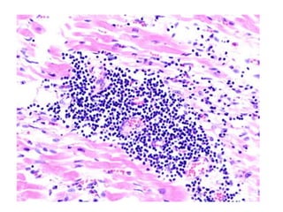
Miocarditis
Hospital Dr. Manuel Gea González
3708
Jorge E. Hernández Partida
Generalidades
• “Es la inflamación focal o difusa del
miocardio con necrosis tisular y
degeneración de las miofibrillas que no se
debe a isquemia sino a infecciones”
• Esta claro que tanto la infección como la
inflamación provocan la destrucción del
miocardio.
• En la mayoría de los sujetos suele ser
asintomática y autolimitadas.
• En otros casos la inflamación crónica
producen en el miocardio dilatación e I. C.
• La causa mas frecuente son
infecciones virales (coxsackie B). Y otra
es Trypanosoma Cruzi. (2da) y VIH.
Infecciones virus (enterovirus, Coxsackie, CMV VIH,
Ecovirus, Influenzae, hepatitis)
bacterias (clamidia, riketsia, Neisseria,
Borrelia, difteria) Cándida Toxoplasma y
Trypanosoma Cruzi, Triquinosis
Reacciones
autoinmunes
LES, fiebre reumática, Alergia
a fármacos, polimiositis, y
sarcoidosis
desconocidas Miocarditis de cels.
Gigantes (mal pronóstico)
• La más común por helmintos es
triquinosis.
• La miocarditis viral es grave en lactantes y
embarazadas y suele precederse de
(catarro, odinofagia, artralgia, mialgia y
malestar Gral..).
• Se caracteriza por cardiomegalia e I. C.
y puede asociarse con perimiocarditis
(dolor y frote).
Miocarditis Viral
• La mayoría son asintomáticas, es grave en
lactantes, suele ser después de una gripe.
• En la miocarditis viral aguda hay replicación
viral y lisis si la resp. Es eficiente el virus es
abortado. Sin daño permanente
• Si no (DM2,desnutrido…) y predisposición el
virus es latente.
• En esta caso hay inflamación de
miofibrillas, , autoanticuerpos e infiltrado
inflamatorio crónico.
• Poe ello hay necrosis y daño permanente
que producirá dilatación y altera vías de
conducción (arritmias, bloqueos)
• Tanto la replicación viral como el
mimetismo generan la destrucción del
tejido.
• Incluso tras desarrollarse inmunidad
celular y erradicar al virus se sigue
desarrollando la inflamación.
• La MV sigue 3 fases: 1-infeccción viral, 2-
Autoinmunidad 3- dilatación miocárdica.
• 1.fase infección: Coxsackie y adenovirus
son mas comunes por el ICAM-1
miocardico y hay replicación
• Fase Autoinmunidad= la resp. Atenua la
replicación pero genera mayor dañoy su
cronicidad autoinmunidad.
• Liberando TNF-A Il-1 IL-6 IL-2 EROS y
proteasas que destruyen las miofibrillas y
produce remodelación con dilatación
ventricular.
• La miocarditis bacteriana es rara sobre
todo hoy por endocarditis, clostridium,
difteria
Miocarditis por protozoarios
• Es frecuente en Centro y sur de América,
por el Trypanosoma Cruzi-Enf. Chagas.
• Descrita en 1909 por el infectólogo
brasileño Carlos Chagas en un vagón de
tren , el cual denominó Schizotrypanum
cruzi, en homenaje a su maestro Oswaldo
Cruz.
• En México (Jalisco Michoacán, Oaxaca,
Guerrero, Yucatán, Veracruz, Chiapas
Morelos y Sonora).
• Los reservorios animales son armadillos,
ratas, tlacuaches, perros, al ser picados
por triatoma (chinche besucona) esta se
infecta
• Luego esta pica al hombre y el parásito
entra por deyecciones, rascado o
incontinuidad.
• El trypanosoma tiene 4 estadios
(tripomastigote meta cíclico-forma
infectante , promastigote, epimastigote y
amastigote- forma intracelular).
• Intracelular del s. reticuloendotelial el
Amastigote se replica por fisión binaria
(lisis) y salen tripomastigotes sanguíneos.
• Si el inoculo es cercano al parpado da el
signo de Romaña-Mazza.(edema
bipalpebral indoloro con adenopatia local)
• También se produce el Chagoma (nódulo
subcutáneo).
• Fase Aguda= la mayoría son
asintomáticos y 10% sintomáticos
(hepatosplenomegalia, fiebre,
meningoencefalitis, cardiomegalia,
diarrea) ceden en 1-2 meses
El parásito invade el s. reticuloendotelial de
todo el cuerpo incluyendo miofibrillas, en
Fase de latencia= resp. Inmune ineficaz
que solo controla pero no cura dura 10-30
años.
• Fase crónica= la destrucción de plexos
mientericos producen megacolon y
megaesofago, cardiomegalia-miocarditis
I.C. y alteraciones de la conducción(
arritmias, bloqueo de rama der.)
• ---------------------------------------------------------
-DX de Chagas:
• 1-Examen Directo y ELISA
• 2-Xenodiagnostico y Reacción de
Machado Guerrero
• 3-Hemocultivo en medio NNN (novi,
nicolle, mc neal).
Miocarditis de otras causas
• Fármacos (a-metildopa, penicilina, sulfas,
fenilbutazona)
• Reacciones inmune( LES, fiebre
reumática, polimiositis)
• Por parásitos (triquinosis, cisticerco,
equinococo)
Características Clínicas de
miocarditis
• Dependen del proceso de base, difteria,
LES, endocarditis, viral, Chagas.
• Puede ser miocarditis asintomática, ser
asintomática pero con cardiomegalia
progresiva, trastornos de conducción sin
razón aparente.
• De miopericarditis (fiebre, frote y dolor
precordial)
• Puede haber (taquicardia, fatiga, malestar
gral, y cardiomegalia, ritmo de galope
soplos (insuf. mitral e I.C, congestiva)
• ---------------------------------------------------------
-Dx de miocarditis.
• 1-historia clínica y exploración,
antecedentes de gripe, endémicos,
romaña, endocarditis o fiebre reumática
• 2-ECG= Bloqueo AV de 1 y 2 do grado o
• Bloqueo de rama derecha, arritmias
(taquicardia sinusal, fibrilación
extrasístoles) . Elevación del segmento ST
y anomalías de onda T.
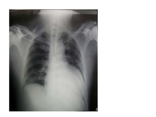
• 3-RX de Tórax- mostrara una
cardiomegalia franca junto con el índice
cardiotorácico. ( normal < 0.5 cm)
• 4-ecocardiograma= mide las cavidades y
la relación con la insuf. Contráctil y
relación h/r
• Gammagrafía cardiaca = con tecnecio99 o
galio67 captados por focos de inflamación
si los hay
• 0-no hay captación 1-captación mínima
• 2-se visualiza el corazón pero menos que
el esternón 3-ambos con igual intensidad
y 4-mayor captación por el corazón.
• *se considera + para miocarditis desde el
grado 2.
• Enzimas cardiacas= hay aumento de
troponina T e I y LDH mioglobina TGO y
CPK.MB.
• ---------------------------------------------------------
-Dx de miocarditis por PCR hibridación in
situ, cultivos bacterianos, examen directo
y muy utilizada:
• La biopsia endomiocardica por
cateterismo.
• Tx de miocarditis= en viral suele remitir
sola
• Son usados antivirales (ribovirin,
inmunoglobulina, interferón) prednisona,
Ciclosporina, azatioprina.
• En I.C. diuréticos, IECAS, digital y b-
bloqueantes.
• Antibióticos dependientes de la bacteria
causal. En LES prednisona (80 mg/día x
varios meses y de sostén 5-10mg /día
tiempo indefinido
• Medidas generales= reposo absoluto,
analgésicos y antipiréticos, dieta blanda,
laxantes suaves, medias elásticas.
• Miocarditis chagasica= nifurtimox
25mg/kg/dia x 15 dias luego 15 mg/kg x
75 dias en niños y edultos 5-7 mg/kg/dia x
2 semanas y se sube la dosis +2mg /kg
cda 2 semanas hasta completar 10
semanas.
• El trasplante de corazón no es ideal por el
rechazo notorio (1 año)
• Tx esteroides= prednisona 30mg/dia x 1
semana reducir a 2.5mg/cda 3 dias hasta
descontinuarlo
• AINES contraindicados
Bibliografía:
• 1-Tay, Gutierrez “Parasitología Médica de
Tay” 8 edición, Méndez editores. México
2012.
• 2- Kumar, Abbas, Fausto; Robbins y
Cotran; Patología Estructural y Funcional,
Editorial Elsevier, octava edición, 2011.
• 3-J. Guadalajara “Cardiología” Méndez
editores, 6ta edición 2007 México

Miocarditis gea gonzalez

  • 1.
    Miocarditis Hospital Dr. ManuelGea González 3708 Jorge E. Hernández Partida
  • 2.
    Generalidades • “Es lainflamación focal o difusa del miocardio con necrosis tisular y degeneración de las miofibrillas que no se debe a isquemia sino a infecciones” • Esta claro que tanto la infección como la inflamación provocan la destrucción del miocardio.
  • 3.
    • En lamayoría de los sujetos suele ser asintomática y autolimitadas. • En otros casos la inflamación crónica producen en el miocardio dilatación e I. C. • La causa mas frecuente son infecciones virales (coxsackie B). Y otra es Trypanosoma Cruzi. (2da) y VIH.
  • 4.
    Infecciones virus (enterovirus,Coxsackie, CMV VIH, Ecovirus, Influenzae, hepatitis) bacterias (clamidia, riketsia, Neisseria, Borrelia, difteria) Cándida Toxoplasma y Trypanosoma Cruzi, Triquinosis Reacciones autoinmunes LES, fiebre reumática, Alergia a fármacos, polimiositis, y sarcoidosis desconocidas Miocarditis de cels. Gigantes (mal pronóstico)
  • 5.
    • La máscomún por helmintos es triquinosis. • La miocarditis viral es grave en lactantes y embarazadas y suele precederse de (catarro, odinofagia, artralgia, mialgia y malestar Gral..). • Se caracteriza por cardiomegalia e I. C. y puede asociarse con perimiocarditis (dolor y frote).
  • 6.
    Miocarditis Viral • Lamayoría son asintomáticas, es grave en lactantes, suele ser después de una gripe. • En la miocarditis viral aguda hay replicación viral y lisis si la resp. Es eficiente el virus es abortado. Sin daño permanente • Si no (DM2,desnutrido…) y predisposición el virus es latente.
  • 7.
    • En estacaso hay inflamación de miofibrillas, , autoanticuerpos e infiltrado inflamatorio crónico. • Poe ello hay necrosis y daño permanente que producirá dilatación y altera vías de conducción (arritmias, bloqueos) • Tanto la replicación viral como el mimetismo generan la destrucción del tejido.
  • 9.
    • Incluso trasdesarrollarse inmunidad celular y erradicar al virus se sigue desarrollando la inflamación. • La MV sigue 3 fases: 1-infeccción viral, 2- Autoinmunidad 3- dilatación miocárdica. • 1.fase infección: Coxsackie y adenovirus son mas comunes por el ICAM-1 miocardico y hay replicación
  • 10.
    • Fase Autoinmunidad=la resp. Atenua la replicación pero genera mayor dañoy su cronicidad autoinmunidad. • Liberando TNF-A Il-1 IL-6 IL-2 EROS y proteasas que destruyen las miofibrillas y produce remodelación con dilatación ventricular. • La miocarditis bacteriana es rara sobre todo hoy por endocarditis, clostridium, difteria
  • 12.
    Miocarditis por protozoarios •Es frecuente en Centro y sur de América, por el Trypanosoma Cruzi-Enf. Chagas. • Descrita en 1909 por el infectólogo brasileño Carlos Chagas en un vagón de tren , el cual denominó Schizotrypanum cruzi, en homenaje a su maestro Oswaldo Cruz.
  • 14.
    • En México(Jalisco Michoacán, Oaxaca, Guerrero, Yucatán, Veracruz, Chiapas Morelos y Sonora). • Los reservorios animales son armadillos, ratas, tlacuaches, perros, al ser picados por triatoma (chinche besucona) esta se infecta • Luego esta pica al hombre y el parásito entra por deyecciones, rascado o incontinuidad.
  • 16.
    • El trypanosomatiene 4 estadios (tripomastigote meta cíclico-forma infectante , promastigote, epimastigote y amastigote- forma intracelular). • Intracelular del s. reticuloendotelial el Amastigote se replica por fisión binaria (lisis) y salen tripomastigotes sanguíneos. • Si el inoculo es cercano al parpado da el signo de Romaña-Mazza.(edema bipalpebral indoloro con adenopatia local)
  • 18.
    • También seproduce el Chagoma (nódulo subcutáneo).
  • 19.
    • Fase Aguda=la mayoría son asintomáticos y 10% sintomáticos (hepatosplenomegalia, fiebre, meningoencefalitis, cardiomegalia, diarrea) ceden en 1-2 meses El parásito invade el s. reticuloendotelial de todo el cuerpo incluyendo miofibrillas, en Fase de latencia= resp. Inmune ineficaz que solo controla pero no cura dura 10-30 años.
  • 20.
    • Fase crónica=la destrucción de plexos mientericos producen megacolon y megaesofago, cardiomegalia-miocarditis I.C. y alteraciones de la conducción( arritmias, bloqueo de rama der.) • --------------------------------------------------------- -DX de Chagas: • 1-Examen Directo y ELISA • 2-Xenodiagnostico y Reacción de Machado Guerrero • 3-Hemocultivo en medio NNN (novi, nicolle, mc neal).
  • 21.
    Miocarditis de otrascausas • Fármacos (a-metildopa, penicilina, sulfas, fenilbutazona) • Reacciones inmune( LES, fiebre reumática, polimiositis) • Por parásitos (triquinosis, cisticerco, equinococo)
  • 22.
    Características Clínicas de miocarditis •Dependen del proceso de base, difteria, LES, endocarditis, viral, Chagas. • Puede ser miocarditis asintomática, ser asintomática pero con cardiomegalia progresiva, trastornos de conducción sin razón aparente. • De miopericarditis (fiebre, frote y dolor precordial)
  • 23.
    • Puede haber(taquicardia, fatiga, malestar gral, y cardiomegalia, ritmo de galope soplos (insuf. mitral e I.C, congestiva) • --------------------------------------------------------- -Dx de miocarditis. • 1-historia clínica y exploración, antecedentes de gripe, endémicos, romaña, endocarditis o fiebre reumática • 2-ECG= Bloqueo AV de 1 y 2 do grado o
  • 24.
    • Bloqueo derama derecha, arritmias (taquicardia sinusal, fibrilación extrasístoles) . Elevación del segmento ST y anomalías de onda T. • 3-RX de Tórax- mostrara una cardiomegalia franca junto con el índice cardiotorácico. ( normal < 0.5 cm) • 4-ecocardiograma= mide las cavidades y la relación con la insuf. Contráctil y relación h/r
  • 26.
    • Gammagrafía cardiaca= con tecnecio99 o galio67 captados por focos de inflamación si los hay • 0-no hay captación 1-captación mínima • 2-se visualiza el corazón pero menos que el esternón 3-ambos con igual intensidad y 4-mayor captación por el corazón. • *se considera + para miocarditis desde el grado 2.
  • 27.
    • Enzimas cardiacas=hay aumento de troponina T e I y LDH mioglobina TGO y CPK.MB. • --------------------------------------------------------- -Dx de miocarditis por PCR hibridación in situ, cultivos bacterianos, examen directo y muy utilizada: • La biopsia endomiocardica por cateterismo. • Tx de miocarditis= en viral suele remitir sola
  • 28.
    • Son usadosantivirales (ribovirin, inmunoglobulina, interferón) prednisona, Ciclosporina, azatioprina. • En I.C. diuréticos, IECAS, digital y b- bloqueantes. • Antibióticos dependientes de la bacteria causal. En LES prednisona (80 mg/día x varios meses y de sostén 5-10mg /día tiempo indefinido
  • 29.
    • Medidas generales=reposo absoluto, analgésicos y antipiréticos, dieta blanda, laxantes suaves, medias elásticas. • Miocarditis chagasica= nifurtimox 25mg/kg/dia x 15 dias luego 15 mg/kg x 75 dias en niños y edultos 5-7 mg/kg/dia x 2 semanas y se sube la dosis +2mg /kg cda 2 semanas hasta completar 10 semanas. • El trasplante de corazón no es ideal por el rechazo notorio (1 año)
  • 30.
    • Tx esteroides=prednisona 30mg/dia x 1 semana reducir a 2.5mg/cda 3 dias hasta descontinuarlo • AINES contraindicados
  • 31.
    Bibliografía: • 1-Tay, Gutierrez“Parasitología Médica de Tay” 8 edición, Méndez editores. México 2012. • 2- Kumar, Abbas, Fausto; Robbins y Cotran; Patología Estructural y Funcional, Editorial Elsevier, octava edición, 2011. • 3-J. Guadalajara “Cardiología” Méndez editores, 6ta edición 2007 México