CARDIOPATIA PULMONAR
”COR PULMONALE”
MAYRA HUEBLA
SEPTIMO A
DEFINICIÓN
Hipertrofia del VD
originado por diferentes
enfermedades que alteran
la función o estructura de
los pulmones
Hipertrofia: alteración
estructural y funcional del
VD
Una forma de HTP debido a
enfermedades que afectan
la estructura o función del
pulmón --> crecimiento
VD, con hipertrofia o
dilatación –> falla VD
EPIDEMIOLOGIA
EPOC)--> causa de
100.000
muerteaño USA
Sexta causa de muerte
en el mundo,
2.211000 víctimas y
2020(3ra causa).
Colombia  6ta
causa de mortalidad
y egreso hospitalario.
Fr: Cor Pulmonale 
15,3%
(cardiovasculares)
TB residual fibrosis y es la
principal causa
Afecta en edades tempranas,
obesidad y la enfermedad
intersticial pulmonar difusa
EPOC es uno de las más importantes
causas de muerte en nuestro medio.
35.1% en el
HPDCh
CLASIFICACIÓN
• 1. Hipertensión arterial pulmonar
• 1.1 Primaria (esporádica o familiar)
• 1.2 Relacionada con enfermedades del colágeno,
medicamentos o VIH.
• 2. Hipertensión venosa pulmonar.
• 2.1 Por enfermedad ventricular izquierda
• 2.2 Por enfermedad valvular izquierda.
• 2.3 Por obstrucción venosa. 2.4 Enfermedad
venosa-oclusiva pulmonar
• 3. Asociada a enfermedad respiratoria o hipoxemia
• 3.1 Enfermedad pulmonar obstructiva crónica
• 3.2 Enfermedad pulmonar intersticial o infiltrativa difusa
• 3.3 Trastornos respiratorios del sueno
• 3.4 Hipoventilación alveolar
• 3.5 Enfermedad crónica de las alturas
• 3.6 Otros
• 4. Enfermedades tromboembólicas
• 4.1 Proximal o central
• 4.2 Obstrucción distal (tromboembólica, cuerpo extraño,
tumoral, parasitaria)
• 5. Enfermedad directa de los vasos pulmonares
• 5.1 Inflamatoria(sarcoidosis, esquistosomiasis)
• 5.2 Hemangiomatosis.
• AGUDA.- HT o sobrecarga del corazón derecho secundar a embolia pulmonar.
• CRÓNICA.- Hipertrofia y dilatación del VD secundaria a hipertensión pulmonar
Enfermedades del parénquima pulmonar o a enfermedades de la circulación
pulmonar
FISIOPATOLOGIA
HTP  cor pulmonale hipoxemia
Vasoconstricción
hipoxia
Remodelación
vascular
Fibrosis
• Intima
• > espesor de la media
• Muscularización
arteriolar
 Estrés celular
 ET, Ang, LGF
 Incp: sints PC y NO
< área vascular pulmonar
• Ac. respiratoria
hipercapnea
• Poliglobulia
> Resistencia Vascular
Pulmonar
Sobrecarga
de VD
Deterioro de
cav. izq
Hipoperfusión
renal
Edema
ETIOLOGIA
Enfermedades intrínsecas
del pulmón y vías aéreas
intrapulmonares:
• EPOC
• Enfermedad intersticial
pulmonar difusa
(autoinmune)
• Neumoconiosis
• Hipertensión pulmonar
primaria
Alteraciones de la caja
torácica:
• Cifoescoliosis
(degenerativa)
• Incompetencia
neuromuscular
• Obesidad excesiva
(síndrome de Puckwick)
Alteraciones de la
ventilación de origen
central:
• Hipoventilación alveolar
primaria o idiopática.
• Hipoxia crónica por
disminución de oxigeno
ambiental (mal de
montaña, crónico)
• Síndrome de apnea del
sueño de etiología
central
CUADRO CLÍNICO Y DIAGNOSTICO
Signos y síntomas
• Disnea
• Fatiga
• Sincope (mal pronostico)
• Dolor precordial (anginoso)
• Isquemia cerebral transitoria
EXAMEN FISICO:
• Reforzamiento II ruido.
• HT acentuada: palpacierre de la sigmoidea pulmonar 2do esp.intercstal
y línea para esternal izquierda
• Chasquido protosistólico pulmonar
• Impulso paraesternal izQ del III Y V espc intrcs izq
• Soplo diastólico decreciente  dilatación del anillo valvular (soplo de
Grahan-Steel) en el foco pulmonar
• Hipertrofia VD  IV ruido.
• Aparición de onda “a” prominente en el pulso yugular.
• Dilatación VD  dilatación del anillo valvular tricúspideo, y ondas “v”
prominentes en el pulso yugular.
• Insuficiencia tricúspidea  pulso hepático sistólico.
• ICD  cardiomegalia, taquicardia, ritmo de galope y signos de
hipertensión venosa sistémica (plétora yugular, hepatomegalia
congestiva y edemas)
METODOS DIAGNOSTICOS
Electrocardiograma:
• Eje de +90 y P Pulmonale.
• Desviación de QRS a la derecha y rotación horaria.
• QRS: – 120 a -150 y S1-S2-S3 en el plano frontal.
• <amplitud (< 0.7 mV) de la onda R en V5 y en V 6.
• < voltajes en el plano frontal.
• Complejo de bajo voltaje en V1 y >voltaje en v2 v3
• Rotación horaria es significativa, ausencia de R (registro QS) en las derivaciones
precordiales derechas simula un infarto de miocardio.
• Pueden: R altas en V1 y en V2
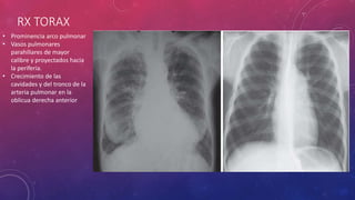
RX TORAX
• Prominencia arco pulmonar
• Vasos pulmonares
parahiliares de mayor
calibre y proyectados hacia
la periferia.
• Crecimiento de las
cavidades y del tronco de la
arteria pulmonar en la
oblicua derecha anterior
ECOCARDIOGRAFIA CATETERISMO
• Corrobora diagnostico de
cardiopatía pulmonar
• Visualiza hipertrofia y dilatación
del VD, dilatación de AD
• sistema doppler se puede calcular
la presión sistólica de la arteria
pulmonar.
• Contraindicaciones especificas para este tipo de estudio.
• El cateterismo cardiaco derecho es el método indicado para
el diagnostico en caso dehipertensión pulmonar grave
TRATAMIENTO Oxigeno
Oxigeno por puntas
nasales durante la
noche (2Lx`)
Broncodilatadoes
Dieta hiposodica y
diuréticos (mejor
diurético “oxigeno”)
Digital: en caso de
falla de VI o
arritmias
• furosemida o
espironolactona

Cardiopatia pulmonar

  • 1.
  • 2.
    DEFINICIÓN Hipertrofia del VD originadopor diferentes enfermedades que alteran la función o estructura de los pulmones Hipertrofia: alteración estructural y funcional del VD Una forma de HTP debido a enfermedades que afectan la estructura o función del pulmón --> crecimiento VD, con hipertrofia o dilatación –> falla VD
  • 3.
    EPIDEMIOLOGIA EPOC)--> causa de 100.000 muerteañoUSA Sexta causa de muerte en el mundo, 2.211000 víctimas y 2020(3ra causa). Colombia  6ta causa de mortalidad y egreso hospitalario. Fr: Cor Pulmonale  15,3% (cardiovasculares) TB residual fibrosis y es la principal causa Afecta en edades tempranas, obesidad y la enfermedad intersticial pulmonar difusa EPOC es uno de las más importantes causas de muerte en nuestro medio. 35.1% en el HPDCh
  • 4.
    CLASIFICACIÓN • 1. Hipertensiónarterial pulmonar • 1.1 Primaria (esporádica o familiar) • 1.2 Relacionada con enfermedades del colágeno, medicamentos o VIH. • 2. Hipertensión venosa pulmonar. • 2.1 Por enfermedad ventricular izquierda • 2.2 Por enfermedad valvular izquierda. • 2.3 Por obstrucción venosa. 2.4 Enfermedad venosa-oclusiva pulmonar • 3. Asociada a enfermedad respiratoria o hipoxemia • 3.1 Enfermedad pulmonar obstructiva crónica • 3.2 Enfermedad pulmonar intersticial o infiltrativa difusa • 3.3 Trastornos respiratorios del sueno • 3.4 Hipoventilación alveolar • 3.5 Enfermedad crónica de las alturas • 3.6 Otros • 4. Enfermedades tromboembólicas • 4.1 Proximal o central • 4.2 Obstrucción distal (tromboembólica, cuerpo extraño, tumoral, parasitaria) • 5. Enfermedad directa de los vasos pulmonares • 5.1 Inflamatoria(sarcoidosis, esquistosomiasis) • 5.2 Hemangiomatosis. • AGUDA.- HT o sobrecarga del corazón derecho secundar a embolia pulmonar. • CRÓNICA.- Hipertrofia y dilatación del VD secundaria a hipertensión pulmonar Enfermedades del parénquima pulmonar o a enfermedades de la circulación pulmonar
  • 5.
    FISIOPATOLOGIA HTP  corpulmonale hipoxemia Vasoconstricción hipoxia Remodelación vascular Fibrosis • Intima • > espesor de la media • Muscularización arteriolar  Estrés celular  ET, Ang, LGF  Incp: sints PC y NO < área vascular pulmonar • Ac. respiratoria hipercapnea • Poliglobulia > Resistencia Vascular Pulmonar Sobrecarga de VD Deterioro de cav. izq Hipoperfusión renal Edema
  • 6.
    ETIOLOGIA Enfermedades intrínsecas del pulmóny vías aéreas intrapulmonares: • EPOC • Enfermedad intersticial pulmonar difusa (autoinmune) • Neumoconiosis • Hipertensión pulmonar primaria Alteraciones de la caja torácica: • Cifoescoliosis (degenerativa) • Incompetencia neuromuscular • Obesidad excesiva (síndrome de Puckwick) Alteraciones de la ventilación de origen central: • Hipoventilación alveolar primaria o idiopática. • Hipoxia crónica por disminución de oxigeno ambiental (mal de montaña, crónico) • Síndrome de apnea del sueño de etiología central
  • 7.
    CUADRO CLÍNICO YDIAGNOSTICO Signos y síntomas • Disnea • Fatiga • Sincope (mal pronostico) • Dolor precordial (anginoso) • Isquemia cerebral transitoria EXAMEN FISICO: • Reforzamiento II ruido. • HT acentuada: palpacierre de la sigmoidea pulmonar 2do esp.intercstal y línea para esternal izquierda • Chasquido protosistólico pulmonar • Impulso paraesternal izQ del III Y V espc intrcs izq • Soplo diastólico decreciente  dilatación del anillo valvular (soplo de Grahan-Steel) en el foco pulmonar • Hipertrofia VD  IV ruido. • Aparición de onda “a” prominente en el pulso yugular. • Dilatación VD  dilatación del anillo valvular tricúspideo, y ondas “v” prominentes en el pulso yugular. • Insuficiencia tricúspidea  pulso hepático sistólico. • ICD  cardiomegalia, taquicardia, ritmo de galope y signos de hipertensión venosa sistémica (plétora yugular, hepatomegalia congestiva y edemas)
  • 8.
    METODOS DIAGNOSTICOS Electrocardiograma: • Ejede +90 y P Pulmonale. • Desviación de QRS a la derecha y rotación horaria. • QRS: – 120 a -150 y S1-S2-S3 en el plano frontal. • <amplitud (< 0.7 mV) de la onda R en V5 y en V 6.
  • 9.
    • < voltajesen el plano frontal. • Complejo de bajo voltaje en V1 y >voltaje en v2 v3 • Rotación horaria es significativa, ausencia de R (registro QS) en las derivaciones precordiales derechas simula un infarto de miocardio. • Pueden: R altas en V1 y en V2
  • 10.
    RX TORAX • Prominenciaarco pulmonar • Vasos pulmonares parahiliares de mayor calibre y proyectados hacia la periferia. • Crecimiento de las cavidades y del tronco de la arteria pulmonar en la oblicua derecha anterior
  • 11.
    ECOCARDIOGRAFIA CATETERISMO • Corroboradiagnostico de cardiopatía pulmonar • Visualiza hipertrofia y dilatación del VD, dilatación de AD • sistema doppler se puede calcular la presión sistólica de la arteria pulmonar. • Contraindicaciones especificas para este tipo de estudio. • El cateterismo cardiaco derecho es el método indicado para el diagnostico en caso dehipertensión pulmonar grave
  • 12.
    TRATAMIENTO Oxigeno Oxigeno porpuntas nasales durante la noche (2Lx`) Broncodilatadoes Dieta hiposodica y diuréticos (mejor diurético “oxigeno”) Digital: en caso de falla de VI o arritmias • furosemida o espironolactona