MEDULOBLASTOMA
Centro Medico Adolfo López Mateos
NEUROCIRUGIA
GABRIEL IBARRA TRUJILLO
12.02.15
INTRODUCCION
• Representa el 7 % todos los tumores cerebrales.
• Son el tipo más común de tumor primario
del SNC de la fosa posterior en la edad
pediátrica. 25%.
• Pico incidencia 5 – 6 años.
• 0,4 % -1 % de todos los tumores SNC del
adulto.
• Masculino
Schmidek and Sweet Operative Neurosurgical Techniques
HISTORIA
• Descrita por primera vez por Harvey Cushing y Percival Bailey
en 1930
• Inicialmente descrito como
" espongioblastoma cerebelli "
- Un tumor blando, normalmente surge
en el vermis del cerebelo -
• En 1925 , cambió el nombre a
meduloblastoma
SINTOMAS Y SIGNOS
• Los lactantes con suturas craneales abiertas tienen irritabilidad
, anorexia y macrocefalia.
• Hidrocefalia No comunicante
• Tríada clásica:
- Dolor de cabeza.
- Náuseas y / o vómitos.
- Edema de papila.
• Sutiles cambios en la personalidad,
la actividad mental y / o del habla.
• Signos de Parinaud
• Sindrome cerebeloso
• Ataxia, disdiadococinesia, dismetria,
hipotonia, disartria, Nistagmus.
SINTOMAS Y SIGNOS
NIÑOS - ADULTOS
Usualmente 4-8 años Mediana edad: 24-30 años
HC < 3 meses HC > 5 meses
Tipo clásico Tipo Desmoplasico
Sind cerebeloso vermiano Sind cerebelos hemisferico
Reseccion mas pobre Resecciones
completas
> morb-mort Qx < morb-mort Qx
Peor tolerancia RT Mejor tolerancia RT
Menor sobrevida Mejor sobrevida
HISTORIA NATURAL
Con origen en el vermis cerebeloso
línea media
( techo del cuarto ventrículo)
Crecimiento en el
cuarto ventrículo
Diseminación extra Neural
La prevalencia global de metástasis 7,1 % de los pacientes - Rochkind et
al
Resultados:
• Hueso ( 37 %)
• escleróticas ( 33 %)
• ganglios linfáticos ( 23 %)
• Hígado ( 15 %)
• De pulmón ( 11 %)
• muscular ( 2 %)
Mets DVP : Rara después de la incorporación de filtro Millipore a
principios de 1970
Origen
• Células remanentes fetales de las capas granulares externas
del cerebelo
PATOLOGIA
• Grisáceo - color de rosa
• Circunscrito
• Consistencia suave
• Granular
• Pequeñas áreas de necrosis
presente
• Calcificación poco común.
Variante Desmoplásico :
• Apariencia más firme
• Color más oscuro.
PATOLOGIA
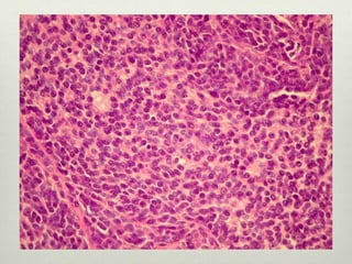
Microscópicamente
• Tumor altamente celular
• Nucleo:
" En forma de zanahoria ”
• Las células dispuestas en rosetas Homer-Wright
• Múltiples subtipos histológicos
Medciclopedia
agrupación esférica de células tumorales de color oscuro alrededor de un área
central pálida eosinófila que contiene neurofibrillas. Se encuentra en algunos
meduloblastomas, neuroblastomas, y retinoblastomas
ilustración
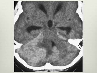
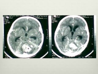
Tomografía
• Hiperdensa , bien definida vermiana o en hemisferio
cerebeloso
• Edema vasogénico
• Compresion IV Ventriculo
• Evidencia de la hidrocefalia
• Realce de contraste homogéneo
• La formación de quistes ( 59 % de los
casos)
• La calcificación - infrecuente
Resonancia
• Iso hipointensa en T1
• Hiperintensa en T2
• Heterogénea al medio de contraste
Diseminación leptomeningea
• La médula espinal - sitio más común.
• La mayoría de las metástasis se
encuentran a lo largo del borde
posterior de la médula espinal.
• Flujo del LCR de cisterna magna
al margen posterior de la
médula espinal
Tratamiento
Enfoque Operativo: Craniectomia suboccipital.
Posición: decúbito prono " posición Concorde ”
Masa tumoral es a menudo suave , carnoso y vascular -
característicamente
” succionable ”
Definiciones de resección :
 90 % : total o casi total
 51 a 90 % : la resección subtotal
 11 - 50 % : resección parcial
 < 10 % : Biopsia
MAL PRONOSTICO
Tratamiento
Menores de 3 años:
 Evitar Radioterapia cráneo espinal.
QUMIOTERAPIA
Multifarmacológicos, con sustancias como
ciclofosfamida, etopósido, cisplatino y
vincristina, con metotrexato intravenoso
simultáneo en dosis altas.
metotrexato intratecal o mafosfamida, o
metotrexato intraventricular.
Tratamiento
Mayores de 3 años:
 Radioterapia cráneo espinal.
GENERALMENTE 36 Gy
 GRACIAS.

Meduloblastoma

  • 1.
    MEDULOBLASTOMA Centro Medico AdolfoLópez Mateos NEUROCIRUGIA GABRIEL IBARRA TRUJILLO 12.02.15
  • 2.
    INTRODUCCION • Representa el7 % todos los tumores cerebrales. • Son el tipo más común de tumor primario del SNC de la fosa posterior en la edad pediátrica. 25%. • Pico incidencia 5 – 6 años. • 0,4 % -1 % de todos los tumores SNC del adulto. • Masculino Schmidek and Sweet Operative Neurosurgical Techniques
  • 3.
    HISTORIA • Descrita porprimera vez por Harvey Cushing y Percival Bailey en 1930 • Inicialmente descrito como " espongioblastoma cerebelli " - Un tumor blando, normalmente surge en el vermis del cerebelo - • En 1925 , cambió el nombre a meduloblastoma
  • 6.
    SINTOMAS Y SIGNOS •Los lactantes con suturas craneales abiertas tienen irritabilidad , anorexia y macrocefalia. • Hidrocefalia No comunicante • Tríada clásica: - Dolor de cabeza. - Náuseas y / o vómitos. - Edema de papila. • Sutiles cambios en la personalidad, la actividad mental y / o del habla. • Signos de Parinaud
  • 7.
    • Sindrome cerebeloso •Ataxia, disdiadococinesia, dismetria, hipotonia, disartria, Nistagmus. SINTOMAS Y SIGNOS
  • 8.
    NIÑOS - ADULTOS Usualmente4-8 años Mediana edad: 24-30 años HC < 3 meses HC > 5 meses Tipo clásico Tipo Desmoplasico Sind cerebeloso vermiano Sind cerebelos hemisferico Reseccion mas pobre Resecciones completas > morb-mort Qx < morb-mort Qx Peor tolerancia RT Mejor tolerancia RT Menor sobrevida Mejor sobrevida
  • 9.
    HISTORIA NATURAL Con origenen el vermis cerebeloso línea media ( techo del cuarto ventrículo) Crecimiento en el cuarto ventrículo
  • 10.
    Diseminación extra Neural Laprevalencia global de metástasis 7,1 % de los pacientes - Rochkind et al Resultados: • Hueso ( 37 %) • escleróticas ( 33 %) • ganglios linfáticos ( 23 %) • Hígado ( 15 %) • De pulmón ( 11 %) • muscular ( 2 %) Mets DVP : Rara después de la incorporación de filtro Millipore a principios de 1970
  • 11.
    Origen • Células remanentesfetales de las capas granulares externas del cerebelo
  • 12.
    PATOLOGIA • Grisáceo -color de rosa • Circunscrito • Consistencia suave • Granular • Pequeñas áreas de necrosis presente • Calcificación poco común.
  • 14.
    Variante Desmoplásico : •Apariencia más firme • Color más oscuro. PATOLOGIA
  • 16.
    Microscópicamente • Tumor altamentecelular • Nucleo: " En forma de zanahoria ” • Las células dispuestas en rosetas Homer-Wright • Múltiples subtipos histológicos
  • 18.
    Medciclopedia agrupación esférica decélulas tumorales de color oscuro alrededor de un área central pálida eosinófila que contiene neurofibrillas. Se encuentra en algunos meduloblastomas, neuroblastomas, y retinoblastomas ilustración
  • 26.
    Tomografía • Hiperdensa ,bien definida vermiana o en hemisferio cerebeloso • Edema vasogénico • Compresion IV Ventriculo • Evidencia de la hidrocefalia • Realce de contraste homogéneo • La formación de quistes ( 59 % de los casos) • La calcificación - infrecuente
  • 29.
    Resonancia • Iso hipointensaen T1 • Hiperintensa en T2 • Heterogénea al medio de contraste
  • 30.
    Diseminación leptomeningea • Lamédula espinal - sitio más común. • La mayoría de las metástasis se encuentran a lo largo del borde posterior de la médula espinal. • Flujo del LCR de cisterna magna al margen posterior de la médula espinal
  • 32.
    Tratamiento Enfoque Operativo: Craniectomiasuboccipital. Posición: decúbito prono " posición Concorde ” Masa tumoral es a menudo suave , carnoso y vascular - característicamente ” succionable ” Definiciones de resección :  90 % : total o casi total  51 a 90 % : la resección subtotal  11 - 50 % : resección parcial  < 10 % : Biopsia
  • 33.
  • 34.
    Tratamiento Menores de 3años:  Evitar Radioterapia cráneo espinal. QUMIOTERAPIA Multifarmacológicos, con sustancias como ciclofosfamida, etopósido, cisplatino y vincristina, con metotrexato intravenoso simultáneo en dosis altas. metotrexato intratecal o mafosfamida, o metotrexato intraventricular.
  • 35.
    Tratamiento Mayores de 3años:  Radioterapia cráneo espinal. GENERALMENTE 36 Gy
  • 36.