ASIGNATURA: DIAGNÓSTICO POR IMAGEN II
TERCERA UNIDAD: APARATO DIGESTIVO
Neumoperitoneo, hemoperitoneo, ascitis
Diagnóstico diferencial ; frecuentes, menos
frecuentes. Indicios útiles para diagnósticos
frecuentes.
Profesor: Mario Díaz Valdivieso
Hospital Emergencias Grau Essalud
21 Setiembre 2015
TEMA
(clase 6)
I-) Peritoneo: Generalidades-anatomía
Espacios abdominales, peritoneales
II-) Peritoneo: patologías:
- Neumoperitoneo (colección anómala de gas)
- Ascitis (colecciones líquidas)
- Hemoperitoneo (colecciones líquidas)
Ascitis con atenuación alta
I-) Peritoneo: Generalidades-anatomía
Espacios abdominales, peritoneales
II-) Peritoneo: patologías:
- Neumoperitoneo (colección anómala de gas)
- Ascitis (colecciones líquidas)
- Hemoperitoneo (colecciones líquidas)
Ascitis con atenuación alta
ESPACIOS ABDOMINALES
• EXTRAFASCIAL: Entre la piel y fascia superficial muscular (contiene fundamentalmente
Tejido celular subcutáneo.
• INTRAFASCIAL: Entre la fascia superficial muscular y la fascia transversalis (contiene
músculos de la pared)
• EXTRAPERITONEAL (retroperitoneal):Entre el peritoneo parietal y por dentro de la
fascia transversalis : grasa properitoneal, Intracapsular , pararenal anterior y posterior , intrarenal
• SUBPERITONEAL : Limitado por las dos hojas de peritoneo visceral que recubren los
diferentes ligamentos (hepatoduodenal, mesenterio, etc.)
• INTRAPERITONEAL: Por dentro del peritoneo comprende las cavidades peritoneales: una
mayor y menor.
ESPACIOS ABDOMINALES
Extrafascial, Intrafascial, Intraperitoneal y retroperitoneal
Piel
Fsm
Grasa properitoneal
LIGAMENTOS, MESOS, EPIPLÓN Y FASCIA
ESPACIO SUBPERITONEAL
Tubo digestivo
td.
n.td.
PERITONEO CONSTA:
-Peritoneo parietal cubierta con la fascia extraperitoneal.
-Peritoneo visceral que reviste los órganos abdominopélvicos.
-Repliegues membranosos que une el peritoneo parietal
con el visceral:
1-)Meso une la pared a un segmento del tubo digestivo
(mesogastrio, mesoduodeno, mesenterio y mesocolón)
2-)Omento (epiplón) se extiende entre dos órganos abdo-
minales.
3-)Ligamentos Unen la pared con un órgano que no es el
tubo digestivo (hígado, útero, etc.).
Rouviere-Delmas. Anatomía humana. Descriptiva , topográfica y funcional . Abdomen
316-599. Masson 10 ° Edición 2002
Michael Oliphant. Localización y diseminación de enfermedades. Sección II. Cap. 6 . 119-139.Solución de problemas en imagen abdominal. Elseiver 2011
FUNCIÓN DEL PERITONEO
1-) SOSTÉN:SUSPENSIÓN- FIJACIÓN A LA PARED.
2-)DESLIZAMIENTO Y MOVIMIENTOS.
3-)REABSORCIÓN DE LOS LÍQUIDOS INTRAPERITONEALES.
Rouviere-Delmas. Anatomía humana. Descriptiva , topográfica y funcional . Abdomen 316-599. Masson 10 °
Edición 2002
TUBO DIGESTIVO Y MESOS EN ETAPA EMBRIONARIA
Rouviere-Delmas. Anatomía humana. Descriptiva , topográfica y funcional . Abdomen 316-599.
Masson 10 ° Edición 2002
MD
MV
M
MC.D
EMBRIOLOGÍA :MESENTERIO
Kumaresan Sandrasegaran. Anatomía del peritoneo y retroperitoneo. Imagenología abdominal diagnóstico y tratamiento. Cap. 28 : 1397-1404. 2015
Michael Oliphant. Localización y diseminación de enfermedades. Sección II. Cap. 6 . 119-139.Solución de problemas en imagen abdominal. Elseiver 2011.
(frenocòlico y duodenocólico))
(epiplón menor)
Michael Oliphant. Localización y diseminación de enfermedades. Sección II. Cap. 6 . 119-139.Solución de problemas en imagen abdominal. Elseiver 2011.
(frenocòlico y duodenocólico))
Michael Oliphant. Localización y diseminación de enfermedades. Sección II. Cap. 6 . 119-139.Solución de problemas en imagen abdominal. Elseiver 2011
Transcavidad de los epiplones
-Epiplón mayor
Ligamento gastrocólico
-Epiplón menor
Federle y colab. Imagen anatómica . Tórax, abdomen y pelvis. Marbán Libros 2012
-Mesocolon transverso
-Mesenterio del intestino
delgado
PERITONEO
Raíz del mesenterio
Pinedo Ramos. Anatomía del abdomen mediante tomografía computarizada. Rev Esp Med Nucl. 2008;27(1):47-62
1: aorta; 2: raíz del mesenterio; 3: tronco
celiaco; 4: hígado;5: estómago; 6:
páncreas; 7: colon; 8: saco menor; 9:
tercera porción de duodeno; 10: asas de
intestino delgado; 11: sigma; 12:receso
peritoneal (saco de Douglas); 13: recto; 14:
vejiga; 15: diafragma urogenital (cierra la
cavidad abdominal).
Pinedo Ramos. Anatomía del abdomen mediante tomografía computarizada. Rev Esp Med Nucl. 2008;27(1):47-62
Michael Oliphant. Localización y diseminación de enfermedades. Sección II. Cap. 6 . 119-139.Solución de problemas en imagen abdominal. Elseiver 2011
ESPACIO PERITONEAL IZQUIERDO
(se intercomunican entre ellos)
1.Espacio perihepático anterior
2.Espacio perihepático posterior
3.-Espacio subfrénico anterior
4.Espacio subfrénico posterior
ESPACIO PERITONEAL DERECHO
5.Espacio perihepático diafragmático
6.espacio perihepático posterior
- (Morrison) en un corte más inferior
-Omento (saco) menor:
.Receso superior (6) rodea lóbulo
caudado.
.Receso inferior (7) que se sitúa
posterior al estómago
Lee Body TC y correlación con RM. . 3° Edición. Marbán
ESPACIOS PERITONEALES
Michael Oliphant. Localización y diseminación de enfermedades. Sección II. Cap. 6 . 119-139.Solución de problemas en imagen abdominal. Elseiver 2011
A. Radiografía simple de abdomen normal.
La grasa delimita el borde inferior de la parte
posterior del hígado, el ángulo hepático (H) y
la parte inferior del bazo (B). Ambos riñones
(R) y los músculos psoas (puntas de flecha)
también están delimitados por grasa. Se
identifica la banda grasa properitoneal a
ambos lados (flechas).
B. Diagrama de la radiografía de abdomen
normal.
Michael Chen. Radiografía simple de abdomen. Radiología básica. Parte 4: 223-244 Mc Graw-Hill-Interamericana. 2006
A B
Evaluación de la calidad técnica
LECTURA
-PARTES BLANDAS
- GRASA
-HUESO
-CALCIFICACIONES
-GAS
-COLECCIONES
DE GAS
-LÍQUIDO -
COLECCIONES
LÍQUIDAS
A.M. Rocha García, C. M. Rodríguez Paz. PLACA SIMPLE DE ABDOMEN: ¿cuál es su potencial diagnóstico? seram2012/S-0349.Sociedad española de
radiología médica
Propuesta de lectura de Rx –TC de abdomen
Evaluación de la
calidad de la técnica
Visión global
de la placa
I-) Peritoneo: Generalidades-anatomía
Espacios abdominales, peritoneales
II-) Peritoneo: patologías:
- Neumoperitoneo (colección anómala de gas)
- Ascitis (colecciones líquidas)
- Hemoperitoneo (colecciones líquidas)
Ascitis con atenuación alta
Federle. Peritoneo y mesenterio.
Cap. 1: 9-39. Expertddx Abdomen
Marbán 2015
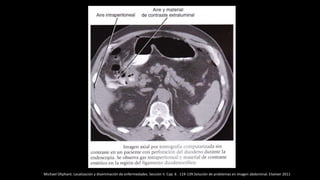
Colecciones anómalas de gas
I-) Gas extraluminal:
a) Cavidad peritoneal ( Neumoperitoneo)
b) retroperitoneo (Retroneumoperitoneo )
c) Ga en la pared de víscera hueca: Estómago, intestino, vesícula, vejiga.
d) Parénquima de órganos sólidos: Hígado, riñones, páncreas, bazo.
d) Gas en la vía biliar : neumobilia.
e) Sistema venoso portomesentérico.
f) Abscesos.
II-) Alteración del patrón aéreo intraluminal:
a) Asa centinela.
b) Íleo adinámico.
c) Obstrucción intestino delgado.
d) Obstrucción intestino grueso
Vólvulo.
e) Alteración del luminograma aéreo:
-Colitis pseudomembranosa.
- Megacolon tóxico
J. Borrego Gómez . Gas Extraluminal Abdominal en Imagen: ABC para el radiólogo general. Seram2012/S-0023. Sociedad española
de radiología médica
Etiología del neumoperitoneo
1) Iatrogénicas:
- Intervenciones quirúrgicas.
- Procedimientos endoscópicos.
2) Espontáneas
- Rotura de una víscera hueca. La más frecuente es la perforación de ulcus
duodenal ( 70 %), divertículo colónico
- Tb infartos intestinales, obstrucción intestinal, megacolon tóxico, neoplasias
ulceradas o procesos inflamatorios .
3) Traumáticas
- Abierto o cerrado
- Perforación intestinal
4) 4. Miscelánea
- Sin rotura de víscera hueca.
- Neumatosis cistoide intestinal. Es un proceso benigno. Se observa la presencia de gas
intramural, en tracto gastro-intestinal y peritoneal.
- Procesos respiratorios. EPOC, asma, neumotórax, neumonías, ventilación mecánica
- Medicamentos ( corticoides, AINES)
- Duchas vaginales y relaciones sexuales
F. Basterrechea Iriarte. Neumoperitoneo hallazgos en radiología simple . seram2012/S-0788 .Sociedad española de radiología médica.
58% p-o
1-14 d
Michael Oliphant. Localización y diseminación de enfermedades. Sección II. Cap. 6 . 119-139.Solución de problemas en imagen abdominal. Elseiver 2011
Neumoperitoneo
Federle. Peritoneo y mesenterio. Cap. 1: 9-39. Expertddx Abdomen Marbán 2015
Michael Oliphant. Localización y diseminación de enfermedades. Sección II. Cap. 6 . 119-139.Solución de problemas en imagen abdominal. Elseiver 2011
Radiografía PA de Tórax
en paciente con dolor
abdominal. Cámara de
neumoperitoneo
subfrénico derecho
R. Lerma Ortega1, D. J. López Ruiz. Radiología Simple Abdominal en Urgencias: ¿Técnica infravalorada? seram2012/S-0429. Sociedad española de
radiología médica
Neumoperitoneo
Rx frontal (PA) en
bipedestación
1-2 cc
Rx S: 55-85 %
Radiografía de Abdomen
en DLI en paciente que
acude a urgencias por
dolor abdominal intenso
con cámara de
neumoperitoneo.
R. Lerma Ortega1, D. J. López Ruiz. Radiología Simple Abdominal en Urgencias: ¿Técnica infravalorada? seram2012/S-0429. Sociedad
española de radiología médica
Neumoperitoneo
Rx decúbito lateral
izquierdo
10-20 minutos
TC abdominopélvico tras la administración de contraste endovenoso. Liquido libre
perihepático y presencia de burbujas aéreas extraluminales en relación con
neumoperitoneo. Neumoperitoneo contenido secundario a perforación duodenal
F. Basterrechea Iriarte. Neumoperitoneo hallazgos en radiología simple . seram2012/S-0788 .Sociedad española de radiología médica.
Neumoperitoneo-TC abdominal
S: 100%
Michael Oliphant. Localización y diseminación de enfermedades. Sección II. Cap. 6 . 119-139.Solución de problemas en imagen abdominal. Elseiver 2011
Michael Oliphant. Localización y diseminación de enfermedades. Sección II. Cap. 6 . 119-139.Solución de problemas en imagen abdominal. Elseiver 2011
El signo radiológico más frecuentemente encontrado es la presencia de aire
subdiafragmático derecho y luego el de la doble pared (Rigler).
Signos de neumoperitoneo en radiología convencional
• Signo de Rigler o de la doble pared intestinal. Visualización de la serosa del
intestino por contraste con el aire que se ubica entre las asas
• Signo del triángulo. Presencia de aire de morfología triangular entre tres
asas adyacentes o entre dos asas y el peritoneo parietal .
• Signo de la cúpula. Aire en la parte anterior de la cavidad peritoneal.
Radiolucencia horizontal por debajo del cardiomediastino
• Signo del lig falciforme. Radiopacidad en forma de arco que va del ombligo
a la pared anterior del hígado
• Signo del balón de "rugby". Radiolucencia abdominal ovoide de eje
largo cráneo-caudal, por distensión del peritoneo parietal secundario a
neumoperitoneo masivo
• Signo del hígado hiperlúcido. Disminución de la radiopacidad hepática por
presencia de gas entre pared abdominal y el hígado .
• Signo del borde hepático. Gas de la cavidad abdominal delimita el borde
hepático inferior
• Signo de la «V» invertida. Se visualizan las ligamentos umbilicales laterales que
contienen las arterias umbilicales obliteradas en el abdomen inferior.
Signos de neumoperitoneo en RX convencional
F. Basterrechea Iriarte. Neumoperitoneo hallazgos en radiología simple . seram2012/S-0788 .Sociedad española de radiología médica.
se ven semilunas radiotransparentes por debajo
de ambos hemidiafragmas, delimitando el hígado
en el lado derecho y el bazo en el izquierdo, que
sugieren neumoperitoneo
En un paciente con neumoperitoneo,
el signo de la doble pared muestra la pared
interna y la externa del colon transverso
(flechas) delimitadas por el aire dentro del
colon y en la cavidad peritoneal.
Michael Chen. Radiografía simple de abdomen. Radiología básica. Parte 4: 223-244 Mc Graw-Hill-Interamericana. 2006
Neumoperitoneo: Aire subdiafragmático derecho y Signo de la doble pared
Rigler
Más 30%
Signo del ligamento falciforme
Signo de la « V « invertida
El ligamento falciforme(flecha) se dibuja gracias
a la presencia dentro de la cavidad peritoneal
El aire distiende los flancos(puntas de flecha) . Se visua-
lizan a ambos lados los ligamentos umbilicales (flechas)
que contienen a las arterias umbilicales obliteradas
Robert Berk. Radiología de la vesícula. Cap. 49 (1005-1022) . Radiologías del aparato digestivo Margulis/ Burhenne. 4º Edición. Editorial. Panamericana.1991.
Radiografía de abdomen en decúbito supino. Neumoperitoneo
masivo. Signo del balón de "rugby"
F. Basterrechea Iriarte. Neumoperitoneo hallazgos en radiología simple . seram2012/S-0788 .Sociedad española de radiología médica.
Neumomediastino: Signo del balón de «rugby»
TC con contraste de paciente en la que se observa acumulación de aire por neumoperitoneo debido a
perforación de ulcus duodenal. Obsérvese la burbuja de aire que señala el punto de perforación.
E. Ballesteros Díaz, Patología mesentérica y peritoneal: desde la inflamación hasta la neo formación Seram2012/S-1242
Federle. Peritoneo y mesenterio. Cap. 1: 9-39. Expertddx Abdomen Marbán 2015
Federle. Peritoneo y mesenterio. Cap. 1: 9-39. Expertddx Abdomen Marbán 2015
Federle. Peritoneo y mesenterio. Cap. 1: 9-39. Expertddx Abdomen Marbán 2015
I-) Peritoneo: Generalidades-anatomía
Espacios abdominales, peritoneales
II-) Peritoneo: patologías:
- Neumoperitoneo (colección anómala de gas)
- Ascitis (colecciones líquidas)
- Hemoperitoneo (colecciones líquidas)
Ascitis con atenuación alta
B) Colecciones líquidas:
1) Generalidades
2) Signos radiológicos.
3) Ascitis. Causas
4) Ascitis. Ecografía.
5) Hemoperitoneo- causas
6) Cuantificación del líquido libre.
La radiografía de abdomen tiene escasa sensibilidad para
detectar pequeñas cantidades de liquido intraperitoneal
De acuerdo a las características del liquido y su mecanismo de producción
Exudado
Trasudado
Sangre( hemoperitoneo)
Linfa ( quiloperitoneo)
Bilis (coleperitoneo)
Orina
Liquido pancreático
Liquido cefalorraquídeo (portadores de derivación ventrículo- peritoneal)
Aumento difuso de la densidad abdominal o de la pelvis.
Borramiento o desplazamiento medial del ángulo hepático.
Desplazamiento medial del colon ascendente y descendente.
Signo de las orejas de perro.
Liquido libre intraperitoneal
Ascitis es la acumulación patológica de liquido en cavidad peritoneal
75 % se debe a cirrosis hepática con hipertensión portal
La mitad de los cirrótico presentará ascitis en 10 años de evolución.
La Aparición de ascitis determina el empeoramiento del pronostico.
Ante la sospecha clínica de ascitis la ecografía es un método rápido
accesible y altamente sensible que confirma o refuta la existencia de
liquido libre abdominal
La sangre y el pus tienen una densidad similar al del liquido ascítico en
la cavidad peritoneal, por tanto el hemoperitoneo puede producir signos
similares a los que se encuentran cuando hay ascitis. La elevada densidad
de la pelvis es un signo de hemoperitoneo en paciente s con historia de
traumatismo. La TC evalúa mejor el hemoperitoneo.
Liquido libre intraperitoneal
Asas centradas en
paciente con insuficiencia
cardiaca descompensada
sugestiva de ascitis.
Ascitis:
«agrupamiento de
asas en el centro del
abdomen» sugieren
la presencia de
líquido libre.
A. Teruel López Zurita, B. Díaz Barroso. Ascitis: Qué tenemos que decir los radiólogos. eram2012/S-1549. Sociedad española de radiología médica.
Jaume Llauger, Carmen Pérez. Abdomen: Peritoneo, epiplón y mesenterio. Pedrosa diagnóstico por imagen. Tratado de Radiología. Volumen
II. Cap. 36 (103-145)-Mc Graw-Hill-Interamericana.1986
Ascitis: Semiología del líquido libre intraperitoneal
Borramiento o desplazamiento medial del ángulo hepático.
Desplazamiento medial del colon ascendente y descendente.
Signo de las orejas de perro. Aumento de la densidad en la pelvis
Jaume Llauger, Carmen Pérez. Abdomen: Peritoneo, epiplón y mesenterio. Pedrosa diagnóstico por
imagen. Tratado de Radiología. Volumen II. Cap. 36 (103-145)-Mc Graw-Hill-Interamericana.1986
Ascitis
El flujo natural del líquido intraperitoneal está
dirigido por gravedad y por las variaciones de la
presión intraabdominal debidas a la respiración,
repartiéndose por diferentes vías a través de la
compartimentalización anatómica. Su acumulación
obedece el 90% de los casos a cirrosis, fallo
cardíaco y neoplasias.
E. Ballesteros Díaz, Patología mesentérica y peritoneal: desde la inflamación hasta la neo formación Seram2012/S-1242.
Ascitis por cirrosis
Jaume Llauger, Carmen Pérez. Abdomen: Peritoneo, epiplón y mesenterio. Pedrosa diagnóstico por imagen. Tratado de
Radiología. Volumen II. Cap. 36 (103-145)-Mc Graw-Hill-Interamericana.1986
A B
C
D
A. Teruel López Zurita, B. Díaz Barroso. Ascitis: Qué tenemos que decir los radiólogos. eram2012/S-1549. Sociedad española de radiología médica.
Ascitis maligna: Nodularidad peritoneal por cáncer gástrico
A. Teruel López Zurita, B. Díaz Barroso. Ascitis: Qué tenemos que decir los radiólogos. eram2012/S-1549. Sociedad española de radiología médica.
Ascitis de causa renal
Jay P. Heiken. Pared abdominal y cavidad peritoneal. Cap. 16. 961-1021 en TC Body. Tercera edición. Marbán.1999
I-) Peritoneo: Generalidades-anatomía
Espacios abdominales, peritoneales
II-) Peritoneo: patologías:
- Neumoperitoneo (colección anómala de gas)
- Ascitis (colecciones líquidas)
- Hemoperitoneo (colecciones líquidas)
Ascitis con atenuación alta
Hemoperitoneo
Múltiples causas pueden generar sangrado peritoneal o
retroperitoneal:
- Traumatismos
- Terapia anticoagulante.
- Rotura de aneurismas
- Tumores que sangran espontáneamente
La hemorragia aguda tiene una atenuación alta en la TC.
Los hematomas crónicos aparecen como colecciones de
densidad líquido y pared fina.
Si se sospecha un sangrado intra retroperitoneal agudo la
técnica de elección es la TC.
La extravasación de contraste indica sangrado activo.
E. Ballesteros Díaz, Patología mesentérica y peritoneal: desde la inflamación hasta la neo formación Seram2012/S-1242.
Jaume Llauger, Carmen Pérez. Abdomen: Peritoneo, epiplón y mesenterio. Pedrosa diagnóstico por imagen. Tratado de
Radiología. Volumen II. Cap. 36 (103-145)-Mc Graw-Hill-Interamericana.1986
Michael Oliphant. Localización y diseminación de enfermedades. Sección II. Cap. 6 . 119-139.Solución de problemas en imagen abdominal. Elseiver 2011
Hemoperitoneo
Federle. Peritoneo y mesenterio. Cap. 1: 9-39. Expertddx Abdomen Marbán 2015
Indicios útiles para diagnósticos
frecuentes de hemoperitoneo
Federle. Peritoneo y mesenterio. Cap. 1: 9-39. Expertddx Abdomen Marbán 2015
En la TC se ve una gran masa pélvica de partes
blandas (M), de densidad heterogénea,que
empuja la vejiga (V) hacia delante. El
diagnóstico en esta paciente con una historia
de traumatismo fue hemoperitoneo.
Hemoperitoneo
E. Ballesteros Díaz, Patología mesentérica y peritoneal: desde la inflamación hasta la neo formación Seram2012/S-1242
Paciente de 35 años con abdomen agudo. La TC con contraste muestra acumulación de fluido de
alta densidad compatible con hemoperitoneo por ruptura de aneurisma de la arteria esplénica.
Federle. Peritoneo y mesenterio. Cap. 1: 9-39. Expertddx Abdomen Marbán 2015
Federle. Peritoneo y mesenterio. Cap. 1: 9-39. Expertddx Abdomen Marbán 2015
Federle. Peritoneo y mesenterio. Cap. 1: 9-39. Expertddx Abdomen Marbán 2015
Federle. Peritoneo y mesenterio. Cap. 1: 9-39. Expertddx Abdomen Marbán 2015
Michael Oliphant. Localización y diseminación de enfermedades. Sección II. Cap. 6 . 119-139.Solución de problemas en imagen abdominal. Elseiver 2011
Federle. Peritoneo y mesenterio. Cap. 1: 9-39. Expertddx Abdomen Marbán 2015
Federle. Peritoneo y mesenterio. Cap. 1: 9-39. Expertddx Abdomen Marbán 2015
Federle. Peritoneo y mesenterio. Cap. 1: 9-39. Expertddx Abdomen Marbán 2015
PERIHEPÁTICO PERIESPLÉNICO
GOTIERA
PARIETOCÓLICA
DERECHA
GOTIERA
PARIETOCÓLICA
IZQUIERDA
DOUGLAS
INTRAMESENTÉRICO
- M. Sola Garcia, E. Ballesteros Gomiz. Interpretación de las lesiones esplénicas traumáticas 10.1594/seram2014/S-0656
- M. Sola Garcia, E. Ballesteros Gomiz. Interpretación de las lesiones esplénicas traumáticas 10.1594/seram2014/S-0656
Michael Oliphant. Localización y diseminación de enfermedades. Sección II. Cap. 6 . 119-139.Solución de problemas en imagen abdominal. Elseiver 2011
1-) E. Ballesteros Díaz, Patología mesentérica y peritoneal: desde la inflamación hasta la neo formación Seram2012/S-
1242.
2-) Michael Oliphant. Localización y diseminación de enfermedades. Sección II. Cap. 6 . 119-139.Solución de problemas
en imagen abdominal. Elseiver 2011.
3-) E. Pinedo Ramos. Anatomía del abdomen mediante tomografía computarizada. Rev Esp Med Nucl. 2008;27(1):47-62.
4-) Rouviere - Delmas. Anatomía humana. Descriptiva , topográfica y funcional . Abdomen 316-599. Masson 10 ° Edición
2002.
5-) Federle y colab. Imagen anatómica . Tórax, abdomen y pelvis. Marbán Libros 2012
6-) M. Sola García, E. Ballesteros Gomiz. Interpretación de las lesiones esplénicas traumáticas 10.1594/seram2014/S-
0656.
7-) Jay P. Heiken. Pared abdominal y cavidad peritoneal. Cap. 16. 961-1021 en TC Body. Tercera edición. Marbán.1999
8-) Federle. Peritoneo y mesenterio. Cap. 1: 9-39. Expertddx Abdomen Marbán 2015.
9-) Kumaresan Sandrasegaran. Anatomía del peritoneo y retroperitoneo. Imagenología abdominal diagnóstico y
tratamiento. Cap. 28 : 1397-1404. 2015

Neumoperitoneo,ascitis,hemoperitoneo ex. 21 set. 2015 upsmp

  • 1.
    ASIGNATURA: DIAGNÓSTICO PORIMAGEN II TERCERA UNIDAD: APARATO DIGESTIVO Neumoperitoneo, hemoperitoneo, ascitis Diagnóstico diferencial ; frecuentes, menos frecuentes. Indicios útiles para diagnósticos frecuentes. Profesor: Mario Díaz Valdivieso Hospital Emergencias Grau Essalud 21 Setiembre 2015 TEMA (clase 6)
  • 3.
    I-) Peritoneo: Generalidades-anatomía Espaciosabdominales, peritoneales II-) Peritoneo: patologías: - Neumoperitoneo (colección anómala de gas) - Ascitis (colecciones líquidas) - Hemoperitoneo (colecciones líquidas) Ascitis con atenuación alta
  • 4.
    I-) Peritoneo: Generalidades-anatomía Espaciosabdominales, peritoneales II-) Peritoneo: patologías: - Neumoperitoneo (colección anómala de gas) - Ascitis (colecciones líquidas) - Hemoperitoneo (colecciones líquidas) Ascitis con atenuación alta
  • 5.
    ESPACIOS ABDOMINALES • EXTRAFASCIAL:Entre la piel y fascia superficial muscular (contiene fundamentalmente Tejido celular subcutáneo. • INTRAFASCIAL: Entre la fascia superficial muscular y la fascia transversalis (contiene músculos de la pared) • EXTRAPERITONEAL (retroperitoneal):Entre el peritoneo parietal y por dentro de la fascia transversalis : grasa properitoneal, Intracapsular , pararenal anterior y posterior , intrarenal • SUBPERITONEAL : Limitado por las dos hojas de peritoneo visceral que recubren los diferentes ligamentos (hepatoduodenal, mesenterio, etc.) • INTRAPERITONEAL: Por dentro del peritoneo comprende las cavidades peritoneales: una mayor y menor.
  • 6.
    ESPACIOS ABDOMINALES Extrafascial, Intrafascial,Intraperitoneal y retroperitoneal Piel Fsm Grasa properitoneal
  • 7.
    LIGAMENTOS, MESOS, EPIPLÓNY FASCIA ESPACIO SUBPERITONEAL Tubo digestivo td. n.td.
  • 8.
    PERITONEO CONSTA: -Peritoneo parietalcubierta con la fascia extraperitoneal. -Peritoneo visceral que reviste los órganos abdominopélvicos. -Repliegues membranosos que une el peritoneo parietal con el visceral: 1-)Meso une la pared a un segmento del tubo digestivo (mesogastrio, mesoduodeno, mesenterio y mesocolón) 2-)Omento (epiplón) se extiende entre dos órganos abdo- minales. 3-)Ligamentos Unen la pared con un órgano que no es el tubo digestivo (hígado, útero, etc.). Rouviere-Delmas. Anatomía humana. Descriptiva , topográfica y funcional . Abdomen 316-599. Masson 10 ° Edición 2002
  • 9.
    Michael Oliphant. Localizacióny diseminación de enfermedades. Sección II. Cap. 6 . 119-139.Solución de problemas en imagen abdominal. Elseiver 2011
  • 10.
    FUNCIÓN DEL PERITONEO 1-)SOSTÉN:SUSPENSIÓN- FIJACIÓN A LA PARED. 2-)DESLIZAMIENTO Y MOVIMIENTOS. 3-)REABSORCIÓN DE LOS LÍQUIDOS INTRAPERITONEALES. Rouviere-Delmas. Anatomía humana. Descriptiva , topográfica y funcional . Abdomen 316-599. Masson 10 ° Edición 2002
  • 11.
    TUBO DIGESTIVO YMESOS EN ETAPA EMBRIONARIA Rouviere-Delmas. Anatomía humana. Descriptiva , topográfica y funcional . Abdomen 316-599. Masson 10 ° Edición 2002 MD MV M MC.D
  • 12.
    EMBRIOLOGÍA :MESENTERIO Kumaresan Sandrasegaran.Anatomía del peritoneo y retroperitoneo. Imagenología abdominal diagnóstico y tratamiento. Cap. 28 : 1397-1404. 2015
  • 13.
    Michael Oliphant. Localizacióny diseminación de enfermedades. Sección II. Cap. 6 . 119-139.Solución de problemas en imagen abdominal. Elseiver 2011. (frenocòlico y duodenocólico)) (epiplón menor)
  • 14.
    Michael Oliphant. Localizacióny diseminación de enfermedades. Sección II. Cap. 6 . 119-139.Solución de problemas en imagen abdominal. Elseiver 2011. (frenocòlico y duodenocólico))
  • 15.
    Michael Oliphant. Localizacióny diseminación de enfermedades. Sección II. Cap. 6 . 119-139.Solución de problemas en imagen abdominal. Elseiver 2011
  • 16.
    Transcavidad de losepiplones -Epiplón mayor Ligamento gastrocólico -Epiplón menor Federle y colab. Imagen anatómica . Tórax, abdomen y pelvis. Marbán Libros 2012 -Mesocolon transverso -Mesenterio del intestino delgado PERITONEO
  • 17.
  • 18.
    Pinedo Ramos. Anatomíadel abdomen mediante tomografía computarizada. Rev Esp Med Nucl. 2008;27(1):47-62
  • 19.
    1: aorta; 2:raíz del mesenterio; 3: tronco celiaco; 4: hígado;5: estómago; 6: páncreas; 7: colon; 8: saco menor; 9: tercera porción de duodeno; 10: asas de intestino delgado; 11: sigma; 12:receso peritoneal (saco de Douglas); 13: recto; 14: vejiga; 15: diafragma urogenital (cierra la cavidad abdominal). Pinedo Ramos. Anatomía del abdomen mediante tomografía computarizada. Rev Esp Med Nucl. 2008;27(1):47-62
  • 20.
    Michael Oliphant. Localizacióny diseminación de enfermedades. Sección II. Cap. 6 . 119-139.Solución de problemas en imagen abdominal. Elseiver 2011
  • 21.
    ESPACIO PERITONEAL IZQUIERDO (seintercomunican entre ellos) 1.Espacio perihepático anterior 2.Espacio perihepático posterior 3.-Espacio subfrénico anterior 4.Espacio subfrénico posterior ESPACIO PERITONEAL DERECHO 5.Espacio perihepático diafragmático 6.espacio perihepático posterior - (Morrison) en un corte más inferior -Omento (saco) menor: .Receso superior (6) rodea lóbulo caudado. .Receso inferior (7) que se sitúa posterior al estómago Lee Body TC y correlación con RM. . 3° Edición. Marbán ESPACIOS PERITONEALES
  • 23.
    Michael Oliphant. Localizacióny diseminación de enfermedades. Sección II. Cap. 6 . 119-139.Solución de problemas en imagen abdominal. Elseiver 2011
  • 24.
    A. Radiografía simplede abdomen normal. La grasa delimita el borde inferior de la parte posterior del hígado, el ángulo hepático (H) y la parte inferior del bazo (B). Ambos riñones (R) y los músculos psoas (puntas de flecha) también están delimitados por grasa. Se identifica la banda grasa properitoneal a ambos lados (flechas). B. Diagrama de la radiografía de abdomen normal. Michael Chen. Radiografía simple de abdomen. Radiología básica. Parte 4: 223-244 Mc Graw-Hill-Interamericana. 2006 A B Evaluación de la calidad técnica
  • 25.
    LECTURA -PARTES BLANDAS - GRASA -HUESO -CALCIFICACIONES -GAS -COLECCIONES DEGAS -LÍQUIDO - COLECCIONES LÍQUIDAS A.M. Rocha García, C. M. Rodríguez Paz. PLACA SIMPLE DE ABDOMEN: ¿cuál es su potencial diagnóstico? seram2012/S-0349.Sociedad española de radiología médica Propuesta de lectura de Rx –TC de abdomen Evaluación de la calidad de la técnica Visión global de la placa
  • 26.
    I-) Peritoneo: Generalidades-anatomía Espaciosabdominales, peritoneales II-) Peritoneo: patologías: - Neumoperitoneo (colección anómala de gas) - Ascitis (colecciones líquidas) - Hemoperitoneo (colecciones líquidas) Ascitis con atenuación alta
  • 27.
    Federle. Peritoneo ymesenterio. Cap. 1: 9-39. Expertddx Abdomen Marbán 2015
  • 28.
    Colecciones anómalas degas I-) Gas extraluminal: a) Cavidad peritoneal ( Neumoperitoneo) b) retroperitoneo (Retroneumoperitoneo ) c) Ga en la pared de víscera hueca: Estómago, intestino, vesícula, vejiga. d) Parénquima de órganos sólidos: Hígado, riñones, páncreas, bazo. d) Gas en la vía biliar : neumobilia. e) Sistema venoso portomesentérico. f) Abscesos. II-) Alteración del patrón aéreo intraluminal: a) Asa centinela. b) Íleo adinámico. c) Obstrucción intestino delgado. d) Obstrucción intestino grueso Vólvulo. e) Alteración del luminograma aéreo: -Colitis pseudomembranosa. - Megacolon tóxico J. Borrego Gómez . Gas Extraluminal Abdominal en Imagen: ABC para el radiólogo general. Seram2012/S-0023. Sociedad española de radiología médica
  • 29.
    Etiología del neumoperitoneo 1)Iatrogénicas: - Intervenciones quirúrgicas. - Procedimientos endoscópicos. 2) Espontáneas - Rotura de una víscera hueca. La más frecuente es la perforación de ulcus duodenal ( 70 %), divertículo colónico - Tb infartos intestinales, obstrucción intestinal, megacolon tóxico, neoplasias ulceradas o procesos inflamatorios . 3) Traumáticas - Abierto o cerrado - Perforación intestinal 4) 4. Miscelánea - Sin rotura de víscera hueca. - Neumatosis cistoide intestinal. Es un proceso benigno. Se observa la presencia de gas intramural, en tracto gastro-intestinal y peritoneal. - Procesos respiratorios. EPOC, asma, neumotórax, neumonías, ventilación mecánica - Medicamentos ( corticoides, AINES) - Duchas vaginales y relaciones sexuales F. Basterrechea Iriarte. Neumoperitoneo hallazgos en radiología simple . seram2012/S-0788 .Sociedad española de radiología médica. 58% p-o 1-14 d
  • 30.
    Michael Oliphant. Localizacióny diseminación de enfermedades. Sección II. Cap. 6 . 119-139.Solución de problemas en imagen abdominal. Elseiver 2011
  • 31.
    Neumoperitoneo Federle. Peritoneo ymesenterio. Cap. 1: 9-39. Expertddx Abdomen Marbán 2015
  • 32.
    Michael Oliphant. Localizacióny diseminación de enfermedades. Sección II. Cap. 6 . 119-139.Solución de problemas en imagen abdominal. Elseiver 2011
  • 33.
    Radiografía PA deTórax en paciente con dolor abdominal. Cámara de neumoperitoneo subfrénico derecho R. Lerma Ortega1, D. J. López Ruiz. Radiología Simple Abdominal en Urgencias: ¿Técnica infravalorada? seram2012/S-0429. Sociedad española de radiología médica Neumoperitoneo Rx frontal (PA) en bipedestación 1-2 cc Rx S: 55-85 %
  • 34.
    Radiografía de Abdomen enDLI en paciente que acude a urgencias por dolor abdominal intenso con cámara de neumoperitoneo. R. Lerma Ortega1, D. J. López Ruiz. Radiología Simple Abdominal en Urgencias: ¿Técnica infravalorada? seram2012/S-0429. Sociedad española de radiología médica Neumoperitoneo Rx decúbito lateral izquierdo 10-20 minutos
  • 35.
    TC abdominopélvico trasla administración de contraste endovenoso. Liquido libre perihepático y presencia de burbujas aéreas extraluminales en relación con neumoperitoneo. Neumoperitoneo contenido secundario a perforación duodenal F. Basterrechea Iriarte. Neumoperitoneo hallazgos en radiología simple . seram2012/S-0788 .Sociedad española de radiología médica. Neumoperitoneo-TC abdominal S: 100%
  • 36.
    Michael Oliphant. Localizacióny diseminación de enfermedades. Sección II. Cap. 6 . 119-139.Solución de problemas en imagen abdominal. Elseiver 2011
  • 37.
    Michael Oliphant. Localizacióny diseminación de enfermedades. Sección II. Cap. 6 . 119-139.Solución de problemas en imagen abdominal. Elseiver 2011
  • 38.
    El signo radiológicomás frecuentemente encontrado es la presencia de aire subdiafragmático derecho y luego el de la doble pared (Rigler). Signos de neumoperitoneo en radiología convencional • Signo de Rigler o de la doble pared intestinal. Visualización de la serosa del intestino por contraste con el aire que se ubica entre las asas • Signo del triángulo. Presencia de aire de morfología triangular entre tres asas adyacentes o entre dos asas y el peritoneo parietal . • Signo de la cúpula. Aire en la parte anterior de la cavidad peritoneal. Radiolucencia horizontal por debajo del cardiomediastino • Signo del lig falciforme. Radiopacidad en forma de arco que va del ombligo a la pared anterior del hígado • Signo del balón de "rugby". Radiolucencia abdominal ovoide de eje largo cráneo-caudal, por distensión del peritoneo parietal secundario a neumoperitoneo masivo • Signo del hígado hiperlúcido. Disminución de la radiopacidad hepática por presencia de gas entre pared abdominal y el hígado . • Signo del borde hepático. Gas de la cavidad abdominal delimita el borde hepático inferior • Signo de la «V» invertida. Se visualizan las ligamentos umbilicales laterales que contienen las arterias umbilicales obliteradas en el abdomen inferior. Signos de neumoperitoneo en RX convencional F. Basterrechea Iriarte. Neumoperitoneo hallazgos en radiología simple . seram2012/S-0788 .Sociedad española de radiología médica.
  • 39.
    se ven semilunasradiotransparentes por debajo de ambos hemidiafragmas, delimitando el hígado en el lado derecho y el bazo en el izquierdo, que sugieren neumoperitoneo En un paciente con neumoperitoneo, el signo de la doble pared muestra la pared interna y la externa del colon transverso (flechas) delimitadas por el aire dentro del colon y en la cavidad peritoneal. Michael Chen. Radiografía simple de abdomen. Radiología básica. Parte 4: 223-244 Mc Graw-Hill-Interamericana. 2006 Neumoperitoneo: Aire subdiafragmático derecho y Signo de la doble pared Rigler Más 30%
  • 40.
    Signo del ligamentofalciforme Signo de la « V « invertida El ligamento falciforme(flecha) se dibuja gracias a la presencia dentro de la cavidad peritoneal El aire distiende los flancos(puntas de flecha) . Se visua- lizan a ambos lados los ligamentos umbilicales (flechas) que contienen a las arterias umbilicales obliteradas Robert Berk. Radiología de la vesícula. Cap. 49 (1005-1022) . Radiologías del aparato digestivo Margulis/ Burhenne. 4º Edición. Editorial. Panamericana.1991.
  • 41.
    Radiografía de abdomenen decúbito supino. Neumoperitoneo masivo. Signo del balón de "rugby" F. Basterrechea Iriarte. Neumoperitoneo hallazgos en radiología simple . seram2012/S-0788 .Sociedad española de radiología médica. Neumomediastino: Signo del balón de «rugby»
  • 42.
    TC con contrastede paciente en la que se observa acumulación de aire por neumoperitoneo debido a perforación de ulcus duodenal. Obsérvese la burbuja de aire que señala el punto de perforación. E. Ballesteros Díaz, Patología mesentérica y peritoneal: desde la inflamación hasta la neo formación Seram2012/S-1242
  • 43.
    Federle. Peritoneo ymesenterio. Cap. 1: 9-39. Expertddx Abdomen Marbán 2015
  • 44.
    Federle. Peritoneo ymesenterio. Cap. 1: 9-39. Expertddx Abdomen Marbán 2015
  • 45.
    Federle. Peritoneo ymesenterio. Cap. 1: 9-39. Expertddx Abdomen Marbán 2015
  • 46.
    I-) Peritoneo: Generalidades-anatomía Espaciosabdominales, peritoneales II-) Peritoneo: patologías: - Neumoperitoneo (colección anómala de gas) - Ascitis (colecciones líquidas) - Hemoperitoneo (colecciones líquidas) Ascitis con atenuación alta
  • 47.
    B) Colecciones líquidas: 1)Generalidades 2) Signos radiológicos. 3) Ascitis. Causas 4) Ascitis. Ecografía. 5) Hemoperitoneo- causas 6) Cuantificación del líquido libre.
  • 48.
    La radiografía deabdomen tiene escasa sensibilidad para detectar pequeñas cantidades de liquido intraperitoneal De acuerdo a las características del liquido y su mecanismo de producción Exudado Trasudado Sangre( hemoperitoneo) Linfa ( quiloperitoneo) Bilis (coleperitoneo) Orina Liquido pancreático Liquido cefalorraquídeo (portadores de derivación ventrículo- peritoneal) Aumento difuso de la densidad abdominal o de la pelvis. Borramiento o desplazamiento medial del ángulo hepático. Desplazamiento medial del colon ascendente y descendente. Signo de las orejas de perro. Liquido libre intraperitoneal
  • 49.
    Ascitis es laacumulación patológica de liquido en cavidad peritoneal 75 % se debe a cirrosis hepática con hipertensión portal La mitad de los cirrótico presentará ascitis en 10 años de evolución. La Aparición de ascitis determina el empeoramiento del pronostico. Ante la sospecha clínica de ascitis la ecografía es un método rápido accesible y altamente sensible que confirma o refuta la existencia de liquido libre abdominal La sangre y el pus tienen una densidad similar al del liquido ascítico en la cavidad peritoneal, por tanto el hemoperitoneo puede producir signos similares a los que se encuentran cuando hay ascitis. La elevada densidad de la pelvis es un signo de hemoperitoneo en paciente s con historia de traumatismo. La TC evalúa mejor el hemoperitoneo. Liquido libre intraperitoneal
  • 50.
    Asas centradas en pacientecon insuficiencia cardiaca descompensada sugestiva de ascitis. Ascitis: «agrupamiento de asas en el centro del abdomen» sugieren la presencia de líquido libre. A. Teruel López Zurita, B. Díaz Barroso. Ascitis: Qué tenemos que decir los radiólogos. eram2012/S-1549. Sociedad española de radiología médica.
  • 51.
    Jaume Llauger, CarmenPérez. Abdomen: Peritoneo, epiplón y mesenterio. Pedrosa diagnóstico por imagen. Tratado de Radiología. Volumen II. Cap. 36 (103-145)-Mc Graw-Hill-Interamericana.1986 Ascitis: Semiología del líquido libre intraperitoneal Borramiento o desplazamiento medial del ángulo hepático. Desplazamiento medial del colon ascendente y descendente. Signo de las orejas de perro. Aumento de la densidad en la pelvis
  • 52.
    Jaume Llauger, CarmenPérez. Abdomen: Peritoneo, epiplón y mesenterio. Pedrosa diagnóstico por imagen. Tratado de Radiología. Volumen II. Cap. 36 (103-145)-Mc Graw-Hill-Interamericana.1986
  • 53.
    Ascitis El flujo naturaldel líquido intraperitoneal está dirigido por gravedad y por las variaciones de la presión intraabdominal debidas a la respiración, repartiéndose por diferentes vías a través de la compartimentalización anatómica. Su acumulación obedece el 90% de los casos a cirrosis, fallo cardíaco y neoplasias. E. Ballesteros Díaz, Patología mesentérica y peritoneal: desde la inflamación hasta la neo formación Seram2012/S-1242.
  • 54.
  • 55.
    Jaume Llauger, CarmenPérez. Abdomen: Peritoneo, epiplón y mesenterio. Pedrosa diagnóstico por imagen. Tratado de Radiología. Volumen II. Cap. 36 (103-145)-Mc Graw-Hill-Interamericana.1986 A B C D
  • 56.
    A. Teruel LópezZurita, B. Díaz Barroso. Ascitis: Qué tenemos que decir los radiólogos. eram2012/S-1549. Sociedad española de radiología médica. Ascitis maligna: Nodularidad peritoneal por cáncer gástrico
  • 57.
    A. Teruel LópezZurita, B. Díaz Barroso. Ascitis: Qué tenemos que decir los radiólogos. eram2012/S-1549. Sociedad española de radiología médica. Ascitis de causa renal
  • 58.
    Jay P. Heiken.Pared abdominal y cavidad peritoneal. Cap. 16. 961-1021 en TC Body. Tercera edición. Marbán.1999
  • 59.
    I-) Peritoneo: Generalidades-anatomía Espaciosabdominales, peritoneales II-) Peritoneo: patologías: - Neumoperitoneo (colección anómala de gas) - Ascitis (colecciones líquidas) - Hemoperitoneo (colecciones líquidas) Ascitis con atenuación alta
  • 60.
    Hemoperitoneo Múltiples causas puedengenerar sangrado peritoneal o retroperitoneal: - Traumatismos - Terapia anticoagulante. - Rotura de aneurismas - Tumores que sangran espontáneamente La hemorragia aguda tiene una atenuación alta en la TC. Los hematomas crónicos aparecen como colecciones de densidad líquido y pared fina. Si se sospecha un sangrado intra retroperitoneal agudo la técnica de elección es la TC. La extravasación de contraste indica sangrado activo. E. Ballesteros Díaz, Patología mesentérica y peritoneal: desde la inflamación hasta la neo formación Seram2012/S-1242.
  • 61.
    Jaume Llauger, CarmenPérez. Abdomen: Peritoneo, epiplón y mesenterio. Pedrosa diagnóstico por imagen. Tratado de Radiología. Volumen II. Cap. 36 (103-145)-Mc Graw-Hill-Interamericana.1986
  • 62.
    Michael Oliphant. Localizacióny diseminación de enfermedades. Sección II. Cap. 6 . 119-139.Solución de problemas en imagen abdominal. Elseiver 2011
  • 63.
    Hemoperitoneo Federle. Peritoneo ymesenterio. Cap. 1: 9-39. Expertddx Abdomen Marbán 2015
  • 64.
    Indicios útiles paradiagnósticos frecuentes de hemoperitoneo Federle. Peritoneo y mesenterio. Cap. 1: 9-39. Expertddx Abdomen Marbán 2015
  • 65.
    En la TCse ve una gran masa pélvica de partes blandas (M), de densidad heterogénea,que empuja la vejiga (V) hacia delante. El diagnóstico en esta paciente con una historia de traumatismo fue hemoperitoneo. Hemoperitoneo
  • 66.
    E. Ballesteros Díaz,Patología mesentérica y peritoneal: desde la inflamación hasta la neo formación Seram2012/S-1242 Paciente de 35 años con abdomen agudo. La TC con contraste muestra acumulación de fluido de alta densidad compatible con hemoperitoneo por ruptura de aneurisma de la arteria esplénica.
  • 67.
    Federle. Peritoneo ymesenterio. Cap. 1: 9-39. Expertddx Abdomen Marbán 2015
  • 68.
    Federle. Peritoneo ymesenterio. Cap. 1: 9-39. Expertddx Abdomen Marbán 2015
  • 69.
    Federle. Peritoneo ymesenterio. Cap. 1: 9-39. Expertddx Abdomen Marbán 2015
  • 70.
    Federle. Peritoneo ymesenterio. Cap. 1: 9-39. Expertddx Abdomen Marbán 2015
  • 71.
    Michael Oliphant. Localizacióny diseminación de enfermedades. Sección II. Cap. 6 . 119-139.Solución de problemas en imagen abdominal. Elseiver 2011
  • 72.
    Federle. Peritoneo ymesenterio. Cap. 1: 9-39. Expertddx Abdomen Marbán 2015
  • 73.
    Federle. Peritoneo ymesenterio. Cap. 1: 9-39. Expertddx Abdomen Marbán 2015
  • 74.
    Federle. Peritoneo ymesenterio. Cap. 1: 9-39. Expertddx Abdomen Marbán 2015
  • 75.
    PERIHEPÁTICO PERIESPLÉNICO GOTIERA PARIETOCÓLICA DERECHA GOTIERA PARIETOCÓLICA IZQUIERDA DOUGLAS INTRAMESENTÉRICO - M.Sola Garcia, E. Ballesteros Gomiz. Interpretación de las lesiones esplénicas traumáticas 10.1594/seram2014/S-0656
  • 76.
    - M. SolaGarcia, E. Ballesteros Gomiz. Interpretación de las lesiones esplénicas traumáticas 10.1594/seram2014/S-0656
  • 77.
    Michael Oliphant. Localizacióny diseminación de enfermedades. Sección II. Cap. 6 . 119-139.Solución de problemas en imagen abdominal. Elseiver 2011
  • 78.
    1-) E. BallesterosDíaz, Patología mesentérica y peritoneal: desde la inflamación hasta la neo formación Seram2012/S- 1242. 2-) Michael Oliphant. Localización y diseminación de enfermedades. Sección II. Cap. 6 . 119-139.Solución de problemas en imagen abdominal. Elseiver 2011. 3-) E. Pinedo Ramos. Anatomía del abdomen mediante tomografía computarizada. Rev Esp Med Nucl. 2008;27(1):47-62. 4-) Rouviere - Delmas. Anatomía humana. Descriptiva , topográfica y funcional . Abdomen 316-599. Masson 10 ° Edición 2002. 5-) Federle y colab. Imagen anatómica . Tórax, abdomen y pelvis. Marbán Libros 2012 6-) M. Sola García, E. Ballesteros Gomiz. Interpretación de las lesiones esplénicas traumáticas 10.1594/seram2014/S- 0656. 7-) Jay P. Heiken. Pared abdominal y cavidad peritoneal. Cap. 16. 961-1021 en TC Body. Tercera edición. Marbán.1999 8-) Federle. Peritoneo y mesenterio. Cap. 1: 9-39. Expertddx Abdomen Marbán 2015. 9-) Kumaresan Sandrasegaran. Anatomía del peritoneo y retroperitoneo. Imagenología abdominal diagnóstico y tratamiento. Cap. 28 : 1397-1404. 2015