““LITIASIS URINARIA”LITIASIS URINARIA”
HOSP. REGIONAL VALENTINHOSP. REGIONAL VALENTIN
GOMEZ FARIASGOMEZ FARIAS
ISSSTE.ISSSTE.
GUADALAJARA, JAL.GUADALAJARA, JAL.
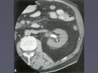
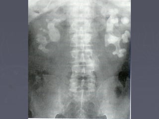
►Paciente femenino de 36 años de edadPaciente femenino de 36 años de edad
►Inicia su padecimiento hace 8 hrs, con dolorInicia su padecimiento hace 8 hrs, con dolor
en fosa renal izquierda, de inicio súbito deen fosa renal izquierda, de inicio súbito de
tipo opresivo, que fue aumentando detipo opresivo, que fue aumentando de
intensidad, que se acompaña deintensidad, que se acompaña de
escalofrios, disuria, polaquiuria, por lo queescalofrios, disuria, polaquiuria, por lo que
decide acudir a este nosocomio.decide acudir a este nosocomio.
►EF: paciente con fascies de dolor,EF: paciente con fascies de dolor,
cambiando constantemente de posición,cambiando constantemente de posición,
cardiopulmonar sin compromiso, abdomencardiopulmonar sin compromiso, abdomen
peristaltismo presente normal, blando,peristaltismo presente normal, blando,
depresible, no doloroso, giordano izquierdo,depresible, no doloroso, giordano izquierdo,
genitales acordes a edad y sexo,genitales acordes a edad y sexo,
extremidades sin alteraciones aparentes.extremidades sin alteraciones aparentes.
►EGO: luec 20-25 x C, erit 45 x C, Hb +++,EGO: luec 20-25 x C, erit 45 x C, Hb +++,
cilindros leucocitarios abundantes,cilindros leucocitarios abundantes,
abundantes cristales de oxalato, densidadabundantes cristales de oxalato, densidad
1.025.1.025.
►QS: Gluc 102, urea 28, crea 1.3QS: Gluc 102, urea 28, crea 1.3
►BH: leuc 8.5, Hb 13.4, plaq 244, Htc 40.2BH: leuc 8.5, Hb 13.4, plaq 244, Htc 40.2
Epidemiologia:Epidemiologia:
► Litiasis problema de antigüedad: Momias egipciasLitiasis problema de antigüedad: Momias egipcias
4800 años AC.4800 años AC.
► Hipocrates: “No cortare, ni aun por el càlculo, sinoHipocrates: “No cortare, ni aun por el càlculo, sino
que dejare tales procedimientos a los practicantesque dejare tales procedimientos a los practicantes
del arte”.del arte”.
► Prevalencia: 2-3%Prevalencia: 2-3%
► Hombre blanco > 70 años: 1 en 8.Hombre blanco > 70 años: 1 en 8.
► Recurrencia: Oxalato de calcio sin Tx 10% al año,Recurrencia: Oxalato de calcio sin Tx 10% al año,
35% a 5 años y 50% a 10 años.35% a 5 años y 50% a 10 años.
► EU. 1700, 000, 000 de dolares.EU. 1700, 000, 000 de dolares.
Epidemiologia:Epidemiologia:
► 1980: problema de salud, requeria extensos1980: problema de salud, requeria extensos
procedimientos qx. Advenimiento tecnologico.procedimientos qx. Advenimiento tecnologico.
► 20% PO continuaban con proceso obstructivo o20% PO continuaban con proceso obstructivo o
infeccioso y desarrollaban IRC.infeccioso y desarrollaban IRC.
► Factores geneticos:Raros en nativos americanos,Factores geneticos:Raros en nativos americanos,
negros africanos, judios.negros africanos, judios.
► Mayor incidencia: Paises frios, asiaticos y blancos.Mayor incidencia: Paises frios, asiaticos y blancos.
► 25% historia familiar de calculos renales.25% historia familiar de calculos renales.
► Enfs: Ac Tubular renal, Cistinuria, xantinuria, etc.Enfs: Ac Tubular renal, Cistinuria, xantinuria, etc.
Epidemiologia:Epidemiologia:
►Edad y sexo: 20 – 40 años.Edad y sexo: 20 – 40 años.
►3: 1 hombre- mujer3: 1 hombre- mujer
►““androgenos > excrecion urinaria deandrogenos > excrecion urinaria de
oxalatos, concentracion plasmatica yoxalatos, concentracion plasmatica y
depositos renales de cristales de oxalatodepositos renales de cristales de oxalato
de ca y los estrogenos lo dismuniyen”.de ca y los estrogenos lo dismuniyen”.
Mis imágenes2005-04 (abr)litiais.jpg
Factores Extrinsecos:Factores Extrinsecos:
► Geografia: Areas montañosas, deserticas oGeografia: Areas montañosas, deserticas o
tropicales.tropicales.
► Clima y estaciòn: Despues de 1 a 2 meses de queClima y estaciòn: Despues de 1 a 2 meses de que
se alcanza la temperatura media maxima anual.se alcanza la temperatura media maxima anual.
Verano (Julio-Agosto, sep)Verano (Julio-Agosto, sep)
► La exposicion a la luz solar > produccion de 1,25-La exposicion a la luz solar > produccion de 1,25-
dihidroxivitamina D3 y un > de excrecion de Cadihidroxivitamina D3 y un > de excrecion de Ca
urinario.urinario.
► Ingesta de agua:1) Transpiracion y respiracion VsIngesta de agua:1) Transpiracion y respiracion Vs
ingesta de agua. 2) Contenido de minerales eningesta de agua. 2) Contenido de minerales en
agua de la region.agua de la region.
Factores extrinsecos:Factores extrinsecos:
►Dieta: Purinas, cA, Fosfatos, ProductosDieta: Purinas, cA, Fosfatos, Productos
lacteos. Dieta alta en Na y baja en K.lacteos. Dieta alta en Na y baja en K.
►Ocupacion: Sedentarios. (naval: cocineros yOcupacion: Sedentarios. (naval: cocineros y
personal de cuarto de Ingenieros Vspersonal de cuarto de Ingenieros Vs
trabajadores manuales)trabajadores manuales)
►Estrés y calculos renales: EventosEstrés y calculos renales: Eventos
emocionales y economicos se asociaron aemocionales y economicos se asociaron a
litiasis.litiasis.
Fisicoquimica:Fisicoquimica:
►Constante de solubilidad termica:Constante de solubilidad termica:
Concentracion de los componentesConcentracion de los componentes
quimicos puros para los cuales los estadosquimicos puros para los cuales los estados
solidos y solventes estan en equilibrio.solidos y solventes estan en equilibrio.
►Saturacion: Proceso de evitar disolucion deSaturacion: Proceso de evitar disolucion de
cristales. (Temp y pH)cristales. (Temp y pH)
►Sobresaturacion: formacion de calculos.Sobresaturacion: formacion de calculos.
Fisicoquimica:Fisicoquimica:
►Nucleacion: Los calculos se originan de laNucleacion: Los calculos se originan de la
formación de cristales o de cuerposformación de cristales o de cuerpos
extraños inmersos en la orinaextraños inmersos en la orina
sobresaturada.sobresaturada.
►Nucleación heterogenea (epitaxia): requiereNucleación heterogenea (epitaxia): requiere
menos energía y puede ocurrir en orinamenos energía y puede ocurrir en orina
menos saturadamenos saturada
►Partículas fijas: postula que los cristalesPartículas fijas: postula que los cristales
formados son retenidos en el interior de lasformados son retenidos en el interior de las
células o debajo del epitelio renal (Randall)células o debajo del epitelio renal (Randall)
►Componentes de la matriz: constaComponentes de la matriz: consta
principalmente de proteínas, hexosa yprincipalmente de proteínas, hexosa y
hexosaminahexosamina
►Crecimiento de cristales: HomogeneosCrecimiento de cristales: Homogeneos
(Puros) o Heterogeneos (usando como(Puros) o Heterogeneos (usando como
base cels epiteliales, eritrocitos).base cels epiteliales, eritrocitos).
►Agregacion: En tubulos renales en minutosAgregacion: En tubulos renales en minutos
se forman.se forman.
Fisicoquimica:Fisicoquimica:
►Inhibicion de formacion de cristales: Mg yInhibicion de formacion de cristales: Mg y
citrato.citrato.
►Nefrocalcina: Glucoproteina renal acidaNefrocalcina: Glucoproteina renal acida
inhibe nucleacion, crecimiento y agregacioninhibe nucleacion, crecimiento y agregacion
►Proteina de Tamm-Horsfall: La masProteina de Tamm-Horsfall: La mas
abundante de la orina inhibe agregacion.abundante de la orina inhibe agregacion.
►Uropontina: Inhibe crecimiento de cristalesUropontina: Inhibe crecimiento de cristales
►Bicunina: Cadena liviana de inhibidorBicunina: Cadena liviana de inhibidor
interalfa inhibe nucleacion y agregacion.interalfa inhibe nucleacion y agregacion.
Metabolismo de los MineralesMetabolismo de los Minerales
►Calcio: 600 a 1200mg en dieta occidental.Calcio: 600 a 1200mg en dieta occidental.
►Solo se absorbe 30-45%. La absorcionSolo se absorbe 30-45%. La absorcion
intestinal del Ca cambia inversamente conintestinal del Ca cambia inversamente con
la ingestion alimentaria.la ingestion alimentaria.
►El Ca es absorbido en estado ionico: Por loEl Ca es absorbido en estado ionico: Por lo
tanto sustancias que forman complejos contanto sustancias que forman complejos con
Ca (Fosfatos, citratos, sulfato, oxalato y acsCa (Fosfatos, citratos, sulfato, oxalato y acs
grasos) Disminuyen el Ca disponible paragrasos) Disminuyen el Ca disponible para
absorcion.absorcion.
Calcio:Calcio:
►Luz Solar: Conversion de 7Luz Solar: Conversion de 7
dehidrocolesterol a previt D3 en la capa dedehidrocolesterol a previt D3 en la capa de
Malpighi de la piel.Malpighi de la piel.
►Se transporta al higado, donde se hidroxilaSe transporta al higado, donde se hidroxila
y se covierte en 25 hidroxivit D3.y se covierte en 25 hidroxivit D3.
►En riñon a nivel de los tubulosEn riñon a nivel de los tubulos
contorneados proximales se hidroxila y secontorneados proximales se hidroxila y se
convierte en 1,25 dihidroxiVit D3, previaconvierte en 1,25 dihidroxiVit D3, previa
estimulacion por PTH (Enz 1alfa hidroxilasaestimulacion por PTH (Enz 1alfa hidroxilasa
ubicada en la mitocondria de los tubulosubicada en la mitocondria de los tubulos
proximales).proximales).
Calcio:Calcio:
► El factor mas importante que regula la absorcionEl factor mas importante que regula la absorcion
activa o transcelular de Ca es 1,25activa o transcelular de Ca es 1,25
dihidroxivitamina D3 o calcitriol.dihidroxivitamina D3 o calcitriol.
► Es el mas potente estimulante de la absorcionEs el mas potente estimulante de la absorcion
intestinal de Ca.intestinal de Ca.
► Otros efectos indirectos: Hueso y riñon.Otros efectos indirectos: Hueso y riñon.
► Hueso: Estimula resorcion osea, > actividad deHueso: Estimula resorcion osea, > actividad de
osteoclastos en conjunto con PTH.osteoclastos en conjunto con PTH.
► Riñon: > Ca y fosfatoRiñon: > Ca y fosfato
► PTH: promueve resabsorcion renal de Ca yPTH: promueve resabsorcion renal de Ca y
excrecion de fosfatos.excrecion de fosfatos.
PTH:PTH:
►Importante en el metabolismo mineralImportante en el metabolismo mineral
normal.normal.
►Polipeptido de cadena unica de 84 aa,Polipeptido de cadena unica de 84 aa,
secretado por Glandulas paratiroideas.secretado por Glandulas paratiroideas.
►El màs potente estimulo para su secrecionEl màs potente estimulo para su secrecion
es la disminucion de Ca serico.es la disminucion de Ca serico.
►Estimula a los osteoclastos a desmineralizarEstimula a los osteoclastos a desmineralizar
el hueso mediante la degradacion del cristalel hueso mediante la degradacion del cristal
oseo: La apatita.oseo: La apatita.
Hipercalciuria absortivaHipercalciuria absortiva
►Incremento de la absorción intestinal deIncremento de la absorción intestinal de
calciocalcio
►Aumento de actividad de 1-25Aumento de actividad de 1-25
hidroxivitamina D3 aumentada 50%hidroxivitamina D3 aumentada 50%
►Tipo 1: aumenta la absorción de calcio yTipo 1: aumenta la absorción de calcio y
oxalato, pero la de Mg es normaloxalato, pero la de Mg es normal
►Tipo 2: aumento de la excreción urinaria deTipo 2: aumento de la excreción urinaria de
Ca con la dieta regular, pero excreciónCa con la dieta regular, pero excreción
urinaria normal con dieta baja en Naurinaria normal con dieta baja en Na
►Tipo 3: fosfato sérico bajo. Estimulación deTipo 3: fosfato sérico bajo. Estimulación de
1-25 hidroxivitamina D3, por su disminución1-25 hidroxivitamina D3, por su disminución
►Absorción de intestino elevada, Ca séricoAbsorción de intestino elevada, Ca sérico
elevado, niveles normales altoselevado, niveles normales altos
►Se suprime la parathormona, lo cual lleva aSe suprime la parathormona, lo cual lleva a
la hipercalciuriala hipercalciuria
Hipercalciuria renalHipercalciuria renal
►Perdida renal primaria de calcio yPerdida renal primaria de calcio y
estimulación de producción de PTH,estimulación de producción de PTH,
aumento de 1-25 HV D3, y lleva a valoresaumento de 1-25 HV D3, y lleva a valores
casi normales de Ca séricocasi normales de Ca sérico
►Los niveles de Ca están elevados en laLos niveles de Ca están elevados en la
hipercalciuria renalhipercalciuria renal
►Niveles Ca urinario elevado en ayuno yNiveles Ca urinario elevado en ayuno y
función paratiroidea elevada propio defunción paratiroidea elevada propio de
hipercalciuria renalhipercalciuria renal
TratamientoTratamiento
►Prostaglandinas incrementan la tasa deProstaglandinas incrementan la tasa de
filtración glomerular de calcio, los AINES lafiltración glomerular de calcio, los AINES la
reducen.reducen.
►Consumo de aceite de pescado u onagraConsumo de aceite de pescado u onagra
inhiben la conversión ac. Araquidónico ainhiben la conversión ac. Araquidónico a
prostagandinasprostagandinas
Hipercalciuria reabsortivaHipercalciuria reabsortiva
►Excesiva reabsorción de Ca por PTH,Excesiva reabsorción de Ca por PTH,
mejoramiento de la absorción intestinal demejoramiento de la absorción intestinal de
CaCa
►El incremento en la carga de la filtración deEl incremento en la carga de la filtración de
Ca abruma está reabsorción y conduce aCa abruma está reabsorción y conduce a
excreción excesiva de Caexcreción excesiva de Ca
Hipercalciuria idiopaticaHipercalciuria idiopatica
►5 a 10% de la gente sana5 a 10% de la gente sana
►Mitad de pacientes con nefrolitiásis cálciaMitad de pacientes con nefrolitiásis cálcia
►Autosomico dominanteAutosomico dominante
Hiperparatiroidismo primarioHiperparatiroidismo primario
►La prevalencia de enfermedad litiásicaLa prevalencia de enfermedad litiásica
puede ser tan baja como de 1% en estospuede ser tan baja como de 1% en estos
pacientes, en admisiones hospitalariaspacientes, en admisiones hospitalarias
►Aunque 36 a 70% de los mismos puedenAunque 36 a 70% de los mismos pueden
tener enfermedad litiásicatener enfermedad litiásica
TratamientoTratamiento
►En pacientes formadores de cálculos elEn pacientes formadores de cálculos el
primer paso es tratar la litiasis yprimer paso es tratar la litiasis y
posteriormente la resección quirúrgica delposteriormente la resección quirúrgica del
adenomaadenoma
Hipercalcemia asociada a neoplasiaHipercalcemia asociada a neoplasia
►Producción por parte del tumor deProducción por parte del tumor de
polipéptido relacionado con la PTHpolipéptido relacionado con la PTH
(hipercalcemia humoral de la enfermedad(hipercalcemia humoral de la enfermedad
maligna)maligna)
►Pulmón y mama 60%, células renales 10 aPulmón y mama 60%, células renales 10 a
15%, linfoma, mieloma etc15%, linfoma, mieloma etc
Fosfatos:Fosfatos:
►60% de fosfatos es absorbido por el60% de fosfatos es absorbido por el
intestino.intestino.
►Su transporte es pH dependiente: < loSu transporte es pH dependiente: < lo
inhibe, > lo estimula.inhibe, > lo estimula.
►65% del fosfato absorbido es excretado por65% del fosfato absorbido es excretado por
el riñon y el resto por el intestino.el riñon y el resto por el intestino.
►Se reabsorbe principalmente en el tubuloSe reabsorbe principalmente en el tubulo
proximal, la PTH inhibe esa reabsorción.proximal, la PTH inhibe esa reabsorción.
►Cálculos de fosfato de calcio y fosfatoCálculos de fosfato de calcio y fosfato
amónico-magnesioamónico-magnesio
►Se relaciona con la cantidad de fosfato enSe relaciona con la cantidad de fosfato en
la dieta (carnes, productos lácteos yla dieta (carnes, productos lácteos y
vegetales)vegetales)
Magnesio:Magnesio:
►La Vitamina D y PTH incrementan laLa Vitamina D y PTH incrementan la
absorcion de Mg.absorcion de Mg.
►Solo el 40% de Mg ingerido es absorbido.Solo el 40% de Mg ingerido es absorbido.
►El Mg inhibe la excrecion PTH, al > el Ca enEl Mg inhibe la excrecion PTH, al > el Ca en
cels papatiroideascels papatiroideas
►El 95% filtrado es reabsorbido por el riñonEl 95% filtrado es reabsorbido por el riñon
(Asa de Henle).(Asa de Henle).
►La deficiencia de Mg en la dieta seLa deficiencia de Mg en la dieta se
relaciona con aumento de litiasis urinaria.relaciona con aumento de litiasis urinaria.
►Con cálculos de oxalato de calcioCon cálculos de oxalato de calcio
Metabolismo del Oxalato:Metabolismo del Oxalato:
► El ac oxalico esta presente en muchas comidas yEl ac oxalico esta presente en muchas comidas y
bebidas (espina, ruibardo, hojas de Te y café enbebidas (espina, ruibardo, hojas de Te y café en
polvo).polvo).
► La absorcion de oxalato en intestino es escasa yLa absorcion de oxalato en intestino es escasa y
los niveles de oxalato urinario se elevan 3%los niveles de oxalato urinario se elevan 3%
despues de su ingestion.despues de su ingestion.
► La absorcion de oxalato esta aumentada enLa absorcion de oxalato esta aumentada en
pacientes con reseccion intestinal o Enfpacientes con reseccion intestinal o Enf
inflamatoria intestinal.inflamatoria intestinal.
► La mitad el oxalato ingerido es destruido porLa mitad el oxalato ingerido es destruido por
accion bacteriana (Oxalobacter formigenes yaccion bacteriana (Oxalobacter formigenes y
Pseudomona oxalaticus)Pseudomona oxalaticus)
Oxalato:Oxalato:
► El 80% del oxalato encontrado en la orinaEl 80% del oxalato encontrado en la orina
proviene de la produccion endogena realizada enproviene de la produccion endogena realizada en
Higado (Ac ascorbico y glicina) y 10% de la dieta.Higado (Ac ascorbico y glicina) y 10% de la dieta.
► El oxalato filtra por el glomerulo libremente y esEl oxalato filtra por el glomerulo libremente y es
segregado en toda longitud del tubulo proximal.segregado en toda longitud del tubulo proximal.
► Los cambios en la concentracion urinaria deLos cambios en la concentracion urinaria de
Oxalato son mas importantes que el Ca paraOxalato son mas importantes que el Ca para
determinar la saturacion de oxalato de Ca.determinar la saturacion de oxalato de Ca.
2) HIPEROXALURIA2) HIPEROXALURIA
► 3 Tipos:3 Tipos:
► a) Primaria: Raro transtorno genetico resultantea) Primaria: Raro transtorno genetico resultante
de > produccion hepatico de oxalato.(3 condi:de > produccion hepatico de oxalato.(3 condi:
Deficit Piridoxina, ingestion de Etilenglicol yDeficit Piridoxina, ingestion de Etilenglicol y
anestesia con metoxiflurano)anestesia con metoxiflurano)
► B) Enterica: Sx de malabsorcion o intestino corto.B) Enterica: Sx de malabsorcion o intestino corto.
► C) Idiopatica: > en transporte de oxalato por losC) Idiopatica: > en transporte de oxalato por los
eritrocitos.eritrocitos.
Citrato:Citrato:
► Es el mas importante formador de complejos deEs el mas importante formador de complejos de
calcio en la orina y reduce la concentracion de Cacalcio en la orina y reduce la concentracion de Ca
ionico.ionico.
► Ampliamente distribuido en el cuerpo y es fuenteAmpliamente distribuido en el cuerpo y es fuente
de energia.de energia.
► Se absorbe y es oxidado dando un carga alcalina.Se absorbe y es oxidado dando un carga alcalina.
► El principal determinante del manejo renal delEl principal determinante del manejo renal del
citrato es el estado ac-base del cuerpo.citrato es el estado ac-base del cuerpo.
► La acidosis metabolica facilita el flujo hacia elLa acidosis metabolica facilita el flujo hacia el
interior e inhibe la salida del citrato de lainterior e inhibe la salida del citrato de la
mitocondria de la corteza renal.mitocondria de la corteza renal.
Hipocitraturia:Hipocitraturia:
►La < de la excrecion urinaria de citratoLa < de la excrecion urinaria de citrato
participa en la formacion de complejos departicipa en la formacion de complejos de
Ca.Ca.
►15 al 63% presencia de hipocitraturia en15 al 63% presencia de hipocitraturia en
pacientes con nefrolitiasis.pacientes con nefrolitiasis.
►< 220mg/d de citrato.< 220mg/d de citrato.
►Estado de acidosis factor mas importante.Estado de acidosis factor mas importante.
Cistina:Cistina:
►Aas absorbido por el intestino yAas absorbido por el intestino y
transformado apartir de metionina.transformado apartir de metionina.
►El gen para el transporte de la cistinaEl gen para el transporte de la cistina
cromosoma 2; 4 mutaciones con cistinuria.cromosoma 2; 4 mutaciones con cistinuria.
►20mg/d excrecion urinaria.20mg/d excrecion urinaria.
►Se excretan Aas junto a cistina: Lisina,Se excretan Aas junto a cistina: Lisina,
arginina y ornitina.arginina y ornitina.
Calculos de Cistina:Calculos de Cistina:
►1% de todos los calculos.1% de todos los calculos.
►Pacientes con Cistinuria.Pacientes con Cistinuria.
►Transtorno autosomico recesivo delTranstorno autosomico recesivo del
transporte de cistina.transporte de cistina.
►Amarillos y cerosos. MultiplesAmarillos y cerosos. Multiples
(Coraliformes). Niños (2o y 3a decada).(Coraliformes). Niños (2o y 3a decada).
►Cistina poco soluble dentro del rango de pHCistina poco soluble dentro del rango de pH
urinario normal. > pH < solubilidad.urinario normal. > pH < solubilidad.
Hormonas sexuales y CalculosHormonas sexuales y Calculos
renales:renales:
► Los calculos renales de oxalato de Ca aparecenLos calculos renales de oxalato de Ca aparecen
mas frecuente en hombres que en mujeres.mas frecuente en hombres que en mujeres.
► Estrogenos, progesterona y testosterona modulanEstrogenos, progesterona y testosterona modulan
sintesis de 1-25-dihidroxivit D3 y la absorcionsintesis de 1-25-dihidroxivit D3 y la absorcion
intestinal de Ca.intestinal de Ca.
► Testosterona: > deposito renal y excrecion deTestosterona: > deposito renal y excrecion de
oxalato.oxalato.
► Estrogenos: < la excrecion urinaria de oxalatosEstrogenos: < la excrecion urinaria de oxalatos
Nanobacterias:Nanobacterias:
►Bacterias atipicas, citotoxicas.Bacterias atipicas, citotoxicas.
►Gram negativas.Gram negativas.
►Producen carbonato de apatita en susProducen carbonato de apatita en sus
paredes celulares.paredes celulares.
►Finlandia: Cultivaron en el 97% de losFinlandia: Cultivaron en el 97% de los
calculos renales.calculos renales.
Calculos de Acido Urico:Calculos de Acido Urico:
► El urato de Na es aprox 20 veces mas soluble enEl urato de Na es aprox 20 veces mas soluble en
agua que el ac. Urico libre y no cristaliza enagua que el ac. Urico libre y no cristaliza en
condiciones normales.condiciones normales.
► La causa principal de la cristalizacion del ac uricoLa causa principal de la cristalizacion del ac urico
es la sobresaturacion de la orina con respecto ales la sobresaturacion de la orina con respecto al
ac urico no disociado.ac urico no disociado.
► Acidez prolongada en la orina.Acidez prolongada en la orina.
► Puede absorber, producir y excretar mas ac uricoPuede absorber, producir y excretar mas ac urico
que los pacientes sin gota.que los pacientes sin gota.
► Volumenes urinarios disminuidos.Volumenes urinarios disminuidos.
Acido urico:Acido urico:
►1 c/1000 adultos en EU.1 c/1000 adultos en EU.
►5 al 10% de los calculos renales5 al 10% de los calculos renales
►80% calculos puros de ac urico.80% calculos puros de ac urico.
►Hombre – mujer =Hombre – mujer =
►Judios >Judios >
►Gota solo 20%.Gota solo 20%.
►Ausencia de Tx, la recurrencia es regla.Ausencia de Tx, la recurrencia es regla.
Calculos de Estruvita:Calculos de Estruvita:
► De infeccion.De infeccion.
► Primero que se supo que aquejaba al humano.Primero que se supo que aquejaba al humano.
► Compuesto por Mg, Amonio y fosfato mezcladosCompuesto por Mg, Amonio y fosfato mezclados
con carbonato.con carbonato.
► 2 al 20% de todos los calculos.2 al 20% de todos los calculos.
► Ph 7.2 o mas y amoniaco (bacterias productorasPh 7.2 o mas y amoniaco (bacterias productoras
de ureasa)de ureasa)
► Bacterias incrementan la adherencia de losBacterias incrementan la adherencia de los
cristales.cristales.
Calculos de estruvita:Calculos de estruvita:
►Responsable de la mayoria de los calculosResponsable de la mayoria de los calculos
coraliformes.coraliformes.
►Mas en mujeres x susceptibilidad a IVU.Mas en mujeres x susceptibilidad a IVU.
►Cuerpo extrano y Vejiga neurogenica.Cuerpo extrano y Vejiga neurogenica.
►Albergan bacterias con capacidadAlbergan bacterias con capacidad
infecciosa en el interior de sus intersticios.infecciosa en el interior de sus intersticios.
►Los calculos coraliformes no deben serLos calculos coraliformes no deben ser
seguidos sin tx .seguidos sin tx .
Litiaisis renal epidemio 2
Litiaisis renal epidemio 2

Litiaisis renal epidemio 2

  • 1.
    ““LITIASIS URINARIA”LITIASIS URINARIA” HOSP.REGIONAL VALENTINHOSP. REGIONAL VALENTIN GOMEZ FARIASGOMEZ FARIAS ISSSTE.ISSSTE. GUADALAJARA, JAL.GUADALAJARA, JAL.
  • 2.
    ►Paciente femenino de36 años de edadPaciente femenino de 36 años de edad ►Inicia su padecimiento hace 8 hrs, con dolorInicia su padecimiento hace 8 hrs, con dolor en fosa renal izquierda, de inicio súbito deen fosa renal izquierda, de inicio súbito de tipo opresivo, que fue aumentando detipo opresivo, que fue aumentando de intensidad, que se acompaña deintensidad, que se acompaña de escalofrios, disuria, polaquiuria, por lo queescalofrios, disuria, polaquiuria, por lo que decide acudir a este nosocomio.decide acudir a este nosocomio.
  • 3.
    ►EF: paciente confascies de dolor,EF: paciente con fascies de dolor, cambiando constantemente de posición,cambiando constantemente de posición, cardiopulmonar sin compromiso, abdomencardiopulmonar sin compromiso, abdomen peristaltismo presente normal, blando,peristaltismo presente normal, blando, depresible, no doloroso, giordano izquierdo,depresible, no doloroso, giordano izquierdo, genitales acordes a edad y sexo,genitales acordes a edad y sexo, extremidades sin alteraciones aparentes.extremidades sin alteraciones aparentes.
  • 4.
    ►EGO: luec 20-25x C, erit 45 x C, Hb +++,EGO: luec 20-25 x C, erit 45 x C, Hb +++, cilindros leucocitarios abundantes,cilindros leucocitarios abundantes, abundantes cristales de oxalato, densidadabundantes cristales de oxalato, densidad 1.025.1.025. ►QS: Gluc 102, urea 28, crea 1.3QS: Gluc 102, urea 28, crea 1.3 ►BH: leuc 8.5, Hb 13.4, plaq 244, Htc 40.2BH: leuc 8.5, Hb 13.4, plaq 244, Htc 40.2
  • 10.
    Epidemiologia:Epidemiologia: ► Litiasis problemade antigüedad: Momias egipciasLitiasis problema de antigüedad: Momias egipcias 4800 años AC.4800 años AC. ► Hipocrates: “No cortare, ni aun por el càlculo, sinoHipocrates: “No cortare, ni aun por el càlculo, sino que dejare tales procedimientos a los practicantesque dejare tales procedimientos a los practicantes del arte”.del arte”. ► Prevalencia: 2-3%Prevalencia: 2-3% ► Hombre blanco > 70 años: 1 en 8.Hombre blanco > 70 años: 1 en 8. ► Recurrencia: Oxalato de calcio sin Tx 10% al año,Recurrencia: Oxalato de calcio sin Tx 10% al año, 35% a 5 años y 50% a 10 años.35% a 5 años y 50% a 10 años. ► EU. 1700, 000, 000 de dolares.EU. 1700, 000, 000 de dolares.
  • 11.
    Epidemiologia:Epidemiologia: ► 1980: problemade salud, requeria extensos1980: problema de salud, requeria extensos procedimientos qx. Advenimiento tecnologico.procedimientos qx. Advenimiento tecnologico. ► 20% PO continuaban con proceso obstructivo o20% PO continuaban con proceso obstructivo o infeccioso y desarrollaban IRC.infeccioso y desarrollaban IRC. ► Factores geneticos:Raros en nativos americanos,Factores geneticos:Raros en nativos americanos, negros africanos, judios.negros africanos, judios. ► Mayor incidencia: Paises frios, asiaticos y blancos.Mayor incidencia: Paises frios, asiaticos y blancos. ► 25% historia familiar de calculos renales.25% historia familiar de calculos renales. ► Enfs: Ac Tubular renal, Cistinuria, xantinuria, etc.Enfs: Ac Tubular renal, Cistinuria, xantinuria, etc.
  • 12.
    Epidemiologia:Epidemiologia: ►Edad y sexo:20 – 40 años.Edad y sexo: 20 – 40 años. ►3: 1 hombre- mujer3: 1 hombre- mujer ►““androgenos > excrecion urinaria deandrogenos > excrecion urinaria de oxalatos, concentracion plasmatica yoxalatos, concentracion plasmatica y depositos renales de cristales de oxalatodepositos renales de cristales de oxalato de ca y los estrogenos lo dismuniyen”.de ca y los estrogenos lo dismuniyen”.
  • 13.
  • 14.
    Factores Extrinsecos:Factores Extrinsecos: ►Geografia: Areas montañosas, deserticas oGeografia: Areas montañosas, deserticas o tropicales.tropicales. ► Clima y estaciòn: Despues de 1 a 2 meses de queClima y estaciòn: Despues de 1 a 2 meses de que se alcanza la temperatura media maxima anual.se alcanza la temperatura media maxima anual. Verano (Julio-Agosto, sep)Verano (Julio-Agosto, sep) ► La exposicion a la luz solar > produccion de 1,25-La exposicion a la luz solar > produccion de 1,25- dihidroxivitamina D3 y un > de excrecion de Cadihidroxivitamina D3 y un > de excrecion de Ca urinario.urinario. ► Ingesta de agua:1) Transpiracion y respiracion VsIngesta de agua:1) Transpiracion y respiracion Vs ingesta de agua. 2) Contenido de minerales eningesta de agua. 2) Contenido de minerales en agua de la region.agua de la region.
  • 15.
    Factores extrinsecos:Factores extrinsecos: ►Dieta:Purinas, cA, Fosfatos, ProductosDieta: Purinas, cA, Fosfatos, Productos lacteos. Dieta alta en Na y baja en K.lacteos. Dieta alta en Na y baja en K. ►Ocupacion: Sedentarios. (naval: cocineros yOcupacion: Sedentarios. (naval: cocineros y personal de cuarto de Ingenieros Vspersonal de cuarto de Ingenieros Vs trabajadores manuales)trabajadores manuales) ►Estrés y calculos renales: EventosEstrés y calculos renales: Eventos emocionales y economicos se asociaron aemocionales y economicos se asociaron a litiasis.litiasis.
  • 16.
    Fisicoquimica:Fisicoquimica: ►Constante de solubilidadtermica:Constante de solubilidad termica: Concentracion de los componentesConcentracion de los componentes quimicos puros para los cuales los estadosquimicos puros para los cuales los estados solidos y solventes estan en equilibrio.solidos y solventes estan en equilibrio. ►Saturacion: Proceso de evitar disolucion deSaturacion: Proceso de evitar disolucion de cristales. (Temp y pH)cristales. (Temp y pH) ►Sobresaturacion: formacion de calculos.Sobresaturacion: formacion de calculos.
  • 17.
    Fisicoquimica:Fisicoquimica: ►Nucleacion: Los calculosse originan de laNucleacion: Los calculos se originan de la formación de cristales o de cuerposformación de cristales o de cuerpos extraños inmersos en la orinaextraños inmersos en la orina sobresaturada.sobresaturada. ►Nucleación heterogenea (epitaxia): requiereNucleación heterogenea (epitaxia): requiere menos energía y puede ocurrir en orinamenos energía y puede ocurrir en orina menos saturadamenos saturada
  • 18.
    ►Partículas fijas: postulaque los cristalesPartículas fijas: postula que los cristales formados son retenidos en el interior de lasformados son retenidos en el interior de las células o debajo del epitelio renal (Randall)células o debajo del epitelio renal (Randall) ►Componentes de la matriz: constaComponentes de la matriz: consta principalmente de proteínas, hexosa yprincipalmente de proteínas, hexosa y hexosaminahexosamina
  • 19.
    ►Crecimiento de cristales:HomogeneosCrecimiento de cristales: Homogeneos (Puros) o Heterogeneos (usando como(Puros) o Heterogeneos (usando como base cels epiteliales, eritrocitos).base cels epiteliales, eritrocitos). ►Agregacion: En tubulos renales en minutosAgregacion: En tubulos renales en minutos se forman.se forman.
  • 21.
    Fisicoquimica:Fisicoquimica: ►Inhibicion de formacionde cristales: Mg yInhibicion de formacion de cristales: Mg y citrato.citrato. ►Nefrocalcina: Glucoproteina renal acidaNefrocalcina: Glucoproteina renal acida inhibe nucleacion, crecimiento y agregacioninhibe nucleacion, crecimiento y agregacion ►Proteina de Tamm-Horsfall: La masProteina de Tamm-Horsfall: La mas abundante de la orina inhibe agregacion.abundante de la orina inhibe agregacion. ►Uropontina: Inhibe crecimiento de cristalesUropontina: Inhibe crecimiento de cristales ►Bicunina: Cadena liviana de inhibidorBicunina: Cadena liviana de inhibidor interalfa inhibe nucleacion y agregacion.interalfa inhibe nucleacion y agregacion.
  • 22.
    Metabolismo de losMineralesMetabolismo de los Minerales ►Calcio: 600 a 1200mg en dieta occidental.Calcio: 600 a 1200mg en dieta occidental. ►Solo se absorbe 30-45%. La absorcionSolo se absorbe 30-45%. La absorcion intestinal del Ca cambia inversamente conintestinal del Ca cambia inversamente con la ingestion alimentaria.la ingestion alimentaria. ►El Ca es absorbido en estado ionico: Por loEl Ca es absorbido en estado ionico: Por lo tanto sustancias que forman complejos contanto sustancias que forman complejos con Ca (Fosfatos, citratos, sulfato, oxalato y acsCa (Fosfatos, citratos, sulfato, oxalato y acs grasos) Disminuyen el Ca disponible paragrasos) Disminuyen el Ca disponible para absorcion.absorcion.
  • 24.
    Calcio:Calcio: ►Luz Solar: Conversionde 7Luz Solar: Conversion de 7 dehidrocolesterol a previt D3 en la capa dedehidrocolesterol a previt D3 en la capa de Malpighi de la piel.Malpighi de la piel. ►Se transporta al higado, donde se hidroxilaSe transporta al higado, donde se hidroxila y se covierte en 25 hidroxivit D3.y se covierte en 25 hidroxivit D3. ►En riñon a nivel de los tubulosEn riñon a nivel de los tubulos contorneados proximales se hidroxila y secontorneados proximales se hidroxila y se convierte en 1,25 dihidroxiVit D3, previaconvierte en 1,25 dihidroxiVit D3, previa estimulacion por PTH (Enz 1alfa hidroxilasaestimulacion por PTH (Enz 1alfa hidroxilasa ubicada en la mitocondria de los tubulosubicada en la mitocondria de los tubulos proximales).proximales).
  • 27.
    Calcio:Calcio: ► El factormas importante que regula la absorcionEl factor mas importante que regula la absorcion activa o transcelular de Ca es 1,25activa o transcelular de Ca es 1,25 dihidroxivitamina D3 o calcitriol.dihidroxivitamina D3 o calcitriol. ► Es el mas potente estimulante de la absorcionEs el mas potente estimulante de la absorcion intestinal de Ca.intestinal de Ca. ► Otros efectos indirectos: Hueso y riñon.Otros efectos indirectos: Hueso y riñon. ► Hueso: Estimula resorcion osea, > actividad deHueso: Estimula resorcion osea, > actividad de osteoclastos en conjunto con PTH.osteoclastos en conjunto con PTH. ► Riñon: > Ca y fosfatoRiñon: > Ca y fosfato ► PTH: promueve resabsorcion renal de Ca yPTH: promueve resabsorcion renal de Ca y excrecion de fosfatos.excrecion de fosfatos.
  • 28.
    PTH:PTH: ►Importante en elmetabolismo mineralImportante en el metabolismo mineral normal.normal. ►Polipeptido de cadena unica de 84 aa,Polipeptido de cadena unica de 84 aa, secretado por Glandulas paratiroideas.secretado por Glandulas paratiroideas. ►El màs potente estimulo para su secrecionEl màs potente estimulo para su secrecion es la disminucion de Ca serico.es la disminucion de Ca serico. ►Estimula a los osteoclastos a desmineralizarEstimula a los osteoclastos a desmineralizar el hueso mediante la degradacion del cristalel hueso mediante la degradacion del cristal oseo: La apatita.oseo: La apatita.
  • 29.
    Hipercalciuria absortivaHipercalciuria absortiva ►Incrementode la absorción intestinal deIncremento de la absorción intestinal de calciocalcio ►Aumento de actividad de 1-25Aumento de actividad de 1-25 hidroxivitamina D3 aumentada 50%hidroxivitamina D3 aumentada 50% ►Tipo 1: aumenta la absorción de calcio yTipo 1: aumenta la absorción de calcio y oxalato, pero la de Mg es normaloxalato, pero la de Mg es normal
  • 30.
    ►Tipo 2: aumentode la excreción urinaria deTipo 2: aumento de la excreción urinaria de Ca con la dieta regular, pero excreciónCa con la dieta regular, pero excreción urinaria normal con dieta baja en Naurinaria normal con dieta baja en Na ►Tipo 3: fosfato sérico bajo. Estimulación deTipo 3: fosfato sérico bajo. Estimulación de 1-25 hidroxivitamina D3, por su disminución1-25 hidroxivitamina D3, por su disminución
  • 31.
    ►Absorción de intestinoelevada, Ca séricoAbsorción de intestino elevada, Ca sérico elevado, niveles normales altoselevado, niveles normales altos ►Se suprime la parathormona, lo cual lleva aSe suprime la parathormona, lo cual lleva a la hipercalciuriala hipercalciuria
  • 32.
    Hipercalciuria renalHipercalciuria renal ►Perdidarenal primaria de calcio yPerdida renal primaria de calcio y estimulación de producción de PTH,estimulación de producción de PTH, aumento de 1-25 HV D3, y lleva a valoresaumento de 1-25 HV D3, y lleva a valores casi normales de Ca séricocasi normales de Ca sérico ►Los niveles de Ca están elevados en laLos niveles de Ca están elevados en la hipercalciuria renalhipercalciuria renal
  • 33.
    ►Niveles Ca urinarioelevado en ayuno yNiveles Ca urinario elevado en ayuno y función paratiroidea elevada propio defunción paratiroidea elevada propio de hipercalciuria renalhipercalciuria renal
  • 34.
    TratamientoTratamiento ►Prostaglandinas incrementan latasa deProstaglandinas incrementan la tasa de filtración glomerular de calcio, los AINES lafiltración glomerular de calcio, los AINES la reducen.reducen. ►Consumo de aceite de pescado u onagraConsumo de aceite de pescado u onagra inhiben la conversión ac. Araquidónico ainhiben la conversión ac. Araquidónico a prostagandinasprostagandinas
  • 35.
    Hipercalciuria reabsortivaHipercalciuria reabsortiva ►Excesivareabsorción de Ca por PTH,Excesiva reabsorción de Ca por PTH, mejoramiento de la absorción intestinal demejoramiento de la absorción intestinal de CaCa ►El incremento en la carga de la filtración deEl incremento en la carga de la filtración de Ca abruma está reabsorción y conduce aCa abruma está reabsorción y conduce a excreción excesiva de Caexcreción excesiva de Ca
  • 36.
    Hipercalciuria idiopaticaHipercalciuria idiopatica ►5a 10% de la gente sana5 a 10% de la gente sana ►Mitad de pacientes con nefrolitiásis cálciaMitad de pacientes con nefrolitiásis cálcia ►Autosomico dominanteAutosomico dominante
  • 37.
    Hiperparatiroidismo primarioHiperparatiroidismo primario ►Laprevalencia de enfermedad litiásicaLa prevalencia de enfermedad litiásica puede ser tan baja como de 1% en estospuede ser tan baja como de 1% en estos pacientes, en admisiones hospitalariaspacientes, en admisiones hospitalarias ►Aunque 36 a 70% de los mismos puedenAunque 36 a 70% de los mismos pueden tener enfermedad litiásicatener enfermedad litiásica
  • 38.
    TratamientoTratamiento ►En pacientes formadoresde cálculos elEn pacientes formadores de cálculos el primer paso es tratar la litiasis yprimer paso es tratar la litiasis y posteriormente la resección quirúrgica delposteriormente la resección quirúrgica del adenomaadenoma
  • 39.
    Hipercalcemia asociada aneoplasiaHipercalcemia asociada a neoplasia ►Producción por parte del tumor deProducción por parte del tumor de polipéptido relacionado con la PTHpolipéptido relacionado con la PTH (hipercalcemia humoral de la enfermedad(hipercalcemia humoral de la enfermedad maligna)maligna) ►Pulmón y mama 60%, células renales 10 aPulmón y mama 60%, células renales 10 a 15%, linfoma, mieloma etc15%, linfoma, mieloma etc
  • 40.
    Fosfatos:Fosfatos: ►60% de fosfatoses absorbido por el60% de fosfatos es absorbido por el intestino.intestino. ►Su transporte es pH dependiente: < loSu transporte es pH dependiente: < lo inhibe, > lo estimula.inhibe, > lo estimula. ►65% del fosfato absorbido es excretado por65% del fosfato absorbido es excretado por el riñon y el resto por el intestino.el riñon y el resto por el intestino. ►Se reabsorbe principalmente en el tubuloSe reabsorbe principalmente en el tubulo proximal, la PTH inhibe esa reabsorción.proximal, la PTH inhibe esa reabsorción.
  • 41.
    ►Cálculos de fosfatode calcio y fosfatoCálculos de fosfato de calcio y fosfato amónico-magnesioamónico-magnesio ►Se relaciona con la cantidad de fosfato enSe relaciona con la cantidad de fosfato en la dieta (carnes, productos lácteos yla dieta (carnes, productos lácteos y vegetales)vegetales)
  • 42.
    Magnesio:Magnesio: ►La Vitamina Dy PTH incrementan laLa Vitamina D y PTH incrementan la absorcion de Mg.absorcion de Mg. ►Solo el 40% de Mg ingerido es absorbido.Solo el 40% de Mg ingerido es absorbido. ►El Mg inhibe la excrecion PTH, al > el Ca enEl Mg inhibe la excrecion PTH, al > el Ca en cels papatiroideascels papatiroideas ►El 95% filtrado es reabsorbido por el riñonEl 95% filtrado es reabsorbido por el riñon (Asa de Henle).(Asa de Henle).
  • 43.
    ►La deficiencia deMg en la dieta seLa deficiencia de Mg en la dieta se relaciona con aumento de litiasis urinaria.relaciona con aumento de litiasis urinaria. ►Con cálculos de oxalato de calcioCon cálculos de oxalato de calcio
  • 44.
    Metabolismo del Oxalato:Metabolismodel Oxalato: ► El ac oxalico esta presente en muchas comidas yEl ac oxalico esta presente en muchas comidas y bebidas (espina, ruibardo, hojas de Te y café enbebidas (espina, ruibardo, hojas de Te y café en polvo).polvo). ► La absorcion de oxalato en intestino es escasa yLa absorcion de oxalato en intestino es escasa y los niveles de oxalato urinario se elevan 3%los niveles de oxalato urinario se elevan 3% despues de su ingestion.despues de su ingestion. ► La absorcion de oxalato esta aumentada enLa absorcion de oxalato esta aumentada en pacientes con reseccion intestinal o Enfpacientes con reseccion intestinal o Enf inflamatoria intestinal.inflamatoria intestinal. ► La mitad el oxalato ingerido es destruido porLa mitad el oxalato ingerido es destruido por accion bacteriana (Oxalobacter formigenes yaccion bacteriana (Oxalobacter formigenes y Pseudomona oxalaticus)Pseudomona oxalaticus)
  • 46.
    Oxalato:Oxalato: ► El 80%del oxalato encontrado en la orinaEl 80% del oxalato encontrado en la orina proviene de la produccion endogena realizada enproviene de la produccion endogena realizada en Higado (Ac ascorbico y glicina) y 10% de la dieta.Higado (Ac ascorbico y glicina) y 10% de la dieta. ► El oxalato filtra por el glomerulo libremente y esEl oxalato filtra por el glomerulo libremente y es segregado en toda longitud del tubulo proximal.segregado en toda longitud del tubulo proximal. ► Los cambios en la concentracion urinaria deLos cambios en la concentracion urinaria de Oxalato son mas importantes que el Ca paraOxalato son mas importantes que el Ca para determinar la saturacion de oxalato de Ca.determinar la saturacion de oxalato de Ca.
  • 47.
    2) HIPEROXALURIA2) HIPEROXALURIA ►3 Tipos:3 Tipos: ► a) Primaria: Raro transtorno genetico resultantea) Primaria: Raro transtorno genetico resultante de > produccion hepatico de oxalato.(3 condi:de > produccion hepatico de oxalato.(3 condi: Deficit Piridoxina, ingestion de Etilenglicol yDeficit Piridoxina, ingestion de Etilenglicol y anestesia con metoxiflurano)anestesia con metoxiflurano) ► B) Enterica: Sx de malabsorcion o intestino corto.B) Enterica: Sx de malabsorcion o intestino corto. ► C) Idiopatica: > en transporte de oxalato por losC) Idiopatica: > en transporte de oxalato por los eritrocitos.eritrocitos.
  • 48.
    Citrato:Citrato: ► Es elmas importante formador de complejos deEs el mas importante formador de complejos de calcio en la orina y reduce la concentracion de Cacalcio en la orina y reduce la concentracion de Ca ionico.ionico. ► Ampliamente distribuido en el cuerpo y es fuenteAmpliamente distribuido en el cuerpo y es fuente de energia.de energia. ► Se absorbe y es oxidado dando un carga alcalina.Se absorbe y es oxidado dando un carga alcalina. ► El principal determinante del manejo renal delEl principal determinante del manejo renal del citrato es el estado ac-base del cuerpo.citrato es el estado ac-base del cuerpo. ► La acidosis metabolica facilita el flujo hacia elLa acidosis metabolica facilita el flujo hacia el interior e inhibe la salida del citrato de lainterior e inhibe la salida del citrato de la mitocondria de la corteza renal.mitocondria de la corteza renal.
  • 49.
    Hipocitraturia:Hipocitraturia: ►La < dela excrecion urinaria de citratoLa < de la excrecion urinaria de citrato participa en la formacion de complejos departicipa en la formacion de complejos de Ca.Ca. ►15 al 63% presencia de hipocitraturia en15 al 63% presencia de hipocitraturia en pacientes con nefrolitiasis.pacientes con nefrolitiasis. ►< 220mg/d de citrato.< 220mg/d de citrato. ►Estado de acidosis factor mas importante.Estado de acidosis factor mas importante.
  • 50.
    Cistina:Cistina: ►Aas absorbido porel intestino yAas absorbido por el intestino y transformado apartir de metionina.transformado apartir de metionina. ►El gen para el transporte de la cistinaEl gen para el transporte de la cistina cromosoma 2; 4 mutaciones con cistinuria.cromosoma 2; 4 mutaciones con cistinuria. ►20mg/d excrecion urinaria.20mg/d excrecion urinaria. ►Se excretan Aas junto a cistina: Lisina,Se excretan Aas junto a cistina: Lisina, arginina y ornitina.arginina y ornitina.
  • 51.
    Calculos de Cistina:Calculosde Cistina: ►1% de todos los calculos.1% de todos los calculos. ►Pacientes con Cistinuria.Pacientes con Cistinuria. ►Transtorno autosomico recesivo delTranstorno autosomico recesivo del transporte de cistina.transporte de cistina. ►Amarillos y cerosos. MultiplesAmarillos y cerosos. Multiples (Coraliformes). Niños (2o y 3a decada).(Coraliformes). Niños (2o y 3a decada). ►Cistina poco soluble dentro del rango de pHCistina poco soluble dentro del rango de pH urinario normal. > pH < solubilidad.urinario normal. > pH < solubilidad.
  • 53.
    Hormonas sexuales yCalculosHormonas sexuales y Calculos renales:renales: ► Los calculos renales de oxalato de Ca aparecenLos calculos renales de oxalato de Ca aparecen mas frecuente en hombres que en mujeres.mas frecuente en hombres que en mujeres. ► Estrogenos, progesterona y testosterona modulanEstrogenos, progesterona y testosterona modulan sintesis de 1-25-dihidroxivit D3 y la absorcionsintesis de 1-25-dihidroxivit D3 y la absorcion intestinal de Ca.intestinal de Ca. ► Testosterona: > deposito renal y excrecion deTestosterona: > deposito renal y excrecion de oxalato.oxalato. ► Estrogenos: < la excrecion urinaria de oxalatosEstrogenos: < la excrecion urinaria de oxalatos
  • 55.
    Nanobacterias:Nanobacterias: ►Bacterias atipicas, citotoxicas.Bacteriasatipicas, citotoxicas. ►Gram negativas.Gram negativas. ►Producen carbonato de apatita en susProducen carbonato de apatita en sus paredes celulares.paredes celulares. ►Finlandia: Cultivaron en el 97% de losFinlandia: Cultivaron en el 97% de los calculos renales.calculos renales.
  • 56.
    Calculos de AcidoUrico:Calculos de Acido Urico: ► El urato de Na es aprox 20 veces mas soluble enEl urato de Na es aprox 20 veces mas soluble en agua que el ac. Urico libre y no cristaliza enagua que el ac. Urico libre y no cristaliza en condiciones normales.condiciones normales. ► La causa principal de la cristalizacion del ac uricoLa causa principal de la cristalizacion del ac urico es la sobresaturacion de la orina con respecto ales la sobresaturacion de la orina con respecto al ac urico no disociado.ac urico no disociado. ► Acidez prolongada en la orina.Acidez prolongada en la orina. ► Puede absorber, producir y excretar mas ac uricoPuede absorber, producir y excretar mas ac urico que los pacientes sin gota.que los pacientes sin gota. ► Volumenes urinarios disminuidos.Volumenes urinarios disminuidos.
  • 58.
    Acido urico:Acido urico: ►1c/1000 adultos en EU.1 c/1000 adultos en EU. ►5 al 10% de los calculos renales5 al 10% de los calculos renales ►80% calculos puros de ac urico.80% calculos puros de ac urico. ►Hombre – mujer =Hombre – mujer = ►Judios >Judios > ►Gota solo 20%.Gota solo 20%. ►Ausencia de Tx, la recurrencia es regla.Ausencia de Tx, la recurrencia es regla.
  • 59.
    Calculos de Estruvita:Calculosde Estruvita: ► De infeccion.De infeccion. ► Primero que se supo que aquejaba al humano.Primero que se supo que aquejaba al humano. ► Compuesto por Mg, Amonio y fosfato mezcladosCompuesto por Mg, Amonio y fosfato mezclados con carbonato.con carbonato. ► 2 al 20% de todos los calculos.2 al 20% de todos los calculos. ► Ph 7.2 o mas y amoniaco (bacterias productorasPh 7.2 o mas y amoniaco (bacterias productoras de ureasa)de ureasa) ► Bacterias incrementan la adherencia de losBacterias incrementan la adherencia de los cristales.cristales.
  • 61.
    Calculos de estruvita:Calculosde estruvita: ►Responsable de la mayoria de los calculosResponsable de la mayoria de los calculos coraliformes.coraliformes. ►Mas en mujeres x susceptibilidad a IVU.Mas en mujeres x susceptibilidad a IVU. ►Cuerpo extrano y Vejiga neurogenica.Cuerpo extrano y Vejiga neurogenica. ►Albergan bacterias con capacidadAlbergan bacterias con capacidad infecciosa en el interior de sus intersticios.infecciosa en el interior de sus intersticios. ►Los calculos coraliformes no deben serLos calculos coraliformes no deben ser seguidos sin tx .seguidos sin tx .