Patología mediastinal no vascularByanka Lorena Pozzo SalvatierraGrupo CT - Scanner
MEDIASTINOESPACIO EXTRAPLEURAL ENTRE LOS DOS PULMONESDATOS CLÍNICOS:Relacionados con efecto de masa local o invasión de estructuras:Estridor, obstrucción de la vía aérea, disfagia, disfoníaSin síntomas torácicos, por valoración de neoplasia conocidaSin síntomas, estudio de rutina 54% MALIGNIDAD FRECUENCIA= BENIGNIDAD
DIAGNÓSTICO POR IMÁGEN
Localización
Localización
MEDIASTINO ANTERIORY MEDIO
Brant and Helms:  389-416
Espacio tiropericárdico< 18 mm, antes de 20 años             < 13 mm, despuésTimo normal
Hiperplasia tímicaAnomalía más frecuente
Hiperplasia folicular linfoide o de centros germinales con o sin aumento de la glándula
Se asocia a miastenia gravis en 65%Hiperplasia tímicaBrant and Helms:  389-416
Tumor más común del timo y del mediastino anterior
15% de los tumores del mediastino
Edad: 40 a 60 años
40% Sindrome Paratímico: Miastenia Gravis, aplasia de células rojas, hipergammaglobulinemia
Encapsulado - InvasivoTimoma30%Brant and Helms:  389-416
Timoma
Timoma– Tipos según la OMS
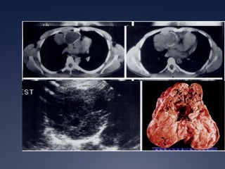
TimomaMasa redondaUnilateralContornos lisos o lobuladosCalcificaciones delgadas, lineales en la periferia.Engrosamiento pleural (unilat, masas o  nodular).
TimomaEncapsulada:46-75 U.H.Homogénea u ovalBien delimitada Usualmente asimétricaCalcificaciones focales 25%
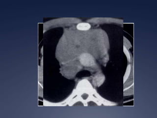
Invasivo: 33-50%IrregularOblitera los planos grasos adyacentes (esternón, vasos, pleura, retroperitoneo, abdomen)Timoma invasor
Timoma invasorContraste:Reforzamiento leveHomogéneo Áreas quísticas Áreas de menor densidad
TimomaT1 isointenso al músculo T2 intensidad cercana a la de la grasaSeñal heterogénea sugiere invasión
Carcinoma del timo
TimolipomaAdolescentes y adultos jóvenes.55% son sintomáticosCompuesto por tejido adiposo maduro y tejido tímico.Gran tamaño
Linfoma tímico40- 50% LH (nodular esclerosante).Aumento de tamaño, a veces con masas solitarias o múltiples. Leve aumento de la atenuación.Es difícil de diferenciar de un timoma.
Bocios multinodulares intratorácicos10% de las masas mediastinales75-80% Mediastino anterior20-25% Mediastino posteriorMujeres en la 5ª década
Bocio intratorácico	Lesión de contornos bien definidosSe continua con la tiroides cervicalDensidad >100 U.H. HeterogéneaAreas de mayor atenuación, quísticas y calcificaciones focales.
Bocio retroesternalRadioGraphics 2007; 27:657– 671
Bocio retrotraqueal
Bocio intratorácicoRadioGraphics 2002; 22:S231–S246
Adenoma paratiroideo ectópicoRadioGraphics 2007; 27:33– 48
Mas frecuentes en las gónadas
Los extragonadales solo 3%, mas comunes en el mediastino anterior
10% de los tumores del mediastino anterior
Células primitivas mal depositadas
Tejidos de una o mas capasTumores germinalesBrant and Helms:  389-416
Teratoma:
Maduro
Inmaduro
Seminomatosos:
Seminoma
No Seminomatosos:
De celulas embrionarias
Del seno endodérmico
Coriocarcinoma
germinal mixtoTumores germinalesBrant and Helms:  389-416
Teratoma maduro75 % de los tumores germinales
Adultos jóvenes (>40), niños
M = F
Areas focales sólidas: grasa, dientes, pelos
Componente quístico multilocularRadioGraphics 2002; 22:S61–S78
Teratoma maduroRadioGraphics 2004; 24:387– 404
Teratoma maduro
Teratoma inmaduroRadioGraphics 2004; 24:387– 404
TeratocarcinomaRadioGraphics 2002; 22:S61–S78
25 a 40% de los tumores germinales malignos
90% adultos jóvenes varones
18% seminoma puroElevación de gonadotropina corionica humanaAlfa-feto proteína normalSeminoma
SeminomaBordes lobulados Densidad homogéneaAreas de menor densidad (necrosis o hemorragia)Extn al mediastino medio y posteriorCte: refuerza levemente
Altamente malignos No sensibles a la radioterapiaSind. Klinefelter 20%Ca. embrionario, tumor  del seno endodérmico, coriocarcinoma o mixtosSintomáticos 90 – 100%MetástasisNo seminomatosos
No seminomatosoRadioGraphics 2004; 24:387– 404
LinfomaNeoplasia mediastinal más frecuente en adultosLH: 85% tórax90% adenomegalias mediastinales.LNH: 50% mediastino (linfoma linfoblástico y linfoma de células B grandes)Brant and Helms:  389-416
Linfoma de HodgkinCLÁSICAEsclerosis nodular  Celularidad mixtaRico en linfocitosDepleción linfocitariaNO CLÁSICANodular de predominio linfociticoBrant and Helms:  389-416
Hodgkin, nodular esclerosante
Mediastino Anterior 90%
Confinado solo a M.Anterior, únicamente 40%
Masas ganglionares
A veces hipodensas por necrosis
Calcificadas después de tratamientoLinfoma de Hodgkin
LinfomaRadioGraphics 2007; 27:657– 671
Linfoma
Generalmente isodensos al músculo en CTNecrosis y calcio en postquimioterapiaHiperintensos T2 RMPET/CT tamaño normal pero actividad metabólicaLinfoma No Hodgkin
Linfoma No Hodgkin
Grasa epicárdicaRadioGraphics 2007; 27:657– 671
Quiste pericárdicoBrant and Helms:  389-416
Mediastinitis esclerosanteBrant and Helms:  389-416
Hemangioma mediastinalRadioGraphics 2002; 22:S231–S246
Lipoma mediastinalRadioGraphics 2002; 22:S61–S78
LipomatosismediastinalBrant and Helms:  389-416
LipomatosismediastinalRadioGraphics 2002; 22:S61–S78
Mediastinitisfibrosante
MediastinitisfibrosanteRadioGraphics 2001; 21:737-757

Patología mediastinal no vascular