Laringotraqueitis Aguda:
Hernández Partida Jorge Ezequiel
4926
Pediatría
FAMED-UNAM
Definición:
• Causa frecuente de obstrucción aguda de
vías resp. Superiores en la infancia
• Se le denomino CRUP o llorar fuerte y se
acompaña de 1-disfonia, 2-estridor 3-tos
perruna o de foca.
• Hay LTA y CRUP espasmódico (recurrente
y hiperrreactividad)
• El trastorno de base es un edema
subglótico que provoca disfonía y
compromiso de la vía aérea
• Infección de la región subglótica de la
laringe
• Obstrucción en vías aéreas altas =estridor
• Obstrucción en vías aéreas bajas
=sibilancia
Etiología:
• Es viral:
• parainfluenza tipos 1 (75 %), 2 y 3, virus
respiratorio sincitial
• virus influenza A y B (muy graves),
adenovirus y sarampión.
• Mycoplasma pneumoniae (3%)
Epidemiología:
• Principalmente entre 3-6 meses y 3 años ,
otoño e invierno
• Hombres (2:1) mayor incidencia a los 2
años , se transmite persona-persona
• Parainfluenza 1 en otoño, influenza A y
VSR y Parainfluenza 3 en invierno
Fisiopatogenía:
• Entra por nasofaringe y disemina a epitelio
resp. De laringe y tráquea
• Hay inflamación difusa, eritema y edema
de la tráquea y afecta cuerdas vocales
• La región subglótica es la más estrecha
de vía aérea superior
• Hay inflamación y paresia de cuerdas
vocales
• Por edema de mucosa y submucosa de
región subglótica y secreciones aumenta
el trabajo respiratorio
• Si afecta bronquios
(laringotraqueobronquitis) si afecta
alveolos (larinotraqueobronneuminitis)
CRUP espasmódico:
• La obstrucción se debe a la aparición súbita de
edema no inflamatorio dentro de la
submucosa de la tráquea subglótica
• Genético-inmulonógico
• Es recurrente, familiar, es súbito y sobre todo
de Invierno.
Características Clínicas:
• Pródromo 12-48 hrs previas (rinorrea
hialina, fiebre, tos) es fluctuante
• Evoluciona hacia el CRUP laríngeo con
tos ronca, estridor inspiratorio, afonía y
dificultad respiratoria con tiraje
• Empeoramiento nocturno
• La agitación del niño empeora el cuadro
• Examen físico (voz ronca, faringe leve
inflamada, y poco de taquipnea)
• En otros casos, la gravedad de la
obstrucción se manifiesta con aumento de
las FC y FR, aleteo nasal, inquietud y
cianosis con tiraje supra e infraesternal
• LTA leve-tos ocasional, no hay estridor en
reposo pero si al llanto, no hay signos de
dificultad respiraToria
• LTA moderada-tos frecuente, estridor en
reposo y dificultad respiratoria leve
• LTA severa-tos frecuente, agitación, marcado
tiraje intercostal estridor intenso
• LTA que pone en peligro la vida-inminencia de
paro cardiorespiratorio, cianosis y letargo
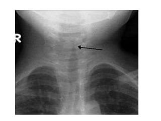
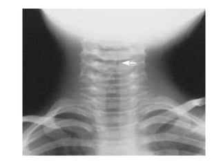
Diagnóstico:
• Es 100% clínico con exploración física
• No están recomendados estudios de
laboratorio ni radiológicos de rutina (en
dudas si)
• El estridor no es único de LTA y refleja
obstrucción en zonas superiores.
Diagnóstico diferencial:
• En casos atípicos que no cumplen tríada o
no responden al tx habitual.
• Son mucho mas agresivos y requieren
hospitalizar.
• 1-Epiglotitis (H. Influenzae B)
• 2-Traquítis bacteriana (S aureus)
• 3-Cuerpo extraño
La escala de westley los resultados
• Leve= 0-1
• moderado = 2-7
• severo = 8 o más
• CRUP es autolimitado y leve en general
no requieren hospitalizar, el manejo es
ambulatorio.
Tratamiento:
• Ingesta de líquidos y administrar antipiréticos
si está febril
• Si existe hipoxemia (Sat O2< 92%) , se
administrará oxígeno de la forma que mejor sea
tolerada, siempre en compañía de los padres.
• La piedra angular del manejo en CRUP es
dexametasona VO.
• 1-niños con LTA-leve:
Manejo de forma ambulatoria con esteroide
y epinefrina nebulizada
2-niños con LTA-moderada:
Corticoesteroide + observación por 2-4 hrs
en urgencia (no dificultad resp. Y no
estridor)
3-niños con LTA-grave-ingresar a UCIP y
epinefrina nebulizada
• No hay diferencias en efecto en
dexametasona VO o IM
• Dosis única (0.60 mg/KG VO) si hay
vómito dexa IM o budesonida nebulizada
2 mg
• No hay evidencia de que varias dosis
sean más efectivas que 1 sola y no se
recomienda.
• Fluticasona es menos efectiva que
dexametasona y no es de 1ra elección.
• Budesonida nebulizada es costosa y
provoca ansiedad al niño
• En casos de LTA grave el de 1ra elección
es epinefrina nebulizada. (L-epinefrina
1ml al 1:1000) la dosis es de 3-6 ml o 0.5
ml/kg, al terminar “efecto rebote”
• No se recomiendan dar antibioticos,
descongestivos ni antitusígenos
• No hay evidencia de la utilidad del aire
humidificado en CRUP
• No hay evidencia de que el aire frio
mejore la LTA ni aspiración nasofaríngea
• No hay evidencia que dexa + budesonida
sea mejor que dexa+ epinefrina en LTA
Bibliografía:
• 1-Alfred P. Fishman “Tratado de
Neumología” Editorial: Doyma-McGraw-Hill.
Madrid
• 2-Nelson “Tratado de pediatria” 18 edición
ELSEVIER México
• 3-
http://www.cenetec.salud.gob.mx/descargas/
gpc/CatalogoMaestro/258_IMSS_10_Laringo
traqueitis/EyR_IMSS_258_10.pdf

Laringotraqueitis aguda

  • 1.
    Laringotraqueitis Aguda: Hernández PartidaJorge Ezequiel 4926 Pediatría FAMED-UNAM
  • 3.
    Definición: • Causa frecuentede obstrucción aguda de vías resp. Superiores en la infancia • Se le denomino CRUP o llorar fuerte y se acompaña de 1-disfonia, 2-estridor 3-tos perruna o de foca. • Hay LTA y CRUP espasmódico (recurrente y hiperrreactividad)
  • 4.
    • El trastornode base es un edema subglótico que provoca disfonía y compromiso de la vía aérea • Infección de la región subglótica de la laringe • Obstrucción en vías aéreas altas =estridor • Obstrucción en vías aéreas bajas =sibilancia
  • 5.
    Etiología: • Es viral: •parainfluenza tipos 1 (75 %), 2 y 3, virus respiratorio sincitial • virus influenza A y B (muy graves), adenovirus y sarampión. • Mycoplasma pneumoniae (3%)
  • 6.
    Epidemiología: • Principalmente entre3-6 meses y 3 años , otoño e invierno • Hombres (2:1) mayor incidencia a los 2 años , se transmite persona-persona • Parainfluenza 1 en otoño, influenza A y VSR y Parainfluenza 3 en invierno
  • 8.
    Fisiopatogenía: • Entra pornasofaringe y disemina a epitelio resp. De laringe y tráquea • Hay inflamación difusa, eritema y edema de la tráquea y afecta cuerdas vocales • La región subglótica es la más estrecha de vía aérea superior
  • 9.
    • Hay inflamacióny paresia de cuerdas vocales • Por edema de mucosa y submucosa de región subglótica y secreciones aumenta el trabajo respiratorio • Si afecta bronquios (laringotraqueobronquitis) si afecta alveolos (larinotraqueobronneuminitis)
  • 10.
    CRUP espasmódico: • Laobstrucción se debe a la aparición súbita de edema no inflamatorio dentro de la submucosa de la tráquea subglótica • Genético-inmulonógico • Es recurrente, familiar, es súbito y sobre todo de Invierno.
  • 11.
    Características Clínicas: • Pródromo12-48 hrs previas (rinorrea hialina, fiebre, tos) es fluctuante • Evoluciona hacia el CRUP laríngeo con tos ronca, estridor inspiratorio, afonía y dificultad respiratoria con tiraje • Empeoramiento nocturno
  • 12.
    • La agitacióndel niño empeora el cuadro • Examen físico (voz ronca, faringe leve inflamada, y poco de taquipnea) • En otros casos, la gravedad de la obstrucción se manifiesta con aumento de las FC y FR, aleteo nasal, inquietud y cianosis con tiraje supra e infraesternal
  • 13.
    • LTA leve-tosocasional, no hay estridor en reposo pero si al llanto, no hay signos de dificultad respiraToria • LTA moderada-tos frecuente, estridor en reposo y dificultad respiratoria leve • LTA severa-tos frecuente, agitación, marcado tiraje intercostal estridor intenso • LTA que pone en peligro la vida-inminencia de paro cardiorespiratorio, cianosis y letargo
  • 16.
    Diagnóstico: • Es 100%clínico con exploración física • No están recomendados estudios de laboratorio ni radiológicos de rutina (en dudas si) • El estridor no es único de LTA y refleja obstrucción en zonas superiores.
  • 17.
    Diagnóstico diferencial: • Encasos atípicos que no cumplen tríada o no responden al tx habitual. • Son mucho mas agresivos y requieren hospitalizar. • 1-Epiglotitis (H. Influenzae B) • 2-Traquítis bacteriana (S aureus) • 3-Cuerpo extraño
  • 19.
    La escala dewestley los resultados • Leve= 0-1 • moderado = 2-7 • severo = 8 o más • CRUP es autolimitado y leve en general no requieren hospitalizar, el manejo es ambulatorio.
  • 21.
    Tratamiento: • Ingesta delíquidos y administrar antipiréticos si está febril • Si existe hipoxemia (Sat O2< 92%) , se administrará oxígeno de la forma que mejor sea tolerada, siempre en compañía de los padres. • La piedra angular del manejo en CRUP es dexametasona VO.
  • 22.
    • 1-niños conLTA-leve: Manejo de forma ambulatoria con esteroide y epinefrina nebulizada 2-niños con LTA-moderada: Corticoesteroide + observación por 2-4 hrs en urgencia (no dificultad resp. Y no estridor) 3-niños con LTA-grave-ingresar a UCIP y epinefrina nebulizada
  • 23.
    • No haydiferencias en efecto en dexametasona VO o IM • Dosis única (0.60 mg/KG VO) si hay vómito dexa IM o budesonida nebulizada 2 mg • No hay evidencia de que varias dosis sean más efectivas que 1 sola y no se recomienda.
  • 24.
    • Fluticasona esmenos efectiva que dexametasona y no es de 1ra elección. • Budesonida nebulizada es costosa y provoca ansiedad al niño • En casos de LTA grave el de 1ra elección es epinefrina nebulizada. (L-epinefrina 1ml al 1:1000) la dosis es de 3-6 ml o 0.5 ml/kg, al terminar “efecto rebote”
  • 25.
    • No serecomiendan dar antibioticos, descongestivos ni antitusígenos • No hay evidencia de la utilidad del aire humidificado en CRUP • No hay evidencia de que el aire frio mejore la LTA ni aspiración nasofaríngea • No hay evidencia que dexa + budesonida sea mejor que dexa+ epinefrina en LTA
  • 27.
    Bibliografía: • 1-Alfred P.Fishman “Tratado de Neumología” Editorial: Doyma-McGraw-Hill. Madrid • 2-Nelson “Tratado de pediatria” 18 edición ELSEVIER México • 3- http://www.cenetec.salud.gob.mx/descargas/ gpc/CatalogoMaestro/258_IMSS_10_Laringo traqueitis/EyR_IMSS_258_10.pdf