Anatomía
• Órganos pares.
• Retroperitoneales
• Capa fibroadiposa
• Relaciones:
• Posterior: M. Cuadrado lumbar y Poas
• Anterior: Peritoneo
Cuadrado lumbar
Psoas
Peritoneo
Riñones
Twonsend C., Beauchamp D., Evers B., Mattox K. Sabiston Tratado de Cirugía. 19na ed. Elsevier. Madrid 2013.
Anatomía
• Órganos pares.
• Retroperitoneales
• Capa fibroadiposa
• Relaciones:
• Posterior: M. Cuadrado lumbar y Poas
• Anterior: Peritoneo
Sabinston
Riñones
• Riñón Izquierdo: cuerpo y cola del
páncreas, el bazo, la flexura esplénica
del colon y el mesocolon
• Riñón Derecho: Hígado, duodeno y
cabeza de páncreas
Twonsend C., Beauchamp D., Evers B., Mattox K. Sabiston Tratado de Cirugía. 19na ed. Elsevier. Madrid 2013.
Anatomía
• Arterias renales
• De aorta
• Ramifica en segmentarias
• Derecha mas larga.
• Venas renales
• Hacia vena cava
• Delante de las arterias
• Izquierda mas larga
Sabinston
Riñones
Twonsend C., Beauchamp D., Evers B., Mattox K. Sabiston Tratado de Cirugía. 19na ed. Elsevier. Madrid 2013.
Anatomía
• Cálices mayores.
• Cálices menores.
• Pelvis renal.
• Posición dorsal.
Sabinston
Riñones
Unión
ureteropélvica
Twonsend C., Beauchamp D., Evers B., Mattox K. Sabiston Tratado de Cirugía. 19na ed. Elsevier. Madrid 2013.
Anatomía
Sabinston
Glándula Suprarrenal
• Superointerna
• Dentro de fascia de Gerota
• Ramas de arterias renales
• Drenaje:
• Izquierdo: vena frénica inferior y vena renal izquierda
• Derecho: vena corta a vena cava
Twonsend C., Beauchamp D., Evers B., Mattox K. Sabiston Tratado de Cirugía. 19na ed. Elsevier. Madrid 2013.
Anatomía
Sabinston
Uréter
• Estructura muscular.
• Trayecto anterior al psoas.
• De pelvis renal a vejiga.
• Irrigación:
• Aorta y arteria renal.
• Ramas de arterias iliacas.
Twonsend C., Beauchamp D., Evers B., Mattox K. Sabiston Tratado de Cirugía. 19na ed. Elsevier. Madrid 2013.
Anatomía
Sabinston
Vejiga
• Retropúbico y extraperitoneal
• Relaciones:
• Superoexterna: Colon sigmoides
• Posterior:
• Hombres: Recto
• Mujeres: Vagina y útero
Próstata
• Continuidad con cuello vesical
• Componente de musculo liso
• Fascia de Denonvilliers
Twonsend C., Beauchamp D., Evers B., Mattox K. Sabiston Tratado de Cirugía. 19na ed. Elsevier. Madrid 2013.
Anatomía
Sabinston
Pene
• Tres cuerpos principales.
• Cuerpos cavernosos:
• Pares, cilíndricos y eréctiles.
• Túnica albugínea y tejido esponjoso
• Cuerpo esponjoso:
• Único rodea uretra
• Continua a glande.
• Irrigación, drenaje e inervación
• Fascia de Dartos y de Buck.
Nervios cavernosos
Twonsend C., Beauchamp D., Evers B., Mattox K. Sabiston Tratado de Cirugía. 19na ed. Elsevier. Madrid 2013.
Anatomía
Sabinston
Escroto
• Capas:
• Piel
• Dartos
• Fascia espermática externa
• Fascia cremastérica
• Fascia espermática interna
• Túnica vaginal (parietal y visceral)
Twonsend C., Beauchamp D., Evers B., Mattox K. Sabiston Tratado de Cirugía. 19na ed. Elsevier. Madrid 2013.
Anatomía
Sabinston
Testículos
• Túnica albugínea
• Túbulos seminíferos
• Irrigación:
• Arteria renal
• Arteria cremastérica
• Arteria del conducto deferente
• Drenaje:
• Plexo pampiriforme
Twonsend C., Beauchamp D., Evers B., Mattox K. Sabiston Tratado de Cirugía. 19na ed. Elsevier. Madrid 2013.
Traumatismo Renal
Etiología
• Contusiones abdominales (90%)
• Accidentes automovilísticos
• Caídas
• Lesiones deportivas
• 1,4 - 3,25% de todos los traumatismos
• 4 – 8 % de traumatismos penetrantes
SabinstonTwonsend C., Beauchamp D., Evers B., Mattox K. Sabiston Tratado de Cirugía. 19na ed. Elsevier. Madrid 2013.
Traumatismo Renal
Sabinston
Clínica
• Hematuria
• Alteración de signos vitales
• Equimosis
• Masa palpable en flancos
• Dolor en flancos
• Dolor en costillas inferiores
• Hematoma retroperitoneal
• Zona I: Central medial
• Zona II: Flanco
• Zona III: Pélvico
• Portal retrohepático
Twonsend C., Beauchamp D., Evers B., Mattox K. Sabiston Tratado de Cirugía. 19na ed. Elsevier. Madrid 2013.
Traumatismo Renal
Sabinston
Estudios
• TAC con contraste, FAST o Pielografía intravenosa (PIV)
• Indicada en:
• Lesiones penetrantes al flanco o al abdomen
• Hematuria microscópica >20GR por campo
• Hematuria microscópica <20GR por campo + Shock
• Hematuria macroscópica
• No en pacientes inestables o con indicación qx.
• Creatinina, hematocrito,
uroanálisis y ecografía renal.
Twonsend C., Beauchamp D., Evers B., Mattox K. Sabiston Tratado de Cirugía. 19na ed. Elsevier. Madrid 2013.
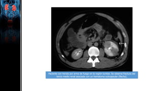
Paciente con herida por arma de fuego en la región lumbar. Se observa fractura del
tercio medio renal asociada con un hematoma subcapsular (flecha).
Traumatismo Renal
Sabinston
Clasificación
GRADO DESCRIPCIÓN DE LA LESIÓN
I Contusión: microhematuria y macrohematuria, con un estudio urológico
normal
Hematoma: subcapsular, sin expansión ni desgarro parenquimatoso
II Hematoma: hematoma perirrenal sin expansión, confinado al
retroperitoneo renal
Desgarro: <1 cm en la profundidad del parénquima de la corteza renal, sin
extravasación urinaria
III Desgarro: >1 cm en la profundidad de la corteza renal, sin rotura del
sistema colector ni extravasación urinaria
IV Desgarro: desgarro parenquimatoso, que se extiende a través de la
corteza renal, la médula y el sistema colector
Vascular: lesión traumática de la arteria o vena renales principales, con
hemorragia contenida
V Desgarro: riñón totalmente destrozado
Vascular: avulsión del hilio renal, con desvascularización del riñón
Twonsend C., Beauchamp D., Evers B., Mattox K. Sabiston Tratado de Cirugía. 19na ed. Elsevier. Madrid 2013.
Grado I: Contusión renal y hematoma subcapsular en paciente de 16 años
Zonas de menor realce interpolar y lesión en arco de baja densidad
Grado II: Hematoma perirrenal en mujer de 37 años
Grado III: Laceración cortical en hombre de 61 años por traumatismo contuso
Grado IV: Infarto segmentario en hombre de 34 años tras traumatismo contuso
Zona cuneiforme delimitada en regio interpolar
Grado IV: Laceracion de sistema colector en mujer de 43 años por traumatismo contuso
Fuga de contraste por laceración y hematoma perirrenal
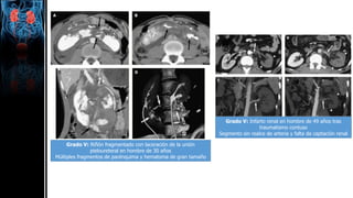
Grado V: Riñón fragmentado con laceración de la unión
pieloureteral en hombre de 30 años
Múltiples fragmentos de parénquima y hematoma de gran tamaño
Grado V: Infarto renal en hombre de 49 años tras
traumatismo contuso
Segmento sin realce de arteria y falta de captación renal
• Multidisciplinar.
• Traumatismos grado 1 – 3:
Conservador
• Traumatismos grado 5:
Cirugía
• Traumatismos grado 4:
Controversial
• ATB: Tobramicina
Traumatismo Renal
Sabinston
Conducta terapéutica
Indicaciones
Absolutas
de Cirugía
1. Hemorragia persistente, que pone en riesgo la vida
2. Avulsión del pedículo renal (lesión grado V)
3. Hematoma retroperitoneal en expansión, pulsátil o no contenido
Indicaciones
relativas de
Cirugía
1. Laceraciones grandes de la pelvis renal o avulsión de la unión
ureteropélvica
2. Lesiones pancreáticas o intestinales coexistentes
3. Fuga urinaria persistente, urinoma después de la lesión o absceso
perirrenal con tratamiento percutáneo o endoscópico fallido
4. Urografía intravenosa anormal con una sola dosis de medio de
contraste, realizada en el transoperatorio
5. Segmento de parénquima renal desvitalizado con fuga asociada de
orina
6. Trombosis completa de la arteria renal de ambos riñones o de riñón
único cuando parece conservada la perfusión renal
7. Lesión vascular renal después de tratamiento angiográfico fallido
8. Hipertensión renovascular
Twonsend C., Beauchamp D., Evers B., Mattox K. Sabiston Tratado de Cirugía. 19na ed. Elsevier. Madrid 2013.
Algoritmo terapéutico
Algoritmo terapéutico
• Incisión en línea media
• Control del hilio renal
• Disección roma
• Abrir espacio
• Colocar pinza sobre pedículo
• Exposición completa
• Incisión vertical en fascie de Gerota
• Desbridamiento de lo no viable y ligadura.
• Sutura absorbible para parénquima.
• Sutura catgut crómico o polidioxanona 4-0 para vasos y vías.
• Sutura polipropileno 5-0 o 6-0 para lesión vascular.
• Endoprótesis o dren cutáneo.
Traumatismo Renal
Sabinston
Técnica quirúrgica:
Twonsend C., Beauchamp D., Evers B., Mattox K. Sabiston Tratado de Cirugía. 19na ed. Elsevier. Madrid 2013.
Traumatismo Ureteral
Sabinston
Etiología
• Protegido en traumatismos cerrado
• 2 – 17% Traumatismos penetrantes
• 90% Heridas por arma de fuego
• Iatrogenia transoperatoria
Clínica
• Diagnostico transoperatorio.
• Inespecíficos y tardíos
• Fiebre
• Íleo
• Dolor costal
• Hematuria
• Masa en flanco
Twonsend C., Beauchamp D., Evers B., Mattox K. Sabiston Tratado de Cirugía. 19na ed. Elsevier. Madrid 2013.
Traumatismo Ureteral
Sabinston
Estudios
• Uroanálisis
• Urografía excretora
• Pielografía ascendente
• TAC
Clasificación GRADO DESCRIPCIÓN DE LA LESIÓN
I Hematoma solamente
II Laceración <50% del perímetro
III Laceración >50% del perímetro
IV Rotura completa <2cm de desvascularización
V Rotura completa >2cm de desvascularización
Twonsend C., Beauchamp D., Evers B., Mattox K. Sabiston Tratado de Cirugía. 19na ed. Elsevier. Madrid 2013.
Traumatismo Ureteral
Sabinston
Conducta terapéutica
• Reparación quirúrgica
• Lesión grado I – II
• Endoprótesis
• Lesión grado III – V
• Reparación reconstructiva
Twonsend C., Beauchamp D., Evers B., Mattox K. Sabiston Tratado de Cirugía. 19na ed. Elsevier. Madrid 2013.
Traumatismo Ureteral
Sabinston
Técnica quirúrgica
• A cualquier altura.
• Evitar desvasculizar.
• En lesiones incompletas:
• La endoprótesis a través de la lesión
• En lesiones completas.
• Desbridar extremos ureterales
• Sección en espátula de extremos
• Endoprótesis interna
• Cierre impermeable con sutura absorbible
• Drenaje externo
• Aislamiento con peritoneo o epiplón
Twonsend C., Beauchamp D., Evers B., Mattox K. Sabiston Tratado de Cirugía. 19na ed. Elsevier. Madrid 2013.
Ureteroureterostomía
Reimplantación ureteral directa
Técnica de Cohen
Técnica de Lich - Gregoire
Psoas Hitch
Colgajo de Boari
Traumatismo Vesical
Sabinston
Etiología
• Traumatismo cerrados y penetrantes.
• 22% de traumatismos urológicos.
• Traumatismo pélvico o abdominal bajo.
• Perforaciones:
• Intraperitoneales: En vejiga llena.
• Extraperitoneal: Compresión brusca anteroinferior
Twonsend C., Beauchamp D., Evers B., Mattox K. Sabiston Tratado de Cirugía. 19na ed. Elsevier. Madrid 2013.
Traumatismo Vesical
Sabinston
Clínica
• Hematuria macroscópica
• Retención aguda de orina
• Signos de irritación peritoneal.
• Asociado a fracturas pélvicas y lesiones
uretrales
Twonsend C., Beauchamp D., Evers B., Mattox K. Sabiston Tratado de Cirugía. 19na ed. Elsevier. Madrid 2013.
Traumatismo Vesical
Sabinston
Clasificación GRADO DESCRIPCIÓN DE LA LESIÓN
I Hematoma: Contusión, Hematoma intramural
Laceración: Grosor parcial
II Laceración: Laceración extraperitoneal <2cm de la pared vesical
III Laceración: Laceración extraperitoneal >2cm extraperitoneal o intraperitoneal
<2cm de la pared vesical
IV Laceración: Laceración extraperitoneal >2cm intraperitoneal
V Laceración: Laceración que se extiende al cuello de la vejiga o el orificio ureteral
Estudios
• Cistografía por Rx, TAC o fluoroscopia.
• 300-400cc
• Llenado por gravedad con sonda Foley
• Urea y nitrógeno ureico.
Extraperitoneal Intraperitoneal
Twonsend C., Beauchamp D., Evers B., Mattox K. Sabiston Tratado de Cirugía. 19na ed. Elsevier. Madrid 2013.
Traumatismo Vesical
Sabinston
Conducta terapéutica
• Exploración y reparación quirúrgica mayormente.
• Extraperitoneales:
• Drenaje con catéter por 7-10 días
• Si no mejora, reparación quirúrgica.
• Intraperitoneal:
• Exploración y reparación inmediata.
• Pacientes pueden evolucionar bien sin cx.
• Perforación grande:
• Punción suprapúbica
• Vigilar con cistografía.
Twonsend C., Beauchamp D., Evers B., Mattox K. Sabiston Tratado de Cirugía. 19na ed. Elsevier. Madrid 2013.
Traumatismo Vesical
Sabinston
Técnica quirúrgica:
• Cistotomía anterior en línea media.
• Exploración interna y evacuación de coágulos
• Cierre de defectos con sutura absorbible 2-0
• Derivación con Foley 22-24 Fr
Twonsend C., Beauchamp D., Evers B., Mattox K. Sabiston Tratado de Cirugía. 19na ed. Elsevier. Madrid 2013.
Traumatismo Uretral
Sabinston
Etiología
• Uretra anterior:
• Traumatismo en horcajas y penetrantes
• Uretra posterior:
• Aplastamiento y cizallamiento
• 10% unilaterales y 20 % de bilaterales
relacionado con fractura de pubis.
Twonsend C., Beauchamp D., Evers B., Mattox K. Sabiston Tratado de Cirugía. 19na ed. Elsevier. Madrid 2013.
Traumatismo Uretral
Sabinston
Clínica:
• Sangre en meato uretral.
• Hematuria.
• Incapacidad de micción.
• Hematoma perineal.
Estudios:
• Uretrografía retrograda
• Paciente en posición oblicua
• Sonda 12F
• 30ml de contraste
Rotura parcial
Twonsend C., Beauchamp D., Evers B., Mattox K. Sabiston Tratado de Cirugía. 19na ed. Elsevier. Madrid 2013.
Clasificación
GRADO DESCRIPCIÓN DE LA LESIÓN ASPECTO
I Lesión por estiramiento Elongación de la uretra
sin extravasación en
uretrografía
II Contusión Sangre en meato uretral
III Rotura parcial de la uretra
anterior o posterior
Extravasación en el foco
de lesión con contraste
en vejiga
IV Terminación de la interrupción
de la uretra posterior Extravasación de
contraste sin visualización
en vejiga
V Rotura completa de la uretra
posterior
VI Rotura completa de la uretra
anterior
Extravasación sin
contraste en uretra
proximal o vejiga
Traumatismo Uretral
Sabinston
Conducta terapéutica:
• Drenar la vejiga y evitar lesión mayor.
• Lesión grado I:
• Sin tratamiento
• Lesión grado II y III:
• Cistotomía suprapúbica o sondaje ureteral.
• Lesión grado IV, V y VI:
• Reconstrucción quirúrgica.
• Cirugía diferida
Twonsend C., Beauchamp D., Evers B., Mattox K. Sabiston Tratado de Cirugía. 19na ed. Elsevier. Madrid 2013.
Traumatismo Uretral
Sabinston
Técnica quirúrgica:
Catéter uretral o sonda suprapúbica.
• Cateterismo
• Decúbito supino.
• Limpieza de glande y pene hasta base.
• Paño estéril fenestrado.
• Introducción de gel anestésico
hidrosoluble (15-20ml).
• Estirar pene e introducción suave.
• Resistencia: se bascula el pene abajo.
• Al fluir orina, distender globo (10cc).
• Lento evita “ex vacuo”.
Twonsend C., Beauchamp D., Evers B., Mattox K. Sabiston Tratado de Cirugía. 19na ed. Elsevier. Madrid 2013.
Traumatismo Uretral
Sabinston
Técnica quirúrgica:
Catéter uretral o sonda suprapúbica.
• Tubo de cistotomía
• Decúbito supino y Trendelenburg.
• Línea media – 2cm sínfisis pubis
• Cistotomía anterior.
• Paño fenestrado e incisión
• Trocar n 30° hacia arriba.
• 2 impulsos.
• Sonda Foley o Malecot 24Fr.
• Fijación con suturas absorbibles.
• Fijación a piel.
Twonsend C., Beauchamp D., Evers B., Mattox K. Sabiston Tratado de Cirugía. 19na ed. Elsevier. Madrid 2013.
Traumatismo Uretral
Sabinston
Técnica quirúrgica:
• Hemostasia meticulosa.
• Sondaje.
Twonsend C., Beauchamp D., Evers B., Mattox K. Sabiston Tratado de Cirugía. 19na ed. Elsevier. Madrid 2013.
Traumatismo Uretral
Sabinston
Técnica quirúrgica:
• Uretroplastia: Anastomosis terminoterminal
• Lesiones 1-2cm
• Litotomía forzada.
• Incisión perineal media o Y invertida.
• Separa bulboesponjoso, moviliza cuerpo esponjoso.
• Desecamiento circunferencial y desbridación.
• Creación de bisel a 6-12h.
• Cierre hermético con absorbible 3-0 o 4-0.
• Uretroplastia con injertos libres.
Twonsend C., Beauchamp D., Evers B., Mattox K. Sabiston Tratado de Cirugía. 19na ed. Elsevier. Madrid 2013.
Traumatismo Escrotal
Sabinston
Etiología
• Traumatismos cerrados
• Compresión
Clínica
• Dolor agudo.
• Hematocele.
• Signo de Gouverneur.
• Signo de Prehn
Twonsend C., Beauchamp D., Evers B., Mattox K. Sabiston Tratado de Cirugía. 19na ed. Elsevier. Madrid 2013.
Traumatismo Escrotal
Sabinston
Estudios
• Ecografía
• Flujo sanguíneo
• Contusión, hematoma, hematocele o rotura
Conducta terapéutica
Salvar parénquima Cerrar capsula Reparar escroto
Evitar
complicaciones
• Penetrante: Exploración inmediata
• Orquiectomía: Lesión avasculares o masivas
Twonsend C., Beauchamp D., Evers B., Mattox K. Sabiston Tratado de Cirugía. 19na ed. Elsevier. Madrid 2013.
Traumatismo Peneano
Sabinston
Etiología:
• Rotura de túnica albugínea
• Relaciones sexuales
Clínica:
• Chasquido audible inmediato
• Hinchazón rápida.
• Equimosis en perineo (Alas de mariposa).
• Aspecto en berenjena.
Twonsend C., Beauchamp D., Evers B., Mattox K. Sabiston Tratado de Cirugía. 19na ed. Elsevier. Madrid 2013.
Traumatismo Peneano
Sabinston
Estudios:
• Cavernosografía
• Ultrasonografía
• Uretrografía
Twonsend C., Beauchamp D., Evers B., Mattox K. Sabiston Tratado de Cirugía. 19na ed. Elsevier. Madrid 2013.
Eliminar material
extraño.
Limpiar
herida
Lograr
hemostasia
Detectar y
reparar
defectos.
Traumatismo Peneano
Sabinston
Conducta terapéutica:
• Lesiones penetrantes son exploradas
• Uretrograma retrogrado durante cirugía.
• Pruebas con azul de metileno.
Twonsend C., Beauchamp D., Evers B., Mattox K. Sabiston Tratado de Cirugía. 19na ed. Elsevier. Madrid 2013.
Traumatismo Peneano
Sabinston
Técnica quirúrgica:
• Incisión circunferencial en
surco balanoprepucial.
• Reparación de defecto con
Dexon o Vicryl 3-0
• Catéter Foley varios días.
Twonsend C., Beauchamp D., Evers B., Mattox K. Sabiston Tratado de Cirugía. 19na ed. Elsevier. Madrid 2013.
Macrohematuria
Sabinston
Etiología
• Cistitis hemorrágica
• Neoformación vesical
• Próstata sangrante
• Litiasis urinaria
• Grave:
• Pérdidas hemáticas peligrosas.
• Retención de orina por coágulos.
Twonsend C., Beauchamp D., Evers B., Mattox K. Sabiston Tratado de Cirugía. 19na ed. Elsevier. Madrid 2013.
Macrohematuria
Sabinston
Clínica
• Sintomática:
• Cólico renal.
• Asintomática
• Hematuria terminal: Vejiga
• Hematuria inicial: Uretra prostática y cuello.
• Grave: Bloque y retención
Twonsend C., Beauchamp D., Evers B., Mattox K. Sabiston Tratado de Cirugía. 19na ed. Elsevier. Madrid 2013.
Macrohematuria
Sabinston
Estudios
• Hematología
• Pruebas de función renal
• Uroanálisis
• Tiempo de coagulación
• Urocultivo
• Urograma excretor
• TAC
• RMN
• Cistofibroscópia
• Arteriografía
• Pielografía ascendente
Twonsend C., Beauchamp D., Evers B., Mattox K. Sabiston Tratado de Cirugía. 19na ed. Elsevier. Madrid 2013.
Macrohematuria
Sabinston
Conducta terapéutica
• Estabilización hemodinámica
• Hidratación
• Transfusión
• Resolución de patología causal
Twonsend C., Beauchamp D., Evers B., Mattox K. Sabiston Tratado de Cirugía. 19na ed. Elsevier. Madrid 2013.
Retención aguda de orina
Sabinston
Etiología
• Hiperplasia protática benigna.
• Neuropatía diabética.
• Estenosis uretral
• Válvulas uretrales.
• Fimosis puntiforme.
• Esclerosis múltiple.
• Enf. De Parkinson
• Movilidad limitada y medicamentos.
Síntomas y signos por obstáculo en evacuación de vejiga
Twonsend C., Beauchamp D., Evers B., Mattox K. Sabiston Tratado de Cirugía. 19na ed. Elsevier. Madrid 2013.
Sabinston
Clínica
• Asintomáticos: narcóticos o crónicos
• Dolor significativo.
• Tenesmo vesical.
• Globo vesical a palpación de abdomen.
• Mate a la percusión.
• Insuficiencia renal.
Retención aguda de orina
Twonsend C., Beauchamp D., Evers B., Mattox K. Sabiston Tratado de Cirugía. 19na ed. Elsevier. Madrid 2013.
Sabinston
Estudios
• Radiografía simple.
• Ecografía pélvica
• Cistoscopia
• Sondaje vesical diagnóstico.
Retención aguda de orina
Twonsend C., Beauchamp D., Evers B., Mattox K. Sabiston Tratado de Cirugía. 19na ed. Elsevier. Madrid 2013.
Sabinston
Conducta terapéutica
• Catéter uretral o cistotomía suprapúbica.
• Atender causa.
• Retiro de catéter 1-2 días
• Hematuria: Catéter de 3 vías + irrigación.
Retención aguda de orina
Twonsend C., Beauchamp D., Evers B., Mattox K. Sabiston Tratado de Cirugía. 19na ed. Elsevier. Madrid 2013.
Sabinston
Técnica de Sondaje Vesical
• Catéter curvado en HPB.
• A las 12.
• Catéter de calibre alto (18-20 Fr) en HPB.
• Catéter pequeño (12-14Fr) en estenosis
• Vaciamiento:
• 400cc y luego pinzar.
• 200cc cada 10 min.
Retención aguda de orina
Twonsend C., Beauchamp D., Evers B., Mattox K. Sabiston Tratado de Cirugía. 19na ed. Elsevier. Madrid 2013.
Sabinston
Técnica de Sondaje Vesical
Contraindicaciones:
• Prostatitis aguda.
• Uretritis aguda, flemones y abscesos
periuretrales.
• Estenosis o rigidez uretral.
• Sospecha de rotura traumática.
• Alergia a anestésicos locales o látex.
Retención aguda de orina
Twonsend C., Beauchamp D., Evers B., Mattox K. Sabiston Tratado de Cirugía. 19na ed. Elsevier. Madrid 2013.
Sabinston
Técnica de Cistotomía Suprapúbica Percutánea
Retención aguda de orina
Twonsend C., Beauchamp D., Evers B., Mattox K. Sabiston Tratado de Cirugía. 19na ed. Elsevier. Madrid 2013.
Técnica quirúrgica:
Catéter uretral o sonda suprapúbica.
• Tubo de cistotomía
Ecografía post-drenaje
Cólico Nefrítico
Sabinston
Etiología
• Cálculos de vías urinarias:
• 10% de población.
• Hipercalciuria por hiperparatiroidismo.
• Sarcoidosis.
• Absorción excesiva idiopática.
• Derivación gástrica (> oxalato).
• Gota.
Enclavamiento de cálculo que genera distensión brusca por obstrucción
Twonsend C., Beauchamp D., Evers B., Mattox K. Sabiston Tratado de Cirugía. 19na ed. Elsevier. Madrid 2013.
Cólico Nefrítico
Sabinston
Clínica
• Varía: Tamaño, Ubicación, Grado de
obstrucción y Factores de huésped
• Dolor:
• Intenso
• Punzante
• Súbito
• Unilateral
• Fosa lumbar
• Nauseas, vómitos, íleo intestinal, disuria,
polaquiuria, fiebre y hematuria.
Twonsend C., Beauchamp D., Evers B., Mattox K. Sabiston Tratado de Cirugía. 19na ed. Elsevier. Madrid 2013.
Cólico Nefrítico
Sabinston
Estudios
• TAC sin contraste.
• Se observan todos menos de indinavir
• Radiografía simple.
• Se observan de Ca y estruvita
• Ecografía renal.
• Revela hidronefrosis y cálculos.
• Pielografía intravenosa
• Ubicación de cálculo y dilatación de vía.
• Uroanálisis, cultivo y orina en 24h.
Twonsend C., Beauchamp D., Evers B., Mattox K. Sabiston Tratado de Cirugía. 19na ed. Elsevier. Madrid 2013.
Cólico Nefrítico
Sabinston
Conducta terapéutica
• Sin infección, sin nauseas y calculo <6mm:
• Ambulatorio
• Hidratación VO
• Analgésicos orales
• Bloqueadores α
• Cálculo >7mm
• Intervención quirúrgica
• Transitorio: Endoprótesis ureteral o nefrostomía percutánea.
• Definitivo: Nefrolitotomía percutánea, ureteroscopia o litotripsia
con choque de onda extracorpórea.
• Recurrente: Análisis de composición
Twonsend C., Beauchamp D., Evers B., Mattox K. Sabiston Tratado de Cirugía. 19na ed. Elsevier. Madrid 2013.
Cólico Nefrítico
Sabinston
Técnica quirúrgica
• Ureteroscopia:
• Dispositivo flexible o semirrígido.
• Fibra laser a través de endoscopio.
• Extrae fragmentos.
• Nefrolitotomía percutánea:
• Trayecto percutáneo
• Endoscopio grande y fuentes de energía
• Fragmentación
• ESWL:
• Ondas de choque bajo guía fluoroscópica.
Twonsend C., Beauchamp D., Evers B., Mattox K. Sabiston Tratado de Cirugía. 19na ed. Elsevier. Madrid 2013.
Cólico Nefrítico
Sabinston
Técnica quirúrgica
• Ureteroscopia:
• Dispositivo flexible o semirrígido.
• Fibra laser a través de endoscopio.
• Extrae fragmentos.
• Nefrolitotomía percutánea:
• Trayecto percutáneo
• Endoscopio grande y fuentes de energía
• Fragmentación
• ESWL:
• Ondas de choque bajo guía fluoroscópica.
Twonsend C., Beauchamp D., Evers B., Mattox K. Sabiston Tratado de Cirugía. 19na ed. Elsevier. Madrid 2013.
Cólico Nefrítico
Sabinston
Técnica quirúrgica
• Ureteroscopia:
• Dispositivo flexible o semirrígido.
• Fibra laser a través de endoscopio.
• Extrae fragmentos.
• Nefrolitotomía percutánea:
• Trayecto percutáneo
• Endoscopio grande y fuentes de energía
• Fragmentación
• ESWL:
• Ondas de choque bajo guía fluoroscópica.
Twonsend C., Beauchamp D., Evers B., Mattox K. Sabiston Tratado de Cirugía. 19na ed. Elsevier. Madrid 2013.
Cólico Nefrítico
Sabinston
Técnica quirúrgica
• Ureteroscopia:
• Dispositivo flexible o semirrígido.
• Fibra laser a través de endoscopio.
• Extrae fragmentos.
• Nefrolitotomía percutánea:
• Trayecto percutáneo
• Endoscopio grande y fuentes de energía
• Fragmentación
• ESWL:
• Ondas de choque bajo guía fluoroscópica.
Twonsend C., Beauchamp D., Evers B., Mattox K. Sabiston Tratado de Cirugía. 19na ed. Elsevier. Madrid 2013.
Torsión testicular
Twonsend C., Beauchamp D., Evers B., Mattox K. Sabiston Tratado de Cirugía. 19na ed. Elsevier. Madrid 2013.
Etiología
• Testículos no descendidos.
• Tumores testiculares
• Deformidad en “badajo de campana”.
• Fijación de gubernáculo a pared.
• Apéndice testicular: Remanente de conducto Mülleriano.
• Tipos:
• Intravaginal: Púberes
• Extravaginal: neonatos
Giro anormal de testículo y cordón espermático con isquemia.
Twonsend C., Beauchamp D., Evers B., Mattox K. Sabiston Tratado de Cirugía. 19na ed. Elsevier. Madrid 2013.
Torsión testicular
Sabinston
Fisiopatología
• Depende de grado de rotación.
• Obstrucción venosa.
• Trombosis venosa.
• Trombosis arterial.
• Isquemia.
• Necrosis e infarto.
Twonsend C., Beauchamp D., Evers B., Mattox K. Sabiston Tratado de Cirugía. 19na ed. Elsevier. Madrid 2013.
Torsión testicular
Sabinston
Clínica
• Dolor:
• Inicio súbito
• Región abdominal baja
• Hinchazón subsiguiente.
• Nauseas y vómitos.
• Piel escrotal roja.
• Testículo ascendido.
• Asimetría con epidídimo anterior.
• Apendicular: Punto azul.
Twonsend C., Beauchamp D., Evers B., Mattox K. Sabiston Tratado de Cirugía. 19na ed. Elsevier. Madrid 2013.
Torsión testicular
Sabinston
Estudios
• Ecografía doppler.
• Disminuye flujo.
• Gammagrafía
• Sin captación.
• Ecografía simple.
• Heterogéneo.
Twonsend C., Beauchamp D., Evers B., Mattox K. Sabiston Tratado de Cirugía. 19na ed. Elsevier. Madrid 2013.
Torsión testicular
Sabinston
Estudios
• Ecografía doppler.
• Disminuye flujo.
• Gammagrafía
• Sin captación.
• Ecografía simple.
• Heterogéneo.
Twonsend C., Beauchamp D., Evers B., Mattox K. Sabiston Tratado de Cirugía. 19na ed. Elsevier. Madrid 2013.
Torsión testicular
Sabinston
Conducta terapéutica
• Exploración quirúrgica oportuna.
• 80% se salva en primeras 6h.
• 20% se salva en mas de 12h.
• Exploración de testículo contrario.
• Fijación a fascia del dartos.
Twonsend C., Beauchamp D., Evers B., Mattox K. Sabiston Tratado de Cirugía. 19na ed. Elsevier. Madrid 2013.
Torsión testicular
Sabinston
Técnica quirúrgica
• Incisión en línea media o transversa bilateral.
• Reducción de torsión.
• Restablecimiento e flujo sanguíneo.
• Fijación a fascia del dartos con sutura no
absorbible pequeña.
• Orquiectomía en testículo necrótico.
• Evita absceso.
Twonsend C., Beauchamp D., Evers B., Mattox K. Sabiston Tratado de Cirugía. 19na ed. Elsevier. Madrid 2013.
Priapismo
Sabinston
Etiología
• Factores neuromusculares o de hiperviscosidad:
• Drepanocitosis o rasgo falciforme.
• Cáncer.
• Medicamentos.
• Abuso de cocaína.
• Antidepresivos.
• Nutrición parenteral.
Erección persistente >4h no relacionada con estimulación sexual.
Mayoría es por bajo flujo: Isquémico
Twonsend C., Beauchamp D., Evers B., Mattox K. Sabiston Tratado de Cirugía. 19na ed. Elsevier. Madrid 2013.
Priapismo
Sabinston
Fisiopatología Disminuye flujo venoso y persiste arterial.
Incremento de presión de cuerpos cavernosos.
Tumefacción.
Síndrome compartimental.
Limitación del shunt.
Hipoxia hística.
Acidosis, edema y necrosis franca.
Twonsend C., Beauchamp D., Evers B., Mattox K. Sabiston Tratado de Cirugía. 19na ed. Elsevier. Madrid 2013.
Priapismo
Sabinston
Clínica
• Dolor a la palpación.
• Cuerpos cavernosos rígidos y glande flácido.
• Alto flujo: No doloroso, sin isquemia.
Twonsend C., Beauchamp D., Evers B., Mattox K. Sabiston Tratado de Cirugía. 19na ed. Elsevier. Madrid 2013.
Priapismo
Sabinston
Estudios
• Análisis de sangre peniana
• Hipoxia.
• Acidosis.
Twonsend C., Beauchamp D., Evers B., Mattox K. Sabiston Tratado de Cirugía. 19na ed. Elsevier. Madrid 2013.
Priapismo
Sabinston
Conducta terapéutica
• Puede desaparecer 2-3h.
• Corrección rápida de tumefacción:
• Conservar función eréctil.
• Fármacos orales:
• Seudoefedrina
• Baclofeno
• Medidas invasivas:
1. Derivación percutánea.
2. Fistula caverno-esponjosa
3. Prótesis
Twonsend C., Beauchamp D., Evers B., Mattox K. Sabiston Tratado de Cirugía. 19na ed. Elsevier. Madrid 2013.
Priapismo
Sabinston
Técnica de derivación
• Introducción de aguja de calibre grueso (18).
• Cara externa.
• Aspiración e irrigación.
• Inyección de fenilefrina (200mg en 20ml de 0.9%)
• Material oscuro y espeso
Twonsend C., Beauchamp D., Evers B., Mattox K. Sabiston Tratado de Cirugía. 19na ed. Elsevier. Madrid 2013.
Priapismo
Sabinston
Técnica de derivación
Localización Sitio de Fístula Técnicas
Distal
(primera
elección)
Glande
 Percutáneo (menos invasivo)
Ebbehoj (1974)
Winter (1976)
T-shunt (Brant, 2009)
 Abierto
Al-Ghorab (Hanafy, 1976;
Borrelli, 1983)
Proximal Cuerpo esponjoso  Abierto
Quackles (1964): unilateral
Sacher (1972): bilateral
Venosa Vena safena Grayhack (1964)
Vena dorsal del pene Barry (1976)
Twonsend C., Beauchamp D., Evers B., Mattox K. Sabiston Tratado de Cirugía. 19na ed. Elsevier. Madrid 2013.
Priapismo
Sabinston
Técnica de derivación
• Winter
Twonsend C., Beauchamp D., Evers B., Mattox K. Sabiston Tratado de Cirugía. 19na ed. Elsevier. Madrid 2013.
Priapismo
Sabinston
Técnica de derivación
• Al-Ghorab
Twonsend C., Beauchamp D., Evers B., Mattox K. Sabiston Tratado de Cirugía. 19na ed. Elsevier. Madrid 2013.
Priapismo
Sabinston
Técnica de derivación
• Quackel
Twonsend C., Beauchamp D., Evers B., Mattox K. Sabiston Tratado de Cirugía. 19na ed. Elsevier. Madrid 2013.
Priapismo
Sabinston
Técnica de derivación
• Grayhack
Twonsend C., Beauchamp D., Evers B., Mattox K. Sabiston Tratado de Cirugía. 19na ed. Elsevier. Madrid 2013.
Parafimosis
Sabinston
Etiología
• Varones no circuncidados.
• Anillo fimótico previo con:
• Higiene.
• Relación sexual.
• Retracción de prepucio.
• Hospitalizados, cama o alt. de estado mental
Problema común y urgencia médica verdadera.
Twonsend C., Beauchamp D., Evers B., Mattox K. Sabiston Tratado de Cirugía. 19na ed. Elsevier. Madrid 2013.
Parafimosis
Sabinston
Clínica
• Edema en genitales.
• Necrosis por isquemia.
Twonsend C., Beauchamp D., Evers B., Mattox K. Sabiston Tratado de Cirugía. 19na ed. Elsevier. Madrid 2013.
Parafimosis
Sabinston
Conducta terapéutica
• Bloqueo peniano.
• Analgésicos y sedación.
• Reducción manual.
• Completar con disección.
Twonsend C., Beauchamp D., Evers B., Mattox K. Sabiston Tratado de Cirugía. 19na ed. Elsevier. Madrid 2013.
Parafimosis
Sabinston
Técnica de reducción
• Presión firme en porción distal.
• Se desplaza la banda de constricción en sentido
distal + pulgares desplaza glande.
• De ser necesario:
• Anestésico local
• Sección de anillo o circuncisión.
Twonsend C., Beauchamp D., Evers B., Mattox K. Sabiston Tratado de Cirugía. 19na ed. Elsevier. Madrid 2013.
Pielonefritis enfisematosa
Sabinston
Etiología
• Infección por microorganismos productores de gas.
• E. coli.
• Infección necrosante aguda.
• Predominantemente en diabéticos
Pielonefritis complicada.
Twonsend C., Beauchamp D., Evers B., Mattox K. Sabiston Tratado de Cirugía. 19na ed. Elsevier. Madrid 2013.
Pielonefritis enfisematosa
Sabinston
Clínica
• Septicemia
• Cetoacidosis
Conducta terapéutica
• Tratamiento de sostén.
• Antibióticos intravenosos.
• Alivio de obstrucción.
• Parénquima: Conservador con sonda
• Último: Nefrectomía urgente
Twonsend C., Beauchamp D., Evers B., Mattox K. Sabiston Tratado de Cirugía. 19na ed. Elsevier. Madrid 2013.
Casos de casos
Y los de sus pacientes
Emergencias urológicas

Emergencias urológicas

  • 3.
    Anatomía • Órganos pares. •Retroperitoneales • Capa fibroadiposa • Relaciones: • Posterior: M. Cuadrado lumbar y Poas • Anterior: Peritoneo Cuadrado lumbar Psoas Peritoneo Riñones Twonsend C., Beauchamp D., Evers B., Mattox K. Sabiston Tratado de Cirugía. 19na ed. Elsevier. Madrid 2013.
  • 4.
    Anatomía • Órganos pares. •Retroperitoneales • Capa fibroadiposa • Relaciones: • Posterior: M. Cuadrado lumbar y Poas • Anterior: Peritoneo Sabinston Riñones • Riñón Izquierdo: cuerpo y cola del páncreas, el bazo, la flexura esplénica del colon y el mesocolon • Riñón Derecho: Hígado, duodeno y cabeza de páncreas Twonsend C., Beauchamp D., Evers B., Mattox K. Sabiston Tratado de Cirugía. 19na ed. Elsevier. Madrid 2013.
  • 5.
    Anatomía • Arterias renales •De aorta • Ramifica en segmentarias • Derecha mas larga. • Venas renales • Hacia vena cava • Delante de las arterias • Izquierda mas larga Sabinston Riñones Twonsend C., Beauchamp D., Evers B., Mattox K. Sabiston Tratado de Cirugía. 19na ed. Elsevier. Madrid 2013.
  • 6.
    Anatomía • Cálices mayores. •Cálices menores. • Pelvis renal. • Posición dorsal. Sabinston Riñones Unión ureteropélvica Twonsend C., Beauchamp D., Evers B., Mattox K. Sabiston Tratado de Cirugía. 19na ed. Elsevier. Madrid 2013.
  • 7.
    Anatomía Sabinston Glándula Suprarrenal • Superointerna •Dentro de fascia de Gerota • Ramas de arterias renales • Drenaje: • Izquierdo: vena frénica inferior y vena renal izquierda • Derecho: vena corta a vena cava Twonsend C., Beauchamp D., Evers B., Mattox K. Sabiston Tratado de Cirugía. 19na ed. Elsevier. Madrid 2013.
  • 8.
    Anatomía Sabinston Uréter • Estructura muscular. •Trayecto anterior al psoas. • De pelvis renal a vejiga. • Irrigación: • Aorta y arteria renal. • Ramas de arterias iliacas. Twonsend C., Beauchamp D., Evers B., Mattox K. Sabiston Tratado de Cirugía. 19na ed. Elsevier. Madrid 2013.
  • 9.
    Anatomía Sabinston Vejiga • Retropúbico yextraperitoneal • Relaciones: • Superoexterna: Colon sigmoides • Posterior: • Hombres: Recto • Mujeres: Vagina y útero Próstata • Continuidad con cuello vesical • Componente de musculo liso • Fascia de Denonvilliers Twonsend C., Beauchamp D., Evers B., Mattox K. Sabiston Tratado de Cirugía. 19na ed. Elsevier. Madrid 2013.
  • 10.
    Anatomía Sabinston Pene • Tres cuerposprincipales. • Cuerpos cavernosos: • Pares, cilíndricos y eréctiles. • Túnica albugínea y tejido esponjoso • Cuerpo esponjoso: • Único rodea uretra • Continua a glande. • Irrigación, drenaje e inervación • Fascia de Dartos y de Buck. Nervios cavernosos Twonsend C., Beauchamp D., Evers B., Mattox K. Sabiston Tratado de Cirugía. 19na ed. Elsevier. Madrid 2013.
  • 11.
    Anatomía Sabinston Escroto • Capas: • Piel •Dartos • Fascia espermática externa • Fascia cremastérica • Fascia espermática interna • Túnica vaginal (parietal y visceral) Twonsend C., Beauchamp D., Evers B., Mattox K. Sabiston Tratado de Cirugía. 19na ed. Elsevier. Madrid 2013.
  • 12.
    Anatomía Sabinston Testículos • Túnica albugínea •Túbulos seminíferos • Irrigación: • Arteria renal • Arteria cremastérica • Arteria del conducto deferente • Drenaje: • Plexo pampiriforme Twonsend C., Beauchamp D., Evers B., Mattox K. Sabiston Tratado de Cirugía. 19na ed. Elsevier. Madrid 2013.
  • 14.
    Traumatismo Renal Etiología • Contusionesabdominales (90%) • Accidentes automovilísticos • Caídas • Lesiones deportivas • 1,4 - 3,25% de todos los traumatismos • 4 – 8 % de traumatismos penetrantes SabinstonTwonsend C., Beauchamp D., Evers B., Mattox K. Sabiston Tratado de Cirugía. 19na ed. Elsevier. Madrid 2013.
  • 15.
    Traumatismo Renal Sabinston Clínica • Hematuria •Alteración de signos vitales • Equimosis • Masa palpable en flancos • Dolor en flancos • Dolor en costillas inferiores • Hematoma retroperitoneal • Zona I: Central medial • Zona II: Flanco • Zona III: Pélvico • Portal retrohepático Twonsend C., Beauchamp D., Evers B., Mattox K. Sabiston Tratado de Cirugía. 19na ed. Elsevier. Madrid 2013.
  • 16.
    Traumatismo Renal Sabinston Estudios • TACcon contraste, FAST o Pielografía intravenosa (PIV) • Indicada en: • Lesiones penetrantes al flanco o al abdomen • Hematuria microscópica >20GR por campo • Hematuria microscópica <20GR por campo + Shock • Hematuria macroscópica • No en pacientes inestables o con indicación qx. • Creatinina, hematocrito, uroanálisis y ecografía renal. Twonsend C., Beauchamp D., Evers B., Mattox K. Sabiston Tratado de Cirugía. 19na ed. Elsevier. Madrid 2013.
  • 17.
    Paciente con heridapor arma de fuego en la región lumbar. Se observa fractura del tercio medio renal asociada con un hematoma subcapsular (flecha).
  • 18.
    Traumatismo Renal Sabinston Clasificación GRADO DESCRIPCIÓNDE LA LESIÓN I Contusión: microhematuria y macrohematuria, con un estudio urológico normal Hematoma: subcapsular, sin expansión ni desgarro parenquimatoso II Hematoma: hematoma perirrenal sin expansión, confinado al retroperitoneo renal Desgarro: <1 cm en la profundidad del parénquima de la corteza renal, sin extravasación urinaria III Desgarro: >1 cm en la profundidad de la corteza renal, sin rotura del sistema colector ni extravasación urinaria IV Desgarro: desgarro parenquimatoso, que se extiende a través de la corteza renal, la médula y el sistema colector Vascular: lesión traumática de la arteria o vena renales principales, con hemorragia contenida V Desgarro: riñón totalmente destrozado Vascular: avulsión del hilio renal, con desvascularización del riñón Twonsend C., Beauchamp D., Evers B., Mattox K. Sabiston Tratado de Cirugía. 19na ed. Elsevier. Madrid 2013.
  • 19.
    Grado I: Contusiónrenal y hematoma subcapsular en paciente de 16 años Zonas de menor realce interpolar y lesión en arco de baja densidad Grado II: Hematoma perirrenal en mujer de 37 años
  • 20.
    Grado III: Laceracióncortical en hombre de 61 años por traumatismo contuso
  • 21.
    Grado IV: Infartosegmentario en hombre de 34 años tras traumatismo contuso Zona cuneiforme delimitada en regio interpolar Grado IV: Laceracion de sistema colector en mujer de 43 años por traumatismo contuso Fuga de contraste por laceración y hematoma perirrenal
  • 22.
    Grado V: Riñónfragmentado con laceración de la unión pieloureteral en hombre de 30 años Múltiples fragmentos de parénquima y hematoma de gran tamaño Grado V: Infarto renal en hombre de 49 años tras traumatismo contuso Segmento sin realce de arteria y falta de captación renal
  • 23.
    • Multidisciplinar. • Traumatismosgrado 1 – 3: Conservador • Traumatismos grado 5: Cirugía • Traumatismos grado 4: Controversial • ATB: Tobramicina Traumatismo Renal Sabinston Conducta terapéutica Indicaciones Absolutas de Cirugía 1. Hemorragia persistente, que pone en riesgo la vida 2. Avulsión del pedículo renal (lesión grado V) 3. Hematoma retroperitoneal en expansión, pulsátil o no contenido Indicaciones relativas de Cirugía 1. Laceraciones grandes de la pelvis renal o avulsión de la unión ureteropélvica 2. Lesiones pancreáticas o intestinales coexistentes 3. Fuga urinaria persistente, urinoma después de la lesión o absceso perirrenal con tratamiento percutáneo o endoscópico fallido 4. Urografía intravenosa anormal con una sola dosis de medio de contraste, realizada en el transoperatorio 5. Segmento de parénquima renal desvitalizado con fuga asociada de orina 6. Trombosis completa de la arteria renal de ambos riñones o de riñón único cuando parece conservada la perfusión renal 7. Lesión vascular renal después de tratamiento angiográfico fallido 8. Hipertensión renovascular Twonsend C., Beauchamp D., Evers B., Mattox K. Sabiston Tratado de Cirugía. 19na ed. Elsevier. Madrid 2013.
  • 24.
  • 25.
  • 26.
    • Incisión enlínea media • Control del hilio renal • Disección roma • Abrir espacio • Colocar pinza sobre pedículo • Exposición completa • Incisión vertical en fascie de Gerota • Desbridamiento de lo no viable y ligadura. • Sutura absorbible para parénquima. • Sutura catgut crómico o polidioxanona 4-0 para vasos y vías. • Sutura polipropileno 5-0 o 6-0 para lesión vascular. • Endoprótesis o dren cutáneo. Traumatismo Renal Sabinston Técnica quirúrgica: Twonsend C., Beauchamp D., Evers B., Mattox K. Sabiston Tratado de Cirugía. 19na ed. Elsevier. Madrid 2013.
  • 27.
    Traumatismo Ureteral Sabinston Etiología • Protegidoen traumatismos cerrado • 2 – 17% Traumatismos penetrantes • 90% Heridas por arma de fuego • Iatrogenia transoperatoria Clínica • Diagnostico transoperatorio. • Inespecíficos y tardíos • Fiebre • Íleo • Dolor costal • Hematuria • Masa en flanco Twonsend C., Beauchamp D., Evers B., Mattox K. Sabiston Tratado de Cirugía. 19na ed. Elsevier. Madrid 2013.
  • 28.
    Traumatismo Ureteral Sabinston Estudios • Uroanálisis •Urografía excretora • Pielografía ascendente • TAC Clasificación GRADO DESCRIPCIÓN DE LA LESIÓN I Hematoma solamente II Laceración <50% del perímetro III Laceración >50% del perímetro IV Rotura completa <2cm de desvascularización V Rotura completa >2cm de desvascularización Twonsend C., Beauchamp D., Evers B., Mattox K. Sabiston Tratado de Cirugía. 19na ed. Elsevier. Madrid 2013.
  • 29.
    Traumatismo Ureteral Sabinston Conducta terapéutica •Reparación quirúrgica • Lesión grado I – II • Endoprótesis • Lesión grado III – V • Reparación reconstructiva Twonsend C., Beauchamp D., Evers B., Mattox K. Sabiston Tratado de Cirugía. 19na ed. Elsevier. Madrid 2013.
  • 30.
    Traumatismo Ureteral Sabinston Técnica quirúrgica •A cualquier altura. • Evitar desvasculizar. • En lesiones incompletas: • La endoprótesis a través de la lesión • En lesiones completas. • Desbridar extremos ureterales • Sección en espátula de extremos • Endoprótesis interna • Cierre impermeable con sutura absorbible • Drenaje externo • Aislamiento con peritoneo o epiplón Twonsend C., Beauchamp D., Evers B., Mattox K. Sabiston Tratado de Cirugía. 19na ed. Elsevier. Madrid 2013.
  • 31.
  • 32.
    Reimplantación ureteral directa Técnicade Cohen Técnica de Lich - Gregoire
  • 33.
  • 34.
    Traumatismo Vesical Sabinston Etiología • Traumatismocerrados y penetrantes. • 22% de traumatismos urológicos. • Traumatismo pélvico o abdominal bajo. • Perforaciones: • Intraperitoneales: En vejiga llena. • Extraperitoneal: Compresión brusca anteroinferior Twonsend C., Beauchamp D., Evers B., Mattox K. Sabiston Tratado de Cirugía. 19na ed. Elsevier. Madrid 2013.
  • 35.
    Traumatismo Vesical Sabinston Clínica • Hematuriamacroscópica • Retención aguda de orina • Signos de irritación peritoneal. • Asociado a fracturas pélvicas y lesiones uretrales Twonsend C., Beauchamp D., Evers B., Mattox K. Sabiston Tratado de Cirugía. 19na ed. Elsevier. Madrid 2013.
  • 36.
    Traumatismo Vesical Sabinston Clasificación GRADODESCRIPCIÓN DE LA LESIÓN I Hematoma: Contusión, Hematoma intramural Laceración: Grosor parcial II Laceración: Laceración extraperitoneal <2cm de la pared vesical III Laceración: Laceración extraperitoneal >2cm extraperitoneal o intraperitoneal <2cm de la pared vesical IV Laceración: Laceración extraperitoneal >2cm intraperitoneal V Laceración: Laceración que se extiende al cuello de la vejiga o el orificio ureteral Estudios • Cistografía por Rx, TAC o fluoroscopia. • 300-400cc • Llenado por gravedad con sonda Foley • Urea y nitrógeno ureico. Extraperitoneal Intraperitoneal Twonsend C., Beauchamp D., Evers B., Mattox K. Sabiston Tratado de Cirugía. 19na ed. Elsevier. Madrid 2013.
  • 37.
    Traumatismo Vesical Sabinston Conducta terapéutica •Exploración y reparación quirúrgica mayormente. • Extraperitoneales: • Drenaje con catéter por 7-10 días • Si no mejora, reparación quirúrgica. • Intraperitoneal: • Exploración y reparación inmediata. • Pacientes pueden evolucionar bien sin cx. • Perforación grande: • Punción suprapúbica • Vigilar con cistografía. Twonsend C., Beauchamp D., Evers B., Mattox K. Sabiston Tratado de Cirugía. 19na ed. Elsevier. Madrid 2013.
  • 38.
    Traumatismo Vesical Sabinston Técnica quirúrgica: •Cistotomía anterior en línea media. • Exploración interna y evacuación de coágulos • Cierre de defectos con sutura absorbible 2-0 • Derivación con Foley 22-24 Fr Twonsend C., Beauchamp D., Evers B., Mattox K. Sabiston Tratado de Cirugía. 19na ed. Elsevier. Madrid 2013.
  • 39.
    Traumatismo Uretral Sabinston Etiología • Uretraanterior: • Traumatismo en horcajas y penetrantes • Uretra posterior: • Aplastamiento y cizallamiento • 10% unilaterales y 20 % de bilaterales relacionado con fractura de pubis. Twonsend C., Beauchamp D., Evers B., Mattox K. Sabiston Tratado de Cirugía. 19na ed. Elsevier. Madrid 2013.
  • 40.
    Traumatismo Uretral Sabinston Clínica: • Sangreen meato uretral. • Hematuria. • Incapacidad de micción. • Hematoma perineal. Estudios: • Uretrografía retrograda • Paciente en posición oblicua • Sonda 12F • 30ml de contraste Rotura parcial Twonsend C., Beauchamp D., Evers B., Mattox K. Sabiston Tratado de Cirugía. 19na ed. Elsevier. Madrid 2013.
  • 41.
    Clasificación GRADO DESCRIPCIÓN DELA LESIÓN ASPECTO I Lesión por estiramiento Elongación de la uretra sin extravasación en uretrografía II Contusión Sangre en meato uretral III Rotura parcial de la uretra anterior o posterior Extravasación en el foco de lesión con contraste en vejiga IV Terminación de la interrupción de la uretra posterior Extravasación de contraste sin visualización en vejiga V Rotura completa de la uretra posterior VI Rotura completa de la uretra anterior Extravasación sin contraste en uretra proximal o vejiga
  • 42.
    Traumatismo Uretral Sabinston Conducta terapéutica: •Drenar la vejiga y evitar lesión mayor. • Lesión grado I: • Sin tratamiento • Lesión grado II y III: • Cistotomía suprapúbica o sondaje ureteral. • Lesión grado IV, V y VI: • Reconstrucción quirúrgica. • Cirugía diferida Twonsend C., Beauchamp D., Evers B., Mattox K. Sabiston Tratado de Cirugía. 19na ed. Elsevier. Madrid 2013.
  • 43.
    Traumatismo Uretral Sabinston Técnica quirúrgica: Catéteruretral o sonda suprapúbica. • Cateterismo • Decúbito supino. • Limpieza de glande y pene hasta base. • Paño estéril fenestrado. • Introducción de gel anestésico hidrosoluble (15-20ml). • Estirar pene e introducción suave. • Resistencia: se bascula el pene abajo. • Al fluir orina, distender globo (10cc). • Lento evita “ex vacuo”. Twonsend C., Beauchamp D., Evers B., Mattox K. Sabiston Tratado de Cirugía. 19na ed. Elsevier. Madrid 2013.
  • 44.
    Traumatismo Uretral Sabinston Técnica quirúrgica: Catéteruretral o sonda suprapúbica. • Tubo de cistotomía • Decúbito supino y Trendelenburg. • Línea media – 2cm sínfisis pubis • Cistotomía anterior. • Paño fenestrado e incisión • Trocar n 30° hacia arriba. • 2 impulsos. • Sonda Foley o Malecot 24Fr. • Fijación con suturas absorbibles. • Fijación a piel. Twonsend C., Beauchamp D., Evers B., Mattox K. Sabiston Tratado de Cirugía. 19na ed. Elsevier. Madrid 2013.
  • 45.
    Traumatismo Uretral Sabinston Técnica quirúrgica: •Hemostasia meticulosa. • Sondaje. Twonsend C., Beauchamp D., Evers B., Mattox K. Sabiston Tratado de Cirugía. 19na ed. Elsevier. Madrid 2013.
  • 46.
    Traumatismo Uretral Sabinston Técnica quirúrgica: •Uretroplastia: Anastomosis terminoterminal • Lesiones 1-2cm • Litotomía forzada. • Incisión perineal media o Y invertida. • Separa bulboesponjoso, moviliza cuerpo esponjoso. • Desecamiento circunferencial y desbridación. • Creación de bisel a 6-12h. • Cierre hermético con absorbible 3-0 o 4-0. • Uretroplastia con injertos libres. Twonsend C., Beauchamp D., Evers B., Mattox K. Sabiston Tratado de Cirugía. 19na ed. Elsevier. Madrid 2013.
  • 47.
    Traumatismo Escrotal Sabinston Etiología • Traumatismoscerrados • Compresión Clínica • Dolor agudo. • Hematocele. • Signo de Gouverneur. • Signo de Prehn Twonsend C., Beauchamp D., Evers B., Mattox K. Sabiston Tratado de Cirugía. 19na ed. Elsevier. Madrid 2013.
  • 48.
    Traumatismo Escrotal Sabinston Estudios • Ecografía •Flujo sanguíneo • Contusión, hematoma, hematocele o rotura Conducta terapéutica Salvar parénquima Cerrar capsula Reparar escroto Evitar complicaciones • Penetrante: Exploración inmediata • Orquiectomía: Lesión avasculares o masivas Twonsend C., Beauchamp D., Evers B., Mattox K. Sabiston Tratado de Cirugía. 19na ed. Elsevier. Madrid 2013.
  • 49.
    Traumatismo Peneano Sabinston Etiología: • Roturade túnica albugínea • Relaciones sexuales Clínica: • Chasquido audible inmediato • Hinchazón rápida. • Equimosis en perineo (Alas de mariposa). • Aspecto en berenjena. Twonsend C., Beauchamp D., Evers B., Mattox K. Sabiston Tratado de Cirugía. 19na ed. Elsevier. Madrid 2013.
  • 50.
    Traumatismo Peneano Sabinston Estudios: • Cavernosografía •Ultrasonografía • Uretrografía Twonsend C., Beauchamp D., Evers B., Mattox K. Sabiston Tratado de Cirugía. 19na ed. Elsevier. Madrid 2013.
  • 51.
    Eliminar material extraño. Limpiar herida Lograr hemostasia Detectar y reparar defectos. TraumatismoPeneano Sabinston Conducta terapéutica: • Lesiones penetrantes son exploradas • Uretrograma retrogrado durante cirugía. • Pruebas con azul de metileno. Twonsend C., Beauchamp D., Evers B., Mattox K. Sabiston Tratado de Cirugía. 19na ed. Elsevier. Madrid 2013.
  • 52.
    Traumatismo Peneano Sabinston Técnica quirúrgica: •Incisión circunferencial en surco balanoprepucial. • Reparación de defecto con Dexon o Vicryl 3-0 • Catéter Foley varios días. Twonsend C., Beauchamp D., Evers B., Mattox K. Sabiston Tratado de Cirugía. 19na ed. Elsevier. Madrid 2013.
  • 54.
    Macrohematuria Sabinston Etiología • Cistitis hemorrágica •Neoformación vesical • Próstata sangrante • Litiasis urinaria • Grave: • Pérdidas hemáticas peligrosas. • Retención de orina por coágulos. Twonsend C., Beauchamp D., Evers B., Mattox K. Sabiston Tratado de Cirugía. 19na ed. Elsevier. Madrid 2013.
  • 55.
    Macrohematuria Sabinston Clínica • Sintomática: • Cólicorenal. • Asintomática • Hematuria terminal: Vejiga • Hematuria inicial: Uretra prostática y cuello. • Grave: Bloque y retención Twonsend C., Beauchamp D., Evers B., Mattox K. Sabiston Tratado de Cirugía. 19na ed. Elsevier. Madrid 2013.
  • 56.
    Macrohematuria Sabinston Estudios • Hematología • Pruebasde función renal • Uroanálisis • Tiempo de coagulación • Urocultivo • Urograma excretor • TAC • RMN • Cistofibroscópia • Arteriografía • Pielografía ascendente Twonsend C., Beauchamp D., Evers B., Mattox K. Sabiston Tratado de Cirugía. 19na ed. Elsevier. Madrid 2013.
  • 57.
    Macrohematuria Sabinston Conducta terapéutica • Estabilizaciónhemodinámica • Hidratación • Transfusión • Resolución de patología causal Twonsend C., Beauchamp D., Evers B., Mattox K. Sabiston Tratado de Cirugía. 19na ed. Elsevier. Madrid 2013.
  • 58.
    Retención aguda deorina Sabinston Etiología • Hiperplasia protática benigna. • Neuropatía diabética. • Estenosis uretral • Válvulas uretrales. • Fimosis puntiforme. • Esclerosis múltiple. • Enf. De Parkinson • Movilidad limitada y medicamentos. Síntomas y signos por obstáculo en evacuación de vejiga Twonsend C., Beauchamp D., Evers B., Mattox K. Sabiston Tratado de Cirugía. 19na ed. Elsevier. Madrid 2013.
  • 59.
    Sabinston Clínica • Asintomáticos: narcóticoso crónicos • Dolor significativo. • Tenesmo vesical. • Globo vesical a palpación de abdomen. • Mate a la percusión. • Insuficiencia renal. Retención aguda de orina Twonsend C., Beauchamp D., Evers B., Mattox K. Sabiston Tratado de Cirugía. 19na ed. Elsevier. Madrid 2013.
  • 60.
    Sabinston Estudios • Radiografía simple. •Ecografía pélvica • Cistoscopia • Sondaje vesical diagnóstico. Retención aguda de orina Twonsend C., Beauchamp D., Evers B., Mattox K. Sabiston Tratado de Cirugía. 19na ed. Elsevier. Madrid 2013.
  • 61.
    Sabinston Conducta terapéutica • Catéteruretral o cistotomía suprapúbica. • Atender causa. • Retiro de catéter 1-2 días • Hematuria: Catéter de 3 vías + irrigación. Retención aguda de orina Twonsend C., Beauchamp D., Evers B., Mattox K. Sabiston Tratado de Cirugía. 19na ed. Elsevier. Madrid 2013.
  • 62.
    Sabinston Técnica de SondajeVesical • Catéter curvado en HPB. • A las 12. • Catéter de calibre alto (18-20 Fr) en HPB. • Catéter pequeño (12-14Fr) en estenosis • Vaciamiento: • 400cc y luego pinzar. • 200cc cada 10 min. Retención aguda de orina Twonsend C., Beauchamp D., Evers B., Mattox K. Sabiston Tratado de Cirugía. 19na ed. Elsevier. Madrid 2013.
  • 63.
    Sabinston Técnica de SondajeVesical Contraindicaciones: • Prostatitis aguda. • Uretritis aguda, flemones y abscesos periuretrales. • Estenosis o rigidez uretral. • Sospecha de rotura traumática. • Alergia a anestésicos locales o látex. Retención aguda de orina Twonsend C., Beauchamp D., Evers B., Mattox K. Sabiston Tratado de Cirugía. 19na ed. Elsevier. Madrid 2013.
  • 64.
    Sabinston Técnica de CistotomíaSuprapúbica Percutánea Retención aguda de orina Twonsend C., Beauchamp D., Evers B., Mattox K. Sabiston Tratado de Cirugía. 19na ed. Elsevier. Madrid 2013.
  • 65.
    Técnica quirúrgica: Catéter uretralo sonda suprapúbica. • Tubo de cistotomía
  • 66.
  • 67.
    Cólico Nefrítico Sabinston Etiología • Cálculosde vías urinarias: • 10% de población. • Hipercalciuria por hiperparatiroidismo. • Sarcoidosis. • Absorción excesiva idiopática. • Derivación gástrica (> oxalato). • Gota. Enclavamiento de cálculo que genera distensión brusca por obstrucción Twonsend C., Beauchamp D., Evers B., Mattox K. Sabiston Tratado de Cirugía. 19na ed. Elsevier. Madrid 2013.
  • 68.
    Cólico Nefrítico Sabinston Clínica • Varía:Tamaño, Ubicación, Grado de obstrucción y Factores de huésped • Dolor: • Intenso • Punzante • Súbito • Unilateral • Fosa lumbar • Nauseas, vómitos, íleo intestinal, disuria, polaquiuria, fiebre y hematuria. Twonsend C., Beauchamp D., Evers B., Mattox K. Sabiston Tratado de Cirugía. 19na ed. Elsevier. Madrid 2013.
  • 69.
    Cólico Nefrítico Sabinston Estudios • TACsin contraste. • Se observan todos menos de indinavir • Radiografía simple. • Se observan de Ca y estruvita • Ecografía renal. • Revela hidronefrosis y cálculos. • Pielografía intravenosa • Ubicación de cálculo y dilatación de vía. • Uroanálisis, cultivo y orina en 24h. Twonsend C., Beauchamp D., Evers B., Mattox K. Sabiston Tratado de Cirugía. 19na ed. Elsevier. Madrid 2013.
  • 70.
    Cólico Nefrítico Sabinston Conducta terapéutica •Sin infección, sin nauseas y calculo <6mm: • Ambulatorio • Hidratación VO • Analgésicos orales • Bloqueadores α • Cálculo >7mm • Intervención quirúrgica • Transitorio: Endoprótesis ureteral o nefrostomía percutánea. • Definitivo: Nefrolitotomía percutánea, ureteroscopia o litotripsia con choque de onda extracorpórea. • Recurrente: Análisis de composición Twonsend C., Beauchamp D., Evers B., Mattox K. Sabiston Tratado de Cirugía. 19na ed. Elsevier. Madrid 2013.
  • 71.
    Cólico Nefrítico Sabinston Técnica quirúrgica •Ureteroscopia: • Dispositivo flexible o semirrígido. • Fibra laser a través de endoscopio. • Extrae fragmentos. • Nefrolitotomía percutánea: • Trayecto percutáneo • Endoscopio grande y fuentes de energía • Fragmentación • ESWL: • Ondas de choque bajo guía fluoroscópica. Twonsend C., Beauchamp D., Evers B., Mattox K. Sabiston Tratado de Cirugía. 19na ed. Elsevier. Madrid 2013.
  • 72.
    Cólico Nefrítico Sabinston Técnica quirúrgica •Ureteroscopia: • Dispositivo flexible o semirrígido. • Fibra laser a través de endoscopio. • Extrae fragmentos. • Nefrolitotomía percutánea: • Trayecto percutáneo • Endoscopio grande y fuentes de energía • Fragmentación • ESWL: • Ondas de choque bajo guía fluoroscópica. Twonsend C., Beauchamp D., Evers B., Mattox K. Sabiston Tratado de Cirugía. 19na ed. Elsevier. Madrid 2013.
  • 73.
    Cólico Nefrítico Sabinston Técnica quirúrgica •Ureteroscopia: • Dispositivo flexible o semirrígido. • Fibra laser a través de endoscopio. • Extrae fragmentos. • Nefrolitotomía percutánea: • Trayecto percutáneo • Endoscopio grande y fuentes de energía • Fragmentación • ESWL: • Ondas de choque bajo guía fluoroscópica. Twonsend C., Beauchamp D., Evers B., Mattox K. Sabiston Tratado de Cirugía. 19na ed. Elsevier. Madrid 2013.
  • 74.
    Cólico Nefrítico Sabinston Técnica quirúrgica •Ureteroscopia: • Dispositivo flexible o semirrígido. • Fibra laser a través de endoscopio. • Extrae fragmentos. • Nefrolitotomía percutánea: • Trayecto percutáneo • Endoscopio grande y fuentes de energía • Fragmentación • ESWL: • Ondas de choque bajo guía fluoroscópica. Twonsend C., Beauchamp D., Evers B., Mattox K. Sabiston Tratado de Cirugía. 19na ed. Elsevier. Madrid 2013.
  • 75.
    Torsión testicular Twonsend C.,Beauchamp D., Evers B., Mattox K. Sabiston Tratado de Cirugía. 19na ed. Elsevier. Madrid 2013. Etiología • Testículos no descendidos. • Tumores testiculares • Deformidad en “badajo de campana”. • Fijación de gubernáculo a pared. • Apéndice testicular: Remanente de conducto Mülleriano. • Tipos: • Intravaginal: Púberes • Extravaginal: neonatos Giro anormal de testículo y cordón espermático con isquemia. Twonsend C., Beauchamp D., Evers B., Mattox K. Sabiston Tratado de Cirugía. 19na ed. Elsevier. Madrid 2013.
  • 76.
    Torsión testicular Sabinston Fisiopatología • Dependede grado de rotación. • Obstrucción venosa. • Trombosis venosa. • Trombosis arterial. • Isquemia. • Necrosis e infarto. Twonsend C., Beauchamp D., Evers B., Mattox K. Sabiston Tratado de Cirugía. 19na ed. Elsevier. Madrid 2013.
  • 77.
    Torsión testicular Sabinston Clínica • Dolor: •Inicio súbito • Región abdominal baja • Hinchazón subsiguiente. • Nauseas y vómitos. • Piel escrotal roja. • Testículo ascendido. • Asimetría con epidídimo anterior. • Apendicular: Punto azul. Twonsend C., Beauchamp D., Evers B., Mattox K. Sabiston Tratado de Cirugía. 19na ed. Elsevier. Madrid 2013.
  • 78.
    Torsión testicular Sabinston Estudios • Ecografíadoppler. • Disminuye flujo. • Gammagrafía • Sin captación. • Ecografía simple. • Heterogéneo. Twonsend C., Beauchamp D., Evers B., Mattox K. Sabiston Tratado de Cirugía. 19na ed. Elsevier. Madrid 2013.
  • 79.
    Torsión testicular Sabinston Estudios • Ecografíadoppler. • Disminuye flujo. • Gammagrafía • Sin captación. • Ecografía simple. • Heterogéneo. Twonsend C., Beauchamp D., Evers B., Mattox K. Sabiston Tratado de Cirugía. 19na ed. Elsevier. Madrid 2013.
  • 80.
    Torsión testicular Sabinston Conducta terapéutica •Exploración quirúrgica oportuna. • 80% se salva en primeras 6h. • 20% se salva en mas de 12h. • Exploración de testículo contrario. • Fijación a fascia del dartos. Twonsend C., Beauchamp D., Evers B., Mattox K. Sabiston Tratado de Cirugía. 19na ed. Elsevier. Madrid 2013.
  • 81.
    Torsión testicular Sabinston Técnica quirúrgica •Incisión en línea media o transversa bilateral. • Reducción de torsión. • Restablecimiento e flujo sanguíneo. • Fijación a fascia del dartos con sutura no absorbible pequeña. • Orquiectomía en testículo necrótico. • Evita absceso. Twonsend C., Beauchamp D., Evers B., Mattox K. Sabiston Tratado de Cirugía. 19na ed. Elsevier. Madrid 2013.
  • 83.
    Priapismo Sabinston Etiología • Factores neuromusculareso de hiperviscosidad: • Drepanocitosis o rasgo falciforme. • Cáncer. • Medicamentos. • Abuso de cocaína. • Antidepresivos. • Nutrición parenteral. Erección persistente >4h no relacionada con estimulación sexual. Mayoría es por bajo flujo: Isquémico Twonsend C., Beauchamp D., Evers B., Mattox K. Sabiston Tratado de Cirugía. 19na ed. Elsevier. Madrid 2013.
  • 84.
    Priapismo Sabinston Fisiopatología Disminuye flujovenoso y persiste arterial. Incremento de presión de cuerpos cavernosos. Tumefacción. Síndrome compartimental. Limitación del shunt. Hipoxia hística. Acidosis, edema y necrosis franca. Twonsend C., Beauchamp D., Evers B., Mattox K. Sabiston Tratado de Cirugía. 19na ed. Elsevier. Madrid 2013.
  • 85.
    Priapismo Sabinston Clínica • Dolor ala palpación. • Cuerpos cavernosos rígidos y glande flácido. • Alto flujo: No doloroso, sin isquemia. Twonsend C., Beauchamp D., Evers B., Mattox K. Sabiston Tratado de Cirugía. 19na ed. Elsevier. Madrid 2013.
  • 86.
    Priapismo Sabinston Estudios • Análisis desangre peniana • Hipoxia. • Acidosis. Twonsend C., Beauchamp D., Evers B., Mattox K. Sabiston Tratado de Cirugía. 19na ed. Elsevier. Madrid 2013.
  • 87.
    Priapismo Sabinston Conducta terapéutica • Puededesaparecer 2-3h. • Corrección rápida de tumefacción: • Conservar función eréctil. • Fármacos orales: • Seudoefedrina • Baclofeno • Medidas invasivas: 1. Derivación percutánea. 2. Fistula caverno-esponjosa 3. Prótesis Twonsend C., Beauchamp D., Evers B., Mattox K. Sabiston Tratado de Cirugía. 19na ed. Elsevier. Madrid 2013.
  • 88.
    Priapismo Sabinston Técnica de derivación •Introducción de aguja de calibre grueso (18). • Cara externa. • Aspiración e irrigación. • Inyección de fenilefrina (200mg en 20ml de 0.9%) • Material oscuro y espeso Twonsend C., Beauchamp D., Evers B., Mattox K. Sabiston Tratado de Cirugía. 19na ed. Elsevier. Madrid 2013.
  • 89.
    Priapismo Sabinston Técnica de derivación LocalizaciónSitio de Fístula Técnicas Distal (primera elección) Glande  Percutáneo (menos invasivo) Ebbehoj (1974) Winter (1976) T-shunt (Brant, 2009)  Abierto Al-Ghorab (Hanafy, 1976; Borrelli, 1983) Proximal Cuerpo esponjoso  Abierto Quackles (1964): unilateral Sacher (1972): bilateral Venosa Vena safena Grayhack (1964) Vena dorsal del pene Barry (1976) Twonsend C., Beauchamp D., Evers B., Mattox K. Sabiston Tratado de Cirugía. 19na ed. Elsevier. Madrid 2013.
  • 90.
    Priapismo Sabinston Técnica de derivación •Winter Twonsend C., Beauchamp D., Evers B., Mattox K. Sabiston Tratado de Cirugía. 19na ed. Elsevier. Madrid 2013.
  • 91.
    Priapismo Sabinston Técnica de derivación •Al-Ghorab Twonsend C., Beauchamp D., Evers B., Mattox K. Sabiston Tratado de Cirugía. 19na ed. Elsevier. Madrid 2013.
  • 92.
    Priapismo Sabinston Técnica de derivación •Quackel Twonsend C., Beauchamp D., Evers B., Mattox K. Sabiston Tratado de Cirugía. 19na ed. Elsevier. Madrid 2013.
  • 93.
    Priapismo Sabinston Técnica de derivación •Grayhack Twonsend C., Beauchamp D., Evers B., Mattox K. Sabiston Tratado de Cirugía. 19na ed. Elsevier. Madrid 2013.
  • 94.
    Parafimosis Sabinston Etiología • Varones nocircuncidados. • Anillo fimótico previo con: • Higiene. • Relación sexual. • Retracción de prepucio. • Hospitalizados, cama o alt. de estado mental Problema común y urgencia médica verdadera. Twonsend C., Beauchamp D., Evers B., Mattox K. Sabiston Tratado de Cirugía. 19na ed. Elsevier. Madrid 2013.
  • 95.
    Parafimosis Sabinston Clínica • Edema engenitales. • Necrosis por isquemia. Twonsend C., Beauchamp D., Evers B., Mattox K. Sabiston Tratado de Cirugía. 19na ed. Elsevier. Madrid 2013.
  • 96.
    Parafimosis Sabinston Conducta terapéutica • Bloqueopeniano. • Analgésicos y sedación. • Reducción manual. • Completar con disección. Twonsend C., Beauchamp D., Evers B., Mattox K. Sabiston Tratado de Cirugía. 19na ed. Elsevier. Madrid 2013.
  • 97.
    Parafimosis Sabinston Técnica de reducción •Presión firme en porción distal. • Se desplaza la banda de constricción en sentido distal + pulgares desplaza glande. • De ser necesario: • Anestésico local • Sección de anillo o circuncisión. Twonsend C., Beauchamp D., Evers B., Mattox K. Sabiston Tratado de Cirugía. 19na ed. Elsevier. Madrid 2013.
  • 98.
    Pielonefritis enfisematosa Sabinston Etiología • Infecciónpor microorganismos productores de gas. • E. coli. • Infección necrosante aguda. • Predominantemente en diabéticos Pielonefritis complicada. Twonsend C., Beauchamp D., Evers B., Mattox K. Sabiston Tratado de Cirugía. 19na ed. Elsevier. Madrid 2013.
  • 99.
    Pielonefritis enfisematosa Sabinston Clínica • Septicemia •Cetoacidosis Conducta terapéutica • Tratamiento de sostén. • Antibióticos intravenosos. • Alivio de obstrucción. • Parénquima: Conservador con sonda • Último: Nefrectomía urgente Twonsend C., Beauchamp D., Evers B., Mattox K. Sabiston Tratado de Cirugía. 19na ed. Elsevier. Madrid 2013.
  • 100.
  • 101.
    Y los desus pacientes