana. • Articulación medio carpiana. • Articulación radio cubital distal y proximal.
  • 6.
      Primer mecanismo:caída sobre una mano hiperextendida.  El segundo mecanismo: lesión durante una actividad deportiva  El tercero mecanismo: representada por accidentes automovilístico PATOGENIA
  • 7.
     Fractura de Smith Fractura de Colles invertida  Caída sobre el dorso de la mano
  • 8.
     FRACTURAS DEL EXTREMODISTAL DEL RADIO
  • 9.
  • 10.
      Enfermo generalmentede > 40 años.  La evaluación debe comenzar con un interrogatorio.  Dolor espontaneo y/o a la palpación, tumefacción, crepitación, deformación de la muñeca (en forma de tenedor), y disminución del espectro de movimiento. ABORDAJE CLÍNIO
  • 11.
     Evaluación visual Delimitación de los movimientos flexión, extensión, desviación cubital y radial, supinación y pronación. Debe compararse con la amplitud del movimiento activo y pasivo con la del miembro contralateral.  cambios de color de la piel, asimetrías.  La palpación puede contribuir a establecer un posible diagnostico.  Evaluación neuromuscular EXAMEN FISICO
  • 12.
      La evaluaciónradiográfica incluye proyecciones antero-posterior (AP), lateral (L) y oblicua que deben mostrar la extensión y dirección del desplazamiento inicial.  Tras la reducción cerrada deberán repetirse las radiografías para identificar la deformidad residual y el grado de conminución. GABINETE
  • 13.
     Imagenologia  Rx APy L de Muñeca  TAC
  • 14.
  • 15.
     Reducción cerrada Inmovilización por6 semanas: Radiografía control.
  • 16.
  • 17.
  • 18.
  • 19.
     Fractura de Colles Tratamiento Quirúrgico:  Se realiza cirugía + inmovilización
  • 20.
     FRACTURAS DEL EXTREMODISTAL DEL RADIO
  • 21.
      Lesiones nerviosaslos nervios mediano y cubital  Lesiones tendinosas mas frecuentes son ruptura del extensor largo del pulgar.  Artrosis postraumática  Enfermedad de Dupuytren  Tenosinovitis estenosante  Inestabilidad carpiana y consolidación viciosa  Pseudoartrosis radial y de la estiloides cubital COMPLICACIONES
  • 22.
     1. Mª.J. SERRANODE LA CRUZ FERNÁNDEZ. Fracturas distales de radio. Clasificación. Tratamiento conservador. Revista Española de Cirugía Osteoarticular. N.º 236 . Vol. 46 . OCTUBRE - DICIEMBRE 2008 2. Fitzgerald. Kaufer. Malkani. ORTOPEDIA. Tomo I. Editorial Medica Panamericana. Sección III. Capitulo 9. Pág.. 340-352. BIBLIOGRAFÍA
  • 23.
      Un buensistema de clasificación debe tener tres características: 1. describir las fracturas (tipo y gravedad de las mismas) 2. Establecer un pronostico y orientar hacia el tratamiento 3. Facilitar la comunicación entre diferentes personas que la usen como comparación. Las clasificaciones publicadas son numerosa, pero ninguna es universal ni permite resolver todos los problemas. CLASIFICACIÓN
  • 24.
     CLASIFICACIÓN UNIVERSAL DELAS FRACTURAS DE RADIO Y SU TRATAMIENTO CLASIFICACION DE FRACTURA TRATAMIENTO No articular, no desplazada Inmovilización en yeso/férula No articular, desplazada a) reductible, estable Inmovilización en yeso+/-férula b) reductible, inestable Agujas percutánea+/ -fijación externa c) Irreductible Reduccón abierta y fijacion interna+ /- fijacion externa. Articular, no desplazada Inmovilización escayolada+/-agujas percutaneas Articular desplazada d) Reductible, estable Reducción cerrada/agujas percutáneas e) reductible, inestable Reducción cerrada, fijación externa +/- agujas percutáneas f) Irreductible Reducción cerrada +/- agujas percutáneas +/- FI +/- FE g) compleja Fijación con placa + injerto óseo +/- agujas percutáneas