M.C. CARLA SANCHEZ LUCERO
RESIDENTE DE RADIOLOGIA
HOSPITAL BELEN DE TRUJILLO
Es un conjunto de conductos intra y
extrahepáticos por los que discurre la
bilis producida en el hígado hasta
desembocar en la segunda porción del
duodeno.
La bilis recorre los siguientes conductos
hasta desembocar en el duodeno:
Canalículos biliares intrahepáticos
Conductillos terminales de Hering
Conductos interlobulillares
Forman una red continua
ESTUDIO RADIOGRAFICO QUE NOS PERMITE VALORAR LA VIA BILIAR
MEDIANTE LA INTRODUCCION DE UN MEDIO DE CONTRASTE A TRAVES
DE UNA SONDA EN T.
INDICACIONES
1. VISUALIZACION DE CALCULOS RESIDUALES EN VIAS BILIARES.
2. PERMEABILIDAD DE LA VIA BILIAR.
3. PATOLOGIA EXTERNA QUE AFECTE LA PERMEABILIDAD DE LA VIA
BILIAR.
4. FORMACION DE FISTULAS.
5. VERIFICAR POSICION DE LA SONDA EN T.
6. ELEVACION DE BILIRRUBINAS DESPUES DE LA CIRUGIA.
CONTRAINDICACIONES
1. DESCOMPENSACION CARDIACA.
2. PERTURBACION GRAVE DE FUNCIONES HEPATICAS Y RENALES.
3. MIELOMA MULTIPLE.
1. INSUFICIENCIA CIRCULATORIA Y COLAPSo
2. DOLOR EN EL AREA BILIAR.
3. REACCION ALERGICA AL MEDIO DE
CONTRASTE.
•PREPARACIÓN:
•Se pinza el tubo el día anterior a la exploración para que los conductos se
plenifiquen de bilis y evitar la entrada de burbujas de aire que se puedan
confundir posteriormente con cálculos de colesterol.
•Paciente en ayunas el día del estudio.
•Si esta indicado, se puede administrar un enema evacuador
aproximadamente 1 hora antes de la evaluación.
•No requiere premedicación.
•Contraste Yodado hidrosoluble, 12-24cc.
•PROTOCOLO DE ESTUDIO:
•RX AP DE ABDOMEN SIMPLE.
• Despinzar tubo en T y dejar drenar la bilis, posteriormente instilar el
medio de contraste a través del tubo.
•RX AP DE HIPOCONDRIO DERECHO EN POSICION SUPINA.
•RX OPD DE HIPOCONDRIO DERECHO.
•PROYECCIÓN LATERAL
• Para obtener las ramificaciones anatómicas de los conductos hepáticos y
detectar cualquier anomalía.
• Se puede obtener una proyección a los 15 min para evaluar el
vaciamiento.
•PATOLOGIAS MAS FRECUENTES:
•Coledocolitiasis residual.
•Fugas biliares.
•Dilatación de la vía biliar.
•Papilitis.
FUGA PERIKEHR
FUGA DEL
MUÑON CISTICO
COLEDOCOLITIASIS
RESIDUAL
COLEDOCOLITIASIS
RESIDUAL CON DILATACIÓN
DE LA VIA BILIAR
COLEDOCOLITIASIS
RESIDUAL
•Posiciones radiológicas y correlación anatómica Bontrager 5 edición
• Atlas de posiciones radiográficas y procedimientos radiológicos
•Evaluación de colangiografía por tubo e kher e indicaciones actuales
SERAM
•Testut,Latarjet-Compendio_de_Anatomia_Descriptiva-Elsevier-
Masson(2001)tapaocr.pdf

COLANGIOGRAFIA TRANS KEHR.pptx

  • 1.
    M.C. CARLA SANCHEZLUCERO RESIDENTE DE RADIOLOGIA HOSPITAL BELEN DE TRUJILLO
  • 2.
    Es un conjuntode conductos intra y extrahepáticos por los que discurre la bilis producida en el hígado hasta desembocar en la segunda porción del duodeno. La bilis recorre los siguientes conductos hasta desembocar en el duodeno:
  • 3.
    Canalículos biliares intrahepáticos Conductillosterminales de Hering Conductos interlobulillares Forman una red continua
  • 5.
    ESTUDIO RADIOGRAFICO QUENOS PERMITE VALORAR LA VIA BILIAR MEDIANTE LA INTRODUCCION DE UN MEDIO DE CONTRASTE A TRAVES DE UNA SONDA EN T.
  • 6.
    INDICACIONES 1. VISUALIZACION DECALCULOS RESIDUALES EN VIAS BILIARES. 2. PERMEABILIDAD DE LA VIA BILIAR. 3. PATOLOGIA EXTERNA QUE AFECTE LA PERMEABILIDAD DE LA VIA BILIAR. 4. FORMACION DE FISTULAS. 5. VERIFICAR POSICION DE LA SONDA EN T. 6. ELEVACION DE BILIRRUBINAS DESPUES DE LA CIRUGIA. CONTRAINDICACIONES 1. DESCOMPENSACION CARDIACA. 2. PERTURBACION GRAVE DE FUNCIONES HEPATICAS Y RENALES. 3. MIELOMA MULTIPLE.
  • 7.
    1. INSUFICIENCIA CIRCULATORIAY COLAPSo 2. DOLOR EN EL AREA BILIAR. 3. REACCION ALERGICA AL MEDIO DE CONTRASTE.
  • 8.
    •PREPARACIÓN: •Se pinza eltubo el día anterior a la exploración para que los conductos se plenifiquen de bilis y evitar la entrada de burbujas de aire que se puedan confundir posteriormente con cálculos de colesterol. •Paciente en ayunas el día del estudio. •Si esta indicado, se puede administrar un enema evacuador aproximadamente 1 hora antes de la evaluación. •No requiere premedicación. •Contraste Yodado hidrosoluble, 12-24cc.
  • 9.
    •PROTOCOLO DE ESTUDIO: •RXAP DE ABDOMEN SIMPLE. • Despinzar tubo en T y dejar drenar la bilis, posteriormente instilar el medio de contraste a través del tubo. •RX AP DE HIPOCONDRIO DERECHO EN POSICION SUPINA. •RX OPD DE HIPOCONDRIO DERECHO. •PROYECCIÓN LATERAL • Para obtener las ramificaciones anatómicas de los conductos hepáticos y detectar cualquier anomalía. • Se puede obtener una proyección a los 15 min para evaluar el vaciamiento.
  • 10.
    •PATOLOGIAS MAS FRECUENTES: •Coledocolitiasisresidual. •Fugas biliares. •Dilatación de la vía biliar. •Papilitis.
  • 15.
    FUGA PERIKEHR FUGA DEL MUÑONCISTICO COLEDOCOLITIASIS RESIDUAL
  • 19.
  • 20.
  • 21.
    •Posiciones radiológicas ycorrelación anatómica Bontrager 5 edición • Atlas de posiciones radiográficas y procedimientos radiológicos •Evaluación de colangiografía por tubo e kher e indicaciones actuales SERAM •Testut,Latarjet-Compendio_de_Anatomia_Descriptiva-Elsevier- Masson(2001)tapaocr.pdf

Notas del editor

  • #3 Vesicula en cara visceral de hígado: almacena, concentra y libera bilis Vía biliar principal: conducto hepático común y coledoco Vía biliar accesoria: vesícula biliar y conducto cístico. La bilis corTe sucesinClenle por los conductos biliara intnhep~hicos(canductos bi/iares). rcducidos en el hilio a dos 0 U'es conductos; luego, fuera del hlgado. por un conducto , del cual pende un reservorio especial (vesicula biliar y el conducto cistico) y que llcva, par encima de la doembocadura· de este ultimo, eI nombre de conducto htpdtico. y par debajo, cI de conducto coledoco
  • #4 VIA INTRAHEPATICA: conduct Hering VIA EXTRAHEPATICA: Conduc hepti propio der e izq, hepático común, vesicula, cístico y cooledoco Higado: secreta 0,5 – 1.5 lt de bilis al dia Conducto heptco dmtro de 3-4 mm y long 3 cm varale Vescula viliiar Longtud 9 a 11 y 40 de anchura vscula blar cap de 50 a 60 cc Conducto cstco cntnuacon de la vb y se une al condc hepatco para frmar el colédoco :de 30 a45 mm .. Dametro de 3-4 mm su calbre es rregular Cnd colédoco : 6 a ocho cm su dametro decrece de 6 a 10 mm es facl dlatable dstencon por calculos Via Intrahepatica >4mm mayor en ecografía Imagen por sutraciion y adicion
  • #5 CONDUCTOS HEPATICOS DERECHO, IZQUIERDO y COMUN se unen a 2.5 cm del hígado, izq mas largo (1,7cm) derch (0,9) diámetro 0,4cm VESICULA: unión lob derecho e izq cara visceral del higaddo CISTICO: 2-4 cm largo, 04 mm diámetro COLEDOCO: 5-15cm largo 4porciones(SUPRA, RETRO; PANCREATICA; INTRAMURAL)
  • #8 pp
  • #11 PAPILITIS es una patología no neoplásica de origen inflamatorio asociado a obstrucción biliar e irritación química por la bilis
  • #12 Colangiografia AP oblicua postoperatoria POSICION OPD (OBLICUA POST DERECHA Evidencia via biliar radiopaca por medio de contraste
  • #13 Evidencia via biliar radiopaca por medio de contraste CON PRESENCIA DE TTUBO EN T CCOLEDOCO AMP DE VATER
  • #14 Burbujas de gas (radio opaco) en conducto colédoco Estudio mediante fluoroscopia(POR ESO CONTRASTE NEGRO) evidencia imagen radioopaca de bordes definidos en conducto colédoco((burbujas de gas) Difernecia de pólipo y quiste en coleco clasificacion
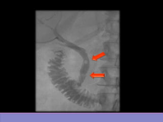
  • #15 Colangiografia postqx: AP oblicua muestra varias imágenes radiolucidas en via biliar a nivel de colédoco(flechas)
  • #17 DISMINUCION DE CALIBRE DEL COLEDOCO DISTAL CON DILATACION DE LA VIA BILIAR INTRA Y EXTRAHEPÁTICA EN RELACIÓN A EDEMA DE PAPILA O A ESPASMO DE ESFINTER DE ODDI.
  • #18 Imagen por fluoroscopia evidencia imagen radiolucides de via biliar con dilatación de via intra y extra hepatica
  • #19 Imagen por fluoroscopia evidencia imágenes radiopacas de bodes definidos en via biliar a nivel de colédoco A RELACIONAR CON COLEDOCOLITIASISS RESIDUAL