Dolor Torácico
Enfoque diagnóstico
Juan José Araya C.
Internado Medicina Interna
2016
Caso Clínico 1
• 68 años, sexo masculino
• HTA crónica sin tto y tabaquismo crónico activo
• Consulta por dolor torácico de inicio súbito de
aproximadamente 4 horas de evolución, de inicio
retroesternal que migra a interescapular, EVA 8/10,
asociado a náuseas y vómitos
EXAMEN FÍSICO:
• Vigil, orientado,reactivo. GCS 15
• Hidratado, sudoroso
• FC: 95/min FR: 22/min PA: 210/100 Sat: 93%
• Pulmonar: MP(+) SRA
• Cardiaco: RR2T. Soplo mesosistólico II/VI foco Ao
• Abdomen: normal
• Edema (-) signos tvp (-)
HIPÓTESIS DIAGNÓSTICAS:
• Dolor torácico en estudio:
• SCA v/s SAA
• Emergencia HTA
• Tabaquismo crónico activo
• ECG: HVI
• Enzimas: CK T: 124 U/L, CKMB: 21, Troponina I: 0,02
• D.D: 254
• Hemograma: Blancos 11.000
• Fx hepática-renal normal
• ELP normales
• Glicemia 135
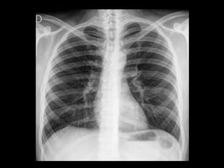
ALGO MÁS A SOLICITAR?? …
Rx. Tórax!!
• AngioTAC:
• Flap de disección distal al origen de la arteria subclavia
izquierda.
• Se extiende por la aorta abdominal hasta el origen de las
arterias renales sin comprometerlas
Conclusión:
• Disección aórtica tipo B de Stanford
• Paciente se traslada a la unidad de tratamiento
intermedio (UTI) para continuar con su manejo.
• Se inicia tratamiento antihipertensivo endovenoso, con
Labetalol en infusión continua logrando mantener PAM
entre 100-110 con infusión de 2 mg/min.
• Para el tratamiento del dolor se utilizan bolos de 3 mg
de morfina endovenosa.
• Se inicia tratamiento oral al 5º día de hospitalización,
trasladándose al servicio de Medicina Interna.
• El paciente evoluciona satisfactoriamente
Discusión del caso
Caso Clínico 2
• 78 años, sexo femenino
• HTA crónica en tto, DM2 no IR, ECV 2007 sin
secuelas. Tabaquismo crónico inactivo
• Consulta por cuadro de 3 horas de evolución de
disnea brusca mientras dormía, cefalea y fiebre de
hasta 39,5º C. No refería dolor torácico ni
hemoptisis, ni clínica de infección respiratoria.
Cuenta que ha bajado de peso en los últimos 2
meses, 5 kilos aprox. asociado a adinamia.
• EXAMEN FÍSICO:
• Vigil, orientada en T/E. GCS 15
• Hidratada, bien perfundida
• Pulsos periféricos (+++)
• FC: 110/min FR: 28/min PA: 130/80 Sat: 91%
• Pulmonar: MP(+) Estertores crepitantes bibasales
• Cardiaco: RR2TSS
• Abdomen: RHA(+), BDI. No se palpan masas
• Edema y signos tvp (-)
HIPÓTESIS DIAGNÓSTICAS:
• Sepsis Foco pulmonar v/s urinario?
• Sindrome consuntivo
• HTA crónica
• DM2 descompensada
• Rx tórax:
• ECG: taquicardia sinusal + BCRD
• Troponina: 0,16 D.D: 1274 ng/dl
• GSA:
• PAO2: 78
• pH: 7,48
• PCO2: 30
• HCO3: 19
• Hemograma:
• Hto/Hb: 38,1/9,7
• Blancos: 10.300
• PMN: 65%
• Plaquetas: 165.000
• TTPK: 31
• INR: 1,2
• PCR: 1,5
• Lactato: 1,8 mmol/L
• Fx renal-hepática normal
• Glicemia: 138
• Orina: sangre +++, eritrocitos incontables.
 Disnea súbita
 Dimero D alto…
 Baja de peso…
• AngioTAC de tórax:
• Defectos de repleción en ramas segmentarias de pulmón
izquierdo.
• Cardiomegalia
• Marcado aumento de calibre de arteria pulmonar
principal y ramas centrales
Hallazgos compatibles con TEP izquierdo
Se hospitaliza a paciente:
• Se inicia tto. con Heparina no fraccionada:
• Bolo 80U/kg
• BIC 18U/kg/hr
• Control de TTPK
• Aporte de O2 para sat >94%
• Losartán 50mg c/12 hrs
• HGT seriado + IC según esquema
• Paracetamol 1g c/8 hrs
• Monitoreo continuo
• Estudio por Sd. Consuntivo: obs NEO oculto
Discusión del caso
Caso Clínico 3
• 55 años, sexo femenino
• HTA, DM2 no IR, Tabaquismo crónico inactivo,
Obesa.
• 2 meses de evolución de dolor retroesternal
opresivo, irradiado a cuello, gatillado con esfuerzo,
que cedía en reposo.
• Consulta en SU por dolor de iguales características,
de 30 minutos de evolución, EVA 7/10, iniciado en
reposo.
EXAMEN FÍSICO:
• Vigil, atenta; orientada en T/E
• Hidratada, rosada
• Pulsos periféricos presentes
• FC: 115/min RR FR: 22/min PA: 148/85 Sat: 91%
• Yugulares planas. Carótidas SS
• Pulmonar: MP(+) SRA
• Cardiaco: RR2TSS
• Abdomen: normal
• Edema y signos tvp (-)
HIPÓTESIS DIAGNÓSTICAS:
• OBS SCA sin SDST
• HTA CRÓNICA
• DM2 NO IR
• TABAQUISMO CRÓNICO INACTIVO
• OBESIDAD
Habiendo pasado 45 minutos desde el inicio del
cuadro…
• Morfina 2g IV
• NTG: 50/250 a 3ml/hr
• O2 para sat >=94%
• AAS 250mg
• HNF: bolo 60U/kg + BIC 12U/kg/hr
• Atorvastatina 80mg
• Monitoreo cardiaco
• Se solicitan enzimas…. CK T: 132
CKMB:27
Troponina: 0,1
Se solicitan enzimas a las 3 horas…
CK T: 180
CKMB:32
Troponina: 59
REPLANTEAMIENTO DIAGNÓSTICO:
• IAM sin SDST, Killip I
• HTA CRÓNICA
• DM2 NO IR DESCOMPENSADA
• TABAQUISMO CRÓNICO INACTIVO
• OBESIDAD
• Se continua con Manejo en SU
• Se calcula Score Grace: 154alto riesgo
• Se interconsulta a UCO
Discusión del caso
Caso Clínico 4
• 31 años, sexo masculino
• Sin antecedentes mórbidos de importancia
• Acude a SU refiriendo dolor retroesternal de 6
horas de evolución, de inicio súbito, punzante,
irradiado a hombro y espalda, EVA 8/10, que
aumenta al estar acostado.
EXAMEN FÍSICO:
• Conciencia ok
• Hidratado, rosado
• Pulsos periféricos (+++)
• FC: 85/min RR FR: 22/min PA: 128/75 Sat: 95%
t° 36,7
• Pulmonar: MP(+) SRA
• Cardiaco: RR2TSS No se ausculta Roce
• Abdomen ok
• Edema y signos tvp (-)
EXAMENES GENERALES:
• Hemograma:
• Hto/Hb: 45,1 / 14,8
• Leucocitos 8.500 /ul
• PMN: 64,8%
• Plaquetas: 317.000
• BUN: 13
• Crea: 0,7
• ELP normales
• Glicemia: 89
• CK T: 109 CKMB: 19 Troponina: 0,02
…Hipótesis diagnóstica:
• PERICARDITIS AGUDA
• Se indica:
• Ibuprofeno 600mg
• c/8hrs x 7 días
• c/12hrs x otros 7 días
• c/24 hrs x otros 7 días
• Colchicina 0,5mg c/día x 3 meses
• Omeprazol 20mg c/24 hrs
• Control en consultorio en 7 días
Bonus track…
Parrochia, E. Esquemas Diagnósticos Clínicos.
1998
Elementos que sugieren
cardiopatía coronaria
Dolor retroesternal opresivo
No localizable con un dedo
Episodios de minutos de duración
Irradiado a EESS, cuello, mandíbula
Desencadenado x esfuerzo o stress
Atenuado con reposo
Antecedentes mórbidos
Elementos que NO sugieren
cardiopatía coronaria
Dolor pleurítico
Localizable con un dedo
Reproducible a la palpación
Episodios de segundos de duración
Irradiado a EEII
+Pirosis, acidez, disfagia
DOLOR TORÁCICO
¿MODIFICA CON MOVIMIENTOS?
SI NO
PERFIL
OSTEOMUSCULAR
TRAUMATISMO-INFLAMACIÓN
¿MODIFICA CON
LA RESPIRACIÓN?
SI NO
PERFIL PLEURO-
PERICÁRDICO
PNEUMONIA-TEP-PERICARDITIS-
NEUMOTÓRAX
PERFIL
ISQUÉMICO
DOLOR TORÁCICO
PERFIL
ISQUÉMICO
DURACIÓN
>30 MINUTOS
IAM
DISECCIÓN AO
PRINZMETAL
DERIVACIÓN A
URGENCIAS!
DURACIÓN
<=20 MINUTOS
ANGINA DE PECHO
ANGINA INESTABLE
NO SI
¿EN REPOSO?
SI NO
¿POR ESFUERZO O
STRESS?
ANGINA ESTABLE
Equivalentes anginosos
• Dolor mandibular, cuello, oreja, muñeca, epigastrio…
• Aparición o empeoramiento de disnea
• Náuseas, vómitos
• Sudoración
• Pérdida de CF
• Compromiso de conciencia
ANCIANOS-DIABETICOS-MUJERES-ANALGÉSICOS-
NEUROLÉPTICOS
Dolor Torácico
Enfoque diagnóstico
Juan José Araya C.
Internado Medicina Interna
2016

Dolor torácico

  • 1.
    Dolor Torácico Enfoque diagnóstico JuanJosé Araya C. Internado Medicina Interna 2016
  • 2.
    Caso Clínico 1 •68 años, sexo masculino • HTA crónica sin tto y tabaquismo crónico activo • Consulta por dolor torácico de inicio súbito de aproximadamente 4 horas de evolución, de inicio retroesternal que migra a interescapular, EVA 8/10, asociado a náuseas y vómitos
  • 3.
    EXAMEN FÍSICO: • Vigil,orientado,reactivo. GCS 15 • Hidratado, sudoroso • FC: 95/min FR: 22/min PA: 210/100 Sat: 93% • Pulmonar: MP(+) SRA • Cardiaco: RR2T. Soplo mesosistólico II/VI foco Ao • Abdomen: normal • Edema (-) signos tvp (-)
  • 4.
    HIPÓTESIS DIAGNÓSTICAS: • Dolortorácico en estudio: • SCA v/s SAA • Emergencia HTA • Tabaquismo crónico activo
  • 5.
    • ECG: HVI •Enzimas: CK T: 124 U/L, CKMB: 21, Troponina I: 0,02 • D.D: 254 • Hemograma: Blancos 11.000 • Fx hepática-renal normal • ELP normales • Glicemia 135
  • 6.
    ALGO MÁS ASOLICITAR?? … Rx. Tórax!!
  • 8.
    • AngioTAC: • Flapde disección distal al origen de la arteria subclavia izquierda. • Se extiende por la aorta abdominal hasta el origen de las arterias renales sin comprometerlas Conclusión: • Disección aórtica tipo B de Stanford
  • 9.
    • Paciente setraslada a la unidad de tratamiento intermedio (UTI) para continuar con su manejo. • Se inicia tratamiento antihipertensivo endovenoso, con Labetalol en infusión continua logrando mantener PAM entre 100-110 con infusión de 2 mg/min. • Para el tratamiento del dolor se utilizan bolos de 3 mg de morfina endovenosa. • Se inicia tratamiento oral al 5º día de hospitalización, trasladándose al servicio de Medicina Interna. • El paciente evoluciona satisfactoriamente
  • 10.
  • 11.
    Caso Clínico 2 •78 años, sexo femenino • HTA crónica en tto, DM2 no IR, ECV 2007 sin secuelas. Tabaquismo crónico inactivo • Consulta por cuadro de 3 horas de evolución de disnea brusca mientras dormía, cefalea y fiebre de hasta 39,5º C. No refería dolor torácico ni hemoptisis, ni clínica de infección respiratoria. Cuenta que ha bajado de peso en los últimos 2 meses, 5 kilos aprox. asociado a adinamia.
  • 12.
    • EXAMEN FÍSICO: •Vigil, orientada en T/E. GCS 15 • Hidratada, bien perfundida • Pulsos periféricos (+++) • FC: 110/min FR: 28/min PA: 130/80 Sat: 91% • Pulmonar: MP(+) Estertores crepitantes bibasales • Cardiaco: RR2TSS • Abdomen: RHA(+), BDI. No se palpan masas • Edema y signos tvp (-)
  • 13.
    HIPÓTESIS DIAGNÓSTICAS: • SepsisFoco pulmonar v/s urinario? • Sindrome consuntivo • HTA crónica • DM2 descompensada
  • 14.
  • 15.
    • ECG: taquicardiasinusal + BCRD • Troponina: 0,16 D.D: 1274 ng/dl • GSA: • PAO2: 78 • pH: 7,48 • PCO2: 30 • HCO3: 19 • Hemograma: • Hto/Hb: 38,1/9,7 • Blancos: 10.300 • PMN: 65% • Plaquetas: 165.000 • TTPK: 31 • INR: 1,2 • PCR: 1,5 • Lactato: 1,8 mmol/L • Fx renal-hepática normal • Glicemia: 138 • Orina: sangre +++, eritrocitos incontables.
  • 16.
     Disnea súbita Dimero D alto…  Baja de peso…
  • 17.
    • AngioTAC detórax: • Defectos de repleción en ramas segmentarias de pulmón izquierdo. • Cardiomegalia • Marcado aumento de calibre de arteria pulmonar principal y ramas centrales Hallazgos compatibles con TEP izquierdo
  • 18.
    Se hospitaliza apaciente: • Se inicia tto. con Heparina no fraccionada: • Bolo 80U/kg • BIC 18U/kg/hr • Control de TTPK • Aporte de O2 para sat >94% • Losartán 50mg c/12 hrs • HGT seriado + IC según esquema • Paracetamol 1g c/8 hrs • Monitoreo continuo • Estudio por Sd. Consuntivo: obs NEO oculto
  • 19.
  • 20.
    Caso Clínico 3 •55 años, sexo femenino • HTA, DM2 no IR, Tabaquismo crónico inactivo, Obesa. • 2 meses de evolución de dolor retroesternal opresivo, irradiado a cuello, gatillado con esfuerzo, que cedía en reposo. • Consulta en SU por dolor de iguales características, de 30 minutos de evolución, EVA 7/10, iniciado en reposo.
  • 22.
    EXAMEN FÍSICO: • Vigil,atenta; orientada en T/E • Hidratada, rosada • Pulsos periféricos presentes • FC: 115/min RR FR: 22/min PA: 148/85 Sat: 91% • Yugulares planas. Carótidas SS • Pulmonar: MP(+) SRA • Cardiaco: RR2TSS • Abdomen: normal • Edema y signos tvp (-)
  • 23.
    HIPÓTESIS DIAGNÓSTICAS: • OBSSCA sin SDST • HTA CRÓNICA • DM2 NO IR • TABAQUISMO CRÓNICO INACTIVO • OBESIDAD
  • 24.
    Habiendo pasado 45minutos desde el inicio del cuadro… • Morfina 2g IV • NTG: 50/250 a 3ml/hr • O2 para sat >=94% • AAS 250mg • HNF: bolo 60U/kg + BIC 12U/kg/hr • Atorvastatina 80mg • Monitoreo cardiaco • Se solicitan enzimas…. CK T: 132 CKMB:27 Troponina: 0,1
  • 26.
    Se solicitan enzimasa las 3 horas… CK T: 180 CKMB:32 Troponina: 59
  • 27.
    REPLANTEAMIENTO DIAGNÓSTICO: • IAMsin SDST, Killip I • HTA CRÓNICA • DM2 NO IR DESCOMPENSADA • TABAQUISMO CRÓNICO INACTIVO • OBESIDAD
  • 28.
    • Se continuacon Manejo en SU • Se calcula Score Grace: 154alto riesgo • Se interconsulta a UCO
  • 29.
  • 30.
    Caso Clínico 4 •31 años, sexo masculino • Sin antecedentes mórbidos de importancia • Acude a SU refiriendo dolor retroesternal de 6 horas de evolución, de inicio súbito, punzante, irradiado a hombro y espalda, EVA 8/10, que aumenta al estar acostado.
  • 31.
    EXAMEN FÍSICO: • Concienciaok • Hidratado, rosado • Pulsos periféricos (+++) • FC: 85/min RR FR: 22/min PA: 128/75 Sat: 95% t° 36,7 • Pulmonar: MP(+) SRA • Cardiaco: RR2TSS No se ausculta Roce • Abdomen ok • Edema y signos tvp (-)
  • 34.
    EXAMENES GENERALES: • Hemograma: •Hto/Hb: 45,1 / 14,8 • Leucocitos 8.500 /ul • PMN: 64,8% • Plaquetas: 317.000 • BUN: 13 • Crea: 0,7 • ELP normales • Glicemia: 89 • CK T: 109 CKMB: 19 Troponina: 0,02
  • 36.
    …Hipótesis diagnóstica: • PERICARDITISAGUDA • Se indica: • Ibuprofeno 600mg • c/8hrs x 7 días • c/12hrs x otros 7 días • c/24 hrs x otros 7 días • Colchicina 0,5mg c/día x 3 meses • Omeprazol 20mg c/24 hrs • Control en consultorio en 7 días
  • 37.
  • 38.
    Parrochia, E. EsquemasDiagnósticos Clínicos. 1998
  • 39.
    Elementos que sugieren cardiopatíacoronaria Dolor retroesternal opresivo No localizable con un dedo Episodios de minutos de duración Irradiado a EESS, cuello, mandíbula Desencadenado x esfuerzo o stress Atenuado con reposo Antecedentes mórbidos
  • 40.
    Elementos que NOsugieren cardiopatía coronaria Dolor pleurítico Localizable con un dedo Reproducible a la palpación Episodios de segundos de duración Irradiado a EEII +Pirosis, acidez, disfagia
  • 41.
    DOLOR TORÁCICO ¿MODIFICA CONMOVIMIENTOS? SI NO PERFIL OSTEOMUSCULAR TRAUMATISMO-INFLAMACIÓN ¿MODIFICA CON LA RESPIRACIÓN? SI NO PERFIL PLEURO- PERICÁRDICO PNEUMONIA-TEP-PERICARDITIS- NEUMOTÓRAX PERFIL ISQUÉMICO
  • 42.
    DOLOR TORÁCICO PERFIL ISQUÉMICO DURACIÓN >30 MINUTOS IAM DISECCIÓNAO PRINZMETAL DERIVACIÓN A URGENCIAS! DURACIÓN <=20 MINUTOS ANGINA DE PECHO ANGINA INESTABLE NO SI ¿EN REPOSO? SI NO ¿POR ESFUERZO O STRESS? ANGINA ESTABLE
  • 43.
    Equivalentes anginosos • Dolormandibular, cuello, oreja, muñeca, epigastrio… • Aparición o empeoramiento de disnea • Náuseas, vómitos • Sudoración • Pérdida de CF • Compromiso de conciencia ANCIANOS-DIABETICOS-MUJERES-ANALGÉSICOS- NEUROLÉPTICOS
  • 45.
    Dolor Torácico Enfoque diagnóstico JuanJosé Araya C. Internado Medicina Interna 2016

Notas del editor

  • #22  La enfermera Teresa le toma ECG… descenso del segmento ST y ondas T negativas en I, aVL y V1-V5 
  • #32 Roce presente en el 60-80% casos