SINDROME ASCITICO
        EDEMATOSO


Dra. Pelaéz, Soledad.
(Servicio de Clínica Médica)
Ascitis
   85 %     HTP (> 12 mmHg SVP).
   Cirrosis    HTP.

    Cirrosis :
    Existe un riesgo del 30% a los 5 años de
     desarrollar ascitis, esta disminuye la
     supervivencia en un 90% a un 50%.


     Ginés P, Quintero E, Arroyo V. Compensated cirrhosis: natural history and   prognosis.Hepatology
                                                                                        1987;7:122-128.
ETIOLOGIA
                       Ascitis
   Sin enfermedad peritoneal.

   Con enfermedad peritoneal.



         Ginés P, Quintero E, Arroyo V. Compensated cirrhosis: natural history and
                                            prognosis.Hepatology 1987;7:122-128.
PATOGENIA
   Ruptura equilibrio entre la formación de
    liquido por parte del peritoneo y la
    absorción del mismo por parte del
    sistema vascular esplácnico.
   En la cirrosis la “Teoría anterógrada ”
    de la formación de ascitis” es la mas
    aceptada.

      Arroyo V, Ginés P. Patogenia, diagnóstico y tratamiento de la ascitis en la
     cirrosis.Tratado de Hepatología Clínica, Tomo I. Barcelona: Masson, 2001;
                                                                       779-818
Cirrosis
                    Aumento
                Resistencia Portal

                Hipertensión Portal

                  Vasodilatación
                    Esplácnica

 Aumento presión              Defecto del llenado    Receptores arteriales
 capilar esplácnica            Vascular arterial      cardiopulmonares

 Producción linfática        Act.fact.vasoconst. Y
excede la reabsorción          Antinatriuréticos.

                        Retención de       Retención de     Vasoconst.

   Ascitis
                         Sodio y agua       Agua libre        renal

                          Volumen          Hiponatremia     Síndrome
                         plasmático          dilucional    hepatorenal
Factores vasoconstrictores Y
       Antinatriureticos.

 Noradrenalina.

 Angiotensina   II.
 Aldosterona.

 Vasopresina.
Clasificación
   Grado I : Ascitis leve. Se diagnostica por
    Ecografía.(100 ml).

   Grado II : Ascitis moderada.(3 a 6 L).

   Grado III : Ascitis severa o a tensión.
    ( aprox. 10 L ).

      Ginés P, Quintero E, Arroyo V. Compensated cirrhosis: natural history and prognosis.
                                                               Hepatology 1987;7:122-128.
ASCITIS REFRACTARIA
   Grado II o III que no responde a
    tratamiento médico optimo o
    cuya recidiva precoz no se puede
    evitar con dicho tratamiento.

   Aparece en el 5-10% de los
    pacientes cirróticos con ascitis.
ENFOQUE DIAGNOSTICO

 Historia Clínica.
 Laboratorio.

 Paracentesis diagnostica y/o
  terapéutica.
 Diagnóstico por Imágenes.
Historia Clínica - Anamnesis

 Alcoholismo (80 gr/día por 20 años
  riesgo significativo) ó hepatopatía
  crónica.
 Diámetro abdominal.

 Peso corporal.

 Edemas en miembros inferiores
  (Síndrome ascítico edematoso ).
Historia Clínica - Examen físico
    Inspección general:

   Estado psico intelectual:
     Depresión del estado de conciencia.
     Trastorno del ritmo sueño-vigilia.

   Piel y faneras:
      Cianosis central (sindrome hepatopulmonar).
     Estigmas físicos de cirrosis.
     Elasticidad disminuida.
     Arañas vasculares.
     Hematomas, epistaxis y equimosis espontaneas.
     Eritema palmar.
     Ictericia.
     Disminución del vello corporal y ginecomastia en el hombre.
     Etc.
   Examen regional:

   T.C.S:
     ⇑Peso corporal, perdida de masa
    muscular (déficit protéico).
      Pliegue tricipital menos de 1cm.
      Edemas en miembros inferiores
      Signo de la fóvea.

   Cuello:
    Hipertrofia parotidea (en etiologia
    alcohólica).
Abdomen:
Inspacción:
Distension abdominal simétrica, ombligo desplegado o
evertido, flancos abombados: abdomen en batracio,
circulacion colateral.
Palpación superficial y profunda:
Abdomen tenso indoloro con temperatura conservada, sin
tumoraciones. Signo de la onda ascítica (+), signo del godet
(+), signo del témpano (+).
Palpación de organos:
Depende del grado de ascitis; Hepatomegalia de mayor
consistencia, esplenomegalia.
Percución:
Matidez en flancos, de concavidad superior y cambiante
(ascitis de por lo menos 1 litro).
Espacio de Traube: .
Auscultación:
Variable.
Porto cava superior
Laboratorio
Analisis de Sangre:
 Citologico Completo:
 Pancitopenia en hiperesplenismo, anemia ferropenica en HD, anemia
  megaloblastica por déficit de Vit. B12 o acido Fólico.

 Hepatograma:
 Función Hepática
 Disminución del tiempo de protrombina (APP).
 Disminución del Factor V (Dx dif. Con déficit de Vitamina K).
 Disminución de albúmina.
 Hiperglobulinemia Policlonal.

 Función Renal:
 Elevación de creatinina sin aumento de Urea
 (incapacidad de convertir el amoniaco en Urea) en el síndrome hepatorenal.

 Ionograma.

Paracentesis con análisis del LA.
Paracentesis - análisis del LA
   Indicación:
     Ascitis de comienzo reciente.
     En todos los pacientes ingresados con ascitis.



   Contraindicación:
     Fibrinolísis.
     CID clínicamente evidentes.


        Runyon BA. Paracentesis of ascitic fluid: A safe procedure. Arch Intern Med 1986;146:
                                                                                        2259
¿TRANSFUSION PREVIA?
  ¿ P.F.C o concentrados de plaquetas ?

No está justificado:
Bajo riesgo de complicaciones hemorrágicas (1%
de hematoma de pared abdominal importante) .
Riesgo que comporta dicha transfusión de
producir otras complicaciones como la hepatitis
postransfusional.

      McVayPA, Toy PTCY. Lack of increased bleeding after paracentesis and
  thoracocentesis in patients with mild coagulation abnormalities. Transfusion
                                                               1991;31:164-171.
Paracentesis
   Se extraen 25 ml de líquido.

       Tubos de hemocultivo – 10 ml
        (80% vs. 50% otros medios).

     Tubo de bioquímica.
     Cito-oncológico.


             Runyon BA. Care of patients with ascites. N Engl J Med 1994;330: 337-342.
Paracentesis
SIN EDEMA: Lento, hasta 5-6 litros.
CON EDEMA:
 Por c/ 1 litro de LA administrar albumina:
  6 - 8 gr.
 Por c/ 2 a 3 litros de LA administrar
  expansores : 1 Haemaxel.

      Runyon BA. Management of adult patients with ascites due to cirrhosis.
                                      Hepatology 2004 Mar;39(3):841-56.
Paracentesis
Solicitar siempre:
Concentración de Albúmina.
Recuento y fórmula de células.
Cultivo del Liquido.

Solicitar Optativamente:
Concentración de glucosa, proteínas, LDH y amilasa.
Tinción de Gram.

Solicitar según la orientación Clínica:
Cultivo de micobacterias para TBC.
Examen citológico.
Concentración de triglicéridos.
Concentración de bilirrubina.
L.A Cirrosis

 Transparente, amarillo ámbar.
 Principal componente: la albúmina.

 Globulina, glucosa, creatinina, urea,
  ácido úrico.
 Según etiología: exudado ó
  transudado.
TIPO         EXUDADO (inflamatorio)     TRANSUDADO
                                           (no inflamatorio)
                 Cetrino, opaco o turbio       Cetrino
  Aspecto
macroscópico

  Densidad              > 1015                < 1015
Proteinas g/l            > 25                  < 25
Reacción de             Positiva              Negativa
  Rivalta
  LDH(LA)                > 0,6                     -
   LDH(S)
   Examen              100 o más               20-100
microscópico,
  numero de
                  polimorfonucleares        endoteliales
células y tipo
     que
 Predominan
L.A Cirrosis
   Reacción de Rivalta:
    Es una prueba cualitativa que ante la
    presencia de globulinas en el líquido
    ascítico, se positivisa y se indica de (+) a
    (++++).
   Un trasudado se puede transformar
    en exudado tras repetidas punciones
    abdominales.
L.A Cirrosis:
 Trasudado ?
Se consideraba PT LA < de 2.5 gr/dl,
  pero un 30% de estos enfermos
  presentan un exudado
Valor Actual:
El riesgo de desarrollar PBE (<1gr/dl).
El diagnóstico diferencial entre cirrosis
  y peritonitis bacteriana secundaria.
                          Ann Intern Med 1992;117: 215-220.
Gradiente de albúmina suero-ascitis



Albumina en plasma – Albumina en L.A =
      > o igual a 1.1 gr/dl :

Hipertensión portal (exactitud del 97%).


                     Runyon BA.Hepatology 2004 Mar;39(3):841-56.
Clasificación Ascitis según gradiente Albúmina
      sérica / Albúmina en líquido ascítico
Gradiente > 1,1           Gradiente < 1,1
  gr/dL                     gr/dL
 Cirrosis.                Carcinomatosis

 Hepatitis alcohólica.     peritoneal.
 ICC.                     Peritonotis

 Metástasis hepática       tuberculosa.
                           Ascitis pancreática.
  masiva.
 Trombosis de la vena     LES.

  porta.
Recuento y fórmula de células L.A.
 PMN mayor o igual a 250 /mm3: Altamente
  probable de PBE.
 Debe iniciarse tto empírico antimicrobiano.
 Ascitis hemorrágica (> de 10000
  hematíes/mm3) debe sustraerse 1 PMN por cada
  250 hematies .
 LDH.
 Amilasa.

                           Runyon. Hepatology 2004 Mar;39(3):841-56.
Cultivo del líquido ascítico:

   El 30-50% de los cultivos son negativos
    por existir una baja concentración
    bacteriana en el líquido.

   La tinción de Gram. positiva para varios
    gérmenes es sugestivo de peritonitis
    bacteriana secundaria.
BIOQUIMICO L.A.
   Glucosa: disminuye PBE.
   LDH: es generalmente inferior a la mitad
    del nivel sérico en la ascitis cirrótica no
    complicada y aumenta en los casos de
    infección y neoplasia.
   Amilasa: suele ser la mitad de la
    concentración sérica y aumenta en los
    casos de pancreatitis o perforación
    intestinal.
Parámetro             Limites       Puntos


   Encefalopatía         Ausente          1
                        Grado I y II      2
                       Grado III y IV     3
      Ascitis            Ausente          1
                           Leve           2
                         A tensión        3
Bilirrubina (mg/dl)         <2            1
                           2a3            2
                           >3             3
 Albúmina (gr/dl)          > 3.5          1
                         2.8 a 3.5        2
                            2.8           3
T. Quick ó TP ( % de     > 50 %           1
Child-Pugh

   A:   5-6 (85 %).
   B:   7-9 ( 60 %).
   C:   10-15 (15 35 %).




                               Harrison´s Principles of Internal Medicine 16° Ed.
              Braunwald F, Fauci A, Kasper D (eds) Mc Graw Hill. New York, 2006
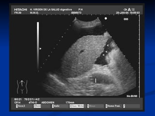
Diagnóstico por Imágenes.

   Ecografia.
   Eco-Doppler.
   T.A.C.
   R.M.N.
Diagnóstico por Imágenes.

                           Ecografía

   Es el método de elección.
   100 ml de líquido ascítico.




    Goldberg BB, Goodman GA, Clearfield HR. Evaluation of ascites by ultrasound. Radiology
                                                                             1970;96:15-22.
Diagnóstico por Imágenes.

   T.A.C.:
•     Enfermedad Pancreática.
•     Tumores.
•     Ascitis Quilosa ( Linfoma-Cáncer).
Eco-Doppler
   Trombosis Portal.

   S.Budd-Chiari.
DIAGNOSTICO DIFERENCIAL
         Criterios de Runyon
   PT LA: > 1 gr/dl.

   Glucosa de LA < 50 mg/dl.

   LDH > 225mU/ml.



           Runyon BA, Hoefs JC. Ascitic fluid analysis in the differentiation of spontaneous
     bacterialperitonitis from gastrointestinal tract perforation into ascitic fluid. Hepatology
                                                                                 1984; 4: 447-450.
DIAGNOSTICO DIFERENCIAL
     Ascitis Maligna :
   Sintomatología extraintestinal.
   El LA:
     Es hemático solo en un 10% de los casos.
     PT son mayores de 3gr/dl.
     Gradiente de albúmina suero-ascitis es menor
      de 1.1 gr/dl.
     LDH es generalmente mayor que la del
      plasma .
     La citología del mismo tiene una precisión
      diagnóstica que varía de un 60 a un 90%.
DIAGNOSTICO DIFERENCIAL
     Ascitis quilosa: “ascitis lechosa”
   Aspecto macroscópico turbio y de color
    blanco.
   El diagnóstico se basa en TG > de 110
    mg/dl en el líquido.
   Anomalías primarias de los linfáticos y la
    obstrucción del sistema linfático
    (neoplasias, especialmente el linfoma).
DIAGNOSTICO DIFERENCIAL
    Peritonitis tuberculosa:
      La sintomatología no es constante.
      En el LA:
     Aumento de proteínas totales.

     Disminución del gradiente de albúmina suero-ascitis.

     Aumento de linfocitos.

     Elevación de LDH y adenosindeaminasa (ADA).

     Imagen: el engrosamiento peritoneal difuso, ascitis con
      tabicación fina y lobulada, engrosamiento intestinal y
      aumento de los ganglios linfáticos retroperitoneales.
     En la muchos casos el diagnóstico se consigue
      mediante la realización de laparoscopia con biopsia
      peritoneal directa.
DIAGNOSTICO DIFERENCIAL

Hipertensión portal post-sinusoidal:
 ICC.
 Pericarditis constrictiva.
 Obstrucción de la vena cava inferior.
 Síndrome de Budd-Chiari.

Características del L.A:
•   Alto contenido en proteínas.
•   Gradiente de albúmina bajo.
•   Se diferencia de la peritonitis tuberculosa y la
    maligna por menor cantidad de células, LDH y ADA.
DIAGNOSTICO DIFERENCIAL
     Ascitis biliar:
    Intervenciones sobre las vías biliares.
   Procedimiento diagnósticos percutaneos
    (biopsia hepática).
   Traumatismos ó la perforación espontánea
    de la vesícula ó vías biliares.
   Desde cuadros asintomáticos hasta una
    peritonitis biliar aguda.
   L.A: verdoso con alto contenido en
    bilirrubina.
DIAGNOSTICO DIFERENCIAL
    Ascitis pancreática:
   Pancreatitis crónica.
   Pancreatitis aguda necro-hemorrágica.
   Los traumatismos abdominales.
   Algunos casos de cáncer pancreático.

   Seroso, serohemático, turbio o quiloso.
   Alta concentración de amilasa en el mismo.

    Otras causas:
   La nefrogénica (se produce en 5% de los pacientes con
    hemodiálisis crónica), el mixedema, el síndrome de
    Meigs (asociación entre ascitis y tumores ováricos) y la
    peritonitis crónica inespecífica del síndrome de
    inmunodeficiencia humana.
Manejo Inicial

                 Ascitis


  De novo                      Episodios
                                Previos

  Ingreso
  Estudio
                                 ¿Cirrosis
Dx Diferencial               Descompensada?
¿Cirrosis
         Descompensada?

             Hemorragia Aguda
                    PBE
           Síndrome Hepatorenal
           Encefalopatía Hepática
         Síndrome Hepatopulmonar




  NO                                SI


Ajuste de
Medicación
                              Ingreso
TERAPEUTICA
Disminución de Peso:
SE : 500 mg /día.
SAE: 800-1000 mg /día.

Restricción Hídrica :
Na < 120 meq/L
PROFILAXIS PACIENTE CON ASCITIS Y CIRROSIS
                                  NEJM 350;1615, 2004

Complicación              Intervención                             Comentario
HD por varices            Propanolol-nadolol (hasta 55-60 lpm o    Reduce el riesgo de
gastroesofagicas          dism. 25% FC).                           sangrado y
                                                                   aumenta
                                                                   supervivencia.
PBE
Con HD por varices        NorfloxacinaVO(400 c/12 por 7 dias).     Reduce el riesgo de
activa                    OfloxacinaVO(400 c/12 por 7 dias).       PBE y aumenta
                                                                   supervivencia.
                          CiprofloxacinaEV(200 mg/dia) +
                          Amox-Clav(1gr/200 c /8 hrs) por 7
                          dias.
Con ascitis y LA          Norfloxacina VO(400/dia hasta tanto      Reduce el riego del
< 1gr/dL Pr.              dure) Ciprofloxacina EV( 750 mg c/s      primer episodio de
                          hasta tanto dure).                       PBE,
                          TMP-SMX VO(160-800mg 5 dias por
                          semana, hasta tanto dure).
Hepatorenal en Pte con    Albumina EV( 1,5 gr/Kg al Dx de la PBE   Reduce el riesgo
PBE                       y 1 gr/Kg los 2 dias siguientes)         deSHR y aumenta
                                                                   supervivencia.
P.B.E.
   Infección bacteriana del L.A.
   Se produce en ausencia de un foco infeccioso
    intra-abdominal.
   Complicación frecuente (10-30%) y grave de la
    cirrosis hepática.
   En el 70%, los gérmenes son bacilos aerobios
    gram negativos.
   Procedentes de la propia flora intestinal del
    enfermo.
   El más frecuente es la Escherichia coli,
    seguido de especies del género Estreptococcus.
SÍNDROME HEPATORRENAL
   Trastorno renal funcional.
   En pacientes con hepatopatía avanzada e
    hipertensión portal.
   La activación de los sistemas vasoactivos
    endógenos interviene en:
       La vasoconstricción renal que produce una reducción
        del filtrado glomerular.
       La vasodilatación arterial sistémica disminuyen la
        resistencia vascular periférica por lo que se produce
        hipotensión arterial.
   El riesgo de desarrollar esta complicación en los
    cirróticos con ascitis se sitúa:
       20% al año.
       40% a los 5 años.
                                       NEJM Management of Cirrhosis and Ascites
                                                                 350;1615, 2004
TIPO I:
   Afectación rápida y progresiva de la función renal.
   Aumento del 100% de la creatinina sérica a un valor
    mayor de 2.5mg/dl, y/o
   Disminución del aclaramiento de creatinina a menos
    de 20 ml/min en menos de 2 semanas.
   Oliguria o anuria.
   Intensa retención de Na y agua cursando con edemas,
    ascitis e hiponatremia dilucional.
   Frecuente en cirrosis o hepatitis de origen etílico con
    insuficiencia hepática avanzada.
   Muy mal pronóstico.
   Supervivencia media de 2 semanas.
TIPO II:
 Afectación de la función renal.
 Creatinina sérica mayor de 1.5 mg/dl.
 Disminución estable y de menor
  intensidad del filtrado glomerular.
 No cumple los criterios del SHR tipo I.
 Generalmente se produce en los
  pacientes con ascitis refractaria.
 Tiene mejor pronóstico que el tipo I.
DIAGNOSTICO
  Criterios mayores:

1. FG indicada (Cr sérica mayor de 1.5 mg/dl o Cl de Cr de 24 hrs <
    de 40 ml/min.

2. Ausencia de shock, infección bacteriana, pérdidas de líquidos o
     tratamiento actual con medicamentos nefrotóxicos.

3. Sin mejoría sostenida de la función renal ( disminución de la
      creatinina sérica por debajo de 1.5 mg/dl o aumento del Cl de Cr
      24 horas por encima de 40 ml/min) tras la suspensión de los
      diuréticos y la expansión del volumen plasmático con 1.5 l de un
      expansor del plasma.

4. Proteinuria inferior a 500 mg/día y ausencia de alteraciones
      ecográficas indicativas de uropatía obstructiva o enfermedad
      renal parenquimatosa.
Criterios menores:

1. Volumen urinario inferior a 500ml/día.
2. Sodio urinario inferior a 10 mEq/l.
3. Osmolaridad urinaria mayor que la osmolaridad
  plasmática.
4. Sedimento de orina con menos de 50 hematíes
  por campo.
5. Concentración de sodio sérico menor de 130
  mEq/l.
                         NEJM Management of Cirrhosis and Ascites
                                                    350;1615, 2004

                          Gastroenterol Hepatol. 2006;29(Supl 1):15-8
TRATAMIENTO
   El mejor tratamiento del SHR es el transplante
    hepático (THO).

   Análogos de la Vasopresina y vasoconstrictores.

   Derivación percutánea porto-sistémica
    intrahepática (TIPS).

                            NEJM Management of Cirrhosis and Ascites
                                                      350;1615, 2004

                             Gastroenterol Hepatol. 2006;29(Supl 1):15-8
Análogos de la Vasopresina y vasoconstrictores
   Noradrenalina (0,5 – 3 mg/hr EV)

   Midodrine (7,5 mg VO 3 v/dia hasta 12,5 mg 3 v/día si es
    necesario)
                                 +

    Octeotrido (100Ugr SC 3v/día hasta 200Ugr 3 v/día si
    necesario).

   Terliseprina (0,5-2 mg EVc/ 4 a 6 hrs

                 Asociados con :

   Albumina 1 gr/Kg EV el primer dia luego 20-40 gr los 2
    siguientes.

   Objetivo: Reduccion de creatinemia < 1,5 mg/dl.
ENCEFALOPATÍA HEPÁTICA
   Conjunto de alteraciones neuropsiquiátricas.
   De origen metabólico.
   Trastorno funcional (generalmente reversible).
   Aparecen en hepatopatias con insuficiencia
    hepatocelular e hipertensión portal.
   I.H.A , cirrosis hepática, comunicaciones
    portosistémicas (espontáneas o iatrogénicas) y
    en alteraciones congénitas del ciclo de la urea.
                             Gastroenterol Hepatol. 2006;29(Supl 1):19-24
PATOGENIA
   Edema astrocitario (principal determinante de los
    hallazgos morfológicos), posiblemente secundario al
    efecto del amoníaco.

   Todas las situaciones clínicas de hiperamonemia aguda
    se pueden acompañar de edema cerebral.

   En la cirrosis hepática: especial preferencia del edema
    cerebral por la vía corticoespinal.



                  Gastroenterol Hepatol. 2006;29(Supl 1):19-24
TRATAMIENTO
   Precipitantes.
   Internación.
   Dieta hipoproteica:

       0.5 gr/Kg/día de proteínas que debe aumentar a 0.8-1gr/Kg/día
        una vez resuelto el cuadro.

   Lactulosa:

       Disacáridos sintéticos no absorbibles.
       Disminuyen la producción de amonio y aumentan la motilidad
        intestinal.
       Vía oral o por SNG: 60-80 gr en 3-4 tomas al día.
       Enemas: 200 gr de lactulosa en 700 ml de agua cada 8-12
        horas.
       Ajustar la dosis para conseguir que el paciente tenga 2-3
        deposiciones al día.
   Antibióticos de escasa absorción intestinal:

       Neomicina y paramomicina se administran vía oral o por
        SNG a una dosis de 2-4 gr al día en 2-4 tomas en la fase
        aguda de la enfermedad y durante un periodo limitado.

   Antagonistas de los receptores GABA/Benzodiacepina:

       Flumacenil (por benzodiacepinas).

   En los pacientes con insuficiencia hepatocelular
    avanzada y encefalopatía resistente al tratamiento debe
    valorarse la realización de trasplante hepático.
MUCHAS GRACIAS

Sindrome+ascitico edematoso

  • 1.
    SINDROME ASCITICO EDEMATOSO Dra. Pelaéz, Soledad. (Servicio de Clínica Médica)
  • 2.
    Ascitis  85 % HTP (> 12 mmHg SVP).  Cirrosis HTP. Cirrosis : Existe un riesgo del 30% a los 5 años de desarrollar ascitis, esta disminuye la supervivencia en un 90% a un 50%. Ginés P, Quintero E, Arroyo V. Compensated cirrhosis: natural history and prognosis.Hepatology 1987;7:122-128.
  • 3.
    ETIOLOGIA Ascitis  Sin enfermedad peritoneal.  Con enfermedad peritoneal. Ginés P, Quintero E, Arroyo V. Compensated cirrhosis: natural history and prognosis.Hepatology 1987;7:122-128.
  • 6.
    PATOGENIA  Ruptura equilibrio entre la formación de liquido por parte del peritoneo y la absorción del mismo por parte del sistema vascular esplácnico.  En la cirrosis la “Teoría anterógrada ” de la formación de ascitis” es la mas aceptada. Arroyo V, Ginés P. Patogenia, diagnóstico y tratamiento de la ascitis en la cirrosis.Tratado de Hepatología Clínica, Tomo I. Barcelona: Masson, 2001; 779-818
  • 7.
    Cirrosis Aumento Resistencia Portal Hipertensión Portal Vasodilatación Esplácnica Aumento presión Defecto del llenado Receptores arteriales capilar esplácnica Vascular arterial cardiopulmonares Producción linfática Act.fact.vasoconst. Y excede la reabsorción Antinatriuréticos. Retención de Retención de Vasoconst. Ascitis Sodio y agua Agua libre renal Volumen Hiponatremia Síndrome plasmático dilucional hepatorenal
  • 8.
    Factores vasoconstrictores Y Antinatriureticos.  Noradrenalina.  Angiotensina II.  Aldosterona.  Vasopresina.
  • 9.
    Clasificación  Grado I : Ascitis leve. Se diagnostica por Ecografía.(100 ml).  Grado II : Ascitis moderada.(3 a 6 L).  Grado III : Ascitis severa o a tensión.  ( aprox. 10 L ). Ginés P, Quintero E, Arroyo V. Compensated cirrhosis: natural history and prognosis. Hepatology 1987;7:122-128.
  • 10.
    ASCITIS REFRACTARIA  Grado II o III que no responde a tratamiento médico optimo o cuya recidiva precoz no se puede evitar con dicho tratamiento.  Aparece en el 5-10% de los pacientes cirróticos con ascitis.
  • 11.
    ENFOQUE DIAGNOSTICO  HistoriaClínica.  Laboratorio.  Paracentesis diagnostica y/o terapéutica.  Diagnóstico por Imágenes.
  • 12.
    Historia Clínica -Anamnesis  Alcoholismo (80 gr/día por 20 años riesgo significativo) ó hepatopatía crónica.  Diámetro abdominal.  Peso corporal.  Edemas en miembros inferiores (Síndrome ascítico edematoso ).
  • 13.
    Historia Clínica -Examen físico Inspección general:  Estado psico intelectual: Depresión del estado de conciencia. Trastorno del ritmo sueño-vigilia.  Piel y faneras: Cianosis central (sindrome hepatopulmonar). Estigmas físicos de cirrosis. Elasticidad disminuida. Arañas vasculares. Hematomas, epistaxis y equimosis espontaneas. Eritema palmar. Ictericia. Disminución del vello corporal y ginecomastia en el hombre. Etc.
  • 15.
    Examen regional:  T.C.S: ⇑Peso corporal, perdida de masa muscular (déficit protéico). Pliegue tricipital menos de 1cm. Edemas en miembros inferiores Signo de la fóvea.  Cuello: Hipertrofia parotidea (en etiologia alcohólica).
  • 16.
    Abdomen: Inspacción: Distension abdominal simétrica,ombligo desplegado o evertido, flancos abombados: abdomen en batracio, circulacion colateral. Palpación superficial y profunda: Abdomen tenso indoloro con temperatura conservada, sin tumoraciones. Signo de la onda ascítica (+), signo del godet (+), signo del témpano (+). Palpación de organos: Depende del grado de ascitis; Hepatomegalia de mayor consistencia, esplenomegalia. Percución: Matidez en flancos, de concavidad superior y cambiante (ascitis de por lo menos 1 litro). Espacio de Traube: . Auscultación: Variable.
  • 18.
  • 20.
    Laboratorio Analisis de Sangre: Citologico Completo: Pancitopenia en hiperesplenismo, anemia ferropenica en HD, anemia megaloblastica por déficit de Vit. B12 o acido Fólico. Hepatograma: Función Hepática Disminución del tiempo de protrombina (APP). Disminución del Factor V (Dx dif. Con déficit de Vitamina K). Disminución de albúmina. Hiperglobulinemia Policlonal. Función Renal: Elevación de creatinina sin aumento de Urea (incapacidad de convertir el amoniaco en Urea) en el síndrome hepatorenal. Ionograma. Paracentesis con análisis del LA.
  • 21.
    Paracentesis - análisisdel LA  Indicación:  Ascitis de comienzo reciente.  En todos los pacientes ingresados con ascitis.  Contraindicación:  Fibrinolísis.  CID clínicamente evidentes. Runyon BA. Paracentesis of ascitic fluid: A safe procedure. Arch Intern Med 1986;146: 2259
  • 22.
    ¿TRANSFUSION PREVIA? ¿ P.F.C o concentrados de plaquetas ? No está justificado: Bajo riesgo de complicaciones hemorrágicas (1% de hematoma de pared abdominal importante) . Riesgo que comporta dicha transfusión de producir otras complicaciones como la hepatitis postransfusional. McVayPA, Toy PTCY. Lack of increased bleeding after paracentesis and thoracocentesis in patients with mild coagulation abnormalities. Transfusion 1991;31:164-171.
  • 24.
    Paracentesis  Se extraen 25 ml de líquido.  Tubos de hemocultivo – 10 ml (80% vs. 50% otros medios).  Tubo de bioquímica.  Cito-oncológico. Runyon BA. Care of patients with ascites. N Engl J Med 1994;330: 337-342.
  • 25.
    Paracentesis SIN EDEMA: Lento,hasta 5-6 litros. CON EDEMA: Por c/ 1 litro de LA administrar albumina: 6 - 8 gr.  Por c/ 2 a 3 litros de LA administrar expansores : 1 Haemaxel. Runyon BA. Management of adult patients with ascites due to cirrhosis. Hepatology 2004 Mar;39(3):841-56.
  • 26.
    Paracentesis Solicitar siempre: Concentración deAlbúmina. Recuento y fórmula de células. Cultivo del Liquido. Solicitar Optativamente: Concentración de glucosa, proteínas, LDH y amilasa. Tinción de Gram. Solicitar según la orientación Clínica: Cultivo de micobacterias para TBC. Examen citológico. Concentración de triglicéridos. Concentración de bilirrubina.
  • 27.
    L.A Cirrosis  Transparente,amarillo ámbar.  Principal componente: la albúmina.  Globulina, glucosa, creatinina, urea, ácido úrico.  Según etiología: exudado ó transudado.
  • 28.
    TIPO EXUDADO (inflamatorio) TRANSUDADO (no inflamatorio) Cetrino, opaco o turbio Cetrino Aspecto macroscópico Densidad > 1015 < 1015 Proteinas g/l > 25 < 25 Reacción de Positiva Negativa Rivalta LDH(LA) > 0,6 - LDH(S) Examen 100 o más 20-100 microscópico, numero de polimorfonucleares endoteliales células y tipo que Predominan
  • 29.
    L.A Cirrosis  Reacción de Rivalta: Es una prueba cualitativa que ante la presencia de globulinas en el líquido ascítico, se positivisa y se indica de (+) a (++++).  Un trasudado se puede transformar en exudado tras repetidas punciones abdominales.
  • 30.
    L.A Cirrosis:  Trasudado? Se consideraba PT LA < de 2.5 gr/dl, pero un 30% de estos enfermos presentan un exudado Valor Actual: El riesgo de desarrollar PBE (<1gr/dl). El diagnóstico diferencial entre cirrosis y peritonitis bacteriana secundaria. Ann Intern Med 1992;117: 215-220.
  • 33.
    Gradiente de albúminasuero-ascitis Albumina en plasma – Albumina en L.A = > o igual a 1.1 gr/dl : Hipertensión portal (exactitud del 97%). Runyon BA.Hepatology 2004 Mar;39(3):841-56.
  • 34.
    Clasificación Ascitis segúngradiente Albúmina sérica / Albúmina en líquido ascítico Gradiente > 1,1 Gradiente < 1,1 gr/dL gr/dL  Cirrosis.  Carcinomatosis  Hepatitis alcohólica. peritoneal.  ICC.  Peritonotis  Metástasis hepática tuberculosa.  Ascitis pancreática. masiva.  Trombosis de la vena  LES. porta.
  • 35.
    Recuento y fórmulade células L.A.  PMN mayor o igual a 250 /mm3: Altamente probable de PBE. Debe iniciarse tto empírico antimicrobiano.  Ascitis hemorrágica (> de 10000 hematíes/mm3) debe sustraerse 1 PMN por cada 250 hematies .  LDH.  Amilasa. Runyon. Hepatology 2004 Mar;39(3):841-56.
  • 36.
    Cultivo del líquidoascítico:  El 30-50% de los cultivos son negativos por existir una baja concentración bacteriana en el líquido.  La tinción de Gram. positiva para varios gérmenes es sugestivo de peritonitis bacteriana secundaria.
  • 37.
    BIOQUIMICO L.A.  Glucosa: disminuye PBE.  LDH: es generalmente inferior a la mitad del nivel sérico en la ascitis cirrótica no complicada y aumenta en los casos de infección y neoplasia.  Amilasa: suele ser la mitad de la concentración sérica y aumenta en los casos de pancreatitis o perforación intestinal.
  • 38.
    Parámetro Limites Puntos Encefalopatía Ausente 1 Grado I y II 2 Grado III y IV 3 Ascitis Ausente 1 Leve 2 A tensión 3 Bilirrubina (mg/dl) <2 1 2a3 2 >3 3 Albúmina (gr/dl) > 3.5 1 2.8 a 3.5 2 2.8 3 T. Quick ó TP ( % de > 50 % 1
  • 39.
    Child-Pugh  A: 5-6 (85 %).  B: 7-9 ( 60 %).  C: 10-15 (15 35 %). Harrison´s Principles of Internal Medicine 16° Ed. Braunwald F, Fauci A, Kasper D (eds) Mc Graw Hill. New York, 2006
  • 40.
    Diagnóstico por Imágenes.  Ecografia.  Eco-Doppler.  T.A.C.  R.M.N.
  • 41.
    Diagnóstico por Imágenes. Ecografía  Es el método de elección.  100 ml de líquido ascítico. Goldberg BB, Goodman GA, Clearfield HR. Evaluation of ascites by ultrasound. Radiology 1970;96:15-22.
  • 44.
    Diagnóstico por Imágenes.  T.A.C.: • Enfermedad Pancreática. • Tumores. • Ascitis Quilosa ( Linfoma-Cáncer).
  • 45.
    Eco-Doppler  Trombosis Portal.  S.Budd-Chiari.
  • 46.
    DIAGNOSTICO DIFERENCIAL Criterios de Runyon  PT LA: > 1 gr/dl.  Glucosa de LA < 50 mg/dl.  LDH > 225mU/ml. Runyon BA, Hoefs JC. Ascitic fluid analysis in the differentiation of spontaneous bacterialperitonitis from gastrointestinal tract perforation into ascitic fluid. Hepatology 1984; 4: 447-450.
  • 47.
    DIAGNOSTICO DIFERENCIAL Ascitis Maligna :  Sintomatología extraintestinal.  El LA:  Es hemático solo en un 10% de los casos.  PT son mayores de 3gr/dl.  Gradiente de albúmina suero-ascitis es menor de 1.1 gr/dl.  LDH es generalmente mayor que la del plasma .  La citología del mismo tiene una precisión diagnóstica que varía de un 60 a un 90%.
  • 48.
    DIAGNOSTICO DIFERENCIAL Ascitis quilosa: “ascitis lechosa”  Aspecto macroscópico turbio y de color blanco.  El diagnóstico se basa en TG > de 110 mg/dl en el líquido.  Anomalías primarias de los linfáticos y la obstrucción del sistema linfático (neoplasias, especialmente el linfoma).
  • 49.
    DIAGNOSTICO DIFERENCIAL Peritonitis tuberculosa:  La sintomatología no es constante.  En el LA:  Aumento de proteínas totales.  Disminución del gradiente de albúmina suero-ascitis.  Aumento de linfocitos.  Elevación de LDH y adenosindeaminasa (ADA).  Imagen: el engrosamiento peritoneal difuso, ascitis con tabicación fina y lobulada, engrosamiento intestinal y aumento de los ganglios linfáticos retroperitoneales.  En la muchos casos el diagnóstico se consigue mediante la realización de laparoscopia con biopsia peritoneal directa.
  • 50.
    DIAGNOSTICO DIFERENCIAL Hipertensión portalpost-sinusoidal:  ICC.  Pericarditis constrictiva.  Obstrucción de la vena cava inferior.  Síndrome de Budd-Chiari. Características del L.A: • Alto contenido en proteínas. • Gradiente de albúmina bajo. • Se diferencia de la peritonitis tuberculosa y la maligna por menor cantidad de células, LDH y ADA.
  • 51.
    DIAGNOSTICO DIFERENCIAL Ascitis biliar:  Intervenciones sobre las vías biliares.  Procedimiento diagnósticos percutaneos (biopsia hepática).  Traumatismos ó la perforación espontánea de la vesícula ó vías biliares.  Desde cuadros asintomáticos hasta una peritonitis biliar aguda.  L.A: verdoso con alto contenido en bilirrubina.
  • 52.
    DIAGNOSTICO DIFERENCIAL Ascitis pancreática:  Pancreatitis crónica.  Pancreatitis aguda necro-hemorrágica.  Los traumatismos abdominales.  Algunos casos de cáncer pancreático.  Seroso, serohemático, turbio o quiloso.  Alta concentración de amilasa en el mismo. Otras causas:  La nefrogénica (se produce en 5% de los pacientes con hemodiálisis crónica), el mixedema, el síndrome de Meigs (asociación entre ascitis y tumores ováricos) y la peritonitis crónica inespecífica del síndrome de inmunodeficiencia humana.
  • 53.
    Manejo Inicial Ascitis De novo Episodios Previos Ingreso Estudio ¿Cirrosis Dx Diferencial Descompensada?
  • 54.
    ¿Cirrosis Descompensada? Hemorragia Aguda PBE Síndrome Hepatorenal Encefalopatía Hepática Síndrome Hepatopulmonar NO SI Ajuste de Medicación Ingreso
  • 55.
  • 56.
    Disminución de Peso: SE: 500 mg /día. SAE: 800-1000 mg /día. Restricción Hídrica : Na < 120 meq/L
  • 58.
    PROFILAXIS PACIENTE CONASCITIS Y CIRROSIS NEJM 350;1615, 2004 Complicación Intervención Comentario HD por varices Propanolol-nadolol (hasta 55-60 lpm o Reduce el riesgo de gastroesofagicas dism. 25% FC). sangrado y aumenta supervivencia. PBE Con HD por varices NorfloxacinaVO(400 c/12 por 7 dias). Reduce el riesgo de activa OfloxacinaVO(400 c/12 por 7 dias). PBE y aumenta supervivencia. CiprofloxacinaEV(200 mg/dia) + Amox-Clav(1gr/200 c /8 hrs) por 7 dias. Con ascitis y LA Norfloxacina VO(400/dia hasta tanto Reduce el riego del < 1gr/dL Pr. dure) Ciprofloxacina EV( 750 mg c/s primer episodio de hasta tanto dure). PBE, TMP-SMX VO(160-800mg 5 dias por semana, hasta tanto dure). Hepatorenal en Pte con Albumina EV( 1,5 gr/Kg al Dx de la PBE Reduce el riesgo PBE y 1 gr/Kg los 2 dias siguientes) deSHR y aumenta supervivencia.
  • 59.
    P.B.E.  Infección bacteriana del L.A.  Se produce en ausencia de un foco infeccioso intra-abdominal.  Complicación frecuente (10-30%) y grave de la cirrosis hepática.  En el 70%, los gérmenes son bacilos aerobios gram negativos.  Procedentes de la propia flora intestinal del enfermo.  El más frecuente es la Escherichia coli, seguido de especies del género Estreptococcus.
  • 61.
    SÍNDROME HEPATORRENAL  Trastorno renal funcional.  En pacientes con hepatopatía avanzada e hipertensión portal.  La activación de los sistemas vasoactivos endógenos interviene en:  La vasoconstricción renal que produce una reducción del filtrado glomerular.  La vasodilatación arterial sistémica disminuyen la resistencia vascular periférica por lo que se produce hipotensión arterial.  El riesgo de desarrollar esta complicación en los cirróticos con ascitis se sitúa:  20% al año.  40% a los 5 años. NEJM Management of Cirrhosis and Ascites 350;1615, 2004
  • 62.
    TIPO I:  Afectación rápida y progresiva de la función renal.  Aumento del 100% de la creatinina sérica a un valor mayor de 2.5mg/dl, y/o  Disminución del aclaramiento de creatinina a menos de 20 ml/min en menos de 2 semanas.  Oliguria o anuria.  Intensa retención de Na y agua cursando con edemas, ascitis e hiponatremia dilucional.  Frecuente en cirrosis o hepatitis de origen etílico con insuficiencia hepática avanzada.  Muy mal pronóstico.  Supervivencia media de 2 semanas.
  • 63.
    TIPO II:  Afectaciónde la función renal.  Creatinina sérica mayor de 1.5 mg/dl.  Disminución estable y de menor intensidad del filtrado glomerular.  No cumple los criterios del SHR tipo I.  Generalmente se produce en los pacientes con ascitis refractaria.  Tiene mejor pronóstico que el tipo I.
  • 64.
    DIAGNOSTICO Criteriosmayores: 1. FG indicada (Cr sérica mayor de 1.5 mg/dl o Cl de Cr de 24 hrs < de 40 ml/min. 2. Ausencia de shock, infección bacteriana, pérdidas de líquidos o tratamiento actual con medicamentos nefrotóxicos. 3. Sin mejoría sostenida de la función renal ( disminución de la creatinina sérica por debajo de 1.5 mg/dl o aumento del Cl de Cr 24 horas por encima de 40 ml/min) tras la suspensión de los diuréticos y la expansión del volumen plasmático con 1.5 l de un expansor del plasma. 4. Proteinuria inferior a 500 mg/día y ausencia de alteraciones ecográficas indicativas de uropatía obstructiva o enfermedad renal parenquimatosa.
  • 65.
    Criterios menores: 1. Volumenurinario inferior a 500ml/día. 2. Sodio urinario inferior a 10 mEq/l. 3. Osmolaridad urinaria mayor que la osmolaridad plasmática. 4. Sedimento de orina con menos de 50 hematíes por campo. 5. Concentración de sodio sérico menor de 130 mEq/l. NEJM Management of Cirrhosis and Ascites 350;1615, 2004 Gastroenterol Hepatol. 2006;29(Supl 1):15-8
  • 66.
    TRATAMIENTO  El mejor tratamiento del SHR es el transplante hepático (THO).  Análogos de la Vasopresina y vasoconstrictores.  Derivación percutánea porto-sistémica intrahepática (TIPS). NEJM Management of Cirrhosis and Ascites 350;1615, 2004 Gastroenterol Hepatol. 2006;29(Supl 1):15-8
  • 67.
    Análogos de laVasopresina y vasoconstrictores  Noradrenalina (0,5 – 3 mg/hr EV)  Midodrine (7,5 mg VO 3 v/dia hasta 12,5 mg 3 v/día si es necesario) + Octeotrido (100Ugr SC 3v/día hasta 200Ugr 3 v/día si necesario).  Terliseprina (0,5-2 mg EVc/ 4 a 6 hrs Asociados con :  Albumina 1 gr/Kg EV el primer dia luego 20-40 gr los 2 siguientes.  Objetivo: Reduccion de creatinemia < 1,5 mg/dl.
  • 68.
    ENCEFALOPATÍA HEPÁTICA  Conjunto de alteraciones neuropsiquiátricas.  De origen metabólico.  Trastorno funcional (generalmente reversible).  Aparecen en hepatopatias con insuficiencia hepatocelular e hipertensión portal.  I.H.A , cirrosis hepática, comunicaciones portosistémicas (espontáneas o iatrogénicas) y en alteraciones congénitas del ciclo de la urea. Gastroenterol Hepatol. 2006;29(Supl 1):19-24
  • 69.
    PATOGENIA  Edema astrocitario (principal determinante de los hallazgos morfológicos), posiblemente secundario al efecto del amoníaco.  Todas las situaciones clínicas de hiperamonemia aguda se pueden acompañar de edema cerebral.  En la cirrosis hepática: especial preferencia del edema cerebral por la vía corticoespinal. Gastroenterol Hepatol. 2006;29(Supl 1):19-24
  • 73.
    TRATAMIENTO  Precipitantes.  Internación.  Dieta hipoproteica:  0.5 gr/Kg/día de proteínas que debe aumentar a 0.8-1gr/Kg/día una vez resuelto el cuadro.  Lactulosa:  Disacáridos sintéticos no absorbibles.  Disminuyen la producción de amonio y aumentan la motilidad intestinal.  Vía oral o por SNG: 60-80 gr en 3-4 tomas al día.  Enemas: 200 gr de lactulosa en 700 ml de agua cada 8-12 horas.  Ajustar la dosis para conseguir que el paciente tenga 2-3 deposiciones al día.
  • 74.
    Antibióticos de escasa absorción intestinal:  Neomicina y paramomicina se administran vía oral o por SNG a una dosis de 2-4 gr al día en 2-4 tomas en la fase aguda de la enfermedad y durante un periodo limitado.  Antagonistas de los receptores GABA/Benzodiacepina:  Flumacenil (por benzodiacepinas).  En los pacientes con insuficiencia hepatocelular avanzada y encefalopatía resistente al tratamiento debe valorarse la realización de trasplante hepático.
  • 75.