Malaria Dr. Jaime A. Silva Díaz Pediatra HNGAI – EsSalud Mayo 2009
Contenido Introducción. Definición. Etiología. Ciclo Biológico. Epidemiología. Cuadro Clínico. Diagnóstico. Tratamiento. Medidas preventivas.
Introducción Historia. Reconocida desde hace más de 4000 a. HIPÓCRATES. Fiebre de “aguas negras”. Siglo XVII: corteza de la quina. 1880 primeras descripciones del parásito. 1897 se describe al vector. Afecta a más de 100 países. 40% de la población mundial vive en zona de riesgo. OMS: Cada año ocurren 350 – 500 millones de casos en el mundo y casi un millón de muertes se producen, principalmente niños del África.
Malaria ó Paludismo Definición: Infección parasitaria causada por especies del Género  Plasmodium  y transmitida por las hembras de mosquitos del Género  Anopheles. Existe transmisión no vectorial del parásito: transplacentaria, transfusional.
Agentes etiológicos Esporozoarios del orden Eucoccidiida, familia Plasmodiidae, género  Plasmodium. Plasmodium vivax. Plasmodium falciparum. Plasmodium malarie. Plasmodium ovale. Vector: mosquito  Anopheles  hembra
Vector: Mosquito Anopheles. Sólo las hembras son hematófagas. Pequeños: 8 – 10 mm. Postura típica en reposo. Atraido por el color oscuro, la humedad y el calor. La mayoría pican al anochecer.
Transmisión Precisa temperaturas superiores a 15 grados C durante 30 días al año. Menor riesgo por encima de los 1500 msnm y muy rara transmisión por encima de 2700 m. Menor transmisión en la ciudad que en el campo. Máximo riesgo al final de la época de lluvia.
Ciclo Biológico
 
 
 
Epidemiología: Perú
Epidemiología: Perú
Periodo de Incubación P. falciparum:  12 días  (8 – 30) P. vivax:  15 días  (8 – 30) P. ovale:  15 días  (9 – 17) P. malarie:  30 días  (18 – 40) Coincide con la fase pre-eritrocítica.
Cuadro Clínico Pródromos inespecíficos: cuadro gripal (llegada de parásitos a la sangre). Paroxismos febriles: Etapa de escalofrios (1/2 a 1 hora) Etapa de calor: (2 A 7 horas). Etapa de sudor: (2 a 4 horas). Fase apirética: varias horas, hasta el nuevo acceso febril, dependiendo de la especie. Crisis de ataque palúdico coincide con ruptura de esquizonte: Terciana y cuartana.
Clínica “ Todo cuadro febril en un niño procedente de una zona endémica, es malaria mientras no se demuestre lo contrario”.
Cuadro Clínico No hay síntomas característicos:  Fiebre , vómitos, diarrea, dolor abdominal, tos, etc. Exploración física: Palidez, hepatomegalia,  esplenomegalia . Anemia  y trombocitopenia. Bioquímica normal (PCR y DHL elevadas).
Malaria Grave Patogenesis: Habilidad del parásito de obstruir la microcirculación mediante procesos de  citoadherencia. Producida generalmente por P. falciparum, el cuadro clínico se asocia a obnubilación, estupor, debilidad extrema, convulsiones, vomito, ictericia y diarrea. Su manejo requiere hospitalización.
Caso de malaria grave Todo caso confirmado de malaria que presenta uno o mas de los siguientes signos de alarma: Deterioro del estado de conciencia. Anemia severa. Parasitemia elevada. Signos de insuficiencia aislada o asociada de: Renal: oliguria, anuria. Cardiovascular: sangrado, petequias. Hepática: ictericia. Pulmonar: Dificultad respiratoria.
Malaria por P. falciparum. Forma mas grave. Alta parasitemia. Con más frecuencia se asocia con complicaciones graves. Alta mortalidad sin diagnóstico rápido (no inmunes) Aparición de resistencias al tratamiento.
Complicaciones Malaria cerebral. Anemia severa. Hipoglicemia. Insuficiencia respiratoria y acidosis metabólica.  Insuficiencia renal por necrosis tubular aguda. Shock (multifactorial). CID. Ruptura esplénica.
Malaria cerebral Alta mortalidad (no inmunes). Fiebre alta (41-42 grados) Signos de HTE: Cefalea intensa, vómitos. Convulsiones. Obnubilación, coma. Alteraciones en el LCR inespecíficas: Aumento de la presión y de las proteinas con celularidad normal).
Anemia Severa Siempre hay cierto grado de anemia. Es la complicación más frecuente en niños, con una mortalidad del 6 al 18%. Se define cuando la Hb es menor de 5 gr% o el hematocrito menor de 15. Es normocítica y normocrómica. Es multifactorial (hemólisis, secuestro y aplasia medular). Tratamiento: Transfusiones.
Criterios de mal pronóstico Edad menor de 5 años. Hipotermia o hipertermia sostenida. Shock, hemorragias. Coma  y Convulsiones repetidas. Dificultad respiratoria. Altas parasitemias. Leucocitosis.  Insuficiencia hepática. Anemia severa. Acidosis metabólica.
 
Malaria Congénita. En áreas endémicas es causa importante de: Abortos espontáneos. Muerte neonatal, partos prematuros. En madres no inmunes. Suele ser por P. falciparum ó P. vivax. Síntomas en 14 h. o a los 10 – 30 días: Fiebre, irritabilidad, somnolencia, rechazo de succión, vómitos y diarreas. Palidez, ictericia. Hepatoesplenomegalia.
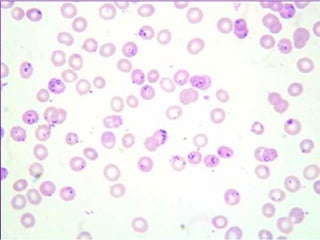
Diagnóstico De sospecha: Clínico – Epidemiológico. De confirmación: Laboratorio: Gota Gruesa . Extensión de sangre periférica. Test rápidos (ICT, Optimal) PCR
 
 
 
Test Diagnósticos rápidos Detectan antígenos plasmodium en sangre: Test ICT Test Optimal Sensibilidad y especificidad: entre 80 y 95% No detectan el grado de parasitemia. Falsos negativos: (parasitemias bajas) Falsos positivos: (Tras tratamiento)
PCR - Malaria Detección genómica del parásito en sangre. Gran sensibilidad y especificidad. Detecta parasitemias muy bajas. Parasitemias mixtas. Sirve para las 4 especies. Problemas: Necesita mayor tiempo: hasta 48 h. Personal y equipo especializado. Coste elevado.
Tratamiento
Tratamiento
Tratamiento
Tratamiento
Tratamiento: Malaria Grave Hospitalizado y vía endovenosa. Derivados de arthemisina: Artesunato. 1ra dosis: 2.4 mg/kg al ingreso. 2da dosis: 2.4 mg/kg a las 12 horas. 3ra dosis: 2.4 mg/kg a las 24 h de la 2da. De recuperar la tolerancia oral pasar a Artesunato VO 4mg/kg hasta completar los tres días de tratamiento incluyendo la administración parenteral. 2da opción: Quinina y Clindamicina.
Quimioprofilaxis Cloroquina. En áreas de Plasmodio sensible. 5 mg/kg (a partir del 4to mes de vida), dosis semanal 1 a 2 sem. Antes del viaje, durante y hasta 4 sem después. Mefloquina. 5mg/kg en dosis semanal, 1 semana antes y hasta 4 semanas después del viaje. Atovaquone-Proguanil. Dosis diaria desde 1 día antes hasta 7 días después. Niños 11 – 40 kg: A: 62.5 mg P: 25 mg (1 comp. Ped) Adultos: A: 250mg P: 100mg (1 comp. Adulto)
Protección del mosquito Pautas generales: evitar zonas rurales, no salir por la tarde/noche. Uso de ropa adecuada: manga larga Telas mosquiteras (poros de 1,2 – 1,8 mm) que pueden impregnarse con insecticidas residuales). Repelentes Insecticidas de acción residual.
Vacuna frente a malaria Vacuna preeritrocítica con ag de P. falciparum. En fase de ensayo clínico. Población de 2022 niños de Mozambique con edades de 1 a 4 años. Recibieron 3 dosis de vacuna. Seguimiento 6 meses. Eficacia: 30 a 60% (según grupo de edad, mejores resultados en menores de 2 años) Lancet 2004: 364: 1411-20
Comunidades Nativas
Comunidad Ashuar
Comunidades nativas
Gracias GRACIAS

Malaria Mayo2009

  • 1.
    Malaria Dr. JaimeA. Silva Díaz Pediatra HNGAI – EsSalud Mayo 2009
  • 2.
    Contenido Introducción. Definición.Etiología. Ciclo Biológico. Epidemiología. Cuadro Clínico. Diagnóstico. Tratamiento. Medidas preventivas.
  • 3.
    Introducción Historia. Reconocidadesde hace más de 4000 a. HIPÓCRATES. Fiebre de “aguas negras”. Siglo XVII: corteza de la quina. 1880 primeras descripciones del parásito. 1897 se describe al vector. Afecta a más de 100 países. 40% de la población mundial vive en zona de riesgo. OMS: Cada año ocurren 350 – 500 millones de casos en el mundo y casi un millón de muertes se producen, principalmente niños del África.
  • 4.
    Malaria ó PaludismoDefinición: Infección parasitaria causada por especies del Género Plasmodium y transmitida por las hembras de mosquitos del Género Anopheles. Existe transmisión no vectorial del parásito: transplacentaria, transfusional.
  • 5.
    Agentes etiológicos Esporozoariosdel orden Eucoccidiida, familia Plasmodiidae, género Plasmodium. Plasmodium vivax. Plasmodium falciparum. Plasmodium malarie. Plasmodium ovale. Vector: mosquito Anopheles hembra
  • 6.
    Vector: Mosquito Anopheles.Sólo las hembras son hematófagas. Pequeños: 8 – 10 mm. Postura típica en reposo. Atraido por el color oscuro, la humedad y el calor. La mayoría pican al anochecer.
  • 7.
    Transmisión Precisa temperaturassuperiores a 15 grados C durante 30 días al año. Menor riesgo por encima de los 1500 msnm y muy rara transmisión por encima de 2700 m. Menor transmisión en la ciudad que en el campo. Máximo riesgo al final de la época de lluvia.
  • 8.
  • 9.
  • 10.
  • 11.
  • 12.
  • 13.
  • 14.
    Periodo de IncubaciónP. falciparum: 12 días (8 – 30) P. vivax: 15 días (8 – 30) P. ovale: 15 días (9 – 17) P. malarie: 30 días (18 – 40) Coincide con la fase pre-eritrocítica.
  • 15.
    Cuadro Clínico Pródromosinespecíficos: cuadro gripal (llegada de parásitos a la sangre). Paroxismos febriles: Etapa de escalofrios (1/2 a 1 hora) Etapa de calor: (2 A 7 horas). Etapa de sudor: (2 a 4 horas). Fase apirética: varias horas, hasta el nuevo acceso febril, dependiendo de la especie. Crisis de ataque palúdico coincide con ruptura de esquizonte: Terciana y cuartana.
  • 16.
    Clínica “ Todocuadro febril en un niño procedente de una zona endémica, es malaria mientras no se demuestre lo contrario”.
  • 17.
    Cuadro Clínico Nohay síntomas característicos: Fiebre , vómitos, diarrea, dolor abdominal, tos, etc. Exploración física: Palidez, hepatomegalia, esplenomegalia . Anemia y trombocitopenia. Bioquímica normal (PCR y DHL elevadas).
  • 18.
    Malaria Grave Patogenesis:Habilidad del parásito de obstruir la microcirculación mediante procesos de citoadherencia. Producida generalmente por P. falciparum, el cuadro clínico se asocia a obnubilación, estupor, debilidad extrema, convulsiones, vomito, ictericia y diarrea. Su manejo requiere hospitalización.
  • 19.
    Caso de malariagrave Todo caso confirmado de malaria que presenta uno o mas de los siguientes signos de alarma: Deterioro del estado de conciencia. Anemia severa. Parasitemia elevada. Signos de insuficiencia aislada o asociada de: Renal: oliguria, anuria. Cardiovascular: sangrado, petequias. Hepática: ictericia. Pulmonar: Dificultad respiratoria.
  • 20.
    Malaria por P.falciparum. Forma mas grave. Alta parasitemia. Con más frecuencia se asocia con complicaciones graves. Alta mortalidad sin diagnóstico rápido (no inmunes) Aparición de resistencias al tratamiento.
  • 21.
    Complicaciones Malaria cerebral.Anemia severa. Hipoglicemia. Insuficiencia respiratoria y acidosis metabólica. Insuficiencia renal por necrosis tubular aguda. Shock (multifactorial). CID. Ruptura esplénica.
  • 22.
    Malaria cerebral Altamortalidad (no inmunes). Fiebre alta (41-42 grados) Signos de HTE: Cefalea intensa, vómitos. Convulsiones. Obnubilación, coma. Alteraciones en el LCR inespecíficas: Aumento de la presión y de las proteinas con celularidad normal).
  • 23.
    Anemia Severa Siemprehay cierto grado de anemia. Es la complicación más frecuente en niños, con una mortalidad del 6 al 18%. Se define cuando la Hb es menor de 5 gr% o el hematocrito menor de 15. Es normocítica y normocrómica. Es multifactorial (hemólisis, secuestro y aplasia medular). Tratamiento: Transfusiones.
  • 24.
    Criterios de malpronóstico Edad menor de 5 años. Hipotermia o hipertermia sostenida. Shock, hemorragias. Coma y Convulsiones repetidas. Dificultad respiratoria. Altas parasitemias. Leucocitosis. Insuficiencia hepática. Anemia severa. Acidosis metabólica.
  • 25.
  • 26.
    Malaria Congénita. Enáreas endémicas es causa importante de: Abortos espontáneos. Muerte neonatal, partos prematuros. En madres no inmunes. Suele ser por P. falciparum ó P. vivax. Síntomas en 14 h. o a los 10 – 30 días: Fiebre, irritabilidad, somnolencia, rechazo de succión, vómitos y diarreas. Palidez, ictericia. Hepatoesplenomegalia.
  • 27.
    Diagnóstico De sospecha:Clínico – Epidemiológico. De confirmación: Laboratorio: Gota Gruesa . Extensión de sangre periférica. Test rápidos (ICT, Optimal) PCR
  • 28.
  • 29.
  • 30.
  • 31.
    Test Diagnósticos rápidosDetectan antígenos plasmodium en sangre: Test ICT Test Optimal Sensibilidad y especificidad: entre 80 y 95% No detectan el grado de parasitemia. Falsos negativos: (parasitemias bajas) Falsos positivos: (Tras tratamiento)
  • 32.
    PCR - MalariaDetección genómica del parásito en sangre. Gran sensibilidad y especificidad. Detecta parasitemias muy bajas. Parasitemias mixtas. Sirve para las 4 especies. Problemas: Necesita mayor tiempo: hasta 48 h. Personal y equipo especializado. Coste elevado.
  • 33.
  • 34.
  • 35.
  • 36.
  • 37.
    Tratamiento: Malaria GraveHospitalizado y vía endovenosa. Derivados de arthemisina: Artesunato. 1ra dosis: 2.4 mg/kg al ingreso. 2da dosis: 2.4 mg/kg a las 12 horas. 3ra dosis: 2.4 mg/kg a las 24 h de la 2da. De recuperar la tolerancia oral pasar a Artesunato VO 4mg/kg hasta completar los tres días de tratamiento incluyendo la administración parenteral. 2da opción: Quinina y Clindamicina.
  • 38.
    Quimioprofilaxis Cloroquina. Enáreas de Plasmodio sensible. 5 mg/kg (a partir del 4to mes de vida), dosis semanal 1 a 2 sem. Antes del viaje, durante y hasta 4 sem después. Mefloquina. 5mg/kg en dosis semanal, 1 semana antes y hasta 4 semanas después del viaje. Atovaquone-Proguanil. Dosis diaria desde 1 día antes hasta 7 días después. Niños 11 – 40 kg: A: 62.5 mg P: 25 mg (1 comp. Ped) Adultos: A: 250mg P: 100mg (1 comp. Adulto)
  • 39.
    Protección del mosquitoPautas generales: evitar zonas rurales, no salir por la tarde/noche. Uso de ropa adecuada: manga larga Telas mosquiteras (poros de 1,2 – 1,8 mm) que pueden impregnarse con insecticidas residuales). Repelentes Insecticidas de acción residual.
  • 40.
    Vacuna frente amalaria Vacuna preeritrocítica con ag de P. falciparum. En fase de ensayo clínico. Población de 2022 niños de Mozambique con edades de 1 a 4 años. Recibieron 3 dosis de vacuna. Seguimiento 6 meses. Eficacia: 30 a 60% (según grupo de edad, mejores resultados en menores de 2 años) Lancet 2004: 364: 1411-20
  • 41.
  • 42.
  • 43.
  • 44.

Notas del editor