Cáncer de próstata 
Epidemiologi 
a 
Presentación 
Clínica 
Patología Ultrasonografí 
a 
TRUS 
Resonancia Magnética MRS Gammagrafí 
a
Epidemiología 
Epidemiologia 
Presentación 
Clínica 
Patología Ultrasonografía TRUS
Epidemiología 
• Es una enfermedad de adultos mayores (≥65) 
• 200,000 casos cada año * 
• 30,000 muertes*
Presentación Clínica 
Epidemiologia 
Presentación 
Clínica 
Patología Ultrasonografía TRUS
Presentación clínica 
• Usualmente es detectado por: 
• PSA ≥4ng/dL 
• DRE anormal
• Clínicamente se manifiesta con: 
• Síntomas urinarios bajos 
• Dolor de espalda 
• Apoyarse con: 
• IPSS: international prostate symptoms score(35)
Epidemiologia 
Presentación 
Clínica 
Patología Ultrasonografía TRUS 
Patología 
+.
Patología 
• 95% son adenocarcinomas provenientes de los acinos 
• Se evalúan según la clasificación de Gleason(1-5)
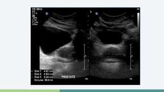
Ultrasonografía 
Epidemiologia 
Presentación 
Clínica 
Patología Ultrasonografía 
TRUS
Ultrasonografía 
• TRUS se realiza después de un DRE anormal o PSA elevado 
• Biopsias 
• Lesiones hipoecoicas (60-70%) 
• Lesiones hiperecoicas (30-40%)
Próstata normal 
• Vista longitudinal
• Vista axial
• Vista sagital
• Vista transversa
Ultrasonografía 
Epidemiologia 
Presentación 
Clínica 
Patología Ultrasonografía 
TRUS
TRUS 
• Sangrado transrrectal mínimo 
• Hematuria 
• Hemospermia 
• Prostatismo
Cáncer de próstata 
• Caso 1
• Caso 2
Resonancia Magnética 
Resonancia Magnética MRS Gammagrafía
Preparación 
• Dieta blanda 12h antes 
• Evitar líquidos estimulantes 
• Enema de limpieza 
• Admr. de Glucagón 
• Tacto rectal previo
Resonancia Magnética 
• Se usa cuando hay antígeno elevado y biopsia negativa 
• Se puede utilizar pre o post Qx 
• Se busca si hay extensión extracapsular 
• Permite visualizar invasión de la vesícula seminal 
• T2
T1 vs T2
Errores en el Diagnóstico 
• Presencia de Sangre 
• Prostatitis 
• Fibrosis del Estroma
Carcinoma Prostático
MRS 
Resonancia Magnética MRS Gammagrafía
RM-Espectroscopía 
• Permite la cuantificación de Metabolitos 
• En próstata 
• Colina 
• Creatina 
• Citrato 
• Índice Colina+Creatina/Citrato elevado (+0.75) 
• Sugestivo de proceso maligno 
• En Tej Normal Hay altos niveles de Citrato, que no hay en 
procesos patológicos
Ventajas 
• Estatificación tumoral 
• Recurrencia después del tratamiento 
• Distinción ADC vs Benignos
Relación Normal vs Neoplásica
Carcinoma de Próstata extracapsular
MRS
Gammagrafía Ósea 
Resonancia Magnética MRS Gammagrafía
Gammagrafía Ósea 
• Útil para detección de Metástasis Oseas 
• Indicada en Pacientes con 
• PSA +10 
• Gleason +7 
• Dolor Óseo 
• Tecnecio 99
Gracias 
Epidemiologi 
a 
Presentación 
Clínica 
Patología Ultrasonografí 
a 
TRUS
Bibliografía 
Anglada., F. J. (Diciembre de 2005). COMISIÓN CLÍNICA DE CÁNCER DE PRÓSTATA. Cordoba, España. 
Haaga, J. R. (2011). TC y RM Diagnostico por Imagendel Cuerpo Humano. Barcelona: Elsevier. 
J.C. Vilanova abc, ,. J.-F. (Diciembre de 2010). Utilidad de la resonancia magnética en el cáncer de próstata. Obtenido de Utilidad 
de la resonancia magnética en el cáncer de próstata: http://zl.elsevier.es/es/revista/radiologia-119/utilidad-resonancia-magnetica-cancer- 
prostata-13188857-actualizacion-2010#f0010 
María del Rocío Iñíguez Rodríguez, *. C. (2010). Aplicaciones de la RM funcional en el cáncer prostatico: hallazgos en 
espectroscopia y difusion. Revista de Investigacion Medica Sur, 73-80. 
osep Comet Batlle, J. C. (marzo de 2005). Archivos Españoles de Urología. Obtenido de LOCALIZACIÓN DEL CANCER DE 
PRÓSTATA EN LA GLÁNDULA CENTRAL MEDIANTE ESPECTROSCOPIA DE RESONANCIA MAGNÉTICA ENDORECTAL.: 
http://scielo.isciii.es/scielo.php?pid=S0004-06142005000200009&script=sci_arttext#f1 
usero, R. A. (2003). RESONANCIA MAGNÉTICA EN PRÓSTATA CON BOBINA ENDOCAVITARIA TRANSRECTAL: 
ADENOCARCINOMA (ACP) E HIPERPLASIA BENIGNA DE PRÓSTATA (HBP). Obtenido de RESONANCIA MAGNÉTICA EN 
PRÓSTATA CON BOBINA ENDOCAVITARIA TRANSRECTAL: ADENOCARCINOMA (ACP) E HIPERPLASIA BENIGNA DE 
PRÓSTATA (HBP): http://www.enfervalencia.org/ei/anteriores/articles/rev59/artic03.htm

Cáncer de próstata radiologia

  • 1.
    Cáncer de próstata Epidemiologi a Presentación Clínica Patología Ultrasonografí a TRUS Resonancia Magnética MRS Gammagrafí a
  • 2.
    Epidemiología Epidemiologia Presentación Clínica Patología Ultrasonografía TRUS
  • 3.
    Epidemiología • Esuna enfermedad de adultos mayores (≥65) • 200,000 casos cada año * • 30,000 muertes*
  • 4.
    Presentación Clínica Epidemiologia Presentación Clínica Patología Ultrasonografía TRUS
  • 5.
    Presentación clínica •Usualmente es detectado por: • PSA ≥4ng/dL • DRE anormal
  • 6.
    • Clínicamente semanifiesta con: • Síntomas urinarios bajos • Dolor de espalda • Apoyarse con: • IPSS: international prostate symptoms score(35)
  • 7.
    Epidemiologia Presentación Clínica Patología Ultrasonografía TRUS Patología +.
  • 8.
    Patología • 95%son adenocarcinomas provenientes de los acinos • Se evalúan según la clasificación de Gleason(1-5)
  • 10.
    Ultrasonografía Epidemiologia Presentación Clínica Patología Ultrasonografía TRUS
  • 11.
    Ultrasonografía • TRUSse realiza después de un DRE anormal o PSA elevado • Biopsias • Lesiones hipoecoicas (60-70%) • Lesiones hiperecoicas (30-40%)
  • 12.
    Próstata normal •Vista longitudinal
  • 13.
  • 14.
  • 16.
  • 18.
    Ultrasonografía Epidemiologia Presentación Clínica Patología Ultrasonografía TRUS
  • 19.
    TRUS • Sangradotransrrectal mínimo • Hematuria • Hemospermia • Prostatismo
  • 21.
  • 23.
  • 24.
    Resonancia Magnética ResonanciaMagnética MRS Gammagrafía
  • 25.
    Preparación • Dietablanda 12h antes • Evitar líquidos estimulantes • Enema de limpieza • Admr. de Glucagón • Tacto rectal previo
  • 26.
    Resonancia Magnética •Se usa cuando hay antígeno elevado y biopsia negativa • Se puede utilizar pre o post Qx • Se busca si hay extensión extracapsular • Permite visualizar invasión de la vesícula seminal • T2
  • 27.
  • 28.
    Errores en elDiagnóstico • Presencia de Sangre • Prostatitis • Fibrosis del Estroma
  • 30.
  • 32.
    MRS Resonancia MagnéticaMRS Gammagrafía
  • 33.
    RM-Espectroscopía • Permitela cuantificación de Metabolitos • En próstata • Colina • Creatina • Citrato • Índice Colina+Creatina/Citrato elevado (+0.75) • Sugestivo de proceso maligno • En Tej Normal Hay altos niveles de Citrato, que no hay en procesos patológicos
  • 34.
    Ventajas • Estatificacióntumoral • Recurrencia después del tratamiento • Distinción ADC vs Benignos
  • 35.
  • 36.
  • 37.
  • 38.
    Gammagrafía Ósea ResonanciaMagnética MRS Gammagrafía
  • 39.
    Gammagrafía Ósea •Útil para detección de Metástasis Oseas • Indicada en Pacientes con • PSA +10 • Gleason +7 • Dolor Óseo • Tecnecio 99
  • 42.
    Gracias Epidemiologi a Presentación Clínica Patología Ultrasonografí a TRUS
  • 43.
    Bibliografía Anglada., F.J. (Diciembre de 2005). COMISIÓN CLÍNICA DE CÁNCER DE PRÓSTATA. Cordoba, España. Haaga, J. R. (2011). TC y RM Diagnostico por Imagendel Cuerpo Humano. Barcelona: Elsevier. J.C. Vilanova abc, ,. J.-F. (Diciembre de 2010). Utilidad de la resonancia magnética en el cáncer de próstata. Obtenido de Utilidad de la resonancia magnética en el cáncer de próstata: http://zl.elsevier.es/es/revista/radiologia-119/utilidad-resonancia-magnetica-cancer- prostata-13188857-actualizacion-2010#f0010 María del Rocío Iñíguez Rodríguez, *. C. (2010). Aplicaciones de la RM funcional en el cáncer prostatico: hallazgos en espectroscopia y difusion. Revista de Investigacion Medica Sur, 73-80. osep Comet Batlle, J. C. (marzo de 2005). Archivos Españoles de Urología. Obtenido de LOCALIZACIÓN DEL CANCER DE PRÓSTATA EN LA GLÁNDULA CENTRAL MEDIANTE ESPECTROSCOPIA DE RESONANCIA MAGNÉTICA ENDORECTAL.: http://scielo.isciii.es/scielo.php?pid=S0004-06142005000200009&script=sci_arttext#f1 usero, R. A. (2003). RESONANCIA MAGNÉTICA EN PRÓSTATA CON BOBINA ENDOCAVITARIA TRANSRECTAL: ADENOCARCINOMA (ACP) E HIPERPLASIA BENIGNA DE PRÓSTATA (HBP). Obtenido de RESONANCIA MAGNÉTICA EN PRÓSTATA CON BOBINA ENDOCAVITARIA TRANSRECTAL: ADENOCARCINOMA (ACP) E HIPERPLASIA BENIGNA DE PRÓSTATA (HBP): http://www.enfervalencia.org/ei/anteriores/articles/rev59/artic03.htm