Solución de continuidad de un hueso o cartílago generalmente
secundaria a un traumatismo sobre la zona
 Fuerza directa  fuerzas aplicadas en el sitio de fractura
 Fuerza indirecta  transmitidas desde otro lugar del cuerpo
La forma y dirección de la línea de fractura puede ayudar a
dilucidar qué tipo de fuerzas son las que actuaron
Tensión
Compresión
Rotación
Angulación
Tipo de fuerza Tipo de fractura
Tensión Transversal
Rotación Espirales
Compresión Oblícuas
Angulación Transversas
Angulación + Compresión Ala de mariposa
Angulación + Rotación Oblicua de 45°
Placa
epifisiaria
Estructuras
ligamentosas
Trabécula
ósea
1.- Ninguna zona de sospecha de fractura debe tener menos de 2
proyecciones.
2.- En los huesos largos que forman pareja en las extremidades, se deben
incluir ambos.
3.- En fracturas de extremidades a veces es necesario tomar una placa
comparativa del lado normal.
4.- El dolor referido puede equivocar la situación de la fractura.
5.- Proyecciones tangenciales para huesos planos.
6.- Deben incluirse las 2 articulaciones mas proximas a la fractura.
7.- En articulaciones, proyeccion AP, Lateral y Oblicuas.
Acorde
Por traumatismo
brusco en hueso libre
de enfermedad
Simplemente:
fractura
Stress
Stress repetitivo
sobre la zona
Fracturas de
fatiga o marcha
Patológica
Todo proceso que
provoca debilitamiento
del hueso
Carcinomas
metastásicos o
enfermedades del
esqueleto
 Fractura cerrada: no hay comunicación con el exterior
 Fractura abierta: herida comunicante con el exterior
 Fractura incompleta: la solución de continuidad no es
completa
 Fractura conminuta: tiene más de 2 fragmentos
 Ala de mariposa
 Segmentaria
 En “T” o en “Y”
 Fractura por incapacitación: un
fragmento de hueso se introduce en el
fragmento opuesto
 Fractura por avulsión: un fragmento óseo
se inserta en músculo o ligamento y es
arrancado del resto del hueso
Se presentan por golpe directo o por fuerzas de angulación.
La oblicuidad de la línea de fractura.
La línea de fractura rodea a la diáfisis.
De presentación intraarticular y poco frecuentes.
posición del fragmento distal en relación al
fragmento proximal.
 Angulación
 inclinación hacia dentro del fragmento distal.
 inclinación hacia afuera del fragmento distal.
cuando los dos fragmentos contactan perfectamente
se habla de una buena aposición.
 Acabalgamiento: cuando los extremos de la fractura se
sobrepasan el uno al otro.
 Distracción: cuando los fragmentos están separados y existe
hueco entre ambos extremos.
› Tercio proximal
› Tercio medio
› Tercio distal
Diafisarias
Epifisarias
Fractura incompleta + torus
Abombamiento en su longitud
 La las divide a cinco tipos según
la orientación del trayecto de la fractura con respecto a la
fisis y la metáfisis:
Tipo Localización afectada
I Fisis
II Fisis y metáfisis
III Metáfisis y epífisis
IV Fisis, metáfisis y epífisis
V Compresión de la fisis
 Formación del callo
1. Fase inflamatoria.
› Hematoma que se coagula
› A las 18-20 horas la capa más profunda del periostio
comienza a proliferar.
2. Fase reparativa.
› Inicia con reorganización del coágulo
› Osteoblastos rodean cada fragmento, crecen hacia el otro
fragmento, así como del endostio y médula ósea.
› Osteoblastos producen osteiode y se deposita sobre el
hueso adyacente.
3. Fase de remodelación
› El hueso nuevo forma un collar redondeado alrededor de
la fractura
› Remodelación ósea  callo maduro
 Edad
 Grado de traumatismo local
 Vascularización de los fragmentos
 Separación de los fragmentos
 Inmovilización
 Situación intraarticular de la fractura
 Infección
 De la propia fractura:
› Unión retrasada
› Pseudoatrosis
› Mala unión
› Necrosis aséptica
› Acortamiento
› Infección
 De lesión asociada:
› Lesión vascular
› Contractura isquémica de
Volkmann
› Gangrena gaseosa
› Enfermedad
tromboembólica
› Embolia grasa
 Complicaciones tardías:
› Atrofia de Sudeck (osteoporosis traumática dolorosa)
› Miosistis osificante
› Artrosis
› Sinóstosis
 Luxación:
Pérdida completa de la
continuidad entre las superficies
articulares de dos huesos.
 Subluxación:
Pérdida parcial de la
continuidad entre las
superficies articulares.

Fracturas capt. 41

  • 2.
    Solución de continuidadde un hueso o cartílago generalmente secundaria a un traumatismo sobre la zona  Fuerza directa  fuerzas aplicadas en el sitio de fractura  Fuerza indirecta  transmitidas desde otro lugar del cuerpo La forma y dirección de la línea de fractura puede ayudar a dilucidar qué tipo de fuerzas son las que actuaron Tensión Compresión Rotación Angulación
  • 3.
    Tipo de fuerzaTipo de fractura Tensión Transversal Rotación Espirales Compresión Oblícuas Angulación Transversas Angulación + Compresión Ala de mariposa Angulación + Rotación Oblicua de 45°
  • 4.
  • 6.
    1.- Ninguna zonade sospecha de fractura debe tener menos de 2 proyecciones. 2.- En los huesos largos que forman pareja en las extremidades, se deben incluir ambos. 3.- En fracturas de extremidades a veces es necesario tomar una placa comparativa del lado normal. 4.- El dolor referido puede equivocar la situación de la fractura. 5.- Proyecciones tangenciales para huesos planos. 6.- Deben incluirse las 2 articulaciones mas proximas a la fractura. 7.- En articulaciones, proyeccion AP, Lateral y Oblicuas.
  • 7.
    Acorde Por traumatismo brusco enhueso libre de enfermedad Simplemente: fractura Stress Stress repetitivo sobre la zona Fracturas de fatiga o marcha Patológica Todo proceso que provoca debilitamiento del hueso Carcinomas metastásicos o enfermedades del esqueleto
  • 10.
     Fractura cerrada:no hay comunicación con el exterior  Fractura abierta: herida comunicante con el exterior
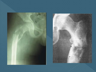
  • 11.
     Fractura incompleta:la solución de continuidad no es completa  Fractura conminuta: tiene más de 2 fragmentos  Ala de mariposa  Segmentaria  En “T” o en “Y”
  • 12.
     Fractura porincapacitación: un fragmento de hueso se introduce en el fragmento opuesto  Fractura por avulsión: un fragmento óseo se inserta en músculo o ligamento y es arrancado del resto del hueso
  • 13.
    Se presentan porgolpe directo o por fuerzas de angulación. La oblicuidad de la línea de fractura. La línea de fractura rodea a la diáfisis. De presentación intraarticular y poco frecuentes.
  • 14.
    posición del fragmentodistal en relación al fragmento proximal.  Angulación  inclinación hacia dentro del fragmento distal.  inclinación hacia afuera del fragmento distal.
  • 15.
    cuando los dosfragmentos contactan perfectamente se habla de una buena aposición.  Acabalgamiento: cuando los extremos de la fractura se sobrepasan el uno al otro.  Distracción: cuando los fragmentos están separados y existe hueco entre ambos extremos.
  • 16.
    › Tercio proximal ›Tercio medio › Tercio distal Diafisarias Epifisarias
  • 18.
    Fractura incompleta +torus Abombamiento en su longitud
  • 19.
     La lasdivide a cinco tipos según la orientación del trayecto de la fractura con respecto a la fisis y la metáfisis: Tipo Localización afectada I Fisis II Fisis y metáfisis III Metáfisis y epífisis IV Fisis, metáfisis y epífisis V Compresión de la fisis
  • 20.
     Formación delcallo 1. Fase inflamatoria. › Hematoma que se coagula › A las 18-20 horas la capa más profunda del periostio comienza a proliferar. 2. Fase reparativa. › Inicia con reorganización del coágulo › Osteoblastos rodean cada fragmento, crecen hacia el otro fragmento, así como del endostio y médula ósea. › Osteoblastos producen osteiode y se deposita sobre el hueso adyacente.
  • 21.
    3. Fase deremodelación › El hueso nuevo forma un collar redondeado alrededor de la fractura › Remodelación ósea  callo maduro
  • 22.
     Edad  Gradode traumatismo local  Vascularización de los fragmentos  Separación de los fragmentos  Inmovilización  Situación intraarticular de la fractura  Infección
  • 23.
     De lapropia fractura: › Unión retrasada › Pseudoatrosis › Mala unión › Necrosis aséptica › Acortamiento › Infección  De lesión asociada: › Lesión vascular › Contractura isquémica de Volkmann › Gangrena gaseosa › Enfermedad tromboembólica › Embolia grasa
  • 24.
     Complicaciones tardías: ›Atrofia de Sudeck (osteoporosis traumática dolorosa) › Miosistis osificante › Artrosis › Sinóstosis
  • 25.
     Luxación: Pérdida completade la continuidad entre las superficies articulares de dos huesos.  Subluxación: Pérdida parcial de la continuidad entre las superficies articulares.

Notas del editor

  • #3 Hay que tener en cuenta ¿qué es una fractura?....el área de inicio de una linea de fractura está determinado por la distribución de fuerzas hacia el propio hueso. Pueden dividirse en : tensión, compresión, rotación, angulación.
  • #4 Ala de mariposa: esta combinación genera una fractura de 2 componentes, uno transversal y otro oblicuo de 45° pudiendo aparecer un 3er fragmento de forma triangular denominado “ala de mariposa”
  • #5 Dependiendo de la edad del paciente varía el sitio de máxima debilidad, el llamado “eslabón débil” Niños  fracturas epifisiarias Jóvenes atléticos  las placas están cerradas, por lo que generan esguinces Ancianos  presentan huesos osteoporóticos
  • #7 Reglas fundamentales…. #3  sobretodo en niños #4  importante en cadera y rodilla
  • #8 De acuerdo con su etiología se dividen en 3 grupos:…. Stress  hay historia de traumas pequeños y repetitivos previos al comienzo del dolor local --------- las radiografías muestran una línea fina radiotransparente transversa sin desplazamiento
  • #9 Displasia fibrosa ósea y por osteomielitis crónica
  • #11 La mayoría son de tipo cerrada…. Fx abierta de fémur ---------------------- Fx cerrada con desplazamiento de cúbito y radio
  • #12 incompleta alas de mariposa: fragmento con forma triangular desprendido de los 2 grandes fragmentos Segmentaria: segmento aislado de la diáfisis con una linea de fx proximal y otra distal “T” o “Y”: en los extremos de huesos largos que generan 3 fragmentos
  • #13 Fx por avulsión del 5to metatarsiano
  • #14 Transversas: raras en la diáfisis Oblicuas: linea de fractura con oblicuidad de 450 con respecto al eje longitudinal del hueso Espiral: más larga que las oblicuas Vertical: sucede por fuerzas de compresión de un hueso impactado sobre otro Fractura transversa-espiroidea-vertical
  • #15 Hay que tener en cuenta el término “alineamiento” el cual se describe como….. …en las fracturas que no existe desviación se dice que tienen buen “alineamiento”; pero si existe desviación hablamos de….y puede ser…
  • #16 A: Aposición. Los fragmentos no están perfectamente apuestos. B: Distracción. Los fragmentos están separados entre sí por tejidos blandos. C: Acabalgamiento. No existe aposición entre los fragmentos con acortamiento de la extremidad. D: Buen alineamiento. El eje longitudinal del fragmento proximal coincide en su dirección con el eje longitudinal del fragmento distal. E: Angulación. Los ejes longitudinales de los fragmentos proximal y distal no coinciden, presentando una angulación de 20 grados
  • #17 Para fines prácticos los huesos largos se divide en….es importante mencionar la fractura intrarticular, epifisarias o diafisarias El esqueleto de los niños es menos frágil que el de los adultos y presenta diferencias con respecto a ellos, lo condiciona algunos tipos de fracturas que no se dan en los adultos….
  • #18 Tallo verde: por fuerzas de angulación Torus: por fuerzas de compresión
  • #19 Tubo: combinación de fractura incompleta con torus fractura en radio y cúbito Curvamiento: por fuerzas de angulación y compresivas creando deformidad del hueso Fractura diafisaria del radio con angulación medial asociada a incurvación plástica del cúbito
  • #20 EL 80% se da entre los 10 y 16 años, siendo la localización más frecuente la extremidad distal del radio Fisis = cartilago de crecimiento 1: línea de fractura transversal a la placa fisiaria 2: linea transversal a la fisis con desprendimiento de un fragmento metafisiario 3: lesiones intraarticulares epifisarias extendidas a la fisis 4: lesiones intraarticulares que cruzan el cartilago de crecimiento y se extienden por metáfisis 5: fracturas por compresión del cartilago de crecimiento
  • #21 1: con la formación de osteoblastos e hiperemia en el hueso afectado 2: en la parte central de la fractura se ha formado tejido de granulación y formación de condroblastos.....a medida que avanza la fase el cartílago se transforma en hueso  callo primario
  • #22 3: el collar se va alargando siguiendo las líneas de stress
  • #23 1: entre mas joven se curan más rápido 2: a mayor conminución del hueso y tejido blando, necesitará mas tiempo de curación 3: a mayor vascularización mas rápido soldará la fractura 4: retrasa formación de callo 5: el movimiento lesiona los tejidos de la reparación 6: las fibrolisinas del liq. Intraarticular dificultan la formacion del coágulo 7: retrasa o imposibilita la curación
  • #24 Unión: persistencia de la linea de fractura o ausencia de callo Pseudo.: no hay union entre los fragmentos y se rellena con tejido fibroso Mala: la aposición de fragmentos queda imperfecta Necrosis: la irrigacion al hueso está interrumpida Acorta.: por pérdida de hueso, arma de fuego o alteración a la fisis Infeccion: retraso de consolidacion Lesion: por proximidad de arteria y hueso Gangrena: infeccion bacteriana por clostridium en el músculo Enf. Trombo.: embolismo pulmonar es frecuente Embolia: por liberacion de grasa al torrente sanguineo
  • #25 Atrofia: osteoporosis marcada, dolor, edema de tejidos blandos, rigidez articular Miositis: hematoma no reabsorbido y osificado, generalmente después de fractura o luxación Artrosis: cambios en el cartilago articular Sinóstosis: fusión entre 2 huesos que conduce a limitacion de movimientos Sinostosis radio-cubital proximal en pronación y supinación (Rx lateral)
  • #26 Diástasis.-Es el desplazamiento y separación en una articulación del tipo de las sinartrosis y anfiartrosis Luxación acromio-clavicular Subluxación carpometacarpiana del pulgar