PROTOCOLOS EN TOMOGRAFIAPROTOCOLOS EN TOMOGRAFIA
PEDIATRICAPEDIATRICA
DRA ELENA PULACHET C.
HOSPITAL GUILLERMO ALMENARA
DISTRIBUCIÓN DE EXAMENES TEMDISTRIBUCIÓN DE EXAMENES TEM
NIÑOS HNGAI OCT 2012NIÑOS HNGAI OCT 2012
TOTAL: 332TOTAL: 332
225 54 32 16 05
INDICACIONES PARAINDICACIONES PARA
PROTOCOLO DE CRÁNEOPROTOCOLO DE CRÁNEO
HABLAREMOS SOBRE EL MODO ENHABLAREMOS SOBRE EL MODO EN
ESPIRAL PARA ESTUDIOS DE RUTINA DEESPIRAL PARA ESTUDIOS DE RUTINA DE
CRANEO V.G TUMORES HIDROCEFALIA,CRANEO V.G TUMORES HIDROCEFALIA,
HEMORRAGIA O ANORMALIDADESHEMORRAGIA O ANORMALIDADES
CONGENITASCONGENITAS
PROTOCOLO DE CRÁNEOPROTOCOLO DE CRÁNEO
 kV 110kV 110
 Effective mAs *Effective mAs *
 Slice collimation 1.0 mmSlice collimation 1.0 mm
 Slice width 5.0 mmSlice width 5.0 mm
 Rotation time 1.0 sec.Rotation time 1.0 sec.
 Kernel C30sKernel C30s
 Increment 5.0 mmIncrement 5.0 mm
 Image order ca-crImage order ca-cr
 Una distancia de 8.5 cm se cubrira en 16.2Una distancia de 8.5 cm se cubrira en 16.2
segundossegundos
PROTOCOLO DE CRANEOPROTOCOLO DE CRANEO
* MILIAMPERAJE* MILIAMPERAJE
 EDAD kV mAs CTDIVolEDAD kV mAs CTDIVol
 < 6 months 110 60 11.4 mGy< 6 months 110 60 11.4 mGy
 6 months – 3 years 110 170 32.3 mGy6 months – 3 years 110 170 32.3 mGy
 3 years – 6 years 110 310 59.0 mGy3 years – 6 years 110 310 59.0 mGy
PATOLOGIA CEREBRALPATOLOGIA CEREBRAL
DISGENESIA CALLOSADISGENESIA CALLOSA
ARTEFACTOARTEFACTO
PROTOCOLO ANGIOGRAFIAPROTOCOLO ANGIOGRAFIA
CEREBRALCEREBRAL
 kV 80kV 80
 Effective mAs *Effective mAs *
 Slice collimation 1.0 mmSlice collimation 1.0 mm
 Slice width 1.25 mmSlice width 1.25 mm
 Rotation time 0.6 sec.Rotation time 0.6 sec.
 Kernel C30sKernel C30s
 Increment 0.8 mmIncrement 0.8 mm
 Image order ca-crImage order ca-cr
 Una distancia de 15 cm, tomará 8.3 segundosUna distancia de 15 cm, tomará 8.3 segundos
PROTOCOLO ANGIOGRAFIAPROTOCOLO ANGIOGRAFIA
CEREBRAL *MILIAMPERAJECEREBRAL *MILIAMPERAJE
 EDAD kV mAs CTDIVolEDAD kV mAs CTDIVol
 < 6 years 80 80 6.5 mGy< 6 years 80 80 6.5 mGy
 6 years – 12 years 80 120 9.8mGy6 years – 12 years 80 120 9.8mGy
MAV
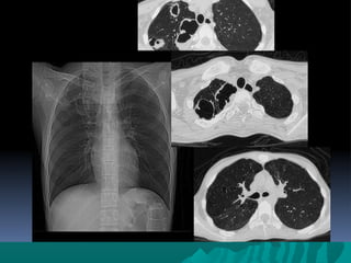
TEM EN TORAXTEM EN TORAX
Indicaciones para examen deIndicaciones para examen de
toraxtorax
Modo en espiral para estudios de rutina deModo en espiral para estudios de rutina de
torax v.g.torax v.g.
Neumonia, tumores, metástasis , linfomaNeumonia, tumores, metástasis , linfoma
anormalidades vasculares entre otrosanormalidades vasculares entre otros
Dra.Silvia Moguillansky
Buenos Aires –Argentina 2015
DR .PEDRO DALTRO, RIO DE JANEIRO EQUIPO320
Torax Secuencial de altaTorax Secuencial de alta
resolucionresolucion
 Protocolo:Protocolo:
 kV 110kV 110
 mAs *mAs *
 Slice collimation 1.0 mmSlice collimation 1.0 mm
 Slice width 1.0 mmSlice width 1.0 mm
 Rotation time 1.0 sec.Rotation time 1.0 sec.
 Kernel B90sKernel B90s
 Image order cr-caImage order cr-ca
Torax Secuencial de altaTorax Secuencial de alta
resolucionresolucion
 El miliamperaje se ajustara al peso del niño:El miliamperaje se ajustara al peso del niño:
 Peso Kv mA radiaciónPeso Kv mA radiación
 < 35 kg 110 36 0.3 mGy< 35 kg 110 36 0.3 mGy
 35 – 54 kg 110 120 0.9 mGy35 – 54 kg 110 120 0.9 mGy
 Mayor de 54 kilos se usa protocolo de adultoMayor de 54 kilos se usa protocolo de adulto
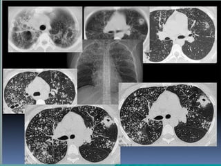
FIBROSIS PULMONARFIBROSIS PULMONAR
PROTOCOLO DE COMBINACIÓN DE IMÁGENES DEPROTOCOLO DE COMBINACIÓN DE IMÁGENES DE
MEDIASTINO Y DE HR.MEDIASTINO Y DE HR.
 COMBINA CORTES FINOS Y ESTUDIOS DECOMBINA CORTES FINOS Y ESTUDIOS DE
RUTINA TORACICOS CON UN SOLO SCAN ENRUTINA TORACICOS CON UN SOLO SCAN EN
ESPIRALESPIRAL
 INDICACIONES:INDICACIONES:
 V.G : ESTUDIOS DE TORAX EN GENERAL YV.G : ESTUDIOS DE TORAX EN GENERAL Y
CAMBIOS INTERSTICIALES EN LOS PULMONESCAMBIOS INTERSTICIALES EN LOS PULMONES
 HAY DOS PROTOCOLOS DE RECONSTRUCCIONHAY DOS PROTOCOLOS DE RECONSTRUCCION
BIEN DEFINIDOSBIEN DEFINIDOS
 EL PRIMERO CON 3 MM DE GROSOR DE CORTESEL PRIMERO CON 3 MM DE GROSOR DE CORTES
PARA EL MEDIASTINO Y EL SEGUNDOCON 1.25PARA EL MEDIASTINO Y EL SEGUNDOCON 1.25
MM DE GROSOR DE CORTES PARA EL PULMONMM DE GROSOR DE CORTES PARA EL PULMON
 UN RANGO DE 15 CM SERÁ CUBIERTO EN 15UN RANGO DE 15 CM SERÁ CUBIERTO EN 15
SEGUNDOS.SEGUNDOS.
PROTOCOLO DE COMBINACIÓN DE IMÁGENES DEPROTOCOLO DE COMBINACIÓN DE IMÁGENES DE
MEDIASTINO Y DE HR.MEDIASTINO Y DE HR.
 kV 110kV 110
 Effective mAs *Effective mAs *
 Slice collimation 1.0 mmSlice collimation 1.0 mm
 Slice width 3.0 mm 1.25 mmSlice width 3.0 mm 1.25 mm
 Rotation time 0.8 sec.Rotation time 0.8 sec.
 Kernel B41s B60sKernel B41s B60s
 Increment 3.0 mm 0.8 mmIncrement 3.0 mm 0.8 mm
 Image order cr-caImage order cr-ca
PROTOCOLO DE COMBINACIÓN DE IMÁGENES DEPROTOCOLO DE COMBINACIÓN DE IMÁGENES DE
MEDIASTINO Y DE HR.MEDIASTINO Y DE HR.
 Peso kV mAsPeso kV mAs
 < 15 kg 110< 15 kg 110
 15 – 24 kg 110 2615 – 24 kg 110 26
 25 – 34 kg 110 3925 – 34 kg 110 39
 35 – 44 kg 110 6535 – 44 kg 110 65
 45 – 55 kg 110 9045 – 55 kg 110 90
PROTOCOLO DE COMBINACIÓN DE IMÁGENES DEPROTOCOLO DE COMBINACIÓN DE IMÁGENES DE
MEDIASTINO Y DE HR.MEDIASTINO Y DE HR.
 EN NIÑOS CON UN PESO DE 55 KG O MAS SEEN NIÑOS CON UN PESO DE 55 KG O MAS SE
DEBE USAR UN PROTOCOLO PARA ADULTOSDEBE USAR UN PROTOCOLO PARA ADULTOS
 SE DEBEN PREDEFINIR 2 PROTOCOLOS PARASE DEBEN PREDEFINIR 2 PROTOCOLOS PARA
IMÁGENES DE RECONSTRUCCION DE TORAX DEIMÁGENES DE RECONSTRUCCION DE TORAX DE
RUTINA Y DE PULMON CON CORTES FINOS.RUTINA Y DE PULMON CON CORTES FINOS.
MEDIASTINO NORMALMEDIASTINO NORMAL
Ventana en TCARVentana en TCAR
 «El grosor de la pared bronquial en TCAR deberá«El grosor de la pared bronquial en TCAR deberá
estudiarse, con un nivel de ventana entre -250 yestudiarse, con un nivel de ventana entre -250 y
-700 UH y una amplitud de ventana mayor de-700 UH y una amplitud de ventana mayor de
1,000 UH.1,000 UH.
 Con una amplitud de ventana inferior a 1,000 UHCon una amplitud de ventana inferior a 1,000 UH
se producirá un engrosamiento artificial de lase producirá un engrosamiento artificial de la
pared bronquial.pared bronquial.
Ortega M y col. Utilidad de la radiografía de tórax yOrtega M y col. Utilidad de la radiografía de tórax y
de la tomografía computada de alta resolución»de la tomografía computada de alta resolución»
Alergia , asma e inmunologia pediatricaAlergia , asma e inmunologia pediatrica
Vol20,num3 sep-dic 2011Vol20,num3 sep-dic 2011
TECNICAS ESPECIALESTECNICAS ESPECIALES
 TOMOGRAFIA DE BAJA DOSIS LOCALIZADATOMOGRAFIA DE BAJA DOSIS LOCALIZADA
se realizan 3 o 4 cortes específicos en el punto delse realizan 3 o 4 cortes específicos en el punto del
parénquima pulmonar a analizar, útil en la valoración deparénquima pulmonar a analizar, útil en la valoración de
bronquiectasias, enfisema lobar o neumonía cavitada.bronquiectasias, enfisema lobar o neumonía cavitada.
 TOMOGRAFIA DE CORTES LIMITADOS PARA SEGUIMIENTOTOMOGRAFIA DE CORTES LIMITADOS PARA SEGUIMIENTO
En enfermedades pulmonares crónicas, útil en pacientesEn enfermedades pulmonares crónicas, útil en pacientes
con fibrosis quística, displasia broncopulmonar, neumoníascon fibrosis quística, displasia broncopulmonar, neumonías
intersticiales, histiocitosis o proteinosis alveolarintersticiales, histiocitosis o proteinosis alveolar ..
Neumol Pediatr 2015; 10 (2): 67 - 71Neumol Pediatr 2015; 10 (2): 67 - 71
TECNICAS ESPECIALESTECNICAS ESPECIALES
 TOMOGRAFIA CON CORTES ESPIRATORIOS :TOMOGRAFIA CON CORTES ESPIRATORIOS :
En posición decúbito supino en niños que cooperan con unaEn posición decúbito supino en niños que cooperan con una
espiración forzada. Se realizan 3 cortes espiratorios: a nivelespiración forzada. Se realizan 3 cortes espiratorios: a nivel
superior, medio e inferior, para obtener adecuada valoración de cadasuperior, medio e inferior, para obtener adecuada valoración de cada
pulmón tanto en inspiración como en espiraciónpulmón tanto en inspiración como en espiración
En niños pequeños que no cooperan con la respiración se realiza enEn niños pequeños que no cooperan con la respiración se realiza en
decúbito lateral o prono, permitiendo obtener adecuada valoracióndecúbito lateral o prono, permitiendo obtener adecuada valoración
de los segmentos posteriores de ambos campos pulmonares.de los segmentos posteriores de ambos campos pulmonares.
Neumol Pediatr 2015; 10 (2): 67 - 71Neumol Pediatr 2015; 10 (2): 67 - 71
DR. PEDRO DALTRO ,RIO DE JANEIRO , EQUIPO 320
DR.PEDRO DALTRO,RIO DE JANEIRO-EQUIPO 320
TECNICA DE BAJA DOSIS YTECNICA DE BAJA DOSIS Y
ALTA RESOLUCIONALTA RESOLUCION
Se realizan cortes finos de 1 mm de grosor aSe realizan cortes finos de 1 mm de grosor a
intervalos de 10 mm para el estudio inicial y cortesintervalos de 10 mm para el estudio inicial y cortes
de 1 mm a intervalo de 20 mm para el seguimientode 1 mm a intervalo de 20 mm para el seguimiento
de la patología pulmonar crónicade la patología pulmonar crónica
En el caso de los prematuros, la secuencia es deEn el caso de los prematuros, la secuencia es de
cortes de 1 mm cada 5 mm debido al pequeñocortes de 1 mm cada 5 mm debido al pequeño
tamaño del tórax.tamaño del tórax.
Neumol Pediatr 2015; 10 (2): 67 - 71Neumol Pediatr 2015; 10 (2): 67 - 71
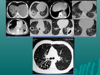
TEM DE ABDOMENTEM DE ABDOMEN
PROTOCOLO PARA TEM DEPROTOCOLO PARA TEM DE
ABDOMENABDOMEN
 MODO ESPIRAL PARA RUTINA DELMODO ESPIRAL PARA RUTINA DEL
ABDOMEN DE NEONATO VG.ABDOMEN DE NEONATO VG.
 TUMORES, ANORMALIDADES,TUMORES, ANORMALIDADES,
MALFORMACIONES ,ABSCESOS ETC.MALFORMACIONES ,ABSCESOS ETC.
Una distancia de 15 cm se cubriráUna distancia de 15 cm se cubrirá
en 8.3 segundos.en 8.3 segundos.
 kV 80kV 80
 Effective mAs 35Effective mAs 35
 Slice collimation 2.0 mmSlice collimation 2.0 mm
 Slice width 5.0 mmSlice width 5.0 mm
 Feed/Rotation 18.0 mmFeed/Rotation 18.0 mm
 Rotation time 0.8 sec.Rotation time 0.8 sec.
 Kernel B41sKernel B41s
 Increment 4.0 mmIncrement 4.0 mm
 Image order cr-caImage order cr-ca
 CTDIVol 1.1 mGyCTDIVol 1.1 mGy
PROTOCOLO PARA TEM DEPROTOCOLO PARA TEM DE
ABDOMENABDOMEN
MILIAMPERAJE PARA TEMMILIAMPERAJE PARA TEM
DE ABDOMENDE ABDOMEN
 El miliamperaje debe ser ajustado alEl miliamperaje debe ser ajustado al
peso del niñopeso del niño
 Peso kv mA radiaciónPeso kv mA radiación
 < 15 kg 110 15 1.2< 15 kg 110 15 1.2
 15 – 24 kg 110 30 2.415 – 24 kg 110 30 2.4
 25 – 34 kg 110 50 3.925 – 34 kg 110 50 3.9
 35 – 44 kg 110 75 5.835 – 44 kg 110 75 5.8
 45 – 55 kg 110 105 8.245 – 55 kg 110 105 8.2
Abdomen y pelvisAbdomen y pelvis
IndicacionesIndicaciones
 Modo espiral para estudios de rutinaModo espiral para estudios de rutina
de la región abdómino pélvicade la región abdómino pélvica
 V.g. tumores linfoma, abscesos,V.g. tumores linfoma, abscesos,
cambios post traumáticos etc.cambios post traumáticos etc.
 Una distancia de 30 cm será cubiertoUna distancia de 30 cm será cubierto
en 15 segundosen 15 segundos
PROTOCOLO DE ABDOMEN YPROTOCOLO DE ABDOMEN Y
PELVIS PEDIATRICOPELVIS PEDIATRICO

 kV 110kV 110
 Effective mAs *Effective mAs *
 Slice collimation 2.0 mmSlice collimation 2.0 mm
 Slice width 5.0 mmSlice width 5.0 mm
 Feed/Rotation 18.0 mmFeed/Rotation 18.0 mm
 Rotation time 0.8 sec.Rotation time 0.8 sec.
 Kernel B41sKernel B41s
 Increment 5.0 mmIncrement 5.0 mm
 Image order cr-caImage order cr-ca
MILIAMPERAJE EN ABDOMEN YMILIAMPERAJE EN ABDOMEN Y
PELVIS PEDIATRICOPELVIS PEDIATRICO
 Peso kv mA radiaciónPeso kv mA radiación
 < 15 kg 110 13 1.0< 15 kg 110 13 1.0
 15 – 24 kg 110 17 1.315 – 24 kg 110 17 1.3
 25 – 34 kg 110 26 2.025 – 34 kg 110 26 2.0
 35 – 44 kg 110 43 3.335 – 44 kg 110 43 3.3
 45 – 55 kg 110 60 4.745 – 55 kg 110 60 4.7
Protocolo de abdomen y pelvis en neonato.Protocolo de abdomen y pelvis en neonato.
ContrasteContraste
 TipsTips
 Tu puedes cambiar el grosor del corte paraTu puedes cambiar el grosor del corte para
las imágenes de reconstrucciónlas imágenes de reconstrucción
dependiendo de las indicaciones clínicasdependiendo de las indicaciones clínicas
 Inyección del medio de contrasteInyección del medio de contraste
 El delay depende del grosor de la aguja yEl delay depende del grosor de la aguja y
del lugar de la inyección.del lugar de la inyección.
 Cantidad de contraste: 1-2 ml por kg.Cantidad de contraste: 1-2 ml por kg.
OPACIFICACION DE ASASOPACIFICACION DE ASAS
INTESTINALESINTESTINALES
Edad Gastrografin. volEdad Gastrografin. vol
Hasta 6 Meses 2-4 ml. 60-120 ml.Hasta 6 Meses 2-4 ml. 60-120 ml.
6 a 12 Meses 6 ml. 180 ml.6 a 12 Meses 6 ml. 180 ml.
1 a 5 años 9 ml. 270 ml.1 a 5 años 9 ml. 270 ml.
6 a 9 años 12 ml. 360 ml.6 a 9 años 12 ml. 360 ml.
Más de 10 años 15 ml. 500 ml.Más de 10 años 15 ml. 500 ml.
Vall dHebron Hosp materno infantilVall dHebron Hosp materno infantil
OPACIFICAR HASTA COLONOPACIFICAR HASTA COLON
 Edad Gastrografin Vol.Edad Gastrografin Vol.
 Hasta 6 MesesHasta 6 Meses 2 ml. 60 ml.2 ml. 60 ml.
 6 a 12 Mese6 a 12 Mese 3 ml. 90 ml.3 ml. 90 ml.
 1 a 5 años1 a 5 años 4 ml. 120 ml.4 ml. 120 ml.
 6 a 9 años6 a 9 años 6 ml. 180 ml.6 ml. 180 ml.
 Más de 10 añosMás de 10 años 8 ml. 240 ml.8 ml. 240 ml.
 También se puede opacificar el colonTambién se puede opacificar el colon
administrando una dosis oral 8 horas antes deladministrando una dosis oral 8 horas antes del
examen.examen.
Vall dHebron Hosp materno infantilVall dHebron Hosp materno infantil
OPACIFICACION DEL RECTOOPACIFICACION DEL RECTO
Cuando necesitemos opacificar el rectoCuando necesitemos opacificar el recto
(sospecha de masas pélvicas, anomalías(sospecha de masas pélvicas, anomalías
anorectales, etc.) utilizaremosanorectales, etc.) utilizaremos
un enema de Gastrografin diluido en S.F. alun enema de Gastrografin diluido en S.F. al
3%, a temperatura corporal, dejando la3%, a temperatura corporal, dejando la
cánula en el recto para que nos sirva decánula en el recto para que nos sirva de
referencia. En tales casos, de 50 a 100 ml.referencia. En tales casos, de 50 a 100 ml.
de liquido es suficiente.de liquido es suficiente.
Vall dHebron Hosp materno infantilVall dHebron Hosp materno infantil
APENDICITIS
LINFOMALINFOMA
UROTEM PEDIATRICOUROTEM PEDIATRICO
 Protocolo: BRIGTHSPEED 16Protocolo: BRIGTHSPEED 16
Se uso:Se uso:
Kv de 120Kv de 120
mA de 125 a 165mA de 125 a 165
FOV DE 22.7 CMFOV DE 22.7 CM
VENTANAS w: 308-376VENTANAS w: 308-376
L: 54 a 120L: 54 a 120
UROTEM PEDIATRICOUROTEM PEDIATRICO
 PROTOCOLO EMOTION6PROTOCOLO EMOTION6
KV 130KV 130
EFFMas 35EFFMas 35
REF maS 100REF maS 100
B 30 SB 30 S
W: 400W: 400
C: 40C: 40
TUMOR DE WILLSTUMOR DE WILLS
HIDRONEFROSIS BILATERALHIDRONEFROSIS BILATERAL
FIBROQUISTOSIS RENALFIBROQUISTOSIS RENAL
TEM DE COLUMNATEM DE COLUMNA
VERTEBRALVERTEBRAL
Protocolo para columnaProtocolo para columna
 INDICACIONES:INDICACIONES:
 MODO ESPIRAL PARA ESTUDIOS DEMODO ESPIRAL PARA ESTUDIOS DE
COLUMNA V.G. CAMBIOS POSTCOLUMNA V.G. CAMBIOS POST
TRAUMATICOS, TUMORES,TRAUMATICOS, TUMORES,
MALFORMACIONES O INDICACIONESMALFORMACIONES O INDICACIONES
ORTOPEDICA, ETC.ORTOPEDICA, ETC.
 UNA DISTANCIA DE 15 CM. SEUNA DISTANCIA DE 15 CM. SE
CUBRIRA EN 14.5 SEGUNDOSCUBRIRA EN 14.5 SEGUNDOS
Protocolo para columnaProtocolo para columna
 Spine 2nd reconstr.Spine 2nd reconstr.
 kV 110kV 110
 Effective mAs *Effective mAs *
 Slice collimation 2.0 mmSlice collimation 2.0 mm
 Slice width 3.0 mm 3.0 mmSlice width 3.0 mm 3.0 mm
 Rotation time 1.0 sec.Rotation time 1.0 sec.
 Kernel B41s B60sKernel B41s B60s
 Increment 1.5 mm 1.5 mmIncrement 1.5 mm 1.5 mm
 Image order cr-caImage order cr-ca
MILIAMPERAJE PARAMILIAMPERAJE PARA
COLUMNACOLUMNA
 < 15 kg 110 22 1.7mGy< 15 kg 110 22 1.7mGy
 15 – 24 kg 110 47 3.715 – 24 kg 110 47 3.7
 25 – 34 kg 110 7825 – 34 kg 110 78 6.06.0
 35 – 44 kg 110 11035 – 44 kg 110 110 8.68.6
 45 – 55 kg45 – 55 kg 110 173 13.5110 173 13.5
columnacolumna
 INYECCIÓN DEL CONTRASTE:INYECCIÓN DEL CONTRASTE:
 EL INICIO DEL DELAY DEPENDERÁ DE LA VELOCIDAD DEEL INICIO DEL DELAY DEPENDERÁ DE LA VELOCIDAD DE
LA INYECCIÓN Y DE LA VIA DE ACCESOLA INYECCIÓN Y DE LA VIA DE ACCESO
 LA CANTIDAD DE CONTRASTE SERA 1-2 ml POR KILO DELA CANTIDAD DE CONTRASTE SERA 1-2 ml POR KILO DE
PESOPESO
 TipsTips
 EL NIÑO CON UN PESO MAYOR DE 55 KG SE HARÁ CON ELEL NIÑO CON UN PESO MAYOR DE 55 KG SE HARÁ CON EL
PROTOCOLO DE ADULTOPROTOCOLO DE ADULTO
 SI EL ESTUDIO ES FOCALIZADO SOLO EN ESTRUCTURASSI EL ESTUDIO ES FOCALIZADO SOLO EN ESTRUCTURAS
OSEAS EL MILIAMPERAJE PUEDE SER REDUCIDO POROSEAS EL MILIAMPERAJE PUEDE SER REDUCIDO POR
ENCIMA DEL 30% PARA NIÑOS CON UN PESO DE MAS DEENCIMA DEL 30% PARA NIÑOS CON UN PESO DE MAS DE
25 KILOS.25 KILOS.
T
U
B
E
R
C
U
L
O
S
I
S
PROTRUSION DISCAL
ESPINA BIFIDA OCULTA??
INDICACIONES PARA TEM DEINDICACIONES PARA TEM DE
CUELLOCUELLO
 MODO ESPIRAL PARA ESTUDIOS DEMODO ESPIRAL PARA ESTUDIOS DE
CUELLO DE RUTINA : VG.TUMORES,CUELLO DE RUTINA : VG.TUMORES,
LINFOMA , ABSCESOS ETC.LINFOMA , ABSCESOS ETC.
 UN RANGO DE 15 CM. SE CUBRE ENUN RANGO DE 15 CM. SE CUBRE EN
8.3 SEGUNDOS.8.3 SEGUNDOS.
Protocolo de tem de cuelloProtocolo de tem de cuello
 Kv : 110Kv : 110
 Effective mAs *Effective mAs *
 Slice collimation 2.0 mmSlice collimation 2.0 mm
 Slice width 3.0 mmSlice width 3.0 mm
 Rotation time 0.8 sec.Rotation time 0.8 sec.
 Kernel B50sKernel B50s
 Increment 3.0 mmIncrement 3.0 mm
 Image order ca-crImage order ca-cr
 TipsTips
 Niños , quien tienen mas de 6 años deben serNiños , quien tienen mas de 6 años deben ser
escaneados con protocolo de adultoescaneados con protocolo de adulto
Protocolo de tem de cuelloProtocolo de tem de cuello
contraste y miliamperajecontraste y miliamperaje
 Medio de contraste:Medio de contraste:
 El delay del examen dependerá del grosor de laEl delay del examen dependerá del grosor de la
aguja y del sitio de acceso.aguja y del sitio de acceso.
 Cantidad de contraste total: 1 – 2 ml por kgCantidad de contraste total: 1 – 2 ml por kg
 El miliamperaje se ajustara a la edad delEl miliamperaje se ajustara a la edad del
paciente.paciente.
 Edad kV mAs CTDIVolEdad kV mAs CTDIVol
 < 3 years< 3 years 110 35 2.7 mGy110 35 2.7 mGy
 3 years – 6 years3 years – 6 years 110 50 3.9 mGy110 50 3.9 mGy
SERAM
MALFORMACION LINFATICA MACROQUISTICA
SERAM
ADENOPATIASADENOPATIAS
ABSCESOS
SERAM
Protocolos en tomografia pediatrica

Protocolos en tomografia pediatrica

  • 1.
    PROTOCOLOS EN TOMOGRAFIAPROTOCOLOSEN TOMOGRAFIA PEDIATRICAPEDIATRICA DRA ELENA PULACHET C. HOSPITAL GUILLERMO ALMENARA
  • 2.
    DISTRIBUCIÓN DE EXAMENESTEMDISTRIBUCIÓN DE EXAMENES TEM NIÑOS HNGAI OCT 2012NIÑOS HNGAI OCT 2012 TOTAL: 332TOTAL: 332 225 54 32 16 05
  • 3.
    INDICACIONES PARAINDICACIONES PARA PROTOCOLODE CRÁNEOPROTOCOLO DE CRÁNEO HABLAREMOS SOBRE EL MODO ENHABLAREMOS SOBRE EL MODO EN ESPIRAL PARA ESTUDIOS DE RUTINA DEESPIRAL PARA ESTUDIOS DE RUTINA DE CRANEO V.G TUMORES HIDROCEFALIA,CRANEO V.G TUMORES HIDROCEFALIA, HEMORRAGIA O ANORMALIDADESHEMORRAGIA O ANORMALIDADES CONGENITASCONGENITAS
  • 4.
    PROTOCOLO DE CRÁNEOPROTOCOLODE CRÁNEO  kV 110kV 110  Effective mAs *Effective mAs *  Slice collimation 1.0 mmSlice collimation 1.0 mm  Slice width 5.0 mmSlice width 5.0 mm  Rotation time 1.0 sec.Rotation time 1.0 sec.  Kernel C30sKernel C30s  Increment 5.0 mmIncrement 5.0 mm  Image order ca-crImage order ca-cr  Una distancia de 8.5 cm se cubrira en 16.2Una distancia de 8.5 cm se cubrira en 16.2 segundossegundos
  • 5.
    PROTOCOLO DE CRANEOPROTOCOLODE CRANEO * MILIAMPERAJE* MILIAMPERAJE  EDAD kV mAs CTDIVolEDAD kV mAs CTDIVol  < 6 months 110 60 11.4 mGy< 6 months 110 60 11.4 mGy  6 months – 3 years 110 170 32.3 mGy6 months – 3 years 110 170 32.3 mGy  3 years – 6 years 110 310 59.0 mGy3 years – 6 years 110 310 59.0 mGy
  • 7.
  • 8.
  • 9.
  • 10.
    PROTOCOLO ANGIOGRAFIAPROTOCOLO ANGIOGRAFIA CEREBRALCEREBRAL kV 80kV 80  Effective mAs *Effective mAs *  Slice collimation 1.0 mmSlice collimation 1.0 mm  Slice width 1.25 mmSlice width 1.25 mm  Rotation time 0.6 sec.Rotation time 0.6 sec.  Kernel C30sKernel C30s  Increment 0.8 mmIncrement 0.8 mm  Image order ca-crImage order ca-cr  Una distancia de 15 cm, tomará 8.3 segundosUna distancia de 15 cm, tomará 8.3 segundos
  • 11.
    PROTOCOLO ANGIOGRAFIAPROTOCOLO ANGIOGRAFIA CEREBRAL*MILIAMPERAJECEREBRAL *MILIAMPERAJE  EDAD kV mAs CTDIVolEDAD kV mAs CTDIVol  < 6 years 80 80 6.5 mGy< 6 years 80 80 6.5 mGy  6 years – 12 years 80 120 9.8mGy6 years – 12 years 80 120 9.8mGy
  • 12.
  • 14.
  • 15.
    Indicaciones para examendeIndicaciones para examen de toraxtorax Modo en espiral para estudios de rutina deModo en espiral para estudios de rutina de torax v.g.torax v.g. Neumonia, tumores, metástasis , linfomaNeumonia, tumores, metástasis , linfoma anormalidades vasculares entre otrosanormalidades vasculares entre otros
  • 20.
  • 21.
    DR .PEDRO DALTRO,RIO DE JANEIRO EQUIPO320
  • 22.
    Torax Secuencial dealtaTorax Secuencial de alta resolucionresolucion  Protocolo:Protocolo:  kV 110kV 110  mAs *mAs *  Slice collimation 1.0 mmSlice collimation 1.0 mm  Slice width 1.0 mmSlice width 1.0 mm  Rotation time 1.0 sec.Rotation time 1.0 sec.  Kernel B90sKernel B90s  Image order cr-caImage order cr-ca
  • 23.
    Torax Secuencial dealtaTorax Secuencial de alta resolucionresolucion  El miliamperaje se ajustara al peso del niño:El miliamperaje se ajustara al peso del niño:  Peso Kv mA radiaciónPeso Kv mA radiación  < 35 kg 110 36 0.3 mGy< 35 kg 110 36 0.3 mGy  35 – 54 kg 110 120 0.9 mGy35 – 54 kg 110 120 0.9 mGy  Mayor de 54 kilos se usa protocolo de adultoMayor de 54 kilos se usa protocolo de adulto
  • 24.
  • 25.
    PROTOCOLO DE COMBINACIÓNDE IMÁGENES DEPROTOCOLO DE COMBINACIÓN DE IMÁGENES DE MEDIASTINO Y DE HR.MEDIASTINO Y DE HR.  COMBINA CORTES FINOS Y ESTUDIOS DECOMBINA CORTES FINOS Y ESTUDIOS DE RUTINA TORACICOS CON UN SOLO SCAN ENRUTINA TORACICOS CON UN SOLO SCAN EN ESPIRALESPIRAL  INDICACIONES:INDICACIONES:  V.G : ESTUDIOS DE TORAX EN GENERAL YV.G : ESTUDIOS DE TORAX EN GENERAL Y CAMBIOS INTERSTICIALES EN LOS PULMONESCAMBIOS INTERSTICIALES EN LOS PULMONES  HAY DOS PROTOCOLOS DE RECONSTRUCCIONHAY DOS PROTOCOLOS DE RECONSTRUCCION BIEN DEFINIDOSBIEN DEFINIDOS  EL PRIMERO CON 3 MM DE GROSOR DE CORTESEL PRIMERO CON 3 MM DE GROSOR DE CORTES PARA EL MEDIASTINO Y EL SEGUNDOCON 1.25PARA EL MEDIASTINO Y EL SEGUNDOCON 1.25 MM DE GROSOR DE CORTES PARA EL PULMONMM DE GROSOR DE CORTES PARA EL PULMON  UN RANGO DE 15 CM SERÁ CUBIERTO EN 15UN RANGO DE 15 CM SERÁ CUBIERTO EN 15 SEGUNDOS.SEGUNDOS.
  • 26.
    PROTOCOLO DE COMBINACIÓNDE IMÁGENES DEPROTOCOLO DE COMBINACIÓN DE IMÁGENES DE MEDIASTINO Y DE HR.MEDIASTINO Y DE HR.  kV 110kV 110  Effective mAs *Effective mAs *  Slice collimation 1.0 mmSlice collimation 1.0 mm  Slice width 3.0 mm 1.25 mmSlice width 3.0 mm 1.25 mm  Rotation time 0.8 sec.Rotation time 0.8 sec.  Kernel B41s B60sKernel B41s B60s  Increment 3.0 mm 0.8 mmIncrement 3.0 mm 0.8 mm  Image order cr-caImage order cr-ca
  • 27.
    PROTOCOLO DE COMBINACIÓNDE IMÁGENES DEPROTOCOLO DE COMBINACIÓN DE IMÁGENES DE MEDIASTINO Y DE HR.MEDIASTINO Y DE HR.  Peso kV mAsPeso kV mAs  < 15 kg 110< 15 kg 110  15 – 24 kg 110 2615 – 24 kg 110 26  25 – 34 kg 110 3925 – 34 kg 110 39  35 – 44 kg 110 6535 – 44 kg 110 65  45 – 55 kg 110 9045 – 55 kg 110 90
  • 28.
    PROTOCOLO DE COMBINACIÓNDE IMÁGENES DEPROTOCOLO DE COMBINACIÓN DE IMÁGENES DE MEDIASTINO Y DE HR.MEDIASTINO Y DE HR.  EN NIÑOS CON UN PESO DE 55 KG O MAS SEEN NIÑOS CON UN PESO DE 55 KG O MAS SE DEBE USAR UN PROTOCOLO PARA ADULTOSDEBE USAR UN PROTOCOLO PARA ADULTOS  SE DEBEN PREDEFINIR 2 PROTOCOLOS PARASE DEBEN PREDEFINIR 2 PROTOCOLOS PARA IMÁGENES DE RECONSTRUCCION DE TORAX DEIMÁGENES DE RECONSTRUCCION DE TORAX DE RUTINA Y DE PULMON CON CORTES FINOS.RUTINA Y DE PULMON CON CORTES FINOS.
  • 30.
  • 32.
    Ventana en TCARVentanaen TCAR  «El grosor de la pared bronquial en TCAR deberá«El grosor de la pared bronquial en TCAR deberá estudiarse, con un nivel de ventana entre -250 yestudiarse, con un nivel de ventana entre -250 y -700 UH y una amplitud de ventana mayor de-700 UH y una amplitud de ventana mayor de 1,000 UH.1,000 UH.  Con una amplitud de ventana inferior a 1,000 UHCon una amplitud de ventana inferior a 1,000 UH se producirá un engrosamiento artificial de lase producirá un engrosamiento artificial de la pared bronquial.pared bronquial. Ortega M y col. Utilidad de la radiografía de tórax yOrtega M y col. Utilidad de la radiografía de tórax y de la tomografía computada de alta resolución»de la tomografía computada de alta resolución» Alergia , asma e inmunologia pediatricaAlergia , asma e inmunologia pediatrica Vol20,num3 sep-dic 2011Vol20,num3 sep-dic 2011
  • 33.
    TECNICAS ESPECIALESTECNICAS ESPECIALES TOMOGRAFIA DE BAJA DOSIS LOCALIZADATOMOGRAFIA DE BAJA DOSIS LOCALIZADA se realizan 3 o 4 cortes específicos en el punto delse realizan 3 o 4 cortes específicos en el punto del parénquima pulmonar a analizar, útil en la valoración deparénquima pulmonar a analizar, útil en la valoración de bronquiectasias, enfisema lobar o neumonía cavitada.bronquiectasias, enfisema lobar o neumonía cavitada.  TOMOGRAFIA DE CORTES LIMITADOS PARA SEGUIMIENTOTOMOGRAFIA DE CORTES LIMITADOS PARA SEGUIMIENTO En enfermedades pulmonares crónicas, útil en pacientesEn enfermedades pulmonares crónicas, útil en pacientes con fibrosis quística, displasia broncopulmonar, neumoníascon fibrosis quística, displasia broncopulmonar, neumonías intersticiales, histiocitosis o proteinosis alveolarintersticiales, histiocitosis o proteinosis alveolar .. Neumol Pediatr 2015; 10 (2): 67 - 71Neumol Pediatr 2015; 10 (2): 67 - 71
  • 34.
    TECNICAS ESPECIALESTECNICAS ESPECIALES TOMOGRAFIA CON CORTES ESPIRATORIOS :TOMOGRAFIA CON CORTES ESPIRATORIOS : En posición decúbito supino en niños que cooperan con unaEn posición decúbito supino en niños que cooperan con una espiración forzada. Se realizan 3 cortes espiratorios: a nivelespiración forzada. Se realizan 3 cortes espiratorios: a nivel superior, medio e inferior, para obtener adecuada valoración de cadasuperior, medio e inferior, para obtener adecuada valoración de cada pulmón tanto en inspiración como en espiraciónpulmón tanto en inspiración como en espiración En niños pequeños que no cooperan con la respiración se realiza enEn niños pequeños que no cooperan con la respiración se realiza en decúbito lateral o prono, permitiendo obtener adecuada valoracióndecúbito lateral o prono, permitiendo obtener adecuada valoración de los segmentos posteriores de ambos campos pulmonares.de los segmentos posteriores de ambos campos pulmonares. Neumol Pediatr 2015; 10 (2): 67 - 71Neumol Pediatr 2015; 10 (2): 67 - 71
  • 35.
    DR. PEDRO DALTRO,RIO DE JANEIRO , EQUIPO 320
  • 36.
    DR.PEDRO DALTRO,RIO DEJANEIRO-EQUIPO 320
  • 37.
    TECNICA DE BAJADOSIS YTECNICA DE BAJA DOSIS Y ALTA RESOLUCIONALTA RESOLUCION Se realizan cortes finos de 1 mm de grosor aSe realizan cortes finos de 1 mm de grosor a intervalos de 10 mm para el estudio inicial y cortesintervalos de 10 mm para el estudio inicial y cortes de 1 mm a intervalo de 20 mm para el seguimientode 1 mm a intervalo de 20 mm para el seguimiento de la patología pulmonar crónicade la patología pulmonar crónica En el caso de los prematuros, la secuencia es deEn el caso de los prematuros, la secuencia es de cortes de 1 mm cada 5 mm debido al pequeñocortes de 1 mm cada 5 mm debido al pequeño tamaño del tórax.tamaño del tórax. Neumol Pediatr 2015; 10 (2): 67 - 71Neumol Pediatr 2015; 10 (2): 67 - 71
  • 41.
  • 42.
    PROTOCOLO PARA TEMDEPROTOCOLO PARA TEM DE ABDOMENABDOMEN  MODO ESPIRAL PARA RUTINA DELMODO ESPIRAL PARA RUTINA DEL ABDOMEN DE NEONATO VG.ABDOMEN DE NEONATO VG.  TUMORES, ANORMALIDADES,TUMORES, ANORMALIDADES, MALFORMACIONES ,ABSCESOS ETC.MALFORMACIONES ,ABSCESOS ETC. Una distancia de 15 cm se cubriráUna distancia de 15 cm se cubrirá en 8.3 segundos.en 8.3 segundos.
  • 43.
     kV 80kV80  Effective mAs 35Effective mAs 35  Slice collimation 2.0 mmSlice collimation 2.0 mm  Slice width 5.0 mmSlice width 5.0 mm  Feed/Rotation 18.0 mmFeed/Rotation 18.0 mm  Rotation time 0.8 sec.Rotation time 0.8 sec.  Kernel B41sKernel B41s  Increment 4.0 mmIncrement 4.0 mm  Image order cr-caImage order cr-ca  CTDIVol 1.1 mGyCTDIVol 1.1 mGy PROTOCOLO PARA TEM DEPROTOCOLO PARA TEM DE ABDOMENABDOMEN
  • 44.
    MILIAMPERAJE PARA TEMMILIAMPERAJEPARA TEM DE ABDOMENDE ABDOMEN  El miliamperaje debe ser ajustado alEl miliamperaje debe ser ajustado al peso del niñopeso del niño  Peso kv mA radiaciónPeso kv mA radiación  < 15 kg 110 15 1.2< 15 kg 110 15 1.2  15 – 24 kg 110 30 2.415 – 24 kg 110 30 2.4  25 – 34 kg 110 50 3.925 – 34 kg 110 50 3.9  35 – 44 kg 110 75 5.835 – 44 kg 110 75 5.8  45 – 55 kg 110 105 8.245 – 55 kg 110 105 8.2
  • 45.
    Abdomen y pelvisAbdomeny pelvis IndicacionesIndicaciones  Modo espiral para estudios de rutinaModo espiral para estudios de rutina de la región abdómino pélvicade la región abdómino pélvica  V.g. tumores linfoma, abscesos,V.g. tumores linfoma, abscesos, cambios post traumáticos etc.cambios post traumáticos etc.  Una distancia de 30 cm será cubiertoUna distancia de 30 cm será cubierto en 15 segundosen 15 segundos
  • 46.
    PROTOCOLO DE ABDOMENYPROTOCOLO DE ABDOMEN Y PELVIS PEDIATRICOPELVIS PEDIATRICO   kV 110kV 110  Effective mAs *Effective mAs *  Slice collimation 2.0 mmSlice collimation 2.0 mm  Slice width 5.0 mmSlice width 5.0 mm  Feed/Rotation 18.0 mmFeed/Rotation 18.0 mm  Rotation time 0.8 sec.Rotation time 0.8 sec.  Kernel B41sKernel B41s  Increment 5.0 mmIncrement 5.0 mm  Image order cr-caImage order cr-ca
  • 47.
    MILIAMPERAJE EN ABDOMENYMILIAMPERAJE EN ABDOMEN Y PELVIS PEDIATRICOPELVIS PEDIATRICO  Peso kv mA radiaciónPeso kv mA radiación  < 15 kg 110 13 1.0< 15 kg 110 13 1.0  15 – 24 kg 110 17 1.315 – 24 kg 110 17 1.3  25 – 34 kg 110 26 2.025 – 34 kg 110 26 2.0  35 – 44 kg 110 43 3.335 – 44 kg 110 43 3.3  45 – 55 kg 110 60 4.745 – 55 kg 110 60 4.7
  • 48.
    Protocolo de abdomeny pelvis en neonato.Protocolo de abdomen y pelvis en neonato. ContrasteContraste  TipsTips  Tu puedes cambiar el grosor del corte paraTu puedes cambiar el grosor del corte para las imágenes de reconstrucciónlas imágenes de reconstrucción dependiendo de las indicaciones clínicasdependiendo de las indicaciones clínicas  Inyección del medio de contrasteInyección del medio de contraste  El delay depende del grosor de la aguja yEl delay depende del grosor de la aguja y del lugar de la inyección.del lugar de la inyección.  Cantidad de contraste: 1-2 ml por kg.Cantidad de contraste: 1-2 ml por kg.
  • 49.
    OPACIFICACION DE ASASOPACIFICACIONDE ASAS INTESTINALESINTESTINALES Edad Gastrografin. volEdad Gastrografin. vol Hasta 6 Meses 2-4 ml. 60-120 ml.Hasta 6 Meses 2-4 ml. 60-120 ml. 6 a 12 Meses 6 ml. 180 ml.6 a 12 Meses 6 ml. 180 ml. 1 a 5 años 9 ml. 270 ml.1 a 5 años 9 ml. 270 ml. 6 a 9 años 12 ml. 360 ml.6 a 9 años 12 ml. 360 ml. Más de 10 años 15 ml. 500 ml.Más de 10 años 15 ml. 500 ml. Vall dHebron Hosp materno infantilVall dHebron Hosp materno infantil
  • 50.
    OPACIFICAR HASTA COLONOPACIFICARHASTA COLON  Edad Gastrografin Vol.Edad Gastrografin Vol.  Hasta 6 MesesHasta 6 Meses 2 ml. 60 ml.2 ml. 60 ml.  6 a 12 Mese6 a 12 Mese 3 ml. 90 ml.3 ml. 90 ml.  1 a 5 años1 a 5 años 4 ml. 120 ml.4 ml. 120 ml.  6 a 9 años6 a 9 años 6 ml. 180 ml.6 ml. 180 ml.  Más de 10 añosMás de 10 años 8 ml. 240 ml.8 ml. 240 ml.  También se puede opacificar el colonTambién se puede opacificar el colon administrando una dosis oral 8 horas antes deladministrando una dosis oral 8 horas antes del examen.examen. Vall dHebron Hosp materno infantilVall dHebron Hosp materno infantil
  • 51.
    OPACIFICACION DEL RECTOOPACIFICACIONDEL RECTO Cuando necesitemos opacificar el rectoCuando necesitemos opacificar el recto (sospecha de masas pélvicas, anomalías(sospecha de masas pélvicas, anomalías anorectales, etc.) utilizaremosanorectales, etc.) utilizaremos un enema de Gastrografin diluido en S.F. alun enema de Gastrografin diluido en S.F. al 3%, a temperatura corporal, dejando la3%, a temperatura corporal, dejando la cánula en el recto para que nos sirva decánula en el recto para que nos sirva de referencia. En tales casos, de 50 a 100 ml.referencia. En tales casos, de 50 a 100 ml. de liquido es suficiente.de liquido es suficiente. Vall dHebron Hosp materno infantilVall dHebron Hosp materno infantil
  • 52.
  • 53.
  • 54.
    UROTEM PEDIATRICOUROTEM PEDIATRICO Protocolo: BRIGTHSPEED 16Protocolo: BRIGTHSPEED 16 Se uso:Se uso: Kv de 120Kv de 120 mA de 125 a 165mA de 125 a 165 FOV DE 22.7 CMFOV DE 22.7 CM VENTANAS w: 308-376VENTANAS w: 308-376 L: 54 a 120L: 54 a 120
  • 55.
    UROTEM PEDIATRICOUROTEM PEDIATRICO PROTOCOLO EMOTION6PROTOCOLO EMOTION6 KV 130KV 130 EFFMas 35EFFMas 35 REF maS 100REF maS 100 B 30 SB 30 S W: 400W: 400 C: 40C: 40
  • 56.
  • 57.
  • 59.
  • 61.
    TEM DE COLUMNATEMDE COLUMNA VERTEBRALVERTEBRAL
  • 62.
    Protocolo para columnaProtocolopara columna  INDICACIONES:INDICACIONES:  MODO ESPIRAL PARA ESTUDIOS DEMODO ESPIRAL PARA ESTUDIOS DE COLUMNA V.G. CAMBIOS POSTCOLUMNA V.G. CAMBIOS POST TRAUMATICOS, TUMORES,TRAUMATICOS, TUMORES, MALFORMACIONES O INDICACIONESMALFORMACIONES O INDICACIONES ORTOPEDICA, ETC.ORTOPEDICA, ETC.  UNA DISTANCIA DE 15 CM. SEUNA DISTANCIA DE 15 CM. SE CUBRIRA EN 14.5 SEGUNDOSCUBRIRA EN 14.5 SEGUNDOS
  • 63.
    Protocolo para columnaProtocolopara columna  Spine 2nd reconstr.Spine 2nd reconstr.  kV 110kV 110  Effective mAs *Effective mAs *  Slice collimation 2.0 mmSlice collimation 2.0 mm  Slice width 3.0 mm 3.0 mmSlice width 3.0 mm 3.0 mm  Rotation time 1.0 sec.Rotation time 1.0 sec.  Kernel B41s B60sKernel B41s B60s  Increment 1.5 mm 1.5 mmIncrement 1.5 mm 1.5 mm  Image order cr-caImage order cr-ca
  • 64.
    MILIAMPERAJE PARAMILIAMPERAJE PARA COLUMNACOLUMNA < 15 kg 110 22 1.7mGy< 15 kg 110 22 1.7mGy  15 – 24 kg 110 47 3.715 – 24 kg 110 47 3.7  25 – 34 kg 110 7825 – 34 kg 110 78 6.06.0  35 – 44 kg 110 11035 – 44 kg 110 110 8.68.6  45 – 55 kg45 – 55 kg 110 173 13.5110 173 13.5
  • 65.
    columnacolumna  INYECCIÓN DELCONTRASTE:INYECCIÓN DEL CONTRASTE:  EL INICIO DEL DELAY DEPENDERÁ DE LA VELOCIDAD DEEL INICIO DEL DELAY DEPENDERÁ DE LA VELOCIDAD DE LA INYECCIÓN Y DE LA VIA DE ACCESOLA INYECCIÓN Y DE LA VIA DE ACCESO  LA CANTIDAD DE CONTRASTE SERA 1-2 ml POR KILO DELA CANTIDAD DE CONTRASTE SERA 1-2 ml POR KILO DE PESOPESO  TipsTips  EL NIÑO CON UN PESO MAYOR DE 55 KG SE HARÁ CON ELEL NIÑO CON UN PESO MAYOR DE 55 KG SE HARÁ CON EL PROTOCOLO DE ADULTOPROTOCOLO DE ADULTO  SI EL ESTUDIO ES FOCALIZADO SOLO EN ESTRUCTURASSI EL ESTUDIO ES FOCALIZADO SOLO EN ESTRUCTURAS OSEAS EL MILIAMPERAJE PUEDE SER REDUCIDO POROSEAS EL MILIAMPERAJE PUEDE SER REDUCIDO POR ENCIMA DEL 30% PARA NIÑOS CON UN PESO DE MAS DEENCIMA DEL 30% PARA NIÑOS CON UN PESO DE MAS DE 25 KILOS.25 KILOS.
  • 66.
  • 67.
  • 68.
  • 69.
    INDICACIONES PARA TEMDEINDICACIONES PARA TEM DE CUELLOCUELLO  MODO ESPIRAL PARA ESTUDIOS DEMODO ESPIRAL PARA ESTUDIOS DE CUELLO DE RUTINA : VG.TUMORES,CUELLO DE RUTINA : VG.TUMORES, LINFOMA , ABSCESOS ETC.LINFOMA , ABSCESOS ETC.  UN RANGO DE 15 CM. SE CUBRE ENUN RANGO DE 15 CM. SE CUBRE EN 8.3 SEGUNDOS.8.3 SEGUNDOS.
  • 70.
    Protocolo de temde cuelloProtocolo de tem de cuello  Kv : 110Kv : 110  Effective mAs *Effective mAs *  Slice collimation 2.0 mmSlice collimation 2.0 mm  Slice width 3.0 mmSlice width 3.0 mm  Rotation time 0.8 sec.Rotation time 0.8 sec.  Kernel B50sKernel B50s  Increment 3.0 mmIncrement 3.0 mm  Image order ca-crImage order ca-cr  TipsTips  Niños , quien tienen mas de 6 años deben serNiños , quien tienen mas de 6 años deben ser escaneados con protocolo de adultoescaneados con protocolo de adulto
  • 71.
    Protocolo de temde cuelloProtocolo de tem de cuello contraste y miliamperajecontraste y miliamperaje  Medio de contraste:Medio de contraste:  El delay del examen dependerá del grosor de laEl delay del examen dependerá del grosor de la aguja y del sitio de acceso.aguja y del sitio de acceso.  Cantidad de contraste total: 1 – 2 ml por kgCantidad de contraste total: 1 – 2 ml por kg  El miliamperaje se ajustara a la edad delEl miliamperaje se ajustara a la edad del paciente.paciente.  Edad kV mAs CTDIVolEdad kV mAs CTDIVol  < 3 years< 3 years 110 35 2.7 mGy110 35 2.7 mGy  3 years – 6 years3 years – 6 years 110 50 3.9 mGy110 50 3.9 mGy
  • 72.
  • 73.
  • 74.
  • 75.