[path(o)- π θοςά gr. 'padecimiento', 'sentimiento' + -logíā -λογ αί gr. 'estudio‘
Diccionario etimológico de la Universidad de Salamanca.
Fuente OMS-ONU 2011.
Cristo curando a un ciego.
El Greco
Por un lado se le considera el padre de la medicina. El
sacerdote e historiador egipcio del siglo III a.C. Manetón,
relata que los egipcios identificaron su figura con
Esculapio, dios griego de la medicina. El papiro Edwin-
Smith, es el primer documento médico de la historia, y
está datado en el siglo XVII a.C. Este texto, se considera
una transcripción de un tratado médico escrito por él
mismo, al que en el transcurso de esos años, pudieron
sucederle dos cosas, por un lado que fuera implementado
con nuevos textos de médicos posteriores, o
contrariamente, por el paso del tiempo parte de los casos
clínicos redactados por Imhotep, se hubieran perdido en
el tiempo. La importancia de este texto radica en su
carácter científico, rehusando las tradicionales
aportaciones mágicas de los sacerdotes, y que su
objetivo era la búsqueda de una solución efectiva
para los casos clínicos.
Esculapio, hombre común y corriente vivió en la
época de la guerra de Troya (año 1.200ª.c.). En esa
época prácticamente solo existían los cirujanos en
su doble papel de carniceros-cirujanos y barberos-
cirujanos y por otro lado los que practicaban
brujerías y procedimientos mágico- religiosos sin
ninguna base científica. Esculapio fue la primera
persona (hasta donde sabemos) que invento la
profesión medica al tener una especie de
consultorio y muy importante no hacia ningún
procedimiento quirúrgico y esto (la cirugía) la
convirtió en una profesión degradante y mal vista,
también cobro su consulta y como era un hombre de
familia noble crea una especie de patente como un
invento personal y nadie mas podía ejercer este
oficio y que solo era transferido a sus hijos
masculinos como una herencia familiar, su padre
conocía los vegetales y las plantas medicinales y
por eso aprendió el arte de la sanación y el uso de
los remedios naturales.
BIBLIOGRAFIA:
Jacques Jouanna. Hipócrates.
Roy Portes. Historia de la Medicina.
Isaac Asimov: Los griegos.
Isaac Asimov: Los Egipcios.
Isaac Asimov. Las Tierras de Canaán.
Isaac Asimov. El cercano Oriente.
Homero. La Ilíada.
Homero. La Odisea.
C.G. Wagner. La Historia del Cercano Oriente.
J.M. López P. Historia de la Medicina.
La patología humana es la rama de la medicina encargada del estudio de
las enfermedades en los humanos. De forma más específica, esta disciplina
se encarga del estudio de los cambios estructurales bioquímicos y
funcionales que subyacen a la enfermedad en células, tejidos y órganos. La
patología utiliza herramientas moleculares, microbiológicas, inmunológicas y
morfológicas para tratar de explicar la etiología y manifestaciones clínicas
(signos y síntomas) que presentan los pacientes, al tiempo que propone
bases racionales para el tratamiento y profilaxis. Suele considerarse como el
enlace entre las ciencias básicas y las ciencias clínicas.
Al abordar el estudio de las enfermedades deben tenerse en cuenta:
Patología Ramas
1. Causas Etiología
2. Mecanismos de producción Patogenia
3. Formas de manifestarse (signos y síntomas) Semiología
4. Alteraciones funcionales a que da lugar Fisiopatología
5. Alteraciones morfológicas producidas
en las células, tejidos u órganos Anatomía Patológica
6. Manejo integral del enfermo Clínica
José Hurtado de Mendoza, Universidad de la Habana. Cuba.
La Anatomía Patológica Humana es la rama de la Medicina que se ocupa del
estudio, por medio de técnicas morfológicas, de las causas, desarrollo y
consecuencias de las enfermedades. El fin último es el diagnóstico correcto de
biopsias, piezas quirúrgicas, citologías y autopsias. En el caso de la Medicina, el
ámbito fundamental son las enfermedades humanas. La Anatomía Patológica es
una especialidad médica que posee un cuerpo doctrinal de carácter básico que
hace que sea, por una parte, una disciplina académica autónoma y, por otra,
una unidad funcional en la asistencia médica.
Robbins, Stanley (2010). Robbins Patología humana. (Octava ed. en español/ edición)
La patología humana es más fácil de aprender y aplicarla clínicamente
cuando se considera que son cuatro los tipos principales de
enfermedades afectando a 4 tipos de tejidos:
Enfermedades Tejidos
Inflamatorias Epitelial
Neoplásica Conjuntivo
Degenerativas Muscular
Congénitas Nervioso
Dr Nicanor Gómez Reyes. Cirujano Oncólogo.orkResidente profesional en varios hospitales: 3 años en
el sanatorio "La Luz" (de Morelia), en donde operó con los cirujanos Melchor Díaz Rubio y
Samuel Reyna Miranda; en el Grand Hospital de Columbus, Ohio, en donde operó con el médico
Andre Crotty, uno de los primeros especialistas en bocio; 3 años como oncólogo, en el American
Oncologic Hospital, de Filadelfia; y 1 año como oncólogo radioterapeuta en el Hospital General de
México.
Enfermedad inflamatoria:
Enfermedad causada por agentes que determinan una reacción inflamatoria
más o menos local, como las artritis, las otitis, las faringitis, las cistitis, etc.
Neoplasia es el término que se utiliza en medicina para designar una masa
anormal de tejido provocada porque las células que lo constituyen se
multiplican a un ritmo superior al normal. Las neoplasias pueden ser benignas
cuando se extienden solo localmente y malignas cuando se comportan de
forma agresiva, comprimen los tejidos próximos y se diseminan a distancia.
Una enfermedad degenerativa es una afección generalmente crónica, en la
cual la función o la estructura de los tejidos u órganos afectados empeoran con
el transcurso del tiempo... Un ejemplo muy claro de este tipo de enfermedades
es el infarto del miocardio, que se debe a la obstrucción de una arteria
coronaria, es decir, falta de riego y por tanto del oxígeno en una porción del
corazón.
Una enfermedad congénita es aquella que se manifiesta desde el nacimiento,
ya sea producida por un trastorno durante el desarrollo embrionario, durante el
parto, o como consecuencia de un defecto hereditario.
Esclerosis lateral amiotrófica Crouzón
Tejido epitelial
Epitelio de revestimiento
Epitelio glandular
Epitelio sensorial
Tejido conectivo
Tejido adiposo
Tejido cartilaginoso
Tejido óseo
Tejido hematopoyético
Tejido sanguíneo
Tejido conjuntivo
Tejido muscular
Tejido muscular liso
Tejido muscular estriado o esquelético
Tejido muscular cardíaco
Tejido nervioso
Neuronas
Neuroglía
Tejidos fundamentales del cuerpo humano:
Poco especializados Muy especializados
El 75 % del total de las enfermedades es inflamatoria, así que si
administras antiinflamatorios corres el riesgo de pasar por un buen
médico.
Mecanismos de defensa
Barreras naturales
Resistencia o inmunidad (natural o adquirida)
Inflamación
La inflamación puede definirse como una reacción defensiva local
integrada por alteración, exudación y proliferación. Se le ha llamado
«el síndrome local de adaptación». La reacción es desencadenada
por estímulos nocivos (noxa) de muy diversa naturaleza: físicos,
químicos y microorganismos como bacterias, hongos y parásitos. El
75 % del total de las enfermedades son inflamatorias.
Mannual de Patología Universidad Católica de Chile
Reacción compleja en el tejido conjuntivo vascularizado
Proceso omnhístico de reacciones celulares, neurovasculares,
humorales, proliferativas y hormonales que tienden a limitar la acción
de la noxa.
La inflamación es un proceso de aspectos y localizaciones muy variados. El
aspecto macroscópico fue caracterizado por Celso por cuatro signos, que se
conocen hoy como los signos cardinales de la inflamación: rubor, tumor, calor
y dolor. Posteriormente se agregó un quinto signo: la perturbación funcional.
Mannual de Patología Universidad Católica de Chile
La palabra inflamación viene del latín inflammatio y es un calco del griego
empyresis. En latín propiamente significaba incendio, entrada en llamas.
Cambió de significado cuando los griegos acuñaron la palabra empyresis en la
literatura médica para describir un órgano hinchado y caliente como si tuviera
una combustión interna.
Un tejido propiamente tal está dado por una agrupación de células del mismo
tipo, sea adosadas estrechamente, como en los epitelios, sea reunidas por
substancias intercelulares relativamente abundante, como el tejido conectivo.
Los tejidos aislados son por tanto avasculares. El histión, en el concepto
general y estructura más simple, corresponde al llamado tejido conectivo
vascular, que representa un nivel de organización superior al de una
agrupación celular. El histión incluye, además de los vasos, terminaciones
nerviosas. Según este concepto, los órganos están integrados por histiones
específicos. El componente específico está dado por el parénquima del
órgano correspondiente. Así pueden distinguirse como histiones complejos o
específicos, el nefrón, hepatón, pneumonón, etc.
Nefrón
TIPOS DE INFLAMACION
La inflamación según su duración se divide en aguda y crónica. La aguda es de
duración relativamente corta (minutos, horas o unos pocos días), se inicia muy
rápidamente y se caracteriza por el exudado de fluidos plasmáticos y la
migración de leucocitos predominantemente neutrófilos.
La inflamación crónica dura semanas, meses o incluso años y se caracteriza
histológicamente por el infiltrado de linfocitos y macrófagos con la proliferación
de vasos sanguíneos y tejido conectivo
INFLAMACION AGUDA
Los cambios que se producen tras la lesión tisular se deben a tres procesos:
Cambios en el flujo y calibre vascular, que hacen que aumente el flujo
sanguíneo.
Cambios estructurales en los vasos sanguíneos que aumentan la
permeabilidad vascular e inducen la formación de exudado inflamatorio.
Paso de los leucocitos del espacio vascular al extravascular alcanzando así el
foco de las lesiones.
El resultado de todo ello es el acúmulo de un fluido rico en proteínas, fibrina y
leucocitos.
En los primeros 10-15 minutos se produce una hiperhemia por dilatación de
arteriolas y vénulas y apertura de los vasos de pequeño calibre. Tras esta fase
aumenta la viscosidad de la sangre, lo que reduce la velocidad del flujo sanguíneo.
Al disminuir la presión hidrostática en los capilares, la presión osmótica del plasma
aumenta, y en consecuencia un líquido rico en proteínas sale de los vasos
sanguíneos originando el exudado inflamatorio.
Arteriola Vénula
Capilar Capilar venoso
Arterial
Mastocito Fibroblasto Macrófago
Endotelio Membrana
Basal
Fibras Colágenas Proteogl
Elásticas
Neurona
INFLAMACION CRONICA
Si la inflamación dura semanas o meses se considera crónica, y tiene dos
características importantes:
El infiltrado celular está compuesto sobre todo por macrófagos, linfocitos y
células plasmáticas
La reacción inflamatoria es más productiva que exudativa, es decir, que la
formación de tejido fibroso prevalece sobre el exudado de líquidos.
La inflamación crónica puede producirse por diversas causas: a) progresión de
una inflamación aguda; b) episodios recurrentes de inflamación aguda y c)
inflamación crónica desde el comienzo asociada frecuentemente a infecciones
intracelulares (tuberculosis, lepra, etc).
Microscópicamente la inflamación crónica se caracteriza por la presencia de
macrófagos y sus derivados (células epitelioides y gigantes), linfocitos, células
plasmáticas, neutrófilos, eosinófilos y fibroblastos.
Nódulo tuberculoso
Nódulo actinomicótico
MANIFESTACIONES SISTEMICAS DE LA INFLAMACION
Las manifestaciones sistémicas se conocen de forma colectiva como
respuesta de la fase aguda (acute phase response). Al llegar un agente que
produzca una lesión hay un ajuste rápido en la composición de las proteínas
plasmáticas y la concentración de algunas aumenta, mientras que la de otras
disminuye. Una de las que aumenta es la proteina C reactiva, que funciona
como opsonina de bacterias, la a-2-macroglobulina y otras antiproteinasas, el
fibrinógeno del sistema de la coagulación y el amiloide sérico A, cuya función
se desconoce. La albúmina y la transferrina disminuyen. La mayoría de estos
cambios se producen por alteraciones en la síntesis de estas proteínas por
los hepatocitos.
La inflamación produce fiebre a través de pirógenos externos (endotoxina
generalmente) que estimulan la producción de pirógenos endógenos como la
IL1 o el TNF. Estas citocinas actúan sobre el hipotálamo anterior, donde se
encuentra el termostato central del organismo e inducen la producción de
PGE2 que hace aumentar la temperatura corporal. Además, en la sangre
periférica se puede observar una leucocitosis, es decir, un aumento del
número de leucocitos (dos o tres veces). Este aumento se debe sobre todo a
los neutrófilos, entre los que aparecen algunas formas inmaduras (cayados).
Tipos de inflamación por la secreción que se produce:
Serosa
Fibrinosa
Purulenta
Hemorrágica
Catarral
INFLAMACIÓN SEROSA Es caracterizada por la transudación de suero
sanguíneo, un claro fluido albuminoso. Este tipo de inflamación es
especialmente común en cavidades serosas indudablemente porque por las
grandes áreas de superficies bien vascularizadas.
La inflamación serosa también ocurre en los pulmones, como el primer
estadío en ciertas neumonías, en respuesta a varios químicos irritantes
inhalados, o ingeridos que presumiblemente eliminados por los pulmones.
Ejemplos de inflamación serosa localizada son las vesículas que se forman
en la piel luego de la picadura de un insecto o en quemaduras de segundo
grado; o las vesículas que afectan la mucosa en enfermedades como fiebre
aftosa, estomatitis vesicular y exantema vesicular.
McGeer PL, McGeer EG. Innate immunity, local inflammation, and degenerative disease. Sci Aging Knowledge Environ. 2002.
INFLAMACIÓN FIBRINOSA
Es caracterizada por un exudado que contiene grandes cantidades de
fibrinógeno que coagula formando fibrina.
La inflamación fibrinosa ocurre principalmente en membranas mucosas o
serosas y es particularmente frecuente en el saco pericárdico.
INFLAMACIÓN PURULENTA
Es caracterizada por la formación de grandes cantidades de pus. Pus es un
exudado purulento, típicamente un líquido de color y consistencia cremosa. Su
color amarillo cremoso es cambiado hacia el azulado o verdoso si Pseudomona
aeruginosa es la bacteria infectante. La característica distintiva del pus es la
presencia de numerosos PMN (leucocitos polimorfo nucleares). Estos
neutrófilos, junto con las células necróticas en estado más o menos licuefactivo,
y una menor cantidad de otros constituyentes de exudado inflamatorio,
incluyendo suero, constituyen los ingredientes del pus.
Un absceso es definido como una colecta circunscripta de pus. Cuando se
encuentra bien desarrollado, tiene una pared o cápsula de tejido fibroso que lo
separa de los tejidos http://www.caninum.com/atlas/inflamacion/tiposdeinflamacion.htm
INFLAMACIÓN HEMORRÁGICA :
En esta forma, el exudado contiene abundantes glóbulos rojos extravasados.
La salida de glóbulos rojos es debido a la lesión vascular, que generalmente
compromete a pequeños vasos, ya sea por acción directa del agente, o bien
como consecuencia de la alteración circulatoria secundaria a la inflamación.
Como ejemplo de este tipo de inflamación citamos a la bronconeumonia
hemorrágica, producida por los adenovirus y las infecciones estreptocócicas.
INFLAMACIÓN CATARRAL O MUCOSA
El componente característico de este tipo de inflamación es el exudado de
mucus producido por células epiteliales, ya sea de las glándulas mucosas
que desembocan en las membranas mucosas o en las glándulas mucosas
unicelulares llamadas células caliciformes (goblet cells). Por esta razón, la
presencia de esta inflamación está limitada a las membranas mucosas.
http://www.iztacala.unam.mx/rrivas/NOTAS/Notas7Patpulpar/infagualtmediadores.html
MEDIADORES QUIMICOS DE LA INFLAMACION
Mientras que la respuesta vascular es variable, dependiendo del daño infringido
(suave, moderado, severo), otro punto de variabilidad es la respuesta vascular.
La duración es variable y está asociada con la severidad del daño. La duración
está controlada por los mediadores químicos de la inflamación de la siguiente
forma:
Respuesta inmediata transitoria (monofásica)
Respuesta inmediata prolongada (bifásica)
Respuesta prolongada retrasada
Respuesta sostenida
Respuesta inmediata transitoria (monofásica).
Esto ocurre por daño suave y dura de 10 a 15 minutos. Involucra vénulas
postcapilares pequeñas y medianas. La respuesta está mediada
primariamente por histamina y puede ser suprimida por antihistamínicos.
Respuesta inmediata prolongada (bifásica)
Esto ocurre con daños más severos e involucra capilares así como vénulas.
Esta fase se dispara varios minutos hasta una hora después de la fase
transitoria inmediata y puede durar varias horas o hasta días (los mediadores
incluyen bradiquinina, anafilatoxina, y posteriormente, prostaglandinas,
leucotrinas, anafilatoxinas, radicales libres carentes de oxígeno y otros).
Puede ser suprimida por salicilatos y glucocorticoides
Respuesta prolongada retrasada.
En este caso la agresión no invoca una respuesta inmediata (la quemadura
por el sol es un ejemplo). Las prostaglandinas y leucotrienos son los
mediadores probables en esta respuesta.
Respuesta sostenida.
Ocurre en las agresiones más severas e involucra una marcada respuesta
vascular (vénulas, capilares y arteriolas).
La permeabilidad vascular aumenta inmediatamente y continúa
permaneciendo alta. Esto es probablemente debido a una sobreposición de la
respuesta inmediata (con mediador histamina) y respuesta mediada por
bradiquinina, prostaglandinas, leucotrienos, etc.
Mucho del exceso de líquido y proteínas en los tejidos que se
acumulan como resultado del aumento en la permeabilidad es removido por
el sistema linfático. Las vénulas también pueden participar en esto. Los vasos
linfáticos son conductos con un recubrimiento endotelial con uniones débiles
intercelulares, membranas basales escasas y sin recubrimiento muscular. El
drenaje de irritantes químicos o bacterianos puede irritar los vasos linfáticos y
producir linfagitis (inflamación de los vasos linfáticos) o linfadenitis
(inflamación de los nódulos o ganglios linfáticos de drenaje)
Las prostaglandinas son un conjunto de sustancias de carácter lipídico
derivadas de los ácidos grasos de 20 carbonos (eicosanoides), que contienen
un anillo ciclopentano y constituyen una familia de mediadores celulares, con
efectos diversos, a menudo contrapuestos. Las prostaglandinas afectan y
actúan sobre diferentes sistemas del organismo, incluyendo el sistema
nervioso, el tejido liso, la sangre y el sistema reproductor; juegan un papel
importante en regular diversas funciones como la presión sanguínea, la
coagulación de la sangre, la respuesta inflamatoria alérgica y la actividad del
aparato digestivo.
Virus
Odontitis
Parodontitis
Mucositis
Glositis
Osteitis
Osteomielitis
Miositis
Neuritis
Flemones
Angina de Ludwig
Herpes labial
Odontitis: Definición
Sustantivo femenino
Inflamación de uno o varios dientes, especialmente de la pulpa.
Diccionario de Medicina VOX
Pulpitis Aguda Focal
Observe en la diapositiva la dilatación de los vasos sanguíneos pulpares;
cortados aquí en forma longitudinal; vea que están Hiperémicos, llenos de
glóbulos rojos. Hay poco edema, pero no hay diapédesis de leucocitos.
http://www.ucv.ve/fileadmin/user_upload/facultad_odontologia/Imagenes/Portal/Anatomia_Patologica/Practica5_Enfermedades_Infecciosas_de_origen_pulpar_y_periapical.pdf
Pulpitis Aguda
Observe vaso dilatación y edema.
Pulpitis Aguda
Observe en la parte inferior, una franja de dentina normal y debajo de esta se
aprecia producción de dentina reparativa como respuesta al factor etiológico
nocivo crónico.
Observe en la zona central un área compatible con absceso pulpar y el
infiltrado inflamatorio agudo que lo bordea.
Pulpitis Crónica:
Observe en la diapositiva el exudado mononuclear, compuesto de linfocitos y
plasmocitos. Ya empieza a observarse la fibrosis característica de esta
inflamación crónica.
Pulpitis Crónica Hiperplásica
Imagen clínica. Observe en la diapositiva un primer molar inferior
de un niño de 12 años cuya cara oclusal tiene una cavidad de caries;
toda ella ocupada por una gran masa carnosa rosada correspondiente
a un pólipo pulpar que protruye de la pulpa.
Pulpitis Crónica Hiperplásica.
Vemostejido dentario correspondiente ala corona de un molar destruido por la
cariesy protuyendo de la cámara pulparuna lesión en forma de “hongo” el cual
es el pólipo pulpar.
Pulpitis Crónica Hiperplásica
Mayor aumento. Observe en la diapositiva la misma lesión fungiforme en una
vista más cercana donde vemos que está tapizado por epitelio plano estratificado
igual y proveniente de la mucosa bucal. Debajo del epitelio vemos el corion de
tejido conjuntivo y un infiltrado inflamatorio crónico.
Necrosis Gangrenosa de
la Pulpa:
La pulpitis sin tratamiento termina en necrósis del tejido pulpar con
sobreposición de infección bacteriana.
Observe en la diapositiva una pulpa necrótica de aspecto fibrilar: sin células,
con restos nucleares, sin apariencia de tejido vivo.
La periodontitis, denominada comúnmente piorrea, es una enfermedad que
inicialmente puede cursar con gingivitis, para luego proseguir con una pérdida de
inserción colágena, recesión gingival, e incluso la pérdida de hueso, en el caso de
no ser tratada, dejar sin soporte óseo al diente. La pérdida de dicho soporte
implica la pérdida irreparable del diente mismo.
De etiología bacteriana que afecta al periodonto (el tejido de sostén de los dientes,
constituido por la encía, el hueso alveolar, el cemento radicular y el ligamento
periodontal) se manifiesta más comúnmente en adultos mayores de 35 años, pero
puede iniciarse en edades más tempranas.
Periodontitis
•Zerón Agustín. Nueva clasificación de las enfermedades periodontales. ADM. 2001; LVIII(1):16-20.
Clasificación
Una periodontitis según su grado de afectación dental se clasifica en: leve,
moderada o grave. Y según su extensión se denomina: localizada o
generalizada.
Las periodontitis desde 1999 se han clasificado (ASP) en: crónicas,
agresivas y asociada a estados sistémicos.
Periodontitis crónica (del adulto)
Periodontitis simple
Es la forma más prevalente. Se hace clínicamente significativa sobre los
treinta años de edad y suele estar precedida de una gingivitis. La pérdida de
soporte se produce en los periodos activos de la enfermedad. Sin embargo, la
presencia de Porphyromonas gingivalis indica una alta probabilidad de
periodontitis activa que si no trata a tiempo puede traer irreversibles
consecuencias.
Periodontitis agresiva (de inicio precoz)
Aparece a los veinte años de edad o antes. Supone, aproximadamente, entre
un 10 y un 15% de todas las periodontitis. En la presentación clásica de la
periodontitis juvenil localizada, la pérdida ósea está localizada a los primeros
molares y a los incisivos inferiores definitivos.
Periodontitis agresiva localizada
Afecta principalmente a los primeros molares e incisivos, probablemente
porque ya están erupcionados al iniciarse la enfermedad. Puede progresar a
la forma generalizada o, posteriormente, a la periodontitis de evolución rápida.
Tanto la forma localizada como la generalizada tienen la misma etiología, pero
su presentación depende de la efectividad de la respuesta defensiva del
huésped. Existen una serie de factores asociados que son: el déficit en la
quimiotaxis de los leucocitos, el número reducido de quimiorreceptores
superficiales y la cantidad anormal de glicoproteínas en la superficie de los
Periodontitis de inicio precoz generalizada
Puede generarse desde una forma localizada o debutar así. Se distingue de la
periodontitis de evolución rápida en función del tiempo de inicio de la
enfermedad. Sin embargo, la edad no puede precisarse, pues el tiempo del
diagnóstico no coincide con el inicio de la enfermedad. Se relaciona con la
presencia de una serie de bacterias como son Aggregatibacter
actynomicetemcomitans o la Porfiromona gingivalis.
Periodontitis de inicio precoz relacionada con enfermedades sistémicas
Afecta tanto a denticiones temporales como mixtas. No suele tener un buen
pronóstico a medio y largo plazo, y supone la pérdida precoz (parcial o total) de
los dientes. Las enfermedades asociadas son: déficit de adherencia leucocitaria,
hipofosfatasia, neutropenia clínica, leucemias, sida, diabetes mellitus del tipo I,
trisomía 21, etc.
Periodontitis agravada por factores sistémicos
Enfermedades como la diabetes mellitus, la enfermedad de Addison, la
enfermedad de Crohn, un tipo raro de síndrome de Ehlers-Danlos, enfermedades
hematológicas o el sida provocan una progresión más rápida de la periodontitis,
con diferentes manifestaciones clínicas.
Parodontopatía
Encia sana
Inserción Gingivodentaria sana
Ruptura del anillo de
Kolhiker
Primer absceso gingivodentario sin compromiso
Oseo aparente.
Qué es
Profundización relativamente asintomática de la
Placa bacteriana
Absceso parodontal severo, con sintomatología franca
Destrucción del parodonto
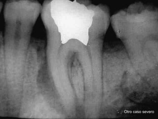
Otro caso severo
Mucositis
La mucositis es una inflamación y penetración dolorosa de las membranas
reproductoras del revestimiento del tracto gastrointestinal . Normalmente se trata
de un efecto adverso de los tratamientos de quimioterapia y radioterapia del
cáncer. También se han reportado casos en personas expuestas a agrotóxicos.
Puede presentarse en cualquier punto del tracto gastrointestinal, pero el término
mucositis oral se refiere exclusivamente a la inflamación y ulceración de la mucosa
bucal. La mucositis oral es una complicación frecuente y a menudo debilitante del
tratamiento del cáncer.
Glositis
Glositis. Inflamación de la lengua, ya sea aguda (que aparece repentinamente) o
crónica (que se presenta constantemente). La glositis le proporciona un aspecto liso
y un cambio de color (ya sea rojo intenso o rojo pálido). La lengua se engrosa y
aparecen pequeñas lesiones muy dolorosas ya que está formada principalmente
por músculos y recubierta por una mucosa que contiene todas las papilas
gustativas, por tanto, es un órgano muy sensible, especialmente en la punta y los
bordes, donde está más expuesta a diferentes lesiones.
http://www.ecured.cu/index.php/Glositis
Causas
Con frecuencia es un síntoma de otras afecciones o problemas, entre ellos:
Reacción alérgica a cremas dentales, enjuagues y refrescantes bucales,
colorantes en los dulces, plásticos en las prótesis dentales o en los retenedores o
ciertos medicamentos para la presión arterial (IECA)
Boca reseca, cuando se destruyen las glándulas que producen la saliva
Infecciones virales o bacterianas (incluso el herpes simple oral).
Lesión por quemaduras, bordes ásperos de los dientes o por aparatos
odontológicos u otro tipo de traumas.
Niveles bajos de hierro (llamado anemia ferropénica) o de ciertas vitaminas del
complejo B, como la vitamina B12.
Afecciones cutáneas tales como el liquen plano oral, el eritema multiforme, la
úlcera aftosa, el pénfigo vulgar, la sífilis y otros trastornos.
Tabaco, alcohol, los alimentos calientes o condimentos u otros irritantes.
Infección por cándida en la boca.
Algunas veces, la glositis puede ser hereditaria y no se debe a otra enfermedad o
even
Glositis areata exudativa
enfermedad idiopática caracterizada por la pérdida de las papilas filiformes que
dejan áreas enrojecidas de máculas circinadas rodeadas por un halo blanco.
Las lesiones cicatrizan, y salen otras.
--
Glositis de Hunter
La glositis de Hunter es un trastorno secundario que puede aparecer
asociado a una anemia y al déficit de vitamina B12. Se hace perceptible por
una sensación virulenta de quemazón en la boca.
> http://www.onmeda.es
Glositis Romboidal Media
Etiología
Se creía que era una anomalía del desarrollo de la lengua (tubérculo impar).
Actualmente se considera que ocurre por una infección crónica por Candida
Albicans o Candidiasis Eritematoso Crónico.
Características Clínicas
Forma romboidea u oval bien definido
De color rojizo, plano, ligeramente multilobulada, superficie lisa y despabilada
Localizada en la línea media, en la cara dorsal de la lengua por delante de las
papilas circunvaladas o v lingual
Tamaño variable de 1 - 3 cm.
asintomática, ocasionalmente manifiesta sintomatología dolorosa de poca
intensidad
Glositis migratoria benigna o lengua geográfica
-
La causa específica de la lengua geográfica se desconoce, aunque es posible
que esté relacionada con la deficiencia de vitamina B. Otras causas pueden
abarcar irritación a causa de la ingestión de alimentos calientes o picantes, o el
consumo de alcohol. Esta afección parece ser menos común en los fumadores.
El patrón en la superficie lingual puede cambiar rápidamente. Este cambio en el
patrón se presenta cuando hay una pérdida de las diminutas proyecciones
digitiformes, llamadas papilas gustativas, en la superficie lingual, lo cual hace que
las áreas de la lengua se aplanen. Se dice que estas áreas están "desnudas" y
Eliminación de focos sépticos en bloque en paciente con osteitis
mandibular crónica
Osteitis
Imagen microscópica de osteitis, inicialmente existe una etapa de
osteoclastosis seguida por regeneración. No siempre el hueso
regenera en su totalidad y sigue el curso de cualquier inflamación
dejando un area de tejido fibroso que con el tiempo puede
calcificarse (hueso denso)
Manejo con antibióticos obligado
Revisión periódica
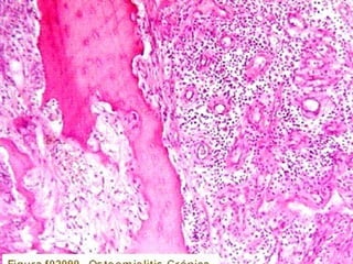
Osteomielitis
La osteomielitis es una infección súbita o de larga data del hueso o médula
ósea, normalmente causada por una bacteria piógena o micobacteria y
hongos. Los factores de riesgo son trauma reciente, diabetes, hemodiálisis y
drogadicción intravenosa.
La Osteomielitis se define como una inflamación extensa del hueso,
implicando a toda porción esponjosa, medular, cortical, periostio, vasos
sanguíneos, nervios y epífisis. La inflamación puede ser aguda, subaguda o
crónica y presenta un desarrollo clínico diferente según su naturaleza (1-5).
En el caso de los maxilares se considera la infección odontógena como la
causa más frecuente de osteomielitis. Se puede presentar a cualquier edad
con un predominio entre los hombres. Afecta principalmente al maxilar
inferior. En el maxilar superior es más raro, debido a una mayor
vascularización .
López EM, Salas AC. Osteomielitis. Criterios actuales e importancia para el estomatólogo. Rev. Cuabana Estomatol. 2001;38(1):52-66.
Miopatías inflamatorias. Dermatomiositis.
Polimiositis. Miositis con cuerpos de inclusion.
Un esguince o torcedura es una lesión de los ligamentos por distensión,
estiramiento excesivo, torsión o rasgadura, acompañada de hematoma e
inflamación y bastante dolor que impide continuar moviendo la parte
lesionada.
Se origina al afectarse la región articular por acción mecánica (la exigencia de
un movimiento brusco, excesiva apertura o cierre articular, movimiento anti-
natural), o por violencia (caída, golpe).
No debe confundirse con la luxación, la cual es una lesión más severa que
involucra el cambio de posición de la articulación y la separación de sus
huesos. Ni tampoco con el desgarro, que es la lesión del tejido muscular.
American Academy of Orthopaedic Surgeons. Consultado el 5 de diciembre de 2011.
Inflamación muscular por stress, trauma, prótesis mal adecuadas, adoncia, etc.
La musculatura de la cara experimenta la pentada (rubor, tumor, calor, dolor y
pérdida de la función. Ocasionalmente la musculatura de la cara puede
involucrarse en procesos infecciosos generalmente de etiología dentaria y el
area de más sufrimiento es el espacio aponeurótico.
Trauma severo en los
músculos de la expresión facial
Miositis imagen microscópica
La neuritis se refiere a la inflamación de uno o más nervios. A veces varios
grupos de nervios en diferentes partes del cuerpo pueden estar involucrados.
En este caso la afección se conoce como polineuritis.
Síntomas de Neuritis
Hormigueo, sensación de quemazón y dolor punzante en la zona afectada
Los síntomas principales de la neuritis son el hormigueo y la cesación de
quemazón, y el dolor punzante en los nervios afectados. En casos severos,
puede llegar a dormirse la zona afectada, perdida de sensación, y parálisis de
los nervios cercanos. De esta manera la parálisis temporal, de los músculos
faciales pueden resultar con cambios en los nervios faciales en el lado
afectado. Durante el estado agudo de esta condición, el paciente puede que no
pueda cerrar los ojos debido a una perdida de fuerza de los músculos en el
lado afectado de la cara.
Neuritis
Herpes zooster de la rama supraorbitaria derecha
Herpes zooster de la rama
supraorbitaria izquierda
Lesión Neuronal
Cuando se lesiona una neurona o sus prolongaciones ocurren dos procesos
degenerativos:
El Anterógrado y el Retrógrado (al soma), que se activan sobre elementos
cercanos y tejido a distancia. Afectan al axón, vaina mielínica, la sinapsis y las
células a distancia sináptica (Cromatólisis)
Respuesta Neuronal frente a la lesión
Lesión Neuronal
Cuando se lesiona una neurona o sus prolongaciones ocurren dos procesos
degenerativos:
El Anterógrado y el Retrógrado (al soma), que se ac
tivan sobre elementos cercanos y tejido a distancia
. Afectan al axón, vaina mielínica, la sinapsis y las célulasa distancia sináptica
(Cromatólisis)
Degeneración Walleriana
El aplastamiento o sección de un axón provoca el inicio de un proceso degenerativo
que se extiende distalmente a la lesión Tambien compromete al cabo proximal por
una corta distancia si es una lesión de intensidad moderada; al mismo tiempo
comienza la reparación con la aparición de nuevos brotes axonales.
Por otra parte, la porción distal del axón, incluyendo su arborización terminal,
degenera completamente y la vaina de mielina se fragmenta y reabsorbe. Lo anterior
es bastante lógico si se considera como centro
trófico al soma.
Para una mejor descripción se puede agregar que la vaina de mielina se fragmenta
hasta convertirse en pequeñas gotas de lípido que rodean al axón. Posteriormente,
llegan los macrófagos para eliminar los detritos celulares y lipídicos. Durante la
degeneración, las células de Schwann permanecen intactas, pero luegode unos
instantes se hipertrofian, se dividen y se disponenen fila con sus extremos
superpuestos hasta formar una especie de tubo que contiene en su interior restos
axonales.
Este proceso se ha denominado
Degeneración Walleriana
(anterógrada) en honor a quien lo describió en
1852, Augustus Waller.
Flemones
Celulitis (etimológicamente: ‘inflamación de las células’) es una
inflamación de los tejidos conectivos celulares subcutáneos (bajo la
piel). Un tipo de tejido, conjuntivo, areolar, densamente poblado por
células (en especial adipocitos) (células del tejido grasoso).
Generalmente es causada por infecciones bacterianas, que pueden
venir de bacterias exógenas o de la flora dental o cutánea normal.
La angina de Ludwig, también denominada Flemón difuso hiper
séptico y gangrenoso de piso de boca, es una infección severa y mortal
de origen dental, en la que el pus invade gravemente cara, cuello, vías
respiratorias y pulmones.
Etiología
La infección es de origen dental en el 90% de los casos, existen otros
factores causales como sialoadenitis de la glándula submaxilar, fractura
mandibular abiertas, laceraciones de tejidos blandos orales, heridas en piso
de boca e infecciones orales secundarias. Cuando la etiología no es
infecciosa se ha llegado a denominar el fenómeno como pseudo-angina de
Ludwig. En mi práctica personal un 25 % de los pacientes son HIV positivos,
un 50 % diabéticos descompensados, un 14 % artríticos y el restos
presentan diferentes patologías.
Nótese como en este caso la paciente tiene tomadas las regiones geniana,
palpebral, maseterina, temporal y región lateral del cuello.
En este acercamiento pueden observar con más claridad la gravedad del caso.
El manejo se hizo con triple
esquema: Cefotaxima, Clindamicina
y metronidazol, por supuesto estos
pacientes son rigurosamente
aislados.
En el estudio radiográfico determinamos que el factor causal fué un foco séptico
dentario a nivel de segundo molar inferior izquierdo.
Después de 14 días de hospitalización la paciente es egresada con un mejor
pronóstico. Habiendo drenado compartimientos aponeuróticos.
En esta imagen pueden apreciar
como la infección además de
fibrosis muscular ha determinado
lesión del nervio facial. Por lo que
se envía a fisioterapia.
Mucormicosis
ntroducción.
Con este término, nos referimos a un grupo de micosis causadas por hongos
del orden Mucorales. La mayoría de los casos se presenta en personas con
factores de oportunismo severos como diabetes mellitus descompensada,
leucemia, o cáncer. Son infecciones graves que pueden causar la muerte; las
variedades clínicas más frecuentes son: rinocerebral, pulmonar, digestiva y
cutánea primaria. Las infecciones causadas por hongos del orden Mucorales,
generalmente se adquieren por vía respiratoria ya que las esporas de los
hongos se encuentran en el ambiente, aunque en las formas cutáneas
primarias, la infección se adquiere por solución de continuidad.
Dr. Luis J. Méndez Tovar
Unidad de Investigación Médica, Hospital de Especialidades C.M.N. Siglo XXI.
La paciente falleció a las 24 horas de internamiento por trombosis del seno
cavernoso.
Tinción de Gram
La tinción de Gram o coloración de Gram es un tipo de tinción diferencial
empleado en Bacteriología para la visualización de bacterias, sobre todo en
muestras clínicas. Debe su nombre al bacteriólogo danés Christian Gram,
que desarrolló la técnica en 1884. Se utiliza tanto para poder referirse a la
morfología celular bacteriana como para poder realizar una primera
aproximación a la diferenciación bacteriana, considerándose Bacteria Gram
positiva a las bacterias que se visualizan de color morado, y Bacteria Gram
negativa a las que se visualizan de color rosa o rojo o grosella
Bacterias Escherichia coli (Gram
negativas) vistas al microscopio tras
ser teñidas con la tinción de Gram.
Bacterias Clostridium perfringens (Gram positivas).
Utilidades
En el análisis de muestras clínicas suele ser un estudio fundamental por cumplir
varias funciones:
Identificación preliminar de la bacteria causal de la infección.
Utilidad como control calidad del aislamiento bacteriano. Los morfotipos
bacterianos identificados en la tinción de Gram se deben de corresponder con
aislamientos bacterianos realizados en los cultivos. Si se observan mayor
número de formas bacterianas que las aisladas hay que reconsiderar los medios
de cultivos empleados así como la atmósfera de incubación.
A partir de la tinción de Gram pueden distinguirse varios morfotipos distintos: Los
cocos son de forma esférica. Pueden aparecer aislados después de la división
celular (Micrococos), aparecer por pares (Diplococos), formar cadenas
(Estreptococos), o agruparse de manera irregular (Estafilococos).
Los bacilos poseen forma alargada. En general suelen agruparse en forma de
cadena (Estreptobacilos) o en empalizada.
También pueden distinguirse los espirales, que se clasifican en espirilos si son
de forma rígida o espiroquetas si son blandas y onduladas. Si por el contrario,
poseen forma de "coma", o curvados, entonces se los designa vibrios.
Antiinflamatorios no esteroideos (aines)
Los aines son medicamentos anti-inflamatorio y no narcóticos que tienen
actividad analgésica y antipirética. El mecanismo de acción de estos agentes no
es conocido, pero los aines pueden inhibir actividad ciclooxigenasa y síntesis de
prostaglandinas. Pueden existir otros mecanismos, tales como la inhibición de
síntesis leucotrienos, liberación enzima lisosómica, actividad lipooxigenasa,
agregación de neutrófilos, y diversas funciones de la membrana celular.
iinflamatorios esteroideos
Artículo principal: Glucocorticoide
Son los corticoides que son hormonas producidas por la corteza adrenal o
corticosteroides naturales y los corticosteroides semisintéticos compuestos análogos
estructurales de los corticosteroides naturales y en particular de los glucocorticoides.
Particularmente los más usados son los esteroides sintéticos como la dexametasona
o la prednisona, entre otros. Su uso es limitado o restringido por sus efectos
secundarios o adversos, sobre todo los administrados vías oral o parenteral ya que
pueden producir un Síndrome de Cushing medicamentoso. Además de
antiinflamatorios se usan como inmunodepresores y antialérgicos así como para
terapia de sustitución hormonal.
Un antibiótico (del griego αντί - anti, "en contra" + βιοτικός - biotikos,
"dado a la vida" ) es una sustancia química producida por un ser vivo o
derivado sintético, que mata o impide el crecimiento de ciertas clases de
microorganismos sensibles, generalmente bacterias
«Antibiótico». Enciclopedia Microsoft® Encarta® Online (2008). Archivado desde el original el 4/2/2009. Consultado el 2 de septiembre de 2008.
Las células se reproducen duplicando su contenido y luego dividiéndose en dos.
En especies unicelulares (bacterias, levaduras) cada división de la célula produce
un nuevo organismo.
En especies pluricelulares se requieren muchas secuencias de divisiones
celulares para crear un nuevo individuo.
La división celular también es necesaria en el cuerpo adulto para reemplazar las
células perdidas por desgaste, deterioro o por muerte.
Un humano adulto debe producir muchos millones de nuevas células cada
segundo simplemente para mantener el estado de equilibrio y, si la división
celular se detiene el individuo moriría en pocos días.
El ciclo celular comprende el conjunto de procesos que una célula debe de
llevar a cabo para cumplir la replicación exacta del DNA y la segregación de
los cromosomas replicados en dos células distintas.
Neoplasia es el término que se utiliza en medicina para designar una masa
anormal de tejido provocada porque las células que lo constituyen se
multiplican a un ritmo superior al normal. Las neoplasias pueden ser benignas
cuando se extienden solo localmente y malignas cuando se comportan de
forma agresiva, comprimen los tejidos próximos y se diseminan a distancia
(metástasis).
Exteriormente se manifiestan como una masa o tumor que altera la
arquitectura del órgano en que se asientan. Sin embargo, pueden ser de
tamaño tan pequeño que sea preciso la utilización de un microscopio para su
detección.
Neoplasia maligna y cáncer son dos expresiones con el mismo significado, en
el lenguaje médico habitual es frecuente emplear el término neoplasia como
sustituto de la palabra cáncer, utilizando las expresiones neoplasia pulmonar,
neoplasia tiroidea o neoplasia laríngea por ejemplo, como sinónimos de cáncer
de pulmón, cáncer de tiroides y cáncer de laringe.
+ =
Las neoplasias benignas guardan relación histológica con el tejido que
les dio origen.
Las neoplsias malignas nos guardan ninguna relación con el tejido
original y su grado de diferenciación es determinante para establecer su
malignidad.
Mortalidad por todos los
tipos de cáncer
•Las tasas más altas de
mortalidad por cáncer en las
Américas se encuentran en
Trinidad y Tabago, Cuba y
Argentina.
•México, Nicaragua y El
Salvador tienen las tasas de
mortalidad por cáncer más
bajas de la región.
Neoplasias benignas
Su nombre acaba en el sufijo -oma y se denominan según el origen del tejido
del que procedan, pueden ser: fibroma (tejido conjuntivo fibroso), mixoma
(tejido conjuntivo laxo), lipoma (tejido adiposo), condroma (tejido cartilaginoso),
osteoma (tejido óseo), hemangioma (vasos sanguíneos), linfangioma (vasos
linfáticos), meningioma (meninges), tumor glómico (tejido nervioso de sostén),
leiomioma (tejido muscular liso), rabdomioma (tejido muscular estriado),
papiloma (tejido epitelial formando papilas), adenoma (tejido glandular),
teratoma (células totipotenciales).
Es preciso tener en cuenta que existen múltiples excepciones a estas normas
generales de nomenclatura tumoral. Por ejemplo: El tumor benigno de
melanocitos se denomina nevus, y su forma maligna, melanoma de gran
agresividad a pesar de su terminación en oma, lo mismo ocurre con el
cordoma que es
Los tejidos de las personas pasan por periodos de crecimiento rápido o
proliferación que suelen ser normales, en otras ocasiones los límites de la
normalidad son excedidos produciéndose masas tumorales.
Hipertrofia: incremento en el tamaño de las células.
Hiperplasia: es el incremento del número de células. Suele ser normal en
periodos de crecimiento rápido como en los fetos o en la adolescencia, la
regeneración del epitelio y médula ósea.
Metaplasia: transformación de una célula madura o una célula madre
debido a estímulos externos (irritación o inflamación crónica, déficit de
vitaminas, exposición a sustancias químicas, etc.). Puede revertirse
eliminando el estímulo o evolucionar hacia displasia.
Displasia: crecimiento celular anómalo que altera Forma, Tamaño y
Disposición a células de un mismo tejido. Si bien puede ser reversible, en
ocasiones evoluciona a Neoplasia.
Anaplasia: células que carecen de características normales, son
irregulares con crecimiento y disposición desorganizados. Existe escasa
diferenciación. Habitualmente son malignas.
Neoplasia: crecimiento y proliferación irrefrenable de células. Pueden ser
malignas o benignas. El grado de anaplasia (diferenciación) rige el potencial
maligno.
Derivada del griego karkinos, significa 'cangrejo'. El cáncer avanzado adopta
una forma abigarrada, con ramificaciones, que se adhiere de forma similar a
un cangrejo. Se considera a veces sinónimo de los términos 'neoplasia' y
'tumor'; sin embargo, el cáncer siempre es una neoplasia o tumor maligno.
Cáncer
Neoplasias malignas
Las neoplasias que derivan de los tejidos mensenquimatosos o mesodermo se
denominan sarcomas (del griego sarcos, "carnoso"); por ejemplo:
fibrosarcoma, mixosarcoma, liposarcoma, condrosarcoma, osteosarcoma,
angiosarcoma, linfangiosarcoma, sinoviosarcoma, leiomiosarcoma,
rabdomiosarcoma.
Las neoplasias malignas de origen epitelial, derivadas de cualquiera de las
tres capas germinales del embrión, se denominan carcinomas; por ejemplo:
carcinoma epidermoide o escamoso, carcinoma basocelular, adenocarcinoma,
cistoadenocarcinoma, coriocarcinoma, carcinoma de pene.
Las neoplasias malignas que proceden del tejido nervioso son los gliomas.
Las neoplasias malignas que derivan de células sanguíneas son los linfomas y
las leucemias.
Otros tumores malignos que no cumplen las reglas anteriores y acaban en
oma, son: el melanoma, el hepatoma, el seminoma, el cordoma y el
mesotelioma.
Ectodermo - carcinomas
Endodermo - Carcinomas
Mesodermo - Sarcomas
Capas blastodérmicas y neoplasias malignas
Criterios de malignidad
Perdida de la polaridad, cuando las células crecen desordenadamente.
Hipercromasia, cuando los núcleos presentan una gran cantidad de ADN.
Pleomorfismo, cuando hay un desorden en la forma y el tamaño del
citoplasma y el núcleo celular (células bizarras).
Mitosis, son atípicas (diferentes formas) y bipolares.
Nucléolo, prominente
Bordes infiltrantes, cuando el borde no se respeta.
Desmoplasia, cuando la célula maligna elabora colágeno alrededor.
Metástasis, neoplasia a distancia.
Afectación linfática
Invasión perineural
Afectación de vasos sanguíneos
Diferenciación celular, hace relación a su parecido con las células normales
del tejido que les dio origen:
Bien diferenciado
Medianamente diferenciado
Mal diferenciado o indiferenciado
Características Tumores Benignos Tumores Malignos
Efectos
Generales
Fenómeno localizado. Sin
efectos generales, salvo que
por su ubicación interfiera con
funciones vitales.
Suelen causar efectos
generales como anemia
y disminución
ponderal.
Destrucción de
Tejidos
No lesiona tejidos, a menos
que por su ubicación obstruya
el riego
Lesiona tejidos porque
el crecimiento tumoral
excede la cantidad de
sangre que recibe o por
que comprime vasos.
Además producen
sustancias que lesionan
Tejidos.
Capacidad de
causar muerte
Comúnmente no causan
muerte, amenos que por su
localización interfiera con
funciones vitales
Si no se controla la
neoplasia pueden
causar muerte
Características Tumores Benignos Tumores Malignos
Efectos
Generales
Fenómeno localizado. Sin
efectos generales, salvo que
por su ubicación interfiera con
funciones vitales.
Suelen causar efectos
generales como anemia
y disminución
ponderal.
Destrucción de
Tejidos
No lesiona tejidos, a menos
que por su ubicación obstruya
el riego
Lesiona tejidos porque
el crecimiento tumoral
excede la cantidad de
sangre que recibe o por
que comprime vasos.
Además producen
sustancias que lesionan
Tejidos.
Capacidad de
causar muerte
Comúnmente no causan
muerte, amenos que por su
localización interfiera con
funciones vitales
Si no se controla la
neoplasia pueden
causar muerte
TIPOS HISTOLÓGICOS BENIGNOS MALIGNOS
Tejidos
Epiteliales
Superficiales Papiloma Carcinoma de células
escamosas
Glandulares Adenoma Adenocarcinoma
Tejido conectivo Fibroso Fibroma Fibrosarcoma
Adiposo Lipoma Liposarcoma
Cartílago Condroma Condrosarcoma
Hueso Osteoma Osteosarcoma
Vasos
Sanguíneos
Hemangioma Hemangiosarcoma
Vasos Linfáticos Lifangioma Linfagiosarcoma
TIPOS HISTOLÓGICOS BENIGNOS MALIGNOS
Músculo Liso Leiomioma Leiomiosarcoma
Estriado Rabdomioma Rabdomiosarcoma
Nervioso Neuronas Neuroma -
Neuroglias - Glioma
Vaina Nerviosa Neurílemoma Sarcoma
neurolémico
Hematológicos Granulocíticos - Leucemia
Mielocítica
Eritrocitos - Eritroleucemia
Plasmacitos - Mieloma Múltiple
Linfocitos - Leucemia
Linfocítica
Clínica
Los tumores deben ser valorados acuciosamente en la clínica por medio de:
Anamnesis: El maligno es de crecimiento rápido.
El benigno de crecimiento lento
Tacto: El maligno se encuentra firmemente adherido a los tejidos próximos
El benigno se desplaza en los tejidos próximos
Estado General: El maligno produce ataque al estado general
El benigno no produce ataque al estado general
Metástasis: El maligno produce metástasis
El benigno no
Afinidades tintoriales de los tumores
diagnóstico rápido de lesiones de la mucosa oral sospechosas de
malignidad, en la consulta odontológica. De entre los distintos métodos
propuestos: tinción con colorantes, iluminación con luz fluorescente y biopsia
optimizada con toma de muestras ("brush biopsy"), monitorizada por
computadora y valorada por un equipo específico de anátomo-patólogos,
éste último es el que más documentado y con un mayor nivel de garantía y
seguridad.
Exosten varios colorantes para detectar las lesiones malignas en la cavidad
bucal, inicialmente se utilizó el yodo tópico que está desechado por los
problemas alergénicos.
Azul de metileno
Rosa de Bengala
Cloruro de Tolonio
Sin embargo el más barato y efectivo es el Azul de Toloidina
Warnakulasuriya KA y Johnson NW. "Sensitivity and specificity of OraScan (R) toluidine blue mouthrinse in the detection of oral cancer and precancer". J Oral Pathol Med. 1996;25(3):97-103.
Técnica de aplicación
1. Enjuagarse entre 1-3 veces con ácido acético al 1% durante 30 segundos.
2. Enjuagarse con azul de toluidina al 1% durante 1 minuto
3. Volver a enjuagarse con ácido acéticoal 1% durante 30 segundos.
La coloración orienta, nunca sustituye el criterio del cirujano.
Bascones Martínez A, Seoane Lestón JM,
Aguado Santos A, Suárez Quintanilla
JM. Cáncer y precáncer oral : bases clín
ico-quirúrgicas y moleculares. Madrid:
Avances Medico-Dentales, S.L.; 2003.
Marcadores de tumores
Los marcadores de tumores son sustancias que se encuentran en la sangre,
en la orina, materia fecal, en otros líquidos del cuerpo o en tejidos de algunos
pacientes con cáncer.
Los marcadores de tumores pueden usarse para ayudar a diagnosticar el
cáncer, para ayudar a predecir la reacción de un paciente a ciertas terapias
para el cáncer, a revisar la reacción de un paciente al tratamiento, o a
determinar si el cáncer ha regresado.
Actualmente se usan más de 20 marcadores de tumores.
No existe un marcador de tumores "universal" que pueda detectar cualquier
tipo de cáncer.
Bigbee W, Herberman RB. Tumor markers and immunodiagnosis. In: Bast RC Jr., Kufe DW, Pollock RE, et al., editors. Cancer Medicine. 6th ed. Hamilton, Ontario, Canada: BC Decker Inc., 2003.
Andriole G, Crawford E, Grubb R, et al. Mortality results from a randomized prostate-cancer screening trial. New England Journal of Medicine 2009; 360(13):1310–1319. [PubMed Abstract]
Schröder FH, Hugosson J, Roobol MJ, et al. Screening and prostate-cancer mortality in a randomized European study. New England Journal of Medicine 2009; 360(13):1320–1328. [PubMed Abstract]
Buys SS, Partridge E, Black A, et al. Effect of screening on ovarian cancer mortality: the Prostate, Lung, Colorectal and Ovarian (PLCO) Cancer Screening Randomized Controlled Trial. JAMA 2011;
305(22):2295–2303. [PubMed Abstract]
Cramer DW, Bast RC Jr, Berg CD, et al. Ovarian cancer biomarker performance in prostate, lung, colorectal, and ovarian cancer screening trial specimens. Cancer Prevention Research 2011; 4(3):365–374.
[PubMed Abstract]
Los 20 marcadores reconocidos científicamente por la National Cancer Association
son:
Activador del plasminógeno urocinasa (uPA) e inhibidor del activador del
plasminógeno (PAI-1)
Tipo de cáncer: Cáncer de seno
Tejido analizado: Tumor
Cómo se usó: Para determinar la malignidad del cáncer y guiar el tratamiento
Alfa-fetoproteína (AFP)
Tipos de cáncer: Cáncer de hígado y tumores de células germinativas
Tejido analizado: Sangre
Cómo se usó: Para ayudar a diagnosticar cáncer de hígado y vigilar la reacción al
tratamiento; para evaluar el estadio, el pronóstico y la reacción al tratamiento de
tumores de células germinativas
Análisis de mutación del EGFR
Tipo de cáncer: Cáncer de pulmón de células no pequeñas
Tejido analizado: Tumor
Cómo se usó: Para ayudar a determinar el tratamiento y el pronóstico
Análisis de mutación del KRAS
Tipos de cáncer: Cáncer colorrectal y cáncer de pulmón de células no
pequeñas
Tejido analizado: Tumor
Cómo se usó: Para determinar si el tratamiento con un tipo específico de
terapia dirigida es el adecuado
Antígeno carcinoembrionario (CEA)
Tipos de cáncer: Cáncer colorrectal y cáncer de seno
Tejido analizado: Sangre
Cómo se usó: Para revisar si el cáncer colorrectal se ha diseminado; para
buscar la recidiva del cáncer de seno y evaluar la reacción al tratamiento
Antígeno prostático específico (PSA)
Tipo de cáncer: Cáncer de próstata
Tejido analizado: Sangre
Cómo se usó: Para ayudar en el diagnóstico, evaluar la reacción al
tratamiento y buscar la recurrencia (recidiva)
CA15-3/CA27.29
Tipo de cáncer: Cáncer de seno
Tejido analizado: Sangre
Cómo se usó: Para evaluar si el tratamiento está funcionando o si la
enfermedad ha regresado
CA19-9
Tipos de cáncer: Cáncer de páncreas, cáncer de vesícula biliar, cáncer
de conducto biliar y cáncer gástrico
Tejido analizado: Sangre
Cómo se usó: Para evaluar si el tratamiento está funcionando
CA-125
Tipo de cáncer: Cáncer de ovarios
Tejido analizado: Sangre
Cómo se usó: Para ayudar en el diagnóstico, en la evaluación de la
reacción al tratamiento y en la evaluación de la recidiva
Calcitonina
Tipo de cáncer: Cáncer medular de tiroides
Tejido analizado: Sangre
Cómo se usó: Para ayudar en el diagnóstico, para revisar si el tratamiento
está funcionando y evaluar la recidiva
CD20
Tipo de cáncer: Linfoma no Hodgkin
Tejido analizado: Sangre
Cómo se usó: Para determinar si el tratamiento con una terapia dirigida es
Cromogranina A (CgA)
Tipo de cáncer: Tumores neuroendocrinos
Tejido analizado: Sangre
Cómo se usó: Para ayudar en el diagnóstico, en la evaluación de la reacción
al tratamiento y en la evaluación de la recidiva
Cromosomas 3, 7, 17 y 9p21
Tipo de cáncer: Cáncer de vejiga
Tejido analizado: Orina
Cómo se usó: Para ayudar en la vigilancia de recurrencia (recidiva) de
tumores
Fibrina y fibrinógeno
Tipo de cáncer: Cáncer de vejiga
Tejido analizado: Orina
Cómo se usó: Para vigilar el avance y la reacción al tratamiento
Fragmentos de citoqueratina 21-1
Tipo de cáncer: Cáncer de pulmón
Tejido analizado: Sangre
Cómo se usó: Para ayudar en la vigilancia de recurrencia (recidiva)
Gen de fusión BCR-ABL
Tipo de cáncer: Leucemia mieloide crónica
Tejido analizado: Sangre y médula ósea
Cómo se usó: Para confirmar el diagnóstico y vigilar el estado de la enfermedad
Gonadotropina coriónica humana ß (Beta-hCG)
Tipos de cáncer: Coriocarcinoma y cáncer de testículo
Tejido analizado: Orina o sangre
Cómo se usó: Para evaluar el estadio, el pronóstico y la reacción al tratamiento
HE4
Tipo de cáncer: Cáncer de ovarios
Tejido analizado: Sangre
Cómo se usó: Para evaluar el avance de la enfermedad y vigilar la
recurrencia (recidiva)
HER2/neu
Tipos de cáncer: Cáncer de seno, cáncer de estómago y cáncer de esófago
Tejido analizado: Tumor
Cómo se usó: Para determinar si el tratamiento con trastuzumab es el
adecuado
Inmunoglobulinas
Tipos de cáncer: Mieloma múltiple y macroglobulinemia de Waldenström
Tejido analizado: Sangre y orina
Cómo se usó: Para ayudar a diagnosticar la enfermedad, evaluar la reacción
al tratamiento y buscar si ha habido recurrencia (recidiva)
KIT
Tipos de cáncer: Tumor del estroma gastrointestinal y melanoma mucoso
Tejido analizado: Tumor
Cómo se usó: Para ayudar en el diagnóstico y determinar el tratamiento
Lactato deshidrogenasa
Tipo de cáncer: Tumores de células germinativas
Tejido analizado: Sangre
Cómo se usó: Para evaluar el estadio, el pronóstico y la reacción al tratamiento
Microglobulina ß-2 (B2M)
Tipos de cáncer: Mieloma múltiple, leucemia linfocítica crónica y algunos linfomas
Tejido analizado: Sangre, orina o líquido cefalorraquídeo
Cómo se usó: Para determinar el pronóstico y vigilar la reacción al tratamiento
Mutación BRAF (V600E)
Tipos de cáncer: Melanoma cutáneo y cáncer colorrectal
Tejido analizado: Tumor
Cómo se usó: Para pronosticar la reacción a terapias dirigidas
Proteína de matriz nuclear 22 (NMP22)
Tipo de cáncer: Cáncer de vejiga
Tejido analizado: Orina
Cómo se usó: Para vigilar la reacción al tratamiento
Receptor de estrógeno (ER) y receptor de progesterona (PR)
Tipo de cáncer: Cáncer de seno
Tejido analizado: Tumor
Cómo se usó: Para determinar si el tratamiento con terapia hormonal
(como con tamoxifeno) es adecuado
Reordenación de genes ALK
Tipos de cáncer: Cáncer de pulmón de células no pequeñas y linfoma
anaplásico de células grandes
Tejido analizado: Tumor
Cómo se usó: Para ayudar a determinar el tratamiento y el pronóstico
Sello de 5 proteínas (Ova1)
Tipo de cáncer: Cáncer de ovarios
Tejido analizado: Sangre
Cómo se usó: Para evaluar la masa pélvica antes de operación para lo
que se sospecha ser cáncer de ovario
Sello de 21 genes (Oncotype DX)
Tipo de cáncer: Cáncer de seno
Tejido analizado: Tumor
Cómo se usó: Para evaluar el riesgo de recurrencia (recidiva)
Sello de 70 genes (Mammaprint)
Tipo de cáncer: Cáncer de seno
Tejido analizado: Tumor
Cómo se usó: Para evaluar el riesgo de recurrencia (recidiva)
Tiroglobulina
Tipo de cáncer: Cáncer de tiroides
Tejido analizado: Tumor
Cómo se usó: Para evaluar la reacción al tratamiento y buscar la recurrencia (recidiva)
Los investigadores de oncología acuden a la proteinómica (el estudio de la
estructura, función y patrones de expresión de las proteínas) con la esperanza
de formular nuevos biomarcadores que puedan usarse para identificar
enfermedades en sus estadios iniciales, para predecir la posibilidad de
recurrencia del cáncer después de que haya terminado el tratamiento.
La estadificación describe la gravedad del cáncer que aqueja a una persona
basándose en la extensión del tumor original (primario) y si el cáncer se ha
diseminado en el cuerpo o no. La estadificación es importante por las siguientes
razones:
La estadificación ayuda al médico a planear un tratamiento apropiado.
La etapa o estadio puede usarse para estimar el pronóstico de la persona.
Conocer la etapa es importante para identificar estudios clínicos que puedan
ser adecuados para un paciente en particular.
La estadificación permite a los profesionales médicos e investigadores
compartir información sobre los pacientes. Asimismo, facilita un lenguaje común
para evaluar los resultados de los estudios clínicos y comparar resultados de
estudios diferentes.
Estadificación
Los sistemas de estadificación del cáncer han evolucionado con el tiempo y
siguen cambiando a medida que los científicos aprenden más sobre el cáncer.
Algunos sistemas de estadificación cubren muchos tipos de cáncer; otros se
enfocan en un tipo particular. Los elementos comunes que se consideran en la
mayoría de los sistemas de estadificación son:
El sitio del tumor primario,
El tamaño del tumor y número de tumores,
La complicación de ganglios linfáticos (diseminación del cáncer a los ganglios
linfáticos),
El tipo de célula y grado* del tumor (qué tanto se parecen las células cancerosas
a las células normales de tejido), y
La presencia o ausencia de metástasis.
El sistema TNM está basado en la extensión del tumor (T), el grado de
diseminación a los ganglios linfáticos (N), y la presencia de metástasis (M)
distante. Un número se añade a cada letra para indicar el tamaño o extensión
del tumor y el grado de diseminación del cáncer.
Este sistema ha sido aceptado por la International Union Against Cancer, UICC, y por el American Joint Committee on Cancer, AJCC.
Tumor primario (T)
TX El tumor primario no puede ser evaluado
T0 No hay evidencia de tumor primario
Tis Carcinoma in situ (CIS; células anormales están presentes pero no se han
diseminado a los tejidos cercanos. Aunque no es cáncer, el CIS puede
progresar a cáncer y algunas veces se llama cáncer preinvasor
T1, T2, T3, T4 Tamaño y extensión del tumor primario
Ganglios linfáticos regionales (N)
NX No es posible evaluar los ganglios linfáticos regionales
N0 No existe complicación de ganglios linfáticos
N1, N2, N3 Complicación de ganglios linfáticos regionales (número de ganglios
linfáticos y grado de diseminación)
Metástasis distante (M)
MX No es posible evaluar una metástasis distante
M0 No existe metástasis distante
M1 Presencia de metástasis distante
Muchos registros de cáncer, como el Surveillance, Epidemiology, and End
Results Program (SEER) del Instituto Nacional del Cáncer, usan una
estadificación concisa. Este sistema se usa para todo tipo de cáncer y agrupa
los casos de dicha enfermedad en cinco categorías principales:
In situ: las células anormales están presentes sólo en la capa de células en
donde se forman.
Localizado: el cáncer se limita al órgano en donde empezó, sin evidencia de
diseminación.
Regional: el cáncer se ha diseminado más allá del sitio primario a ganglios
linfáticos o a órganos y tejidos cercanos.
Distante: el cáncer se ha diseminado desde el sitio primario a órganos distantes
o a ganglios linfáticos distantes.
Desconocido: no hay información suficiente para determinar la etapa o estadio.
Biopsia por aspiración
Biopsia Excisional
Biopsia directa
Biopsia con trocar de Silvermann, actualmente se
utiliza la aguja de Tru-Cut que es desechable.
La oncología es la especialidad médica que estudia y trata las neoplasias;
tumores benignos y malignos, pero con especial atención a los malignos,
esto es, al cáncer. El término oncología deriva del griego onkos (masa o
tumor) y el sufijo -logos-ou (estudio de). Los profesionales de esta
especialidad son los oncólogos.
El odontólogo debe hacer oncología?
Odontoma compuesto
2 cms.
Aprox.de
ancho de la
uña del
pulgar
Queratoquiste odontogénico
Otro caso
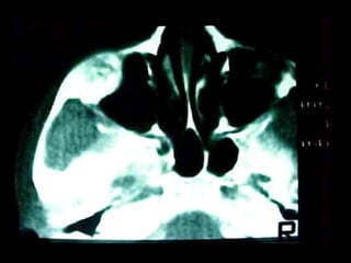
Angiografía carotídea
Quiste piso de boca
Quiste glóbulomaxilar
Quiste seno maxilar
Quiste mandibular
Torus Palatino
Leucoplasia gingival
Queratoquiste
Queratoquiste
Neumólogo: Dr. Crescenciano González Olivares
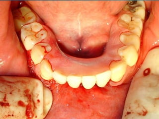
Trismus importante debido a que
El tumor ya rompió el hueso com-
Pacto de la cara interna de la
Mandíbula y empezó a tomar el
Músculo pterigoideo interno y
milohioideo.
Orbicular de los labiosOrbicular de los labios
Cuadrado del mentónCuadrado del mentón
MentónMentón
Agujero mentonianoAgujero mentoniano
Tejido celular subcutáneoTejido celular subcutáneo
DigástricoDigástrico
Compartimiento submandibularCompartimiento submandibular
Conducto de StenonConducto de Stenon
Arteria facialArteria facial
Nervio facialNervio facial
Cutáneo del cuelloCutáneo del cuello
GanglioGanglio
Arteria facial pinzadaArteria facial pinzada
Sierra de GigliSierra de Gigli
Luxación de hemimandíbula
Pieza quirúrgica
Plantilla flexible para dar forma previa al implante
Se respetó el cóndilo para anclar la prótesisSe respetó el cóndilo para anclar la prótesis
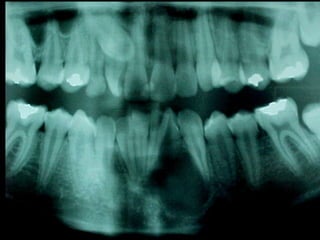
Límite tumoralLímite tumoral
Area de lisis ósea a nivel de la línea
Miliodes que contracturó los músculos
Milohioideo y pterigoideo interno
Dificultando la deglución y determinando
Trismus importante.
Pieza en proceso de examen por histopatología
Dr. Ismael Espejo Plascencia Patólogo
48 horas de post-operatorio
Maxilectomía parcial
Histiocitoma fibroso benigno
Sarcoma de maxilar
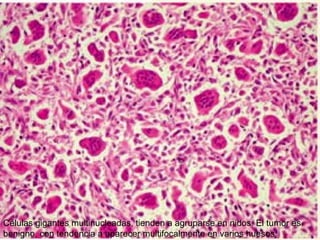
Tumor de células gigantes
Células gigantes multinucleadas, tienden a agruparse en nidos. El tumor es
benigno, con tendencia a aparecer multifocalmente en varios huesos.
Principios generales de patologia
Principios generales de patologia
Principios generales de patologia
Principios generales de patologia
Principios generales de patologia
Principios generales de patologia
Principios generales de patologia
Principios generales de patologia
Principios generales de patologia
Principios generales de patologia
Principios generales de patologia

Principios generales de patologia

  • 3.
    [path(o)- π θοςάgr. 'padecimiento', 'sentimiento' + -logíā -λογ αί gr. 'estudio‘ Diccionario etimológico de la Universidad de Salamanca.
  • 4.
  • 5.
    Cristo curando aun ciego. El Greco
  • 6.
    Por un ladose le considera el padre de la medicina. El sacerdote e historiador egipcio del siglo III a.C. Manetón, relata que los egipcios identificaron su figura con Esculapio, dios griego de la medicina. El papiro Edwin- Smith, es el primer documento médico de la historia, y está datado en el siglo XVII a.C. Este texto, se considera una transcripción de un tratado médico escrito por él mismo, al que en el transcurso de esos años, pudieron sucederle dos cosas, por un lado que fuera implementado con nuevos textos de médicos posteriores, o contrariamente, por el paso del tiempo parte de los casos clínicos redactados por Imhotep, se hubieran perdido en el tiempo. La importancia de este texto radica en su carácter científico, rehusando las tradicionales aportaciones mágicas de los sacerdotes, y que su objetivo era la búsqueda de una solución efectiva para los casos clínicos.
  • 7.
    Esculapio, hombre comúny corriente vivió en la época de la guerra de Troya (año 1.200ª.c.). En esa época prácticamente solo existían los cirujanos en su doble papel de carniceros-cirujanos y barberos- cirujanos y por otro lado los que practicaban brujerías y procedimientos mágico- religiosos sin ninguna base científica. Esculapio fue la primera persona (hasta donde sabemos) que invento la profesión medica al tener una especie de consultorio y muy importante no hacia ningún procedimiento quirúrgico y esto (la cirugía) la convirtió en una profesión degradante y mal vista, también cobro su consulta y como era un hombre de familia noble crea una especie de patente como un invento personal y nadie mas podía ejercer este oficio y que solo era transferido a sus hijos masculinos como una herencia familiar, su padre conocía los vegetales y las plantas medicinales y por eso aprendió el arte de la sanación y el uso de los remedios naturales. BIBLIOGRAFIA: Jacques Jouanna. Hipócrates. Roy Portes. Historia de la Medicina. Isaac Asimov: Los griegos. Isaac Asimov: Los Egipcios. Isaac Asimov. Las Tierras de Canaán. Isaac Asimov. El cercano Oriente. Homero. La Ilíada. Homero. La Odisea. C.G. Wagner. La Historia del Cercano Oriente. J.M. López P. Historia de la Medicina.
  • 8.
    La patología humanaes la rama de la medicina encargada del estudio de las enfermedades en los humanos. De forma más específica, esta disciplina se encarga del estudio de los cambios estructurales bioquímicos y funcionales que subyacen a la enfermedad en células, tejidos y órganos. La patología utiliza herramientas moleculares, microbiológicas, inmunológicas y morfológicas para tratar de explicar la etiología y manifestaciones clínicas (signos y síntomas) que presentan los pacientes, al tiempo que propone bases racionales para el tratamiento y profilaxis. Suele considerarse como el enlace entre las ciencias básicas y las ciencias clínicas.
  • 9.
    Al abordar elestudio de las enfermedades deben tenerse en cuenta: Patología Ramas 1. Causas Etiología 2. Mecanismos de producción Patogenia 3. Formas de manifestarse (signos y síntomas) Semiología 4. Alteraciones funcionales a que da lugar Fisiopatología 5. Alteraciones morfológicas producidas en las células, tejidos u órganos Anatomía Patológica 6. Manejo integral del enfermo Clínica José Hurtado de Mendoza, Universidad de la Habana. Cuba.
  • 10.
    La Anatomía PatológicaHumana es la rama de la Medicina que se ocupa del estudio, por medio de técnicas morfológicas, de las causas, desarrollo y consecuencias de las enfermedades. El fin último es el diagnóstico correcto de biopsias, piezas quirúrgicas, citologías y autopsias. En el caso de la Medicina, el ámbito fundamental son las enfermedades humanas. La Anatomía Patológica es una especialidad médica que posee un cuerpo doctrinal de carácter básico que hace que sea, por una parte, una disciplina académica autónoma y, por otra, una unidad funcional en la asistencia médica. Robbins, Stanley (2010). Robbins Patología humana. (Octava ed. en español/ edición)
  • 11.
    La patología humanaes más fácil de aprender y aplicarla clínicamente cuando se considera que son cuatro los tipos principales de enfermedades afectando a 4 tipos de tejidos: Enfermedades Tejidos Inflamatorias Epitelial Neoplásica Conjuntivo Degenerativas Muscular Congénitas Nervioso Dr Nicanor Gómez Reyes. Cirujano Oncólogo.orkResidente profesional en varios hospitales: 3 años en el sanatorio "La Luz" (de Morelia), en donde operó con los cirujanos Melchor Díaz Rubio y Samuel Reyna Miranda; en el Grand Hospital de Columbus, Ohio, en donde operó con el médico Andre Crotty, uno de los primeros especialistas en bocio; 3 años como oncólogo, en el American Oncologic Hospital, de Filadelfia; y 1 año como oncólogo radioterapeuta en el Hospital General de México.
  • 12.
    Enfermedad inflamatoria: Enfermedad causadapor agentes que determinan una reacción inflamatoria más o menos local, como las artritis, las otitis, las faringitis, las cistitis, etc. Neoplasia es el término que se utiliza en medicina para designar una masa anormal de tejido provocada porque las células que lo constituyen se multiplican a un ritmo superior al normal. Las neoplasias pueden ser benignas cuando se extienden solo localmente y malignas cuando se comportan de forma agresiva, comprimen los tejidos próximos y se diseminan a distancia. Una enfermedad degenerativa es una afección generalmente crónica, en la cual la función o la estructura de los tejidos u órganos afectados empeoran con el transcurso del tiempo... Un ejemplo muy claro de este tipo de enfermedades es el infarto del miocardio, que se debe a la obstrucción de una arteria coronaria, es decir, falta de riego y por tanto del oxígeno en una porción del corazón. Una enfermedad congénita es aquella que se manifiesta desde el nacimiento, ya sea producida por un trastorno durante el desarrollo embrionario, durante el parto, o como consecuencia de un defecto hereditario.
  • 13.
  • 14.
    Tejido epitelial Epitelio derevestimiento Epitelio glandular Epitelio sensorial Tejido conectivo Tejido adiposo Tejido cartilaginoso Tejido óseo Tejido hematopoyético Tejido sanguíneo Tejido conjuntivo Tejido muscular Tejido muscular liso Tejido muscular estriado o esquelético Tejido muscular cardíaco Tejido nervioso Neuronas Neuroglía Tejidos fundamentales del cuerpo humano: Poco especializados Muy especializados
  • 16.
    El 75 %del total de las enfermedades es inflamatoria, así que si administras antiinflamatorios corres el riesgo de pasar por un buen médico.
  • 17.
    Mecanismos de defensa Barrerasnaturales Resistencia o inmunidad (natural o adquirida) Inflamación
  • 18.
    La inflamación puededefinirse como una reacción defensiva local integrada por alteración, exudación y proliferación. Se le ha llamado «el síndrome local de adaptación». La reacción es desencadenada por estímulos nocivos (noxa) de muy diversa naturaleza: físicos, químicos y microorganismos como bacterias, hongos y parásitos. El 75 % del total de las enfermedades son inflamatorias. Mannual de Patología Universidad Católica de Chile
  • 19.
    Reacción compleja enel tejido conjuntivo vascularizado Proceso omnhístico de reacciones celulares, neurovasculares, humorales, proliferativas y hormonales que tienden a limitar la acción de la noxa.
  • 20.
    La inflamación esun proceso de aspectos y localizaciones muy variados. El aspecto macroscópico fue caracterizado por Celso por cuatro signos, que se conocen hoy como los signos cardinales de la inflamación: rubor, tumor, calor y dolor. Posteriormente se agregó un quinto signo: la perturbación funcional. Mannual de Patología Universidad Católica de Chile
  • 21.
    La palabra inflamaciónviene del latín inflammatio y es un calco del griego empyresis. En latín propiamente significaba incendio, entrada en llamas. Cambió de significado cuando los griegos acuñaron la palabra empyresis en la literatura médica para describir un órgano hinchado y caliente como si tuviera una combustión interna.
  • 23.
    Un tejido propiamentetal está dado por una agrupación de células del mismo tipo, sea adosadas estrechamente, como en los epitelios, sea reunidas por substancias intercelulares relativamente abundante, como el tejido conectivo. Los tejidos aislados son por tanto avasculares. El histión, en el concepto general y estructura más simple, corresponde al llamado tejido conectivo vascular, que representa un nivel de organización superior al de una agrupación celular. El histión incluye, además de los vasos, terminaciones nerviosas. Según este concepto, los órganos están integrados por histiones específicos. El componente específico está dado por el parénquima del órgano correspondiente. Así pueden distinguirse como histiones complejos o específicos, el nefrón, hepatón, pneumonón, etc.
  • 24.
  • 28.
    TIPOS DE INFLAMACION Lainflamación según su duración se divide en aguda y crónica. La aguda es de duración relativamente corta (minutos, horas o unos pocos días), se inicia muy rápidamente y se caracteriza por el exudado de fluidos plasmáticos y la migración de leucocitos predominantemente neutrófilos. La inflamación crónica dura semanas, meses o incluso años y se caracteriza histológicamente por el infiltrado de linfocitos y macrófagos con la proliferación de vasos sanguíneos y tejido conectivo
  • 29.
    INFLAMACION AGUDA Los cambiosque se producen tras la lesión tisular se deben a tres procesos: Cambios en el flujo y calibre vascular, que hacen que aumente el flujo sanguíneo. Cambios estructurales en los vasos sanguíneos que aumentan la permeabilidad vascular e inducen la formación de exudado inflamatorio. Paso de los leucocitos del espacio vascular al extravascular alcanzando así el foco de las lesiones.
  • 30.
    El resultado detodo ello es el acúmulo de un fluido rico en proteínas, fibrina y leucocitos. En los primeros 10-15 minutos se produce una hiperhemia por dilatación de arteriolas y vénulas y apertura de los vasos de pequeño calibre. Tras esta fase aumenta la viscosidad de la sangre, lo que reduce la velocidad del flujo sanguíneo. Al disminuir la presión hidrostática en los capilares, la presión osmótica del plasma aumenta, y en consecuencia un líquido rico en proteínas sale de los vasos sanguíneos originando el exudado inflamatorio.
  • 31.
    Arteriola Vénula Capilar Capilarvenoso Arterial Mastocito Fibroblasto Macrófago Endotelio Membrana Basal Fibras Colágenas Proteogl Elásticas Neurona
  • 33.
    INFLAMACION CRONICA Si lainflamación dura semanas o meses se considera crónica, y tiene dos características importantes: El infiltrado celular está compuesto sobre todo por macrófagos, linfocitos y células plasmáticas La reacción inflamatoria es más productiva que exudativa, es decir, que la formación de tejido fibroso prevalece sobre el exudado de líquidos.
  • 34.
    La inflamación crónicapuede producirse por diversas causas: a) progresión de una inflamación aguda; b) episodios recurrentes de inflamación aguda y c) inflamación crónica desde el comienzo asociada frecuentemente a infecciones intracelulares (tuberculosis, lepra, etc). Microscópicamente la inflamación crónica se caracteriza por la presencia de macrófagos y sus derivados (células epitelioides y gigantes), linfocitos, células plasmáticas, neutrófilos, eosinófilos y fibroblastos. Nódulo tuberculoso Nódulo actinomicótico
  • 35.
    MANIFESTACIONES SISTEMICAS DELA INFLAMACION Las manifestaciones sistémicas se conocen de forma colectiva como respuesta de la fase aguda (acute phase response). Al llegar un agente que produzca una lesión hay un ajuste rápido en la composición de las proteínas plasmáticas y la concentración de algunas aumenta, mientras que la de otras disminuye. Una de las que aumenta es la proteina C reactiva, que funciona como opsonina de bacterias, la a-2-macroglobulina y otras antiproteinasas, el fibrinógeno del sistema de la coagulación y el amiloide sérico A, cuya función se desconoce. La albúmina y la transferrina disminuyen. La mayoría de estos cambios se producen por alteraciones en la síntesis de estas proteínas por los hepatocitos. La inflamación produce fiebre a través de pirógenos externos (endotoxina generalmente) que estimulan la producción de pirógenos endógenos como la IL1 o el TNF. Estas citocinas actúan sobre el hipotálamo anterior, donde se encuentra el termostato central del organismo e inducen la producción de PGE2 que hace aumentar la temperatura corporal. Además, en la sangre periférica se puede observar una leucocitosis, es decir, un aumento del número de leucocitos (dos o tres veces). Este aumento se debe sobre todo a los neutrófilos, entre los que aparecen algunas formas inmaduras (cayados).
  • 36.
    Tipos de inflamaciónpor la secreción que se produce: Serosa Fibrinosa Purulenta Hemorrágica Catarral
  • 37.
    INFLAMACIÓN SEROSA Escaracterizada por la transudación de suero sanguíneo, un claro fluido albuminoso. Este tipo de inflamación es especialmente común en cavidades serosas indudablemente porque por las grandes áreas de superficies bien vascularizadas. La inflamación serosa también ocurre en los pulmones, como el primer estadío en ciertas neumonías, en respuesta a varios químicos irritantes inhalados, o ingeridos que presumiblemente eliminados por los pulmones. Ejemplos de inflamación serosa localizada son las vesículas que se forman en la piel luego de la picadura de un insecto o en quemaduras de segundo grado; o las vesículas que afectan la mucosa en enfermedades como fiebre aftosa, estomatitis vesicular y exantema vesicular. McGeer PL, McGeer EG. Innate immunity, local inflammation, and degenerative disease. Sci Aging Knowledge Environ. 2002.
  • 38.
    INFLAMACIÓN FIBRINOSA Es caracterizadapor un exudado que contiene grandes cantidades de fibrinógeno que coagula formando fibrina. La inflamación fibrinosa ocurre principalmente en membranas mucosas o serosas y es particularmente frecuente en el saco pericárdico.
  • 39.
    INFLAMACIÓN PURULENTA Es caracterizadapor la formación de grandes cantidades de pus. Pus es un exudado purulento, típicamente un líquido de color y consistencia cremosa. Su color amarillo cremoso es cambiado hacia el azulado o verdoso si Pseudomona aeruginosa es la bacteria infectante. La característica distintiva del pus es la presencia de numerosos PMN (leucocitos polimorfo nucleares). Estos neutrófilos, junto con las células necróticas en estado más o menos licuefactivo, y una menor cantidad de otros constituyentes de exudado inflamatorio, incluyendo suero, constituyen los ingredientes del pus. Un absceso es definido como una colecta circunscripta de pus. Cuando se encuentra bien desarrollado, tiene una pared o cápsula de tejido fibroso que lo separa de los tejidos http://www.caninum.com/atlas/inflamacion/tiposdeinflamacion.htm
  • 40.
    INFLAMACIÓN HEMORRÁGICA : Enesta forma, el exudado contiene abundantes glóbulos rojos extravasados. La salida de glóbulos rojos es debido a la lesión vascular, que generalmente compromete a pequeños vasos, ya sea por acción directa del agente, o bien como consecuencia de la alteración circulatoria secundaria a la inflamación. Como ejemplo de este tipo de inflamación citamos a la bronconeumonia hemorrágica, producida por los adenovirus y las infecciones estreptocócicas.
  • 41.
    INFLAMACIÓN CATARRAL OMUCOSA El componente característico de este tipo de inflamación es el exudado de mucus producido por células epiteliales, ya sea de las glándulas mucosas que desembocan en las membranas mucosas o en las glándulas mucosas unicelulares llamadas células caliciformes (goblet cells). Por esta razón, la presencia de esta inflamación está limitada a las membranas mucosas.
  • 42.
    http://www.iztacala.unam.mx/rrivas/NOTAS/Notas7Patpulpar/infagualtmediadores.html MEDIADORES QUIMICOS DELA INFLAMACION Mientras que la respuesta vascular es variable, dependiendo del daño infringido (suave, moderado, severo), otro punto de variabilidad es la respuesta vascular. La duración es variable y está asociada con la severidad del daño. La duración está controlada por los mediadores químicos de la inflamación de la siguiente forma: Respuesta inmediata transitoria (monofásica) Respuesta inmediata prolongada (bifásica) Respuesta prolongada retrasada Respuesta sostenida
  • 43.
    Respuesta inmediata transitoria(monofásica). Esto ocurre por daño suave y dura de 10 a 15 minutos. Involucra vénulas postcapilares pequeñas y medianas. La respuesta está mediada primariamente por histamina y puede ser suprimida por antihistamínicos.
  • 44.
    Respuesta inmediata prolongada(bifásica) Esto ocurre con daños más severos e involucra capilares así como vénulas. Esta fase se dispara varios minutos hasta una hora después de la fase transitoria inmediata y puede durar varias horas o hasta días (los mediadores incluyen bradiquinina, anafilatoxina, y posteriormente, prostaglandinas, leucotrinas, anafilatoxinas, radicales libres carentes de oxígeno y otros). Puede ser suprimida por salicilatos y glucocorticoides
  • 45.
    Respuesta prolongada retrasada. Eneste caso la agresión no invoca una respuesta inmediata (la quemadura por el sol es un ejemplo). Las prostaglandinas y leucotrienos son los mediadores probables en esta respuesta.
  • 46.
    Respuesta sostenida. Ocurre enlas agresiones más severas e involucra una marcada respuesta vascular (vénulas, capilares y arteriolas). La permeabilidad vascular aumenta inmediatamente y continúa permaneciendo alta. Esto es probablemente debido a una sobreposición de la respuesta inmediata (con mediador histamina) y respuesta mediada por bradiquinina, prostaglandinas, leucotrienos, etc.
  • 47.
    Mucho del excesode líquido y proteínas en los tejidos que se acumulan como resultado del aumento en la permeabilidad es removido por el sistema linfático. Las vénulas también pueden participar en esto. Los vasos linfáticos son conductos con un recubrimiento endotelial con uniones débiles intercelulares, membranas basales escasas y sin recubrimiento muscular. El drenaje de irritantes químicos o bacterianos puede irritar los vasos linfáticos y producir linfagitis (inflamación de los vasos linfáticos) o linfadenitis (inflamación de los nódulos o ganglios linfáticos de drenaje)
  • 48.
    Las prostaglandinas sonun conjunto de sustancias de carácter lipídico derivadas de los ácidos grasos de 20 carbonos (eicosanoides), que contienen un anillo ciclopentano y constituyen una familia de mediadores celulares, con efectos diversos, a menudo contrapuestos. Las prostaglandinas afectan y actúan sobre diferentes sistemas del organismo, incluyendo el sistema nervioso, el tejido liso, la sangre y el sistema reproductor; juegan un papel importante en regular diversas funciones como la presión sanguínea, la coagulación de la sangre, la respuesta inflamatoria alérgica y la actividad del aparato digestivo.
  • 50.
  • 51.
  • 53.
    Odontitis: Definición Sustantivo femenino Inflamaciónde uno o varios dientes, especialmente de la pulpa. Diccionario de Medicina VOX
  • 54.
    Pulpitis Aguda Focal Observeen la diapositiva la dilatación de los vasos sanguíneos pulpares; cortados aquí en forma longitudinal; vea que están Hiperémicos, llenos de glóbulos rojos. Hay poco edema, pero no hay diapédesis de leucocitos. http://www.ucv.ve/fileadmin/user_upload/facultad_odontologia/Imagenes/Portal/Anatomia_Patologica/Practica5_Enfermedades_Infecciosas_de_origen_pulpar_y_periapical.pdf
  • 55.
    Pulpitis Aguda Observe vasodilatación y edema.
  • 56.
    Pulpitis Aguda Observe enla parte inferior, una franja de dentina normal y debajo de esta se aprecia producción de dentina reparativa como respuesta al factor etiológico nocivo crónico. Observe en la zona central un área compatible con absceso pulpar y el infiltrado inflamatorio agudo que lo bordea.
  • 57.
    Pulpitis Crónica: Observe enla diapositiva el exudado mononuclear, compuesto de linfocitos y plasmocitos. Ya empieza a observarse la fibrosis característica de esta inflamación crónica.
  • 58.
    Pulpitis Crónica Hiperplásica Imagenclínica. Observe en la diapositiva un primer molar inferior de un niño de 12 años cuya cara oclusal tiene una cavidad de caries; toda ella ocupada por una gran masa carnosa rosada correspondiente a un pólipo pulpar que protruye de la pulpa.
  • 59.
    Pulpitis Crónica Hiperplásica. Vemostejidodentario correspondiente ala corona de un molar destruido por la cariesy protuyendo de la cámara pulparuna lesión en forma de “hongo” el cual es el pólipo pulpar.
  • 60.
    Pulpitis Crónica Hiperplásica Mayoraumento. Observe en la diapositiva la misma lesión fungiforme en una vista más cercana donde vemos que está tapizado por epitelio plano estratificado igual y proveniente de la mucosa bucal. Debajo del epitelio vemos el corion de tejido conjuntivo y un infiltrado inflamatorio crónico.
  • 61.
    Necrosis Gangrenosa de laPulpa: La pulpitis sin tratamiento termina en necrósis del tejido pulpar con sobreposición de infección bacteriana. Observe en la diapositiva una pulpa necrótica de aspecto fibrilar: sin células, con restos nucleares, sin apariencia de tejido vivo.
  • 62.
    La periodontitis, denominadacomúnmente piorrea, es una enfermedad que inicialmente puede cursar con gingivitis, para luego proseguir con una pérdida de inserción colágena, recesión gingival, e incluso la pérdida de hueso, en el caso de no ser tratada, dejar sin soporte óseo al diente. La pérdida de dicho soporte implica la pérdida irreparable del diente mismo. De etiología bacteriana que afecta al periodonto (el tejido de sostén de los dientes, constituido por la encía, el hueso alveolar, el cemento radicular y el ligamento periodontal) se manifiesta más comúnmente en adultos mayores de 35 años, pero puede iniciarse en edades más tempranas. Periodontitis •Zerón Agustín. Nueva clasificación de las enfermedades periodontales. ADM. 2001; LVIII(1):16-20.
  • 63.
    Clasificación Una periodontitis segúnsu grado de afectación dental se clasifica en: leve, moderada o grave. Y según su extensión se denomina: localizada o generalizada. Las periodontitis desde 1999 se han clasificado (ASP) en: crónicas, agresivas y asociada a estados sistémicos.
  • 64.
    Periodontitis crónica (deladulto) Periodontitis simple Es la forma más prevalente. Se hace clínicamente significativa sobre los treinta años de edad y suele estar precedida de una gingivitis. La pérdida de soporte se produce en los periodos activos de la enfermedad. Sin embargo, la presencia de Porphyromonas gingivalis indica una alta probabilidad de periodontitis activa que si no trata a tiempo puede traer irreversibles consecuencias. Periodontitis agresiva (de inicio precoz) Aparece a los veinte años de edad o antes. Supone, aproximadamente, entre un 10 y un 15% de todas las periodontitis. En la presentación clásica de la periodontitis juvenil localizada, la pérdida ósea está localizada a los primeros molares y a los incisivos inferiores definitivos. Periodontitis agresiva localizada Afecta principalmente a los primeros molares e incisivos, probablemente porque ya están erupcionados al iniciarse la enfermedad. Puede progresar a la forma generalizada o, posteriormente, a la periodontitis de evolución rápida. Tanto la forma localizada como la generalizada tienen la misma etiología, pero su presentación depende de la efectividad de la respuesta defensiva del huésped. Existen una serie de factores asociados que son: el déficit en la quimiotaxis de los leucocitos, el número reducido de quimiorreceptores superficiales y la cantidad anormal de glicoproteínas en la superficie de los
  • 65.
    Periodontitis de inicioprecoz generalizada Puede generarse desde una forma localizada o debutar así. Se distingue de la periodontitis de evolución rápida en función del tiempo de inicio de la enfermedad. Sin embargo, la edad no puede precisarse, pues el tiempo del diagnóstico no coincide con el inicio de la enfermedad. Se relaciona con la presencia de una serie de bacterias como son Aggregatibacter actynomicetemcomitans o la Porfiromona gingivalis. Periodontitis de inicio precoz relacionada con enfermedades sistémicas Afecta tanto a denticiones temporales como mixtas. No suele tener un buen pronóstico a medio y largo plazo, y supone la pérdida precoz (parcial o total) de los dientes. Las enfermedades asociadas son: déficit de adherencia leucocitaria, hipofosfatasia, neutropenia clínica, leucemias, sida, diabetes mellitus del tipo I, trisomía 21, etc. Periodontitis agravada por factores sistémicos Enfermedades como la diabetes mellitus, la enfermedad de Addison, la enfermedad de Crohn, un tipo raro de síndrome de Ehlers-Danlos, enfermedades hematológicas o el sida provocan una progresión más rápida de la periodontitis, con diferentes manifestaciones clínicas.
  • 66.
  • 67.
  • 68.
    Ruptura del anillode Kolhiker
  • 69.
    Primer absceso gingivodentariosin compromiso Oseo aparente.
  • 70.
    Qué es Profundización relativamenteasintomática de la Placa bacteriana
  • 71.
    Absceso parodontal severo,con sintomatología franca
  • 72.
  • 91.
  • 92.
    Mucositis La mucositis esuna inflamación y penetración dolorosa de las membranas reproductoras del revestimiento del tracto gastrointestinal . Normalmente se trata de un efecto adverso de los tratamientos de quimioterapia y radioterapia del cáncer. También se han reportado casos en personas expuestas a agrotóxicos. Puede presentarse en cualquier punto del tracto gastrointestinal, pero el término mucositis oral se refiere exclusivamente a la inflamación y ulceración de la mucosa bucal. La mucositis oral es una complicación frecuente y a menudo debilitante del tratamiento del cáncer.
  • 96.
    Glositis Glositis. Inflamación dela lengua, ya sea aguda (que aparece repentinamente) o crónica (que se presenta constantemente). La glositis le proporciona un aspecto liso y un cambio de color (ya sea rojo intenso o rojo pálido). La lengua se engrosa y aparecen pequeñas lesiones muy dolorosas ya que está formada principalmente por músculos y recubierta por una mucosa que contiene todas las papilas gustativas, por tanto, es un órgano muy sensible, especialmente en la punta y los bordes, donde está más expuesta a diferentes lesiones. http://www.ecured.cu/index.php/Glositis
  • 97.
    Causas Con frecuencia esun síntoma de otras afecciones o problemas, entre ellos: Reacción alérgica a cremas dentales, enjuagues y refrescantes bucales, colorantes en los dulces, plásticos en las prótesis dentales o en los retenedores o ciertos medicamentos para la presión arterial (IECA) Boca reseca, cuando se destruyen las glándulas que producen la saliva Infecciones virales o bacterianas (incluso el herpes simple oral). Lesión por quemaduras, bordes ásperos de los dientes o por aparatos odontológicos u otro tipo de traumas. Niveles bajos de hierro (llamado anemia ferropénica) o de ciertas vitaminas del complejo B, como la vitamina B12. Afecciones cutáneas tales como el liquen plano oral, el eritema multiforme, la úlcera aftosa, el pénfigo vulgar, la sífilis y otros trastornos. Tabaco, alcohol, los alimentos calientes o condimentos u otros irritantes. Infección por cándida en la boca. Algunas veces, la glositis puede ser hereditaria y no se debe a otra enfermedad o even
  • 98.
    Glositis areata exudativa enfermedadidiopática caracterizada por la pérdida de las papilas filiformes que dejan áreas enrojecidas de máculas circinadas rodeadas por un halo blanco. Las lesiones cicatrizan, y salen otras.
  • 99.
    -- Glositis de Hunter Laglositis de Hunter es un trastorno secundario que puede aparecer asociado a una anemia y al déficit de vitamina B12. Se hace perceptible por una sensación virulenta de quemazón en la boca. > http://www.onmeda.es
  • 100.
    Glositis Romboidal Media Etiología Secreía que era una anomalía del desarrollo de la lengua (tubérculo impar). Actualmente se considera que ocurre por una infección crónica por Candida Albicans o Candidiasis Eritematoso Crónico. Características Clínicas Forma romboidea u oval bien definido De color rojizo, plano, ligeramente multilobulada, superficie lisa y despabilada Localizada en la línea media, en la cara dorsal de la lengua por delante de las papilas circunvaladas o v lingual Tamaño variable de 1 - 3 cm. asintomática, ocasionalmente manifiesta sintomatología dolorosa de poca intensidad
  • 101.
    Glositis migratoria benignao lengua geográfica
  • 102.
    - La causa específicade la lengua geográfica se desconoce, aunque es posible que esté relacionada con la deficiencia de vitamina B. Otras causas pueden abarcar irritación a causa de la ingestión de alimentos calientes o picantes, o el consumo de alcohol. Esta afección parece ser menos común en los fumadores. El patrón en la superficie lingual puede cambiar rápidamente. Este cambio en el patrón se presenta cuando hay una pérdida de las diminutas proyecciones digitiformes, llamadas papilas gustativas, en la superficie lingual, lo cual hace que las áreas de la lengua se aplanen. Se dice que estas áreas están "desnudas" y
  • 103.
    Eliminación de focossépticos en bloque en paciente con osteitis mandibular crónica Osteitis
  • 128.
    Imagen microscópica deosteitis, inicialmente existe una etapa de osteoclastosis seguida por regeneración. No siempre el hueso regenera en su totalidad y sigue el curso de cualquier inflamación dejando un area de tejido fibroso que con el tiempo puede calcificarse (hueso denso)
  • 129.
    Manejo con antibióticosobligado Revisión periódica
  • 130.
    Osteomielitis La osteomielitis esuna infección súbita o de larga data del hueso o médula ósea, normalmente causada por una bacteria piógena o micobacteria y hongos. Los factores de riesgo son trauma reciente, diabetes, hemodiálisis y drogadicción intravenosa. La Osteomielitis se define como una inflamación extensa del hueso, implicando a toda porción esponjosa, medular, cortical, periostio, vasos sanguíneos, nervios y epífisis. La inflamación puede ser aguda, subaguda o crónica y presenta un desarrollo clínico diferente según su naturaleza (1-5). En el caso de los maxilares se considera la infección odontógena como la causa más frecuente de osteomielitis. Se puede presentar a cualquier edad con un predominio entre los hombres. Afecta principalmente al maxilar inferior. En el maxilar superior es más raro, debido a una mayor vascularización . López EM, Salas AC. Osteomielitis. Criterios actuales e importancia para el estomatólogo. Rev. Cuabana Estomatol. 2001;38(1):52-66.
  • 155.
  • 156.
    Un esguince otorcedura es una lesión de los ligamentos por distensión, estiramiento excesivo, torsión o rasgadura, acompañada de hematoma e inflamación y bastante dolor que impide continuar moviendo la parte lesionada. Se origina al afectarse la región articular por acción mecánica (la exigencia de un movimiento brusco, excesiva apertura o cierre articular, movimiento anti- natural), o por violencia (caída, golpe). No debe confundirse con la luxación, la cual es una lesión más severa que involucra el cambio de posición de la articulación y la separación de sus huesos. Ni tampoco con el desgarro, que es la lesión del tejido muscular. American Academy of Orthopaedic Surgeons. Consultado el 5 de diciembre de 2011.
  • 157.
    Inflamación muscular porstress, trauma, prótesis mal adecuadas, adoncia, etc. La musculatura de la cara experimenta la pentada (rubor, tumor, calor, dolor y pérdida de la función. Ocasionalmente la musculatura de la cara puede involucrarse en procesos infecciosos generalmente de etiología dentaria y el area de más sufrimiento es el espacio aponeurótico.
  • 158.
    Trauma severo enlos músculos de la expresión facial
  • 159.
  • 160.
    La neuritis serefiere a la inflamación de uno o más nervios. A veces varios grupos de nervios en diferentes partes del cuerpo pueden estar involucrados. En este caso la afección se conoce como polineuritis. Síntomas de Neuritis Hormigueo, sensación de quemazón y dolor punzante en la zona afectada Los síntomas principales de la neuritis son el hormigueo y la cesación de quemazón, y el dolor punzante en los nervios afectados. En casos severos, puede llegar a dormirse la zona afectada, perdida de sensación, y parálisis de los nervios cercanos. De esta manera la parálisis temporal, de los músculos faciales pueden resultar con cambios en los nervios faciales en el lado afectado. Durante el estado agudo de esta condición, el paciente puede que no pueda cerrar los ojos debido a una perdida de fuerza de los músculos en el lado afectado de la cara. Neuritis
  • 161.
    Herpes zooster dela rama supraorbitaria derecha
  • 162.
    Herpes zooster dela rama supraorbitaria izquierda
  • 163.
    Lesión Neuronal Cuando selesiona una neurona o sus prolongaciones ocurren dos procesos degenerativos: El Anterógrado y el Retrógrado (al soma), que se activan sobre elementos cercanos y tejido a distancia. Afectan al axón, vaina mielínica, la sinapsis y las células a distancia sináptica (Cromatólisis)
  • 164.
    Respuesta Neuronal frentea la lesión Lesión Neuronal Cuando se lesiona una neurona o sus prolongaciones ocurren dos procesos degenerativos: El Anterógrado y el Retrógrado (al soma), que se ac tivan sobre elementos cercanos y tejido a distancia . Afectan al axón, vaina mielínica, la sinapsis y las célulasa distancia sináptica (Cromatólisis) Degeneración Walleriana El aplastamiento o sección de un axón provoca el inicio de un proceso degenerativo que se extiende distalmente a la lesión Tambien compromete al cabo proximal por una corta distancia si es una lesión de intensidad moderada; al mismo tiempo comienza la reparación con la aparición de nuevos brotes axonales. Por otra parte, la porción distal del axón, incluyendo su arborización terminal, degenera completamente y la vaina de mielina se fragmenta y reabsorbe. Lo anterior es bastante lógico si se considera como centro trófico al soma.
  • 165.
    Para una mejordescripción se puede agregar que la vaina de mielina se fragmenta hasta convertirse en pequeñas gotas de lípido que rodean al axón. Posteriormente, llegan los macrófagos para eliminar los detritos celulares y lipídicos. Durante la degeneración, las células de Schwann permanecen intactas, pero luegode unos instantes se hipertrofian, se dividen y se disponenen fila con sus extremos superpuestos hasta formar una especie de tubo que contiene en su interior restos axonales. Este proceso se ha denominado Degeneración Walleriana (anterógrada) en honor a quien lo describió en 1852, Augustus Waller.
  • 166.
    Flemones Celulitis (etimológicamente: ‘inflamaciónde las células’) es una inflamación de los tejidos conectivos celulares subcutáneos (bajo la piel). Un tipo de tejido, conjuntivo, areolar, densamente poblado por células (en especial adipocitos) (células del tejido grasoso). Generalmente es causada por infecciones bacterianas, que pueden venir de bacterias exógenas o de la flora dental o cutánea normal. La angina de Ludwig, también denominada Flemón difuso hiper séptico y gangrenoso de piso de boca, es una infección severa y mortal de origen dental, en la que el pus invade gravemente cara, cuello, vías respiratorias y pulmones.
  • 167.
    Etiología La infección esde origen dental en el 90% de los casos, existen otros factores causales como sialoadenitis de la glándula submaxilar, fractura mandibular abiertas, laceraciones de tejidos blandos orales, heridas en piso de boca e infecciones orales secundarias. Cuando la etiología no es infecciosa se ha llegado a denominar el fenómeno como pseudo-angina de Ludwig. En mi práctica personal un 25 % de los pacientes son HIV positivos, un 50 % diabéticos descompensados, un 14 % artríticos y el restos presentan diferentes patologías.
  • 168.
    Nótese como eneste caso la paciente tiene tomadas las regiones geniana, palpebral, maseterina, temporal y región lateral del cuello.
  • 169.
    En este acercamientopueden observar con más claridad la gravedad del caso.
  • 170.
    El manejo sehizo con triple esquema: Cefotaxima, Clindamicina y metronidazol, por supuesto estos pacientes son rigurosamente aislados.
  • 171.
    En el estudioradiográfico determinamos que el factor causal fué un foco séptico dentario a nivel de segundo molar inferior izquierdo.
  • 172.
    Después de 14días de hospitalización la paciente es egresada con un mejor pronóstico. Habiendo drenado compartimientos aponeuróticos.
  • 173.
    En esta imagenpueden apreciar como la infección además de fibrosis muscular ha determinado lesión del nervio facial. Por lo que se envía a fisioterapia.
  • 174.
    Mucormicosis ntroducción. Con este término,nos referimos a un grupo de micosis causadas por hongos del orden Mucorales. La mayoría de los casos se presenta en personas con factores de oportunismo severos como diabetes mellitus descompensada, leucemia, o cáncer. Son infecciones graves que pueden causar la muerte; las variedades clínicas más frecuentes son: rinocerebral, pulmonar, digestiva y cutánea primaria. Las infecciones causadas por hongos del orden Mucorales, generalmente se adquieren por vía respiratoria ya que las esporas de los hongos se encuentran en el ambiente, aunque en las formas cutáneas primarias, la infección se adquiere por solución de continuidad. Dr. Luis J. Méndez Tovar Unidad de Investigación Médica, Hospital de Especialidades C.M.N. Siglo XXI.
  • 176.
    La paciente fallecióa las 24 horas de internamiento por trombosis del seno cavernoso.
  • 177.
    Tinción de Gram Latinción de Gram o coloración de Gram es un tipo de tinción diferencial empleado en Bacteriología para la visualización de bacterias, sobre todo en muestras clínicas. Debe su nombre al bacteriólogo danés Christian Gram, que desarrolló la técnica en 1884. Se utiliza tanto para poder referirse a la morfología celular bacteriana como para poder realizar una primera aproximación a la diferenciación bacteriana, considerándose Bacteria Gram positiva a las bacterias que se visualizan de color morado, y Bacteria Gram negativa a las que se visualizan de color rosa o rojo o grosella Bacterias Escherichia coli (Gram negativas) vistas al microscopio tras ser teñidas con la tinción de Gram. Bacterias Clostridium perfringens (Gram positivas).
  • 178.
    Utilidades En el análisisde muestras clínicas suele ser un estudio fundamental por cumplir varias funciones: Identificación preliminar de la bacteria causal de la infección. Utilidad como control calidad del aislamiento bacteriano. Los morfotipos bacterianos identificados en la tinción de Gram se deben de corresponder con aislamientos bacterianos realizados en los cultivos. Si se observan mayor número de formas bacterianas que las aisladas hay que reconsiderar los medios de cultivos empleados así como la atmósfera de incubación. A partir de la tinción de Gram pueden distinguirse varios morfotipos distintos: Los cocos son de forma esférica. Pueden aparecer aislados después de la división celular (Micrococos), aparecer por pares (Diplococos), formar cadenas (Estreptococos), o agruparse de manera irregular (Estafilococos). Los bacilos poseen forma alargada. En general suelen agruparse en forma de cadena (Estreptobacilos) o en empalizada. También pueden distinguirse los espirales, que se clasifican en espirilos si son de forma rígida o espiroquetas si son blandas y onduladas. Si por el contrario, poseen forma de "coma", o curvados, entonces se los designa vibrios.
  • 184.
    Antiinflamatorios no esteroideos(aines) Los aines son medicamentos anti-inflamatorio y no narcóticos que tienen actividad analgésica y antipirética. El mecanismo de acción de estos agentes no es conocido, pero los aines pueden inhibir actividad ciclooxigenasa y síntesis de prostaglandinas. Pueden existir otros mecanismos, tales como la inhibición de síntesis leucotrienos, liberación enzima lisosómica, actividad lipooxigenasa, agregación de neutrófilos, y diversas funciones de la membrana celular.
  • 185.
    iinflamatorios esteroideos Artículo principal:Glucocorticoide Son los corticoides que son hormonas producidas por la corteza adrenal o corticosteroides naturales y los corticosteroides semisintéticos compuestos análogos estructurales de los corticosteroides naturales y en particular de los glucocorticoides. Particularmente los más usados son los esteroides sintéticos como la dexametasona o la prednisona, entre otros. Su uso es limitado o restringido por sus efectos secundarios o adversos, sobre todo los administrados vías oral o parenteral ya que pueden producir un Síndrome de Cushing medicamentoso. Además de antiinflamatorios se usan como inmunodepresores y antialérgicos así como para terapia de sustitución hormonal.
  • 186.
    Un antibiótico (delgriego αντί - anti, "en contra" + βιοτικός - biotikos, "dado a la vida" ) es una sustancia química producida por un ser vivo o derivado sintético, que mata o impide el crecimiento de ciertas clases de microorganismos sensibles, generalmente bacterias «Antibiótico». Enciclopedia Microsoft® Encarta® Online (2008). Archivado desde el original el 4/2/2009. Consultado el 2 de septiembre de 2008.
  • 188.
    Las células sereproducen duplicando su contenido y luego dividiéndose en dos. En especies unicelulares (bacterias, levaduras) cada división de la célula produce un nuevo organismo. En especies pluricelulares se requieren muchas secuencias de divisiones celulares para crear un nuevo individuo. La división celular también es necesaria en el cuerpo adulto para reemplazar las células perdidas por desgaste, deterioro o por muerte.
  • 189.
    Un humano adultodebe producir muchos millones de nuevas células cada segundo simplemente para mantener el estado de equilibrio y, si la división celular se detiene el individuo moriría en pocos días. El ciclo celular comprende el conjunto de procesos que una célula debe de llevar a cabo para cumplir la replicación exacta del DNA y la segregación de los cromosomas replicados en dos células distintas.
  • 190.
    Neoplasia es eltérmino que se utiliza en medicina para designar una masa anormal de tejido provocada porque las células que lo constituyen se multiplican a un ritmo superior al normal. Las neoplasias pueden ser benignas cuando se extienden solo localmente y malignas cuando se comportan de forma agresiva, comprimen los tejidos próximos y se diseminan a distancia (metástasis). Exteriormente se manifiestan como una masa o tumor que altera la arquitectura del órgano en que se asientan. Sin embargo, pueden ser de tamaño tan pequeño que sea preciso la utilización de un microscopio para su detección. Neoplasia maligna y cáncer son dos expresiones con el mismo significado, en el lenguaje médico habitual es frecuente emplear el término neoplasia como sustituto de la palabra cáncer, utilizando las expresiones neoplasia pulmonar, neoplasia tiroidea o neoplasia laríngea por ejemplo, como sinónimos de cáncer de pulmón, cáncer de tiroides y cáncer de laringe.
  • 191.
  • 192.
    Las neoplasias benignasguardan relación histológica con el tejido que les dio origen. Las neoplsias malignas nos guardan ninguna relación con el tejido original y su grado de diferenciación es determinante para establecer su malignidad.
  • 193.
    Mortalidad por todoslos tipos de cáncer •Las tasas más altas de mortalidad por cáncer en las Américas se encuentran en Trinidad y Tabago, Cuba y Argentina. •México, Nicaragua y El Salvador tienen las tasas de mortalidad por cáncer más bajas de la región.
  • 194.
    Neoplasias benignas Su nombreacaba en el sufijo -oma y se denominan según el origen del tejido del que procedan, pueden ser: fibroma (tejido conjuntivo fibroso), mixoma (tejido conjuntivo laxo), lipoma (tejido adiposo), condroma (tejido cartilaginoso), osteoma (tejido óseo), hemangioma (vasos sanguíneos), linfangioma (vasos linfáticos), meningioma (meninges), tumor glómico (tejido nervioso de sostén), leiomioma (tejido muscular liso), rabdomioma (tejido muscular estriado), papiloma (tejido epitelial formando papilas), adenoma (tejido glandular), teratoma (células totipotenciales). Es preciso tener en cuenta que existen múltiples excepciones a estas normas generales de nomenclatura tumoral. Por ejemplo: El tumor benigno de melanocitos se denomina nevus, y su forma maligna, melanoma de gran agresividad a pesar de su terminación en oma, lo mismo ocurre con el cordoma que es
  • 195.
    Los tejidos delas personas pasan por periodos de crecimiento rápido o proliferación que suelen ser normales, en otras ocasiones los límites de la normalidad son excedidos produciéndose masas tumorales. Hipertrofia: incremento en el tamaño de las células. Hiperplasia: es el incremento del número de células. Suele ser normal en periodos de crecimiento rápido como en los fetos o en la adolescencia, la regeneración del epitelio y médula ósea. Metaplasia: transformación de una célula madura o una célula madre debido a estímulos externos (irritación o inflamación crónica, déficit de vitaminas, exposición a sustancias químicas, etc.). Puede revertirse eliminando el estímulo o evolucionar hacia displasia.
  • 196.
    Displasia: crecimiento celularanómalo que altera Forma, Tamaño y Disposición a células de un mismo tejido. Si bien puede ser reversible, en ocasiones evoluciona a Neoplasia. Anaplasia: células que carecen de características normales, son irregulares con crecimiento y disposición desorganizados. Existe escasa diferenciación. Habitualmente son malignas. Neoplasia: crecimiento y proliferación irrefrenable de células. Pueden ser malignas o benignas. El grado de anaplasia (diferenciación) rige el potencial maligno.
  • 197.
    Derivada del griegokarkinos, significa 'cangrejo'. El cáncer avanzado adopta una forma abigarrada, con ramificaciones, que se adhiere de forma similar a un cangrejo. Se considera a veces sinónimo de los términos 'neoplasia' y 'tumor'; sin embargo, el cáncer siempre es una neoplasia o tumor maligno. Cáncer
  • 198.
    Neoplasias malignas Las neoplasiasque derivan de los tejidos mensenquimatosos o mesodermo se denominan sarcomas (del griego sarcos, "carnoso"); por ejemplo: fibrosarcoma, mixosarcoma, liposarcoma, condrosarcoma, osteosarcoma, angiosarcoma, linfangiosarcoma, sinoviosarcoma, leiomiosarcoma, rabdomiosarcoma. Las neoplasias malignas de origen epitelial, derivadas de cualquiera de las tres capas germinales del embrión, se denominan carcinomas; por ejemplo: carcinoma epidermoide o escamoso, carcinoma basocelular, adenocarcinoma, cistoadenocarcinoma, coriocarcinoma, carcinoma de pene. Las neoplasias malignas que proceden del tejido nervioso son los gliomas. Las neoplasias malignas que derivan de células sanguíneas son los linfomas y las leucemias. Otros tumores malignos que no cumplen las reglas anteriores y acaban en oma, son: el melanoma, el hepatoma, el seminoma, el cordoma y el mesotelioma.
  • 199.
    Ectodermo - carcinomas Endodermo- Carcinomas Mesodermo - Sarcomas Capas blastodérmicas y neoplasias malignas
  • 200.
    Criterios de malignidad Perdidade la polaridad, cuando las células crecen desordenadamente. Hipercromasia, cuando los núcleos presentan una gran cantidad de ADN. Pleomorfismo, cuando hay un desorden en la forma y el tamaño del citoplasma y el núcleo celular (células bizarras). Mitosis, son atípicas (diferentes formas) y bipolares. Nucléolo, prominente Bordes infiltrantes, cuando el borde no se respeta. Desmoplasia, cuando la célula maligna elabora colágeno alrededor. Metástasis, neoplasia a distancia. Afectación linfática Invasión perineural Afectación de vasos sanguíneos Diferenciación celular, hace relación a su parecido con las células normales del tejido que les dio origen: Bien diferenciado Medianamente diferenciado Mal diferenciado o indiferenciado
  • 201.
    Características Tumores BenignosTumores Malignos Efectos Generales Fenómeno localizado. Sin efectos generales, salvo que por su ubicación interfiera con funciones vitales. Suelen causar efectos generales como anemia y disminución ponderal. Destrucción de Tejidos No lesiona tejidos, a menos que por su ubicación obstruya el riego Lesiona tejidos porque el crecimiento tumoral excede la cantidad de sangre que recibe o por que comprime vasos. Además producen sustancias que lesionan Tejidos. Capacidad de causar muerte Comúnmente no causan muerte, amenos que por su localización interfiera con funciones vitales Si no se controla la neoplasia pueden causar muerte
  • 202.
    Características Tumores BenignosTumores Malignos Efectos Generales Fenómeno localizado. Sin efectos generales, salvo que por su ubicación interfiera con funciones vitales. Suelen causar efectos generales como anemia y disminución ponderal. Destrucción de Tejidos No lesiona tejidos, a menos que por su ubicación obstruya el riego Lesiona tejidos porque el crecimiento tumoral excede la cantidad de sangre que recibe o por que comprime vasos. Además producen sustancias que lesionan Tejidos. Capacidad de causar muerte Comúnmente no causan muerte, amenos que por su localización interfiera con funciones vitales Si no se controla la neoplasia pueden causar muerte
  • 203.
    TIPOS HISTOLÓGICOS BENIGNOSMALIGNOS Tejidos Epiteliales Superficiales Papiloma Carcinoma de células escamosas Glandulares Adenoma Adenocarcinoma Tejido conectivo Fibroso Fibroma Fibrosarcoma Adiposo Lipoma Liposarcoma Cartílago Condroma Condrosarcoma Hueso Osteoma Osteosarcoma Vasos Sanguíneos Hemangioma Hemangiosarcoma Vasos Linfáticos Lifangioma Linfagiosarcoma
  • 204.
    TIPOS HISTOLÓGICOS BENIGNOSMALIGNOS Músculo Liso Leiomioma Leiomiosarcoma Estriado Rabdomioma Rabdomiosarcoma Nervioso Neuronas Neuroma - Neuroglias - Glioma Vaina Nerviosa Neurílemoma Sarcoma neurolémico Hematológicos Granulocíticos - Leucemia Mielocítica Eritrocitos - Eritroleucemia Plasmacitos - Mieloma Múltiple Linfocitos - Leucemia Linfocítica
  • 207.
    Clínica Los tumores debenser valorados acuciosamente en la clínica por medio de: Anamnesis: El maligno es de crecimiento rápido. El benigno de crecimiento lento Tacto: El maligno se encuentra firmemente adherido a los tejidos próximos El benigno se desplaza en los tejidos próximos Estado General: El maligno produce ataque al estado general El benigno no produce ataque al estado general Metástasis: El maligno produce metástasis El benigno no
  • 208.
    Afinidades tintoriales delos tumores diagnóstico rápido de lesiones de la mucosa oral sospechosas de malignidad, en la consulta odontológica. De entre los distintos métodos propuestos: tinción con colorantes, iluminación con luz fluorescente y biopsia optimizada con toma de muestras ("brush biopsy"), monitorizada por computadora y valorada por un equipo específico de anátomo-patólogos, éste último es el que más documentado y con un mayor nivel de garantía y seguridad. Exosten varios colorantes para detectar las lesiones malignas en la cavidad bucal, inicialmente se utilizó el yodo tópico que está desechado por los problemas alergénicos. Azul de metileno Rosa de Bengala Cloruro de Tolonio Sin embargo el más barato y efectivo es el Azul de Toloidina Warnakulasuriya KA y Johnson NW. "Sensitivity and specificity of OraScan (R) toluidine blue mouthrinse in the detection of oral cancer and precancer". J Oral Pathol Med. 1996;25(3):97-103.
  • 209.
    Técnica de aplicación 1.Enjuagarse entre 1-3 veces con ácido acético al 1% durante 30 segundos. 2. Enjuagarse con azul de toluidina al 1% durante 1 minuto 3. Volver a enjuagarse con ácido acéticoal 1% durante 30 segundos. La coloración orienta, nunca sustituye el criterio del cirujano. Bascones Martínez A, Seoane Lestón JM, Aguado Santos A, Suárez Quintanilla JM. Cáncer y precáncer oral : bases clín ico-quirúrgicas y moleculares. Madrid: Avances Medico-Dentales, S.L.; 2003.
  • 210.
    Marcadores de tumores Losmarcadores de tumores son sustancias que se encuentran en la sangre, en la orina, materia fecal, en otros líquidos del cuerpo o en tejidos de algunos pacientes con cáncer. Los marcadores de tumores pueden usarse para ayudar a diagnosticar el cáncer, para ayudar a predecir la reacción de un paciente a ciertas terapias para el cáncer, a revisar la reacción de un paciente al tratamiento, o a determinar si el cáncer ha regresado. Actualmente se usan más de 20 marcadores de tumores. No existe un marcador de tumores "universal" que pueda detectar cualquier tipo de cáncer. Bigbee W, Herberman RB. Tumor markers and immunodiagnosis. In: Bast RC Jr., Kufe DW, Pollock RE, et al., editors. Cancer Medicine. 6th ed. Hamilton, Ontario, Canada: BC Decker Inc., 2003. Andriole G, Crawford E, Grubb R, et al. Mortality results from a randomized prostate-cancer screening trial. New England Journal of Medicine 2009; 360(13):1310–1319. [PubMed Abstract] Schröder FH, Hugosson J, Roobol MJ, et al. Screening and prostate-cancer mortality in a randomized European study. New England Journal of Medicine 2009; 360(13):1320–1328. [PubMed Abstract] Buys SS, Partridge E, Black A, et al. Effect of screening on ovarian cancer mortality: the Prostate, Lung, Colorectal and Ovarian (PLCO) Cancer Screening Randomized Controlled Trial. JAMA 2011; 305(22):2295–2303. [PubMed Abstract] Cramer DW, Bast RC Jr, Berg CD, et al. Ovarian cancer biomarker performance in prostate, lung, colorectal, and ovarian cancer screening trial specimens. Cancer Prevention Research 2011; 4(3):365–374. [PubMed Abstract]
  • 211.
    Los 20 marcadoresreconocidos científicamente por la National Cancer Association son: Activador del plasminógeno urocinasa (uPA) e inhibidor del activador del plasminógeno (PAI-1) Tipo de cáncer: Cáncer de seno Tejido analizado: Tumor Cómo se usó: Para determinar la malignidad del cáncer y guiar el tratamiento Alfa-fetoproteína (AFP) Tipos de cáncer: Cáncer de hígado y tumores de células germinativas Tejido analizado: Sangre Cómo se usó: Para ayudar a diagnosticar cáncer de hígado y vigilar la reacción al tratamiento; para evaluar el estadio, el pronóstico y la reacción al tratamiento de tumores de células germinativas
  • 212.
    Análisis de mutacióndel EGFR Tipo de cáncer: Cáncer de pulmón de células no pequeñas Tejido analizado: Tumor Cómo se usó: Para ayudar a determinar el tratamiento y el pronóstico Análisis de mutación del KRAS Tipos de cáncer: Cáncer colorrectal y cáncer de pulmón de células no pequeñas Tejido analizado: Tumor Cómo se usó: Para determinar si el tratamiento con un tipo específico de terapia dirigida es el adecuado Antígeno carcinoembrionario (CEA) Tipos de cáncer: Cáncer colorrectal y cáncer de seno Tejido analizado: Sangre Cómo se usó: Para revisar si el cáncer colorrectal se ha diseminado; para buscar la recidiva del cáncer de seno y evaluar la reacción al tratamiento
  • 213.
    Antígeno prostático específico(PSA) Tipo de cáncer: Cáncer de próstata Tejido analizado: Sangre Cómo se usó: Para ayudar en el diagnóstico, evaluar la reacción al tratamiento y buscar la recurrencia (recidiva) CA15-3/CA27.29 Tipo de cáncer: Cáncer de seno Tejido analizado: Sangre Cómo se usó: Para evaluar si el tratamiento está funcionando o si la enfermedad ha regresado CA19-9 Tipos de cáncer: Cáncer de páncreas, cáncer de vesícula biliar, cáncer de conducto biliar y cáncer gástrico Tejido analizado: Sangre Cómo se usó: Para evaluar si el tratamiento está funcionando
  • 214.
    CA-125 Tipo de cáncer:Cáncer de ovarios Tejido analizado: Sangre Cómo se usó: Para ayudar en el diagnóstico, en la evaluación de la reacción al tratamiento y en la evaluación de la recidiva Calcitonina Tipo de cáncer: Cáncer medular de tiroides Tejido analizado: Sangre Cómo se usó: Para ayudar en el diagnóstico, para revisar si el tratamiento está funcionando y evaluar la recidiva CD20 Tipo de cáncer: Linfoma no Hodgkin Tejido analizado: Sangre Cómo se usó: Para determinar si el tratamiento con una terapia dirigida es
  • 215.
    Cromogranina A (CgA) Tipode cáncer: Tumores neuroendocrinos Tejido analizado: Sangre Cómo se usó: Para ayudar en el diagnóstico, en la evaluación de la reacción al tratamiento y en la evaluación de la recidiva Cromosomas 3, 7, 17 y 9p21 Tipo de cáncer: Cáncer de vejiga Tejido analizado: Orina Cómo se usó: Para ayudar en la vigilancia de recurrencia (recidiva) de tumores Fibrina y fibrinógeno Tipo de cáncer: Cáncer de vejiga Tejido analizado: Orina Cómo se usó: Para vigilar el avance y la reacción al tratamiento
  • 216.
    Fragmentos de citoqueratina21-1 Tipo de cáncer: Cáncer de pulmón Tejido analizado: Sangre Cómo se usó: Para ayudar en la vigilancia de recurrencia (recidiva) Gen de fusión BCR-ABL Tipo de cáncer: Leucemia mieloide crónica Tejido analizado: Sangre y médula ósea Cómo se usó: Para confirmar el diagnóstico y vigilar el estado de la enfermedad Gonadotropina coriónica humana ß (Beta-hCG) Tipos de cáncer: Coriocarcinoma y cáncer de testículo Tejido analizado: Orina o sangre Cómo se usó: Para evaluar el estadio, el pronóstico y la reacción al tratamiento
  • 217.
    HE4 Tipo de cáncer:Cáncer de ovarios Tejido analizado: Sangre Cómo se usó: Para evaluar el avance de la enfermedad y vigilar la recurrencia (recidiva) HER2/neu Tipos de cáncer: Cáncer de seno, cáncer de estómago y cáncer de esófago Tejido analizado: Tumor Cómo se usó: Para determinar si el tratamiento con trastuzumab es el adecuado Inmunoglobulinas Tipos de cáncer: Mieloma múltiple y macroglobulinemia de Waldenström Tejido analizado: Sangre y orina Cómo se usó: Para ayudar a diagnosticar la enfermedad, evaluar la reacción al tratamiento y buscar si ha habido recurrencia (recidiva)
  • 218.
    KIT Tipos de cáncer:Tumor del estroma gastrointestinal y melanoma mucoso Tejido analizado: Tumor Cómo se usó: Para ayudar en el diagnóstico y determinar el tratamiento Lactato deshidrogenasa Tipo de cáncer: Tumores de células germinativas Tejido analizado: Sangre Cómo se usó: Para evaluar el estadio, el pronóstico y la reacción al tratamiento Microglobulina ß-2 (B2M) Tipos de cáncer: Mieloma múltiple, leucemia linfocítica crónica y algunos linfomas Tejido analizado: Sangre, orina o líquido cefalorraquídeo Cómo se usó: Para determinar el pronóstico y vigilar la reacción al tratamiento
  • 219.
    Mutación BRAF (V600E) Tiposde cáncer: Melanoma cutáneo y cáncer colorrectal Tejido analizado: Tumor Cómo se usó: Para pronosticar la reacción a terapias dirigidas Proteína de matriz nuclear 22 (NMP22) Tipo de cáncer: Cáncer de vejiga Tejido analizado: Orina Cómo se usó: Para vigilar la reacción al tratamiento Receptor de estrógeno (ER) y receptor de progesterona (PR) Tipo de cáncer: Cáncer de seno Tejido analizado: Tumor Cómo se usó: Para determinar si el tratamiento con terapia hormonal (como con tamoxifeno) es adecuado
  • 220.
    Reordenación de genesALK Tipos de cáncer: Cáncer de pulmón de células no pequeñas y linfoma anaplásico de células grandes Tejido analizado: Tumor Cómo se usó: Para ayudar a determinar el tratamiento y el pronóstico Sello de 5 proteínas (Ova1) Tipo de cáncer: Cáncer de ovarios Tejido analizado: Sangre Cómo se usó: Para evaluar la masa pélvica antes de operación para lo que se sospecha ser cáncer de ovario Sello de 21 genes (Oncotype DX) Tipo de cáncer: Cáncer de seno Tejido analizado: Tumor Cómo se usó: Para evaluar el riesgo de recurrencia (recidiva)
  • 221.
    Sello de 70genes (Mammaprint) Tipo de cáncer: Cáncer de seno Tejido analizado: Tumor Cómo se usó: Para evaluar el riesgo de recurrencia (recidiva) Tiroglobulina Tipo de cáncer: Cáncer de tiroides Tejido analizado: Tumor Cómo se usó: Para evaluar la reacción al tratamiento y buscar la recurrencia (recidiva)
  • 222.
    Los investigadores deoncología acuden a la proteinómica (el estudio de la estructura, función y patrones de expresión de las proteínas) con la esperanza de formular nuevos biomarcadores que puedan usarse para identificar enfermedades en sus estadios iniciales, para predecir la posibilidad de recurrencia del cáncer después de que haya terminado el tratamiento.
  • 223.
    La estadificación describela gravedad del cáncer que aqueja a una persona basándose en la extensión del tumor original (primario) y si el cáncer se ha diseminado en el cuerpo o no. La estadificación es importante por las siguientes razones: La estadificación ayuda al médico a planear un tratamiento apropiado. La etapa o estadio puede usarse para estimar el pronóstico de la persona. Conocer la etapa es importante para identificar estudios clínicos que puedan ser adecuados para un paciente en particular. La estadificación permite a los profesionales médicos e investigadores compartir información sobre los pacientes. Asimismo, facilita un lenguaje común para evaluar los resultados de los estudios clínicos y comparar resultados de estudios diferentes. Estadificación
  • 224.
    Los sistemas deestadificación del cáncer han evolucionado con el tiempo y siguen cambiando a medida que los científicos aprenden más sobre el cáncer. Algunos sistemas de estadificación cubren muchos tipos de cáncer; otros se enfocan en un tipo particular. Los elementos comunes que se consideran en la mayoría de los sistemas de estadificación son: El sitio del tumor primario, El tamaño del tumor y número de tumores, La complicación de ganglios linfáticos (diseminación del cáncer a los ganglios linfáticos), El tipo de célula y grado* del tumor (qué tanto se parecen las células cancerosas a las células normales de tejido), y La presencia o ausencia de metástasis.
  • 225.
    El sistema TNMestá basado en la extensión del tumor (T), el grado de diseminación a los ganglios linfáticos (N), y la presencia de metástasis (M) distante. Un número se añade a cada letra para indicar el tamaño o extensión del tumor y el grado de diseminación del cáncer. Este sistema ha sido aceptado por la International Union Against Cancer, UICC, y por el American Joint Committee on Cancer, AJCC.
  • 226.
    Tumor primario (T) TXEl tumor primario no puede ser evaluado T0 No hay evidencia de tumor primario Tis Carcinoma in situ (CIS; células anormales están presentes pero no se han diseminado a los tejidos cercanos. Aunque no es cáncer, el CIS puede progresar a cáncer y algunas veces se llama cáncer preinvasor T1, T2, T3, T4 Tamaño y extensión del tumor primario
  • 227.
    Ganglios linfáticos regionales(N) NX No es posible evaluar los ganglios linfáticos regionales N0 No existe complicación de ganglios linfáticos N1, N2, N3 Complicación de ganglios linfáticos regionales (número de ganglios linfáticos y grado de diseminación)
  • 228.
    Metástasis distante (M) MXNo es posible evaluar una metástasis distante M0 No existe metástasis distante M1 Presencia de metástasis distante
  • 229.
    Muchos registros decáncer, como el Surveillance, Epidemiology, and End Results Program (SEER) del Instituto Nacional del Cáncer, usan una estadificación concisa. Este sistema se usa para todo tipo de cáncer y agrupa los casos de dicha enfermedad en cinco categorías principales: In situ: las células anormales están presentes sólo en la capa de células en donde se forman. Localizado: el cáncer se limita al órgano en donde empezó, sin evidencia de diseminación. Regional: el cáncer se ha diseminado más allá del sitio primario a ganglios linfáticos o a órganos y tejidos cercanos. Distante: el cáncer se ha diseminado desde el sitio primario a órganos distantes o a ganglios linfáticos distantes. Desconocido: no hay información suficiente para determinar la etapa o estadio.
  • 234.
  • 235.
  • 236.
  • 237.
    Biopsia con trocarde Silvermann, actualmente se utiliza la aguja de Tru-Cut que es desechable.
  • 238.
    La oncología esla especialidad médica que estudia y trata las neoplasias; tumores benignos y malignos, pero con especial atención a los malignos, esto es, al cáncer. El término oncología deriva del griego onkos (masa o tumor) y el sufijo -logos-ou (estudio de). Los profesionales de esta especialidad son los oncólogos. El odontólogo debe hacer oncología?
  • 240.
  • 248.
    2 cms. Aprox.de ancho dela uña del pulgar
  • 259.
  • 269.
  • 270.
  • 274.
  • 278.
  • 294.
  • 304.
  • 311.
  • 319.
  • 381.
  • 382.
  • 389.
    Neumólogo: Dr. CrescencianoGonzález Olivares
  • 390.
    Trismus importante debidoa que El tumor ya rompió el hueso com- Pacto de la cara interna de la Mandíbula y empezó a tomar el Músculo pterigoideo interno y milohioideo.
  • 404.
    Orbicular de loslabiosOrbicular de los labios Cuadrado del mentónCuadrado del mentón MentónMentón Agujero mentonianoAgujero mentoniano Tejido celular subcutáneoTejido celular subcutáneo DigástricoDigástrico Compartimiento submandibularCompartimiento submandibular Conducto de StenonConducto de Stenon Arteria facialArteria facial Nervio facialNervio facial Cutáneo del cuelloCutáneo del cuello
  • 405.
  • 406.
  • 408.
  • 409.
  • 411.
    Plantilla flexible paradar forma previa al implante
  • 412.
    Se respetó elcóndilo para anclar la prótesisSe respetó el cóndilo para anclar la prótesis
  • 417.
  • 418.
    Area de lisisósea a nivel de la línea Miliodes que contracturó los músculos Milohioideo y pterigoideo interno Dificultando la deglución y determinando Trismus importante. Pieza en proceso de examen por histopatología
  • 420.
    Dr. Ismael EspejoPlascencia Patólogo
  • 431.
    48 horas depost-operatorio
  • 433.
  • 441.
  • 455.
  • 481.
  • 496.
    Células gigantes multinucleadas,tienden a agruparse en nidos. El tumor es benigno, con tendencia a aparecer multifocalmente en varios huesos.