Logroño, Hotel Carlton Rioja
23-24 Marzo 2012

                          Ander Berroeta, Marta Vaquero y Uxue Errasti
                                          R3- M. Interna H.U. Donostia
MOTIVO DE CONSULTA

 Varón de 61 años que acude a Urgencias el
  16/12/2011, derivado por su MAP por dolor
  abdominal de un mes de evolución.
ANTECEDENTES PERSONALES
 Transportista.
 HTA. DM tipo 2. Hiperlipemia. Obesidad.
 Fumador ocasional de puros. Bebedor de vino con
  las comidas y una copa diaria hasta 6 meses antes.
  No otros hábitos tóxicos.
 Ingreso en UEI por celulitis ESI (2003).
 Parálisis facial a frígore (1998).
 Tto habitual: Metformina (0-0-1/2), Glibenclamida
  (1-1-0), Valsartán (suspendido en la última
  semana).
ENFERMEDAD ACTUAL
 Dolor en epigastrio e hipocondrio derecho, no
    irradiado, continuo, de 3 sem evolución.
   Náuseas de predominio matutino.
   Coluria + acolia.
   Tendencia a la hipotensión por lo que había dejado
    de tomar Valsartán.
   Tendencia a la hipoglucemia por lo que había
    reducido la dosis de Metformina.
   Pérdida de 15 Kg en 4 meses.
EXPLORACIÓN FÍSICA

 TA 141/79 FC 90 lpm SatO2 95% Afebril
 Estado general conservado. No IY.
 AC: tonos rítmicos, sin soplos. AP: murmullo vesicular
  normal.
 Abdomen: muy distendido, con ascitis, no a
  tensión, gran hepatomegalia hasta flanco dcho
  de consistencia dura y dolorosa a la palpación.
  No esplenomegalia. Ruidos intestinales
  presentes.
 EEII: edemas hasta las rodillas.
PRUEBAS COMPLEMENTARIAS
 ANÁLISIS:
   F. renal e iones normales. BrbT 1.6, BrbD 1.1, FA 139, GGT 129,
    GOT 89, GPT 40, LDH 758, amilasa normal. PT 5.9,
    proteinograma normal. Colest 137, HDL 10, LDL 87, TG 148.
   Hb 14, plaq 166000, leuco 8900, fórmula con ligera
    monocitosis.
   INR1.5, TTPA 45 seg.
   AFP 1.6, CEA 3.2, Ca125 323, Ca19.9 290, Ca15.3 35, PSA 0.28.
    ENE 27. Cromogranina A 103.
 SEROLOGÍAS:
   Hepatitis B y C negativos. VHA IgG positivo, IgM negativo.


 LÍQUIDO PERITONEAL:
   Rto y fórmula: 2600 hematies/mcL, 259 leucocitos/mcL, PMN
    13.9%, M 86.1%.
   BQ: pH 7.62, glc 150, prot 1.29, LDH 221, ADA 22.
   AP: negativo para células malignas.
 RX TÓRAX:
   Sin alteraciones significativas.


 ECOGRAFIA ABDOMINAL:
   Hígado aumentado de tamaño con desestructuración del
    parénquima y presencia de múltiples imágenes
    hipoecogénicas, alguna de ellas con morfología en ojo de buey;
    todo ello sugestivo de hígado metastásico.
   Dilatación de la vía biliar intrahepática.
   Líquido libre peritoneal.
   Resto normal.
 TAC T-A-P:
   Hígado con eje longitudinal
    de 28 cm, con presencia de
               varias lesiones focales mal
                  definidas, hipovasculares,
                 altamente sospechosas de
                    neoplasia.
   Ascitis perihepática,
    periesplénica y en Douglas
       (sin evidencia de
    carcinomatosis peritoneal).
   Adenopatías de tamaño
    patológico en área de
     tronco celiaco, espacio
    portocava y
    retroperitoneales.
   No patología gástrica
    ni colónica.
 RMN HEPÁTICA:
   Hepatomegalia de contornos lobulados con alteración
    difusa y parcheada de la señal en secuencias ponderadas T1
    y T2, definiéndose en las fases tardía tras la inyección de
    contraste áreas focales de hipocaptación, algunos de las
    cuales presenta una morfología en diana, diseminadas por
    ambos lóbulos hepáticos, la de mayor tamaño en segmento
    6, compatibles con metástasis.
   Líquido libre intraperitoneal.
   Colelitiasis múltiple sin signos de colecistitis. Resto normal.
 Bx HEPÁTICA POR PUNCIÓN GUIADA POR ECO:
   Fragmento neoplásico compatible con melanoma. Patrón IHQ
    positivo para MELAN A y HMB 45.




 H.C. DERMATOLOGÍA:
   En espalda: un dermatofibroma y algunas queratosis
    seborreicas.
   En piernas y brazos: dermatofibromas maduros.
   No lesiones cutáneas sospechosas de malignidad.
 H.C. OFTALMOLOGÍA:
   F.O. OI: sin alteraciones relevantes.
   F.O. OD: a nivel de la arcada temporal inferior y extendiéndose
      por fuera de esta, lesión coroidea endofítica pigmentada de
      unos 5 diámetros papilares, asociada a desprendimiento de
      retina exudativo regional que impresiona de melanoma
      coroideo.

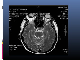
 RMN CRANEAL/ÓRBITA:
   Engrosamiento de la coroides del globo ocular derecho de
      hiperintensidad en secuencia T1 y que asienta a nivel basal y
      hemilateral derecho de 14 x 3 x 7 mm anteroposterior,
      craneocaudal y transverso respectivamente en relación con
      melanoma.
     Sin extensión extraocular ni afectación de estructuras de la
      orbita.
     Sin otras captaciones patológicas en el resto del estudio.
     Globo ocular izquierdo sin alteraciones.
     Sin alteraciones parenquimatosas supra ni infratentoriales.
EVOLUCIÓN durante el
ingreso
 Durante el ingreso, presentó pico febril.
 HEMOCULTIVOS: 1º positivo para Serratia
  marcescens sensible a Piperazilina. 2º negativo.
 Se trato con Ciprofloxacino quedando el paciente
  afebril.
JUICIO DIAGNÓSTICO

 MELANOMA COROIDEO DERECHO
 DISEMINADO CON METÁSTASIS
 HEPÁTICAS
PLAN

 Alta el día 29/12/2011 con cita en Consulta de
  Oncología.
 Índice de Karnofsky: 50%
 Alta con HaD para control sintomático.
EVOLUCIÓN con HaD
 A su ingreso se aumenta dosis de diureticos + se
  añade MST 10 para control de la tos que no
  responde a codeina.
 Se programa paracentesis para el 16/1/12 pero
  esa misma noche empeoramiento brusco con
  disnea, dolor abdominal, oliguria y agitación. Se
  explica a la familia posibilidad de exitus en pocas
  horas pero solicitan traslado porque no quieren
  que el paciente fallezca en casa.
 Se administra Midazolam y Cloruro mórfico
  subcutáneo induciendo sedación y se realiza
  traslado a Centro de Cuidados Paliativos.
 Exitus 17/01/2012.
DIAGNÓSTICO DIFERENCIAL

 Casi todos los tipos de neoplasia pueden
  metastatizar al hígado, salvo los primarios del
  encéfalo.
 + frec: tubo digestivo, pulmón, mama,
  melanoma.
 - frec: tiroides, próstata, piel.
Diagnóstico radiológico
 ECO ABDOMINAL:
    Múltiples e hipoecogénicas. Pueden tener un ribete hipoecoico y
       heterogenidad interna.

 ECO CON CONTRASTE:
    Pueden mejorar la caracterización comparando con la ECO clásica,
       su uso está en aumento.

 TAC (en 3 fases):
    MTS de colon, estómago y páncreas  atenuación más baja.
    MTS hipervasculares como neuroendocrinos, mama, c. renales,
       melanoma y los de tiroides  rápidamente hipercaptantes en fase
       arterial.

 RMN HEPÁTICA:
      aparecen como lesiones de baja señal en T1 y alta en T2. Mejora la detección
       de lesiones hipervasculares.
MELANOMA OCULAR
 95% uveales, la mayoría coroideos.
 Tumor maligno intraocular más frecuente del
  adulto.
 6 casos/106 habitantes en EEUU y Europa.
 Factores de riesgo:
   Fototipo.
   Nevus cutáneo y ocular.
   Exposición a RUV.
 Generalmente se desarrollan sobre nevus
  pigmentados, mayor riesgo:
   Grosor > 2 mm
   Acúmulo de líquido subretiniano.
   Síntomas: disminución de AV.
   Distancia al nerv. óptico.
   Presencia de pigmento naranja.
Diagnóstico

 Oftalmoscopia:
   Masa subretiniana de pigmentación oscura
    variable.
 Ecografía:
   Localiza y mide el tumor.
 TAC/RMN craneal
 Estudio de extensión
Tratamiento

 Lesiones < 3 mm de grosor y < 10 mm de
  diámetro:
   Observación, fotocoagulación, RT…
 Localmente avanzadas:
   Enucleación, exenteración orbitaria.
 Diseminada:
   QT, embolización de mts hepáticas.
   Inmunoterapia.
Muchas gracias

C donostia

  • 1.
    Logroño, Hotel CarltonRioja 23-24 Marzo 2012 Ander Berroeta, Marta Vaquero y Uxue Errasti R3- M. Interna H.U. Donostia
  • 2.
    MOTIVO DE CONSULTA Varón de 61 años que acude a Urgencias el 16/12/2011, derivado por su MAP por dolor abdominal de un mes de evolución.
  • 3.
    ANTECEDENTES PERSONALES  Transportista. HTA. DM tipo 2. Hiperlipemia. Obesidad.  Fumador ocasional de puros. Bebedor de vino con las comidas y una copa diaria hasta 6 meses antes. No otros hábitos tóxicos.  Ingreso en UEI por celulitis ESI (2003).  Parálisis facial a frígore (1998).  Tto habitual: Metformina (0-0-1/2), Glibenclamida (1-1-0), Valsartán (suspendido en la última semana).
  • 4.
    ENFERMEDAD ACTUAL  Doloren epigastrio e hipocondrio derecho, no irradiado, continuo, de 3 sem evolución.  Náuseas de predominio matutino.  Coluria + acolia.  Tendencia a la hipotensión por lo que había dejado de tomar Valsartán.  Tendencia a la hipoglucemia por lo que había reducido la dosis de Metformina.  Pérdida de 15 Kg en 4 meses.
  • 5.
    EXPLORACIÓN FÍSICA  TA141/79 FC 90 lpm SatO2 95% Afebril  Estado general conservado. No IY.  AC: tonos rítmicos, sin soplos. AP: murmullo vesicular normal.  Abdomen: muy distendido, con ascitis, no a tensión, gran hepatomegalia hasta flanco dcho de consistencia dura y dolorosa a la palpación. No esplenomegalia. Ruidos intestinales presentes.  EEII: edemas hasta las rodillas.
  • 6.
    PRUEBAS COMPLEMENTARIAS  ANÁLISIS:  F. renal e iones normales. BrbT 1.6, BrbD 1.1, FA 139, GGT 129, GOT 89, GPT 40, LDH 758, amilasa normal. PT 5.9, proteinograma normal. Colest 137, HDL 10, LDL 87, TG 148.  Hb 14, plaq 166000, leuco 8900, fórmula con ligera monocitosis.  INR1.5, TTPA 45 seg.  AFP 1.6, CEA 3.2, Ca125 323, Ca19.9 290, Ca15.3 35, PSA 0.28. ENE 27. Cromogranina A 103.  SEROLOGÍAS:  Hepatitis B y C negativos. VHA IgG positivo, IgM negativo.  LÍQUIDO PERITONEAL:  Rto y fórmula: 2600 hematies/mcL, 259 leucocitos/mcL, PMN 13.9%, M 86.1%.  BQ: pH 7.62, glc 150, prot 1.29, LDH 221, ADA 22.  AP: negativo para células malignas.
  • 7.
     RX TÓRAX:  Sin alteraciones significativas.  ECOGRAFIA ABDOMINAL:  Hígado aumentado de tamaño con desestructuración del parénquima y presencia de múltiples imágenes hipoecogénicas, alguna de ellas con morfología en ojo de buey; todo ello sugestivo de hígado metastásico.  Dilatación de la vía biliar intrahepática.  Líquido libre peritoneal.  Resto normal.
  • 8.
     TAC T-A-P:  Hígado con eje longitudinal de 28 cm, con presencia de varias lesiones focales mal definidas, hipovasculares, altamente sospechosas de neoplasia.  Ascitis perihepática, periesplénica y en Douglas (sin evidencia de carcinomatosis peritoneal).  Adenopatías de tamaño patológico en área de tronco celiaco, espacio portocava y retroperitoneales.  No patología gástrica ni colónica.
  • 9.
     RMN HEPÁTICA:  Hepatomegalia de contornos lobulados con alteración difusa y parcheada de la señal en secuencias ponderadas T1 y T2, definiéndose en las fases tardía tras la inyección de contraste áreas focales de hipocaptación, algunos de las cuales presenta una morfología en diana, diseminadas por ambos lóbulos hepáticos, la de mayor tamaño en segmento 6, compatibles con metástasis.  Líquido libre intraperitoneal.  Colelitiasis múltiple sin signos de colecistitis. Resto normal.
  • 10.
     Bx HEPÁTICAPOR PUNCIÓN GUIADA POR ECO:  Fragmento neoplásico compatible con melanoma. Patrón IHQ positivo para MELAN A y HMB 45.  H.C. DERMATOLOGÍA:  En espalda: un dermatofibroma y algunas queratosis seborreicas.  En piernas y brazos: dermatofibromas maduros.  No lesiones cutáneas sospechosas de malignidad.
  • 11.
     H.C. OFTALMOLOGÍA:  F.O. OI: sin alteraciones relevantes.  F.O. OD: a nivel de la arcada temporal inferior y extendiéndose por fuera de esta, lesión coroidea endofítica pigmentada de unos 5 diámetros papilares, asociada a desprendimiento de retina exudativo regional que impresiona de melanoma coroideo.  RMN CRANEAL/ÓRBITA:  Engrosamiento de la coroides del globo ocular derecho de hiperintensidad en secuencia T1 y que asienta a nivel basal y hemilateral derecho de 14 x 3 x 7 mm anteroposterior, craneocaudal y transverso respectivamente en relación con melanoma.  Sin extensión extraocular ni afectación de estructuras de la orbita.  Sin otras captaciones patológicas en el resto del estudio.  Globo ocular izquierdo sin alteraciones.  Sin alteraciones parenquimatosas supra ni infratentoriales.
  • 13.
    EVOLUCIÓN durante el ingreso Durante el ingreso, presentó pico febril.  HEMOCULTIVOS: 1º positivo para Serratia marcescens sensible a Piperazilina. 2º negativo.  Se trato con Ciprofloxacino quedando el paciente afebril.
  • 14.
    JUICIO DIAGNÓSTICO  MELANOMACOROIDEO DERECHO DISEMINADO CON METÁSTASIS HEPÁTICAS
  • 15.
    PLAN  Alta eldía 29/12/2011 con cita en Consulta de Oncología.  Índice de Karnofsky: 50%  Alta con HaD para control sintomático.
  • 16.
    EVOLUCIÓN con HaD A su ingreso se aumenta dosis de diureticos + se añade MST 10 para control de la tos que no responde a codeina.  Se programa paracentesis para el 16/1/12 pero esa misma noche empeoramiento brusco con disnea, dolor abdominal, oliguria y agitación. Se explica a la familia posibilidad de exitus en pocas horas pero solicitan traslado porque no quieren que el paciente fallezca en casa.  Se administra Midazolam y Cloruro mórfico subcutáneo induciendo sedación y se realiza traslado a Centro de Cuidados Paliativos.  Exitus 17/01/2012.
  • 17.
    DIAGNÓSTICO DIFERENCIAL  Casitodos los tipos de neoplasia pueden metastatizar al hígado, salvo los primarios del encéfalo.  + frec: tubo digestivo, pulmón, mama, melanoma.  - frec: tiroides, próstata, piel.
  • 18.
    Diagnóstico radiológico  ECOABDOMINAL:  Múltiples e hipoecogénicas. Pueden tener un ribete hipoecoico y heterogenidad interna.  ECO CON CONTRASTE:  Pueden mejorar la caracterización comparando con la ECO clásica, su uso está en aumento.  TAC (en 3 fases):  MTS de colon, estómago y páncreas  atenuación más baja.  MTS hipervasculares como neuroendocrinos, mama, c. renales, melanoma y los de tiroides  rápidamente hipercaptantes en fase arterial.  RMN HEPÁTICA:  aparecen como lesiones de baja señal en T1 y alta en T2. Mejora la detección de lesiones hipervasculares.
  • 19.
    MELANOMA OCULAR  95%uveales, la mayoría coroideos.  Tumor maligno intraocular más frecuente del adulto.  6 casos/106 habitantes en EEUU y Europa.  Factores de riesgo:  Fototipo.  Nevus cutáneo y ocular.  Exposición a RUV.
  • 20.
     Generalmente sedesarrollan sobre nevus pigmentados, mayor riesgo:  Grosor > 2 mm  Acúmulo de líquido subretiniano.  Síntomas: disminución de AV.  Distancia al nerv. óptico.  Presencia de pigmento naranja.
  • 21.
    Diagnóstico  Oftalmoscopia:  Masa subretiniana de pigmentación oscura variable.  Ecografía:  Localiza y mide el tumor.  TAC/RMN craneal  Estudio de extensión
  • 22.
    Tratamiento  Lesiones <3 mm de grosor y < 10 mm de diámetro:  Observación, fotocoagulación, RT…  Localmente avanzadas:  Enucleación, exenteración orbitaria.  Diseminada:  QT, embolización de mts hepáticas.  Inmunoterapia.
  • 23.