http://tucienciamedic.blogspot.com/ Universidad Nacional Pedro Ruiz  Gallo Facultad de Medicina Humana ABDOMEN AGUDO GARCIA GUERRERO ALEXANDER GUERRERO UCEDA  CESÁR IVÁN GUEVARA BRAVO  JENY MARIBEL GUEVARA SÁNCHEZ ELIZABETH HERNÁNDEZ CABANILLAS FREDY ALEX HERNÁNDEZ SANTILLAN GINA ASUNTA IRURETA VÁSQUEZ ROY ROGER IX CICLO INTEGRANTES:
ABDOMEN AGUDO DEFINICIÓN C ondición clínica caracterizada por dolor abdominal, de comienzo rápido, acompañado generalmente de síntomas gastrointestinales y de un compromiso variable del estado general.
EPIDEMIOLOGÍA “ ABDOMEN AGUDO QUIRÚRGICO EN EL HRDLM, JULIO-DICIEMBRE 1996”:
 
 
 
EPIDEMIOLOGÍA “ ABDOMEN AGUDO QUIRÚRGICO EN EL HRDLM, JULIO-DICIEMBRE 1996”: Cuadro clínico mayor frecuencia: 33.8% Procesos inflamatorios  :72.09%    Apendicitis Aguda : 70.68% Traumatismos abdominales : 14.42 %    T. A. Abierto:11.63 % Obstrucciones Intestinales: 13.02 %
EPIDEMIOLOGÍA “ ABDOMEN AGUDO QUIRÚRGICO EN EL HRDLM, JULIO-DICIEMBRE 1996”: Zona Procedencia Chiclayo: 85.1% Pacientes menores 30 años: 67 % Sexo Masculino : 61.40 % y Femenino:38.60 % Estado General; REG   58.60%   BEG   41.40 % Mortalidad Global :2.33 %
EPIDEMIOLOGÍA Estudio descriptivo retrospectivo de 156 enfermos mayores de 65 años, con diagnóstico de abdomen agudo quirúrgico (AAQ), operados en el Hospital Clinicoquirúrgico  «Manuel Fajardo» e ingresados en la Unidad de Cuidados Intermedios Polivalente. Periodo 1995 y 1998: Causas: Oclusión intestinal (58,9 %) Colecistitis aguda (13,5 %)  Ulcera péptica gastroduodenal perforada (10,9 %).  Rev Cubana Cir 2002;41(1):23-7
ABDOMEN  AGUDO INFLAMATORIO
CARACTERISTICAS Dolor de tipo somático Dolor continuo Bien localizado Aumenta con movimientos Incrementos de presión abdominal (tos, esfuerzos)  Paciente quieto
FISIOPATOLOGIA Dolor somático - fibras A: Dolor más agudo y localizado. Más diferenciado y reproducible a la palpación.
ETIOLOGIA Contaminación  bacteriana, por la presencia de pus o contenido colónico Irritación química por contenido gastroduodenal, intestinal o biliar Irritación por sangre u orina
 
OBSTRUCCIÓN INTESTINAL Entidad patológica bien definida que se manifiesta por una interferencia al tránsito intestinal de gases, líquidos y sólidos.
CLASIFICACIÓN O. I. SEGMENTO DE INTESTINO AFECTADO Eº  C I R C U L A C I Ó N ETIOLOGÍA MOMENTO DE  APARICIÓN FORMA DE  INSTALACIÓN I. DELGADO 80 % OTROS I. GRUESO 20 % según según según según según SIMPLE ESTRANGULADA MECÁNICO PARALÍTICO ESPÁSTICO MECÁNICO AGUDA SUBAGUDA  O  CRÓNICA ADQUIRIDA CONGÉNITA
ETIOLOGÍA O.I. MECÁNICA EXTRALUMINAL (compresión extrínseca) Adherencias; c,i,pq,nm. Hernias  Vólvulo Masas exrtraintestinales Pinzamientos vasculares Malrotaciones congénitas INTRALUMINAL Adherencias inflamatoria Fecalomas Meconio Cálculos biliares Parásitos Bezoares Cuerpos extraños PARIETALES: Tumores Inflamatorias  Estenosis: pr, pq, fc Intususpección intestinal Congénitas: ano imperfo rado, quistes, atresias. ÍLEO  PARALÍTICO INTRAABDOMINAL Postoperatorio Traumáticas Peritonitis, hemoperit. Colecistitis, empiema vesicular. Trombosis o embolia mesentérica, isquemia. EXTRAABDOMINAL Cuadros infecciosos. Fracturas pélv y colum Trastornos hidroelectro hipopotasemia hipomagnesemia hipoclorhidria hipocalcemia Uremia Intoxicación x plomo Hipotiroidismo Fármacos: antiepilép- ticos, mórficos. INTESTINO  DELGADO INTESTINO  GRUESO Hernia externa Bridas y adherencias Vólvulos Invaginación – intuscep ción. -Hernias internas Íleo biliar Bezoares, enterolitos Parasitarias Estrechez inflamatoria Tumores: Benignos Malignos Fecaloma Vólvulo cecal Vólvulo del sigmoides
↑  reactivo del peristaltismo Distensión progresiva gas y líquido (-) eliminación flatos y heces Acumulación líquidos y gases Pérdida hidroelectrolítica Traslocación bacteriana Brechas  FISIOPATOLOGÍA mecánica simple OBSTRUCCIÓN PROXIMAL DISTAL Alcalosis  metabólica acidosis  metabólica INADECUADA RESTITUCIÓN  HIDROELEC TROLÍTICA Hemoconcentración progresiva Hipovolemia (↓ PVC) Insuficiencia renal Shock y muerte
FISIOPATOLOGÍA CON ESTRAN- GULACIÓN DE ASA CERRADA ÍLEO  PARALÍTICO DEL COLON X   vascularización Exudación de  Sustancias tóxicas necrosis perforación Dos extremos (aferentes Y eferentes) estrangulación Escasos  Síntomas  previos Acumulación  Aire Deglutido Distensión  Cuadro  Menos  florido Distensión  progresiva Perforación  cecal
SINTOMATOLOGÍA Dolor acompañado de distensión abdominal y vómitos y falta  de eliminación de heces y flatos. Dolor cólico ▬ ↑más alta es la obstrucción,  Alivia con los vómitos. Vómitos Expulsión de gases (suboclusión) Hiperperistaltismo reactivo: 24-48 horas
Exploración abdominal Abdomen meteorizado (distendido) Ondas peristálticas visibles Ruidos hidroaéreos ↑ Silencio abdominal Timpanismo Matidez en zonas de masas y líquidos Abdomen distendido de Gº variable Chapoteo Signos de irritación peritoneal Hernias externas, masas abdominales i a p p
Íleo
Obstrucción del intestino delgado vólvulus
Medidas generales SNG Reposición hidroelectrolítica Vigilancia estricta Antibioticoterapia. Medidas específicas:  Fiebre, hernia, pacientes de alto riesgo, fecaloma, vólvulo de sigma, paciente senil, íleo paralítico, intervención quirúrgica.
SÍNDROME ABDOMEN AGUDO TIPO HEMORRÁGICO
CAUSAS MAS FRECUENTES Embarazo extrauterino roto Folículo ovárico roto Ruptura de quiste de ovario Ruptura de aneurisma
Perdida de sangre Del DO2 Hipoxia tisular Permeabilidad capilar Liberación de  mediadores SaO2 Alteraciones pulmonares Hipovolemia Gasto cardiáco FISIOPATOLOGÍA
MANIFESTACIONES CLÍNICAS SINTOMAS Dolor intenso, brusco, in situ. Irradiación: Hombros (Laffont) Tenesmo rectal y vesical Desfallecimiento Disnea
SIGNOS Cullen Dolor abdominal al rebote Dolor a la percusión Matidez declive Tacto Vaginal Dolor y abombamiento en fondo de saco posterior Dolor a la movilización del cuello Piel fría, sudorosa y pálida Taquicardia e hipotensión arterial Polipnea MANIFESTACIONES CLÍNICAS
TRATAMIENTO Médico: *Apoyo ventilatorio * Reposición volumétrica (cristaloides, coloides y hemoderivados) Quirúrgico
El intestino esta protegido contra la isquemia por su  circulación  contralateral. La lesión isquémica del  intestino delgado o grueso  aparece  cuando el flujo sanguíneo  es insuficiente  para cumplir  con los requerimientos del intestino. La isquemia intestinal puede  presentarse de forma aguda o crónica,  y su origen puede ser arterial o venoso.   ABDOMEN AGUDO: ISQUEMICO
ETIOLOGIAS  Arterioesclerosis Arteritis Diseccion de la aorta Displasia Fibromuscular Neurofibromatosis INCIDENCIA
Isquemia propiamente dicha Reperfusión del órgano oxígeno ATP retenc: agua y electrolitos; H+ P inorg y derv. Purinas CO2 Necrosis. FISIOPATOLOGIA Alteración del pH y la disminución del potencial redox se asocia con un desequilibrio de la naturaleza y densidad de la flora intestinal, con proliferación y migración proximal de las bacterias anaerobias.  La mucosa intestinal lesionada queda expuesta a los efectos digestivos de las proteasas pancreáticas y las sales biliares, causando su autodigestión Los cambios isquémicos son más intensos en la punta de las vellosidades y ocurren tempranamente. La mucosa lesionada permite la translocación bacteriana hacia el peritoneo y la circulación portal y sistémica favoreciendo la aparición de sepsis en estos pacientes
Dolor abdominal (75-98%) fuera de proporción con los datos  fisicos Diarrea Distensión abdominal Defensa abdominal Shock Cianosis moteada en abdomen y flancos (manifestación de bajo gasto) Al evolucionar aparece fiebre, taquicardia, hipotensión CUADRO CLINICO
DIAGNÓSTICO Y EXAMENES AUXILIARES.
HISTORIA CLÍNICA EXAMEN FÍSICO PA, FC, FR, T°, PULSO, EH, EN.  VALORACIÓN CLÍNICA DE ABDOMEN AGUDO LABORATORIO Y RADIOLOGÍA DIAGNÓSTICO Anamnesis  detallada  orientada
ABDOMEN AGUDO Los exámenes y pruebas se deben realizar con un Orden lógico y según las condiciones del paciente. LABORATORIO RADIOLOGIA ECOGRAFIA TOMOGRAFIA AXIAL COMPUTADA OTROS EXAMENES COMPLEMENTARIOS
ABDOMEN AGUDO LOS EXAMENES DE LABORATORIO DE MAYOR UTILIDAD SON: Hemograma  Bioquimica Creatinina sérica y uremia  Amilasemia Glucemia Orina completa (Bacteriologia) Otros MEJORA EN UN 10% LA POSIBILIDAD DIAGNOSTICA
HEMOGRAMA Aumento Leucocitario:  Desviación izquierda  Apendicitis:  VN / leucocitois (11000 leucocitos/ mm3) >20000 -----Apendicitis Complicada Hb y Hto:  VN + Amnanesis + Hist Traumatismo Abdominal Hemorragia Intrabdominal Hemorragia Aguda Aneurisma de Aorta Estudio de coagulación Tiempos Protrombina  INSUFICIENCIA HEPATICA Fibrinógeno
BIOQUÍMICA Electrolitos:  Importancia Dx y Tx en Pcte con Vómitos y Diarreas así como en Ac. Metabólica Urea y creatinina:  Fx Renal  Se alteran x Deshidratación: Hemorragia Gastrointestinal: AUMENTO Enfermedades Hepáticas: DISMINUCION Glicemia: Cetoacidosis Diabetica: Una de principales causas de Abdomen Ag Extrabdominal Factor pronostico en pancreatitis Se ve Alterado en Enf. Tumorales. Amilasa:  Patología Pancreática  VN no excluyen patologia pancreatica No es Significativo en un Dx de pancreatitis
ANÁLISIS DE ORINA Es una de las pruebas que más información nos va a aportar en la valoración de urgencias de un abdomen agudo.  Puede proporcionar información sobre el estado hidroelectrolítico y sobre la capacidad renal de concentración urinaria. Buscaremos la presencia de productos patológicos:  Sangre.  Proteinas.  Bilirrubina.  Células.  Reacción positiva a hem: mioglobinuria o hemólisis.
ELECTROCARDIOGRAMA El dolor abdominal puede ser la manifestación de una enfermedad coronaria y a su vez el dolor torácico manifestación una patología abdominal, es obligatorio, en toda valoración de un abdomen agudo, la realización de un ECG. Manifestación coronaria Sobrecarga miocárdica  Enfermedad Abdominal Isquemia a nivel Intestinal
RADIOGRAFÍA SIMPLE DE ABDOMEN Hemos de evaluar la presencia de diversas anormalidades: Alteraciones del Patrón aéreo Aire  intraluminal Aire  extraluminal Íleo mecánico Íleo paralítico Abscesos Perforación libre Presencia de gas Masas  abdominales Calcificaciones
RADIOLOGIA Aunque no están estandarizadas, típicamente se realizan tres proyecciones abdominales:   *Decúbito supino.   *Bipedestación ( niveles hidroaéreos: Neumoperitoneo)  *Decúbitos laterales. Radiografía de abdomen simple de pie e xaminar rutinariamente:  Sombras de los Psoas.  Patrón aéreo intestinal.  Aire ectópico.  Líquido libre intraperitoneal. Abdomen Ag:  Util el uso de Contraste (sulfato de Bario) Contrastes hidrosolubles Yodado: Diferenciacion de Ileo mecanico con el Adinamico Enema Opaco de Colon:  Invaginacion Intestinal, Sospecha de Volvulo, Obstruccion intestinal.
Signos Ecográficos   Colecistitis Aguda.-  Se observa engrosamiento de la pared vesicular mayor de 3 mm, signo de doble pared, distensión de la vesícula diámetro anteroposterior mayor de 5 cm. Cambios en su morfología: más redondeada, se observan litiasis, bilis ecogénica: barro biliar, pus (empiema), hemorragia; signo de Murphy (al paso del transductor del ecógrafo). Pancreatitis Aguda.-  Se observa: aumento de tamaño del páncreas en forma difusa que puede alcanzar más de 3 a 4 veces; diámetro anteroposterior mayor de 3 cm.  Alteraciones de contorno; poco nítido, definido y borroso. Estructura hipoecogénica, debido al edema inflamatario que sufre la glándula.
Apendicitis Aguda.- -  Engrosamiento de la pared del órgano; signo de doble contorno. -  Rigidez no deformable con la presión. -  Lumen: sonolucente, ecogénico (gas o coprolito). -  Adenopatías mesentéricas. En conclusión, la  ecografía  abdominal de  urgencia  puede  diagnosticarnos :  Una colestitis aguda, aerobilia Tumor hepático Pancreatitis Ruptura de bazo Absceso  Ruptura de embarazo ectópico.
Signos Tomográficos Colecistitis Aguda Litiásica.-  Distensión de la vesícula biliar mayor de 5 cm. En el diámetro anteroposterior y transversal. -Engrosamiento y nodularidad de la pared de la vesícula biliar. -Cálculos de la vesícula y/o en el conducto cístico. -Borde mal definido de la pared de la vesícula biliar en interfase con el hígado. -Anillo delgado de líquido pericolecístico. -Aumento de la densidad de la bilis. Pielonefritis.-  Zonas hipodensas estriadas o cuneiformes en un riñón de volumen normal.
Pancreatitis: -    Aumento de volumen del páncreas. -    Zonas de hipodensidad (postcontrastre) -    Captación del contraste pancreático en su  totalidad. -    Engrosamiento de fascias. -    Derrame pleural. -    Zonas de hiperdensidad hemorrágicas Abscesos.-  Zonas redondeadas hipodensas, que tras el contraste presentan aspecto de corona hipervascularizada.
Procesos inflamatorios.-  A nivel de intestino, peritoneo y mesenterio; se observará: edema, engrosamiento de la pared intestinal, distensión por el líquido y fibrosis. Apendicitis.-  Se observará edema por inflamación en la zona adyacente al ciego. Colitis.-  Engrosamiento de la pared intestinal sin alteraciones en el interior del mesenterio; dilatación del colon, pérdidas de las marcas de las haustras y lesiones segmentarias.
Diverticulitis.-  Se observará : Hiperdensidad de la grasa pericólica, engrosamiento de la pared y presencia de divertículos. Traumatismo Abdominal Cerrado.-  Observaremos: Hemoperitoneo, colecciones en el espacio de Morrison, laceración hepática y/o esplénica. Lesiones traumática del bazo.- - Hematoma  subcapsular: forma de media luna  hipodensa a lo largo del borde lateral del bazo,  isodenso al inicio, después de 10 día  hipodenso. -    Desgarro esplénico.
Paracentesis Sus principales  aplicaciones  consisten en:  1. Determinación exacta de la  etiología , con especial valoración de la existencia o no de infección.  2. Evacuación de grandes volúmenes ascíticos. Sitio de punción:  Cuadrante inferior izquierdo, lateral al recto abdominal, infraumbilical en la línea medio clavicular.
En el líquido ascítico obtenido, hemos de solicitar:  - Cultivo.  - Recuento celular.  - Test de gestación.  - Amilasa.  - Bilirrubina.  - pH, LDH, triglicéridos y albúmina.
Lavado Peritoneal Diagnóstico La principal  indicación  de un lavado peritoneal es la  evaluación del traumatismo abdominal  asociado a hipotensión o inconsciencia.  Debe ser  siempre  realizado en la evaluación de un  politraumatizado.   Evaluación del  trauma abdominal penetrante por arma blanca . En el  arma de fuego ,  no es  necesario, pues lo indicado en este caso es la  laparotomía exploradora  inmediata. Evaluación de una posible peritonitis o perforación de víscera hueca  en pacientes con alteración del nivel de conciencia.
INTERPRETACIÓN DE RESULTADOS POSITIVO Determinaciones en líquido de lavado:  Hematíes > 100.000/mL. Si es un trauma penetrante se considera positivo > 10.000/mL.  Leucocitos > 5.000/mL. Si es un trauma penetrante se considera positivo > 100/mL.  Amilasa > 175 UI/100 mL.
INTERPRETACIÓN DE RESULTADOS NEGATIVO:   Hematíes < 50.000/mL. En caso de trauma penetrante se considera <2.000/mL.  Leucocitos < 100/mL.  Amilasa < 75 UI/100 mL.
LAPAROTOMÍA La laparotomía  temprana es esencial  para un  paciente con dolor abdominal que requiere intervención quirúrgica de urgencias , aunque en muchas ocasiones es preferible proceder a un tratamiento preoperatorio de reanimación. En la brevedad posible dado que un retraso excesivo produce un aumento de tiempo de hemorragia, obstrucción o infección. LAPARATOMIA TTO.
LAPAROTOMÍA Un aspecto destacable es que en ocasiones existen dudas sobre la naturaleza quirúrgica o no del proceso, en estos casos una laparotomía exploradora puede aclarar el diagnóstico y se encuentra totalmente indicada. LAPARATOMIA DX
TRATAMIENTO DE ABDOMEN AGUDO Qx Descompresión del intestino mediante  Succión, con el uso de una sonda nasogástrica para aliviar la distensión abdominal y el vómito. La cirugía para tratar la obstrucción puede ser necesaria si la descompresión con la sonda nasogástrica no alivia los síntomas o si se sospecha de muerte tisular.
 
 
MEDIDAS GENERALES 1.  Uso racional de ATB  de acuerdo al Dx etiológico y al resultado de los cultivos efectuados  2.  Asistencia respiratoria , desde el inicio debido a la repercusión pulmonar de estos procesos.  Los cambios posturales  frecuentes son parte de la fisioterapia respiratoria  3. Colocar una sonda nasogástrica que funcione con efectividad.  4. Administración de líquidos y electrolitos de acuerdo a las pérdidas, cuando el abdomen está distendido la pérdida insensible intraabdominal puede ser mayor.
5. Cateterismo vesical para mejor control de líquidos y evitar paresia de la vejiga  6. El apoyo nutricional es necesario en procesos con falta de ingesta oral prolongada. La sepsis peritoneal cursa con un franco hipercatabolismo que lleva al desarrollo de una desnutrición corporal severa en un periodo corto.  7. Suprimir el factor primario con la cirugía indicada  8. Sólo colocar drenajes en presencia de abscesos intraabdominales y de fístulas.
GRUPO A. Padecimientos intraabdominales que requieren Cx inmediata     1.Apendicitis aguda complicada(absceso o perforación)   2. Obstrucción intestinal con  estrangulación    3. Perforación de víscera hueca: úlcera péptica perforada, perforación diverticular de colon, perforación de íleon terminal, perforación de ciego o sigmoides secundarios a tumor maligno. 4. Colecistitis aguda complicada (piocolecisto, enfisematosa en el diabético) 
GRUPO A. Padecimientos intraabdominales que requieren cirugía inmediata  5.Aneurisma disecante de aorta abdominal   6. Trombosis mesentérica   7. Ginecológicas: quiste de ovario torcido, embarazo ectópico roto   8. Torsión testicular   9. Pancreatitis aguda grave  (necroticohemorrágica) 
GRUPO B. Padecimientos Abd. que no requieren Cx      1. Enf. acidopéptica no complicada   2. Padecimientos hepáticos: hepatitis aguda, absceso hepático   3. Padecimientos intestinales (gastroenteritis, ileítis terminal, intoxicación alimentaria)   4. Infección de vías urinarias, cólico nefroureteral.
GRUPO B. Padecimientos abdominales que no requieren cirugía   5. Padecimientos ginecológicos: enfermedad pélvica inflamatoria aguda, dolor por ovulación o dolor intermenstrual   6. Peritonitis primaria espontánea (en cirróticos)   7 Hemorragia intramural del intestino grueso secundaria a anticoagulantes   8. Causas poco frecuentes: fiebre mediterránea, epilepsia abdominal, porfiria, saturnismo, vasculitis
Criterios de internación Categorizar el cuadro de la sgte manera: a. Requiere tratamiento quirúrgico urgente. b. Requiere mayor observación y evaluación  en el Hospital. c. No requiere internación y puede ser manejado con consultas externas.
COMPLICACIONES PRINCIPALES Infección  Gangrena del intestino  Perforación (orificio) en el intestino  peritonitis  sepsis, hipovolemia,  desequilibrio hidroelectrolítico, malnutrición grave,  insuficiencia renal,  Alter. cardiovasculares,  Insuf. hepática y disfunción orgánica múltiple.
PREVENCION La prevención depende de la causa. El tratamiento de tumores y hernias relacionados con la obstrucción puede reducir el riesgo. Sin embargo, algunas causas de obstrucción intestinal no se pueden prevenir.
 

Exposicion De Abdomen Agudo

  • 1.
    http://tucienciamedic.blogspot.com/ Universidad NacionalPedro Ruiz Gallo Facultad de Medicina Humana ABDOMEN AGUDO GARCIA GUERRERO ALEXANDER GUERRERO UCEDA CESÁR IVÁN GUEVARA BRAVO JENY MARIBEL GUEVARA SÁNCHEZ ELIZABETH HERNÁNDEZ CABANILLAS FREDY ALEX HERNÁNDEZ SANTILLAN GINA ASUNTA IRURETA VÁSQUEZ ROY ROGER IX CICLO INTEGRANTES:
  • 2.
    ABDOMEN AGUDO DEFINICIÓNC ondición clínica caracterizada por dolor abdominal, de comienzo rápido, acompañado generalmente de síntomas gastrointestinales y de un compromiso variable del estado general.
  • 3.
    EPIDEMIOLOGÍA “ ABDOMENAGUDO QUIRÚRGICO EN EL HRDLM, JULIO-DICIEMBRE 1996”:
  • 4.
  • 5.
  • 6.
  • 7.
    EPIDEMIOLOGÍA “ ABDOMENAGUDO QUIRÚRGICO EN EL HRDLM, JULIO-DICIEMBRE 1996”: Cuadro clínico mayor frecuencia: 33.8% Procesos inflamatorios :72.09%  Apendicitis Aguda : 70.68% Traumatismos abdominales : 14.42 %  T. A. Abierto:11.63 % Obstrucciones Intestinales: 13.02 %
  • 8.
    EPIDEMIOLOGÍA “ ABDOMENAGUDO QUIRÚRGICO EN EL HRDLM, JULIO-DICIEMBRE 1996”: Zona Procedencia Chiclayo: 85.1% Pacientes menores 30 años: 67 % Sexo Masculino : 61.40 % y Femenino:38.60 % Estado General; REG  58.60% BEG  41.40 % Mortalidad Global :2.33 %
  • 9.
    EPIDEMIOLOGÍA Estudio descriptivoretrospectivo de 156 enfermos mayores de 65 años, con diagnóstico de abdomen agudo quirúrgico (AAQ), operados en el Hospital Clinicoquirúrgico «Manuel Fajardo» e ingresados en la Unidad de Cuidados Intermedios Polivalente. Periodo 1995 y 1998: Causas: Oclusión intestinal (58,9 %) Colecistitis aguda (13,5 %) Ulcera péptica gastroduodenal perforada (10,9 %). Rev Cubana Cir 2002;41(1):23-7
  • 10.
    ABDOMEN AGUDOINFLAMATORIO
  • 11.
    CARACTERISTICAS Dolor detipo somático Dolor continuo Bien localizado Aumenta con movimientos Incrementos de presión abdominal (tos, esfuerzos) Paciente quieto
  • 12.
    FISIOPATOLOGIA Dolor somático- fibras A: Dolor más agudo y localizado. Más diferenciado y reproducible a la palpación.
  • 13.
    ETIOLOGIA Contaminación bacteriana, por la presencia de pus o contenido colónico Irritación química por contenido gastroduodenal, intestinal o biliar Irritación por sangre u orina
  • 14.
  • 15.
    OBSTRUCCIÓN INTESTINAL Entidadpatológica bien definida que se manifiesta por una interferencia al tránsito intestinal de gases, líquidos y sólidos.
  • 16.
    CLASIFICACIÓN O. I.SEGMENTO DE INTESTINO AFECTADO Eº C I R C U L A C I Ó N ETIOLOGÍA MOMENTO DE APARICIÓN FORMA DE INSTALACIÓN I. DELGADO 80 % OTROS I. GRUESO 20 % según según según según según SIMPLE ESTRANGULADA MECÁNICO PARALÍTICO ESPÁSTICO MECÁNICO AGUDA SUBAGUDA O CRÓNICA ADQUIRIDA CONGÉNITA
  • 17.
    ETIOLOGÍA O.I. MECÁNICAEXTRALUMINAL (compresión extrínseca) Adherencias; c,i,pq,nm. Hernias Vólvulo Masas exrtraintestinales Pinzamientos vasculares Malrotaciones congénitas INTRALUMINAL Adherencias inflamatoria Fecalomas Meconio Cálculos biliares Parásitos Bezoares Cuerpos extraños PARIETALES: Tumores Inflamatorias Estenosis: pr, pq, fc Intususpección intestinal Congénitas: ano imperfo rado, quistes, atresias. ÍLEO PARALÍTICO INTRAABDOMINAL Postoperatorio Traumáticas Peritonitis, hemoperit. Colecistitis, empiema vesicular. Trombosis o embolia mesentérica, isquemia. EXTRAABDOMINAL Cuadros infecciosos. Fracturas pélv y colum Trastornos hidroelectro hipopotasemia hipomagnesemia hipoclorhidria hipocalcemia Uremia Intoxicación x plomo Hipotiroidismo Fármacos: antiepilép- ticos, mórficos. INTESTINO DELGADO INTESTINO GRUESO Hernia externa Bridas y adherencias Vólvulos Invaginación – intuscep ción. -Hernias internas Íleo biliar Bezoares, enterolitos Parasitarias Estrechez inflamatoria Tumores: Benignos Malignos Fecaloma Vólvulo cecal Vólvulo del sigmoides
  • 18.
    ↑ reactivodel peristaltismo Distensión progresiva gas y líquido (-) eliminación flatos y heces Acumulación líquidos y gases Pérdida hidroelectrolítica Traslocación bacteriana Brechas FISIOPATOLOGÍA mecánica simple OBSTRUCCIÓN PROXIMAL DISTAL Alcalosis metabólica acidosis metabólica INADECUADA RESTITUCIÓN HIDROELEC TROLÍTICA Hemoconcentración progresiva Hipovolemia (↓ PVC) Insuficiencia renal Shock y muerte
  • 19.
    FISIOPATOLOGÍA CON ESTRAN-GULACIÓN DE ASA CERRADA ÍLEO PARALÍTICO DEL COLON X vascularización Exudación de Sustancias tóxicas necrosis perforación Dos extremos (aferentes Y eferentes) estrangulación Escasos Síntomas previos Acumulación Aire Deglutido Distensión Cuadro Menos florido Distensión progresiva Perforación cecal
  • 20.
    SINTOMATOLOGÍA Dolor acompañadode distensión abdominal y vómitos y falta de eliminación de heces y flatos. Dolor cólico ▬ ↑más alta es la obstrucción, Alivia con los vómitos. Vómitos Expulsión de gases (suboclusión) Hiperperistaltismo reactivo: 24-48 horas
  • 21.
    Exploración abdominal Abdomenmeteorizado (distendido) Ondas peristálticas visibles Ruidos hidroaéreos ↑ Silencio abdominal Timpanismo Matidez en zonas de masas y líquidos Abdomen distendido de Gº variable Chapoteo Signos de irritación peritoneal Hernias externas, masas abdominales i a p p
  • 22.
  • 23.
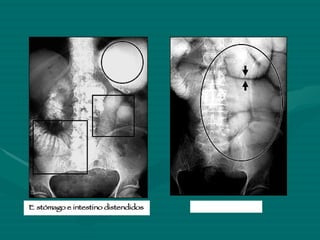
    Obstrucción del intestinodelgado vólvulus
  • 24.
    Medidas generales SNGReposición hidroelectrolítica Vigilancia estricta Antibioticoterapia. Medidas específicas: Fiebre, hernia, pacientes de alto riesgo, fecaloma, vólvulo de sigma, paciente senil, íleo paralítico, intervención quirúrgica.
  • 25.
    SÍNDROME ABDOMEN AGUDOTIPO HEMORRÁGICO
  • 26.
    CAUSAS MAS FRECUENTESEmbarazo extrauterino roto Folículo ovárico roto Ruptura de quiste de ovario Ruptura de aneurisma
  • 27.
    Perdida de sangreDel DO2 Hipoxia tisular Permeabilidad capilar Liberación de mediadores SaO2 Alteraciones pulmonares Hipovolemia Gasto cardiáco FISIOPATOLOGÍA
  • 28.
    MANIFESTACIONES CLÍNICAS SINTOMASDolor intenso, brusco, in situ. Irradiación: Hombros (Laffont) Tenesmo rectal y vesical Desfallecimiento Disnea
  • 29.
    SIGNOS Cullen Dolorabdominal al rebote Dolor a la percusión Matidez declive Tacto Vaginal Dolor y abombamiento en fondo de saco posterior Dolor a la movilización del cuello Piel fría, sudorosa y pálida Taquicardia e hipotensión arterial Polipnea MANIFESTACIONES CLÍNICAS
  • 30.
    TRATAMIENTO Médico: *Apoyoventilatorio * Reposición volumétrica (cristaloides, coloides y hemoderivados) Quirúrgico
  • 31.
    El intestino estaprotegido contra la isquemia por su circulación contralateral. La lesión isquémica del intestino delgado o grueso aparece cuando el flujo sanguíneo es insuficiente para cumplir con los requerimientos del intestino. La isquemia intestinal puede presentarse de forma aguda o crónica, y su origen puede ser arterial o venoso. ABDOMEN AGUDO: ISQUEMICO
  • 32.
    ETIOLOGIAS ArterioesclerosisArteritis Diseccion de la aorta Displasia Fibromuscular Neurofibromatosis INCIDENCIA
  • 33.
    Isquemia propiamente dichaReperfusión del órgano oxígeno ATP retenc: agua y electrolitos; H+ P inorg y derv. Purinas CO2 Necrosis. FISIOPATOLOGIA Alteración del pH y la disminución del potencial redox se asocia con un desequilibrio de la naturaleza y densidad de la flora intestinal, con proliferación y migración proximal de las bacterias anaerobias. La mucosa intestinal lesionada queda expuesta a los efectos digestivos de las proteasas pancreáticas y las sales biliares, causando su autodigestión Los cambios isquémicos son más intensos en la punta de las vellosidades y ocurren tempranamente. La mucosa lesionada permite la translocación bacteriana hacia el peritoneo y la circulación portal y sistémica favoreciendo la aparición de sepsis en estos pacientes
  • 34.
    Dolor abdominal (75-98%)fuera de proporción con los datos fisicos Diarrea Distensión abdominal Defensa abdominal Shock Cianosis moteada en abdomen y flancos (manifestación de bajo gasto) Al evolucionar aparece fiebre, taquicardia, hipotensión CUADRO CLINICO
  • 35.
  • 36.
    HISTORIA CLÍNICA EXAMENFÍSICO PA, FC, FR, T°, PULSO, EH, EN. VALORACIÓN CLÍNICA DE ABDOMEN AGUDO LABORATORIO Y RADIOLOGÍA DIAGNÓSTICO Anamnesis detallada orientada
  • 37.
    ABDOMEN AGUDO Losexámenes y pruebas se deben realizar con un Orden lógico y según las condiciones del paciente. LABORATORIO RADIOLOGIA ECOGRAFIA TOMOGRAFIA AXIAL COMPUTADA OTROS EXAMENES COMPLEMENTARIOS
  • 38.
    ABDOMEN AGUDO LOSEXAMENES DE LABORATORIO DE MAYOR UTILIDAD SON: Hemograma Bioquimica Creatinina sérica y uremia Amilasemia Glucemia Orina completa (Bacteriologia) Otros MEJORA EN UN 10% LA POSIBILIDAD DIAGNOSTICA
  • 39.
    HEMOGRAMA Aumento Leucocitario: Desviación izquierda Apendicitis: VN / leucocitois (11000 leucocitos/ mm3) >20000 -----Apendicitis Complicada Hb y Hto: VN + Amnanesis + Hist Traumatismo Abdominal Hemorragia Intrabdominal Hemorragia Aguda Aneurisma de Aorta Estudio de coagulación Tiempos Protrombina INSUFICIENCIA HEPATICA Fibrinógeno
  • 40.
    BIOQUÍMICA Electrolitos: Importancia Dx y Tx en Pcte con Vómitos y Diarreas así como en Ac. Metabólica Urea y creatinina: Fx Renal Se alteran x Deshidratación: Hemorragia Gastrointestinal: AUMENTO Enfermedades Hepáticas: DISMINUCION Glicemia: Cetoacidosis Diabetica: Una de principales causas de Abdomen Ag Extrabdominal Factor pronostico en pancreatitis Se ve Alterado en Enf. Tumorales. Amilasa: Patología Pancreática VN no excluyen patologia pancreatica No es Significativo en un Dx de pancreatitis
  • 41.
    ANÁLISIS DE ORINAEs una de las pruebas que más información nos va a aportar en la valoración de urgencias de un abdomen agudo. Puede proporcionar información sobre el estado hidroelectrolítico y sobre la capacidad renal de concentración urinaria. Buscaremos la presencia de productos patológicos: Sangre. Proteinas. Bilirrubina. Células. Reacción positiva a hem: mioglobinuria o hemólisis.
  • 42.
    ELECTROCARDIOGRAMA El dolorabdominal puede ser la manifestación de una enfermedad coronaria y a su vez el dolor torácico manifestación una patología abdominal, es obligatorio, en toda valoración de un abdomen agudo, la realización de un ECG. Manifestación coronaria Sobrecarga miocárdica Enfermedad Abdominal Isquemia a nivel Intestinal
  • 43.
    RADIOGRAFÍA SIMPLE DEABDOMEN Hemos de evaluar la presencia de diversas anormalidades: Alteraciones del Patrón aéreo Aire intraluminal Aire extraluminal Íleo mecánico Íleo paralítico Abscesos Perforación libre Presencia de gas Masas abdominales Calcificaciones
  • 44.
    RADIOLOGIA Aunque noestán estandarizadas, típicamente se realizan tres proyecciones abdominales: *Decúbito supino. *Bipedestación ( niveles hidroaéreos: Neumoperitoneo) *Decúbitos laterales. Radiografía de abdomen simple de pie e xaminar rutinariamente: Sombras de los Psoas. Patrón aéreo intestinal. Aire ectópico. Líquido libre intraperitoneal. Abdomen Ag: Util el uso de Contraste (sulfato de Bario) Contrastes hidrosolubles Yodado: Diferenciacion de Ileo mecanico con el Adinamico Enema Opaco de Colon: Invaginacion Intestinal, Sospecha de Volvulo, Obstruccion intestinal.
  • 45.
    Signos Ecográficos Colecistitis Aguda.- Se observa engrosamiento de la pared vesicular mayor de 3 mm, signo de doble pared, distensión de la vesícula diámetro anteroposterior mayor de 5 cm. Cambios en su morfología: más redondeada, se observan litiasis, bilis ecogénica: barro biliar, pus (empiema), hemorragia; signo de Murphy (al paso del transductor del ecógrafo). Pancreatitis Aguda.- Se observa: aumento de tamaño del páncreas en forma difusa que puede alcanzar más de 3 a 4 veces; diámetro anteroposterior mayor de 3 cm. Alteraciones de contorno; poco nítido, definido y borroso. Estructura hipoecogénica, debido al edema inflamatario que sufre la glándula.
  • 46.
    Apendicitis Aguda.- -  Engrosamientode la pared del órgano; signo de doble contorno. -  Rigidez no deformable con la presión. -  Lumen: sonolucente, ecogénico (gas o coprolito). -  Adenopatías mesentéricas. En conclusión, la ecografía abdominal de urgencia puede diagnosticarnos : Una colestitis aguda, aerobilia Tumor hepático Pancreatitis Ruptura de bazo Absceso Ruptura de embarazo ectópico.
  • 47.
    Signos Tomográficos ColecistitisAguda Litiásica.- Distensión de la vesícula biliar mayor de 5 cm. En el diámetro anteroposterior y transversal. -Engrosamiento y nodularidad de la pared de la vesícula biliar. -Cálculos de la vesícula y/o en el conducto cístico. -Borde mal definido de la pared de la vesícula biliar en interfase con el hígado. -Anillo delgado de líquido pericolecístico. -Aumento de la densidad de la bilis. Pielonefritis.- Zonas hipodensas estriadas o cuneiformes en un riñón de volumen normal.
  • 48.
    Pancreatitis: -    Aumentode volumen del páncreas. -    Zonas de hipodensidad (postcontrastre) -    Captación del contraste pancreático en su totalidad. -    Engrosamiento de fascias. -    Derrame pleural. -    Zonas de hiperdensidad hemorrágicas Abscesos.- Zonas redondeadas hipodensas, que tras el contraste presentan aspecto de corona hipervascularizada.
  • 49.
    Procesos inflamatorios.- A nivel de intestino, peritoneo y mesenterio; se observará: edema, engrosamiento de la pared intestinal, distensión por el líquido y fibrosis. Apendicitis.- Se observará edema por inflamación en la zona adyacente al ciego. Colitis.- Engrosamiento de la pared intestinal sin alteraciones en el interior del mesenterio; dilatación del colon, pérdidas de las marcas de las haustras y lesiones segmentarias.
  • 50.
    Diverticulitis.- Seobservará : Hiperdensidad de la grasa pericólica, engrosamiento de la pared y presencia de divertículos. Traumatismo Abdominal Cerrado.- Observaremos: Hemoperitoneo, colecciones en el espacio de Morrison, laceración hepática y/o esplénica. Lesiones traumática del bazo.- - Hematoma  subcapsular: forma de media luna hipodensa a lo largo del borde lateral del bazo, isodenso al inicio, después de 10 día hipodenso. -    Desgarro esplénico.
  • 51.
    Paracentesis Sus principales aplicaciones consisten en: 1. Determinación exacta de la etiología , con especial valoración de la existencia o no de infección. 2. Evacuación de grandes volúmenes ascíticos. Sitio de punción: Cuadrante inferior izquierdo, lateral al recto abdominal, infraumbilical en la línea medio clavicular.
  • 52.
    En el líquidoascítico obtenido, hemos de solicitar: - Cultivo. - Recuento celular. - Test de gestación. - Amilasa. - Bilirrubina. - pH, LDH, triglicéridos y albúmina.
  • 53.
    Lavado Peritoneal DiagnósticoLa principal indicación de un lavado peritoneal es la evaluación del traumatismo abdominal asociado a hipotensión o inconsciencia. Debe ser siempre realizado en la evaluación de un politraumatizado. Evaluación del trauma abdominal penetrante por arma blanca . En el arma de fuego , no es necesario, pues lo indicado en este caso es la laparotomía exploradora inmediata. Evaluación de una posible peritonitis o perforación de víscera hueca en pacientes con alteración del nivel de conciencia.
  • 54.
    INTERPRETACIÓN DE RESULTADOSPOSITIVO Determinaciones en líquido de lavado: Hematíes > 100.000/mL. Si es un trauma penetrante se considera positivo > 10.000/mL. Leucocitos > 5.000/mL. Si es un trauma penetrante se considera positivo > 100/mL. Amilasa > 175 UI/100 mL.
  • 55.
    INTERPRETACIÓN DE RESULTADOSNEGATIVO: Hematíes < 50.000/mL. En caso de trauma penetrante se considera <2.000/mL. Leucocitos < 100/mL. Amilasa < 75 UI/100 mL.
  • 56.
    LAPAROTOMÍA La laparotomía temprana es esencial para un paciente con dolor abdominal que requiere intervención quirúrgica de urgencias , aunque en muchas ocasiones es preferible proceder a un tratamiento preoperatorio de reanimación. En la brevedad posible dado que un retraso excesivo produce un aumento de tiempo de hemorragia, obstrucción o infección. LAPARATOMIA TTO.
  • 57.
    LAPAROTOMÍA Un aspectodestacable es que en ocasiones existen dudas sobre la naturaleza quirúrgica o no del proceso, en estos casos una laparotomía exploradora puede aclarar el diagnóstico y se encuentra totalmente indicada. LAPARATOMIA DX
  • 58.
    TRATAMIENTO DE ABDOMENAGUDO Qx Descompresión del intestino mediante Succión, con el uso de una sonda nasogástrica para aliviar la distensión abdominal y el vómito. La cirugía para tratar la obstrucción puede ser necesaria si la descompresión con la sonda nasogástrica no alivia los síntomas o si se sospecha de muerte tisular.
  • 59.
  • 60.
  • 61.
    MEDIDAS GENERALES 1. Uso racional de ATB de acuerdo al Dx etiológico y al resultado de los cultivos efectuados 2. Asistencia respiratoria , desde el inicio debido a la repercusión pulmonar de estos procesos. Los cambios posturales frecuentes son parte de la fisioterapia respiratoria 3. Colocar una sonda nasogástrica que funcione con efectividad. 4. Administración de líquidos y electrolitos de acuerdo a las pérdidas, cuando el abdomen está distendido la pérdida insensible intraabdominal puede ser mayor.
  • 62.
    5. Cateterismo vesicalpara mejor control de líquidos y evitar paresia de la vejiga 6. El apoyo nutricional es necesario en procesos con falta de ingesta oral prolongada. La sepsis peritoneal cursa con un franco hipercatabolismo que lleva al desarrollo de una desnutrición corporal severa en un periodo corto. 7. Suprimir el factor primario con la cirugía indicada 8. Sólo colocar drenajes en presencia de abscesos intraabdominales y de fístulas.
  • 63.
    GRUPO A. Padecimientosintraabdominales que requieren Cx inmediata   1.Apendicitis aguda complicada(absceso o perforación)  2. Obstrucción intestinal con estrangulación  3. Perforación de víscera hueca: úlcera péptica perforada, perforación diverticular de colon, perforación de íleon terminal, perforación de ciego o sigmoides secundarios a tumor maligno. 4. Colecistitis aguda complicada (piocolecisto, enfisematosa en el diabético) 
  • 64.
    GRUPO A. Padecimientosintraabdominales que requieren cirugía inmediata  5.Aneurisma disecante de aorta abdominal  6. Trombosis mesentérica  7. Ginecológicas: quiste de ovario torcido, embarazo ectópico roto  8. Torsión testicular  9. Pancreatitis aguda grave (necroticohemorrágica) 
  • 65.
    GRUPO B. PadecimientosAbd. que no requieren Cx    1. Enf. acidopéptica no complicada  2. Padecimientos hepáticos: hepatitis aguda, absceso hepático  3. Padecimientos intestinales (gastroenteritis, ileítis terminal, intoxicación alimentaria)  4. Infección de vías urinarias, cólico nefroureteral.
  • 66.
    GRUPO B. Padecimientosabdominales que no requieren cirugía   5. Padecimientos ginecológicos: enfermedad pélvica inflamatoria aguda, dolor por ovulación o dolor intermenstrual  6. Peritonitis primaria espontánea (en cirróticos)  7 Hemorragia intramural del intestino grueso secundaria a anticoagulantes  8. Causas poco frecuentes: fiebre mediterránea, epilepsia abdominal, porfiria, saturnismo, vasculitis
  • 67.
    Criterios de internaciónCategorizar el cuadro de la sgte manera: a. Requiere tratamiento quirúrgico urgente. b. Requiere mayor observación y evaluación en el Hospital. c. No requiere internación y puede ser manejado con consultas externas.
  • 68.
    COMPLICACIONES PRINCIPALES Infección Gangrena del intestino Perforación (orificio) en el intestino peritonitis sepsis, hipovolemia, desequilibrio hidroelectrolítico, malnutrición grave, insuficiencia renal, Alter. cardiovasculares, Insuf. hepática y disfunción orgánica múltiple.
  • 69.
    PREVENCION La prevencióndepende de la causa. El tratamiento de tumores y hernias relacionados con la obstrucción puede reducir el riesgo. Sin embargo, algunas causas de obstrucción intestinal no se pueden prevenir.
  • 70.