Leucemias Crónicas



Conrado Solís Ríos
chok616@hotmail.com
http://chok616.blogspot.com/
• Las de importancia en México:

   – Granulocítica
   – Linfocítica
   – Células peludas o tricoleucemia


• Curso indolente, larga evolución y ausencia de
  células muy indiferenciadas; esto las distingue de LA.
Serie
                       granulocítica

                      Alteraciones en
      Proliferación
                         serie roja y
       neoplásica
                          plaquetas


LGC                      Stem Cell


      Anomalía del
      cromosoma           90% px
         CrPh1
• Incidencia internacional de 1-1.5/100 000 hbt

• Se puede observar a cualquier edad

  – 3% leucemias en general son niños

• Frecuencia aumenta predominando en
  adultos de 40-50 años

• Mas en varones que e mujeres 3:2
• Clínica
                   Típica                        CrPh1 presente
                  Atípica                        CrPh1 ausente
              Variedad juvenil                  Atípica del niño




• Predominio de célula madura
                            Leucemia eosinofíla crónica
                            Leucemia basofíla crónica
                        Leucemia monocitíca crónica
                            Leucemia neutrofíla crónica
• La medula ósea es de poca utilidad para el dx

   – Hiperplasia granulocítica
   – Fibrosis
   – Elementos maduros de la serie granulocítica disminución
     de la fosfatasa alcalina leucocitaria

• CrPh1 o gen quimérico BCR-ABL

• La proliferación de células se correlaciona con hepato-
  esplenomegalia, se puede encontrar hematopoyesis
  extramedular en estos sitios.
• La causa y origen no se conoces

• Se ha demostrado que existen genes alterados
  que se relacionan directamente con la presencia
  y permanencia de la entidad

• Oncogenes

• El por que aparecen dichos genes o las
  alteraciones cromosómicas no se a aclarado
• 10 a 20% el dx se efectúa cuando el px se encuentra asintomático

• En la citometría hemática se halla más de 30 000 leucocitos por mm3



• La anemia puede no existir y cuando se presenta suele ser moderada



• Las plaquetas suelen estar aumentadas en la mitad de los casos



• La trombocitopenia al momento del dx es excepcional.
• Síntomas Frecuentes
                   Debilidad                        50-55%
                   Hiporexia                        35-40%
              Pérdida de peso                       35-40%

             Molestas abdominales                   30-35%



• Síntomas vagos
                                     Fatiga
                                Pérdida de peso
                               Plenitud abdominal
                        Sangrado o dolor de abdomen
• EF
       Esplenomegalia     95%
       Hepatomegalia      50%
       Púrpura o fiebre   25%
• El dx se basa principalmente en los hallazgos de la citometría
  hemática.

• Tuberculosis, tumores que invaden medula ósea o infecciones
  agudas.

• En caso de duda buscar:

    – CrPh1
    – Niveles de fosfatasa alcalina leucocitaria
    – Gen quimérico BCR/ABL

• Mielofibrosis primaria (Metaplasia mieloide agnogénica)
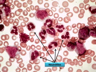
Neutrófilo   Mielocito




                   Neutrófilos
La evolución natural del padecimiento, una vez
   que se detecta en forma clínica, tiene un
  duración de aproximadamente 3 a 4 años.
Enf estable al inicio y
                                      responde
          Fase Crónica
                                 adecuadamente y
                                     rápido al Tx

                               Respuesta errática y el
                               padecimiento se torna
        Fase acelerada
                                agresivo y resistente
LGC                            después de unos años

                                 En lapso de 1 año se
                                 vuelve aguda con la
                               presencia de numerosos
                                   blastos (+ 20%)
      Fase o crisis blástica


                                       Muerte
• Criterios para considerar a un enfermo en
  remisión clínica

                  Desaparición de síntomas
                  Ausencia de viceromegalia
               Hemoglobina superior a 10 g/dL
              Recuento leucocitario <15 000 mm3
Tx difícilmente cambia el destino del
enfermo, en la actualidad prolonga y
       mejora la calidad de vida
• BUSALFÁN

  – Agente alquilante

  – Dosis inicial 4-10 mg/día VO con vigilancia semanal

  – Ajustar dosis con respuesta clínica y de laboratorio del px

  – 2-6 semanas se observa respuesta favorable px

  – Se asocia a cataratas, hiperpigmentación y fibrosis
    pulmonar

     • Solo se usa en ocasiones especiales y hasta que se logra la
       remisión
• HIDROXIUREA Y MELFALÁN

   – Resultados muy similares

   – Hidroxiurea, tiene una respuesta mas rápida y toxicidad menor y
     predecible

• INTERFERÓN Α

• Capaz de mantener la remisión de la enfermedad y reducir la
  cantidad de células CrPh1 positivas.

   – 5 millones de unidades/m2/día

   – Alto costo

   – Fiebre, cefalea, astenia y dolor óseo

   – Considerado uno de los mejores tratamientos
• MESILATO DE IMATINIB

  – Inhibe la cinasa de tirosina creada por el gen BCR-
    ABL

  – Tx extraordinariamente novedoso y dirigido
    selectivamente contra células anormal

  – 300-600 mg/día VO

  – Respuesta hematológicas completas en un 99% y
    citogenéticas 40-50%
• TRASPLANTE DE MÉDULA ÓSEA

  – Única opción curativa

  – Limitaciones para su aplicación:

     •   Alto costo
     •   Necesidad de un donador HLA idéntico
     •   Enfermedad injerto vs huésped
     •   Edad avanzada

  – Mejor opción terapéutica para px <55 años que no
    obtienen o no mantienen la remisión citogenética con
    el interferón α
• La llamada variedad juvenil es muy agresiva y presenta
  características clínicas atípicas como lesiones en la piel,
  gran organomegalia y mal respuesta al tx

• Supervivencia habitual oscila entre los 3-4 años a partir del
  dx

   – Px recibe solo quimioterapia
   – Mejora en Px que responden al interferón o mesilato de
     imatinib

• El trasplante puede curar definitivamente la enfermedad
• Se caracteriza por proliferación y acumulación de
  linfocitos de aspecto relativamente maduro o
  normal.

• Se origina en 90% de los casos en linfocitos B

• En México aunque se observa con alguna
  frecuencia probablemente ocupa el ultimo lugar

• Aparece de manera típica en individuos mayores
  de 50 años
• Proliferan los linfocitos morfológicamente indistinguibles de
  los normales en la mayoría de los casos

• Variantes de la enfermedad se observan en linfocitos
  anormales con grandes núcleos como en la leucemia
  prolinfocítica

• Tejido linfoide
   –   Sangres
   –   Médula ósea
   –   Ganglios linfáticos
   –   bazo
• Dx requiere estudio de aspiración de medula ósea en
  el que se observara infiltrado variable de linfocitos.



• Esta infiltración ocurre en forma nodular e irregular,
  el cual se asocia a un mejor pronostico que cuando
  hay infiltrado difuso.
• Radiación y agentes químicos no tienen papel importante

• Estudios han implicado a los virus (retrovirus) como causa etiológica
  mas probable

• Se han demostrado partículas virales en células cultivadas en px con
  LLC

• Existe predisposición genética familiar

• Mayoría px presentan alteraciones inmunológicas cromosómicas

    – Trisomía 12
    – Adición de material genético 14q+
Fatiga
       Al inicio es poco
      agresiva/indolente
                              Hiporexia

          Síntomas

                           Fiebre moderada

LLC

                            Adenomegalia



                            Adenomegalia

             EF

                           Esplenomegalia
• La linfocitosis en la citometría hemática de un
  enfermo asintomático con frecuencia constituye el
  dato inicial que lleva al Dx



• En los casos donde existe anemia, trombocitopenia o
  esplenomegalia importante, el pronostico es peor
• Clasificación clínica

                                                   Supervivencia
       Estadio               Criterios
                                                   media (años)
                  Ausencia de anemia y
         A        trombocitopenia, menos de            >10
                  tres áreas linfoides invadidas
                  Ausencia de anemia y
         B        trombocitopenia, 3 o + áreas          5
                  linfoides invadidas
                  Anemia ( Hb < 100 g/L y/o
                  trombocitopenia) , plaquetas
         C                                              2
                  <100x 109 /L
• Requiere confirmación absoluta de linfocitosis
  >6000 o + mm3 en la citometría

• Demostrar que la medula ósea se encuentra
  infiltrada mas de 30% por linfocitos de
  aspecto maduro

• Buen pronostico y supervivencia promedio
  cercana a los 5 años
• Alteraciones inmunológicas presentes:

   • Disminución de las inmunoglobulinas y tendencia a
     desarrollar complicaciones infecciosas

   • Enfermedades autoinmunes , en especial anemia
     hemolítica autoinmune.
Linfocitos
• En px donde la enfermedad es leve no
  requieren tx

  – Px con recuento linfocitario bajo
  – Sin anemia o trombocitopenia
  – Ausencia de adenomegalia y esplenomegalia
– Clorambucil
   • Ag alquilante que impide la división del DNA
– Prednisona
   • Corticoesteroide que es capaz de destruir linfocitos
     inmaduros
– Este tx se reserva para aquellos px en etapas
  avanzadas
– Se utiliza en casos resistentes al clorambucil

– Mejora las expectativas favorables de esta leucemia

– Su combinación con ciclofosmadia es muy eficaz
    • Mielosupresión
    • Inmunodeficiencia prolongada

– La combinación con ciclofosfamida reduce rápidamente la cifra
  de leucocitos y la carga tumoral

– Si se agrega AcMo anti CD20 a esta combinación:

    • Resultados excelentes desde el punto de vista antitumoral
    • Aumenta la supervivencia libre de enfermedad en px refractarios a
      otros tx y estadios avanzados
– Objetivos tx
   • Controlar
   • Hacer retroceder los efectos negativos


– No se puede lograr la curación en vista de que es
  prácticamente imposible erradicar por completo la clona
  de células leucémicas a menos que se recurra a trasplante
  alogenico de células hematopoyéticas.
– Indicado en px menores de 50 años con estadios
  avanzados

– Trasplante con quimioterapia de preparación
  menos agresiva, T. no mieloablativo o
  minitrasplante; permite aspirar a la curación en
  px >60 años.
• Supervivencia promedio de 5 años

• Px con estadios avanzados o fenotipo
  leucémico tipo T, supervivencia promedio de
  3 años
• Enfermedad linfoproliferativa originada en
  linfocitos B

• Las células se caracterizan por tener
  prolongaciones citoplasmáticas “pelos” y
  poseer fosfatasa acida positiva y resistente al
  tartrato

• Poco frecuente en México de predominio en
  el norte del país
• Medula ósea suele mostrar infiltración y fibrosis

• Con frecuencia se requiere biopsia de hueso y
  medula ósea para obtener suficiente tejido
  demostrativo

• El bazo esta infiltrado difusamente y en ocasiones
  se encuentra crecimiento ganglionar e infiltración
  de los ganglios
• La causa exacta no se conoce

• Es posible que los virus en particular
  retrovirus desempeñen un papel importante
  en la génesis
• La infiltración de medula ósea produce pancitopenia
  moderada

• Esplenomegalia moderada en el momento del dx

• Predomina en varones 5-8:1

• Cuadro clínico

   – Debilidad por anemia
   – Sangrado por la trombocitopenia
   – Infecciones repetidas
• Se basa en la demostración de linfocitos característicos
   – S. periférica
   – Medula ósea
   – Bazo

• Se sospecha el padecimiento en varón adulto (35-50 años)
  con pancitopenia y esplenomegalia

• Es necesario que las células deben ser positivas a fosfatasa
  ácida resistente al tartrato

• Citometría de flujo
Célula Peluda
   9
– Mejora de manera significativa las alteraciones de
  la sangre hasta en un 90%

– No cambia el curso de la enfermedad

– No mejora la tendencia a infectarse de los px
– Mejora significativamente a más de 80% de los px

– Se considera el tx inicial de elección




– Sujetos resistentes al interferón

– Tiene gran actividad antileucemica

– Alto costo
• Curso lento aunque progresivo

• Aun sin terapéutica la supervivencia incluso
  puede ser superior a 5 años a partir del dx
Gracias

Leucemias crónicas

  • 1.
    Leucemias Crónicas Conrado SolísRíos chok616@hotmail.com http://chok616.blogspot.com/
  • 2.
    • Las deimportancia en México: – Granulocítica – Linfocítica – Células peludas o tricoleucemia • Curso indolente, larga evolución y ausencia de células muy indiferenciadas; esto las distingue de LA.
  • 4.
    Serie granulocítica Alteraciones en Proliferación serie roja y neoplásica plaquetas LGC Stem Cell Anomalía del cromosoma 90% px CrPh1
  • 5.
    • Incidencia internacionalde 1-1.5/100 000 hbt • Se puede observar a cualquier edad – 3% leucemias en general son niños • Frecuencia aumenta predominando en adultos de 40-50 años • Mas en varones que e mujeres 3:2
  • 6.
    • Clínica Típica CrPh1 presente Atípica CrPh1 ausente Variedad juvenil Atípica del niño • Predominio de célula madura Leucemia eosinofíla crónica Leucemia basofíla crónica Leucemia monocitíca crónica Leucemia neutrofíla crónica
  • 7.
    • La medulaósea es de poca utilidad para el dx – Hiperplasia granulocítica – Fibrosis – Elementos maduros de la serie granulocítica disminución de la fosfatasa alcalina leucocitaria • CrPh1 o gen quimérico BCR-ABL • La proliferación de células se correlaciona con hepato- esplenomegalia, se puede encontrar hematopoyesis extramedular en estos sitios.
  • 8.
    • La causay origen no se conoces • Se ha demostrado que existen genes alterados que se relacionan directamente con la presencia y permanencia de la entidad • Oncogenes • El por que aparecen dichos genes o las alteraciones cromosómicas no se a aclarado
  • 9.
    • 10 a20% el dx se efectúa cuando el px se encuentra asintomático • En la citometría hemática se halla más de 30 000 leucocitos por mm3 • La anemia puede no existir y cuando se presenta suele ser moderada • Las plaquetas suelen estar aumentadas en la mitad de los casos • La trombocitopenia al momento del dx es excepcional.
  • 10.
    • Síntomas Frecuentes Debilidad 50-55% Hiporexia 35-40% Pérdida de peso 35-40% Molestas abdominales 30-35% • Síntomas vagos Fatiga Pérdida de peso Plenitud abdominal Sangrado o dolor de abdomen
  • 11.
    • EF Esplenomegalia 95% Hepatomegalia 50% Púrpura o fiebre 25%
  • 12.
    • El dxse basa principalmente en los hallazgos de la citometría hemática. • Tuberculosis, tumores que invaden medula ósea o infecciones agudas. • En caso de duda buscar: – CrPh1 – Niveles de fosfatasa alcalina leucocitaria – Gen quimérico BCR/ABL • Mielofibrosis primaria (Metaplasia mieloide agnogénica)
  • 13.
    Neutrófilo Mielocito Neutrófilos
  • 14.
    La evolución naturaldel padecimiento, una vez que se detecta en forma clínica, tiene un duración de aproximadamente 3 a 4 años.
  • 15.
    Enf estable alinicio y responde Fase Crónica adecuadamente y rápido al Tx Respuesta errática y el padecimiento se torna Fase acelerada agresivo y resistente LGC después de unos años En lapso de 1 año se vuelve aguda con la presencia de numerosos blastos (+ 20%) Fase o crisis blástica Muerte
  • 16.
    • Criterios paraconsiderar a un enfermo en remisión clínica Desaparición de síntomas Ausencia de viceromegalia Hemoglobina superior a 10 g/dL Recuento leucocitario <15 000 mm3
  • 17.
    Tx difícilmente cambiael destino del enfermo, en la actualidad prolonga y mejora la calidad de vida
  • 18.
    • BUSALFÁN – Agente alquilante – Dosis inicial 4-10 mg/día VO con vigilancia semanal – Ajustar dosis con respuesta clínica y de laboratorio del px – 2-6 semanas se observa respuesta favorable px – Se asocia a cataratas, hiperpigmentación y fibrosis pulmonar • Solo se usa en ocasiones especiales y hasta que se logra la remisión
  • 19.
    • HIDROXIUREA YMELFALÁN – Resultados muy similares – Hidroxiurea, tiene una respuesta mas rápida y toxicidad menor y predecible • INTERFERÓN Α • Capaz de mantener la remisión de la enfermedad y reducir la cantidad de células CrPh1 positivas. – 5 millones de unidades/m2/día – Alto costo – Fiebre, cefalea, astenia y dolor óseo – Considerado uno de los mejores tratamientos
  • 20.
    • MESILATO DEIMATINIB – Inhibe la cinasa de tirosina creada por el gen BCR- ABL – Tx extraordinariamente novedoso y dirigido selectivamente contra células anormal – 300-600 mg/día VO – Respuesta hematológicas completas en un 99% y citogenéticas 40-50%
  • 21.
    • TRASPLANTE DEMÉDULA ÓSEA – Única opción curativa – Limitaciones para su aplicación: • Alto costo • Necesidad de un donador HLA idéntico • Enfermedad injerto vs huésped • Edad avanzada – Mejor opción terapéutica para px <55 años que no obtienen o no mantienen la remisión citogenética con el interferón α
  • 22.
    • La llamadavariedad juvenil es muy agresiva y presenta características clínicas atípicas como lesiones en la piel, gran organomegalia y mal respuesta al tx • Supervivencia habitual oscila entre los 3-4 años a partir del dx – Px recibe solo quimioterapia – Mejora en Px que responden al interferón o mesilato de imatinib • El trasplante puede curar definitivamente la enfermedad
  • 24.
    • Se caracterizapor proliferación y acumulación de linfocitos de aspecto relativamente maduro o normal. • Se origina en 90% de los casos en linfocitos B • En México aunque se observa con alguna frecuencia probablemente ocupa el ultimo lugar • Aparece de manera típica en individuos mayores de 50 años
  • 25.
    • Proliferan loslinfocitos morfológicamente indistinguibles de los normales en la mayoría de los casos • Variantes de la enfermedad se observan en linfocitos anormales con grandes núcleos como en la leucemia prolinfocítica • Tejido linfoide – Sangres – Médula ósea – Ganglios linfáticos – bazo
  • 26.
    • Dx requiereestudio de aspiración de medula ósea en el que se observara infiltrado variable de linfocitos. • Esta infiltración ocurre en forma nodular e irregular, el cual se asocia a un mejor pronostico que cuando hay infiltrado difuso.
  • 27.
    • Radiación yagentes químicos no tienen papel importante • Estudios han implicado a los virus (retrovirus) como causa etiológica mas probable • Se han demostrado partículas virales en células cultivadas en px con LLC • Existe predisposición genética familiar • Mayoría px presentan alteraciones inmunológicas cromosómicas – Trisomía 12 – Adición de material genético 14q+
  • 28.
    Fatiga Al inicio es poco agresiva/indolente Hiporexia Síntomas Fiebre moderada LLC Adenomegalia Adenomegalia EF Esplenomegalia
  • 29.
    • La linfocitosisen la citometría hemática de un enfermo asintomático con frecuencia constituye el dato inicial que lleva al Dx • En los casos donde existe anemia, trombocitopenia o esplenomegalia importante, el pronostico es peor
  • 30.
    • Clasificación clínica Supervivencia Estadio Criterios media (años) Ausencia de anemia y A trombocitopenia, menos de >10 tres áreas linfoides invadidas Ausencia de anemia y B trombocitopenia, 3 o + áreas 5 linfoides invadidas Anemia ( Hb < 100 g/L y/o trombocitopenia) , plaquetas C 2 <100x 109 /L
  • 31.
    • Requiere confirmaciónabsoluta de linfocitosis >6000 o + mm3 en la citometría • Demostrar que la medula ósea se encuentra infiltrada mas de 30% por linfocitos de aspecto maduro • Buen pronostico y supervivencia promedio cercana a los 5 años
  • 32.
    • Alteraciones inmunológicaspresentes: • Disminución de las inmunoglobulinas y tendencia a desarrollar complicaciones infecciosas • Enfermedades autoinmunes , en especial anemia hemolítica autoinmune.
  • 33.
  • 34.
    • En pxdonde la enfermedad es leve no requieren tx – Px con recuento linfocitario bajo – Sin anemia o trombocitopenia – Ausencia de adenomegalia y esplenomegalia
  • 35.
    – Clorambucil • Ag alquilante que impide la división del DNA – Prednisona • Corticoesteroide que es capaz de destruir linfocitos inmaduros – Este tx se reserva para aquellos px en etapas avanzadas
  • 36.
    – Se utilizaen casos resistentes al clorambucil – Mejora las expectativas favorables de esta leucemia – Su combinación con ciclofosmadia es muy eficaz • Mielosupresión • Inmunodeficiencia prolongada – La combinación con ciclofosfamida reduce rápidamente la cifra de leucocitos y la carga tumoral – Si se agrega AcMo anti CD20 a esta combinación: • Resultados excelentes desde el punto de vista antitumoral • Aumenta la supervivencia libre de enfermedad en px refractarios a otros tx y estadios avanzados
  • 37.
    – Objetivos tx • Controlar • Hacer retroceder los efectos negativos – No se puede lograr la curación en vista de que es prácticamente imposible erradicar por completo la clona de células leucémicas a menos que se recurra a trasplante alogenico de células hematopoyéticas.
  • 38.
    – Indicado enpx menores de 50 años con estadios avanzados – Trasplante con quimioterapia de preparación menos agresiva, T. no mieloablativo o minitrasplante; permite aspirar a la curación en px >60 años.
  • 39.
    • Supervivencia promediode 5 años • Px con estadios avanzados o fenotipo leucémico tipo T, supervivencia promedio de 3 años
  • 41.
    • Enfermedad linfoproliferativaoriginada en linfocitos B • Las células se caracterizan por tener prolongaciones citoplasmáticas “pelos” y poseer fosfatasa acida positiva y resistente al tartrato • Poco frecuente en México de predominio en el norte del país
  • 42.
    • Medula óseasuele mostrar infiltración y fibrosis • Con frecuencia se requiere biopsia de hueso y medula ósea para obtener suficiente tejido demostrativo • El bazo esta infiltrado difusamente y en ocasiones se encuentra crecimiento ganglionar e infiltración de los ganglios
  • 43.
    • La causaexacta no se conoce • Es posible que los virus en particular retrovirus desempeñen un papel importante en la génesis
  • 44.
    • La infiltraciónde medula ósea produce pancitopenia moderada • Esplenomegalia moderada en el momento del dx • Predomina en varones 5-8:1 • Cuadro clínico – Debilidad por anemia – Sangrado por la trombocitopenia – Infecciones repetidas
  • 45.
    • Se basaen la demostración de linfocitos característicos – S. periférica – Medula ósea – Bazo • Se sospecha el padecimiento en varón adulto (35-50 años) con pancitopenia y esplenomegalia • Es necesario que las células deben ser positivas a fosfatasa ácida resistente al tartrato • Citometría de flujo
  • 46.
  • 47.
    – Mejora demanera significativa las alteraciones de la sangre hasta en un 90% – No cambia el curso de la enfermedad – No mejora la tendencia a infectarse de los px
  • 48.
    – Mejora significativamentea más de 80% de los px – Se considera el tx inicial de elección – Sujetos resistentes al interferón – Tiene gran actividad antileucemica – Alto costo
  • 49.
    • Curso lentoaunque progresivo • Aun sin terapéutica la supervivencia incluso puede ser superior a 5 años a partir del dx
  • 50.