PATOLOGÍA DEL INTERSTICIO    GUELLY PÉREZ CASTELLÓN   GRUPO CT-SCANNER Abril, 2010
Clasificación ATS-ERS (2001) Fibrosis Pulmonar Idiopática (FPI) Neumonía Intersticial Inespecífica (NSIP) Neumonía Criptogénica Organizada (COP) Bronquiolitis Respiratoria asociada a Enfermedad Pulmonar Intersticial (RB-ILD) Neumonía Intersticial Descamativa (DIP) Neumonía Intersticial Linfocítica (LIP) Neumonía Intersticial Aguda (AIP)
Neumonía Intersticial Usual (UIP) Es el patrón histopatológico de la Fibrosis Pulmonar Idiopática (FPI) 2 teorías para la patogénesis: Teoría Inflamatoria Teoría de la Disregulación Fibroblástica
Epidemiología X: 66ª Es la más frecuente de las NII Factores de Riesgo: Exposición a drogas antidepresivas Inhalación del polvo de madera Hábito tabáquico (1.6-2.3 veces) Reflujo G-E crónico
Historia Clínica Disnea de mínimos esfuerzos Tos seca persistente Fracturas costales debido a ataques de tos Pérdida de peso Fatiga
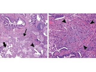
Hallazgos Histopatológicos Focos fibroblásticos dispersos Heterogeneidad espacial y temporal La muestra para la biopsia debe ser de más de 1 lóbulo Infiltrado inflamatorio mínimo en las áreas de fibrosis. Pseudoquistes
 
 
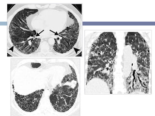
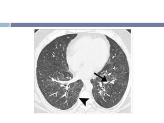
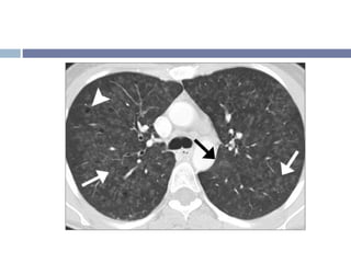
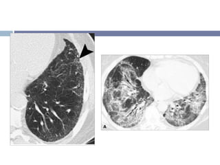
TCAR Quistes pequeños, redondos (2-10 mm). Comparten paredes gruesas. Múltiples capas en la región subpleural. Bronquiectasias de tracción y bronquioloectasias. Opacidades reticulares subpleurales Gradiente ápico-basal
Distribución Bilateral y en parches Periférico y subpleural, más prominente en los segmentos posteriores Predominantemente basal..
Otros signos radiológicos Patrón reticular irregular inter e intralobular Opacidades en vidrio despulido asociado a bronquiolectasias. Crecimiento de GL mediastinales (50-90%), más frecuente en las formas extensas.
Nódulos centrilobulares Vidrio despulido
Diagnósticos Diferenciales Neumonitis por hipersensibilidad Colagenopatías NH   FPI
Evolución y complicaciones Extensión progresiva del panal de abejas a los segmentos superior y medio Incremento en el tamaño de los quistes Reducción del grosor de sus paredes Reducción progresiva del volumen pulmonar Aumento en la incidencia de CA pulmón
ATS-ERS Criterios para el Diagnóstico de FPI en ausencia de Biposia Pulmonar Quirúrgica Criterios Mayores: Exclusión de otras causas conocidas de enfermedad pulmonar intersticial (ej, efectos tóxicos de ciertas drogas, enfermedades de tejido conectivo) Estudios de función pulmonar anormal, incluyendo datos de restricción y alteración en el intercambio gaseoso. Anormalidades reticulares bibasales con escasas áreas de vidrio deslustrado en la TCAR Biopsia pulmonar transbronquial o LBA, sin datos que apoyen un Dx alternativo . Criterios Menores: Edad mayor de 50 años Disnea de esfuerzo de inicio insidioso que no se explique de otra manera Duración de la sintomatología mayor de 3 meses Crepitaciones  a la inspiración, bibasales
Diagnóstico Invasivo La confirmación histológica se debe obtener en todos los Px con hallazgos de imagen atípicos El rol principal de la biposia tansbronquial es excluir la sarcoidosis, confirmar infecciones y neoplasias. TX:  - Ciclosporina A + corticosteroides (exacerbación aguda) -  Trasplante pulmonar
Neumonía Intersticial Inespecífica (NSIP) Etiología desconocida 40-50 a V : M Es menos frecuente que la FPI NO hay correlación con el hábito tabáquico MCl: Inicio insidioso. Disnea de esfuerzo, tos y fatiga.
Hallazgos Histopatológicos Homogeneidad espacial y temporal 2 tipos de enfermedad: NSIP Celular : El engrosamiento de los septos alveolares es causado por infiltrado inflamatorio NSIP Fibrosante : Predomina la fibrosis densa o laxa
Distribución Difusa, intersticial Simétrica, bilateral, generalmente en parche Periférica  Volumen pulmonar normal o ligeramente disminuido.
 
TCAR Vidrio despulido (100%) Opacidades reticulares (+ 30%) Áreas de consolidación   (40-70%)
Otros signos radiológicos Engrosamiento de la pared bronquial Bronquiectasias de tracción dentro de las opacidades Patrón en panal de abejas (-25%) “microquístico”
 
FPI NSIP
Diagnóstico Invasivo Confirmación diagnóstica: Biopsia pulmonar quirúrgica  El lavado bronquioalveolar es incapaz de distinguir entre FPI y NSIP fibrosante TX: Corticosteroides sistémicos asociado a drogas citotóxicas
Neumonía Criptogénica Organizada Bronquiolitis Obliterante de Neumonía Organizada (BOOP) La etiología y patogénesis es desconocida Angiogénesis y rpta reparativa exagerada 50-60 a V-M Prevalencia en no fumadores (2:1) 75% tienen síntomas de menos de 2 meses de duración
Hallazgos Histopatológicos Pólipos de tejido de granulación   en los bronquiolos respiratorios y en los conductos alveolares.  Los septos alveolares generalmente están distendidos por infiltrado inflamatorio crónico. Arquitectura pulmonar preservada
 
TCAR Áreas irregulares de consolidación de bordes mal definidos (80%) Opacidades en vidrio despulido de distribución irregular (60%) o perilobular Broncograma aéreo en las áreas de consolidación
Distribución Generalmente bilateral, en parches Periférico, subpleural Principalmente basal El volumen pulmonar es normal
Otros signos radiológicos Nódulos centrilobulares (50%) Opacidades lineales irregulares 1 o más nódulos mayores de 3 cm (Opacidades grandes redondeadas) DP moderado
Diagnósticos Diferenciales CA Bronquioloalveolar Neumonía eosinofílica crónica NSIP NSIP
Evolución y complicaciones Las opacidades pueden resolverse espontáneamente. Si no se trata, puede existir progresión hacia la fibrosis y bronquiectasias. La COP debe considerarse en pacientes con áreas  de consolidación, descritas como neumonía, que  persisten o migran luego de la antibioticoterapia.
Diagnóstico Invasivo El Dx es de exclusión En caso de hallazgos radiológicos atípicos, el Dx debe confirmarse con biopsia pulmonar quirúrgica. TX: - Corticosteroides (Recaída)
Bronquiolitis Respiratoria asociada a Enfermedad Pulmonar Intersticial (RB-ILD) Relacionada con el TABACO.  “ Bronquiolitis del fumador” 30-40 a Historia de tabaquismo de más de 30 cajetillas/año V (2): M(1) RB-ILD/DIP Síntomas subagudos de disnea y tos, leve intensidad.
Hallazgos Histopatológicos Acumulación multifocal de macrófagos pigmentados en los bronquiolos respiratorios. Vías aéres: Leve fibrosis  Septos alveolares peribronquiolares: Ligeramente engrosados
 
TCAR Micronódulos centrilobulares de baja densidad (3-5 mm)  Opacidades de vidrio deslustrado Engrosamiento de la pared bronquial Enfisema centrilobular (50%)
Distribución Bilateral, en parche Distribución al azar Segmentos superiores y medios El volumen pulmonar es normal
Diagnósticos Diferenciales Bronquiolitis respiratoria Neumonitis por hipersensibilidad Bronquiolitis respiratoria
Evolución y complicaciones Puede estar asociada c/ otras enfermedades relacionadas con el tabaquismo. Regresión total de las lesiones con la suspensión del hábito tabáquico. Corticosteroides. Sólo la biopsia pulmonar quirúrgica es capaz de confirmar el Dx.
Neumonía Intersticial Descamativa (DIP) “ Neumonía macrófago alveolar” Etiología y patogénesis desconocida Similitud con RB-ILD (extremo de un espectro de enfermedades) FUMADORES (18 caj/año)- No fumadores 3º-4º década H (2): M(1) Inicio insidioso:  Disnea  y tos
Hallazgos Histopatológicos Extensa acumulación de macrófagos pigmentados y escasas células epiteliales descamativas en los espacios alveolares.
 
TCAR Opacidades irregulares, difusas de vidrio despulido
Distribución Bilateral, generalmente simétrica Difusa, en ocasiones de predominio periférico y subpleural Basal El volumen pulmonar es normal
Otros signos radiológicos Opacidades basales reticulares Moderada distorsión de la arquitectura pulmonar Pequeños quistes en las áreas de vidrio despulido
Diagnósticos Diferenciales Neumonía por Pneumocystis Carinii Neumonitis por hipersensibilidad Neumonitis por hipersensibilidad
Evolución y complicaciones Puede estar asociada con otras enfermedades pulmonares “humo-inducidas”. Las lesiones pueden ser estables en el tiempo o regresar con el cese del hábito tabáquico.
Diagnóstico Invasivo La biopsia pulmonar quirúrgica es mandatoria para el diagnóstico definitivo. La utilidad del BAL y la biopsia pulmonar transbronquial está limitada para la exclusión de enfermedades infecciosas o neoplásicas.
Neumonía Intersticial Linfocítica (LIP) Idiopática o asociada con otras enfermedades Infiltración del intersticio por linfocitos, células plasmáticas. Etiología:  Teoría de la hiperplasia idiopática del tejido linfático pulmonar, LNH de bajo grado. 40-50 a.  Mujeres No se conocen factores de riesgo
Hallazgos Histopatológicos Importante infiltrado intersticial: linfocitos y células plasmáticas en los septos alveolares. Folículos linfoideos
 
TCAR Opacidades en vidrio deslustrado Quiste perivasculares de 1-3 cm
Distribución Difusa, uniforme, bilateral. El volumen pulmonar es normal
Otros signos radiológicos Nódulos centrilobulares Engrosamiento nodular del intersticio peribroncovascular y perilobular  Consolidaciones parenquimatosas irregulares (30%) Adenopatías mediastinales, Sp en Px con SIDA
Diagnósticos Diferenciales Bronquiolitis Respiratoria asociada a Enfermedad Pulmonar Intersticial (RB-ILD) Neumonitis por hipersensibilidad Neumonitis por hipersensibilidad
Evolución y complicaciones El curso radiológico puede mejorar o empeorar. Aislada o en asociación con otras enfermedades: AR Síndrome de Sjögren Enfermedad de Hashimoto Anemia perniciosa LES Cirrosis biliar primaria Hepatitis crónica activa Miastenia gravis Disproteinemias e inmunodeficiencias Anemia hemolítica autoinmune
Neumonía Intersticial Linfocítica (LIP) Un Dx definitivo requiere de biopsia pulmonar quirúrgica. TX: Corticosteroides  La respuesta es impredecible
Neumonía Intersticial Aguda (AIP) “ Sd de Hamman-Rich”, “Neumonía Intersticial fulminante” Es la única NII con INICIO AGUDO de los síntomas Distrés respiratorio agudo Forma rápidamente progresiva de daño pulmonar que nace de forma abrupta en personas aparentemente sanas Causa desconocida 50 a/V-M No se conocen factores de riesgo
Hallazgos clínicos Inicio agudo Tos (100%)  Disnea (80-100%) Fiebre Pródromos similares al de un cuadro gripal.
Hallazgos Histopatológicos Fase Aguda (exudativa ):  M. hialinas. Los septos alveolares están edematizados. Trombosis de arteriolas de pequeño y mediano tamaño. Fase Organizada (proliferativa):  Tejido de granulación. Fase Crónica (fibrótica)
Mujer de 43 años con AIP, 20 días después del inicio de sus síntomas
TCAR Fase temprana (1-7 días): Consolidación parenquimatosa Opacidades en vidrio despulido Fase tadía: Distorsión de la arquitectura Bronquiectasias por tracción Patrón en panal de abejas
Distribución Difusa o en parche, generalmente bilateral y simétrica En ocasiones de predominio periférico e inferior El volumen pulmonar es normal o reducido
Diagnósticos Diferenciales Neumonía atípica en sujeto inmunocompetente y neumonías oportunistas en sujetos inmunodeprimidos Neumonía Criptogénica Organizada (COP) Hemorragia alveolar difusa Edema pulmonar Varón de 68 años con edema pulmonar y daño alveolar difuso.
Neumonía Intersticial Aguda (AIP) No se conocen enfermedades asociadas. Los Px que sobreviven a la fase aguda: Fibrosis pulmonar TX:  -  De apoyo (O2) - Corticosteroides (efectivos en la fase temprana) El pronóstico es pobre con una mortalidad de más del 50%
Diagnóstico Invasivo Biopsia pulmonar quirúrgica La biopsia pulmonar transbronquial puede estrechar el DD En las UTI, el BAL es de utilidad para diferenciar la AIP de: Hemorragia alveolar difusa Neumonía eosinofílica aguda Toxicidad pulmonar inducida por drogas Neoplasias de rápido crecimiento Neumonía criptogénica organizada
10 puntos clave para el Dx de NII Las NII son raras. Sin embargo, son consideradas prototipos de otras neumonías intersticiales secundarias, encontradas en desórdenes más frecuentes (ej. Sarcoidosis, vasculitis, enfermedades de tejido conectivo). La clasificación de las NII está basada en los criterios histológicos que están muy relacionados con los hallazgos de imagen. El establecimiento del Dx final de la NII, requiere de una interacción entre el clínico, el radiólogo y el patólogo. El Dx de las NII es un proceso dinámico. El Dx preliminar deberá ser revisado durante la evolución de la enfermedad. La TCAR está indicada en todos los pacientes en quienes se sospecha de NII. Para asegurar la precisión del Dx, debe prestarse atención a una adecuada técnica de la TCAR. El rol del radiólogo es identificar a los pacientes con FPI y diferenciarlos de otras pacientes con NII, debido a que la FPI tiene un pronóstico sombrío en relación al resto de las NII. En todos los pacientes en quienes se sospecha de NII, y que no demuestren una clínica  y características radiológicas típicas, la biopsia pulmonar quirúrgica debe ser reallizada. Las muestras de biopsia deben obtenerse de más de 1 lóbulo, y la TCAR servirá de guia para determinar la localización anatómica apropiada para el sitio de biopsia. El término NSIP debe considerarse un Dx provisional hasta lograr una caracterización adecuada.

Patologia del intersticio pulmonar

  • 1.
    PATOLOGÍA DEL INTERSTICIO GUELLY PÉREZ CASTELLÓN GRUPO CT-SCANNER Abril, 2010
  • 2.
    Clasificación ATS-ERS (2001)Fibrosis Pulmonar Idiopática (FPI) Neumonía Intersticial Inespecífica (NSIP) Neumonía Criptogénica Organizada (COP) Bronquiolitis Respiratoria asociada a Enfermedad Pulmonar Intersticial (RB-ILD) Neumonía Intersticial Descamativa (DIP) Neumonía Intersticial Linfocítica (LIP) Neumonía Intersticial Aguda (AIP)
  • 3.
    Neumonía Intersticial Usual(UIP) Es el patrón histopatológico de la Fibrosis Pulmonar Idiopática (FPI) 2 teorías para la patogénesis: Teoría Inflamatoria Teoría de la Disregulación Fibroblástica
  • 4.
    Epidemiología X: 66ªEs la más frecuente de las NII Factores de Riesgo: Exposición a drogas antidepresivas Inhalación del polvo de madera Hábito tabáquico (1.6-2.3 veces) Reflujo G-E crónico
  • 5.
    Historia Clínica Disneade mínimos esfuerzos Tos seca persistente Fracturas costales debido a ataques de tos Pérdida de peso Fatiga
  • 6.
    Hallazgos Histopatológicos Focosfibroblásticos dispersos Heterogeneidad espacial y temporal La muestra para la biopsia debe ser de más de 1 lóbulo Infiltrado inflamatorio mínimo en las áreas de fibrosis. Pseudoquistes
  • 7.
  • 8.
  • 9.
    TCAR Quistes pequeños,redondos (2-10 mm). Comparten paredes gruesas. Múltiples capas en la región subpleural. Bronquiectasias de tracción y bronquioloectasias. Opacidades reticulares subpleurales Gradiente ápico-basal
  • 10.
    Distribución Bilateral yen parches Periférico y subpleural, más prominente en los segmentos posteriores Predominantemente basal..
  • 11.
    Otros signos radiológicosPatrón reticular irregular inter e intralobular Opacidades en vidrio despulido asociado a bronquiolectasias. Crecimiento de GL mediastinales (50-90%), más frecuente en las formas extensas.
  • 12.
  • 13.
    Diagnósticos Diferenciales Neumonitispor hipersensibilidad Colagenopatías NH FPI
  • 14.
    Evolución y complicacionesExtensión progresiva del panal de abejas a los segmentos superior y medio Incremento en el tamaño de los quistes Reducción del grosor de sus paredes Reducción progresiva del volumen pulmonar Aumento en la incidencia de CA pulmón
  • 15.
    ATS-ERS Criterios parael Diagnóstico de FPI en ausencia de Biposia Pulmonar Quirúrgica Criterios Mayores: Exclusión de otras causas conocidas de enfermedad pulmonar intersticial (ej, efectos tóxicos de ciertas drogas, enfermedades de tejido conectivo) Estudios de función pulmonar anormal, incluyendo datos de restricción y alteración en el intercambio gaseoso. Anormalidades reticulares bibasales con escasas áreas de vidrio deslustrado en la TCAR Biopsia pulmonar transbronquial o LBA, sin datos que apoyen un Dx alternativo . Criterios Menores: Edad mayor de 50 años Disnea de esfuerzo de inicio insidioso que no se explique de otra manera Duración de la sintomatología mayor de 3 meses Crepitaciones a la inspiración, bibasales
  • 16.
    Diagnóstico Invasivo Laconfirmación histológica se debe obtener en todos los Px con hallazgos de imagen atípicos El rol principal de la biposia tansbronquial es excluir la sarcoidosis, confirmar infecciones y neoplasias. TX: - Ciclosporina A + corticosteroides (exacerbación aguda) - Trasplante pulmonar
  • 17.
    Neumonía Intersticial Inespecífica(NSIP) Etiología desconocida 40-50 a V : M Es menos frecuente que la FPI NO hay correlación con el hábito tabáquico MCl: Inicio insidioso. Disnea de esfuerzo, tos y fatiga.
  • 18.
    Hallazgos Histopatológicos Homogeneidadespacial y temporal 2 tipos de enfermedad: NSIP Celular : El engrosamiento de los septos alveolares es causado por infiltrado inflamatorio NSIP Fibrosante : Predomina la fibrosis densa o laxa
  • 19.
    Distribución Difusa, intersticialSimétrica, bilateral, generalmente en parche Periférica Volumen pulmonar normal o ligeramente disminuido.
  • 20.
  • 21.
    TCAR Vidrio despulido(100%) Opacidades reticulares (+ 30%) Áreas de consolidación (40-70%)
  • 22.
    Otros signos radiológicosEngrosamiento de la pared bronquial Bronquiectasias de tracción dentro de las opacidades Patrón en panal de abejas (-25%) “microquístico”
  • 23.
  • 24.
  • 25.
    Diagnóstico Invasivo Confirmacióndiagnóstica: Biopsia pulmonar quirúrgica El lavado bronquioalveolar es incapaz de distinguir entre FPI y NSIP fibrosante TX: Corticosteroides sistémicos asociado a drogas citotóxicas
  • 26.
    Neumonía Criptogénica OrganizadaBronquiolitis Obliterante de Neumonía Organizada (BOOP) La etiología y patogénesis es desconocida Angiogénesis y rpta reparativa exagerada 50-60 a V-M Prevalencia en no fumadores (2:1) 75% tienen síntomas de menos de 2 meses de duración
  • 27.
    Hallazgos Histopatológicos Póliposde tejido de granulación en los bronquiolos respiratorios y en los conductos alveolares. Los septos alveolares generalmente están distendidos por infiltrado inflamatorio crónico. Arquitectura pulmonar preservada
  • 28.
  • 29.
    TCAR Áreas irregularesde consolidación de bordes mal definidos (80%) Opacidades en vidrio despulido de distribución irregular (60%) o perilobular Broncograma aéreo en las áreas de consolidación
  • 30.
    Distribución Generalmente bilateral,en parches Periférico, subpleural Principalmente basal El volumen pulmonar es normal
  • 31.
    Otros signos radiológicosNódulos centrilobulares (50%) Opacidades lineales irregulares 1 o más nódulos mayores de 3 cm (Opacidades grandes redondeadas) DP moderado
  • 32.
    Diagnósticos Diferenciales CABronquioloalveolar Neumonía eosinofílica crónica NSIP NSIP
  • 33.
    Evolución y complicacionesLas opacidades pueden resolverse espontáneamente. Si no se trata, puede existir progresión hacia la fibrosis y bronquiectasias. La COP debe considerarse en pacientes con áreas de consolidación, descritas como neumonía, que persisten o migran luego de la antibioticoterapia.
  • 34.
    Diagnóstico Invasivo ElDx es de exclusión En caso de hallazgos radiológicos atípicos, el Dx debe confirmarse con biopsia pulmonar quirúrgica. TX: - Corticosteroides (Recaída)
  • 35.
    Bronquiolitis Respiratoria asociadaa Enfermedad Pulmonar Intersticial (RB-ILD) Relacionada con el TABACO. “ Bronquiolitis del fumador” 30-40 a Historia de tabaquismo de más de 30 cajetillas/año V (2): M(1) RB-ILD/DIP Síntomas subagudos de disnea y tos, leve intensidad.
  • 36.
    Hallazgos Histopatológicos Acumulaciónmultifocal de macrófagos pigmentados en los bronquiolos respiratorios. Vías aéres: Leve fibrosis Septos alveolares peribronquiolares: Ligeramente engrosados
  • 37.
  • 38.
    TCAR Micronódulos centrilobularesde baja densidad (3-5 mm) Opacidades de vidrio deslustrado Engrosamiento de la pared bronquial Enfisema centrilobular (50%)
  • 39.
    Distribución Bilateral, enparche Distribución al azar Segmentos superiores y medios El volumen pulmonar es normal
  • 40.
    Diagnósticos Diferenciales Bronquiolitisrespiratoria Neumonitis por hipersensibilidad Bronquiolitis respiratoria
  • 41.
    Evolución y complicacionesPuede estar asociada c/ otras enfermedades relacionadas con el tabaquismo. Regresión total de las lesiones con la suspensión del hábito tabáquico. Corticosteroides. Sólo la biopsia pulmonar quirúrgica es capaz de confirmar el Dx.
  • 42.
    Neumonía Intersticial Descamativa(DIP) “ Neumonía macrófago alveolar” Etiología y patogénesis desconocida Similitud con RB-ILD (extremo de un espectro de enfermedades) FUMADORES (18 caj/año)- No fumadores 3º-4º década H (2): M(1) Inicio insidioso: Disnea y tos
  • 43.
    Hallazgos Histopatológicos Extensaacumulación de macrófagos pigmentados y escasas células epiteliales descamativas en los espacios alveolares.
  • 44.
  • 45.
    TCAR Opacidades irregulares,difusas de vidrio despulido
  • 46.
    Distribución Bilateral, generalmentesimétrica Difusa, en ocasiones de predominio periférico y subpleural Basal El volumen pulmonar es normal
  • 47.
    Otros signos radiológicosOpacidades basales reticulares Moderada distorsión de la arquitectura pulmonar Pequeños quistes en las áreas de vidrio despulido
  • 48.
    Diagnósticos Diferenciales Neumoníapor Pneumocystis Carinii Neumonitis por hipersensibilidad Neumonitis por hipersensibilidad
  • 49.
    Evolución y complicacionesPuede estar asociada con otras enfermedades pulmonares “humo-inducidas”. Las lesiones pueden ser estables en el tiempo o regresar con el cese del hábito tabáquico.
  • 50.
    Diagnóstico Invasivo Labiopsia pulmonar quirúrgica es mandatoria para el diagnóstico definitivo. La utilidad del BAL y la biopsia pulmonar transbronquial está limitada para la exclusión de enfermedades infecciosas o neoplásicas.
  • 51.
    Neumonía Intersticial Linfocítica(LIP) Idiopática o asociada con otras enfermedades Infiltración del intersticio por linfocitos, células plasmáticas. Etiología: Teoría de la hiperplasia idiopática del tejido linfático pulmonar, LNH de bajo grado. 40-50 a. Mujeres No se conocen factores de riesgo
  • 52.
    Hallazgos Histopatológicos Importanteinfiltrado intersticial: linfocitos y células plasmáticas en los septos alveolares. Folículos linfoideos
  • 53.
  • 54.
    TCAR Opacidades envidrio deslustrado Quiste perivasculares de 1-3 cm
  • 55.
    Distribución Difusa, uniforme,bilateral. El volumen pulmonar es normal
  • 56.
    Otros signos radiológicosNódulos centrilobulares Engrosamiento nodular del intersticio peribroncovascular y perilobular Consolidaciones parenquimatosas irregulares (30%) Adenopatías mediastinales, Sp en Px con SIDA
  • 57.
    Diagnósticos Diferenciales BronquiolitisRespiratoria asociada a Enfermedad Pulmonar Intersticial (RB-ILD) Neumonitis por hipersensibilidad Neumonitis por hipersensibilidad
  • 58.
    Evolución y complicacionesEl curso radiológico puede mejorar o empeorar. Aislada o en asociación con otras enfermedades: AR Síndrome de Sjögren Enfermedad de Hashimoto Anemia perniciosa LES Cirrosis biliar primaria Hepatitis crónica activa Miastenia gravis Disproteinemias e inmunodeficiencias Anemia hemolítica autoinmune
  • 59.
    Neumonía Intersticial Linfocítica(LIP) Un Dx definitivo requiere de biopsia pulmonar quirúrgica. TX: Corticosteroides La respuesta es impredecible
  • 60.
    Neumonía Intersticial Aguda(AIP) “ Sd de Hamman-Rich”, “Neumonía Intersticial fulminante” Es la única NII con INICIO AGUDO de los síntomas Distrés respiratorio agudo Forma rápidamente progresiva de daño pulmonar que nace de forma abrupta en personas aparentemente sanas Causa desconocida 50 a/V-M No se conocen factores de riesgo
  • 61.
    Hallazgos clínicos Inicioagudo Tos (100%) Disnea (80-100%) Fiebre Pródromos similares al de un cuadro gripal.
  • 62.
    Hallazgos Histopatológicos FaseAguda (exudativa ): M. hialinas. Los septos alveolares están edematizados. Trombosis de arteriolas de pequeño y mediano tamaño. Fase Organizada (proliferativa): Tejido de granulación. Fase Crónica (fibrótica)
  • 63.
    Mujer de 43años con AIP, 20 días después del inicio de sus síntomas
  • 64.
    TCAR Fase temprana(1-7 días): Consolidación parenquimatosa Opacidades en vidrio despulido Fase tadía: Distorsión de la arquitectura Bronquiectasias por tracción Patrón en panal de abejas
  • 65.
    Distribución Difusa oen parche, generalmente bilateral y simétrica En ocasiones de predominio periférico e inferior El volumen pulmonar es normal o reducido
  • 66.
    Diagnósticos Diferenciales Neumoníaatípica en sujeto inmunocompetente y neumonías oportunistas en sujetos inmunodeprimidos Neumonía Criptogénica Organizada (COP) Hemorragia alveolar difusa Edema pulmonar Varón de 68 años con edema pulmonar y daño alveolar difuso.
  • 67.
    Neumonía Intersticial Aguda(AIP) No se conocen enfermedades asociadas. Los Px que sobreviven a la fase aguda: Fibrosis pulmonar TX: - De apoyo (O2) - Corticosteroides (efectivos en la fase temprana) El pronóstico es pobre con una mortalidad de más del 50%
  • 68.
    Diagnóstico Invasivo Biopsiapulmonar quirúrgica La biopsia pulmonar transbronquial puede estrechar el DD En las UTI, el BAL es de utilidad para diferenciar la AIP de: Hemorragia alveolar difusa Neumonía eosinofílica aguda Toxicidad pulmonar inducida por drogas Neoplasias de rápido crecimiento Neumonía criptogénica organizada
  • 69.
    10 puntos clavepara el Dx de NII Las NII son raras. Sin embargo, son consideradas prototipos de otras neumonías intersticiales secundarias, encontradas en desórdenes más frecuentes (ej. Sarcoidosis, vasculitis, enfermedades de tejido conectivo). La clasificación de las NII está basada en los criterios histológicos que están muy relacionados con los hallazgos de imagen. El establecimiento del Dx final de la NII, requiere de una interacción entre el clínico, el radiólogo y el patólogo. El Dx de las NII es un proceso dinámico. El Dx preliminar deberá ser revisado durante la evolución de la enfermedad. La TCAR está indicada en todos los pacientes en quienes se sospecha de NII. Para asegurar la precisión del Dx, debe prestarse atención a una adecuada técnica de la TCAR. El rol del radiólogo es identificar a los pacientes con FPI y diferenciarlos de otras pacientes con NII, debido a que la FPI tiene un pronóstico sombrío en relación al resto de las NII. En todos los pacientes en quienes se sospecha de NII, y que no demuestren una clínica y características radiológicas típicas, la biopsia pulmonar quirúrgica debe ser reallizada. Las muestras de biopsia deben obtenerse de más de 1 lóbulo, y la TCAR servirá de guia para determinar la localización anatómica apropiada para el sitio de biopsia. El término NSIP debe considerarse un Dx provisional hasta lograr una caracterización adecuada.

Notas del editor

  • #3 Consenso Internacional de la Soc. Torácica Americana y la Soc. Respiratoria Europea (2001): Estandarizaron la terminología para NII
  • #4 FPI: Ef pulmonar intersticial fibrótica crónica de etiología desconocida En estadios avanzados: patrón predominantemente quístico. 1º Teoría: En el estadío temprano de la ef inflamatoria crónica (macrófagos, neutrófilos y eo) se cree q se origina en los septos, con lesión alveolar e incremento en la producción de citocinas fibrogénicas con la consecuente rpta exagerada de reparación conduciendo a un estadío terminal de una ef pulmonar fibrótica. Se puede identificar claramente una fase inicial de inflamación que puede seguirse de una fase tardía de fibrosis. 2º Teoría: Posterior a un insulto desconocido, se cree q existe una exagerada rpta reparativa caracterizada por migración y proliferación de fibroblastos, apoptosis reducida de los mismos fibroblastos e incremento en la rpta de las citoquinas fibrogénicas. De acuerdo con este paradigma, la lesión y activación epiteliales pueden orquestar una respuesta fibrótica sin participación de la inflamación. Fig. 1. Posible secuencia de los mecanismos patogénicos involucrados en la fibrosis pulmonar idiopática. La activación epitelial se traduce en la liberación de múltiples señales profibróticas responsables de la expansión de la población de fibroblastos/miofibroblastos y finalmente del depósito exagerado de matriz extracelular con destrucción de la arquitectura pulmonar
  • #5 POR DEFINICIÓN, LA FPI ES EL TERMINO PARA EL SINDROME CLINICO ASOCIADO CON EL PATRON MORFOLOGICO DE NIU La incidencia aumenta con la edad. La importancia de los FdR es desconocida Hábito tabáquico (1.6-2.3 veces)……… Sin embargo, no parece afectar el curso de la ef.
  • #6 Las Fx costales han sido reportadas
  • #7 Los pseudoquistes se originan de la coalescencia de los espacios aéreos con áreas fibróticas debido a la ruptura de las paredes alveolares. Las cavidades están limitadas por paredes fibróticas gruesas. Heterogeneidad espacial: areas patológicas alternadas con áreas de parénquima normal. Heterogeneidad temporal: fibrosis antigua, vieja alternada con focos fibroblásticos jóvenes, nuevos. Son Hz característicos. LAS AREAS DE PULMON NORMAL ALTERNAN CON INFLAMACION INTERSTICIAL Y PATRON EN PANAL DE ABEJAS. Aun en estadios avanzados, la presencia de focos fibroblásticos es el Hz Dx de la Ef
  • #8 Histologic features of UIP. (a) Interstitial chronic inflammation is mild, with only a few lymphoid aggregates (thin arrow). Cystically dilated airspaces that produce a honeycomb pattern (arrowhead) and areas of relatively unaffected lung (thick arrow) are present. (b) Shows a fibroblastic focus (arrowheads), which is the hallmark of UIP.
  • #9 (4) IPF in a 64-year-old man. A) Shows marked progression of the honeycombing (arrowheads) and traction bronchiectasis (arrows). (5) IPF in a 67-year-old man. (b) Coronal CT image shows an obvious apicobasal gradient of the lung alterations. (6) Show progression of reticulation and honeycombing in predominantly peripheral and basal distribution.
  • #10 La distribución es subpleural y paraseptal aunque en fases tardías se convierte en áreas de extensa fibrosis o patrón en panal de abejas. Los quistes están distribuidos en varias capas concéntricas en la región subpleural formando un panal de abejas. Los bronquios dilatados tienen paredes gruesas y tortuosas, en forma de tirabuzón o espiral. PANAL DE ABEJAS MACROQUISTICO DISMINUCION DEL VOLUMEN PULMONAR. (4) IPF in a 64-year-old man. (a) High-resolution CT image obtained at presentation shows reticular opacities, honeycombing (arrowhead), and focal ground-glass opacity (thick arrow). Moderate traction bronchiectasis is present (thin arrow). These findings are consistent with the UIP pattern. (5) IPF in a 67-year-old man. (a) Shows areas of relatively unaffected lung parenchyma with only ground-glass opacity (arrow) next to fibrotic areas with honeycombing and traction bronchiectasis (arrowhead), an appearance typical of UIP.
  • #11 A pesar q la distribución es predominantemente basal, existe un grado de involucro subpleural en las zonas superior y media, en el 10% de los casos. Distribution (a), CT image (b), and CT pattern (c) of UIP. The distribution is subpleural with an apicobasal gradient (red area in a). CT shows honeycombing (green areas in c), reticular opacities (blue areas in c), traction bronchiectasis (red area in c), and focal ground-glass opacity (gray area in c).
  • #13 a) Nódulos centrilobulares: Sag MIP muestra nodulos centrilobulares (flechas) y patrón en árbol en yema (cabeza de flechas). Note q los nódulos se acercan pero no contactan la pleura, consistente con una distribución centrilobular. b) Opacidades en vidrio despulido multifocales y bilaterales en una Hg Pulmonar. Se ve mejor en el pulmón derecho.
  • #14 El patrón en panal de abejas es menos sobresaliente. Los Hz típicos de cada ef están presentes Líneas subpleurales, bandas parenquimatosas, placas pleurales calcificadas, atelectasias redondas -Chronic HP in 72-year-old man exposed to birds. (a) Transverse thin-section CT scan of upper lobes shows patchy GGO and superimposed reticulation in predominant peribronchovascular distribution. Note bronchial tortuosity and irregularity (traction bronchiectasis, arrowheads) due to fibrosis and peripheral lobule (arrow) with decreased attenuation and vascularity in left upper lobe. -IPF mimicking chronic HP in 76-year-old woman. (a) Transverse thin-section CT scan of upper lobes shows minimal GGO and fine reticulation in predominantly peripheral distribution and honeycomb cysts (arrowheads). Two observers made incorrect first-choice diagnosis of chronic HP, one with low and one with high level of confidence. The histologic findings were characteristic of IPF. No etiologic agent was identified.
  • #15 Sp. El CA de celulas escamosas y adenocarcinoma. La FPI es usualmente progresiva. El tiempo de sobrevida posterior al Dx es de 2.5-3.5 años. La mayoría de los pacientes (40%) mueren de insuficiencia respiratoria q gralm/ se agrava por infecciones. En raras ocasiones la ef puede presentar una exacerbación aguda (fase acelerada de la FPI) con una rápida progresión debido al daño difuso alveolar.
  • #17 hallazgos de imagen atípicos: Opacidades de vidrio deslustrado extensas, nódulos, consolidación. - En ausencia de CI, la biopsia Qca pulmonar es recomendada en Px q se sospecha de NII que no muestran una clínica ni hallazgos radiológicos de FPI. - La biopsia debe ser obtenida preferiblemente con toracoscopía video-asistida, de 1 o más lóbulos. La biopsia pulmonar quirúrgica no está indicada cuando los hallazgos de la TCAR muestran un franco panal de abejas, debido a que el análisis patológico del parénquima pulmonar en estadío terminal no brinda información diagnóstica. La biopsia Qca está CI en Px con problemas cardiovasculares, IR severa, obesidad severa o arriba de los 65 años.
  • #18 Se parece en algunos aspectos a la FPI, pero tiene un pronóstico más favorable. Es más comun q los otros tipos de NII No se conocen FdR La duración de los Sn al momento del Dx varía de 18-31 meses. La mitad de los Px muestran perdida de peso, y un tercio: fiebre.
  • #19 La distribución de las lesiones es uniforme (homogeneidad espacial) y la enfermedad aparece en la misma fase (homogeneidad temporal) con focos fibroblásticos raros o ausentes. 2 tipos de ef pueden ser identificados dependiendo si prevalece la fibrosis o inflamació n. En la tipo 1, el infiltrado inflamatorio es moderadamente intenso y prevalece sobre la fibrosis. NSIP Celular : El engrosamiento de los septos alveolares es causado por infiltrado inflamatorio (linfocitos y células plasmáticas) En la tipo 2, la fibrosis predomina y expande los septos alveolares, mientras que el infiltrado inflamatorio es escaso. Histologic features of NSIP. (a) Photomicrograph of cellular NSIP shows a uniform appearance of interstitial inflammation (arrow), which consists of lymphocytes and plasma cells. (b) Photomicrograph of fibrosing NSIP shows areas of fibrosis (arrow) in addition to uniform inflammation.
  • #20 En la forma fibrosante, la fibrosis tiene una distribución subpleural e irregular. Aunque tb puede ser central, menos comúnmente es difusa. En un plano longitudinal la distribución de las lesiones es basal, AUNQUE EL GRADIENTE APICOBASAL OBVIO, COMO EL DE LA FPI, ESTA AUSENTE.
  • #22 En ef avanzada, los infiltrados pulmonares bilaterales son el hallazgo más frecuente. HRCT through the lower lungs in a patient with NSIP shows confluent ground-glass/reticular abnormality and mild traction bronchiectasis. The abnormality extends along bronchovascular bundles in the right lower lobe, and spares the posterior subpleural lung.
  • #23 En la NSIP, las bronquiectasias no necesariamente indican fibrosis irreversible, ya que la fibrosis puede regresar con el Tx (en contraste q la FPI) NSIP in a 53-year-old man. Axial high-resolution CT image shows the small cystic lesions more clearly (arrowhead).
  • #24 Key imaging features for differentiation between UIP and NSIP
  • #25 Comparison of high-resolution CT features between UIP and NSIP. (a) UIP is characterized by heterogeneous lung abnormalities consisting of subpleural honeycombing (arrowhead), reticular opacities, and traction bronchiectasis. (b) NSIP demonstrates homogeneous lung involvement with predominance of ground-glass opacity combined with subpleural linear opacities and micronodules. The microcysts in NSIP (arrowhead) are much smaller than the honeycombing in UIP.
  • #26 Drogas citotóxicas como la ciclofosfamida y ciclosporina La biopsia pulmonar transbronquial ya no está en uso. A pesar de las diferencias por TC entre FPI y NSIP, la diferenciación sigue siendo un reto Dx. Y la biopsia pulmonar Qca es requerida en todos los pacientes que no presenten clínica ni imagen típica de FPI.
  • #27 El término BOOP es un sinónimo en la practica clínica. El término ha sido omitido para evitar confusión con las efs de vías aéreas como la bronquiolitis constrictiva. Se cree que resulta de una lesión del epitelio alveolar por causa desconocida capaz de generar una angiogénesis y rpta reparativa exagerada por fibroblastos. No hay FdR conocidos. La mayoria de los px son no fumadores o exfumadores. La MCl más frecuente es de una NAC EL PATRÓN HISTOLOGICO ES LA NEUMONIA ORGANIZADA
  • #28 Los septos alveolares gralm/ están distendidos por infiltrado inflamatorio crónico, más o menos intenso. El estado en q se encuentra la enfermedad afecta múltiples focos uniformes transitorios ( el tejido conectivo es joven y en el mismo estadio de maduración en todas partes). TIPICAMENTE HAY UN INVOLUCRO PULMONAR EN PARCHES Cryptogenic Organizing Pneumonia COP is an IIP with characteristic clinical and radiologic features. The histologic pattern of COP is organizing pneumonia. Figure 12. Histologic features of COP. Photomicrograph shows fibroblastic foci in the alveolar ducts and alveoli (arrows). The organizing connective tissue is all the same age and shows moderate cellular proliferation.
  • #29 COP in a 54-year-old woman. (a) Coronal CT image shows extensive bilateral peribronchial consolidation and ground-glass opacities (arrows). An endotracheal tube is present (arrowhead), indicating the need for mechanical ventilation.
  • #30 TIPICAMENTE LAS OPACIDADES PULMONARES VARIAN DE VIDRIO DESPULIDO A CONSOLIDACION. EN FASES AVANZADAS, EL B. AEREO Y MODERADA DILATACIÓN BRONQUIAL CILINDRICA ES VISTA. Las opacidades tienden a migrar, cambiando de localización y tamaño, aun sin Tx. Son de tñ variable, desde pocos cm a un lóbulo entero. LA 1º IMAGEN YA LA SABES.. LA 2º shows peripherally located consolidation with air bronchograms and sparing of the subpleural space (arrow).
  • #31 Distribution (a), CT image (b), and CT pattern (c) of COP. The distribution is peripheral or peribronchial con predominio basal (red areas in a). CT shows consolidation with air bronchograms (dark gray areas in c), ground-glass opacities (light gray areas in c), linear opacities (blue areas in c), and mild bronchial dilatation (red areas in c).
  • #32 Atypical appearances of COP. (a) CT image shows bizarrely shaped nodules, some of which are cavitating (arrow). (b) CT image shows perilobular opacities that resemble thickened interlobular septa (arrow).
  • #33 El patrón radiológico puede ser similar La consolidación predomina en los campos pulmonares superiores y tiene una distribución subpleural. NSIP de 75 años. Opacidades en vidrio despulido bilateral y en parche, con ausencia de panal de abejas.
  • #34 Las opacidades pueden resolverse espontáneamente y luego formarse en otra parte, gral/ más cranealmente y en ocasiones en el pulmón contralateral (opacidades migratorias)
  • #35 El rol de la biopsia pulmonar transbronquial para el Dx de COP es corrientemente sub-evaluado. La mayoria de los px se recuperan completamente despues de la adm de corticosteroides, pero la recaída ocurre dentro los primeros 3 meses despues del TX, si este es reducido o suspendido.
  • #36 Debido a la superposición por clínica, imagen e histología entre RB-ILD/DIP, estas ef representan grados diferentes de severidad del mismo proceso patológico. Personas con rpta más severa al humo del cigarrillo que la bronquiolitis respiratoria simple, una alteración patológica común en fumadores.
  • #37 Acumulación multifocal de macrófagos pigmentados en los bronquiolos respiratorios y espacios alveolares adyascentes. Septos alveolares peribronquiolares: Ligeramente engrosados, POR LEVE INFLAMACIÓN. LOS HALLAZGOS EN PX CON RB-ILD NO PUEDEN DIFERENCIARSE HISTOLÓGICAMENTE DE LOS VISTOS EN PX ASINTOMÁTICOS CON BRONQUIOLITIS RESPIRATORIA Histologic features of RB-ILD. Photomicrograph shows pigmented alveolar macrophages in a terminal bronchiole and the adjacent alveoli (arrows). Moderate peribronchiolar inflammation and fibrosis are present (arrowhead).
  • #38 High-resolution CT image of the upper lung lobes shows centrilobular nodules (white arrows) and patchy ground-glass opacities (black arrow). Mild coexisting centrilobular emphysema is seen (cabeza de flecha)
  • #39 Puede coexistir enfisema centrilobular, dado q la mayoria de los px tienen historia tabáquica. a) High-resolution CT image through right mid lung shows patchy ground-glass opacity with centrilobular nodules ( arrow) b) High-resolution CT images through right mid lung show diffuse ill-defined centrilobular nodules with patchy areas of low attenuation
  • #40 Distribution (a), CT image (b), and CT pattern (c) of RB-ILD. RB-ILD has an upper lung predominance (red area in a). CT shows ground-glass opacity (gray area in c) and centrilobular nodules (red areas in c).
  • #41 Es la forma asintomática de RB-ILD, por tanto los hallazgos son similares, aunque generalmente están limitados a nódulos y vidrio despulido. Predominio en segmentos medio e inferior. High-resolution CT image shows diffuse fine poorly defined centrilobular nodules ( arrows ) with more patchy ground-glass opacity posteriorly. Otro DD es la LIP
  • #42 Puede estar asociada c/ otras enfermedades relacionadas con el tabaquismo, Sp el enfisema centrilobular. No está claro si RB-ILD es una forma temprana de la DIP, que tb afecta a Px fumadores y con quien comparte hallazgos histopatológicos. Regresión total de las lesiones con la suspensión del hábito tabáquico. Las lesiones se pueden incrementar cuando el paciente falla en dejar el hábito. La mayoría de los px reciben terapia con corticosteroides.
  • #43 Neumopatía caracterizada por la acumulación anormal y uniforme de macrófagos intraalveolares . Las similitudes con RB-ILD sugieren q las 2 enfermedades representan los extremos de un espectro de enfermedades causadas por el hábito tabáquico. En RB-ILD, habrá una gran presencia de vidrio deslustrado y nódulos centrilobulares; en el DIP, habrá opacidades en vidrio despulido y de manera infrecuente los nódulos centrilobulares. Las células que se acumulan en los espacios alveolares se conoce q son macrófagos alveolares atraidos hacia los espacios por un estímulo quimiotáctico (Pb/ los antígenos del humo del cigarrillo)
  • #44 A contrario de la distribución bronquiolocéntrica de RB-ILD, la afectación pulmonar de la DIP es más uniforme y difusa. Photomicrograph shows diffuse filling of the alveolar spaces with alveolar macrophages and a few desquamated alveolar epithelial cells (arrow) (recuadro). Mild interstitial fibrosis is present (arrowhead).
  • #45 DIP in a 55-year-old man. High-resolution CT image of the lower lung lobes shows extensive bilateral ground-glass opacities (arrowhead). Coexisting moderate bronchial wall thickening is present (arrow).
  • #46 Este hallazgo se correlaciona con la acumulación intraalveolar homogénea espacial de los macrófagos y el engrosamiento de los septos alveolares. (a)DIP in a 55-year-old man. High-resolution CT image of the lower lung lobes shows extensive bilateral ground-glass opacities (arrowhead). Coexisting moderate bronchial wall thickening is present (arrow). (b) DIP in a 43-year-old man with a history of smoking. High-resolution CT image of the lower lung zones shows patchy ground-glass opacities in both lungs, predominantly in the subpleural region (arrowheads). Small cystic spaces are present in these areas (arrow).
  • #47 El volumen pulmonar es normal o ligeramente disminuído. Distribution (a), CT image (b), and CT pattern (c) of DIP. DIP has a peripheral predominance (red areas in a). CT shows ground-glass opacity (gray area in c), irregular linear opacities (blue areas in c), and cysts (green areas in c).
  • #48 Otros signos no constantes Moderada distorsión de la arquitectura pulmonar y bronquiectasias de tracción Pequeños quistes de aire. LOS QUISTES QUE SON DEBIDO A DILATACIÓN DE LOS CONDUCTOS ALVEOLARES Y BRONQUIOLOS RESPIRATORIOS, SON MAS PEQUEÑOS QUE LOS DE LA FPI, ADEMAS NO EXISTE DISTORSION FIBROTICA. En el caso de la DIP son indicativos de cambios fibróticos. (DIP) in a 52-yr-old man. CT through the mid-lungs shows subpleural predominant ground-glass attenuation containing numerous thin-walled cysts. There is some associated fine reticulation.
  • #49 Inicio agudo en Px inmunodeprimidos, localización frecuente en los segmentos superiores y medios. Las áreas de vidrio despulido son de distribución más irregular. Gralmente asociados a nódulos centrilobulares. - Neumonitis por hipersensibilidad secundario al metotrexato: áreas en parche de vidrio despulido en ambos pulmones
  • #50 Puede estar asociada con otras enfermedades pulmonares “humo-inducidas” como la bronquiolitis respiratoria y el enfisema centrilobular. Los pequeños quistes llenos de aire dentro de las áreas de vidrio despulido pueden desaparecer espontáneamente. Con dejar de fumar y la terapia con corticosteroides, el pronóstico es bueno. Sin embargo, la ef puede progresar llegando a la muerte en los Px q no dejan de fumar.
  • #51 BAL: Lavado bronquioloalveolar A pesar de las diferencias por TC entre DIP y RB-ILD, los Hz por imagen puedes solaparse y ser indistinguibles uno del otro. Para mejorar la precisión diagnóstica, la biopsia pulmonar es requerida en todos los casos q se sospeche RB-ILD o DIP.
  • #52 RARO. Es más Fr como ef secundaria en asociación con desórdenes sistémicos, Ej: Sd de Sjögren, SIDA, y otras inmunodeficiencias. Disnea lentamente progresiva con tos por un período de 3 o más años. Idiopática o asociada con otras enfermedades. La forma idiopática en la actualidad está clasificada entre las NII. Infiltración del intersticio por linfocitos, células plasmáticas, y otros elementos del sistema linforeticular. Etiología: Teoría de la hiperplasia idiopática del tejido linfático pulmonar y el LNH de bajo grado, una etiología autoinmune e infecciosa (especialmente viral) ha sido propuesta. En el pasado la LIP era considerada un desorden linfoproliferativo pulmonar con una progresión subsecuente a linfoma maligno. Sin embargo, muchos de los casos fueron reclasificados como linfoma desde el principio y sólo un pequeño número de casos de LIP definitivos parecen experimentar una transformación maligna.
  • #53 Importante infiltrado intersticial QUE CONSISTE EN linfocitos y células plasmáticas en los septos alveolares, o con una distribución linfática. Los folículos linfoideos están distribuidos a lo largo de las regiones peribronquiolares . LA LIP PERTENECE A UN GRUPO DE LESIONES PULMONARES LINFOIDEAS PROLIFERATIVAS QUE INCLUYEN BRONQUIOLITIS, HIPERPLASIA LINFOIDEA NODULAR Y LINFOMAS DE BAJO GRADO. ALGUNOS CASOS CLASIFICADOS AL INICIO COMO LIP, HAN SIDO LUEGO RECLASIFICADOS COMO LINFOMAS DE BAJO GRADO. Histologic features of LIP: shows widening of alveolar septa by lymphoid infiltrates (arrow) (inset), which consist of mature lymphocytes, plasma cells, and histiocytes.
  • #54 LIP in a 47-year-old woman. (a) High-resolution CT image shows diffuse ground-glass opacity (arrow) with multiple perivascular cysts (arrowheads) and reticular abnormalities (*).
  • #55 Opacidades en vidrio deslustrado: Se correlaciona con la evidencia histológica de inflamación intersticial difusa. Quiste perivasculares: En contraste a los quistes subpleurales, de los lóbulos inferiores de la FPI, los quistes de la LIP están gralmente en el parénquima pulmonar, por todo el segmento medio. En COMBINACION con las opacidades en vidrio deslustrado, los quistes son altamente sugestivos de LIP. a) Lymphocytic interstitial pneumonia in an 83-year-old man with AIDS: shows extensive bilateral areas of ground-glass attenuation and small, poorly defined centrilobular nodules (arrows). b) Lymphocytic interstitial pneumonia in a 76-year-old woman with Sjögren syndrome: demonstrates several thin-walled cystic airspaces (straight arrows) in the right middle and lower lobes. Thickened bronchovascular bundles (curved arrows) are also found.
  • #56 Distribution (a), CT image (b), and CT pattern (c) of LIP. The distribution is diffuse (red area in a). CT shows ground-glass opacity (gray area in c) and perivascular cysts (green areas in c).
  • #57 Lymphocytic interstitial pneumonia in a 24-year-old woman with multicentric Castleman disease: Demonstrates diffuse distribution of poorly defined centrilobular nodules (arrows) and areas of ground-glass attenuation and thickening of interlobular septa (arrowheads).
  • #58 BRONQUIOLITIS FOLICULAR: Los nódulos son exclusivamente centrilobulares. Son el resultado de la hiperplasia de los bronquios asociada a tejido linfoideo. Las lesiones son predominantemente en los segmentos medio y superior, donde sólo están presentes los nódulos centrilobulares mal definidos. En las fases aguda y subaguda, el patrón predominante son los nódulos centrilobulares y vidrio despulido, de predominio en lóbulos superiores. Los nódulos linfáticos son normales - Neumonitis por Hipersensibilidad Subaguda: Opacidades en vidrio despulido y nódulos centrilobulares mal definidos en lóbulos superiores.
  • #59 Cuando otras enfermedades están presentes, la LIP es considerada secundaria. El curso radiológico puede mejorar o empeorar con la aparición del panal de abejas.
  • #61 En la mayoría de los casos de AIP, los criterios clínicos y de imagen del Distrés respiratorio agudo son cumplidos. Aunque la etiología y la patogénesis son desconocidas, el daño pulmonar se cree que es causado por la liberación de especies de O2 tóxicas y proteasas por los NEUTRÓFILOS PMN .
  • #63 LOS HALLAZGOS HISTOLÓGICOS SON LOS DE DAÑO ALVEOLAR DIFUSO Fase aguda: Raramente biopsiada. Las membranas hialinas, una expresión del daño epitelial agudo, delinea las paredes alveolares. Los septos alveolares presentan edema y grados variables de infiltrado inflamatorio agudo y crónico. Las trombosis son frecuentes. Fase Organizada: Inicia al final de la 1º semana de la lesión pulmonar y es caracterizada por la formación de tejido de granulación que resulta en un engrosamiento de la pared alveolar. Las membranas hialinas son reabsorbidas dentro los septos alveolares, q se tornan gruesos. Fase crónica: la fibrosis ocasiona posible distorsión de la arquitectura. A contrario de la apariencia heterogénea de la FPI, los cambios fibróticos de la AIP son uniformes y se caracterizan por numerosos fibroblastos con poco depósito de colágeno. Histologic features of the exudative phase of AIP . The alveolar septa are diffusely thickened by hyaline membranes (arrow). Fibrin deposition and inflammatory cells are present in the alveoli (arrowhead).
  • #64 Acute interstitial pneumonia in a 43-year-old woman. Thin-section (1-mm-collimation) CT scan obtained in the right lung 20 days after onset of symptoms demonstrates extensive areas of ground-glass attenuation and intralobular reticular opacities. Traction bronchiectasis extends to the level of the segmental bronchi (solid arrows). Also note a small pleural effusion (open arrows) in the major fissure.
  • #65 Son similares que los del Sd de Distrés Respiratorio Agudo, sin embargo los Px con AIP tienen una distribución más simétrica y bilateral Opacidades en vidrio despulido : Reflejan la presencia de edema y membranas hialinas en los septos alveolares. Consolidación parenquimatosa: Son menos extensas y están limitadas al área dependiente del pulmón. Resulta del edema intraalveolar y de la hemorragia. Las consolidaciones tb están presentes en la fase fibrótica y resulta de la fibrosis intraalveolar LOS HZ DE LA FASE TARDIA SON MAS LLAMATIVOS EN LAS AREAS NO-DEPENDIENTES DEL PULMON. Esto puede explicarse por el efecto “protector” de las atelectasias y consolidaciones en las áreas dependientes durante la fase aguda, que atenúan el potencial daño. 7 days after the onset of symptoms shows patchy airspace consolidation and traction bronchiectasis (small arrows). Subsegmental bronchi (large arrows) and arteries are distorted, indicating architectural distortion. 10 days after the onset of symptoms shows airspace consolidation and areas of ground-glass attenuation. The superior lingular bronchus shows traction bronchiectasis (arrows).
  • #66 Los ángulos costofrénicos están generalmente respetados. Distribution (a), CT image (b), and CT pattern (c) of AIP. AIP has a basal predominance (red area in a). CT shows airspace consolidation (dark gray areas in c), ground-glass opacities (light gray areas in c), and bronchial dilatation (red areas in c)
  • #67 El DD no puede ser hecho clínicamente y requiere una biopsia quirúrgica Las consolidaciones periféricas y/o peribronquiales tienden a ser triangulares o poligonales. Las formas aceleradas tienen patrones similares a la AIP La consolidación tiene distribución central y estar ausente en las regiones subpleurales Más gravitacional e hiliar-parahiliar. Engrosamiento de los septos y del intersticio periférico. - A 68-year-old man who has pulmonary edema and DAD. HRCT shows extensive left base and patchy right base consolidations with predominance of findings in the dependent regions of the lungs.
  • #68 En los que sobreviven a la fase aguda de la enfermedad, tienden a progresar a la fibrosis pulmonar.
  • #69 El (1º) largo numero de DD, el (2º) pobre pronóstico y la (3º) necesidad de instituir altas dosis de terapia inmunosupresora, llaman a una Dx definitivo. Considerando q el Px está muy enfermo para tolerar una biopsia pulmonar Qca, la biopsia transbronquial parece ser suficiente.