CEDUM
Centro Docente De Ultrasonido En Medicina.

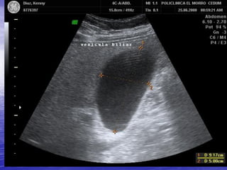
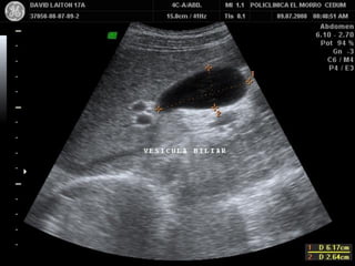
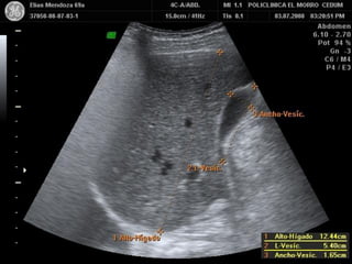
VESICULA BILIAR
Y
VIAS BILIARES
VESICULA Y VIAS BILIARES
ANATOMIA NORMAL DE LA
VESICULA BILIAR
• Visible
ANATOMIA NORMAL DE LA
VESICULA BILIAR
• Visible
• Fundus variable
ANATOMIA NORMAL DE LA
VESICULA BILIAR
• Visible
• Fundus variable
• Cuello Fijo
ANATOMIA NORMAL DE LA
VESICULA BILIAR
•
•
•
•
-

Visible
Fundus variable
Cuello Fijo
Forma y tamaño variable
Longitudinal de 7 a 10 cm
Transverso hasta 3,9 cm
ANATOMIA NORMAL DE LA
VESICULA BILIAR
•
•
•
•
•

Visible
Fundus variable
Cuello Fijo
Forma y tamaño variable
Volumen Vesicular de 30 a 50cc
ANATOMIA NORMAL DE LA
VESICULA BILIAR
•
•
•
•
•
•

Visible
Fundus variable
Cuello Fijo
Forma y tamaño variable
Volumen Vesicular de 30 a 50cc
Pared Vesicular menor a 2 mm
VISIÒN GLOBAL DE LA
FUNCIÒN

BILIAR
Los ácidos biliares participan en la

digestión de la grasa dietética, cuya
solubilización micelar facilita la absorción
intestinal.

 La bilis aporta también inmunoglobulina
A al intestino.

Tanto la formación de la bilis en los

hepatocitos como la circulación
enterohepática de ácidos biliares
desempeñan un papel fundamental en la
homeostasis del colesterol del organismo.
 Es

esencial para la excreción de
varios productos catabólicos, como los
pigmentos biliares y los metabolitos
de hormonas esteroides.

 Es el vehículo para la eliminación
de muchos fármacos y toxinas.
ANATOMIA NORMAL DE LA
VESICULA BILIAR
TECNICA ECOGRAFICA
• Ayuno de 8 a 12 horas
• Transductor 3,5 a 5 MHZ
• Explorar en inspiración profunda
• Abordaje intercostal bajo o subcostal
• Paciente en supino u oblicuo
posterior izquierdo, posición
erecta o prono
VARIANTES DE FORMA Y
CONGENITAS
• DE FORMA
Gorro frigio y presencia de pliegues

• CONGENITAS
Septos vesiculares verdaderos
Bilobulaciones
Anomalías de duplicación - dos componentes ( Funcional y
No Funcional)
VARIANTES DE FORMA Y
CONGENITAS

Variante en gorro frigio
VARIANTES DE FORMA Y
CONGENITAS

Variantes en gorro frigio
VARIANTES DE FORMA Y
CONGENITAS

Pliegue de unión

Duplicación Vesicular
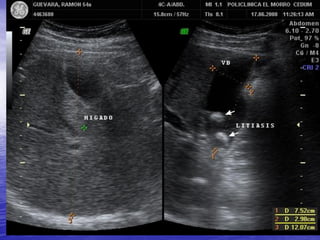
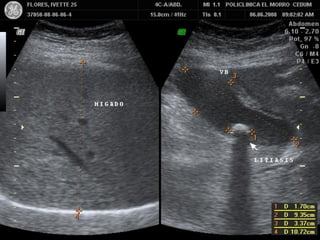
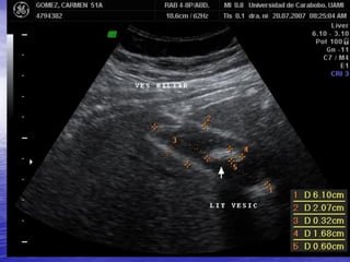
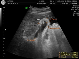
PATOLOGIA BILIAR
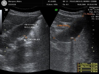
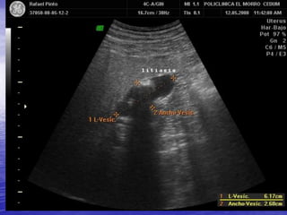
LITIASIS VESICULAR
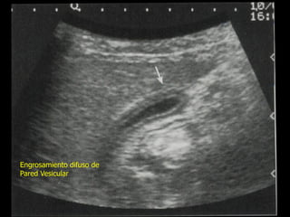
ENGROSAMIENTO DIFUSO DE
LA PARED VESICULAR
•ENFERMEDAD INTRINSECA:
COLECISTITIS
ADENOMIOMATOSIS
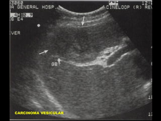
CARCINOMA VESICULAR

•ENGROSAMIENTO NO RELACIONADO
CON ENF. VESICULAR
•VARICES
•VARIANTE: CONTRACCION VESICULAR
ENGROSAMIENTO DIFUSO DE LA
PARED VESICULAR
ENFERMEDAD INTRINSECA:

COLECISTITIS:
AGUDA
CRONICA
ENFISEMATOSA
COLECISTITIS. PATRONES AL US

• PATRON EN TRES CAPAS
• PATRON ESTRIADO
ENGROSAMIENTO EN TRES CAPAS
PATRON ESTRIADO DE
ENGROSAMIENTO DE PARED

Perforación vesicular

Colecistitis acalculosa
Colecistitis enfisematosa

Colecistitis Gangrenosa
VESICULA CONTRAIDA ALREDEDOR
DE CALCULOS. COLECISTITIS CRONICA
ENGROSAMIENTO DIFUSO DE LA
PARED VESICULAR
ENFERMEDAD INTRINSECA:

ADENOMIOMATOSIS
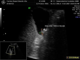
POLIPOSIS
ADENOMIOMATOSIS
ENGROSAMIENTO DIFUSO DE LA
PARED VESICULAR

ENFERMEDAD INTRINSECA:

CARCINOMA VESICULAR
CANCER DE LAS VÌAS BILIARES

La primera manifestación clínica del
cáncer de las vías biliares es la
ictericia obstructiva, que puede ir
precedida de prurito.

Debe considerarse en el diagnóstico

diferencial de toda ictericia
colestásica que se presenta sin fiebre
a partir de los 50 años de edad.
APARIENCIA ECOGRAFICA DEL
CARCINOMA DE VESICULA
•
•
•
•
•
•
•
•

Masa intraluminal
Engrosamiento mural asimétrico
Masa reemplazando la Vesícula
Calcificación de la pared Vesicular
Colelitiasis
Metástasis Hepáticas
Adenopatías
Dilatación de la via biliar
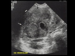
CA VESICULAR
CARCINOMA VESICULAR

Carcinoma Vesicular
Masa Intraluminal

Carcinoma primario vesicular
Engrosamiento asimétrico de pared
CARCINOMA VESICULAR

Calcificación de pared e invasión
A Hígado

Carcinoma Vesicular y Colecistitis Aguda
CARCINOMA VESICULAR

Carcinoma Vesicular simulando
Pólipos

Carcinoma primario de Vesícula y estudio
Doppler
CARCINOMA VESICULAR

Masa que remplaza la Vesícula

Metástasis Vesicular de
melanoma maligno
ENGROSAMIENTO DIFUSO DE LA
PARED VESICULAR
ENGROSAMIENTO NO
RELACIONADO CON
ENFERMEDAD VESICULAR
ENGROSAMIENTO NO
RELACIONADO
CON ENFERMEDAD VESICULAR
HIPERVOLEMIA
AUMENTO DE PRESION PORTAL
DISMINUCION DE PRESION OSMOTICA INTRAVASCULAR
SIDA: CRIPTOSPORIDIUM, CITOMEGALOVIRUS,
HIV
ASCITIS DE ETIOLOGIA MALIGNA: NO ENGROSA
PARED VESICULAR
CI HEPATICO CON ASCITIS
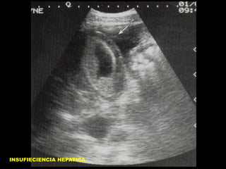
INSUFIECIENCIA HEPATICA
HEPATITIS AGUDA FULMINANTE
SOBREHIDRATACION
POR SEPSIS
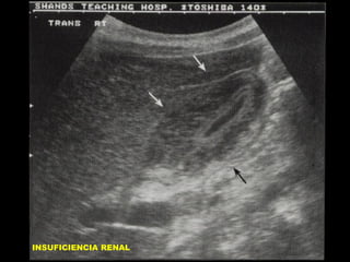
INSUFICIENCIA RENAL
INSUFICIENCIA RENAL
Segunda parte
ENGROSAMIENTO DIFUSO DE LA
PARED VESICULAR
VARICES
VARIANTE:
CONTRACCION VESICULAR
Engrosamiento difuso de
Pared Vesicular
ENGROSAMIENTO DIFUSO DE
PARED VESICULAR Y ASCITIS
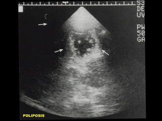
ENGROSAMIENTO FOCAL DE LA
PARED VESICULAR
• POLIPOS DE COLESTEROL /
ADENOMIOMATOSIS.
• COLECISTITIS
• CARCINOMA
• ENFERMEDAD METASTASICA
• HEMATOMA PARIETAL
VESICULAR.
POLIPOS DE COLESTEROL
• CAUSA MAS FRECUENTE DE ENGRO-

•
•
•
•

SAMIENTO FOCAL
MULTIPLES: COLESTEROLOSIS
ADHERIDOS A PARED VESICULAR
NO MOVILES
NO DEJAN SOMBRA ACUSTICA
POLIPOS DE COLESTEROL
COLECISTITIS AGUDA
CARCINOMA VESICULAR

PATRONES:
ENGROSAMIENTO DIFUSO DE PARED
MASA OBLITERANTE E INFILTRANTE
DEL PARENQUIMA HEPATICO.
ENGROSAMIENTO O MASA FOCAL
CARCINOMA VESICULAR
CARCINOMA VESICULAR
ENF. METASTASICA
VESICULAR
• INVASION LOCAL: CA DE PANCREAS
• DISEMINACION HEMATOGENA:
MELANOMA
MAMA
PULMON
HEMATOMA
• TRAUMA ACCIDENTAL

• PUNCIONES
• DRENAJES
• LITOTRIPSIA EXTRACORPOREA
HEMATOMA DE PARED POST LITOTRIPSIA
PARED VESICULAR
HIPERECOICA
VESICULA EN PORCELANA
COLECISTITIS ENFISEMATOSA
VARIANTES:

•VESICULA CONTRAIDA ALREDEDOR DE
LITIASIS.
•GAS INSTESTINAL
•AIRE EN LUMEN VESICULAR POR
INSTRUMENTACION.
VESICULA ESCLEROATROFICA
INCIDENCIA: 0,06 A 0,8 %
ASOCIADA A LITIASIS VESIC. EN 95% DE CASOS
MAS FREC. EN SEXO F: 5:1
HIPOTESIS:
CALCIFICACION DISTROFICA POR INF. CRONICA
Y COMPROMISO DEL FLUJO SANGUINEO.
IRRITACION CRONICA POR CALCULOS
OBSTRUCCION CRONICA DEL CISTICO O CB
RELACION CON CA: 11 A 33 %
VESICULA EN PORCELANA
COLECISTITIS ENFISEMATOSA
• 40% SON DIABETICOS
• LA BASE ES ISQUEMIA CON INFECCION SEC.
•
•
•

POR ANAEROBIOS.
NO ES FREC. RELACION CON LITIASIS
MAS FREC. EN SEXO M: 7:3
COMPLICACIONES: GANGRENA
PERFORACION
COLECISTITIS ENFISEMATOSA
COLECISTITIS ENFISEMATOSA
VESICULA CONTRAIDA ALREDEDOR DE
CALCULOS. COLECISTITIS CRONICA
AIRE EN LUMEN
VESICULAR
POST PCRE
MATERIAL SIMILAR A TEJIDO
BLANDO INTRAVESICULAR
• AYUNO CRONICO/COLECISTITIS

•
•
•
•
•
•

ACALCULOSA.
OBSTRUCCION VESICULAR
HEMORRAGIA VESICULAR / DETRITUS
POR INFECCION.
POLIPOS VESICULARES
CARCINOMA / METASTASIS
LITOTRIPSIA EXTRACORPOREA
ARTEFACTOS.
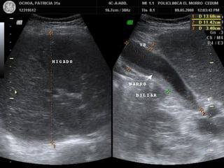
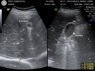
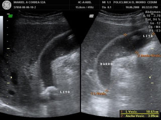
BARRO BILIAR
HEMORRAGIA VESICULAR
CARCINOMA VESICULAR
SOBREDISTENSION DE LA
VESICULA BILIAR
• AYUNO PROLONGADO
• OBSTRUCCION DE LA VESICULA
O DEL ARBOL BILIAR.
• VESICULA BILIAR NORMAL
OBSTRUCCION POR LITIASIS
VESICULA BILIAR NO
VISUALIZABLE
EXCLUSION QUIRUGICA / CONTRACCION FISIOLOGICA.
VESICULA ANORMAL:
V.B. CONTRAIDA ALREDEDOR DE UN CALCULO / V.B. EN PORCELANA / COLECISTITIS ENFISEMATOSA.
INSUFICIENCIA HEPATICA
HEPATIZACION VESICULAR
CARCINOMA
VESICULA BILIAR ECTOPICA
HEPATIZACION POR BARRO BILIAR
CARCINOMA VESICULAR
SEPTOS DENTRO DE LA
VESICULA BILIAR
• PLIEGUES VESICULARES

NORMALES.
• MEMBRANAS INTRALUMINALES
EN LA COLECISTITIS AGUDA
GANGRENOSA.
SEPTOS NORMALES
COLECISTITIS AGUDA GANGRENOSA
FLUIDO PERICOLECISTICO
• ASCITIS GENERALIZADA
• PERFORACION VESICULAR
• INFLAMACION O PERFORACION
DE ORGANOS VECINOS

.
ASCITIS
PERFORACION VESICULAR
•
•
•
•

COMPLICA 2 A 19% DE COLECISTITIS
MORTALIDAD: 19 A 24%
3 A 7 DIAS DE INICIO DE SINTOMAS
MECANISMO: OBSTRUC. DE CISTICO, DIS –
TENSION, ISQUEMIA DE FUNDUS, PERFORACION.
PERFORACION VESICULAR
INFLAMACION O PERFORACION
DE ORGANOS VECINOS
• ULCERA DUODENAL PERFORADA

• PANCREATITIS
• DIVERTICULITIS O PERFORACION EN
FLEXURA HEPATICA DEL COLON
Pseudo engrosamiento de
Pared en Pancreatitis aguda

Liquido pericolecistico localizado
en Pancreatitis aguda
ILEO BILIAR
La imágen (A) muestra gas en la vesícula biliar de manera que no es
visible. El gas se reconoce por la presencia de una sombra acústica poco
neta o sucia y un artefacto de reverberación.
Las imágenes ecográficas (B y C) son cortes a nivel de la región
infraumbilical izquierda y muestran un asa de ileon dilatada y un cálculo
vesicular en el lúmen, el cual produce sombra acústica.
PIEZA ANATOMICA
VIAS BILIARES
INTRAHEATICAS Y EXTRAHEPATICAS
COND. CISTICO
D.H.C.D.

DUC. HEP. IZQ.

CUELLO

VACCINETE

DUC. HEPATICO COMUN
D
U
C

CUERPO
DUODENO

DUCTO BILIAR COMUN
O COLEDOCO

FUNDUS

AMP. VATER

DUCTO PANCREATICO
VIA BILIAR INTRAHEPATICA
• ANATOMIA NORMAL
• DIAMETRO NORMAL HASTA 2mm ó NO
MAS DEL 40% DEL DIAMETRO DE LA
VENA PORTA ACOMPAÑANTE

TRIADA PORTAL
• DILATACION BILIAR INTRAHEPATICA
Alteración en la apariencia normal de la triada
portal
Irregularidad de la pared de los conductos
biliares dilatados
Confluencia central estrellada de las
estructuras tubulares
Realce acústico posterior de los conductos
dilatados
DILATACION BILIAR
INTRAHEPATICA

Dilatación biliar en cornamenta
de ciervo

Precipitación cristalina de secreción
biliar
PATOLOGIA
• Secundarios a una obstrucción de vía biliar
extrahepatica
• Ocasionalmente por patología
intrahepatica
NEOPLACIAS BILIARES
INTRAHEPATICAS
1- Cistoadenoma y su variante maligna
cistoadenocarcinoma
Como diagnostico diferencial
• Quiste complicado por hemorragia o infección
• Quistes equinococcicos
• Abscesos
• Hematomas
• M.T. Quisticos
2- Colangiocarcinoma
Carcinoma primario de la vía biliar
CISTOADENOCARCINOMA BILIAR
COLANGITIS ESCLEROSANTE Y SIDA
Producen alteraciones de la vía biliar
intrahepatica idénticas en la ecografía
CALCULOS BILIARES INTRAHEPATICOS
Raros en pacientes con Litiasis Vesicular
pero frecuentes en pacientes con
Colangitis recurrente piógena
ENFERMEDAD DE CAROLI
Se observan pequeñas bolsas semejantes a
divertículos en el árbol biliar intrahepatico
QUISTES PERIBILIARES
Son una entidad rara que se presenta en
pacientes con enfermedad hepática severa,
se localizan en el tejido peribiliar próximos al
porta-hepatis y tienen un tamaño variable
desde varios milímetros a varios centímetros
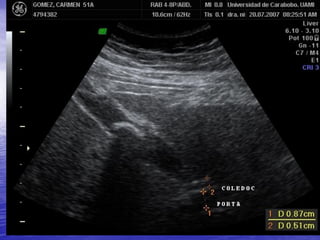
VIA BILIAR EXTRAHEPATICA
• ANATOMIA NORMAL
El segmento mas visible es el conducto
hepático común que tiene una situación
anatómica constante y puede detectarse
fácilmente en el sistema portal, cruzando
anterior a la vena porta derecho no
dividida y forma el conducto biliar común
EJE PORTAL NORMAL
• CONDUCTO CISTICO BILIAR NORMAL

Se sitúa posterior al conducto biliar común y
tiene un diámetro menor a 2mm y es visible son
en el 50% de los casos

• TAMAÑO DEL CONDUCTO BILIAR

EXTRAHEPATICO
La literatura describe desde 4 hasta 8 mm y
10 mm en ancianos como limite alto normal
Otra regla de medición:
40 años: 4mm
50 años: 5mm
60 años: 6mm
Se acepta un diámetro menor en porción
proximal que en distal adoptando forma de
embudo lo cual puede ser imperceptible o
dilatación evidente lo que traduce obstrucción
precoz del conducto biliar extrahepatico

HEPATICO COMUN.
TECNICA ECOGRAFICA
El conducto biliar común debe explorarse en
posición erecta oblicua posterior derecha o
de cubito lateral derecha con cortes axiales
COND. PANCREATICO

LITO
NIVEL Y CAUSA DE OBSTRUCCION
1. Conducto intrahepatico común
90% de las obstrucciones biliares ocurren a nivel
del conducto distal y producen una dilatación
de la totalidad de su trayecto
Causas mas frecuentes:
Carcinoma pancreático
Coledocolitiasis
Pancreatitis crónica con desarrollo de estenosis
CARCINOMA PANCREATICO
DILATACION DEL C.B.C

COLANGITIS POR SIDA
ESTENOSIS DEL C.B.C
2. OBSTRUCCION SUPRAPANCREATICA
Obstrucción origina entre el Páncreas y la
porta-hepatis.
Causa mas frecuente de esta obstrucción:
Maligna tanto primaria como secundaria
3. OBSTRUCCION PORTA-HEPATICA
Causas: Neoplásicas primaria y secundarias
Causas poco frecuentes de obstrucción de la
vía biliar
 COLANGIOCARCINOMA

TUMOR DE KLATSKIN
 SINDROME DE MIRIZZI

CALCULO LOCALIZADO EN EL CONDUCTO CISTICO
CON DILATACION PROXIMAL DEL CONDUCTO HEPATICO COMUN
 QUISTE DEL COLEDOCO
 PARASITOS BILIARES

GUSANO DE ASCARIS EN EL CBC
Click para otra ilusión óptica
GRACIAS POR SU ATENCIÒN.

VESICULA Y VIA BILIAR CEDUM 2013