SINDROME
CORONARIO
AGUDO
GLORIA ORTIZ
ORTIZ.
Epidemiología
 La enfermedad isquémica es la primera
causa de muerte en Chile. En el año 2001
fue responsable de casi 1 de cada 10
muertes (7.812 defunciones) y de ellas
5.651 fueron por Infarto Agudo del
miocardio (IAM), manifestación clínica
más trascendente de esta patología.
EL CORAZÓN ES UNA POTENTE BOMBA QUE, ASPIRANDO LA SANGRE DE LAS
VENAS, LA LANZA A LA ARTERIA AORTA PARA REGAR TODO EL CUERPO
ESA BOMBA ESTÁ
CONSTITUIDA POR
UN POTENTE
MÚSCULO,
EL MIOCARDIO,
QUE ES NUTRIDO
POR UNA TUPIDA
RED DE VASOS:
LAS ARTERIAS
CORONARIAS Y LOS
CAPILARES.
Venas
cavas
Aorta
Si la oclusión no es
completa, se produce una
disminución de la cantidad
de sangre que riega la zona
por delante de la
obstrucción. Si aumentan
las necesidades de oxigeno
o nutrientes de esa zona,
por ejemplo durante el
ejercicio, no puede
aumentar el riego,
apareciendo la angina.
La angina es pasajera y no
produce daño irreversible al
miocardio.
Es la antesala del infarto.
Definiciones
Isquemia Miocárdica :
Disminución de la oxigenación
del miocardio debida a
inadecuada perfusión, lo cual
produce un desbalance entre el
aporte y la demanda de
oxígeno: Lleva al desarrollo de
circulación colateral.
Infarto Miocárdico :
Ocurre cuando hay una brusca
disminución en el flujo coronario
como consecuencia de una
oclusión trombótica de una
arteria llevando a necrosis del
tejido miocárdico, después de
isquemia miocárdica
prolongada.
 Arteria coronaria
derecha
 lesión crítica en su
tercio medio con
imagen de trombo
en su interior
Ateroesclerosis
 Respuesta inflamatoria de la pared
vascular a diferentes formas de lesión.
 Subyace en la mayoria de los episodios de
enfermedad cardiovascular.
 Su caracter crónico conduce a la formación
de placas que pueden ocluir los vasos,
directamente o mediante complicación
trombótica.
Ateroesclerosis
 Enfermedad Inflamatoria, compleja y
multifactorial, vinculada a los llamados
“factores de Riesgo”; de éstos, 4 son
considerados “Mayores”: Hipertensión,
Diabetes, Hipercolesterolemia y Tabaco.
FACTORES DE RIESGO
CORONARIO
 Diabetes Mellitus
 Hipercolesterolemia
 Tabaco
 Hipertensión Arterial
 Edad: Hombre > 45, mujer > 55 a o postmenopáusica
sin E2
 Sexo masculino
 Antecedentes familiares
 Eventos cardiovasculares previos
 Otros: Hiperhomocisteinemia, etc.
FACTORES DE RIESGO
CORONARIO(con’t)
 Hipertrofia ventricular izquierda
 Cocaina
 Obesidad
 Vida Sedentaria
 Anticonceptivos Orales
 Hiper Homocisteinemia
 Fibrinogeno, proteina C-reactiva, Lp (a)
Enfermedad Coronaria
Formas de presentación:
 Asintomática
 Angina crónica
 Sindrome Coronario agudo:
 Angina inestable
 IAM no Q
 IAM Q
 Muerte súbita
Angina Estable
 Dolor precordial que recurre bajo circunstancias
similares con frecuencia similar en el tiempo.
 Síntomas usualmente comienzan con baja
intensidad, se incrementan en 2 – 3 minutos
hasta un total de < de 15 minutos(episodios de
> de 30 minutos sugieren IAM)
Estudio Angina Estable
Cuadro clínico
ECG Test de Provocación
Cintigrama Mioc
Eco Stress
Coronariografía
.
(+)
Test de Esfuerzo
ANGINA INESTABLE
 Reducción del flujo sanguíneo miocárdico
causado la mayoría de las veces por un trombo
generado en un accidente de placa.
 Rara vez puede ser causado por espasmos
coronarios o por enfermedades que elevan las
demandas de O2 (Hipertiroidismo, fiebre,
anemia, feocromocitoma etc.)
Estudio Sindrome Coronario Agudo
Cuadro clínico
ECG
Coronariografía
Normal SD ST
Enzimas Cardiacas
Angina Inestable Infarto Miocárdico
(+)(-)
ID ST
Test de ProvocaciónIAM Q IAM NO Q
TRATAMIENTO ENFERMEDAD
CORONARIA
 Tratamiento Médico
 Tratamiento Percutáneo
 Tratamiento Quirúrgico
TRATAMIENTO MEDICOTRATAMIENTO MEDICO
Adapted from the UCLA CHAMP Guidelines 1994Adapted from the UCLA CHAMP Guidelines 1994
Risk Reduction
 Aspirina 20-30%
 Beta Bloqueadores 20-35%
 Inhibidores ECA 22-25%
 Estatinas 25-42%
Todo paciente con enfermedad coronaria debería recibir las cuatro terapias,
salvo contraindicaciones
TRATAMIENTO DE SCA EN
HOSPITAL
 Morfina, Oxygeno, Nitroglicerina, Aspirin
 Beta-bloqueadores
 Heparina EV no fraccionada o Heparina de
bajo peso molecular.
 inhibitors GP IIb IIIa
 Trombolíticos
 Angioplastía Percutánea
 Cirugía de Revascularización Coronaria
Infarto Agudo al Miocardio
DEFINICION IAM
 ↑ BIOMARCADORES CARDIACOS
(TROPONINA) - ↑ p 99.
 Síntomas de isquemia.
 Cambios EKG (segmento ST - BRIHH).
 Q patológicas (aparición).
 Perdida tejido miocárdico viable – alteraciones
motilidad ventricular.
DEFINICION IAM
 Muerte inesperada por paro cardiaco –
signos de isquemia – cambios EKG –
autopsia.
 IAM relacionado con ICP.
 IAM relacionado con RMQ.
 Hallazgos histopatológicos.
ELEVACION DE LA TROPONINA –
ETIOLOGIA NO ISQUEMICA
 Rabdomiolisis – daño cardiaco.
 Embolia pulmonar – HTP severa.
 Falla renal.
 ECV – HSA.
 Enfermedad infiltrativa (amiloidosis).
 Enfermedad inflamatoria (miocarditis).
 Toxicidad drogas – toxinas.
ELEVACION DE LA TROPONINA –
ETIOLOGIA NO ISQUEMICA
 Contusión o trauma cardiaco (intervención).
 ICC.
 Disección aortica.
 Enfermedad valvular aortica.
 Cardiomiopatia hipertrofica.
 Arritmias – bloqueo cardiaco.
 Discinesia apical transitoria.
ELEVACION DE LA TROPONINA –
ETIOLOGIA NO ISQUEMICA
 Pacientes críticamente enfermos.
 Quemaduras.
 Ejercicio extremo.
DX CON ARTERIOGRAFIA
Angioplastía Percutánea
DURANTE LAS PRIMERAS HORAS-DIAS DEDURANTE LAS PRIMERAS HORAS-DIAS DE
PRODUCIRSE UN INFARTO A VECES SEPRODUCIRSE UN INFARTO A VECES SE
PRESENTAN COMPLICACIONES , QUEPRESENTAN COMPLICACIONES , QUE
PUEDEN SER POTENCIALMENTEPUEDEN SER POTENCIALMENTE
LETALESLETALES
LA PRESENCIA DELA PRESENCIA DE
ARRITMIAS VENTRICULARESARRITMIAS VENTRICULARES
O BLOQUEOS DEL CORAZÓNO BLOQUEOS DEL CORAZÓN
APARECEN CON BASTANTEAPARECEN CON BASTANTE
FRECUENCIA.FRECUENCIA.
POR LO GENERAL PUEDENPOR LO GENERAL PUEDEN
SER CONTROLADOS CON ELSER CONTROLADOS CON EL
USO DE DISPOSITIVOSUSO DE DISPOSITIVOS
ESPECIALES:ESPECIALES:
DESFIBRILADOR,DESFIBRILADOR,
MARCAPASOS …MARCAPASOS …
CONSECUENCIAS DEL INFARTO DE MIOCARDIO ICONSECUENCIAS DEL INFARTO DE MIOCARDIO I
ISQUEMIA: INVERSION ONDA T.
LESION: SUPRADESNIVEL ST
NECROSIS: SE VISUALIZA ONDA Q MUY
AMPLIA
MANIFESTACIONES EKG IAM
CEST
 Elevación nueva del ST – 2 derivaciones
contiguas.
 0,2 mV - V2-V3 – hombres.
 0,15 mV – V2-V3 – mujeres.
 0,1 mV – otras.
MANIFESTACIONES EKG IAM
SEST - AI
 Depresión ST nueva horizontal o
descendente ≥ 0,05 mV.
 Inversión T nueva ≥ 0,1 mV asociado a R
prominente.
Clasificacion de el IM A.:
transmural : con onda Q .
no transmural : sin onda Q .
Descenso persistente de ST en precordiales ( V2-V4): IMA posterior
( imagen en espejo ).
Revizar adicionalmante la
diapositiva de las
derivaciones
FALSOS POSITIVOS EKG
 Repolarizacion precoz.
 Bloqueo rama izquierda.
 Síndrome Brugada.
 Pericarditis – miocarditis.
 TEP.
 HSA.
 Hiper K.
 Colecistitis.
IAM CEST SOSTENIDA
ALIVIO DEL DOLOR - DISNEA
TRATAMIENTO DE
REPERFUSION
ICP PRIMARIA
• Técnica que permite reabrir las arterias carótidas
obstruidas.
•Se lleva a cabo cuando hay una obstrucción del 70
% o mayor.
• Se realiza introduciendo un pequeño balón en el
sitio del vaso que presenta estrechamiento.
• Luego, el balón se infla a presión hasta que la
arteria alcance el diámetro normal.
TROMBOLISIS
CI TROMBOLISIS
DOSIS DE TENECTEPLASA
ANGIOGRAFIA POST-
TROMBOLISIS/NO REPERFUSION
TRATAMIENTO
ANTITROMBOTICO NR
TRATAMIENTO PROFILACTICO
TRATAMIENTO MEDICO LARGO
PLAZO
TRATAMIENTO MEDICO LARGO
PLAZO
SINDROME CORONARIO AGUDO
SEST
SC-SEST
 IAM SEST.
 Angina inestable.
 Reposo.
 Reciente.
 Cambio de patrón.
DIAGNOSTICO DIFERENCIAL
META TERAPEUTICA
 Placa pasiva.
 Disminuir el riesgo de morir.
 Farmacologico.
 Estrategia invasiva.
FACTORES DE ↑ RIESGO
 Edad.
 Factores de riesgo de enfermedad (3).
 Enfermedad coronaria conocida.
 Numero de episodios.
 ASA.
 Cambios ST.
 Biomarcadores.
 Creatinina serica.
 Forma presentación.
 Disfuncion ventricular izquierda.
MANEJO FARMACOLOGICO
 Nitratos
 Morfina
 Betabloqueadores
 iECA-ARA
 Anticoagulacion
 Antiagregacion
 Inhibidores HMG-CoA reductasa
EFECTOS HEPARINAS
COMPARACION HEPARINAS
EFECTOS ASPIRINA
ESTRATEGIA INVASIVA PRECOZ
- CONSERVADORA
FACTORES DE RIESGO
HEMORRAGIA MAYOR
TACTICS – TIMI 18
CASO CLINICO
 Paciente de 48 años, que ingresa al servicio de
urgencias a las 6:00 AM por presentar dolor precordial
irradiado a hombro derecho con nauseas, diaforesis y
palidez generalizada, el enfermero toma ekg y
enceuntra supradesnivel del segmetno ST en las
derivaciones DII, DIII y AVF ordenan iniciar tratamiento
para sindrome coronario agudo
 Se tomas signos vitales y se obtiene estos resultados:
Tensión arterial: 90 / 60 mmHG
frecuencia respiratoria: 22 por minuto.
frecuencia cardiaca: 116 por minuto.
SINDROME CORONARIO AGUDO

SINDROME CORONARIO AGUDO

  • 1.
  • 2.
    Epidemiología  La enfermedadisquémica es la primera causa de muerte en Chile. En el año 2001 fue responsable de casi 1 de cada 10 muertes (7.812 defunciones) y de ellas 5.651 fueron por Infarto Agudo del miocardio (IAM), manifestación clínica más trascendente de esta patología.
  • 4.
    EL CORAZÓN ESUNA POTENTE BOMBA QUE, ASPIRANDO LA SANGRE DE LAS VENAS, LA LANZA A LA ARTERIA AORTA PARA REGAR TODO EL CUERPO ESA BOMBA ESTÁ CONSTITUIDA POR UN POTENTE MÚSCULO, EL MIOCARDIO, QUE ES NUTRIDO POR UNA TUPIDA RED DE VASOS: LAS ARTERIAS CORONARIAS Y LOS CAPILARES. Venas cavas Aorta
  • 5.
    Si la oclusiónno es completa, se produce una disminución de la cantidad de sangre que riega la zona por delante de la obstrucción. Si aumentan las necesidades de oxigeno o nutrientes de esa zona, por ejemplo durante el ejercicio, no puede aumentar el riego, apareciendo la angina. La angina es pasajera y no produce daño irreversible al miocardio. Es la antesala del infarto.
  • 6.
    Definiciones Isquemia Miocárdica : Disminuciónde la oxigenación del miocardio debida a inadecuada perfusión, lo cual produce un desbalance entre el aporte y la demanda de oxígeno: Lleva al desarrollo de circulación colateral. Infarto Miocárdico : Ocurre cuando hay una brusca disminución en el flujo coronario como consecuencia de una oclusión trombótica de una arteria llevando a necrosis del tejido miocárdico, después de isquemia miocárdica prolongada.
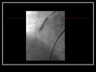
  • 8.
     Arteria coronaria derecha lesión crítica en su tercio medio con imagen de trombo en su interior
  • 9.
    Ateroesclerosis  Respuesta inflamatoriade la pared vascular a diferentes formas de lesión.  Subyace en la mayoria de los episodios de enfermedad cardiovascular.  Su caracter crónico conduce a la formación de placas que pueden ocluir los vasos, directamente o mediante complicación trombótica.
  • 10.
    Ateroesclerosis  Enfermedad Inflamatoria,compleja y multifactorial, vinculada a los llamados “factores de Riesgo”; de éstos, 4 son considerados “Mayores”: Hipertensión, Diabetes, Hipercolesterolemia y Tabaco.
  • 11.
    FACTORES DE RIESGO CORONARIO Diabetes Mellitus  Hipercolesterolemia  Tabaco  Hipertensión Arterial  Edad: Hombre > 45, mujer > 55 a o postmenopáusica sin E2  Sexo masculino  Antecedentes familiares  Eventos cardiovasculares previos  Otros: Hiperhomocisteinemia, etc.
  • 12.
    FACTORES DE RIESGO CORONARIO(con’t) Hipertrofia ventricular izquierda  Cocaina  Obesidad  Vida Sedentaria  Anticonceptivos Orales  Hiper Homocisteinemia  Fibrinogeno, proteina C-reactiva, Lp (a)
  • 17.
    Enfermedad Coronaria Formas depresentación:  Asintomática  Angina crónica  Sindrome Coronario agudo:  Angina inestable  IAM no Q  IAM Q  Muerte súbita
  • 18.
    Angina Estable  Dolorprecordial que recurre bajo circunstancias similares con frecuencia similar en el tiempo.  Síntomas usualmente comienzan con baja intensidad, se incrementan en 2 – 3 minutos hasta un total de < de 15 minutos(episodios de > de 30 minutos sugieren IAM)
  • 19.
    Estudio Angina Estable Cuadroclínico ECG Test de Provocación Cintigrama Mioc Eco Stress Coronariografía . (+) Test de Esfuerzo
  • 20.
    ANGINA INESTABLE  Reduccióndel flujo sanguíneo miocárdico causado la mayoría de las veces por un trombo generado en un accidente de placa.  Rara vez puede ser causado por espasmos coronarios o por enfermedades que elevan las demandas de O2 (Hipertiroidismo, fiebre, anemia, feocromocitoma etc.)
  • 21.
    Estudio Sindrome CoronarioAgudo Cuadro clínico ECG Coronariografía Normal SD ST Enzimas Cardiacas Angina Inestable Infarto Miocárdico (+)(-) ID ST Test de ProvocaciónIAM Q IAM NO Q
  • 22.
    TRATAMIENTO ENFERMEDAD CORONARIA  TratamientoMédico  Tratamiento Percutáneo  Tratamiento Quirúrgico
  • 23.
    TRATAMIENTO MEDICOTRATAMIENTO MEDICO Adaptedfrom the UCLA CHAMP Guidelines 1994Adapted from the UCLA CHAMP Guidelines 1994 Risk Reduction  Aspirina 20-30%  Beta Bloqueadores 20-35%  Inhibidores ECA 22-25%  Estatinas 25-42% Todo paciente con enfermedad coronaria debería recibir las cuatro terapias, salvo contraindicaciones
  • 24.
    TRATAMIENTO DE SCAEN HOSPITAL  Morfina, Oxygeno, Nitroglicerina, Aspirin  Beta-bloqueadores  Heparina EV no fraccionada o Heparina de bajo peso molecular.  inhibitors GP IIb IIIa  Trombolíticos  Angioplastía Percutánea  Cirugía de Revascularización Coronaria
  • 25.
  • 26.
    DEFINICION IAM  ↑BIOMARCADORES CARDIACOS (TROPONINA) - ↑ p 99.  Síntomas de isquemia.  Cambios EKG (segmento ST - BRIHH).  Q patológicas (aparición).  Perdida tejido miocárdico viable – alteraciones motilidad ventricular.
  • 27.
    DEFINICION IAM  Muerteinesperada por paro cardiaco – signos de isquemia – cambios EKG – autopsia.  IAM relacionado con ICP.  IAM relacionado con RMQ.  Hallazgos histopatológicos.
  • 28.
    ELEVACION DE LATROPONINA – ETIOLOGIA NO ISQUEMICA  Rabdomiolisis – daño cardiaco.  Embolia pulmonar – HTP severa.  Falla renal.  ECV – HSA.  Enfermedad infiltrativa (amiloidosis).  Enfermedad inflamatoria (miocarditis).  Toxicidad drogas – toxinas.
  • 29.
    ELEVACION DE LATROPONINA – ETIOLOGIA NO ISQUEMICA  Contusión o trauma cardiaco (intervención).  ICC.  Disección aortica.  Enfermedad valvular aortica.  Cardiomiopatia hipertrofica.  Arritmias – bloqueo cardiaco.  Discinesia apical transitoria.
  • 30.
    ELEVACION DE LATROPONINA – ETIOLOGIA NO ISQUEMICA  Pacientes críticamente enfermos.  Quemaduras.  Ejercicio extremo.
  • 31.
  • 32.
  • 35.
    DURANTE LAS PRIMERASHORAS-DIAS DEDURANTE LAS PRIMERAS HORAS-DIAS DE PRODUCIRSE UN INFARTO A VECES SEPRODUCIRSE UN INFARTO A VECES SE PRESENTAN COMPLICACIONES , QUEPRESENTAN COMPLICACIONES , QUE PUEDEN SER POTENCIALMENTEPUEDEN SER POTENCIALMENTE LETALESLETALES LA PRESENCIA DELA PRESENCIA DE ARRITMIAS VENTRICULARESARRITMIAS VENTRICULARES O BLOQUEOS DEL CORAZÓNO BLOQUEOS DEL CORAZÓN APARECEN CON BASTANTEAPARECEN CON BASTANTE FRECUENCIA.FRECUENCIA. POR LO GENERAL PUEDENPOR LO GENERAL PUEDEN SER CONTROLADOS CON ELSER CONTROLADOS CON EL USO DE DISPOSITIVOSUSO DE DISPOSITIVOS ESPECIALES:ESPECIALES: DESFIBRILADOR,DESFIBRILADOR, MARCAPASOS …MARCAPASOS … CONSECUENCIAS DEL INFARTO DE MIOCARDIO ICONSECUENCIAS DEL INFARTO DE MIOCARDIO I
  • 36.
    ISQUEMIA: INVERSION ONDAT. LESION: SUPRADESNIVEL ST NECROSIS: SE VISUALIZA ONDA Q MUY AMPLIA
  • 37.
    MANIFESTACIONES EKG IAM CEST Elevación nueva del ST – 2 derivaciones contiguas.  0,2 mV - V2-V3 – hombres.  0,15 mV – V2-V3 – mujeres.  0,1 mV – otras.
  • 38.
    MANIFESTACIONES EKG IAM SEST- AI  Depresión ST nueva horizontal o descendente ≥ 0,05 mV.  Inversión T nueva ≥ 0,1 mV asociado a R prominente.
  • 39.
    Clasificacion de elIM A.: transmural : con onda Q . no transmural : sin onda Q . Descenso persistente de ST en precordiales ( V2-V4): IMA posterior ( imagen en espejo ). Revizar adicionalmante la diapositiva de las derivaciones
  • 41.
    FALSOS POSITIVOS EKG Repolarizacion precoz.  Bloqueo rama izquierda.  Síndrome Brugada.  Pericarditis – miocarditis.  TEP.  HSA.  Hiper K.  Colecistitis.
  • 43.
  • 45.
  • 46.
  • 47.
  • 48.
    • Técnica quepermite reabrir las arterias carótidas obstruidas. •Se lleva a cabo cuando hay una obstrucción del 70 % o mayor. • Se realiza introduciendo un pequeño balón en el sitio del vaso que presenta estrechamiento. • Luego, el balón se infla a presión hasta que la arteria alcance el diámetro normal.
  • 49.
  • 50.
  • 51.
  • 52.
  • 53.
  • 54.
  • 55.
  • 56.
  • 57.
  • 58.
    SC-SEST  IAM SEST. Angina inestable.  Reposo.  Reciente.  Cambio de patrón.
  • 59.
  • 60.
    META TERAPEUTICA  Placapasiva.  Disminuir el riesgo de morir.  Farmacologico.  Estrategia invasiva.
  • 61.
    FACTORES DE ↑RIESGO  Edad.  Factores de riesgo de enfermedad (3).  Enfermedad coronaria conocida.  Numero de episodios.  ASA.  Cambios ST.  Biomarcadores.  Creatinina serica.  Forma presentación.  Disfuncion ventricular izquierda.
  • 62.
    MANEJO FARMACOLOGICO  Nitratos Morfina  Betabloqueadores  iECA-ARA  Anticoagulacion  Antiagregacion  Inhibidores HMG-CoA reductasa
  • 63.
  • 64.
  • 65.
  • 66.
  • 67.
  • 68.
  • 70.
    CASO CLINICO  Pacientede 48 años, que ingresa al servicio de urgencias a las 6:00 AM por presentar dolor precordial irradiado a hombro derecho con nauseas, diaforesis y palidez generalizada, el enfermero toma ekg y enceuntra supradesnivel del segmetno ST en las derivaciones DII, DIII y AVF ordenan iniciar tratamiento para sindrome coronario agudo  Se tomas signos vitales y se obtiene estos resultados: Tensión arterial: 90 / 60 mmHG frecuencia respiratoria: 22 por minuto. frecuencia cardiaca: 116 por minuto.

Notas del editor

  • #14 Figure 2. Fatty-Streak Formation in Atherosclerosis. Fatty streaks initially consist of lipid-laden monocytes and macrophages (foam cells) together with T lymphocytes. Later they are joined by various numbers of smooth-muscle cells. The steps involved in this process include smooth-muscle migration, which is stimulated by platelet-derived growth factor, fibroblast growth factor 2, and transforming growth factor b ; T-cell activation, which is mediated by tumor necrosis factor a , interleukin-2, and granulocyte–macrophage colony-stimulating factor; foamcell formation, which is mediated by oxidized low-density lipoprotein, macrophage colony-stimulating factor, tumor necrosis factor a , and interleukin-1; and platelet adherence and aggregation, which are stimulated by integrins, P-selectin, fibrin, thromboxane A 2 , tissue factor, and the factors described in Figure 1 as responsible for the adherence and migration of leukocytes.
  • #15 Figure 3. Formation of an Advanced, Complicated Lesion of Atherosclerosis. As fatty streaks progress to intermediate and advanced lesions, they tend to form a fibrous cap that walls off the lesion from the lumen. This represents a type of healing or fibrous response to the injury. The fibrous cap covers a mixture of leukocytes, lipid, and debris, which may form a necrotic core. These lesions expand at their shoulders by means of continued leukocyte adhesion and entry caused by the same factors as those listed in Figures 1 and 2. The principal factors associated with macrophage accumulation include macrophage colony-stimulating factor, monocyte chemotactic protein 1, and oxidized low-density lipoprotein. The necrotic core represents the results of apoptosis and necrosis, increased proteolytic activity, and lipid accumulation. The fibrous cap forms as a result of increased activity of platelet-derived growth factor, transforming growth factor b , interleukin-1, tumor necrosis factor a , and osteopontin and of decreased connective-tissue degradation.
  • #16 Figure 4. Unstable Fibrous Plaques in Atherosclerosis. Rupture of the fibrous cap or ulceration of the fibrous plaque can rapidly lead to thrombosis and usually occurs at sites of thinning of the fibrous cap that covers the advanced lesion. Thinning of the fibrous cap is apparently due to the continuing influx and activation of macrophages, which release metalloproteinases and other proteolytic enzymes at these sites. These enzymes cause degradation of the matrix, which can lead to hemorrhage from the vasa vasorum or from the lumen of the artery and can result in thrombus formation and occlusion of the artery.