FISIOPATOLOGÍA DEL SHOCK
CARDIOGÉNICO
MED. OMAR M. ROMERO QUINTANA.
MEDICO RESIDENTE
OMS
De acuerdo a la Organización Mundial de la Salud se
estima que para el año 2015 un estimado de 20 millones
de personas fallecerá anualmente por causas
cardiovasculares si no se toman en cuenta las medidas
preventivas en salud
McMurray JJ, Adamopoulos S, Anker SD, Auricchio A, Bohm M, Dickstein et al. ESC guidelines for the diagnosis and
treatment of acute and chronic heart failure 2012:
Bajo
este contexto, el estudio y tratamiento del
infarto del miocardio ha tomado un gran
auge. El estado de choque cardiogénico es la
máxima expresión
de la enfermedad cardiovascular de origen
isquémico por su alta morbi-mortalidad.
INCIDENCIA
El choque cardiogénico es una complicación que se
presenta en el 7% al 10% de todos los casos de infarto
agudo del miocardio.
McMurray JJ, Adamopoulos S, Anker SD, Auricchio A, Bohm M, Dickstein et al. ESC guidelines for the diagnosis and
treatment of acute and chronic heart failure 2012:
Aunque su incidencia se ha estabilizado en los últimos
30 años y la mortalidad ha sido reducida hasta
en un 30 a 50%, esto es debido a la asociación
de una atención médica oportuna que incluye
el restablecimiento del flujo coronario en forma
inmediata y el desarrollo de nuevas tecnologías
en fármacos y dispositivos para su manejo.
¿QUÉ ES SHOCK?
McMurray JJ, Adamopoulos S, Anker SD, Auricchio A, Bohm M, Dickstein et al. ESC guidelines for the diagnosis and
treatment of acute and chronic heart failure 2012:
Causas.
 La principal es debido a un
infarto agudo del miocardio.
 Falla de bomba
 Infarto extenso
 Infarto pequeño en pacientes
con disfunción ventricular
izquierda previa
 Re-infarto
 Expansión del infarto
 Complicaciones mecánicas
 Insuficiencia mitral aguda
secundaria a ruptura del
músculo papilar
 Defectos septales
ventriculares
 Ruptura de la pared libre
 Taponamiento cardiaco
 Infarto ventrículo derecho.
McMurray JJ, Adamopoulos S, Anker SD, Auricchio A, Bohm M, Dickstein et al. ESC guidelines for the diagnosis and
treatment of acute and chronic heart failure 2012:
INFARTO
AGUDO AL
MIOCARDI
O.
INSUFICIENCIA
MITRAL AGUDA
SECUNDARIA A
RUPTURA DEL
MÚSCULO
PAPILAR
FALLA DE
BOMBA
INFARTO
VENTRÍCULO
DERECHO
TAPONAMIEN
TO CARDIACO
CAUSAS.
McMurray JJ, Adamopoulos S, Anker SD, Auricchio A, Bohm M, Dickstein et al. ESC guidelines for the diagnosis and
treatment of acute and chronic heart failure 2012:
DEFINICION:
El choque cardiogénico es definido como
un estado de hipo perfusión tisular
condicionado por disfunción cardiaca, que
es incapaz de satisfacer las demandas
metabólicas del organismo aún con una
precarga corregida.
McMurray JJ, Adamopoulos S, Anker SD, Auricchio A, Bohm M, Dickstein et al. ESC guidelines for the diagnosis and
treatment of acute and chronic heart failure 2012:
El diagnóstico está basado en el
cuadro clínico y el estado
hemodinámico (Tabla 1) siendo
los
datos clínicos más importantes
la hipotensión e hipoperfusión.
HIPOTENCION
Define cuando la presión arterial
sistólica es <90mmHg durante un
tiempo mayor de 30 min o la
necesidad de drogas y/o soporte
mecánico para mantener la presión
arterial sistólica mayor de 90mmHg.
Tomado de Lehmann A, Boldt J. New pharmacologic approaches for the perioperative treatment of
ischemic cardiogenic shock. Journal of Cardiothoracic and Vascular Anesthesia 2014;19:97-108.
HIPOPERFUCION
Los signos de hipo perfusión son la presencia de
extremidades frías, alteración del estado mental,
cianosis, oliguria (<30ml/hr) e insuficiencia
cardiaca.
Estos signos hemodinámicos son una reducción en
el índice cardiaco (<2.2 l/min/m2 con soporte
hemodinámico ó <1.8 l/min/m2 sin soporte
hemodinámico) y un incremento en la presión
capilar pulmonar o presión en cuña de la arteria
pulmonar (>15-18 mmHg)
Tomado de Lehmann A, Boldt J. New pharmacologic approaches for the perioperative treatment of
ischemic cardiogenic shock. Journal of Cardiothoracic and Vascular Anesthesia 2014;19:97-108.
Tomado de Lehmann A, Boldt J. New pharmacologic approaches for the perioperative treatment of
ischemic cardiogenic shock. Journal of Cardiothoracic and Vascular Anesthesia 2014;19:97-108.
PAS:Presión arterial sistólica, FC:frecuencia
cardiaca; IC:índice cardiaco, PCP:presión
capilar pulmonar (presión en cuña de
la arteria pulmonar).
ETIOLOGIA
 Insuficiencia mitral (IM),
 Ruptura del septum
interventricular o de la
pared libre del ventrículo,
insuficiencia aórtica aguda
generalmente producida
por endocarditis bacteriana
y estenosis aórtica severa.
Daño intrínseco de la función contráctil del
músculo cardíaco
más común
Infarto agudo del miocardio
(IAM)
Otras
patologías
•Miocarditis
•cardiomiopatía dilatada
• depresión miocárdica en
shock séptico y como secuela
posterior al paso por la bomba
de circulación extracor- pórea
durante la cirugía
cardiovascular
Problemas mecánicos
Los cambios hemodinámicos que condicionan y
Mantienen en el estado de choque de origen isquémico
son la disfunción diastólica y sistólica debido a una
irrigación sanguínea inadecuada (isquemia y/o infarto)
con llevando una alteración en el balance de la oferta y
demanda metabólica del miocardio.
McMurray JJ, Adamopoulos S, Anker SD, Auricchio A, Bohm M, Dickstein et al. ESC guidelines for the diagnosis and
treatment of acute and chronic heart failure 2012:
La disfunción sistólica resulta en
una disminución del gasto cardiaco y del volumen
latido definido como cantidad de sangre expulsada
por el ventrículo izquierdo en un minuto lo que
condiciona la hipotensión y reduce la presión de
perfusión o llenado de las arterias coronarias
La frecuencia cardiaca se incrementa y se produce la
vasoconstricción, esto secundario a la liberación de
catecolaminas con lo que se incrementa la contractilidad
y el flujo sanguíneo periférico.
Sin embargo, como resultado también se aumenta la
demanda miocárdica de oxígeno y además las
catecolaminas tienen un efecto proarritmogénico y
miocardiotóxico
McMurray JJ, Adamopoulos S, Anker SD, Auricchio A, Bohm M, Dickstein et al. ESC guidelines for the diagnosis and
treatment of acute and chronic heart failure 2012:
Esto
explicaría por qué los agentes inotrópicos y
vasoconstrictores temporalmente mejoran el
gasto cardiaco y la perfusión periférica pero no
interrumpen este círculo vicioso. La disfunción
diastólica condiciona congestión pulmonar y/o
edema pulmonar teniendo como resultado la
hipoxemia. Otra vía que favorece esta manifestación
clínica es la activación de la cascada neurohumoral
que al igual que la vasopresina y la angiotensina II,
se encuentran elevadas en los pacientes con infarto
y estado de choque.
FISIOPATOLOGÍA DEL SHOCK
Los principales componentes de este círculo vicioso que
agrava la isquemia y el estado de bajo gasto cardiaco
son: la taquicardia, la vasoconstricción y la hipoxemia
 La etiología isquémica del choque
 cardiogénico tiene mecanismos diferentes: por
 una oclusión persistente del vaso arterial cuya
 manifestación es el infarto o la persistencia de
 isquemia en vasos con lesiones críticas, por un
 restablecimiento del flujo pero con reoclusión
 del vaso (reinfarto) y en menor proporción el
 daño por reperfusión.
FISIOPATOLOGÍA DEL SHOCK
Según Hochman
El choque cardiogénico está favorecido por el Síndrome de
Respuesta Inflamatoria Sistémica(SRIS).
Durante e inmediatamente después de un infarto el
paciente presenta elevación de la temperatura corporal,
leucocitosis, incremento del complemento, interleucinas,
proteína C reactiva y otros marcadores inflamatorios.
En pacientes con SRIS, los mediadores inflamatorios
activan la enzima óxido nítrico sintetasa lo cual resulta en
niveles altos de Oxido Nítrico.
McMurray JJ, Adamopoulos S, Anker SD, Auricchio A, Bohm M, Dickstein et al. ESC guidelines for the diagnosis and
treatment of acute and chronic heart failure 2012:
McMurray JJ, Adamopoulos S, Anker SD, Auricchio A, Bohm M, Dickstein et al. ESC guidelines for the diagnosis and
treatment of acute and chronic heart failure 2012:
Fisiopatología del estado de choque
cardiogénico de origen isquémico. En el estado
de choque existe disfunción
ventricular sistólica y diastólica así como
liberación neurohumoral que condicionan
agravamiento de la isquemia y de la falla
cardiaca. SRIS.- Síndrome de respuesta
inflamatoria sistémica, IL-1: interleucina -1, IL-
6: interleucina-6, FNT: factor de
necrosis tumoral, PCR.- proteína C reactiva, NO:
óxido nítrico, PDFVI: presión diastólica final del
ventrículo izquierdo, SRAA:
sistema renina-angiotensina-aldosterona.
Tomado de Reynolds HR, Hochman JS.
Cardiogenic Shock. Current concepts and
DIAGNOSTICO
Signos y sintomas :
Hipotensión arterial, oligo-anuria, taquicardia,
pulsos periféricos disminuidos, alteraciones
electrocardiográficas, dolor precordial,Síncope,
alteraciones cognitivas, Coma.
McMurray JJ, Adamopoulos S, Anker SD, Auricchio A, Bohm M, Dickstein et al. ESC guidelines for the diagnosis and
treatment of acute and chronic heart failure 2012:
DIAGNOSTICO
En los pacientes cuya etiología del choque es el infarto del
miocardio y mas énfasis en ventrículo derecho, las
manifestaciones clínicas pueden variar.
La triada de hipotensión, campos pulmonares limpios e
incremento de la presión venosa yugular sugieren
isquemia/infarto derecho sin embargo, esta triada tiene una
sensibilidad menor al 25%.
McMurray JJ, Adamopoulos S, Anker SD, Auricchio A, Bohm M, Dickstein et al. ESC guidelines for the diagnosis and
treatment of acute and chronic heart failure 2012:
En el contexto de origen isquémico se deberá realizar un
electrocardiograma con las 12 derivaciones de rutina y
derivaciones posteriores y de ventrículo derecho (V7, V8,
V3 y V4).
La demostración de la elevación de 1 mm en V4R el es dato
electrocardiográfico más predictivo en pacientes con
isquemia del ventrículo derecho.
Sin embargo, este hallazgos a diferencia de las derivaciones
para ventrículo izquierdo, es solo transitorio y la mitad de
los pacientes tienen resolución de esta elevación después
de 10 horas de iniciados los síntomas
DIAGNOSTICO
McMurray JJ, Adamopoulos S, Anker SD, Auricchio A, Bohm M, Dickstein et al. ESC guidelines for the diagnosis and
treatment of acute and chronic heart failure 2012:
Fv o bloqueo de 3er grado o ambos =),
desfribilar y cardiovierte
La RX tórax es de utilidad para evaluar las condiciones
cardiacas (forma y tamaño de la silueta cardiaca) y valorar
la congestión pulmonar; como herramienta en el
diagnóstico y seguimiento.
DIAGNOSTICO
McMurray JJ, Adamopoulos S, Anker SD, Auricchio A, Bohm M, Dickstein et al. ESC guidelines for the diagnosis and
treatment of acute and chronic heart failure 2012:
CARDIOMEGALIA
La ecocardiografía deberá realizarse en todos los pacientes
no solo para evaluar las complicaciones mecánicas y la
función ventricular sino también en aquellos pacientes en
quienes los hallazgos no sean concluyentes de la etiología
del estado de choque.
DIAGNOSTICO
TRATAMINETO
El mejor método para prevenir el estado de choque es la
reperfusión temprana. Se considera que se salvan 132 vidas
por 1000 pacientes tratados si se restaura el flujo vascular
en las primeras 4 horas
McMurray JJ, Adamopoulos S, Anker SD, Auricchio A, Bohm M, Dickstein et al. ESC guidelines for the diagnosis and
treatment of acute and chronic heart failure 2012:
TRATAMIENTO INICIAL
 O2 suplementario/VM Acceso venoso
 Monitoreo electrocardiográfico
 Alivio del dolor
 Soporte hemodinámico
 Reto de fluidos en paciente sin congestión pulmonar
 Instalación de acceso venoso central
McMurray JJ, Adamopoulos S, Anker SD, Auricchio A, Bohm M, Dickstein et al. ESC guidelines for the diagnosis and
treatment of acute and chronic heart failure 2012:
 El manejo inicial deberá
 abarcar un monitoreo cardiaco continuo, oximetría
 de pulso, corrección de la hipoxia y acidosis así
 como las alteraciones hidroelectrolíticas,
 adecuados accesos vasculares
TRATAMINETO
Los medicamentos utilizados en el tratamiento del
choque mejoran los síntomas pero solo la restauración del
flujo coronario mejora el pronóstico.
La terapia farmacológica adjunta usualmente está basada en
el uso de catecolaminas y/o Inhibidores de la fosfodiesterasa
(IPD) inotrópicos y vaso activos
McMurray JJ, Adamopoulos S, Anker SD, Auricchio A, Bohm M, Dickstein et al. ESC guidelines for the diagnosis and
treatment of acute and chronic heart failure 2012:
Todas las catecolaminas actúan por
adrenoreceptores localizados en la membrana
mediados por la proteína G y el Monofosfato
Cíclico de Adenosina (AMPc) como segundo
mensajero. Finalmente, las catecolaminas
producen un incremento en el calcio intracelular
en el miocito cardiaco31 y esta sobrecarga puede
favorecer la presencia de arritmias inducidas por
calcio e incrementar las demandas metabólicas
de los miocitos
Optimización de precarga ( Presión capilar 18-20 mmHg)
Evitar que PA baje : (vasopresores)
NA (4 mg en 250 cc D5% >1-100ug/1’)
Adrenalina (4 mg en 250 cc D5%
> 1-4 ug / Kg / 1’ hasta PA > 80 mmHg)
Dopamina : 400 mg en 250 cc D5% >2-20 ug / kg / 1’.
Dobutamina si PAS = 90 mmHg 200 en 250 cc D5%
> 2-20 ug / Kg / 1’
Vasodilatadores a dosis bajas( si resistencia sistémica sigue alta)
NTP Na ó NTG.
Cardioversión eléctrica de urgencia.
Marcapaso transitorio externo con catéter endocavitario.
TRATAMIENTO FARMACOLOGICO
MONITOREO HEMODINAMICO
FUNCIONES VITALES
CATETER SWAN GANZ
LINEA ARTERIAL
AGA
BALON CONTRAPULSACION
SOPORTE MECANICO
 El BALON DE CONTRAPULSACION (BCIA) Es un dispositivo diseñado con la finalidad
del aumento de la perfusion miocardica mejorando los parametros hemodinamicos,
 Es el mecanismo de soporte esencial para estabilizar al paciente y llevarlo a una terapéutica
definitiva de revascularización. Su mecanismo es bombear una cantidad determinada de
gas, (helio)
SISTOLE: Deflación
•Extrae totalmente el contenido de
gas del interior del balón,
produciendo un efecto de vacío,
disminuyendo la PAS, la RVS, la
poscarga y la tensión de la pared
del VI, con lo cual facilita el trabajo
y disminuye el consumo
miocárdico de oxígeno.
•Incrementa el gasto cardiaco
DIASTOLE: Inflación
•Aumento de la presión
diastólica y la presion media
aortica.
•Incrementa la perfusión
coronaria
 al interior del balón en diástole; esto lo hace en forma
sincrónica con el electrocardiograma o la curva de presión
aórtica del paciente para determinar el tiempo de inicio de
la diástole. Posteriormente, en el inicio de la sístole, extrae
totalmente el contenido de gas del interior del balón,
produciendo un efecto de vacío, disminuyendo la PAS, la
RVS, la poscarga y la tensión de la pared del VI, con lo cual
facilita el trabajo y disminuye el consumo miocárdico de
oxígeno. Al producir inflación en diástole, el BCIA
incrementa la presión diastólica y la presión media aórtica.
Existe controversia sobre el aumento del flujo coronario, en
los pacientes con oclusión importante en la arteria
coronaria comprometida. Kern y colaboradores
demostraron, en 19 pacientes con SC, un incremento
importante en la velocidad del flujo coronario con la
inflación del BCIA, siendo de mayor proporción en los
casos con PAS menor de 90 mm Hg (17).Antes de la
introducción del uso de trombolíticos en el IAM, los
•Reduce la postcarga
sistólica.
•Aumenta la presión de
perfusión diastólica.
•Incrementando el GC
•Mejora el flujo coronario, sin
incrementar el consumo
miocárdico de oxígeno
FUNCIONES
BIBLIOGRAFIA:
1. Reporte OMS 2009. Available from: URL: http://www.who.
int/cardiovascular_diseases/en/
2. Hochman JS, Sleeper LA, Webb JG, Sanborn TA, White HD,
Talley JD, et al. Early revascularization in acute myocardial
infarction complicated by cardiogenic shock. N Engl J Med
3. Goldberg RJ, Samad NA, Yarzebski J, Gurwitz J, Bigelow C,
Gore J. Temporal trends in cardiogenic shock complicating
acute myocardial infarction. N Engl J Med 1999;340:1162-8.
4. Webb JG, Sleeper LA, Buller CE, Boland J, Palazzo A, Buller E,
et al. Implications of the timing of onset of cardiogenic
shock after acute myocardial infarction: a report from the
SHOCK Trial Registry. J Am Coll Cardiol 2000 (suppl A);
36:1084-90.
5. Hochman JS. Cardiogenic Shock Complicating
Expo schok
Expo schok
Expo schok

Expo schok

  • 1.
    FISIOPATOLOGÍA DEL SHOCK CARDIOGÉNICO MED.OMAR M. ROMERO QUINTANA. MEDICO RESIDENTE
  • 2.
    OMS De acuerdo ala Organización Mundial de la Salud se estima que para el año 2015 un estimado de 20 millones de personas fallecerá anualmente por causas cardiovasculares si no se toman en cuenta las medidas preventivas en salud McMurray JJ, Adamopoulos S, Anker SD, Auricchio A, Bohm M, Dickstein et al. ESC guidelines for the diagnosis and treatment of acute and chronic heart failure 2012:
  • 3.
    Bajo este contexto, elestudio y tratamiento del infarto del miocardio ha tomado un gran auge. El estado de choque cardiogénico es la máxima expresión de la enfermedad cardiovascular de origen isquémico por su alta morbi-mortalidad.
  • 4.
    INCIDENCIA El choque cardiogénicoes una complicación que se presenta en el 7% al 10% de todos los casos de infarto agudo del miocardio. McMurray JJ, Adamopoulos S, Anker SD, Auricchio A, Bohm M, Dickstein et al. ESC guidelines for the diagnosis and treatment of acute and chronic heart failure 2012:
  • 5.
    Aunque su incidenciase ha estabilizado en los últimos 30 años y la mortalidad ha sido reducida hasta en un 30 a 50%, esto es debido a la asociación de una atención médica oportuna que incluye el restablecimiento del flujo coronario en forma inmediata y el desarrollo de nuevas tecnologías en fármacos y dispositivos para su manejo.
  • 6.
    ¿QUÉ ES SHOCK? McMurrayJJ, Adamopoulos S, Anker SD, Auricchio A, Bohm M, Dickstein et al. ESC guidelines for the diagnosis and treatment of acute and chronic heart failure 2012:
  • 7.
    Causas.  La principales debido a un infarto agudo del miocardio.  Falla de bomba  Infarto extenso  Infarto pequeño en pacientes con disfunción ventricular izquierda previa  Re-infarto  Expansión del infarto  Complicaciones mecánicas  Insuficiencia mitral aguda secundaria a ruptura del músculo papilar  Defectos septales ventriculares  Ruptura de la pared libre  Taponamiento cardiaco  Infarto ventrículo derecho. McMurray JJ, Adamopoulos S, Anker SD, Auricchio A, Bohm M, Dickstein et al. ESC guidelines for the diagnosis and treatment of acute and chronic heart failure 2012:
  • 8.
    INFARTO AGUDO AL MIOCARDI O. INSUFICIENCIA MITRAL AGUDA SECUNDARIAA RUPTURA DEL MÚSCULO PAPILAR FALLA DE BOMBA INFARTO VENTRÍCULO DERECHO TAPONAMIEN TO CARDIACO CAUSAS. McMurray JJ, Adamopoulos S, Anker SD, Auricchio A, Bohm M, Dickstein et al. ESC guidelines for the diagnosis and treatment of acute and chronic heart failure 2012:
  • 9.
    DEFINICION: El choque cardiogénicoes definido como un estado de hipo perfusión tisular condicionado por disfunción cardiaca, que es incapaz de satisfacer las demandas metabólicas del organismo aún con una precarga corregida. McMurray JJ, Adamopoulos S, Anker SD, Auricchio A, Bohm M, Dickstein et al. ESC guidelines for the diagnosis and treatment of acute and chronic heart failure 2012:
  • 10.
    El diagnóstico estábasado en el cuadro clínico y el estado hemodinámico (Tabla 1) siendo los datos clínicos más importantes la hipotensión e hipoperfusión.
  • 11.
    HIPOTENCION Define cuando lapresión arterial sistólica es <90mmHg durante un tiempo mayor de 30 min o la necesidad de drogas y/o soporte mecánico para mantener la presión arterial sistólica mayor de 90mmHg. Tomado de Lehmann A, Boldt J. New pharmacologic approaches for the perioperative treatment of ischemic cardiogenic shock. Journal of Cardiothoracic and Vascular Anesthesia 2014;19:97-108.
  • 12.
    HIPOPERFUCION Los signos dehipo perfusión son la presencia de extremidades frías, alteración del estado mental, cianosis, oliguria (<30ml/hr) e insuficiencia cardiaca. Estos signos hemodinámicos son una reducción en el índice cardiaco (<2.2 l/min/m2 con soporte hemodinámico ó <1.8 l/min/m2 sin soporte hemodinámico) y un incremento en la presión capilar pulmonar o presión en cuña de la arteria pulmonar (>15-18 mmHg) Tomado de Lehmann A, Boldt J. New pharmacologic approaches for the perioperative treatment of ischemic cardiogenic shock. Journal of Cardiothoracic and Vascular Anesthesia 2014;19:97-108.
  • 13.
    Tomado de LehmannA, Boldt J. New pharmacologic approaches for the perioperative treatment of ischemic cardiogenic shock. Journal of Cardiothoracic and Vascular Anesthesia 2014;19:97-108.
  • 14.
    PAS:Presión arterial sistólica,FC:frecuencia cardiaca; IC:índice cardiaco, PCP:presión capilar pulmonar (presión en cuña de la arteria pulmonar).
  • 15.
    ETIOLOGIA  Insuficiencia mitral(IM),  Ruptura del septum interventricular o de la pared libre del ventrículo, insuficiencia aórtica aguda generalmente producida por endocarditis bacteriana y estenosis aórtica severa. Daño intrínseco de la función contráctil del músculo cardíaco más común Infarto agudo del miocardio (IAM) Otras patologías •Miocarditis •cardiomiopatía dilatada • depresión miocárdica en shock séptico y como secuela posterior al paso por la bomba de circulación extracor- pórea durante la cirugía cardiovascular Problemas mecánicos
  • 16.
    Los cambios hemodinámicosque condicionan y Mantienen en el estado de choque de origen isquémico son la disfunción diastólica y sistólica debido a una irrigación sanguínea inadecuada (isquemia y/o infarto) con llevando una alteración en el balance de la oferta y demanda metabólica del miocardio. McMurray JJ, Adamopoulos S, Anker SD, Auricchio A, Bohm M, Dickstein et al. ESC guidelines for the diagnosis and treatment of acute and chronic heart failure 2012:
  • 17.
    La disfunción sistólicaresulta en una disminución del gasto cardiaco y del volumen latido definido como cantidad de sangre expulsada por el ventrículo izquierdo en un minuto lo que condiciona la hipotensión y reduce la presión de perfusión o llenado de las arterias coronarias
  • 18.
    La frecuencia cardiacase incrementa y se produce la vasoconstricción, esto secundario a la liberación de catecolaminas con lo que se incrementa la contractilidad y el flujo sanguíneo periférico. Sin embargo, como resultado también se aumenta la demanda miocárdica de oxígeno y además las catecolaminas tienen un efecto proarritmogénico y miocardiotóxico McMurray JJ, Adamopoulos S, Anker SD, Auricchio A, Bohm M, Dickstein et al. ESC guidelines for the diagnosis and treatment of acute and chronic heart failure 2012:
  • 19.
    Esto explicaría por quélos agentes inotrópicos y vasoconstrictores temporalmente mejoran el gasto cardiaco y la perfusión periférica pero no interrumpen este círculo vicioso. La disfunción diastólica condiciona congestión pulmonar y/o edema pulmonar teniendo como resultado la hipoxemia. Otra vía que favorece esta manifestación clínica es la activación de la cascada neurohumoral que al igual que la vasopresina y la angiotensina II, se encuentran elevadas en los pacientes con infarto y estado de choque.
  • 20.
    FISIOPATOLOGÍA DEL SHOCK Losprincipales componentes de este círculo vicioso que agrava la isquemia y el estado de bajo gasto cardiaco son: la taquicardia, la vasoconstricción y la hipoxemia
  • 21.
     La etiologíaisquémica del choque  cardiogénico tiene mecanismos diferentes: por  una oclusión persistente del vaso arterial cuya  manifestación es el infarto o la persistencia de  isquemia en vasos con lesiones críticas, por un  restablecimiento del flujo pero con reoclusión  del vaso (reinfarto) y en menor proporción el  daño por reperfusión.
  • 22.
    FISIOPATOLOGÍA DEL SHOCK SegúnHochman El choque cardiogénico está favorecido por el Síndrome de Respuesta Inflamatoria Sistémica(SRIS). Durante e inmediatamente después de un infarto el paciente presenta elevación de la temperatura corporal, leucocitosis, incremento del complemento, interleucinas, proteína C reactiva y otros marcadores inflamatorios. En pacientes con SRIS, los mediadores inflamatorios activan la enzima óxido nítrico sintetasa lo cual resulta en niveles altos de Oxido Nítrico. McMurray JJ, Adamopoulos S, Anker SD, Auricchio A, Bohm M, Dickstein et al. ESC guidelines for the diagnosis and treatment of acute and chronic heart failure 2012:
  • 23.
    McMurray JJ, AdamopoulosS, Anker SD, Auricchio A, Bohm M, Dickstein et al. ESC guidelines for the diagnosis and treatment of acute and chronic heart failure 2012:
  • 24.
    Fisiopatología del estadode choque cardiogénico de origen isquémico. En el estado de choque existe disfunción ventricular sistólica y diastólica así como liberación neurohumoral que condicionan agravamiento de la isquemia y de la falla cardiaca. SRIS.- Síndrome de respuesta inflamatoria sistémica, IL-1: interleucina -1, IL- 6: interleucina-6, FNT: factor de necrosis tumoral, PCR.- proteína C reactiva, NO: óxido nítrico, PDFVI: presión diastólica final del ventrículo izquierdo, SRAA: sistema renina-angiotensina-aldosterona. Tomado de Reynolds HR, Hochman JS. Cardiogenic Shock. Current concepts and
  • 25.
    DIAGNOSTICO Signos y sintomas: Hipotensión arterial, oligo-anuria, taquicardia, pulsos periféricos disminuidos, alteraciones electrocardiográficas, dolor precordial,Síncope, alteraciones cognitivas, Coma. McMurray JJ, Adamopoulos S, Anker SD, Auricchio A, Bohm M, Dickstein et al. ESC guidelines for the diagnosis and treatment of acute and chronic heart failure 2012:
  • 26.
    DIAGNOSTICO En los pacientescuya etiología del choque es el infarto del miocardio y mas énfasis en ventrículo derecho, las manifestaciones clínicas pueden variar. La triada de hipotensión, campos pulmonares limpios e incremento de la presión venosa yugular sugieren isquemia/infarto derecho sin embargo, esta triada tiene una sensibilidad menor al 25%. McMurray JJ, Adamopoulos S, Anker SD, Auricchio A, Bohm M, Dickstein et al. ESC guidelines for the diagnosis and treatment of acute and chronic heart failure 2012:
  • 27.
    En el contextode origen isquémico se deberá realizar un electrocardiograma con las 12 derivaciones de rutina y derivaciones posteriores y de ventrículo derecho (V7, V8, V3 y V4). La demostración de la elevación de 1 mm en V4R el es dato electrocardiográfico más predictivo en pacientes con isquemia del ventrículo derecho. Sin embargo, este hallazgos a diferencia de las derivaciones para ventrículo izquierdo, es solo transitorio y la mitad de los pacientes tienen resolución de esta elevación después de 10 horas de iniciados los síntomas DIAGNOSTICO McMurray JJ, Adamopoulos S, Anker SD, Auricchio A, Bohm M, Dickstein et al. ESC guidelines for the diagnosis and treatment of acute and chronic heart failure 2012:
  • 28.
    Fv o bloqueode 3er grado o ambos =), desfribilar y cardiovierte
  • 29.
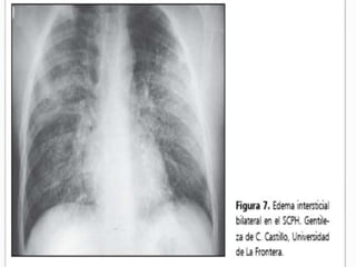
    La RX tóraxes de utilidad para evaluar las condiciones cardiacas (forma y tamaño de la silueta cardiaca) y valorar la congestión pulmonar; como herramienta en el diagnóstico y seguimiento. DIAGNOSTICO McMurray JJ, Adamopoulos S, Anker SD, Auricchio A, Bohm M, Dickstein et al. ESC guidelines for the diagnosis and treatment of acute and chronic heart failure 2012:
  • 30.
  • 32.
    La ecocardiografía deberárealizarse en todos los pacientes no solo para evaluar las complicaciones mecánicas y la función ventricular sino también en aquellos pacientes en quienes los hallazgos no sean concluyentes de la etiología del estado de choque. DIAGNOSTICO
  • 33.
    TRATAMINETO El mejor métodopara prevenir el estado de choque es la reperfusión temprana. Se considera que se salvan 132 vidas por 1000 pacientes tratados si se restaura el flujo vascular en las primeras 4 horas McMurray JJ, Adamopoulos S, Anker SD, Auricchio A, Bohm M, Dickstein et al. ESC guidelines for the diagnosis and treatment of acute and chronic heart failure 2012:
  • 34.
    TRATAMIENTO INICIAL  O2suplementario/VM Acceso venoso  Monitoreo electrocardiográfico  Alivio del dolor  Soporte hemodinámico  Reto de fluidos en paciente sin congestión pulmonar  Instalación de acceso venoso central McMurray JJ, Adamopoulos S, Anker SD, Auricchio A, Bohm M, Dickstein et al. ESC guidelines for the diagnosis and treatment of acute and chronic heart failure 2012:
  • 35.
     El manejoinicial deberá  abarcar un monitoreo cardiaco continuo, oximetría  de pulso, corrección de la hipoxia y acidosis así  como las alteraciones hidroelectrolíticas,  adecuados accesos vasculares
  • 36.
    TRATAMINETO Los medicamentos utilizadosen el tratamiento del choque mejoran los síntomas pero solo la restauración del flujo coronario mejora el pronóstico. La terapia farmacológica adjunta usualmente está basada en el uso de catecolaminas y/o Inhibidores de la fosfodiesterasa (IPD) inotrópicos y vaso activos McMurray JJ, Adamopoulos S, Anker SD, Auricchio A, Bohm M, Dickstein et al. ESC guidelines for the diagnosis and treatment of acute and chronic heart failure 2012:
  • 37.
    Todas las catecolaminasactúan por adrenoreceptores localizados en la membrana mediados por la proteína G y el Monofosfato Cíclico de Adenosina (AMPc) como segundo mensajero. Finalmente, las catecolaminas producen un incremento en el calcio intracelular en el miocito cardiaco31 y esta sobrecarga puede favorecer la presencia de arritmias inducidas por calcio e incrementar las demandas metabólicas de los miocitos
  • 38.
    Optimización de precarga( Presión capilar 18-20 mmHg) Evitar que PA baje : (vasopresores) NA (4 mg en 250 cc D5% >1-100ug/1’) Adrenalina (4 mg en 250 cc D5% > 1-4 ug / Kg / 1’ hasta PA > 80 mmHg) Dopamina : 400 mg en 250 cc D5% >2-20 ug / kg / 1’. Dobutamina si PAS = 90 mmHg 200 en 250 cc D5% > 2-20 ug / Kg / 1’ Vasodilatadores a dosis bajas( si resistencia sistémica sigue alta) NTP Na ó NTG. Cardioversión eléctrica de urgencia. Marcapaso transitorio externo con catéter endocavitario. TRATAMIENTO FARMACOLOGICO
  • 39.
    MONITOREO HEMODINAMICO FUNCIONES VITALES CATETERSWAN GANZ LINEA ARTERIAL AGA BALON CONTRAPULSACION
  • 40.
    SOPORTE MECANICO  ElBALON DE CONTRAPULSACION (BCIA) Es un dispositivo diseñado con la finalidad del aumento de la perfusion miocardica mejorando los parametros hemodinamicos,  Es el mecanismo de soporte esencial para estabilizar al paciente y llevarlo a una terapéutica definitiva de revascularización. Su mecanismo es bombear una cantidad determinada de gas, (helio) SISTOLE: Deflación •Extrae totalmente el contenido de gas del interior del balón, produciendo un efecto de vacío, disminuyendo la PAS, la RVS, la poscarga y la tensión de la pared del VI, con lo cual facilita el trabajo y disminuye el consumo miocárdico de oxígeno. •Incrementa el gasto cardiaco DIASTOLE: Inflación •Aumento de la presión diastólica y la presion media aortica. •Incrementa la perfusión coronaria
  • 41.
     al interiordel balón en diástole; esto lo hace en forma sincrónica con el electrocardiograma o la curva de presión aórtica del paciente para determinar el tiempo de inicio de la diástole. Posteriormente, en el inicio de la sístole, extrae totalmente el contenido de gas del interior del balón, produciendo un efecto de vacío, disminuyendo la PAS, la RVS, la poscarga y la tensión de la pared del VI, con lo cual facilita el trabajo y disminuye el consumo miocárdico de oxígeno. Al producir inflación en diástole, el BCIA incrementa la presión diastólica y la presión media aórtica. Existe controversia sobre el aumento del flujo coronario, en los pacientes con oclusión importante en la arteria coronaria comprometida. Kern y colaboradores demostraron, en 19 pacientes con SC, un incremento importante en la velocidad del flujo coronario con la inflación del BCIA, siendo de mayor proporción en los casos con PAS menor de 90 mm Hg (17).Antes de la introducción del uso de trombolíticos en el IAM, los
  • 42.
    •Reduce la postcarga sistólica. •Aumentala presión de perfusión diastólica. •Incrementando el GC •Mejora el flujo coronario, sin incrementar el consumo miocárdico de oxígeno FUNCIONES
  • 43.
    BIBLIOGRAFIA: 1. Reporte OMS2009. Available from: URL: http://www.who. int/cardiovascular_diseases/en/ 2. Hochman JS, Sleeper LA, Webb JG, Sanborn TA, White HD, Talley JD, et al. Early revascularization in acute myocardial infarction complicated by cardiogenic shock. N Engl J Med 3. Goldberg RJ, Samad NA, Yarzebski J, Gurwitz J, Bigelow C, Gore J. Temporal trends in cardiogenic shock complicating acute myocardial infarction. N Engl J Med 1999;340:1162-8. 4. Webb JG, Sleeper LA, Buller CE, Boland J, Palazzo A, Buller E, et al. Implications of the timing of onset of cardiogenic shock after acute myocardial infarction: a report from the SHOCK Trial Registry. J Am Coll Cardiol 2000 (suppl A); 36:1084-90. 5. Hochman JS. Cardiogenic Shock Complicating