Trastornos genéticos
Mutaciones
Trastornos mendelianos
Trastornos de herencia multifactorial
Cariotipo normal
Trastornos citogenéticos
Trastornos monogénicos con herencia no clásica
Diagnóstico molecular
Términos de uso habitual
Hereditario
Familiar
Congénito
MUTACIONES
Mutación: Cambio permanente en el ADN.
Cel. Germinales o cel somáticas
Mutaciones genómicas.(ganc o perd) tri y monosomia
Mutaciones cromosómicas.reordenamiento del
material genético
Mutaciones génicas (de un solo gén).
MUTACIONES: Principios básicos
Mutaciones puntuales en las secuencias
codificadoras: mutaciones de sentido erróneo y
mutaciones sin sentido.
Mutaciones de las secuencias codificadoras.
Deleciones e inserciones.
Mutaciones por repetición de tres nucleótidos.
Trastornos mendelianos (monogénicos)
Patrones de transmisión
• Trastornos autosómicos dominantes
• Trastornos autosómicos recesivos
• Trastornos ligados al cromosoma X
Trastornos mendelianos
Expresiones genéticas
• Codominancia: los dos alelos de una pareja de genes
se expresan por completo en el heterocigoto
(antígenos de histocompatibilidad y grupos
sanguíneos).
• Pleiotropismo: uno solo gen mutante puede provocar
muchos efectos finales (anemia de células
falciformes).
• Heterogeneidad genética: las mutaciones de varios
loci genéticos pueden producir un mismo rasgo
hereditario (Sordera infantil grave).
Trastornos mendelianos
Modificación de las manifestaciones clínicas
• Penetrancia reducida: algunos individuos
heredan el gen mutante, pero son
fenotípicamente normales.
• Expresividad variable: un rasgo aparece en
todos los individuos que llevan el gen
mutante, pero ese rasgo se expresa de forma
diferente en uno u otros.
Trastornos autosómicos dominantes
• Se manifiestan en el estado heterocigoto.
• Algunos pacientes no tienen padres afectados.
• Probabilidad de que los hijos padezcan la
enfermedad 2:4 (50%).
• Manifestaciones clínicas modificadas por una
penetrancia reducida y una expresividad variable.
• Signos y síntomas aparecen hasta en la edad adulta.
• Se afectan principalmente proteinas estructurales y
receptores.
Trastornos autosómicos recesivos
• Se manifiestan en el estado homocigoto.
• El rasgo no suele afectar a los padres, pero los
hermanos pueden padecer al enfermedad.
• La probabilidad de afectación es de 1:4 (25%).
• La expresión del defecto es más uniforme y es
frecuente la penetrancia completa.
• El proceso suele ser de comienzo precoz.
• Se afectan principalmente proteínas enzimáticas.
Trasotrnos ligados al cromosoma X
• El varón es hemicigoto para los genes
mutantes del cromosoma X.
• Un varón afectado no transmite la efermedad
a sus hijos, pero todas sus hijas son
portadoras.
• La probablidad de afectación es de 2:4 (50%).
• La mujer heterocigota no suele expresar
plenamente el cambio fenotípico.
Trastornos mendelianos (monogénicos)
Bases bioquímicas y moleculares
• Defectos enzimáticos y sus consecuencias.
• Defectos de los receptores de membrana y de
los sistemas de transporte.
• Alteraciones de la estructura, de la función o
de la cantidad de proteinas no enzimáticas.
• Reacciones adversas a los fármacos
determinadas genéticamente.
Defectos enzimáticos y sus consecuencias
1. Acumulación del sustrato.
2. Bloqueo metabólico con producción de
menor cantidad de un producto final.
3. Falta de inactivación de un sustrato
lesivo para los tejidos.
Trastornos asociados a defectos de las
proteínas estructurales
• Síndrome de Marfan
• Síndromes de Ehlers- Danlos
Síndrome de Marfan
• Trastorno autosómico dominante de los
tejidos conectivos del organismo, que
produce principalmente alteraciones
esqueléticas, oculares y lesiones
cardiovasculares.
• Prevalencia de 1 por 10,000 a 20,000.
• 70-85% de los casos son familiares.
• Se debe a un defecto de la glucoproteina
extracelular llamada fibrilina (FBN 1).
Fibrilina
• La fibrilina es el principal componente de las
microfibrillas que forman la matriz extracelular,
indispensable para la formación de las fibras
elásticas.
• Las microfibrillas abundan en la aorta, los
ligamentos y las zónulas ciliares del cristalino.
• Fibrilina 1 (15q21): Síndrome de Marfan y
Fibrilina 2 (5q3): Aranodactilia con contracturas
congénitas.
Síndrome de Marfan: Morfología
Alteraciones esqueléticas
 Estatura alta y miembros muy largos.
 Dedos largos y afilados.
 Ligamentos de manos y pies laxos.
 Dolicocefalia (cráneo alargado), con prominencia
de las eminencias frontales y los rebordes
supraorbitarios.
 Deformidades de la columna (xifosis, escoliosis,
rotación o deslizamiento de las vertebras.
 Pectum excavatum o tórax en quilla.
Síndrome de Marfan: Morfología
Lesiones oculares
 Subluxación bilateral del cristalino (ectopia
lentis).
Lesiones cardiovasculares
o Dilatación de la aorta ascendente:
Insuficiencia aórtica y aneurisma disecante.
o Prolapso de la válvula mitral.
Escoliosis
Aranodactilia
Ectopia lentis
Prolapso válvula mitral
Prolapso válvula mitral Disección aórtica
Necrosis quística de la media
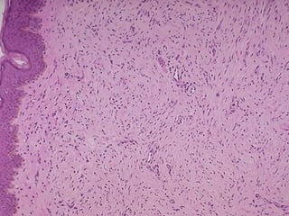
Síndromes de Enhlers-Danlos
Los síndromes de Enhlers-Danlos (SED)
comprenden un grupo clínica y genéticamente
heterogéneos de trastornos que se deben a
algún defecto de la síntesis o estructura del
colágeno.
Hay más de 14 clases distintas de colágeno.
Actualmente se distinguen 10 variedades de
SED.
Síndromes de Enhlers-Danlos
Manifestaciones clínicas
• Piel hiperextensible, sumamente frágil y muy
sensible a los traumas: grandes defectos con
lesiones leves y dificultad en la reparación
quirúrgica.
• Articulaciones hipermóviles: predisposición
a luxaciones articulares.
Piel hiperextensible
Articulaciones hipermóviles
Síndromes de Enhlers- Danlos
Complicaciones de los órganos internos
• SED IV: Rotura del colon y de las grandes
arterias.
• SED VI: Fragilidad del globo ocular con
estallido de la córnea y desprendimiento de
retina.
• SED I: Hernia diafragmática.
Síndromes de Enhlers-Danlos
Bases bioquímicas y moleculares
Variedad Defecto Tipo de colágeno
SED VI Lisil hidroxilasa Colágeno tipo I y III
SED IV • Cadena pro alfa 1
• Procolágeno tipo III
• Colágeno tipo III
Colágeno tipo III
SED VII Cadena pro alfa 1 o
pro alfa 2
Colágeno tipo I
SED IX Proteina fijadora de
cobre
Trastornos asociados a defectos de las proteínas de los receptores
Hipercolesterolemia familiar
• Causada por una mutación del gen que codifica a los
receptores de lipoproteinas de baja densidad (LDL), que
interviene en el transporte y metabolismo del colesterol.
• Es el trastorno mendeliano más frecuente.
• Los heterocigotos representan 1 de cada 500 individuos.
• Niveles de colesterol del doble o triple (heterocigotos) o
cinco a seis veces superiores de lo normal (homocigotos).
Trastornos asociados a defectos enzimáticos:
Enfermedades de depósito lisosómico
• Enfermedad de Tay-Sachs
• Enfermedad de Niemann-Pick
• Enfermedad de Gaucher
• Mucopolisacaridosis
• Enfermedades por depósito de glucógeno
(Glucogenosis)
• Alcaptonuria
• Se sintetizan en el retículo
endoplásmico.
• Se trasladan al aparato de
Golgi.
• En el aparato de Golgi sufren
varias modificaciones
postraduccionales (fijación de
los grupos manosa-6-fosfato).
• Unión a recepores en la
superficie interna.
• Vesículas de transporte llenas
de enzimas unidas a receptores
se fusionan con los lisosomas.
• Las vesículas con los
receptores vuelven al Golgi.
Enfermedades de depósito lisosómico
Enfermedades de depósito lisosómico
Órganos afectados
1) El sitio donde se encuentra la mayoría de
las sustancia que va a ser degradada.
2) El lugar donde se produce normalmente la
mayor parte de esa degradación.
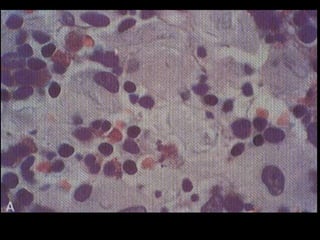
Enfermedad de Tay-Sachs
• Déficit de hexosaminidasa A: mutación en el locus
de la subunidad alfa, cromosoma 15.
• Acumulación de gangliosidos GM2 en muchos
tejidos.
• Especialmente prevalente en judíos, sobretodo
originarios de europa oriental (portadores 1:30).
• Cuadro clínico dominado por la afectación del
sistema nervioso central, autónomo y de las neuronas
de la retina.
Enfermedad de Tay-Sachs
Cuadro clínico
• Lactantes con signos y síntomas 6 meses después del
nacimiento.
• Deterioro mental y motor inexorable: inicio con
incoordinación motora y obnibulación mental, que
empeora hasta provocar flaccidez muscular, ceguera y
demencia progresiva.
• Manchas rojo cereza en la retina.
• Estado vegetativo completo en 1 a 2 años.
• Muerte a la edad de 2-3 años.
Enfermedad de Niemann-Pick
• Déficit hereditario de esfingomielinasa de tipo A
(Cromosoma 18q11-12).
• Representa el 70-80% de todos los casos.
• Acumulación de esfingomielina en los lisosomas:
sistema fagocítico mononuclear y neuronas.
• Es la forma infantil, caracterizada por extensa
afectación neurológica, visceromegalia y evolución
progresiva con muerte precoz a los 2-3 años de vida.
Enfermedad de Niemann-Pick
Manifestaciones clínicas
• Signos y síntomas evidentes a los 6 meses de
edad.
• Hepatoesplenomegalia (abdomen
prominente).
• Retraso progresivo del crecimiento, vómitos,
fiebre y adenopatías generalizadas.
• Deterioro progresivo de la función
psicomotora y muerte a los 2-3 años de edad.
Enfermedad de Gaucher
• Es la enfermedad de depósito lisosómico
más frecuente.
• Se debe a déficit de glucocerebrosidasa.
• Acumulación de glucocerebrósidos en las
células fagocitarias y, en algunas formas, en
el sistema nervioso central.
• Hay tres subtipos clínicos.
Enfermedad de Gaucher
Subtipos clínicos
Tipo I o forma crónica no neuropática:
• Es la más frecuente, 99% de los casos, con
predominio en judíos de origen europeo.
• Predominio de las manifestaciones esplénicas y
esqueléticas, sin afectación al cerebro, que aparecen
en la vida adulta.
• Esplenomegalia, hasta 10 Kg.
• Pancitopenia o trombocitopenia (hiperesplenismo).
• Deformidades esqueléticas, dolores óseos y
fracturas patológicas.
Enfermedad de Gaucher
Subtipos clínicos
Tipo II o forma neuronopática aguda
 Es la forma cerebral aguda del lactante.
 Predominio de las alteraciones progresivas del
sistema nervioso central, con muerte prematura.
 Trastornos funcionales del sistema nervioso central,
con convulsiones y deterioro mental progresivo.
 Hepatoesplenomegalia y linfadenopatías.
Enfermedad de Gaucher
Subtipos clínicos
Tipo III
o Intermedia entre los tipos I y II.
o Pacientes jóvenes con manifestaciones
generales del tipo I.
o Afección progresiva del sistema nervioso
central, que comienza hacia el segundo o
tercer decenio de la vida.
Mucopolisacaridosis
• Déficit de enzimas lisosómicas que degradan
mucopolisacáridos (glucosaminoglicanos):
dermatán sulfato, heparán sulfato, queratán
sulfato y condroitín sulfato.
• Se han descrito siete formas clínicas (MPS).
• Todas se heredan con carácter autosómico
recesivo, excepto el síndrome de Hunter (MPS II),
que es ligado al cromosoma X.
Mucopolisacaridosis
Acumulación y órganos afectados
• Se acumulan en células fagocíticas
mononucleares, células endoteliales, fibras
musculares lisas de la íntima y en los
fibroblastos de todo el cuerpo.
• Se afectan a menudo el bazo, el hígado, la
médula ósea, los ganglios linfáticos, los
vasos sanguíneos y el corazón.
Mucopolisacaridosis
Manifestaciones clínicas
Rasgos faciales toscos.
Opacidades corneales.
Rigidez articular.
Retraso mental.
Hepatoesplenomegalia.
Lesiones valvulares cardíacas.
Infarto de miocardio (depósitos subendoteliales
en las arterias coronarias).
Mucopolisacaridosis
Síndrome de Hurler (MPS I H)
• Debido a déficit de alfa-1-iduronidasa.
• Es la forma más grave de MPS.
• Hepatoesplenomegalia entre los 6 y 24
meses.
• Retraso del crecimiento, rasgos faciales
toscos y deformidades esqueléticas.
• La muerte se produce hacia los 6-10 años
de edad (complicaciones cardiovasculares).
Enfermedades por depósito de glucógeno
(Glucogenosis)
• Deficiencias hereditarias de una de las enzimas
que intervienen en la síntesis o en la
degradación escalonada del glucógeno.
• Según la distribución normal de cada enzima en
los tejidos, el depósito de glucógeno puede
limitarse a pocos tejidos, puede ser más amplio
pero sin afectarlos a todos, o puede afectar de
forma difusa y generalizada.
Glucogenosis: Clasificación
Formas hepáticas
Hepatomegalia e hipoglicemia.
Formas miopáticas
Debilidad muscular.
Calambres musculares postejercicio.
Falta de elevación del lactacto sanguíneo
inducido por ejercicio.
Glucogenosis: Clasificación
Otras formas
Enfermedad de Pompe: Déficit de alfa-glucosidasa
(maltasa ácida). Depósito de glucógeno en todos los
órganos, con destacada cardiomegalia.
Glucogenosis tipo IV: déficit de enzima ramificante.
Depósito difuso de una forma anormal de glucógeno
con efectos nocivos en el encéfalo, corazón, hígado y
músculo esquelético.
Enfermedad de von Gierke
Glucogenosis tipo I
• Tipo hepático (hepatorrenal).
• Déficit de Glucosa-6-fosfatasa.
• Retraso del crecimiento y desarrollo.
• Hepatomegalia y nefromegalia.
• Hipoglicemia. A menudo convulsiones.
• Hiperlipidemia e hiperuricemia (xantomas
cutáneos y gota).
• Sangrados por disfunción plaquetaria.
Enfermedad de McArdle
Glucogenosis tipo V
• Tipo miopático, afecta sólo el músculo esquelético.
• Déficit de fosforilasa muscular.
• Comienzo en la edad adulta (> 20 años).
• Calambres dolorosos con el ejercicio intenso.
• Falta de elevación del lactacto en sangre venosa
después del ejercicio.
• Mioglobinuria en el 50% de los casos.
Trastornos asociados a defectos
enzimático
• Alcaptonuria (ocronosis)
• Autosómica recesiva.
• Ausencia de la oxidasa homogentísica
bloquea el metabolismo de la fenilamina-
tirosina a nivel del ácido homogentísico que
se acumula en el cuerpo y excreta en gran
cantidad dando color negro a la orina
cuando se deja en reposo.
Morfología
• El ácido homogentísico se une al colágeno
en el tejido conjuntivo de tendones y
cartílagos dándole u color azul oscuro
( oreja, nariz y mejillas) Cartílago articular.
• Columna, rodilla, hombro y cadera.
• Respeta pequeñas articulaciones.
Trastornos asociados a defectos de
proteínas que regulan el crecimiento
celular
• Protooncogenes
• Los genes de supresión
tumoral.
Neurofibromatosis tipo I
(Enfermedad de von Recklinghausen)
• 1 por 3000 nacimientos
• Trasmisión autosómica dominante
• Numerosos tumores neurales
(neurofibromas).
• Lesiones pigmentadas en la piel . Mancha
café con leche 90%
• Hamartomas pigmentados del iris (nódulos
de Lisch) 94%
Mancha “café-au-lait”
Neurofibromatosis tipo I
(Enfermedad de von Recklinghausen)
Lesiones esqueléticas
Defectos o erosiones óseas (neurofibromas
contiguos al hueso).
Escoliosis.
Lesiones quísticas intraóseas.
Quistes óseos subperiósticos.
Pseudoartrosis de la tibia.
Trastornos de herencia multifactorial
 Labio leporino o paladar hendido (o ambos).
 Cardiopatías congénitas.
 Cardiopatía isquémica.
 Hipertensión arterial.
 Gota.
 Diabetes mellitus.
 Estenosis pilórica.
Cariotipo normal femenino
Cariotipo normal femenino
Cariotipo normal masculino
FISH
Cariotipo: Nomenclatura
• 46,XX
• 46,XY
• 47,XX,+21
• Xp21.2
• 46,XY/47,XY,+21
• 45,X/47,XXX
• 45,X/46,XX/47,XXX
Trastornos citogenéticos
Alteraciones estructurales
• Deleción
• Cromosoma en anillo
• Inversión
• Isocromosoma
• Translocación
46,XY,del(16)(p14)
46,XY,r(14)
I(X)(q10)
Trastornos citogenéticos que afectan a
los autosomas
• Trisomía 21 (Síndrome de Down)
• Trisomía 18 (Síndrome de Edwards)
• Trisomía 13 (Síndrome de Patau)
• Síndrome de la deleción cromosómica 22q11
Trisomía 21
Síndrome de Down
• Es la alteración cromosómica más frecuente.
• Incidencia de 1 en 700 nacimientos.
• Trisomía 21 en el 95% de los casos, por falta
de disyunción meiótica.
• Translocación robertsoniana en el 4% y
mosaicos en el 1% de los casos.
• Mayor incidencia en madres de más de 45
años (1 de cada 25 nacidos vivos).
Síndrome de Down
Manifestaciones clínicas
• Perfil facial plano, pliegues epicánticos y
fisura palpebral oblicua e hipotonía muscular.
• Pliegue palmar simiesco y pliegue de flexión
único en el quinto dedo (20%).
• Piel cervical abundante.
• Retardo mental grave: CI de 25-20 en el 80%
de los afectados.
Síndrome de Down
Manifestaciones clínicas
• Cardiopatía congénita (40%).
• Atresia del esófago e intestino delgado.
• Hernia umbilical.
• Predisposición a leucemia aguda.
• Respuesta inmunitaria anormal: predisposición a
infecciones graves y procesos tiroideos
autoinmunitarios.
• Lesiones degenerativas cerebrales características de
la enfermedad de Alzheimer (mayores de 40 años).
Síndrome de Edwards
Síndrome de Edwards
• Incidencia de 1 por 8,000 nacimientos.
• Trisomía 18 (47,XX,+18) o Mosaico
(46,XX/47,XX,+18).
• Retardo mental.
• Occipucio prominente, micrognatia, cuello corto,
orejas de implantación baja.
• Superposición de los dedos de la mano.
• Limitación de la abducción de la cadera y pies
quinovaros.
• Cardiopatías congénitas y malformaciones renales.
• Occipucio prominente.
• Micrognatia.
• Orejas de implantación baja.
• Cuello corto.
• Cardiopatías congénitas.
• Malformaciones renales
Síndrome de Patau
Síndrome de Patau
• Incidencia de 1 por 15,000 nacimientos.
• Trisomía 13: 47,XX,+13 o Mosaico: 46,XX/47,XX,+13 o
Translocación: 46,XX,+13,der(13,14)(q12,q10).
• Retardo mental.
• Microcefalia, microftalmía, labio leporino y paladar
hendido.
• Polidactilia y pies equinovaros.
• Malformaciones cardíacas y renales.
Ciclopia
Holoprosencefalia alobar
Síndrome de la deleción cromosómica
22q11: Manifestaciones clínicas
• Cardiopatías congénitas.
• Anomalías del paladar.
• Dismorfia facial (nariz prominente y
retrognatia).
• Retraso del desarrollo.
• Inmunodeficiencia de células T de
intensidad variable (hipoplasia del timo).
• Hipocalcemia (hipoplasia paratiroidea).
Síndrome de la deleción cromosómica 22q11
Síndrome de DiGeorge
• Hipoplasia del timo con inmunodeficiencia de células T.
• Hipoplasia paratiroidea con hipocalcemia.
• Malformaciones cardíacas.
• Ligeras anomalías faciales.
Síndrome velocardiofacial
 Dismorfia facial (nariz prominente y retrognatia).
 Paladar hendido (fisura palatina).
 Anomalías cardiovasculares.
 Dificultades para el aprendizaje.
 Inmunodeficiencia (menor frecuencia).
Síndrome de la deleción cromosómica 22q11
CATCH 22
• Presente en el 90% de los casos de síndrome
de DiGeorge y el 60% de los casos de
síndrome velocardiofacial.
CA: anomalías cardíadas/faciales.
T: déficit de células T por hipoplasia tímica.
C: paladar hendido (“cleft”).
H: hipocalcemia por hipoparatiroidismo.

trastornos genéticos

  • 1.
    Trastornos genéticos Mutaciones Trastornos mendelianos Trastornosde herencia multifactorial Cariotipo normal Trastornos citogenéticos Trastornos monogénicos con herencia no clásica Diagnóstico molecular
  • 2.
    Términos de usohabitual Hereditario Familiar Congénito
  • 3.
    MUTACIONES Mutación: Cambio permanenteen el ADN. Cel. Germinales o cel somáticas Mutaciones genómicas.(ganc o perd) tri y monosomia Mutaciones cromosómicas.reordenamiento del material genético Mutaciones génicas (de un solo gén).
  • 4.
    MUTACIONES: Principios básicos Mutacionespuntuales en las secuencias codificadoras: mutaciones de sentido erróneo y mutaciones sin sentido. Mutaciones de las secuencias codificadoras. Deleciones e inserciones. Mutaciones por repetición de tres nucleótidos.
  • 5.
    Trastornos mendelianos (monogénicos) Patronesde transmisión • Trastornos autosómicos dominantes • Trastornos autosómicos recesivos • Trastornos ligados al cromosoma X
  • 6.
    Trastornos mendelianos Expresiones genéticas •Codominancia: los dos alelos de una pareja de genes se expresan por completo en el heterocigoto (antígenos de histocompatibilidad y grupos sanguíneos). • Pleiotropismo: uno solo gen mutante puede provocar muchos efectos finales (anemia de células falciformes). • Heterogeneidad genética: las mutaciones de varios loci genéticos pueden producir un mismo rasgo hereditario (Sordera infantil grave).
  • 7.
    Trastornos mendelianos Modificación delas manifestaciones clínicas • Penetrancia reducida: algunos individuos heredan el gen mutante, pero son fenotípicamente normales. • Expresividad variable: un rasgo aparece en todos los individuos que llevan el gen mutante, pero ese rasgo se expresa de forma diferente en uno u otros.
  • 8.
    Trastornos autosómicos dominantes •Se manifiestan en el estado heterocigoto. • Algunos pacientes no tienen padres afectados. • Probabilidad de que los hijos padezcan la enfermedad 2:4 (50%). • Manifestaciones clínicas modificadas por una penetrancia reducida y una expresividad variable. • Signos y síntomas aparecen hasta en la edad adulta. • Se afectan principalmente proteinas estructurales y receptores.
  • 10.
    Trastornos autosómicos recesivos •Se manifiestan en el estado homocigoto. • El rasgo no suele afectar a los padres, pero los hermanos pueden padecer al enfermedad. • La probabilidad de afectación es de 1:4 (25%). • La expresión del defecto es más uniforme y es frecuente la penetrancia completa. • El proceso suele ser de comienzo precoz. • Se afectan principalmente proteínas enzimáticas.
  • 12.
    Trasotrnos ligados alcromosoma X • El varón es hemicigoto para los genes mutantes del cromosoma X. • Un varón afectado no transmite la efermedad a sus hijos, pero todas sus hijas son portadoras. • La probablidad de afectación es de 2:4 (50%). • La mujer heterocigota no suele expresar plenamente el cambio fenotípico.
  • 14.
    Trastornos mendelianos (monogénicos) Basesbioquímicas y moleculares • Defectos enzimáticos y sus consecuencias. • Defectos de los receptores de membrana y de los sistemas de transporte. • Alteraciones de la estructura, de la función o de la cantidad de proteinas no enzimáticas. • Reacciones adversas a los fármacos determinadas genéticamente.
  • 15.
    Defectos enzimáticos ysus consecuencias 1. Acumulación del sustrato. 2. Bloqueo metabólico con producción de menor cantidad de un producto final. 3. Falta de inactivación de un sustrato lesivo para los tejidos.
  • 16.
    Trastornos asociados adefectos de las proteínas estructurales • Síndrome de Marfan • Síndromes de Ehlers- Danlos
  • 17.
    Síndrome de Marfan •Trastorno autosómico dominante de los tejidos conectivos del organismo, que produce principalmente alteraciones esqueléticas, oculares y lesiones cardiovasculares. • Prevalencia de 1 por 10,000 a 20,000. • 70-85% de los casos son familiares. • Se debe a un defecto de la glucoproteina extracelular llamada fibrilina (FBN 1).
  • 18.
    Fibrilina • La fibrilinaes el principal componente de las microfibrillas que forman la matriz extracelular, indispensable para la formación de las fibras elásticas. • Las microfibrillas abundan en la aorta, los ligamentos y las zónulas ciliares del cristalino. • Fibrilina 1 (15q21): Síndrome de Marfan y Fibrilina 2 (5q3): Aranodactilia con contracturas congénitas.
  • 19.
    Síndrome de Marfan:Morfología Alteraciones esqueléticas  Estatura alta y miembros muy largos.  Dedos largos y afilados.  Ligamentos de manos y pies laxos.  Dolicocefalia (cráneo alargado), con prominencia de las eminencias frontales y los rebordes supraorbitarios.  Deformidades de la columna (xifosis, escoliosis, rotación o deslizamiento de las vertebras.  Pectum excavatum o tórax en quilla.
  • 20.
    Síndrome de Marfan:Morfología Lesiones oculares  Subluxación bilateral del cristalino (ectopia lentis). Lesiones cardiovasculares o Dilatación de la aorta ascendente: Insuficiencia aórtica y aneurisma disecante. o Prolapso de la válvula mitral.
  • 21.
  • 22.
  • 23.
  • 24.
  • 25.
    Prolapso válvula mitralDisección aórtica
  • 26.
  • 27.
    Síndromes de Enhlers-Danlos Lossíndromes de Enhlers-Danlos (SED) comprenden un grupo clínica y genéticamente heterogéneos de trastornos que se deben a algún defecto de la síntesis o estructura del colágeno. Hay más de 14 clases distintas de colágeno. Actualmente se distinguen 10 variedades de SED.
  • 28.
    Síndromes de Enhlers-Danlos Manifestacionesclínicas • Piel hiperextensible, sumamente frágil y muy sensible a los traumas: grandes defectos con lesiones leves y dificultad en la reparación quirúrgica. • Articulaciones hipermóviles: predisposición a luxaciones articulares.
  • 29.
  • 30.
  • 31.
    Síndromes de Enhlers-Danlos Complicaciones de los órganos internos • SED IV: Rotura del colon y de las grandes arterias. • SED VI: Fragilidad del globo ocular con estallido de la córnea y desprendimiento de retina. • SED I: Hernia diafragmática.
  • 32.
    Síndromes de Enhlers-Danlos Basesbioquímicas y moleculares Variedad Defecto Tipo de colágeno SED VI Lisil hidroxilasa Colágeno tipo I y III SED IV • Cadena pro alfa 1 • Procolágeno tipo III • Colágeno tipo III Colágeno tipo III SED VII Cadena pro alfa 1 o pro alfa 2 Colágeno tipo I SED IX Proteina fijadora de cobre
  • 33.
    Trastornos asociados adefectos de las proteínas de los receptores Hipercolesterolemia familiar • Causada por una mutación del gen que codifica a los receptores de lipoproteinas de baja densidad (LDL), que interviene en el transporte y metabolismo del colesterol. • Es el trastorno mendeliano más frecuente. • Los heterocigotos representan 1 de cada 500 individuos. • Niveles de colesterol del doble o triple (heterocigotos) o cinco a seis veces superiores de lo normal (homocigotos).
  • 37.
    Trastornos asociados adefectos enzimáticos: Enfermedades de depósito lisosómico • Enfermedad de Tay-Sachs • Enfermedad de Niemann-Pick • Enfermedad de Gaucher • Mucopolisacaridosis • Enfermedades por depósito de glucógeno (Glucogenosis) • Alcaptonuria
  • 38.
    • Se sintetizanen el retículo endoplásmico. • Se trasladan al aparato de Golgi. • En el aparato de Golgi sufren varias modificaciones postraduccionales (fijación de los grupos manosa-6-fosfato). • Unión a recepores en la superficie interna. • Vesículas de transporte llenas de enzimas unidas a receptores se fusionan con los lisosomas. • Las vesículas con los receptores vuelven al Golgi.
  • 39.
  • 40.
    Enfermedades de depósitolisosómico Órganos afectados 1) El sitio donde se encuentra la mayoría de las sustancia que va a ser degradada. 2) El lugar donde se produce normalmente la mayor parte de esa degradación.
  • 41.
    Enfermedad de Tay-Sachs •Déficit de hexosaminidasa A: mutación en el locus de la subunidad alfa, cromosoma 15. • Acumulación de gangliosidos GM2 en muchos tejidos. • Especialmente prevalente en judíos, sobretodo originarios de europa oriental (portadores 1:30). • Cuadro clínico dominado por la afectación del sistema nervioso central, autónomo y de las neuronas de la retina.
  • 42.
    Enfermedad de Tay-Sachs Cuadroclínico • Lactantes con signos y síntomas 6 meses después del nacimiento. • Deterioro mental y motor inexorable: inicio con incoordinación motora y obnibulación mental, que empeora hasta provocar flaccidez muscular, ceguera y demencia progresiva. • Manchas rojo cereza en la retina. • Estado vegetativo completo en 1 a 2 años. • Muerte a la edad de 2-3 años.
  • 46.
    Enfermedad de Niemann-Pick •Déficit hereditario de esfingomielinasa de tipo A (Cromosoma 18q11-12). • Representa el 70-80% de todos los casos. • Acumulación de esfingomielina en los lisosomas: sistema fagocítico mononuclear y neuronas. • Es la forma infantil, caracterizada por extensa afectación neurológica, visceromegalia y evolución progresiva con muerte precoz a los 2-3 años de vida.
  • 47.
    Enfermedad de Niemann-Pick Manifestacionesclínicas • Signos y síntomas evidentes a los 6 meses de edad. • Hepatoesplenomegalia (abdomen prominente). • Retraso progresivo del crecimiento, vómitos, fiebre y adenopatías generalizadas. • Deterioro progresivo de la función psicomotora y muerte a los 2-3 años de edad.
  • 49.
    Enfermedad de Gaucher •Es la enfermedad de depósito lisosómico más frecuente. • Se debe a déficit de glucocerebrosidasa. • Acumulación de glucocerebrósidos en las células fagocitarias y, en algunas formas, en el sistema nervioso central. • Hay tres subtipos clínicos.
  • 50.
    Enfermedad de Gaucher Subtiposclínicos Tipo I o forma crónica no neuropática: • Es la más frecuente, 99% de los casos, con predominio en judíos de origen europeo. • Predominio de las manifestaciones esplénicas y esqueléticas, sin afectación al cerebro, que aparecen en la vida adulta. • Esplenomegalia, hasta 10 Kg. • Pancitopenia o trombocitopenia (hiperesplenismo). • Deformidades esqueléticas, dolores óseos y fracturas patológicas.
  • 51.
    Enfermedad de Gaucher Subtiposclínicos Tipo II o forma neuronopática aguda  Es la forma cerebral aguda del lactante.  Predominio de las alteraciones progresivas del sistema nervioso central, con muerte prematura.  Trastornos funcionales del sistema nervioso central, con convulsiones y deterioro mental progresivo.  Hepatoesplenomegalia y linfadenopatías.
  • 52.
    Enfermedad de Gaucher Subtiposclínicos Tipo III o Intermedia entre los tipos I y II. o Pacientes jóvenes con manifestaciones generales del tipo I. o Afección progresiva del sistema nervioso central, que comienza hacia el segundo o tercer decenio de la vida.
  • 55.
    Mucopolisacaridosis • Déficit deenzimas lisosómicas que degradan mucopolisacáridos (glucosaminoglicanos): dermatán sulfato, heparán sulfato, queratán sulfato y condroitín sulfato. • Se han descrito siete formas clínicas (MPS). • Todas se heredan con carácter autosómico recesivo, excepto el síndrome de Hunter (MPS II), que es ligado al cromosoma X.
  • 56.
    Mucopolisacaridosis Acumulación y órganosafectados • Se acumulan en células fagocíticas mononucleares, células endoteliales, fibras musculares lisas de la íntima y en los fibroblastos de todo el cuerpo. • Se afectan a menudo el bazo, el hígado, la médula ósea, los ganglios linfáticos, los vasos sanguíneos y el corazón.
  • 57.
    Mucopolisacaridosis Manifestaciones clínicas Rasgos facialestoscos. Opacidades corneales. Rigidez articular. Retraso mental. Hepatoesplenomegalia. Lesiones valvulares cardíacas. Infarto de miocardio (depósitos subendoteliales en las arterias coronarias).
  • 59.
    Mucopolisacaridosis Síndrome de Hurler(MPS I H) • Debido a déficit de alfa-1-iduronidasa. • Es la forma más grave de MPS. • Hepatoesplenomegalia entre los 6 y 24 meses. • Retraso del crecimiento, rasgos faciales toscos y deformidades esqueléticas. • La muerte se produce hacia los 6-10 años de edad (complicaciones cardiovasculares).
  • 60.
    Enfermedades por depósitode glucógeno (Glucogenosis) • Deficiencias hereditarias de una de las enzimas que intervienen en la síntesis o en la degradación escalonada del glucógeno. • Según la distribución normal de cada enzima en los tejidos, el depósito de glucógeno puede limitarse a pocos tejidos, puede ser más amplio pero sin afectarlos a todos, o puede afectar de forma difusa y generalizada.
  • 63.
    Glucogenosis: Clasificación Formas hepáticas Hepatomegaliae hipoglicemia. Formas miopáticas Debilidad muscular. Calambres musculares postejercicio. Falta de elevación del lactacto sanguíneo inducido por ejercicio.
  • 64.
    Glucogenosis: Clasificación Otras formas Enfermedadde Pompe: Déficit de alfa-glucosidasa (maltasa ácida). Depósito de glucógeno en todos los órganos, con destacada cardiomegalia. Glucogenosis tipo IV: déficit de enzima ramificante. Depósito difuso de una forma anormal de glucógeno con efectos nocivos en el encéfalo, corazón, hígado y músculo esquelético.
  • 65.
    Enfermedad de vonGierke Glucogenosis tipo I • Tipo hepático (hepatorrenal). • Déficit de Glucosa-6-fosfatasa. • Retraso del crecimiento y desarrollo. • Hepatomegalia y nefromegalia. • Hipoglicemia. A menudo convulsiones. • Hiperlipidemia e hiperuricemia (xantomas cutáneos y gota). • Sangrados por disfunción plaquetaria.
  • 66.
    Enfermedad de McArdle Glucogenosistipo V • Tipo miopático, afecta sólo el músculo esquelético. • Déficit de fosforilasa muscular. • Comienzo en la edad adulta (> 20 años). • Calambres dolorosos con el ejercicio intenso. • Falta de elevación del lactacto en sangre venosa después del ejercicio. • Mioglobinuria en el 50% de los casos.
  • 68.
    Trastornos asociados adefectos enzimático • Alcaptonuria (ocronosis) • Autosómica recesiva. • Ausencia de la oxidasa homogentísica bloquea el metabolismo de la fenilamina- tirosina a nivel del ácido homogentísico que se acumula en el cuerpo y excreta en gran cantidad dando color negro a la orina cuando se deja en reposo.
  • 69.
    Morfología • El ácidohomogentísico se une al colágeno en el tejido conjuntivo de tendones y cartílagos dándole u color azul oscuro ( oreja, nariz y mejillas) Cartílago articular. • Columna, rodilla, hombro y cadera. • Respeta pequeñas articulaciones.
  • 70.
    Trastornos asociados adefectos de proteínas que regulan el crecimiento celular • Protooncogenes • Los genes de supresión tumoral.
  • 71.
    Neurofibromatosis tipo I (Enfermedadde von Recklinghausen) • 1 por 3000 nacimientos • Trasmisión autosómica dominante • Numerosos tumores neurales (neurofibromas). • Lesiones pigmentadas en la piel . Mancha café con leche 90% • Hamartomas pigmentados del iris (nódulos de Lisch) 94%
  • 72.
  • 77.
    Neurofibromatosis tipo I (Enfermedadde von Recklinghausen) Lesiones esqueléticas Defectos o erosiones óseas (neurofibromas contiguos al hueso). Escoliosis. Lesiones quísticas intraóseas. Quistes óseos subperiósticos. Pseudoartrosis de la tibia.
  • 78.
    Trastornos de herenciamultifactorial  Labio leporino o paladar hendido (o ambos).  Cardiopatías congénitas.  Cardiopatía isquémica.  Hipertensión arterial.  Gota.  Diabetes mellitus.  Estenosis pilórica.
  • 79.
  • 80.
  • 81.
  • 82.
  • 84.
    Cariotipo: Nomenclatura • 46,XX •46,XY • 47,XX,+21 • Xp21.2 • 46,XY/47,XY,+21 • 45,X/47,XXX • 45,X/46,XX/47,XXX
  • 86.
    Trastornos citogenéticos Alteraciones estructurales •Deleción • Cromosoma en anillo • Inversión • Isocromosoma • Translocación
  • 88.
  • 91.
  • 96.
    Trastornos citogenéticos queafectan a los autosomas • Trisomía 21 (Síndrome de Down) • Trisomía 18 (Síndrome de Edwards) • Trisomía 13 (Síndrome de Patau) • Síndrome de la deleción cromosómica 22q11
  • 97.
  • 99.
    Síndrome de Down •Es la alteración cromosómica más frecuente. • Incidencia de 1 en 700 nacimientos. • Trisomía 21 en el 95% de los casos, por falta de disyunción meiótica. • Translocación robertsoniana en el 4% y mosaicos en el 1% de los casos. • Mayor incidencia en madres de más de 45 años (1 de cada 25 nacidos vivos).
  • 100.
    Síndrome de Down Manifestacionesclínicas • Perfil facial plano, pliegues epicánticos y fisura palpebral oblicua e hipotonía muscular. • Pliegue palmar simiesco y pliegue de flexión único en el quinto dedo (20%). • Piel cervical abundante. • Retardo mental grave: CI de 25-20 en el 80% de los afectados.
  • 102.
    Síndrome de Down Manifestacionesclínicas • Cardiopatía congénita (40%). • Atresia del esófago e intestino delgado. • Hernia umbilical. • Predisposición a leucemia aguda. • Respuesta inmunitaria anormal: predisposición a infecciones graves y procesos tiroideos autoinmunitarios. • Lesiones degenerativas cerebrales características de la enfermedad de Alzheimer (mayores de 40 años).
  • 104.
  • 105.
    Síndrome de Edwards •Incidencia de 1 por 8,000 nacimientos. • Trisomía 18 (47,XX,+18) o Mosaico (46,XX/47,XX,+18). • Retardo mental. • Occipucio prominente, micrognatia, cuello corto, orejas de implantación baja. • Superposición de los dedos de la mano. • Limitación de la abducción de la cadera y pies quinovaros. • Cardiopatías congénitas y malformaciones renales.
  • 106.
    • Occipucio prominente. •Micrognatia. • Orejas de implantación baja. • Cuello corto. • Cardiopatías congénitas. • Malformaciones renales
  • 110.
  • 111.
    Síndrome de Patau •Incidencia de 1 por 15,000 nacimientos. • Trisomía 13: 47,XX,+13 o Mosaico: 46,XX/47,XX,+13 o Translocación: 46,XX,+13,der(13,14)(q12,q10). • Retardo mental. • Microcefalia, microftalmía, labio leporino y paladar hendido. • Polidactilia y pies equinovaros. • Malformaciones cardíacas y renales.
  • 112.
  • 115.
  • 116.
    Síndrome de ladeleción cromosómica 22q11: Manifestaciones clínicas • Cardiopatías congénitas. • Anomalías del paladar. • Dismorfia facial (nariz prominente y retrognatia). • Retraso del desarrollo. • Inmunodeficiencia de células T de intensidad variable (hipoplasia del timo). • Hipocalcemia (hipoplasia paratiroidea).
  • 117.
    Síndrome de ladeleción cromosómica 22q11 Síndrome de DiGeorge • Hipoplasia del timo con inmunodeficiencia de células T. • Hipoplasia paratiroidea con hipocalcemia. • Malformaciones cardíacas. • Ligeras anomalías faciales. Síndrome velocardiofacial  Dismorfia facial (nariz prominente y retrognatia).  Paladar hendido (fisura palatina).  Anomalías cardiovasculares.  Dificultades para el aprendizaje.  Inmunodeficiencia (menor frecuencia).
  • 118.
    Síndrome de ladeleción cromosómica 22q11 CATCH 22 • Presente en el 90% de los casos de síndrome de DiGeorge y el 60% de los casos de síndrome velocardiofacial. CA: anomalías cardíadas/faciales. T: déficit de células T por hipoplasia tímica. C: paladar hendido (“cleft”). H: hipocalcemia por hipoparatiroidismo.

Notas del editor

  • #44 These enlarged, pale neurons are in a baby with Tay-Sachs disease, which is seen mostly in persons of European Jewish heritage. The disease is often first noticed at an age of 6 months, because the baby is not progressing developmentally.
  • #46 The Luxol fast blue stain highlights the large swollen neurons in Tay-Sachs disease. Affected babies over the first two years of life have relentless neurologic deterioration with motor incoordination and flaccidity.
  • #59 There are a variety of storage diseases that affect the brain. The major feature is the microscopic appearance of enlarged and/or degenerating neurons filled with the storage product. Seen here are enlarged, vacuolated neurons in a case of mucopolysaccharidosis.
  • #68 McArdle's disease is type 5 glycogen storage disease. The myophosphorylase enzyme (part of glycolytic metabolism) is deficient, and glycogen is deposited in muscle, seen here as the red deposits with PAS stain. This myopathic disease results in muscular weakness, muscle cramps following exercise, and lack of an exercise-induced rise in blood lactate.
  • #73 This is a larger flat 4 cm long pigmented nevus on the upper back. Such larger nevi are often congenital. They are sometimes called "cafe-au-lait" spots.
  • #102 This baby demonstrates the typical features of Down syndrome with downslanting palbebral fissures and a slightly protruding tongue. Children with Down syndrome are placid, happy, loving children (and how often does that describe supposedly "normal" persons). However, they tend to have additional internal anomalies, particularly congenital heart disease. If they live into adolescence or young adulthood, they may develop leukemia. If they live to age 30 or 40 they will develop Alzheimer's disease.