MICOSIS FUNGOIDE
Med. Alexander Chávez Huamaní
R2 MEDICINA ONCOLÓGICA
Los linfomas cutáneos primarios
• Los LCP representan el 3,9% de todos los
linfomas no Hodgkin.
• La mayoría (75%) son linfomas de células
T y solo un 20-25% se originan a partir de
los linfocitos B.(1)
• 1. Song SX, Willemze R, Swerdlow SH, Kinney MC, Said JW.Mycosis fungoides: Report of the 2013
Society for Hematopathology/European Association for Haematopathology workshop.Am J Clin
Pathol. 013;139:466---90.2.
La micosis fungoide
• Es un tipo de LNH de linfocitos T Helper CD4+.
• Tienen la presencia de un núcleo hipercromático
de forma irregular, y se les conoce como “células
cerebriformes” que infiltran la dermis y la
epidermis (epidermotrofismo) (2).
• Fue escrita por primera vez en 1806 por el
dermatólogo francés Jean Louis Alibert.
• 2. Willemze R, Jaffe ES, Burg G, et al. WHOEORTC, classification for cutaneous lymphomas. Blood. 2005; 105 (10)
:3768-3785.
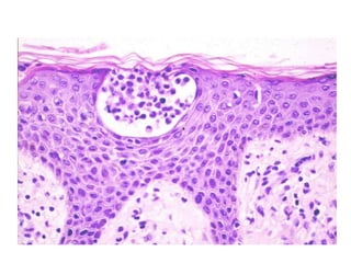
Histopatología de la micosis fungoide: infiltrado en banda subepidérmica
con epidermotropismo.
• Comprometen inicialmente la piel y en fases
avanzadas de la evolución de la enfermedad,
puede extenderse a ganglios linfáticos, médula
ósea, linfocitos sanguíneos y diversos órganos
internos (3).
• (3) Moreno-Ramírez D, Herrera A, Camacho F. Diagnóstico y tratamiento de los linfomas cutáneos
primarios de células T. Med Cutan Iber Lat Am 2003; 31:75-100.
Epidemiología
• Tiene una incidencia baja de (0.3 casos por 100.000
habitantes por año), siendo mayor en los hombres
que en las mujeres (2:1) (4) y se encuentra
principalmente en personas entre la quinta y la
sexta década de la vida (aproximadamente el 75%
de los casos se inician después de los 50 años)(4).
• Se menciona asimismo que hay mayor cantidad de
casos en personas de raza negra (5).
• 4. Russell-Jones R. Whorld Health Organization classification of hematopoietic and
lymphoid tissues: implications for dermatology. J Am Acad Dermatol 2003;48:93-102.
• 5. Willemze R, Meijer C. EORTC Classification for Primary Cutaneous Lymphoma. The
best guide to good clinical management. Am J Dermatopathol 1999;21:265-73.
Etiopatogenia
• Se han propuesto varias teorías
etiopatogénicas, pero los mecanismos
moleculares son inciertos: estimulación
antigénica crónica, modificación de las vías
de apoptosis, infección por un (retro)virus
linfótropo, estimulación linfocítica por
secreción crónica de citocinas.(6)
• (6) Whittemore AS, Holly EA, Lee IM et al. Mycosis fungoides in relation to environmental exposures
and immune response: A case-control study. J Natl Cancer Inst 1989; 81:1560-1567.
CUADRO CLÍNICO
• El prurito, aunque no siempre presente, suele
ser el primer síntoma. Puede aparecer de
forma aislada, al comienzo de la enfermedad o
más tarde. Generalmente, persiste durante
toda la evolución.(7)
• Las lesiones cutáneas evolucionan en tres
fases.(7)
• (7) Curiel C. Linfomas cutáneos. En: Dermatología práctica. Iberolatinoamericana. Ed. Vicente
Torres Lozada-Nieto Editores. México, D.F. 2006: 1500-1531.
Estadio “premicósica” o eritematosa.
• Las lesiones cutáneas son muy variadas. El tipo
más común es el de placas de tamaño variable y
formas generalmente redondeadas u ovales,
eritematosas o eritemato escamosas, a veces
con cierto tinte parduzco, poco o nada
infiltradas al tacto, estables y de límites bien
definidos o difusos e imprecisos. (7)
• (7) Smoller, B. (2003). “Histopathology and genetics of cutaneous T- cell lymphoma”. Hematology
/ Oncology Clinics of North America. 17:1277-1311
• Se localizan con preferencia en tronco y raíz de
miembros. En algunos casos las lesiones
adoptan otras formas menos frecuentes como
manchas con aspecto roseoliforme, placas
psoriasiformes o erupciones papulosas e
incluso vesiculosas, con aspecto de eccema,
que hacen de la micosis fungoide sea un gran
simulador.
• Un signo de ayuda diagnóstica es la
persistencia de islotes reservados de piel sana
en el centro de las placas. Todas estas lesiones
tan diversas tienen en común el prurito
intenso, que va provocando secundariamente
excoriaciones, eccematización o infecciones
secundarias.
• Esta primera fase puede durar varios años, e
incluso décadas, aunque generalmente con el
tiempo los elementos se vuelven más
numerosos, se extienden y confluyen unos
con otros. La duración media desde el inicio
de los síntomas hasta el diagnóstico es de
unos 6 años
Estadio de placas infiltradas.
• Esta segunda fase se instaura de forma paulatina con
la aparición, sobre lesiones previas o en piel sana, de
placas infiltradas. La infiltración aparece a menudo
sobre el borde de ciertas placas, que incluso pueden
llegar a formar figuras anulares o serpinginosas, con
centro rosado, deprimido, finamente escamoso y
borde sobreelevado de color rojo vivo. En otros casos
la infiltración es más homogénea, apreciándose una
placa bien circunscrita. (8)
• 8. Rodríguez, M. (2004). “Micosis Fungoide: comunicación de un caso”. Revista del
Centro Dermatológico Pascua. 13 (2) 95-98.
Placas eritematoinfiltradas en región glútea, localización frecuentemente
afectada.
Estadio tumoral.
• El tercer estadio se caracteriza por la aparición de
neoformaciones en la piel sana, sobre lesiones no
infiltradas o sobre placas infiltradas. Los tumores
suelen tener una base ancha, son redondeados o
hemiesféricos y su tamaño puede variar. Estas
lesiones pueden ulcerarse posteriormente y
desarrollarse en cualquier parte, pero se localizan
fundamentalmente en la cara, axilas, cuello e
ingles.(9)
(9) Girardi et al. (2004)”The Pathogenesis of Mycosis Fungoides”. New England Journal of
Medicine 350:1978-1988.
Tumoración con ulceración en cara lateral de
tronco.
•Variantes de la
micosis fungoide
Micosis fungoide anexótropa
• La micosis fungoide foliculótropa es la variante de
la micosis fungoide que se describe con mayor
frecuencia. Desde el punto de vista clínico, se
pueden observar: pápulas foliculares
eritematosas a veces confluyentes, depilación,
alopecia, comedones, quistes o placas
acneiformes y placas espinulósicas. En la
histología, el infiltrado linfocítico, situado
alrededor de los folículos pilosebáceos, lo infiltra
y lo destruye.(10)
• (10) Vergier B, Beylot-Barry M, Beylot C, DeMascarel A, Delaunay M, De Muret A,
et al. Pilotropic cutaneous T-cell lymphoma without mucinosis. A variant of
mycosis fungoides? French Study Group of Cutaneous Lymphomas. Arch Dermatol
1996;132:683-7.
• El infiltrado está constituido por linfocitos
atípicos de tamaño pequeño o mediano CD3+,
CD4+, CD8−. A veces, se asocia una
degeneración mucinosa de los folículos, que la
tinción con azul alcián evidencia. El
epidermotropismo es inconstante. Su
pronóstico en los estadios incipientes parece
peor que en las formas de micosis fungoide
clásicas.
• En caso de afectación de las glándulas
sudoríparas ecrinas, se habla de micosis
fungoide siringótropa que, clínicamente, se
manifiesta en forma de pápulas poco específica
o por placas anhidrósicas.
Linfoma pagetoide
• El antiguo término de «reticulosis pagetoide de Woringer-Kolopp»
debe abandonarse. Esta forma clínica particular se caracteriza por
una lesión única, a menudo en un miembro, en forma de placa
eritematoescamosa más o menos infiltrada, a veces
hiperqueratósica o verrugosa, bien delimitada, formada por un
infiltrado linfocítico muy atípico y puramente intraepidérmico.
• La dermis superficial es la sede de un infiltrado reactivo sin células
atípicas. El fenotipo es CD3+, CD4+, CD8–o CD3+ CD4–, CD8+. A
menudo, se expresa CD30.
• La evolución es muy lenta y el pronóstico, excelente. El tratamiento
es local: radioterapia, quimioterapia local o dermocorticoides.(11)
• (11) Steffen C. Ketron-Goodman disease, Woringer-Kolopp disease, and pagetoid reticulosis.
Am J Dermatopathol 2005;27:68–85.
Linfoma pagetoide: placa de contorno arciforme.
Granulomatous slack skin o
linfoma chalazodérmico
• Es una variante muy rara del linfoma T epidermótropo que
desde el punto de vista clínico se caracteriza por placas
infiltradas localizadas en los grandes pliegues que tienen un
aspecto rojo violáceo «flácido», arrugado y sin elasticidad.
• La biopsia muestra un infiltrado dermohipodérmico
constituido por linfocitos pequeños atípicos asociados a
histiocitos y células gigantes, así como una elastólisis. La
evolución es indolente en la mayoría de los casos, pero se
han descrito asociaciones con la enfermedad de Hodgkin o
con una micosis fungoide «clásica».(12)
• [12] Kempf W, Ostrheeren-Michaelis S, Paulli M, Lucioni M, Wechsler J, Audring H, et al.
Granulomatous mycosis fun- goides and granulomatous slack skin. A multicentre study
• of the cutaneous lymphoma histopathology Task force group of the European organization
for research and treatment of cancer (EORTC). Arch Dermatol 2008;144:1609–17.
Chalazodermia granulomatosa.
Síndrome de Sézary (SS)
• Es una variable de la micosis fungoide, donde los linfocitos
neoplásicos no se encuentran únicamente en la piel, sino
que además se observan en sangre y otros sitios.
• La triada clásica se caracteriza por la presencia de
eritrodermia, adenopatías y células Sézary circulantes mayor
a un quince por ciento.
• Las células de Sézary se definen como linfocitos atípicos con
núcleo irregular de aspecto cerebriforme. Desde el punto de
vista histológico, no hay epidermotropismo. En la mayoría
de los casos existe un ligero a moderado infiltrado de
linfocitos en la dermis papilar, mezclada con bandas de
fibras colágenas (13)
• (13) Olsen E, Vonderheid E, Pimpinelli N, Willemze R, Kim Y, Knobler R, et al. Revisions to the staging and
classification of mycosisfungoides and Sezary syndrome: a proposal of the International Society of Cutaneous
Lymphomas (ISCL) and the cutaneous lymphoma task force of the European Organization of Research and
Treatment of Cancer (EORTC). Blood 2007;110:1713–22.
• El síndrome de Sézary
fue descrito en 1938
por Albert Sézary y
asociaba una
eritrodermia,
adenopatías
superficiales y la
presencia en la sangre
de células
mononucleares
monstruosas llamadas
células de Sézary.
• El síndrome de Sézary (SS), expresión leucémica de un
linfoma cutáneo de células T eritrodérmico, es una
entidad rara de curso clínico agresivo y mal pronóstico.
• Su diagnóstico, dificultoso y excepcional, se basa en la
demostración de compromiso hematológico neoplásico
por el hallazgo en sangre periférica de linfocitos T con
rasgos morfológicos distintivos y evidencia de
clonalidad mediante técnicas inmunohistoquímicas e
inmunogenéticas.(14)
• (14)Johnson GA, Dewald GW, Strand WR, Winkelmann RK. Chromosome studies in 17 patients with the
Sézary syndrome. Cancer 1985;55:2426-33.
Células grandes de núcleos convolutos correspondientes a células de Sézary en
sangre periférica
• Adicionalmente se puede encontrar hepatomegalia
(57% de los casos), alopecia (32%), onicodistrofia
(32%), queratodermia (29%), ectropión con
inflamación ocular secundaria y en las formas severas
facies leonina. Aunque el SS presenta una personalidad
clínica propia, diferente de la MF clásica,
tradicionalmente se ha presentado junto con la MF
como prototipo de linfoma cutáneo de células T
epidermotropo. (15)
• (15) Trotter, M.J.; Whittaker, S.J.: Orchard, G.E.; Smith, N.P.: Cutaneous histopathology of Sézary syndrome:
a study of 41 cases with a proven circulating T- cell clone. J Cutan Pathol 1997: 24: 286-291.
• No obstante, la
reciente clasificación
de los linfomas
cutáneos primarios
propuesta por la
EORTC incluyó al SS
en el grupo de los
linfomas cutáneos
primarios agresivos,
con una
supervivencia a los 5
años del 11%.
El consenso de la ISCL/EORTC
publicado el año 2007
• • Eritrodermia.
• • Reordenamiento clonal de receptor de células T en la
sangre identificado por PCR o Southern Blot.
• • Recuento de células de Sézary circulantes al menos de
1.000 células/microL o uno de los dos siguientes criterios:
– - Aumento de CD4+ o CD3+ con una razón CD4/CD8>10.
– - Aumento de CD4 + con fenotipo anormal (razón CD4+CD7 ≥
40% o a razón CD4+CD26 ≥ 30%). (16)
(16) Olsen E, Vonderheid E, Pimpinelli N, Willemze R, Kim Y, Knobler R, et al. Revisions to the
staging and clasFotoféresis extracorpórea en síndrome de Sézary - M. Molgó et al Rev Med Chile
2015; 143: 1449-1458 1457 Artículos de Revisión sification of mycosis fungoides and Sézary
syndrome: a proposal of the International Society for Cutaneous Lymphomas (ISCL) and the
cutaneous lymphoma task force of the European Organization of Research and Treatment of
Cancer (EORTC). Blood 2007; 110 (6): 1713-22.
Síndrome de Sézary.
Eritrodermia.
Síndrome de Sézary. Queratodermia plantar
Síndrome de Sézary. Onicodistrofia.
inmunohistoquímica
• El perfil habitual de las células de la MF es:
CD2+, CD3+, CD4+, CD5+, CD7-, CD8- y CD45R0+.
• Casos poco frecuentes (aproximadamente
• el 5%) exhiben un fenotipo de célula T
citotóxica (CD3+, CD4-, CD8+ y CD56-). (17)
• (17) Cerroni L, Kerl H. The use of monoclonal antibodies on paraffin sections in the diagnosis of
cutaneous lymphoproliferative disorders. Dermatol Clin 1994;12:219-29.
Linfocitos atípicos epidermótropos, aislados o agrupados en tecas, que predominan en la parte
inferior de la epidermis y se caracterizan por un núcleo de tamaño pequeño
a mediano, hipercromático.
La inmunohistoquímica muestra su naturaleza T linfocítica CD3(+).
STAGING
Patient with patches and plaques
(stage IB/T2b).
Patient with disease progression
(stage IIB).
Patient with erythroderma
(SS stage IVA1).
Diagnóstico
EVOLUCIÓN Y PRONÓSTICO
• El pronóstico de la micosis fungoide es variable.
Está relacionado al estadío de la enfermedad una
vez que haya sido confirmado el diagnóstico, así
como el tipo y extensión de la enfermedad;
además de la presencia o no de enfermedad
extracutánea.
• Estadio de placas sin afectación ganglionar,
sanguínea o visceral, tienen una supervivencia
media superior a 5 años. (18)
• (18) Sausville EA, Eddy JL, Makuch RW, y cols. Histopathologic staging at initial diagnosis of
mycosis fungoides and Sézary syndrome. Definition of three distinctive prognostic groups. Ann
Intern Med 1988;109:372-82.
• Los pacientes que presentan una localización
ganglionar o sanguínea, sin afectación visceral ni
destrucción de la arquitectura del ganglio, tienen
una supervivencia media de 5 años.
• Finalmente, los pacientes que presentan una
invasión visceral o una destrucción de la
arquitectura ganglionar tienen una supervivencia
media de dos años y medio. (19)
• (19) Epstein EH, Levin DL, Croft JD, Lukner MA. Mycosis fun - goides. Survival, prognostic features,
response to therapy, and autopssy findings. Medicine 1972;15:61-72.
• La enfermedad evoluciona durante años o incluso
décadas. El enfermo suele fallecer como consecuencia
de una infección secundaria bacteriana o viral. También
puede morir a causa de la invasión tumoral o a la
transformación en un linfoma de células grandes. El
índice de aparición de estas transformaciones varía
según las series entre el 8% y más del 55%. Esta
transformación, que puede ocurrir en cualquier estadio
de la enfermedad, es más frecuente cuanto más
avanzado está el proceso. (20)
• (20) Fuks ZY, Bagshaw MA, Farber EM. Prognostic signs and the management of the mycosis fungoides.
Cancer 1973; 32:1385-95.
Modalidades de tratamiento
• Los objetivos del tratamiento para CTCL incluyen el aclaramiento
de lesiones, es decir, la remisión, con el fin de mantener o
mejorar la calidad de vida y prolongar la supervivencia libre de
enfermedad y la supervivencia global [21, 22]. Sin embargo,
evaluar la respuesta al tratamiento no es necesariamente
sencillo. MF es una condición indolente con una larga historia
natural y no puede extenderse más allá de la piel durante
muchos años [23]. Este hallazgo ha necesitado el uso de
marcadores sustitutivos, como las medidas de la carga tumoral
descritas por Heald, que puede utilizarse para evaluar los
efectos del tratamiento [22].
• 21. van Doorn DR, Van Haselen CW, van Voorst Vader PC, et al. Mycosis fungoides: disease evolution
and prognosis of 309 Dutch patients. Arch Dermatol 2000, 136, 504–510.
• 22. Heald P. Clinical trials and efficacy assessment in the therapy of cutaneous T cell lymphoma. Ann N
Y Acad Sci 2001, 941, 155–165.
• 23. Diamandidou E, Cohen PR, Kurzrock R. Mycosis fungoides and Sezary syndrome. Blood 1996, 88,
2385–2409.
Terapia dirigida a la piel
• Corticosteroides tópicos
• Quimioterapia tópica
– mostaza nitrogenada tópica (HN2),
– BCNU tópico (carmustina),
– Bexarotene
• Rayos Ultravioleta UVB
• FotoQuimioterapia
– Psoraleno + Ultravioleta A (PUVA)
• Rayos Ultravioleta UVA
• Terapia de haz de electrones de piel total (TSEB),
• Irradiación con rayos X superficial.
Corticosteroides tópicos
• Son capaces de inducir apoptosis sobre la mayor
parte de los linfocitos neoplásicos del tegumento
cutáneo y disminuir el número de células de
Langerhans, lo que interfiere con la estimulación
de las células neoplásicas.
• En pacientes en estadio T1, el 63% presentó
remisión completa (RC) y el 31% remisión parcial
(RP), mientras que en T2 el 25% alcanzo RC y el
57% RP. (24)
• (24) Zackheim HS, Kashani-Sabet, Smita A. Topical steroids for mycosis fungoides. Experience in 79
patients. Arch Dermatol 1998;134:949-54.
• Los corticosteroides tópicos pueden usarse
para tratar lesiones cutáneas individuales y
están disponibles como lociones, cremas o
ungüentos.
• Pueden ser útiles en fases iniciales, aunque
generalmente la respuesta es incompleta y de
corta duración
Tópica mechlorethamina
(mostaza nitrogenada)
• Aunque su mecanismo de acción exacto es
desconocido, cuando se administra sistémicamente
actúa como un agente alquilante con efecto
antimitótico, pero su actividad tópica parece
mediada por mecanismos inmunes o por interacción
con las células de Langerhans
• En la pauta clínica habitual inicialmente se aplica a
diario hasta obtener el aclaramiento de las lesiones
(entre 3-6 meses con la solución y 6-12 meses con el
ungüento) (25)
• (25) Kim YH, Martinez G, Varghese A, Hoppe RT. Topical nitrogen mustard in the management of mycosis
fungoides: update of the Stanford experience. Arch Dermatol 2003;139:165- 73.
• La probabilidad reportada de reacciones de
hipersensibilidad varía de menos del 10% hasta un
37%, aunque son menos probables con la
formulación de ungüento. La terapia suele continuar
durante 6 meses después de la disminución de las
lesiones cutáneas.
• También se ha informado que HN2 induce
repigmentación en lesiones hipopigmentadas de MF
• La tasa de respuestas completas varía entre el 50-75%
para el estadio T1y del 25-50% para T2
Carmustina tópica
• La aplicación tópica se realiza con una solución de
10 mg de B disuelta en 60 ml de alcohol al 95%.
Alternativamente, se puede usar un ungüento de
20-40 %. La mayoría de los pacientes
experimentan algún grado de eritema que, a
veces, es seguido de telangiestasias.
• la depresión de médula ósea es un efecto
secundario poco frecuente. (26)
• (26) Zackheim HS, Epstein EH, Crain WR. Topical carmustine (BCNU) for cutaneous T cell lymphoma:
a 15-year experience in 143 patients. J Am Acad Dermatol 1990;22: 802-10.
• se aplica una vez al día por toda la superficie
cutánea ( respetando cara, manos, genitales y
pliegues) o sólo en áreas afectas. Con la
solución se ha obtenido un 86% de respuestas
completas en pacientes con estadio T1 y un 48%
para los casos con estadio T2
• Puede utilizarse como alternativa en los
pacientes alérgicos a la mostaza nitrogenada,
• aunque su disponibilidad también es mínima.
Bexarotene gel
• Es un nuevo retinóide tópico ('rexinoid') provoca la apoptosis de
líneas celulares T con unión a su receptor afín RXR-α, RAR-α, proteína
antiapoptótica, survivina y activación de Caspasa – 3.
• En un estudio de fase I / II, 42 De los 67 pacientes con enfermedad en
estadio IA-IIA obtuvieron al menos una respuesta parcial (RP, mejoría
del P50%) y el 21% de los pacientes obtuvieron una respuesta
completa basada en la Evaluación Global de la afectación cutánea con
respecto al valor basal.
• El bexaroteno gel es generalmente bien tolerado, con efectos
secundarios restringidos al sitio de aplicación. (27)
• (27) Breneman D, Duvic M, Martin A et al. Longterm treatment of patients with early stage cutaneous T-cell
lymphoma with bexarotene gel 1%. Póster 229. 60th Annual Meeting of the American Academy of
Dermatology; 22- 27 Febrero 2002; New Orleans (LA).
El imiquimod
• El imiquimod actúa estimulando TLR7 dando como
resultado la liberación de citoquinas y la reacción
inflamatoria. La producción de interferón alfa aumenta y
se suprime la molécula anti-apoptótica Bcl-2. Los
estudios han demostrado el reclutamiento de células
dendríticas, células T CD8 + y células asesinas naturales.
La patogénesis del linfoma de células T cutáneas está
siendo elucidada por estudios genéticos y moleculares e
incluye alteraciones en la vía Bcl-2. (28)
• (28) Suchin KR, Junkins-Hopkins JM, Rook AH. Treatment of stage IA cutaneous T-Cell 96
Med Cutan Iber Lat Am 2003; 31(2): 75-100 28 Moreno-Ramírez D., et al. Diagnóstico y
tratamiento de los linfomas cutáneos primarios de células T 29 Med Cutan Iber Lat Am
2003; 31(2): 75-100 Moreno-Ramírez D., et al. Diagnóstico y tratamiento de los linfomas
cutáneos primarios de células T lymphoma with topical application of the immune
response modifier imiquimod. Arch Dermatol 2002;138:1137-9.
• da una tasa de
respuesta global al
imiquimod de 80%
(respuesta completa
en 9 de 20
pacientes [45%],
respuesta parcial en
7/20 [35%]) sin
respuesta en 4/20
(20%).
Fototerapia
• La fototerapia, en cualquiera de sus
modalidades, se considera primera línea de
tratamiento en estadios precoces del MF.
• La radiación ultravioleta, por la apóptosis
de células T que induce, es una modalidad
efectiva y bien tolerada en estadios
precoces, ya sea en monoterapia o
combinada con otras modalidades.
• En contraste con los UVA, el uso de UVB no requiere
ingestión de psoraleno. La UVB también puede
presentar un menor riesgo de carcinogénesis cutánea
que la terapia PUVA, pero puede ser menos efectiva en
pacientes con piel oscura.
• Un estudio retrospectivo de 56 pacientes con MF en
estadio temprano (estadio 1A y 1B) sugirió que los UVB
de banda estrecha son al menos tan efectivos, si no
más, que el PUVA en términos de respuesta y intervalo
sin recidiva. El UVB de banda estrecha parece ser un
tratamiento efectivo para la MF en estadio temprano,
con ventajas sobre los UVB de banda ancha y PUVA. (29)
• (29) Hofer A, Cerroni L, Kerl H, Wolf P. Narrowband (311-nm) UV-B therapy for small plaque
parapsoriasis and early-stage mycosis fungoides. Arch Dermatol 1999;135: 1377-80.
UVB-banda estrecha (UVB-BE)
Ultravioleta A más psoraleno (PUVA)
• ha demostrado los resultados más
espectaculares, con mayor efectividad que UVB, y
por tanto debe ser la primera elección cuando
necesitamos de fototerapia intensiva en
pacientes con MF en estadio precoz. La utilización
de PUVA consigue respuestas completas en 74% a
90% de pacientes según series, con respuestas
globales del 95% y periodos libres de enfermedad
habitualmente largos (hasta 43 meses). (30)
• (30) Herrmann JJ, Roenigk HH, Hurria A et al. Treatment of mycosis fungoides with
photochemotherapy (PUVA): long-term follow-up. J Am Acad Dermatol 1995;33: 234-42.
• Como en el resto de indicaciones de
PUVAterapia la pauta de administración de
psoraleno consiste en una dosis de 0,5-
0,6mg/Kg de 8-metoxipsoraleno 1 hora antes
de la exposición a la dosis calculada de UVA.
8.8. Radioterapia superficial
• La radioterapia superficial y localizada
proporciona un tratamiento paliativo eficaz para
lesiones individuales. Las dosis usadas han
variado de 10 a 30 Gy, y pueden ser fraccionadas
• La radioterapia local se ha utilizado también en
casos de MF «unilesional» con extraordinarios
resultados. (31)
• (31) Izu R, Díaz-Ramón JL, Díaz-Pérez JL. Linfomas cutáneos de células T. Micosis fungoide. Síndrome
de Sézary. Diagnóstico. Estudio de extensión. Tratamiento. Monogr Dermatol 2001;14:149-62
Terapias sistémicas
• Las terapias sistémicas incluyen las siguientes:
• Quimioterapia
• Modificadores de la respuesta biológica
– Interferón (IFN) – a
– Retinoides
– Rexinoids
– Denileukin diftitox
• Inmunoterapia
– Alemtuzumab
• Trasplante de médula ósea
• Fotoinmunoterapia Extracorporea (ECP).
Quimioterapia
• La quimioterapia en el tratamiento de los MF
debe reservarse para los estadios avanzados de la
enfermedad, ya que en los estadios iniciales no
presenta mayor eficacia que los tratamientos
conservadores. Prácticamente todos los agentes
quimioterapicos utilizados para linfomas
sistémicos se han aplicado en los LF avanzados:
agentes alquilantes, metotrexato (MTX),
cisplatino, etopoxido, bleomicina, vinblastina,
ciclofosfamida. . . No esta claro que ninguno sea
superior y generalmente las respuestas son de
corta duración.
POLIQUIMIOTERAPIA
• Los estudios más favorables con regímenes de
poliquimioterapia clásicos, CHOP (ciclofosfamida,
doxorrubicina, vincristina y prednisona) y COMP
(ciclofosfamida, vincristina, metotrexate y
prednisona) han demostrado respuestas
completas del 23% y 57% respectivamente con
duraciones medias de la remisión entre 6 y 12
meses. (32)
• (32) Fierro MT, Quaglino P, Savoia P et al. Systemic polychemotherapy in the treatment of primary
cutaneous lymphomas: a clinical follow-up study of 81 patients treated with COP or CHOP. Leuk
Lymphoma 1998;31:583-8.
Metotrexato
• La administración de dosis única semanal entre 5 y
125mg consiguieron respuestas completas del 41% en
MF eritrodérmica, con respuesta parcial del 17%. En SS
se describen tasas de respuesta completa y parcial del
41% y 35% respectivamente, con una media de
supervivencia de 100 meses, resultados equivalentes a
los obtenidos mediante fotoféresis. En este caso, la
mejoría clínica se acompañó de un descenso de las
células de Sézary circulantes. A dosis de 50-
100mg/sem. se ha demostrado también efectivo en MF
en estadio tumoral. (33)
• (33) Zackheim HS, Kashani-Sabet M, Hwang ST. Low-dose methotrexate to treat erythrodermic
cutaneous T-cell lymphoma: Results in twenty-nine patients. J Am Acad Dermatol 1996;34:626-31.
Gemcitabina
• Es un nuevo análogo pirimidínico valorado por su baja
toxicidad y sencilla dosificación ya que se toma una
vez a la semana durante 3 semanas consecutivas cada
mes. Los únicos datos favorables en cuanto a su uso
en linfoma cutáneo vienen de un estudio que incluye
30 MF previamente tratadas en estadío T3-4, en las
que se consiguen respuestas globales del 70% con un
10% de respuesta completa y con mínimos efectos
adversos. (34)
• (34) Zinzani PL, Baliva G, Magagnoli M et al. Gemcitabine treatment in pretreated cutaneous T-cell lymphoma:
experience in 44 patients. J Clin Oncol 2000;18: 2603-6.
Interferón (IFN) – α
• Se utiliza como monoterapia en dosis subcutáneas
(también se puede utilizar intramuscular o intralesional)
de 3-20 millones U diarias, 3 días por semana, con buena
respuesta (dosis-dependiente) especialmente en
estadios iniciales (tasa de RG alrededor del 70%) o en
combinación con otras terapias como PUVA (parece la
asociación mas eficaz), retinoides o análogos de las
purinas (fludarabina) con beneficio aparente (faltan
estudios que los comparen con IFN- solo). (35)
• (35) Olsen E, Bunn PA. Interferon in the treatment of cutaneous T-cell lymphoma. Hematol Oncol Clin North
Am 1995;9:1089-107.
• El IFN- α parece actuar a través de un número de
diferentes mecanismos, incluyendo la regulación del
ciclo celular, La supresión del oncogén y la modulación
de la adhesión celular.
• Se han utilizado varias dosis de tratamiento, que van
desde los 3 millones Unidades (MU) tres veces por
semana a 36 MU por día, aunque la práctica actual es
comenzar a 3 MU / día y, si se tolera, aumento a
aproximadamente 15 MU / día.3,7,16
• Efectos secundarios Incluyen transaminasas elevadas,
leucopenia y trombocitopenia. (36)
• (36) Ross C, Tingsgaard P, Jorgensen H et al. Interferon treatment of cutaneous T-cell
lymphoma. Eur J Haematol 1993;51: 63-72.
Retinoides
• Los retinoides son derivados de la vitamina A que parecen
modular la proliferación y diferenciación celular en varias
neoplasias. En MF, estos efectos se extienden a las células
epiteliales y posiblemente inmunorregulación de los
infiltrados mononucleares de la piel.
• En estudios in vitro, los ácidos 13-cis-retinoicos indujeron
diferenciación celular, apoptosis y fragmentación del ADN
en líneas de células T sensibles. Los retinoides también
exhiben propiedades inmunoadyuvantes. (37)
• (37) Cheng AL, Su IJ, Chen CC, et al. Use of retinoic acids in the treatment of peripheral T-cell lymphoma: a pilot
study. J Clin Oncol 1994, 12, 1185–1192.
• Los retinoides comúnmente usados son la acitretina y
la isotretinoína; Las dosis iniciales típicas son de 25-50
mg / día y 1 mg / kg / día, respectivamente. La
acitretina es un metabolito del etretinato, que también
se ha utilizado como terapia para MF.
• Los retinocitos son altamente teratogénicos.
• El efecto secundario más frecuentemente observado es
el secado de la piel y las membranas mucosas, aunque
los niveles elevados de triglicéridos son también una
ocurrencia frecuente
Rexinoides
• Los receptores de retinoides X (RXRs) son una segunda familia de nucleares
Receptores que también se unen a los derivados del ácido retinoico, aunque
difieren estructural y funcionalmente de los RAR. La especificidad del ligando
de estas familias de receptores también es distinta.
• El bexaroteno es altamente selectivo para los RXR y fue el primer 'rexinoide'
en experimentar un desarrollo clínico.
• El fármaco ha recibido la aprobación de EMEA en Europa para el tratamiento
de manifestaciones cutáneas en CTCL avanzado.
• Los estudios in vitro han demostrado que el bexaroteno puede inhibir el
crecimiento en las líneas celulares tumorales y causar la regresión tumoral in
vivo en modelos animales: el fármaco también estimula la apoptosis. (37)
• (37) Talpur R, Ward S, Apisarnthanarax N, et al. Optimizing bexarotene therapy for cutaneous T-
cell lymphoma. J Am Acad Dermatol 2002, 47, 672–684.
• El bexaroteno se administra generalmente a 300
mg / m2 / día y el tratamiento se continúa
indefinidamente en los pacientes que responden.
El bexaroteno causa hipotiroidismo central severo
con alta frecuencia, asociado con reducciones
marcadas en las concentraciones séricas de la
hormona estimulante del tiroides Y tiroxina.
Durante el tratamiento, los pacientes deben ser
monitorizados para la función tiroidea y para la
hipertrigliceridemia.
Denileukin diftitox
• Denileukin diftitox es una proteína de fusión
recombinante que comprende fragmentos de
toxina de difteria y secuencias de interleucina (IL)
-2.
• Denileukin diftitox interactúa selectivamente con
el receptor de IL-2 de alta afinidad (IL2R),
resultando en la internalización del resto de
toxina de la difteria, inhibición de la síntesis de
proteínas, y la muerte celular. (38)
• (38) Olsen E, Duvic M, Frankel A, et al. Pivotal phase III trial of two dose levels of denileukin diftitox
for the treatment of cutaneous T-cell lymphoma. J Clin Oncol 2001, 19, 376–388.
• Los ensayos clínicos desarrollaron un síndrome de
"fuga vascular" caracterizado por la presencia de dos o
más de los siguientes: hipotensión, edema,
hipoalbuminemia.
• Denileucina diftitox debe evitarse en pacientes con
hipertensión mal controlada, insuficiencia cardíaca,
insuficiencia renal o hepática.
• Además, la prevalencia de anticuerpos contra la toxina
de la difteria o denileucina diftitox aumentó de 40% en
la línea de base a casi 100% después de dos ciclos. No
hubo ninguna relación aparente entre la presencia de
anticuerpos y la probabilidad de respuesta.
Alemtuzumab
• Es un anticuerpo monoclonal humanizado dirigido contra la
glucoproteína CD52 expresada en la superficie de linfocitos
T y B, células NK y, en menor grado, en monocitos y
macrófagos. Su mecanismo de acción, es llevado a cabo por
lisis celular directa mediada por complemento y también
por citotoxicidad dependiente de anticuerpos y apoptosis.
En 2003 se demostró su utilidad en el tratamiento de 22
pacientes con MF/SS pre-tratados, la mayoría de ellos en
estadios avanzados (86%≥estadio III y 36% con síntomas B)
y en mal estado general. La tasa de RG obtenidas fue del
55% (32% RC) y la duración media de las mismas fue de 12
meses. (39)
• (39) Kennedy GA, Seymour JF, Wolf M, et al. Treatment of patients with advanced mycosis
fungoides and Sezary syndrome with alemtuzumab. Eur J Haematol 2003, 71, 250–256.
• Alemtuzumab se administra generalmente a una dosis
de 30 mg por vía intravenosa tres veces por semana,
después de una fase inicial de aumento de la dosis,
hasta 12 En estudios realizados en pacientes con MF /
SS hasta la fecha, los eventos adversos comunes fueron
infecciones oportunistas y neutropenia, que puede ser
severa.
• Recientemente, Lenihan y Colegas sugirieron que la
cardiotoxicidad severa puede ser una Complicación del
tratamiento con alemtuzumab en MF / SS.
Zanolimumab.
• Es otro anticuerpo monoclonal dirigido contra el receptor CD4
expresado en linfocitos T y macrofagos.
• Interfiere en la activacion de celulas T al impedir la interaccion
de CD4 con moleculas de clase II del complejo mayor de
histocompatibilidad y ademas, produce lisis celular por
citotoxicidad mediada por anticuerpos y no por complemento
como alemtuzumab.
• Zanolimumab ha demostrado su eficacia en 2 estudios
multicentricos fase II 78 sobre 47 pacientes con LCCT
intensamente pretratados, persistentes y refractarios
(38 MF y 9 SS). (40)
(40) Undin J, Hagberg H, Repp R, et al. Phase 2 study of zanolimumab (anti-CD52 monoclonal
antibody) in patients with advanced mycosis fungoides/Sezary syndrome. Blood 2003;101:4267-4272.
Fotoimmunoterapia extracorporal
• El uso de ECP se informó por primera vez en 1987
por Edelson y colegas. En este procedimiento, los
leucocitos de sangre periférica son cosechados,
mezclados con 8MOP (metoxipsoraleno),
expuestos a la radiación UV y luego devueltos al
paciente. En los estudios anteriores, se
administró 8MOP Oralmente, pero esta práctica
se ha reemplazado ahora por una mezcla ex vivo
de 8MOP antes de la administración de UV. (41)
• (41) Heald P, Pérez M, Christensen I et al. Photopheresis therapy of cutaneous T-cell lymphoma: The
Yale-New Haven hospital experience. Yale Biol Med 1989;62:629- 38
• El procedimiento ha sido descrito en detalle por
Knobler y Jantschitsch. La ECP se realiza
generalmente en dos días sucesivos cada 4
semanas. El horario generalmente se continúa
hasta 6 meses para evaluar la respuesta:
• La terapia de mantenimiento se adapta según el
curso de la enfermedad.
• En general, la ECP es bien tolerada, aunque los
pacientes con antecedentes de cardiopatía
requieren un monitoreo cuidadoso debido al
cambio en los volúmenes de líquidos.
Trasplante de células precursoras
• Los pacientes requieren un ciclo de quimioterapia
mieloablativa o combinación de quimioterapia y
radioterapia previa a la infusión de las células
madre, con el riesgo de infecciones oportunistas
que conlleva, especialmente en una condición en
la que la barrera cutánea está comprometida. Por
otra parte, el trasplante autólogo no ha
demostrado remisiones duraderas en pacientes
con LCCT. (42)
• (42) Manteiga E, del Potro E, Polo M, López I. Avances en la terapéutica de los linfoma cutáneos.
Rev Cancer (Madrid) 2000;14: 28-37.
• El trasplante alogénico de células progenitoras cuenta
con el mismo problema, pero evita la contaminación
del trasplante por células neoplásicas. La eficacia de
esta modalidad es parcialmente mediada por la
respuesta injerto contra huésped que induce.
Mediante trasplante alogénico se pueden conseguir
respuestas duraderas con ciclos de quimioterapia
menos agresivos, siendo propuesto por algunos
autores como la única opción curativa para los
pacientes con MF. (43)
• (43) Burt RK, Guitart J, Traynor A et al. Allogeneic hematopoietic stem cell transplantation for
advanced mycosis fungoides: evidence of a graft-versus-tumor effect. Bon

Micosis fungoide

  • 1.
    MICOSIS FUNGOIDE Med. AlexanderChávez Huamaní R2 MEDICINA ONCOLÓGICA
  • 2.
    Los linfomas cutáneosprimarios • Los LCP representan el 3,9% de todos los linfomas no Hodgkin. • La mayoría (75%) son linfomas de células T y solo un 20-25% se originan a partir de los linfocitos B.(1) • 1. Song SX, Willemze R, Swerdlow SH, Kinney MC, Said JW.Mycosis fungoides: Report of the 2013 Society for Hematopathology/European Association for Haematopathology workshop.Am J Clin Pathol. 013;139:466---90.2.
  • 5.
    La micosis fungoide •Es un tipo de LNH de linfocitos T Helper CD4+. • Tienen la presencia de un núcleo hipercromático de forma irregular, y se les conoce como “células cerebriformes” que infiltran la dermis y la epidermis (epidermotrofismo) (2). • Fue escrita por primera vez en 1806 por el dermatólogo francés Jean Louis Alibert. • 2. Willemze R, Jaffe ES, Burg G, et al. WHOEORTC, classification for cutaneous lymphomas. Blood. 2005; 105 (10) :3768-3785.
  • 7.
    Histopatología de lamicosis fungoide: infiltrado en banda subepidérmica con epidermotropismo.
  • 9.
    • Comprometen inicialmentela piel y en fases avanzadas de la evolución de la enfermedad, puede extenderse a ganglios linfáticos, médula ósea, linfocitos sanguíneos y diversos órganos internos (3). • (3) Moreno-Ramírez D, Herrera A, Camacho F. Diagnóstico y tratamiento de los linfomas cutáneos primarios de células T. Med Cutan Iber Lat Am 2003; 31:75-100.
  • 10.
    Epidemiología • Tiene unaincidencia baja de (0.3 casos por 100.000 habitantes por año), siendo mayor en los hombres que en las mujeres (2:1) (4) y se encuentra principalmente en personas entre la quinta y la sexta década de la vida (aproximadamente el 75% de los casos se inician después de los 50 años)(4). • Se menciona asimismo que hay mayor cantidad de casos en personas de raza negra (5). • 4. Russell-Jones R. Whorld Health Organization classification of hematopoietic and lymphoid tissues: implications for dermatology. J Am Acad Dermatol 2003;48:93-102. • 5. Willemze R, Meijer C. EORTC Classification for Primary Cutaneous Lymphoma. The best guide to good clinical management. Am J Dermatopathol 1999;21:265-73.
  • 11.
    Etiopatogenia • Se hanpropuesto varias teorías etiopatogénicas, pero los mecanismos moleculares son inciertos: estimulación antigénica crónica, modificación de las vías de apoptosis, infección por un (retro)virus linfótropo, estimulación linfocítica por secreción crónica de citocinas.(6) • (6) Whittemore AS, Holly EA, Lee IM et al. Mycosis fungoides in relation to environmental exposures and immune response: A case-control study. J Natl Cancer Inst 1989; 81:1560-1567.
  • 12.
    CUADRO CLÍNICO • Elprurito, aunque no siempre presente, suele ser el primer síntoma. Puede aparecer de forma aislada, al comienzo de la enfermedad o más tarde. Generalmente, persiste durante toda la evolución.(7) • Las lesiones cutáneas evolucionan en tres fases.(7) • (7) Curiel C. Linfomas cutáneos. En: Dermatología práctica. Iberolatinoamericana. Ed. Vicente Torres Lozada-Nieto Editores. México, D.F. 2006: 1500-1531.
  • 13.
    Estadio “premicósica” oeritematosa. • Las lesiones cutáneas son muy variadas. El tipo más común es el de placas de tamaño variable y formas generalmente redondeadas u ovales, eritematosas o eritemato escamosas, a veces con cierto tinte parduzco, poco o nada infiltradas al tacto, estables y de límites bien definidos o difusos e imprecisos. (7) • (7) Smoller, B. (2003). “Histopathology and genetics of cutaneous T- cell lymphoma”. Hematology / Oncology Clinics of North America. 17:1277-1311
  • 14.
    • Se localizancon preferencia en tronco y raíz de miembros. En algunos casos las lesiones adoptan otras formas menos frecuentes como manchas con aspecto roseoliforme, placas psoriasiformes o erupciones papulosas e incluso vesiculosas, con aspecto de eccema, que hacen de la micosis fungoide sea un gran simulador.
  • 15.
    • Un signode ayuda diagnóstica es la persistencia de islotes reservados de piel sana en el centro de las placas. Todas estas lesiones tan diversas tienen en común el prurito intenso, que va provocando secundariamente excoriaciones, eccematización o infecciones secundarias.
  • 16.
    • Esta primerafase puede durar varios años, e incluso décadas, aunque generalmente con el tiempo los elementos se vuelven más numerosos, se extienden y confluyen unos con otros. La duración media desde el inicio de los síntomas hasta el diagnóstico es de unos 6 años
  • 19.
    Estadio de placasinfiltradas. • Esta segunda fase se instaura de forma paulatina con la aparición, sobre lesiones previas o en piel sana, de placas infiltradas. La infiltración aparece a menudo sobre el borde de ciertas placas, que incluso pueden llegar a formar figuras anulares o serpinginosas, con centro rosado, deprimido, finamente escamoso y borde sobreelevado de color rojo vivo. En otros casos la infiltración es más homogénea, apreciándose una placa bien circunscrita. (8) • 8. Rodríguez, M. (2004). “Micosis Fungoide: comunicación de un caso”. Revista del Centro Dermatológico Pascua. 13 (2) 95-98.
  • 20.
    Placas eritematoinfiltradas enregión glútea, localización frecuentemente afectada.
  • 22.
    Estadio tumoral. • Eltercer estadio se caracteriza por la aparición de neoformaciones en la piel sana, sobre lesiones no infiltradas o sobre placas infiltradas. Los tumores suelen tener una base ancha, son redondeados o hemiesféricos y su tamaño puede variar. Estas lesiones pueden ulcerarse posteriormente y desarrollarse en cualquier parte, pero se localizan fundamentalmente en la cara, axilas, cuello e ingles.(9) (9) Girardi et al. (2004)”The Pathogenesis of Mycosis Fungoides”. New England Journal of Medicine 350:1978-1988.
  • 24.
    Tumoración con ulceraciónen cara lateral de tronco.
  • 25.
  • 26.
    Micosis fungoide anexótropa •La micosis fungoide foliculótropa es la variante de la micosis fungoide que se describe con mayor frecuencia. Desde el punto de vista clínico, se pueden observar: pápulas foliculares eritematosas a veces confluyentes, depilación, alopecia, comedones, quistes o placas acneiformes y placas espinulósicas. En la histología, el infiltrado linfocítico, situado alrededor de los folículos pilosebáceos, lo infiltra y lo destruye.(10) • (10) Vergier B, Beylot-Barry M, Beylot C, DeMascarel A, Delaunay M, De Muret A, et al. Pilotropic cutaneous T-cell lymphoma without mucinosis. A variant of mycosis fungoides? French Study Group of Cutaneous Lymphomas. Arch Dermatol 1996;132:683-7.
  • 30.
    • El infiltradoestá constituido por linfocitos atípicos de tamaño pequeño o mediano CD3+, CD4+, CD8−. A veces, se asocia una degeneración mucinosa de los folículos, que la tinción con azul alcián evidencia. El epidermotropismo es inconstante. Su pronóstico en los estadios incipientes parece peor que en las formas de micosis fungoide clásicas.
  • 31.
    • En casode afectación de las glándulas sudoríparas ecrinas, se habla de micosis fungoide siringótropa que, clínicamente, se manifiesta en forma de pápulas poco específica o por placas anhidrósicas.
  • 32.
    Linfoma pagetoide • Elantiguo término de «reticulosis pagetoide de Woringer-Kolopp» debe abandonarse. Esta forma clínica particular se caracteriza por una lesión única, a menudo en un miembro, en forma de placa eritematoescamosa más o menos infiltrada, a veces hiperqueratósica o verrugosa, bien delimitada, formada por un infiltrado linfocítico muy atípico y puramente intraepidérmico. • La dermis superficial es la sede de un infiltrado reactivo sin células atípicas. El fenotipo es CD3+, CD4+, CD8–o CD3+ CD4–, CD8+. A menudo, se expresa CD30. • La evolución es muy lenta y el pronóstico, excelente. El tratamiento es local: radioterapia, quimioterapia local o dermocorticoides.(11) • (11) Steffen C. Ketron-Goodman disease, Woringer-Kolopp disease, and pagetoid reticulosis. Am J Dermatopathol 2005;27:68–85.
  • 33.
    Linfoma pagetoide: placade contorno arciforme.
  • 35.
    Granulomatous slack skino linfoma chalazodérmico • Es una variante muy rara del linfoma T epidermótropo que desde el punto de vista clínico se caracteriza por placas infiltradas localizadas en los grandes pliegues que tienen un aspecto rojo violáceo «flácido», arrugado y sin elasticidad. • La biopsia muestra un infiltrado dermohipodérmico constituido por linfocitos pequeños atípicos asociados a histiocitos y células gigantes, así como una elastólisis. La evolución es indolente en la mayoría de los casos, pero se han descrito asociaciones con la enfermedad de Hodgkin o con una micosis fungoide «clásica».(12) • [12] Kempf W, Ostrheeren-Michaelis S, Paulli M, Lucioni M, Wechsler J, Audring H, et al. Granulomatous mycosis fun- goides and granulomatous slack skin. A multicentre study • of the cutaneous lymphoma histopathology Task force group of the European organization for research and treatment of cancer (EORTC). Arch Dermatol 2008;144:1609–17.
  • 36.
  • 40.
    Síndrome de Sézary(SS) • Es una variable de la micosis fungoide, donde los linfocitos neoplásicos no se encuentran únicamente en la piel, sino que además se observan en sangre y otros sitios. • La triada clásica se caracteriza por la presencia de eritrodermia, adenopatías y células Sézary circulantes mayor a un quince por ciento. • Las células de Sézary se definen como linfocitos atípicos con núcleo irregular de aspecto cerebriforme. Desde el punto de vista histológico, no hay epidermotropismo. En la mayoría de los casos existe un ligero a moderado infiltrado de linfocitos en la dermis papilar, mezclada con bandas de fibras colágenas (13) • (13) Olsen E, Vonderheid E, Pimpinelli N, Willemze R, Kim Y, Knobler R, et al. Revisions to the staging and classification of mycosisfungoides and Sezary syndrome: a proposal of the International Society of Cutaneous Lymphomas (ISCL) and the cutaneous lymphoma task force of the European Organization of Research and Treatment of Cancer (EORTC). Blood 2007;110:1713–22.
  • 41.
    • El síndromede Sézary fue descrito en 1938 por Albert Sézary y asociaba una eritrodermia, adenopatías superficiales y la presencia en la sangre de células mononucleares monstruosas llamadas células de Sézary.
  • 42.
    • El síndromede Sézary (SS), expresión leucémica de un linfoma cutáneo de células T eritrodérmico, es una entidad rara de curso clínico agresivo y mal pronóstico. • Su diagnóstico, dificultoso y excepcional, se basa en la demostración de compromiso hematológico neoplásico por el hallazgo en sangre periférica de linfocitos T con rasgos morfológicos distintivos y evidencia de clonalidad mediante técnicas inmunohistoquímicas e inmunogenéticas.(14) • (14)Johnson GA, Dewald GW, Strand WR, Winkelmann RK. Chromosome studies in 17 patients with the Sézary syndrome. Cancer 1985;55:2426-33.
  • 43.
    Células grandes denúcleos convolutos correspondientes a células de Sézary en sangre periférica
  • 44.
    • Adicionalmente sepuede encontrar hepatomegalia (57% de los casos), alopecia (32%), onicodistrofia (32%), queratodermia (29%), ectropión con inflamación ocular secundaria y en las formas severas facies leonina. Aunque el SS presenta una personalidad clínica propia, diferente de la MF clásica, tradicionalmente se ha presentado junto con la MF como prototipo de linfoma cutáneo de células T epidermotropo. (15) • (15) Trotter, M.J.; Whittaker, S.J.: Orchard, G.E.; Smith, N.P.: Cutaneous histopathology of Sézary syndrome: a study of 41 cases with a proven circulating T- cell clone. J Cutan Pathol 1997: 24: 286-291.
  • 45.
    • No obstante,la reciente clasificación de los linfomas cutáneos primarios propuesta por la EORTC incluyó al SS en el grupo de los linfomas cutáneos primarios agresivos, con una supervivencia a los 5 años del 11%.
  • 46.
    El consenso dela ISCL/EORTC publicado el año 2007 • • Eritrodermia. • • Reordenamiento clonal de receptor de células T en la sangre identificado por PCR o Southern Blot. • • Recuento de células de Sézary circulantes al menos de 1.000 células/microL o uno de los dos siguientes criterios: – - Aumento de CD4+ o CD3+ con una razón CD4/CD8>10. – - Aumento de CD4 + con fenotipo anormal (razón CD4+CD7 ≥ 40% o a razón CD4+CD26 ≥ 30%). (16) (16) Olsen E, Vonderheid E, Pimpinelli N, Willemze R, Kim Y, Knobler R, et al. Revisions to the staging and clasFotoféresis extracorpórea en síndrome de Sézary - M. Molgó et al Rev Med Chile 2015; 143: 1449-1458 1457 Artículos de Revisión sification of mycosis fungoides and Sézary syndrome: a proposal of the International Society for Cutaneous Lymphomas (ISCL) and the cutaneous lymphoma task force of the European Organization of Research and Treatment of Cancer (EORTC). Blood 2007; 110 (6): 1713-22.
  • 48.
  • 49.
    Síndrome de Sézary.Queratodermia plantar Síndrome de Sézary. Onicodistrofia.
  • 50.
    inmunohistoquímica • El perfilhabitual de las células de la MF es: CD2+, CD3+, CD4+, CD5+, CD7-, CD8- y CD45R0+. • Casos poco frecuentes (aproximadamente • el 5%) exhiben un fenotipo de célula T citotóxica (CD3+, CD4-, CD8+ y CD56-). (17) • (17) Cerroni L, Kerl H. The use of monoclonal antibodies on paraffin sections in the diagnosis of cutaneous lymphoproliferative disorders. Dermatol Clin 1994;12:219-29.
  • 52.
    Linfocitos atípicos epidermótropos,aislados o agrupados en tecas, que predominan en la parte inferior de la epidermis y se caracterizan por un núcleo de tamaño pequeño a mediano, hipercromático. La inmunohistoquímica muestra su naturaleza T linfocítica CD3(+).
  • 53.
  • 55.
    Patient with patchesand plaques (stage IB/T2b).
  • 56.
    Patient with diseaseprogression (stage IIB).
  • 57.
  • 59.
  • 60.
    EVOLUCIÓN Y PRONÓSTICO •El pronóstico de la micosis fungoide es variable. Está relacionado al estadío de la enfermedad una vez que haya sido confirmado el diagnóstico, así como el tipo y extensión de la enfermedad; además de la presencia o no de enfermedad extracutánea. • Estadio de placas sin afectación ganglionar, sanguínea o visceral, tienen una supervivencia media superior a 5 años. (18) • (18) Sausville EA, Eddy JL, Makuch RW, y cols. Histopathologic staging at initial diagnosis of mycosis fungoides and Sézary syndrome. Definition of three distinctive prognostic groups. Ann Intern Med 1988;109:372-82.
  • 61.
    • Los pacientesque presentan una localización ganglionar o sanguínea, sin afectación visceral ni destrucción de la arquitectura del ganglio, tienen una supervivencia media de 5 años. • Finalmente, los pacientes que presentan una invasión visceral o una destrucción de la arquitectura ganglionar tienen una supervivencia media de dos años y medio. (19) • (19) Epstein EH, Levin DL, Croft JD, Lukner MA. Mycosis fun - goides. Survival, prognostic features, response to therapy, and autopssy findings. Medicine 1972;15:61-72.
  • 62.
    • La enfermedadevoluciona durante años o incluso décadas. El enfermo suele fallecer como consecuencia de una infección secundaria bacteriana o viral. También puede morir a causa de la invasión tumoral o a la transformación en un linfoma de células grandes. El índice de aparición de estas transformaciones varía según las series entre el 8% y más del 55%. Esta transformación, que puede ocurrir en cualquier estadio de la enfermedad, es más frecuente cuanto más avanzado está el proceso. (20) • (20) Fuks ZY, Bagshaw MA, Farber EM. Prognostic signs and the management of the mycosis fungoides. Cancer 1973; 32:1385-95.
  • 75.
    Modalidades de tratamiento •Los objetivos del tratamiento para CTCL incluyen el aclaramiento de lesiones, es decir, la remisión, con el fin de mantener o mejorar la calidad de vida y prolongar la supervivencia libre de enfermedad y la supervivencia global [21, 22]. Sin embargo, evaluar la respuesta al tratamiento no es necesariamente sencillo. MF es una condición indolente con una larga historia natural y no puede extenderse más allá de la piel durante muchos años [23]. Este hallazgo ha necesitado el uso de marcadores sustitutivos, como las medidas de la carga tumoral descritas por Heald, que puede utilizarse para evaluar los efectos del tratamiento [22]. • 21. van Doorn DR, Van Haselen CW, van Voorst Vader PC, et al. Mycosis fungoides: disease evolution and prognosis of 309 Dutch patients. Arch Dermatol 2000, 136, 504–510. • 22. Heald P. Clinical trials and efficacy assessment in the therapy of cutaneous T cell lymphoma. Ann N Y Acad Sci 2001, 941, 155–165. • 23. Diamandidou E, Cohen PR, Kurzrock R. Mycosis fungoides and Sezary syndrome. Blood 1996, 88, 2385–2409.
  • 76.
    Terapia dirigida ala piel • Corticosteroides tópicos • Quimioterapia tópica – mostaza nitrogenada tópica (HN2), – BCNU tópico (carmustina), – Bexarotene • Rayos Ultravioleta UVB • FotoQuimioterapia – Psoraleno + Ultravioleta A (PUVA) • Rayos Ultravioleta UVA • Terapia de haz de electrones de piel total (TSEB), • Irradiación con rayos X superficial.
  • 77.
    Corticosteroides tópicos • Soncapaces de inducir apoptosis sobre la mayor parte de los linfocitos neoplásicos del tegumento cutáneo y disminuir el número de células de Langerhans, lo que interfiere con la estimulación de las células neoplásicas. • En pacientes en estadio T1, el 63% presentó remisión completa (RC) y el 31% remisión parcial (RP), mientras que en T2 el 25% alcanzo RC y el 57% RP. (24) • (24) Zackheim HS, Kashani-Sabet, Smita A. Topical steroids for mycosis fungoides. Experience in 79 patients. Arch Dermatol 1998;134:949-54.
  • 79.
    • Los corticosteroidestópicos pueden usarse para tratar lesiones cutáneas individuales y están disponibles como lociones, cremas o ungüentos. • Pueden ser útiles en fases iniciales, aunque generalmente la respuesta es incompleta y de corta duración
  • 80.
    Tópica mechlorethamina (mostaza nitrogenada) •Aunque su mecanismo de acción exacto es desconocido, cuando se administra sistémicamente actúa como un agente alquilante con efecto antimitótico, pero su actividad tópica parece mediada por mecanismos inmunes o por interacción con las células de Langerhans • En la pauta clínica habitual inicialmente se aplica a diario hasta obtener el aclaramiento de las lesiones (entre 3-6 meses con la solución y 6-12 meses con el ungüento) (25) • (25) Kim YH, Martinez G, Varghese A, Hoppe RT. Topical nitrogen mustard in the management of mycosis fungoides: update of the Stanford experience. Arch Dermatol 2003;139:165- 73.
  • 82.
    • La probabilidadreportada de reacciones de hipersensibilidad varía de menos del 10% hasta un 37%, aunque son menos probables con la formulación de ungüento. La terapia suele continuar durante 6 meses después de la disminución de las lesiones cutáneas. • También se ha informado que HN2 induce repigmentación en lesiones hipopigmentadas de MF • La tasa de respuestas completas varía entre el 50-75% para el estadio T1y del 25-50% para T2
  • 83.
    Carmustina tópica • Laaplicación tópica se realiza con una solución de 10 mg de B disuelta en 60 ml de alcohol al 95%. Alternativamente, se puede usar un ungüento de 20-40 %. La mayoría de los pacientes experimentan algún grado de eritema que, a veces, es seguido de telangiestasias. • la depresión de médula ósea es un efecto secundario poco frecuente. (26) • (26) Zackheim HS, Epstein EH, Crain WR. Topical carmustine (BCNU) for cutaneous T cell lymphoma: a 15-year experience in 143 patients. J Am Acad Dermatol 1990;22: 802-10.
  • 85.
    • se aplicauna vez al día por toda la superficie cutánea ( respetando cara, manos, genitales y pliegues) o sólo en áreas afectas. Con la solución se ha obtenido un 86% de respuestas completas en pacientes con estadio T1 y un 48% para los casos con estadio T2 • Puede utilizarse como alternativa en los pacientes alérgicos a la mostaza nitrogenada, • aunque su disponibilidad también es mínima.
  • 86.
    Bexarotene gel • Esun nuevo retinóide tópico ('rexinoid') provoca la apoptosis de líneas celulares T con unión a su receptor afín RXR-α, RAR-α, proteína antiapoptótica, survivina y activación de Caspasa – 3. • En un estudio de fase I / II, 42 De los 67 pacientes con enfermedad en estadio IA-IIA obtuvieron al menos una respuesta parcial (RP, mejoría del P50%) y el 21% de los pacientes obtuvieron una respuesta completa basada en la Evaluación Global de la afectación cutánea con respecto al valor basal. • El bexaroteno gel es generalmente bien tolerado, con efectos secundarios restringidos al sitio de aplicación. (27) • (27) Breneman D, Duvic M, Martin A et al. Longterm treatment of patients with early stage cutaneous T-cell lymphoma with bexarotene gel 1%. Póster 229. 60th Annual Meeting of the American Academy of Dermatology; 22- 27 Febrero 2002; New Orleans (LA).
  • 88.
    El imiquimod • Elimiquimod actúa estimulando TLR7 dando como resultado la liberación de citoquinas y la reacción inflamatoria. La producción de interferón alfa aumenta y se suprime la molécula anti-apoptótica Bcl-2. Los estudios han demostrado el reclutamiento de células dendríticas, células T CD8 + y células asesinas naturales. La patogénesis del linfoma de células T cutáneas está siendo elucidada por estudios genéticos y moleculares e incluye alteraciones en la vía Bcl-2. (28) • (28) Suchin KR, Junkins-Hopkins JM, Rook AH. Treatment of stage IA cutaneous T-Cell 96 Med Cutan Iber Lat Am 2003; 31(2): 75-100 28 Moreno-Ramírez D., et al. Diagnóstico y tratamiento de los linfomas cutáneos primarios de células T 29 Med Cutan Iber Lat Am 2003; 31(2): 75-100 Moreno-Ramírez D., et al. Diagnóstico y tratamiento de los linfomas cutáneos primarios de células T lymphoma with topical application of the immune response modifier imiquimod. Arch Dermatol 2002;138:1137-9.
  • 89.
    • da unatasa de respuesta global al imiquimod de 80% (respuesta completa en 9 de 20 pacientes [45%], respuesta parcial en 7/20 [35%]) sin respuesta en 4/20 (20%).
  • 90.
    Fototerapia • La fototerapia,en cualquiera de sus modalidades, se considera primera línea de tratamiento en estadios precoces del MF. • La radiación ultravioleta, por la apóptosis de células T que induce, es una modalidad efectiva y bien tolerada en estadios precoces, ya sea en monoterapia o combinada con otras modalidades.
  • 91.
    • En contrastecon los UVA, el uso de UVB no requiere ingestión de psoraleno. La UVB también puede presentar un menor riesgo de carcinogénesis cutánea que la terapia PUVA, pero puede ser menos efectiva en pacientes con piel oscura. • Un estudio retrospectivo de 56 pacientes con MF en estadio temprano (estadio 1A y 1B) sugirió que los UVB de banda estrecha son al menos tan efectivos, si no más, que el PUVA en términos de respuesta y intervalo sin recidiva. El UVB de banda estrecha parece ser un tratamiento efectivo para la MF en estadio temprano, con ventajas sobre los UVB de banda ancha y PUVA. (29) • (29) Hofer A, Cerroni L, Kerl H, Wolf P. Narrowband (311-nm) UV-B therapy for small plaque parapsoriasis and early-stage mycosis fungoides. Arch Dermatol 1999;135: 1377-80. UVB-banda estrecha (UVB-BE)
  • 92.
    Ultravioleta A máspsoraleno (PUVA) • ha demostrado los resultados más espectaculares, con mayor efectividad que UVB, y por tanto debe ser la primera elección cuando necesitamos de fototerapia intensiva en pacientes con MF en estadio precoz. La utilización de PUVA consigue respuestas completas en 74% a 90% de pacientes según series, con respuestas globales del 95% y periodos libres de enfermedad habitualmente largos (hasta 43 meses). (30) • (30) Herrmann JJ, Roenigk HH, Hurria A et al. Treatment of mycosis fungoides with photochemotherapy (PUVA): long-term follow-up. J Am Acad Dermatol 1995;33: 234-42.
  • 93.
    • Como enel resto de indicaciones de PUVAterapia la pauta de administración de psoraleno consiste en una dosis de 0,5- 0,6mg/Kg de 8-metoxipsoraleno 1 hora antes de la exposición a la dosis calculada de UVA.
  • 94.
    8.8. Radioterapia superficial •La radioterapia superficial y localizada proporciona un tratamiento paliativo eficaz para lesiones individuales. Las dosis usadas han variado de 10 a 30 Gy, y pueden ser fraccionadas • La radioterapia local se ha utilizado también en casos de MF «unilesional» con extraordinarios resultados. (31) • (31) Izu R, Díaz-Ramón JL, Díaz-Pérez JL. Linfomas cutáneos de células T. Micosis fungoide. Síndrome de Sézary. Diagnóstico. Estudio de extensión. Tratamiento. Monogr Dermatol 2001;14:149-62
  • 95.
    Terapias sistémicas • Lasterapias sistémicas incluyen las siguientes: • Quimioterapia • Modificadores de la respuesta biológica – Interferón (IFN) – a – Retinoides – Rexinoids – Denileukin diftitox • Inmunoterapia – Alemtuzumab • Trasplante de médula ósea • Fotoinmunoterapia Extracorporea (ECP).
  • 96.
    Quimioterapia • La quimioterapiaen el tratamiento de los MF debe reservarse para los estadios avanzados de la enfermedad, ya que en los estadios iniciales no presenta mayor eficacia que los tratamientos conservadores. Prácticamente todos los agentes quimioterapicos utilizados para linfomas sistémicos se han aplicado en los LF avanzados: agentes alquilantes, metotrexato (MTX), cisplatino, etopoxido, bleomicina, vinblastina, ciclofosfamida. . . No esta claro que ninguno sea superior y generalmente las respuestas son de corta duración.
  • 97.
    POLIQUIMIOTERAPIA • Los estudiosmás favorables con regímenes de poliquimioterapia clásicos, CHOP (ciclofosfamida, doxorrubicina, vincristina y prednisona) y COMP (ciclofosfamida, vincristina, metotrexate y prednisona) han demostrado respuestas completas del 23% y 57% respectivamente con duraciones medias de la remisión entre 6 y 12 meses. (32) • (32) Fierro MT, Quaglino P, Savoia P et al. Systemic polychemotherapy in the treatment of primary cutaneous lymphomas: a clinical follow-up study of 81 patients treated with COP or CHOP. Leuk Lymphoma 1998;31:583-8.
  • 98.
    Metotrexato • La administraciónde dosis única semanal entre 5 y 125mg consiguieron respuestas completas del 41% en MF eritrodérmica, con respuesta parcial del 17%. En SS se describen tasas de respuesta completa y parcial del 41% y 35% respectivamente, con una media de supervivencia de 100 meses, resultados equivalentes a los obtenidos mediante fotoféresis. En este caso, la mejoría clínica se acompañó de un descenso de las células de Sézary circulantes. A dosis de 50- 100mg/sem. se ha demostrado también efectivo en MF en estadio tumoral. (33) • (33) Zackheim HS, Kashani-Sabet M, Hwang ST. Low-dose methotrexate to treat erythrodermic cutaneous T-cell lymphoma: Results in twenty-nine patients. J Am Acad Dermatol 1996;34:626-31.
  • 99.
    Gemcitabina • Es unnuevo análogo pirimidínico valorado por su baja toxicidad y sencilla dosificación ya que se toma una vez a la semana durante 3 semanas consecutivas cada mes. Los únicos datos favorables en cuanto a su uso en linfoma cutáneo vienen de un estudio que incluye 30 MF previamente tratadas en estadío T3-4, en las que se consiguen respuestas globales del 70% con un 10% de respuesta completa y con mínimos efectos adversos. (34) • (34) Zinzani PL, Baliva G, Magagnoli M et al. Gemcitabine treatment in pretreated cutaneous T-cell lymphoma: experience in 44 patients. J Clin Oncol 2000;18: 2603-6.
  • 100.
    Interferón (IFN) –α • Se utiliza como monoterapia en dosis subcutáneas (también se puede utilizar intramuscular o intralesional) de 3-20 millones U diarias, 3 días por semana, con buena respuesta (dosis-dependiente) especialmente en estadios iniciales (tasa de RG alrededor del 70%) o en combinación con otras terapias como PUVA (parece la asociación mas eficaz), retinoides o análogos de las purinas (fludarabina) con beneficio aparente (faltan estudios que los comparen con IFN- solo). (35) • (35) Olsen E, Bunn PA. Interferon in the treatment of cutaneous T-cell lymphoma. Hematol Oncol Clin North Am 1995;9:1089-107.
  • 101.
    • El IFN-α parece actuar a través de un número de diferentes mecanismos, incluyendo la regulación del ciclo celular, La supresión del oncogén y la modulación de la adhesión celular. • Se han utilizado varias dosis de tratamiento, que van desde los 3 millones Unidades (MU) tres veces por semana a 36 MU por día, aunque la práctica actual es comenzar a 3 MU / día y, si se tolera, aumento a aproximadamente 15 MU / día.3,7,16 • Efectos secundarios Incluyen transaminasas elevadas, leucopenia y trombocitopenia. (36) • (36) Ross C, Tingsgaard P, Jorgensen H et al. Interferon treatment of cutaneous T-cell lymphoma. Eur J Haematol 1993;51: 63-72.
  • 102.
    Retinoides • Los retinoidesson derivados de la vitamina A que parecen modular la proliferación y diferenciación celular en varias neoplasias. En MF, estos efectos se extienden a las células epiteliales y posiblemente inmunorregulación de los infiltrados mononucleares de la piel. • En estudios in vitro, los ácidos 13-cis-retinoicos indujeron diferenciación celular, apoptosis y fragmentación del ADN en líneas de células T sensibles. Los retinoides también exhiben propiedades inmunoadyuvantes. (37) • (37) Cheng AL, Su IJ, Chen CC, et al. Use of retinoic acids in the treatment of peripheral T-cell lymphoma: a pilot study. J Clin Oncol 1994, 12, 1185–1192.
  • 103.
    • Los retinoidescomúnmente usados son la acitretina y la isotretinoína; Las dosis iniciales típicas son de 25-50 mg / día y 1 mg / kg / día, respectivamente. La acitretina es un metabolito del etretinato, que también se ha utilizado como terapia para MF. • Los retinocitos son altamente teratogénicos. • El efecto secundario más frecuentemente observado es el secado de la piel y las membranas mucosas, aunque los niveles elevados de triglicéridos son también una ocurrencia frecuente
  • 104.
    Rexinoides • Los receptoresde retinoides X (RXRs) son una segunda familia de nucleares Receptores que también se unen a los derivados del ácido retinoico, aunque difieren estructural y funcionalmente de los RAR. La especificidad del ligando de estas familias de receptores también es distinta. • El bexaroteno es altamente selectivo para los RXR y fue el primer 'rexinoide' en experimentar un desarrollo clínico. • El fármaco ha recibido la aprobación de EMEA en Europa para el tratamiento de manifestaciones cutáneas en CTCL avanzado. • Los estudios in vitro han demostrado que el bexaroteno puede inhibir el crecimiento en las líneas celulares tumorales y causar la regresión tumoral in vivo en modelos animales: el fármaco también estimula la apoptosis. (37) • (37) Talpur R, Ward S, Apisarnthanarax N, et al. Optimizing bexarotene therapy for cutaneous T- cell lymphoma. J Am Acad Dermatol 2002, 47, 672–684.
  • 105.
    • El bexarotenose administra generalmente a 300 mg / m2 / día y el tratamiento se continúa indefinidamente en los pacientes que responden. El bexaroteno causa hipotiroidismo central severo con alta frecuencia, asociado con reducciones marcadas en las concentraciones séricas de la hormona estimulante del tiroides Y tiroxina. Durante el tratamiento, los pacientes deben ser monitorizados para la función tiroidea y para la hipertrigliceridemia.
  • 106.
    Denileukin diftitox • Denileukindiftitox es una proteína de fusión recombinante que comprende fragmentos de toxina de difteria y secuencias de interleucina (IL) -2. • Denileukin diftitox interactúa selectivamente con el receptor de IL-2 de alta afinidad (IL2R), resultando en la internalización del resto de toxina de la difteria, inhibición de la síntesis de proteínas, y la muerte celular. (38) • (38) Olsen E, Duvic M, Frankel A, et al. Pivotal phase III trial of two dose levels of denileukin diftitox for the treatment of cutaneous T-cell lymphoma. J Clin Oncol 2001, 19, 376–388.
  • 107.
    • Los ensayosclínicos desarrollaron un síndrome de "fuga vascular" caracterizado por la presencia de dos o más de los siguientes: hipotensión, edema, hipoalbuminemia. • Denileucina diftitox debe evitarse en pacientes con hipertensión mal controlada, insuficiencia cardíaca, insuficiencia renal o hepática. • Además, la prevalencia de anticuerpos contra la toxina de la difteria o denileucina diftitox aumentó de 40% en la línea de base a casi 100% después de dos ciclos. No hubo ninguna relación aparente entre la presencia de anticuerpos y la probabilidad de respuesta.
  • 108.
    Alemtuzumab • Es unanticuerpo monoclonal humanizado dirigido contra la glucoproteína CD52 expresada en la superficie de linfocitos T y B, células NK y, en menor grado, en monocitos y macrófagos. Su mecanismo de acción, es llevado a cabo por lisis celular directa mediada por complemento y también por citotoxicidad dependiente de anticuerpos y apoptosis. En 2003 se demostró su utilidad en el tratamiento de 22 pacientes con MF/SS pre-tratados, la mayoría de ellos en estadios avanzados (86%≥estadio III y 36% con síntomas B) y en mal estado general. La tasa de RG obtenidas fue del 55% (32% RC) y la duración media de las mismas fue de 12 meses. (39) • (39) Kennedy GA, Seymour JF, Wolf M, et al. Treatment of patients with advanced mycosis fungoides and Sezary syndrome with alemtuzumab. Eur J Haematol 2003, 71, 250–256.
  • 110.
    • Alemtuzumab seadministra generalmente a una dosis de 30 mg por vía intravenosa tres veces por semana, después de una fase inicial de aumento de la dosis, hasta 12 En estudios realizados en pacientes con MF / SS hasta la fecha, los eventos adversos comunes fueron infecciones oportunistas y neutropenia, que puede ser severa. • Recientemente, Lenihan y Colegas sugirieron que la cardiotoxicidad severa puede ser una Complicación del tratamiento con alemtuzumab en MF / SS.
  • 111.
    Zanolimumab. • Es otroanticuerpo monoclonal dirigido contra el receptor CD4 expresado en linfocitos T y macrofagos. • Interfiere en la activacion de celulas T al impedir la interaccion de CD4 con moleculas de clase II del complejo mayor de histocompatibilidad y ademas, produce lisis celular por citotoxicidad mediada por anticuerpos y no por complemento como alemtuzumab. • Zanolimumab ha demostrado su eficacia en 2 estudios multicentricos fase II 78 sobre 47 pacientes con LCCT intensamente pretratados, persistentes y refractarios (38 MF y 9 SS). (40) (40) Undin J, Hagberg H, Repp R, et al. Phase 2 study of zanolimumab (anti-CD52 monoclonal antibody) in patients with advanced mycosis fungoides/Sezary syndrome. Blood 2003;101:4267-4272.
  • 112.
    Fotoimmunoterapia extracorporal • Eluso de ECP se informó por primera vez en 1987 por Edelson y colegas. En este procedimiento, los leucocitos de sangre periférica son cosechados, mezclados con 8MOP (metoxipsoraleno), expuestos a la radiación UV y luego devueltos al paciente. En los estudios anteriores, se administró 8MOP Oralmente, pero esta práctica se ha reemplazado ahora por una mezcla ex vivo de 8MOP antes de la administración de UV. (41) • (41) Heald P, Pérez M, Christensen I et al. Photopheresis therapy of cutaneous T-cell lymphoma: The Yale-New Haven hospital experience. Yale Biol Med 1989;62:629- 38
  • 113.
    • El procedimientoha sido descrito en detalle por Knobler y Jantschitsch. La ECP se realiza generalmente en dos días sucesivos cada 4 semanas. El horario generalmente se continúa hasta 6 meses para evaluar la respuesta: • La terapia de mantenimiento se adapta según el curso de la enfermedad. • En general, la ECP es bien tolerada, aunque los pacientes con antecedentes de cardiopatía requieren un monitoreo cuidadoso debido al cambio en los volúmenes de líquidos.
  • 114.
    Trasplante de célulasprecursoras • Los pacientes requieren un ciclo de quimioterapia mieloablativa o combinación de quimioterapia y radioterapia previa a la infusión de las células madre, con el riesgo de infecciones oportunistas que conlleva, especialmente en una condición en la que la barrera cutánea está comprometida. Por otra parte, el trasplante autólogo no ha demostrado remisiones duraderas en pacientes con LCCT. (42) • (42) Manteiga E, del Potro E, Polo M, López I. Avances en la terapéutica de los linfoma cutáneos. Rev Cancer (Madrid) 2000;14: 28-37.
  • 115.
    • El trasplantealogénico de células progenitoras cuenta con el mismo problema, pero evita la contaminación del trasplante por células neoplásicas. La eficacia de esta modalidad es parcialmente mediada por la respuesta injerto contra huésped que induce. Mediante trasplante alogénico se pueden conseguir respuestas duraderas con ciclos de quimioterapia menos agresivos, siendo propuesto por algunos autores como la única opción curativa para los pacientes con MF. (43) • (43) Burt RK, Guitart J, Traynor A et al. Allogeneic hematopoietic stem cell transplantation for advanced mycosis fungoides: evidence of a graft-versus-tumor effect. Bon

Notas del editor

  • #3 Es importante diferenciar los LCP de sus equivalentes ganglionares, dado que presentan características clínicas, histopatologicas, inmunofenotipicas y de biología molecular diferentes con un pronóstico en la mayoría de los casos mas indolente
  • #4 EORTC: European Organization for Research and Treatment of Cancer
  • #7 se agrupan alrededor de las células de Langerhans, formando microabscesos de Pautrier, Que puede observarse en el examen histológico. Este proceso está guiado principalmente por las interacciones de linfoma-célula integrina ALFA E BETA7 , CCR4 y el complejo de receptores de células T CD4 con E-cadherina, CCL22 y complejo de histocompatibilidad mayor Clase II (MHC-II), respectivamente. TCR significa receptor de células T.
  • #70 TSEB/radioterapia total con haz de electrones a la piel
  • #71 SDT/ TERAPIA DIRIGIDA A PIEL
  • #76 CTCL/cutaneous T-cell lymphoma
  • #78 Aunque han sido usados durante años, no existe mucha bibliografía acerca de su manejo7,8. Zackheim et al.8 aportan su experiencia en 79 pacientes con MF en parches o placas. Utilizaron corticoides de mediana y elevada potencia (clases I-III), en ocasiones en cura oclusiva. En pacientes en estadio T1, el 63% presento remisión completa (RC) y el 31% remisión parcial (RP), mientras que en T2 el 25% alcanzo RC y el 57% RP. Como efectos secundarios observaron supresión suprarrenal en 10 pacientes, irritación cutánea en 2 y atrofia cutánea con estrías en un paciente. Los autores concluyen que es un tratamiento bien tolerado y efectivo para estadios muy iniciales.
  • #93 Estas tasas de respuesta proceden en su mayoría de pacientes con enfermedad IA-IIA, con pobres respuestas en enfermedad tumoral, eritrodérmica y Sezary, lo que se añade a la mala tolerancia de este tratamiento en pacientes eritrodérmicos y con SS. A pesar de conseguir periodos libre de enfermedad prolongados, las tasas de recidiva con PUVAterapia son considerables, hasta el 31% en estadio IA, por lo que se precisa habitualmente continuar con pautas de mantenimiento con dosis cada 2-4 semanas.
  • #94 la ingesta prolongada de psoraleno presentan elevaciones de transaminasas, trastornos gastrointestinales, y los conocidos efectos de la fotoquimioterapia a corto y largo plazo, eritema solar, daño corneal, cataratas, dermatitis fotoalérgica, fotoenvejecimiento y aumento del riesgo de cáncer de piel.
  • #98 Esto se une a una importante toxicidad sistémica en forma de mielosupresión, infecciones oportunistas, sepsis y muerte relacionadas con la inmunosupresión. Bajas tasas de respuesta, corta duración de las mismas y una importante toxicidad sistémica contraindican esta modalidad para pacientes con enfermedad inicial limitada a la piel[119-121].
  • #101 Sus efectos secundarios incluyen síndrome seudogripal, alteraciones gastrointestinales, depresión de la medula osea y elevación de transaminasas. En pacientes con buena respuesta y riesgo de recaída se puede utilizar durante años con dosis de mantenimiento, con riesgo de desarrollar enfermedades autoinmunes como diabetes mellitus, tiroidítis o anemia hemolítica
  • #106 La mayoría de los pacientes requieren tratamiento concomitante con un agente hipolipemiante. Gemfibrozil está contraindicado en este sentido porque aumenta las concentraciones plasmáticas de bexaroteno, presumiblemente debido a la inhibición del citocromo P450 3A4, lo que a su vez provoca En una elevación paradójica de triglicéridos
  • #109 Las citopenias inducidas por alemtuzumab son la complicación potencialmente más grave observada. la linfopenia (T y B) es universal en todos los pacientes, predisponiéndolos a infecciones graves por microorganismos oportunistas (sobre todo citomegalovirus y Pneumocystis jirovecii). Alemtuzumab parece especialmente útil en el control del prurito incoercible de las formas eritrodérmicas (SS).
  • #114 Combina aspectos de la leucoféresis convencional y la fototerapia con 8-metoxipsoraleno y radiación ultravioleta A. Los mejores resultados se han conseguido en la MF eritrodérmica
  • #115 Uno de los limitadores más importantes para esta opción terapéutica lo constituye la alteración de la barrera cutánea que presentan estos pacientes, exponiéndose por tanto a un riesgo añadido de infección durante la fase de inmunosupresión. El trasplante autólogo de células progenitoras ha sido aplicado a pocos casos de LCCT.