TETRALOGIA DE FALLOT



                             EQUIPO 1
         FACULTAD DE MEDICINA HUMANA
                   UNACH - TAPACHULA



                                   1
Origen



                                                Desarrollo anterior e izq     Trastorno
Tabicación troncoconal                          del septum infundibular     hemodinámico
       extópica           Tabique conal              estenosis del         subyacente 
                                                 infundíbulo de la AP            HVD




Tabique que separa
                         Adelante e izquierda
a los canales A y P
                         (desalineado)  CIV
 se desarrolla en el
                           y cabalgamiento
 territorio del canal
                               aórtico*.
      pulmonar.




                                                                                       2
3
4
Leve
                   Intermedia
                   Grave




Datos anatómicos


                            5
F
                     • Obligada x la doble sobrecarga de presión
i                      • Estenosis pulmonar
s            HVD       • CIV
i                    • Permite al corazón soportar una sobrecarga
                       sistólica x + tiempo. [ICD]
o
p                    • Cortocircuito (circo cortito) venoarterial  AA
                       y VD  CIV
a                    • Favorecido por la estenosis pulmonar
t         Cianosis   • Cantidad de sangre a pulmón= [> estenosis,
                       < cantidad de sangre oxigenada, > ° de
o                      insaturación arterial, > grado de cianosis, >
l                      gravedad del cuadro clínico.
o             CIV    • Presión sistólica de VD es de tipo sistémico
g   Cabalgamiento
                     • ° de insaturación arterial
í          aórtico
a       Estenosis    • ° de cianosis y gravedad del enfermo
        pulmonar     • Atresia  No Vida [*PCA*]
                                                                   6
7
S
í
n     Cianosis     • Primeros meses de vida
t   progresiva     • + evidente x la EP y el crecimiento
o Fatigabilidad    • Esfuerzo  > paso de sangre
                     insaturada hacia la A
m
a                  • Aparición súbita de la pérdida del
                     conocimiento
s                    , hiperventilación, cianosis intensa y
          Crisis     convulsiones tonicoclónicas.
      hipóxicas    • Importante insaturación periférica
                   • Espasmo infundibular*
                   • Acidosis láctica {vía anaerobia}**


                                                              8
9
• Edad escolar
                   • Repose y < los requerimientos de O2 periférico
Encuclillamiento
                   • Incrementar el retorno venoso  dilatación del
                     infundíbulo
   Hipocratismo
                   • Dedos de palillo de tambor
       cianótico




                                                                  10
Los factores que incrementan
el riesgo de sufrir esta afección
durante el embarazo abarcan:
•   Alcoholismo materno
•   Diabetes
•   Madre mayor de los 40 años de edad
•   Desnutrición durante el embarazo
•   Rubéola y otras enfermedades virales
    durante el embarazo
                                           11
ICC
                                                                                               • Fatiga
                                                                                                 extrema, ingurgitación
                                  Soplo sistólico                                                yugular, hepatomegalia
Hipodesarrollo                                                                                   congestiva, edema de
                                    expulsivo x                Soplo sistólico***
    físico                                                                                       miembros inferiores y
                                estenosis pulmonar                                               ascitis




            Corazón de tamaño
            normar a la
            percusión
            • Sobrecarga del VD es               El II ruido se
              sistólica  compensa la           ausculta único y                    Poliglobulia
              hipertrofia {DVD  IC}               reforzado




                          Signos
                                                                                                                      12
Electrocardiograma
Signos de HVD con sobrecarga sistólica
Predominancia en V3 x Hipertrofia infundibular
[qR en precordiales, qR en la aVR]
                                                 13
14
15
16
Radiografía de Tórax


                       • HVD
                       • Arco medio
                         excavado
                       • Flujo pulmonar
                         disminuido
                       • Aorta
                         prominente



                                     17
Fonomecanocardiograma
 • Soplo de la estenosis pulmonar y reconoce IIp retrasado
• Prueba de nitrito de amilo demuestra un comportamiento
                             paradójico del soplo expulsivo
                           Ecocardiograma modo M
                          • Cabalgamiento aórtico y HVD
                  • Contraste  Cortocircuito Venoarterial
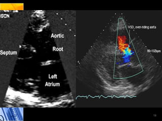
                    Ecocardiograma bidimensional
    • Gran defecto septal interventricular y cabalgamiento
                                                    aórtico
                                           Laboratorios
                                  • Policitemia secundaria
                                                       18
19
Otros estudios
Cateterismo cardiaco
             Tensiometría
Conocer la
variedad                          Oximetría
anatómica     Presión sistólica
              VD                                    Angiografía
                                  ° de
              HDVD                insaturación de
                                  la sangre         Gran
              Determinación                         cabalgamiento
              del gradiente       arterial
                                                    de la aorta...
              sistólico
              transpulmonar



                                                                     20
21
TRATAMIENTO
   CRISIS             Anatomía
  HIPOXICA            quirúrgica
    Oxigeno con
                      Fallot leve Tipos I
    mascarilla

   Fenobarbital       Fallot intermedio
    3.5mg/kg IM             Tipo II

 Bicarbonato de Na    Fallot grave Tipos
 [NaHCO3] 2ml/kg IV           III

                      Fallot muy grave
 Formula de Astrup
                           Tipo IV

                                            22
23
Tipos de Cirugía en T. Fallot:


                    1.-
                Correctiva




                2.-Paliativa


                                 24
Cirugía Correctiva en Fallot

• Es la cirugía de elección en
  pacientes menores de un año
  con peso adecuado.
• Se realiza infundibulectomía
  y colocación de parche en la
  CIV.

                                 25
26
Cirugías Paliativas en T.
FALLOT:


      FISTULAS SISTEMICO
                            1.-Blalock-
                             Taussing

         PULMONARES:       2.-Waterston

                             3.-Potts

                             4.-Glenn
                                          27
Complicaciones post-quirúrgicas:



                                                      Reapertura de
                                                         la CIV


                                      Insuficiencia
       Bloqueo AV                       pulmonar



                     Taquiarritmias


         Falla
       ventricular
        derecha




                                                                      28
Bibliografía
• Cardiología. J.F. Guadalajara. Méndez Editores.
  Cardiopatías Congénitas. Tetralogía de Fallot. Pág.
  1088-1097.
• Embriología clínica. Moore. 7ª edición. Pág. 360-
  361.




                                                    29

Tetralogia de fallot

  • 1.
    TETRALOGIA DE FALLOT EQUIPO 1 FACULTAD DE MEDICINA HUMANA UNACH - TAPACHULA 1
  • 2.
    Origen Desarrollo anterior e izq Trastorno Tabicación troncoconal del septum infundibular hemodinámico extópica Tabique conal  estenosis del subyacente  infundíbulo de la AP HVD Tabique que separa Adelante e izquierda a los canales A y P (desalineado)  CIV se desarrolla en el y cabalgamiento territorio del canal aórtico*. pulmonar. 2
  • 3.
  • 4.
  • 5.
    Leve Intermedia Grave Datos anatómicos 5
  • 6.
    F • Obligada x la doble sobrecarga de presión i • Estenosis pulmonar s HVD • CIV i • Permite al corazón soportar una sobrecarga sistólica x + tiempo. [ICD] o p • Cortocircuito (circo cortito) venoarterial  AA y VD  CIV a • Favorecido por la estenosis pulmonar t Cianosis • Cantidad de sangre a pulmón= [> estenosis, < cantidad de sangre oxigenada, > ° de o insaturación arterial, > grado de cianosis, > l gravedad del cuadro clínico. o CIV • Presión sistólica de VD es de tipo sistémico g Cabalgamiento • ° de insaturación arterial í aórtico a Estenosis • ° de cianosis y gravedad del enfermo pulmonar • Atresia  No Vida [*PCA*] 6
  • 7.
  • 8.
    S í n Cianosis • Primeros meses de vida t progresiva • + evidente x la EP y el crecimiento o Fatigabilidad • Esfuerzo  > paso de sangre insaturada hacia la A m a • Aparición súbita de la pérdida del conocimiento s , hiperventilación, cianosis intensa y Crisis convulsiones tonicoclónicas. hipóxicas • Importante insaturación periférica • Espasmo infundibular* • Acidosis láctica {vía anaerobia}** 8
  • 9.
  • 10.
    • Edad escolar • Repose y < los requerimientos de O2 periférico Encuclillamiento • Incrementar el retorno venoso  dilatación del infundíbulo Hipocratismo • Dedos de palillo de tambor cianótico 10
  • 11.
    Los factores queincrementan el riesgo de sufrir esta afección durante el embarazo abarcan: • Alcoholismo materno • Diabetes • Madre mayor de los 40 años de edad • Desnutrición durante el embarazo • Rubéola y otras enfermedades virales durante el embarazo 11
  • 12.
    ICC • Fatiga extrema, ingurgitación Soplo sistólico yugular, hepatomegalia Hipodesarrollo congestiva, edema de expulsivo x Soplo sistólico*** físico miembros inferiores y estenosis pulmonar ascitis Corazón de tamaño normar a la percusión • Sobrecarga del VD es El II ruido se sistólica  compensa la ausculta único y Poliglobulia hipertrofia {DVD  IC} reforzado Signos 12
  • 13.
    Electrocardiograma Signos de HVDcon sobrecarga sistólica Predominancia en V3 x Hipertrofia infundibular [qR en precordiales, qR en la aVR] 13
  • 14.
  • 15.
  • 16.
  • 17.
    Radiografía de Tórax • HVD • Arco medio excavado • Flujo pulmonar disminuido • Aorta prominente 17
  • 18.
    Fonomecanocardiograma • Soplode la estenosis pulmonar y reconoce IIp retrasado • Prueba de nitrito de amilo demuestra un comportamiento paradójico del soplo expulsivo Ecocardiograma modo M • Cabalgamiento aórtico y HVD • Contraste  Cortocircuito Venoarterial Ecocardiograma bidimensional • Gran defecto septal interventricular y cabalgamiento aórtico Laboratorios • Policitemia secundaria 18
  • 19.
  • 20.
    Otros estudios Cateterismo cardiaco Tensiometría Conocer la variedad Oximetría anatómica Presión sistólica VD Angiografía ° de HDVD insaturación de la sangre Gran Determinación cabalgamiento del gradiente arterial de la aorta... sistólico transpulmonar 20
  • 21.
  • 22.
    TRATAMIENTO CRISIS Anatomía HIPOXICA quirúrgica Oxigeno con Fallot leve Tipos I mascarilla Fenobarbital Fallot intermedio 3.5mg/kg IM Tipo II Bicarbonato de Na Fallot grave Tipos [NaHCO3] 2ml/kg IV III Fallot muy grave Formula de Astrup Tipo IV 22
  • 23.
  • 24.
    Tipos de Cirugíaen T. Fallot: 1.- Correctiva 2.-Paliativa 24
  • 25.
    Cirugía Correctiva enFallot • Es la cirugía de elección en pacientes menores de un año con peso adecuado. • Se realiza infundibulectomía y colocación de parche en la CIV. 25
  • 26.
  • 27.
    Cirugías Paliativas enT. FALLOT: FISTULAS SISTEMICO 1.-Blalock- Taussing PULMONARES: 2.-Waterston 3.-Potts 4.-Glenn 27
  • 28.
    Complicaciones post-quirúrgicas: Reapertura de la CIV Insuficiencia Bloqueo AV pulmonar Taquiarritmias Falla ventricular derecha 28
  • 29.
    Bibliografía • Cardiología. J.F.Guadalajara. Méndez Editores. Cardiopatías Congénitas. Tetralogía de Fallot. Pág. 1088-1097. • Embriología clínica. Moore. 7ª edición. Pág. 360- 361. 29