Curso
                       Bianual
            de Clínica        Médica
           PERICARDIOPATIAS

               Dra Karina Ramos


Facultad de Cs. Médicas. Universidad Nacional de Rosario
                             SERVICIO DE CARDIOLOGÍA - HOSPITAL CENTERNARIO
Pericardio

                  Saco fibroso

 Hoja Visceral                      Hoja Parietal
Células mesoteliales           Fibras de colágeno y elastina


                  Cavidad Pericárdica
                       15 a 50 ml
Pericardio
                             Funciones
Limita la dilatación aguda del corazón

Limita el movimiento excesivo del corazón en el torax

Optimiza la forma cardiaca

Balancea el gasto cardiaco derecho e izquierdo
(acoplamiento ventricular)

Previene la propagación de infecciones al corazón

Previene la propagación de neoplasias adyacentes
                                         Heart 2007;93:993–1000
Enfermedades del pericardio
•   Alteraciones congénitas
•   Pericarditis Seca- efusiva-efusivoconstrictiva-constrictiva
•   Neoplasis
•   Quistes

                         Pericarditis aguda
                            Derrame pericárdico
                           Taponamiento Cardíaco
                      Pericarditis Constrictiva
                        Pericardial diseases. Guidelines ESC 2004
Pericarditis aguda
Sme clínico debido a la inflamación del pericardio
  se caracteriza por :
• Dolor torácico
• Frote pericárdico
• Alteraciones electrocardiográficas evolutivas

Para establecer el diagnóstico se requiere al menos 2
  de los 3 criterios

                    Pericardial diseases. Guidelines ESC 2004
Pericarditis aguda
Sme clínico debido a la inflamación del pericardio
  se caracteriza por :
• Dolor torácico
• Frote pericárdico
• Alteraciones electrocardiográficas evolutivas
• Derrame pericárdico

Para establecer el diagnóstico se requiere al menos 2
  de los 4 criterios

                      Mayo Clinic Proc 2010;85(6):572-593
Miopericarditis
Compromiso predominantemente pericárdico con
  inflamación miocárdica asociada.

Clínicamente:
 Diagnóstico definitivo de Pericarditis Aguda
  + evidencia de daño miocárdico.
         (aumento de enzimas cardíacas o trastornos
  difusos o segmentarios en la motilidad parietal)


                      Mayo Clinic Proc 2010;85(6):572-593
Pericarditis aguda
         Dolor Torácico             Frote Pericárdico


           Inicio súbito                  85 %
           Retroesternal               inconstante
            Pleurítico                50% trifásico
Irradiado a MSI /hombro/ trapecio      1/3 bifásico
         Mejora sentado             Resto monofásico
        Empeora acostado
Pericarditis Aguda
                                ECG




4 Fases.   I Supradesnivel de ST e infradesnivel del PR   En el 80%
           II Nivelación del ST y del PR
           III Negativización de la onda T
           IV Normalización de la onda T
Pericarditis Aguda
Estadios electrocardiográficos
17 % de todos los pacientes con
pericarditis aguda son sometidos
a un cateterismo cardíaco precoz




              Mayo Clinic Proc 2009;84(1):11-15
Diagnóstico Diferencial
                  ECG infarto/pericarditis

         Infarto Agudo                Pericarditis Aguda


   Morfología del ST (convexo)      Morfología del ST (cóncava)
      Asociación con onda Q          No se asocia con onda Q
En relación con arteria responsable      Cambios difusos
    No se asocia a Infra del PR      Se asocia a Infra del PR
    Cambios evolutivos típicos      Cambios evolutivos típicos
REPOLARIZACIÓN PRECOZ
DD. Localización / no hay infra del PR / no presenta cambios evolutivos
Pericarditis Aguda
            DD con repolarización precoz

Relación de la altura del supradesnivel con la altura de la onda T
         En derivación V6 . VPP y VPN 100% > 0,24




                                             3.5 / 8 = 0,43
             3.5 mm 8 mm
CLASE DE RECOMENDACION
• CLASE I- evidencia o acuerdo general a favor que la
  practica o la intervención es útil o beneficiosa.-

• CLASE II- evidencia conflictiva y/o opinión divergente
  acerca de la utilidad y/o beneficio de la practica o la
  intervención
    IIa peso de la evidencia/opinión a favor de la utilidad y/o beneficioso
    IIb la utilidad y/o beneficio esta menos establecida


• CLASE III- evidencia / acuerdo general que la practica o
  intervención no es útil o efectiva. En algunos casos puede
  ser perjudicial
Nivel de Evidencia

• Nivel de evidencia A. múltiplos estudios
  randomizados o metaanálisis

• Nivel de evidencia B. un estudio randomizado
  simple o un gran estudio no randomizado.

• Nivel de evidencia C. consenso u opinión de
  expertos
Pericarditis aguda
                    evaluación
(Nivel de evidencia B para todos los procedimientos)

Obligatorio (Clase I)
- Auscultación
- ECG
- Ecocardiograma
- Rx torax
- Análisis de sangre (Leucocitos-VES-PCR-troponinas)


                    Pericardial diseases. Guidelines ESC 2004
Resonancia Magnética




    J Am Coll Cardiol Img 2010;3:650 – 60
      J Am Coll Cardiol Img 2010;3:650 – 60
Resonancia Magnética




El método más sensible para el diagnóstico de Pericarditis Aguda
           es el realce tardío con gadolineo en la RMI

                        J Am Coll Cardiol Img 2010;3:650 – 60
Pericarditis aguda
                    evaluación
(Nivel de evidencia B para todos los procedimientos)

 Opcional o si los otros tests no son conclusivos
  (Clase IIb)
- RMI
- TAC
- Pericardioscopia- biopsia de pericardio




                    Pericardial diseases. Guidelines ESC 2004
Mayo Clinic Proc 2010;85(6):572-593
Pericarditis Aguda

 Puede ocurrir como una entidad aislada o
ser el resultado de una enfermedad sistémica



      9 de cada 10 PA la etiología es
            Viral y/o idiopática
Pericarditis aguda
                        etiología
- Idiopática
- Infecciones (viral-bacterias- TBC- hongos)
- Uremia
- Infarto de Miocardio
- Neoplasias
                                             - LES
- Radiación torácica                         -Esclerodermia
- Enfermedades sistémicas autoinmunes -Artritis reumatoide
- Injuria cardíaca                           -Spondilitis anquilosante
                                                 -Periarteritis nodosa
                                                 -Sme de Reiter



                                        Circulation 2006;113:1622-1632
Pericarditis Aguda idiopática
         y / o viral


     Diagnóstico por exclusión

           Antecedentes

          Evaluación inicial
Pericarditis Aguda idiopática
           y / o viral


         Diagnóstico por exclusión
Irradiación
    reciente o remota
    cáncer de mama o linfoma
Pericarditis Aguda idiopática
           y / o viral


        Diagnóstico por exclusión
Neoplasias
  Síndrome de impregnación
  Cáncer de mama-pulmón-linfoma-leucemias
  Casi constantemente se asocia a derrame
Pericarditis Aguda idiopática
               y / o viral


                Diagnóstico por exclusión
Infarto de miocardio
                  - Epiestenocárdica (precoz -           compromiso
transmural - síntomas poco expresivos - ECG confuso - frote inconstante)
                       - Sme de Dressler (tardío- autoinmune
síntomas floridos de pleuropericarditis)
Pericarditis Aguda idiopática
            y / o viral


          Diagnóstico por exclusión
Pericardiectomía.
   manipulación del pericardio
   autoinmune
Pericarditis Aguda idiopática
            y / o viral


           Diagnóstico por exclusión

Pericarditis Purulenta
   fiebre > 38 °
   infección en otra localización
   GB muy elevados
Pericarditis Aguda idiopática
             y / o viral


           Diagnóstico por exclusión

Pericarditis Tuberculosa
   foco (+)
   esputo hemoptoico
   infiltrado en la placa
Pericarditis Aguda idiopática
            y / o viral


          Diagnóstico por exclusión

                      azoemia
Insuficiencia Renal   asociada a diálisis
                      rechazo de TR
Pericarditis Aguda idiopática
             y / o viral


          Diagnóstico por exclusión

Enfermedades inmunológicas
  mujeres de edad media
  síntomas reumatológicos
Actitud terapéutica
         PERICARDITIS AGUDA
       VIRAL o
                              ESPECIFICA
     IDIOPATICA

No requiere otros estudios   Estudios ulteriores


   Calmar el dolor y           Tratamiento
     Resolver la                específico
     inflamación
Actitud terapéutica
    Pericarditis viral-pericarditis aguda idiopática-
                Sme de Dressler o Sme postpericardiotomía



       Internación ? - Restringir la actividad física




            AINES                                  Colchicina
      (evidencia B, clase I)                   (evidencia B, clase IIa)



     Aspirina 2 a 4 g/dia                           0,5 mg/12 h
Ibuprofeno 1600 a 3200 mg/dia
Indometacina 75 a 225 mg/dia
                               Pericardial diseases. Guidelines ESC 2004
Randomized
                                (n=120)

      Conventional                               Conventional
       treatment                             Treatment + Colchicina
           (n=60)                                        (n=60)

AAS 800 mg every 6 or 8 hours             Plus Colchicine 1 to 2 mg first day
       7 to 10 days.                      Maintenance dose of 0.5 to 1 mg
   Tapering over 3 to 4 w                        daily for 3 months
La terapia inicial incluye aspirina (650 a 975 mg c/6 a 8 hs) y
   Colchicina (2 g inicialmente y posteriormente 1 g/día).
 Además se sugieren inhibidores de la bomba de protones
 para mejorar la tolerancia de la aspirina. Y restricción de la
            actividad física mientras dure el dolor.-


  Aún cuando el dolor responda prontamente la terapia con
aspirina continúa por 4 semanas y colchicina por 3 meses
     para minimizar el riesgo de pericarditis recurrente.

                                   Circulation 2006;113:1622-1632
Tratamiento
                 Pericarditis Aguda
 • A
AINE. Aspirina- ibuprofeno – Indometazina

Recomienda Colchicina para todos los pacientes
en el primer episodio, especialmente sin no
respondieron al tratamiento durante una semana
con un AINE. (por 4 a 6 semanas)

Enfatizan los efectos adversos de la colchicina.
(Diarrea- depresión de la medula ósea- hepatotoxicidad-
Miotoxicidad. Contraindicado en la IR. Interacción P450)

                             Mayo Clinic Proc 2010;85(6):572-593
Se debe internar a todo paciente
      con diagnóstico de
      Pericarditis Aguda?
JACC Vol. 43, No. 6, 2004
JACC Vol. 43, No. 6, 2004
PREDICTORES
         DE MAL PRONOSTICO
•   Tº > 38 grados
•   Síntomas de inicio subagudo
•   Estados de Inmunosupresión
•   Trauma
•   Compromiso miocárdico
•   Tratamiento con anticoagulantes
•   Derrame severo (> 20 mm) o
•   Taponamiento cardíaco
                                JACC Vol. 43, No. 6, 2004
Mayo Clinic Proc 2010;85(6):572-593
Pericarditis aguda


       Paciente recuperado


          SEGUIMIENTO



Riesgo de Recurrencia y Constricción
> de 50 ml de liquido pericárdico

    Trasudado (Hidropericardio)
             Exudado
           Piopericardio
          Hemopericardio
Derrame Pericárdico
              Demostrar la presencia

• Los signos clínicos son relativamente
  insensibles e inespecíficos en ausencia de
  taponamiento


      Ruidos cardíacos hipofonéticos (grandes derrames)
Derrame Pericárdico
              Demostrar la presencia

• ECG. Complejos de bajo voltaje
         QRS ≤ 5 mm en derivaciones de los
  miembros

   (Alternancia eléctrica y taquicardia sinusal en TC)
Derrame Pericárdico
  Demostrar la presencia
Derrame Pericárdico
       Demostrar la presencia


El ecocardiograma es el principal
       método diagnóstico
Ecocardiograma en el
Derrame Pericárdico
Ecocardiograma
   Cuantificación del Derrame Pericárdico
        Modo M. Criterios de Weitzman
Considera la suma de espacios libres de ecos entre
 sacos anterior y posterior en la telediástole.

• Ligero: Suma inferior a 10 mm
• Moderado: Suma entre 10 y 19 mm
• Severo: Suma 20 mm o más
RMI / TAC




Indicado en derrames localizados / loculados
            mala ventana ultrasónica
Derrame Pericárdico
                moderado - severo



Asintomático u
                             Shock
Oligosintomático
                               Instauración
 Instauración
                             brusca
     lenta
Derrame Pericárdico
   moderado o severo




      Evaluar
    Compromiso
   Hemodinámico
Taponamiento Cardíaco


      Sindrome Clínico-hemodinámico
    debido a la compresión del corazón
por derrame pericárdico moderado a severo
Taponamiento cardíaco
    Criterios diagnósticos


  • Ingurgitación yugular

  • Hipotensión arterial

  • Pulso paradojal
PULSO PARADOJICO


                                Signo incipiente de
                              Taponamiento Cardíaco




Disminución de la PAS > 10 mmHg en inspiración
Taponamiento
    Cardíaco



   Taponamiento
  Ecocardiográfico



   Taponamiento
   Hemodinámico


Derrame pericárdico
Ecocardiograma
               Taponamiento Cardíaco
    El signo más característico es el colapso de las cavidades
    cardíacas que puede apreciarse por modo M o bidimensional
• Colapso AD
• Colapso diastolico del VD
• Colapso de cavidades izquierdas
• Variaciones recíprocas del diámetro de ambos
  ventrículos en relación con el ciclo respiratorio.
• Ingurgitación de la VCI con disminución de las
  variaciones respiratorias en su diámetro
• Swinging heart                Inespecífico pero muy sensible
                                      Su ausencia descarta TC
Ecocardiograma 2 D
Taponamiento Cardíaco
Ecocardiograma 2D
Taponamiento Cardíaco
Ecocardiograma en el
Derrame Pericárdico
Ecocardiograma 2D
Taponamiento Cardíaco
El colapso de las cavidades derechas es el
Indicador más sensible de Taponamiento Cardíaco
   Pero las anormalidades del llenado cardíaco
        son los indicadores más específicos




Eco Doppler                Alteraciones hemodinámicas



                   Pulso paradójico
Ecocardiograma- Doppler
               Taponamiento Cardíaco

                                 Flujos Venosos
  Flujos Transvalvulares
                              VCS- V suprahepáticas

       Inspiración            Cambios respiratorios

   Onda E mitral      25%

Onda E Tricuspíedea    40 %
Ecocardiograma- Doppler
        Taponamiento Cardíaco




Flujo Mitral             Flujo Tricuspídeo
• Taquicardia sinusal
• Complejos de bajo voltaje
• Alternancia eléctrica
Derrame Pericárdico
                            Manejo

Leves o Moderados                 Severos- idiopáticos
 (sin taponamiento)              Crónicos (As- > 3 meses)
                                    (sin taponamiento)


    Conservador
                                       Controversial
Seguimiento clínico y
  ecocardiográfico                      Seguimiento?
                                     Pericardiocentesis?
 Drenaje si se sospecha
                                      Evaluar Riesgo/beneficio
Purulento y eventualmente
       Neoplásico
Rendimiento Diagnóstico de
      la Pericardiocentesis
                                         Derrames con
Derrames leves    Grandes Derrames
                                      Taponamiento clínico
     5%               7 a 26 %
                                             30%




       En forma rutinaria no está indicada en
            ausencia de taponamiento
Pericardiocentesis
                  Contraindicaciones

Absoluta: Disección Aórtica


Relativas: Coagulopatías
           Plaquetas < 50.000 mm3
           Tratamiento con Anticoagulantes
           DP posteriores
           DP localizados
           DP pequeños



                      Pericardial diseases. Guidelines ESC 2004
Pericardiocentesis
Salva vidas en el Taponamiento Cardíaco

Indicación Clase I
- Taponamiento Cardíaco
- Derrame severo (> 20 mm)
- Sospecha de derrame purulento
- Sospecha de pericarditis tuberculosa
                 Pericardial diseases. Guidelines ESC 2004
Pericardiocentesis
 Con guía Electrocardiográfica                  Poco seguro




 Con guía Ecocardiográfica

 Guiado por Fluoroscopía (en Hemodinamia)
    (cateterismo de la arteria pulmonar simultáneo)
            (elección)

                   Pericardial diseases. Guidelines ESC 2004
Pericardiocentesis
       técnica




30



               Subxiphoid
                  area




     Pericardial diseases. Guidelines ESC 2004
Drenaje Quirúrgico
               abordaje subxifoideo



- Pericarditis Purulenta

- Si se requiere tejido pericárdico para biopsia

- Derrames recurrentes                   Guiado por pericardioscopio
                                                  flexible

- Hemopericardio traumático



                    Pericardial diseases. Guidelines ESC 2004
Análisis del Derrame Pericárdico



              Cito-físico-químico
EXUDADO                                      TRASUDADO

                  Densidad > 1.015
      Proteínas > 3 g/dl – Derrame/suero > 0,5
      LDH > 200 mg/dl- Derrame/suero > 0,6
        77,9+/-41     Glucosa     96,1+/-50,7
               Recuento de leucocitos
                                                 indicación IIb
                    Colesterol
Análisis del Derrame Pericárdico

Puede hacer diagnóstico de pericarditis viral, bacteriana, fúngica, por colesterol y maligna


Sospecha de              Sospecha de                 Sospecha de          Sospecha de
 Malignidad                  TBC                      Purulencia             Virus
      Citología
                              Tinción AAR            3 cultivos de               PCR
Marcadores Tumorales
                       Cultivo de Mycobacterium       Pericardio y
                                                                           Nivel de evidencia B,
        CEA
                              BACTEC-460            sangre periférica         indicación IIa
        AFP                       ADA           (aerobios y anaerobios)
       CA125                   IF gamma
      CA72-4             Lisozima pericárdica
      CA-15-3                     PCR
      CA-19-9
       CD-30
       CD-25                 Nivel de evidencia B, indicación I
         etc

                                       Pericardial diseases. Guidelines ESC 2004
Pericarditis neoplásica
• TC con < 2 signos inflamatorios. (dolor- frote - SST -
  fiebre) OR 2.9 derrame maligno
• Los T metastásicos 40 veces más frecuentes
• Incidencia de derrame en autopsias 15 a 30%
• Pulmón- mama- melanoma-linfoma-leucemias
• Derrames generalmente severos con TC inminente y
  recidivantes
• 2/3 no hay invasión de células neoplásicas
     (radiación- oportunistas)
• Puede ser la primer manifestación de la enfermedad
Pericarditis neoplásica
  Confirmación                            Tratamiento
   diagnóstica
Infiltrado maligno en
 el saco pericárdico
                           Taponamiento       Derrame no     Grandes
        Citología            Cardíaco
  Marcadores Tumorales                          severo       derrames
          CEA            Pericardiocentesis
          AFP                                 conservador    drenaje
         CA125
        CA72-4                 Clase I
                                                               Clase IIa
        CA-15-3
        CA-19-9
         CD-30
         CD-25
           etc
                         Antineoplásicos sistémicos (↓Recurrencia 67%)
Derrame Pericárdico neoplásico
                  otros tratamientos


• Tratamientos intrapericárdicos (citostáticos-esclerosantes)

• Ventana pleuro-pericárdica

• Ventana percutánea pericárdica

• Pericardiectomía.


                      Pericardial diseases. Guidelines ESC 2004
Pericarditis Tuberculosa
• Presentación variable:
        Derrame en la mayoría
        Taponamiento Cardíaco 60%
        Frecuente evolución a la constricción

• Mortalidad sin tratamiento 85%
Pericarditis Tuberculosa
  Confirmación
                                         Tratamiento
   diagnóstica

        Tinción AAR                  •Isoniacida (6 meses)
 Cultivo de Mycobacterium
        BACTEC-460
                                     •Rifampicina (6 meses)
            ADA                      •Piracinamida (2 meses)
         IF gamma
   Lisozima pericárdica
            PCR                      •Corticoides (IIb. Evidencia A)

                                     •Drenaje: TC
Pericardiocentesis (S 33 a 76 %) o   •Pericardiectomía: PC
  Biopsia por pericardioscopia
            (S 100%)
Pericarditis Purulenta
•   Paciente en muy mal estado general (fiebre- leucocitosis)
•   Factores predisponentes.-
•   Infección contigua o a distancia (hematógena)
•   Fatal sin tratamiento.
•   Mortalidad 40% con tratamiento.
     Taponamiento 80%.
     Sepsis          Muy frecuentemente
     Constricción
Pericarditis Purulenta
Confirmación
                                Tratamiento
 diagnóstica
       PUS
  PMN > 10.000/ml                •ATB sistémicos
                                  (antiestafilocóco +
  3 cultivos de líquido
      Pericardico y
                                         aminoglucósidos)
    sangre periférica
(aerobios y anaerobios)
                                 •Drenaje quirúrgico


            Ante la sospecha
        PERICARDIOCENTESEIS
Pericarditis neoplásica

       Pericarditis tuberculosa

             Pericarditis purulenta

Derrame pericárdico, taponamiento cardíaco
                 y muerte
Pericarditis Constrictiva
  • Estadío final evolutivo de muchos de los
    procesos que afectan al pericardio.-
  • En la mayoría de los casos no se reconoce
    una etiología específica.-

En los últimos años ha cambiado                  Espectro etiológico
                                                   2° a radiación y cirugía cardíaca
                                                                 TBC
                 Manifestaciones de la enfermedad
                      1959 calcificaciones 90%
                      2000 calcificaciones 27%
Pericarditis Constrictiva
 Pericarditis Constrictiva calcificada
Pericarditis Constrictiva no calcificada
   Pericarditis efusivo-constrictiva
   Pericarditis Constrictiva elástica
         Constricción oculta
       Constricción Transitoria
Pericarditis constrictiva
                Presentación
Predominan los síntomas de congestión
venosa sistémica:
                                 Signo de Kussmaul
          ingurgitación yugular
          edemas en MMII         Rápido colapso
                                   diastólico Y
           hepatomegalia
           ascitis
Auscultación de Knock pericárdico (ruido
  protodiastólico)
Pericarditis constrictiva
                 Criterios Diagnósticos

Compromiso hemodinámico      Engrosamiento Pericárdico



  Manifestaciones clínicas     Radiografía (calcificación)

       Eco Doppler                    Tomografía
                                      Resonancia
   Estudio hemodinámico
                                       ETT/ ETE

         Constricción con Pericardio no engrosado en 18%
Ecocardiograma
Pericarditis Constrictiva
Pericarditis constrictiva
                   Ecocardiograma Doppler

•Patente restrictiva del                    EA
      Lleno Mitral

•Análisis de los flujos
 venosos sistémicos y
pulmonares


•Variaciones
      respiratorias
↓ > 25% onda E insp
Pericarditis constrictiva
  Ecocardiograma Doppler




   Flujo Mitral        Flujo Venas Sistémicas




         Variaciones Respiratorias
Estudio hemodinámico




     Raíz Cuadrada
Estudio hemodinámico
Pericarditis Constrictiva
                 Engrosamiento Pericárdico


   ECO transtorácico         Detecta pericardio > 5 mm

    ETE      Sensibilidad 95%           Pericardio > 3 mm
             Especificidad 86%

   TAC y RMI son la elección
                       No diferencia fibrosis de calcificación


Constricción con Pericardio no engrosado en 18%
Pericarditis constrictiva
    Radiografía de Torax

                    50% Calcificaciones
                    50% derrame pleural
Pericarditis constrictiva
   Tomografía Computada
Pericarditis constrictiva
                 Métodos de Imagen


La apariencia normal del pericardio en la TAC y/o la RMI
               no excluye el diagnóstico



     Un pericardio engrosado en la TAC y/o la RMI
             no es sinónimo por sí mismo
               de Pericarditis Constrictiva
Constricción Cardíaca Transitoria
   En la fase de resolución de pericarditis aguda
                 Idiopática y/o viral




   Tratamiento conservador
Pericarditis Constrictiva Crónica
                       Tratamiento

                   Pericardiectomía
      En pacientes con insuficiencia cardíaca congestiva

   Toracotomía                                Esternotomía
   Anterolateral                                 Media


    Mortalidad Global          Se reduce al 5 % si se excluyen los
en pacientes seleccionados     pacientes con atrofia miocárdica y
         6- 12%                             fibrosis.
Pericarditis Constrictiva Crónica
                     Tratamiento

              Pericardiectomía
 En pacientes con insuficiencia cardíaca congestiva

   Hasta el 60% permanece con trastorno hemodinámico
                      por Doppler

      Los operados precozmente tienen una sobrevida
             semejante a la población general


      El pronóstico es desfavorable en la PC 2° a radiación
Pericarditis Constrictiva Crónica
             Tratamiento

           conservador
       En pacientes en CF I sin ICC
Consideraciones Finales
• Las enfermedades que afectan al pericardio lo
  pueden hacer bajo la forma de una PA, un DP, un
  TP o una PC.
• Pueden ser estadios de la misma enfermedad o
  presentarse aislada.
• Es importante que sepamos los criterios diagnósticos
  de las distintas entidades, cuales son las
  herramientas diagnósticas que nos van a ayudar en
  cada caso individual.
• Ante un paciente con derrame saber que la
  pericardiocentesis salva vidas en el TC
Consideraciones Finales
• Tener siempre en mente que hay tres etiologías (neoplásica,
  tuberculosa y purulenta) que son fatales sin tratamiento
  oportuno y adecuado
• En cuanto a la constricción pericárdica, pensarla ante un
  paciente con ICC derecha sin una causa evidente. Tratar de
  documentar el trastorno hemodinámico y definir el método
  de imágenes más adecuado para demostrar el engrosamiento
  pericárdico, sabiendo que hay un porcentaje de pacientes
  que van a tener una apariencia normal y a pesar de esto,
  requerir tratamiento.-
Pericardiopatias

Pericardiopatias

  • 1.
    Curso Bianual de Clínica Médica PERICARDIOPATIAS Dra Karina Ramos Facultad de Cs. Médicas. Universidad Nacional de Rosario SERVICIO DE CARDIOLOGÍA - HOSPITAL CENTERNARIO
  • 2.
    Pericardio Saco fibroso Hoja Visceral Hoja Parietal Células mesoteliales Fibras de colágeno y elastina Cavidad Pericárdica 15 a 50 ml
  • 3.
    Pericardio Funciones Limita la dilatación aguda del corazón Limita el movimiento excesivo del corazón en el torax Optimiza la forma cardiaca Balancea el gasto cardiaco derecho e izquierdo (acoplamiento ventricular) Previene la propagación de infecciones al corazón Previene la propagación de neoplasias adyacentes Heart 2007;93:993–1000
  • 4.
    Enfermedades del pericardio • Alteraciones congénitas • Pericarditis Seca- efusiva-efusivoconstrictiva-constrictiva • Neoplasis • Quistes Pericarditis aguda Derrame pericárdico Taponamiento Cardíaco Pericarditis Constrictiva Pericardial diseases. Guidelines ESC 2004
  • 5.
    Pericarditis aguda Sme clínicodebido a la inflamación del pericardio se caracteriza por : • Dolor torácico • Frote pericárdico • Alteraciones electrocardiográficas evolutivas Para establecer el diagnóstico se requiere al menos 2 de los 3 criterios Pericardial diseases. Guidelines ESC 2004
  • 6.
    Pericarditis aguda Sme clínicodebido a la inflamación del pericardio se caracteriza por : • Dolor torácico • Frote pericárdico • Alteraciones electrocardiográficas evolutivas • Derrame pericárdico Para establecer el diagnóstico se requiere al menos 2 de los 4 criterios Mayo Clinic Proc 2010;85(6):572-593
  • 7.
    Miopericarditis Compromiso predominantemente pericárdicocon inflamación miocárdica asociada. Clínicamente: Diagnóstico definitivo de Pericarditis Aguda + evidencia de daño miocárdico. (aumento de enzimas cardíacas o trastornos difusos o segmentarios en la motilidad parietal) Mayo Clinic Proc 2010;85(6):572-593
  • 8.
    Pericarditis aguda Dolor Torácico Frote Pericárdico Inicio súbito 85 % Retroesternal inconstante Pleurítico 50% trifásico Irradiado a MSI /hombro/ trapecio 1/3 bifásico Mejora sentado Resto monofásico Empeora acostado
  • 9.
    Pericarditis Aguda ECG 4 Fases. I Supradesnivel de ST e infradesnivel del PR En el 80% II Nivelación del ST y del PR III Negativización de la onda T IV Normalización de la onda T
  • 10.
  • 13.
    17 % detodos los pacientes con pericarditis aguda son sometidos a un cateterismo cardíaco precoz Mayo Clinic Proc 2009;84(1):11-15
  • 14.
    Diagnóstico Diferencial ECG infarto/pericarditis Infarto Agudo Pericarditis Aguda Morfología del ST (convexo) Morfología del ST (cóncava) Asociación con onda Q No se asocia con onda Q En relación con arteria responsable Cambios difusos No se asocia a Infra del PR Se asocia a Infra del PR Cambios evolutivos típicos Cambios evolutivos típicos
  • 16.
    REPOLARIZACIÓN PRECOZ DD. Localización/ no hay infra del PR / no presenta cambios evolutivos
  • 17.
    Pericarditis Aguda DD con repolarización precoz Relación de la altura del supradesnivel con la altura de la onda T En derivación V6 . VPP y VPN 100% > 0,24 3.5 / 8 = 0,43 3.5 mm 8 mm
  • 21.
    CLASE DE RECOMENDACION •CLASE I- evidencia o acuerdo general a favor que la practica o la intervención es útil o beneficiosa.- • CLASE II- evidencia conflictiva y/o opinión divergente acerca de la utilidad y/o beneficio de la practica o la intervención IIa peso de la evidencia/opinión a favor de la utilidad y/o beneficioso IIb la utilidad y/o beneficio esta menos establecida • CLASE III- evidencia / acuerdo general que la practica o intervención no es útil o efectiva. En algunos casos puede ser perjudicial
  • 22.
    Nivel de Evidencia •Nivel de evidencia A. múltiplos estudios randomizados o metaanálisis • Nivel de evidencia B. un estudio randomizado simple o un gran estudio no randomizado. • Nivel de evidencia C. consenso u opinión de expertos
  • 23.
    Pericarditis aguda evaluación (Nivel de evidencia B para todos los procedimientos) Obligatorio (Clase I) - Auscultación - ECG - Ecocardiograma - Rx torax - Análisis de sangre (Leucocitos-VES-PCR-troponinas) Pericardial diseases. Guidelines ESC 2004
  • 24.
    Resonancia Magnética J Am Coll Cardiol Img 2010;3:650 – 60 J Am Coll Cardiol Img 2010;3:650 – 60
  • 25.
    Resonancia Magnética El métodomás sensible para el diagnóstico de Pericarditis Aguda es el realce tardío con gadolineo en la RMI J Am Coll Cardiol Img 2010;3:650 – 60
  • 26.
    Pericarditis aguda evaluación (Nivel de evidencia B para todos los procedimientos) Opcional o si los otros tests no son conclusivos (Clase IIb) - RMI - TAC - Pericardioscopia- biopsia de pericardio Pericardial diseases. Guidelines ESC 2004
  • 27.
    Mayo Clinic Proc2010;85(6):572-593
  • 28.
    Pericarditis Aguda Puedeocurrir como una entidad aislada o ser el resultado de una enfermedad sistémica 9 de cada 10 PA la etiología es Viral y/o idiopática
  • 29.
    Pericarditis aguda etiología - Idiopática - Infecciones (viral-bacterias- TBC- hongos) - Uremia - Infarto de Miocardio - Neoplasias - LES - Radiación torácica -Esclerodermia - Enfermedades sistémicas autoinmunes -Artritis reumatoide - Injuria cardíaca -Spondilitis anquilosante -Periarteritis nodosa -Sme de Reiter Circulation 2006;113:1622-1632
  • 30.
    Pericarditis Aguda idiopática y / o viral Diagnóstico por exclusión Antecedentes Evaluación inicial
  • 31.
    Pericarditis Aguda idiopática y / o viral Diagnóstico por exclusión Irradiación reciente o remota cáncer de mama o linfoma
  • 32.
    Pericarditis Aguda idiopática y / o viral Diagnóstico por exclusión Neoplasias Síndrome de impregnación Cáncer de mama-pulmón-linfoma-leucemias Casi constantemente se asocia a derrame
  • 33.
    Pericarditis Aguda idiopática y / o viral Diagnóstico por exclusión Infarto de miocardio - Epiestenocárdica (precoz - compromiso transmural - síntomas poco expresivos - ECG confuso - frote inconstante) - Sme de Dressler (tardío- autoinmune síntomas floridos de pleuropericarditis)
  • 34.
    Pericarditis Aguda idiopática y / o viral Diagnóstico por exclusión Pericardiectomía. manipulación del pericardio autoinmune
  • 35.
    Pericarditis Aguda idiopática y / o viral Diagnóstico por exclusión Pericarditis Purulenta fiebre > 38 ° infección en otra localización GB muy elevados
  • 36.
    Pericarditis Aguda idiopática y / o viral Diagnóstico por exclusión Pericarditis Tuberculosa foco (+) esputo hemoptoico infiltrado en la placa
  • 37.
    Pericarditis Aguda idiopática y / o viral Diagnóstico por exclusión azoemia Insuficiencia Renal asociada a diálisis rechazo de TR
  • 38.
    Pericarditis Aguda idiopática y / o viral Diagnóstico por exclusión Enfermedades inmunológicas mujeres de edad media síntomas reumatológicos
  • 39.
    Actitud terapéutica PERICARDITIS AGUDA VIRAL o ESPECIFICA IDIOPATICA No requiere otros estudios Estudios ulteriores Calmar el dolor y Tratamiento Resolver la específico inflamación
  • 40.
    Actitud terapéutica Pericarditis viral-pericarditis aguda idiopática- Sme de Dressler o Sme postpericardiotomía Internación ? - Restringir la actividad física AINES Colchicina (evidencia B, clase I) (evidencia B, clase IIa) Aspirina 2 a 4 g/dia 0,5 mg/12 h Ibuprofeno 1600 a 3200 mg/dia Indometacina 75 a 225 mg/dia Pericardial diseases. Guidelines ESC 2004
  • 41.
    Randomized (n=120) Conventional Conventional treatment Treatment + Colchicina (n=60) (n=60) AAS 800 mg every 6 or 8 hours Plus Colchicine 1 to 2 mg first day 7 to 10 days. Maintenance dose of 0.5 to 1 mg Tapering over 3 to 4 w daily for 3 months
  • 43.
    La terapia inicialincluye aspirina (650 a 975 mg c/6 a 8 hs) y Colchicina (2 g inicialmente y posteriormente 1 g/día). Además se sugieren inhibidores de la bomba de protones para mejorar la tolerancia de la aspirina. Y restricción de la actividad física mientras dure el dolor.- Aún cuando el dolor responda prontamente la terapia con aspirina continúa por 4 semanas y colchicina por 3 meses para minimizar el riesgo de pericarditis recurrente. Circulation 2006;113:1622-1632
  • 44.
    Tratamiento Pericarditis Aguda • A AINE. Aspirina- ibuprofeno – Indometazina Recomienda Colchicina para todos los pacientes en el primer episodio, especialmente sin no respondieron al tratamiento durante una semana con un AINE. (por 4 a 6 semanas) Enfatizan los efectos adversos de la colchicina. (Diarrea- depresión de la medula ósea- hepatotoxicidad- Miotoxicidad. Contraindicado en la IR. Interacción P450) Mayo Clinic Proc 2010;85(6):572-593
  • 45.
    Se debe internara todo paciente con diagnóstico de Pericarditis Aguda?
  • 46.
    JACC Vol. 43,No. 6, 2004
  • 47.
    JACC Vol. 43,No. 6, 2004
  • 48.
    PREDICTORES DE MAL PRONOSTICO • Tº > 38 grados • Síntomas de inicio subagudo • Estados de Inmunosupresión • Trauma • Compromiso miocárdico • Tratamiento con anticoagulantes • Derrame severo (> 20 mm) o • Taponamiento cardíaco JACC Vol. 43, No. 6, 2004
  • 49.
    Mayo Clinic Proc2010;85(6):572-593
  • 50.
    Pericarditis aguda Paciente recuperado SEGUIMIENTO Riesgo de Recurrencia y Constricción
  • 51.
    > de 50ml de liquido pericárdico Trasudado (Hidropericardio) Exudado Piopericardio Hemopericardio
  • 53.
    Derrame Pericárdico Demostrar la presencia • Los signos clínicos son relativamente insensibles e inespecíficos en ausencia de taponamiento Ruidos cardíacos hipofonéticos (grandes derrames)
  • 54.
    Derrame Pericárdico Demostrar la presencia • ECG. Complejos de bajo voltaje QRS ≤ 5 mm en derivaciones de los miembros (Alternancia eléctrica y taquicardia sinusal en TC)
  • 55.
    Derrame Pericárdico Demostrar la presencia
  • 56.
    Derrame Pericárdico Demostrar la presencia El ecocardiograma es el principal método diagnóstico
  • 57.
  • 58.
    Ecocardiograma Cuantificación del Derrame Pericárdico Modo M. Criterios de Weitzman Considera la suma de espacios libres de ecos entre sacos anterior y posterior en la telediástole. • Ligero: Suma inferior a 10 mm • Moderado: Suma entre 10 y 19 mm • Severo: Suma 20 mm o más
  • 59.
    RMI / TAC Indicadoen derrames localizados / loculados mala ventana ultrasónica
  • 60.
    Derrame Pericárdico moderado - severo Asintomático u Shock Oligosintomático Instauración Instauración brusca lenta
  • 61.
    Derrame Pericárdico moderado o severo Evaluar Compromiso Hemodinámico
  • 62.
    Taponamiento Cardíaco Sindrome Clínico-hemodinámico debido a la compresión del corazón por derrame pericárdico moderado a severo
  • 63.
    Taponamiento cardíaco Criterios diagnósticos • Ingurgitación yugular • Hipotensión arterial • Pulso paradojal
  • 64.
    PULSO PARADOJICO Signo incipiente de Taponamiento Cardíaco Disminución de la PAS > 10 mmHg en inspiración
  • 65.
    Taponamiento Cardíaco Taponamiento Ecocardiográfico Taponamiento Hemodinámico Derrame pericárdico
  • 66.
    Ecocardiograma Taponamiento Cardíaco El signo más característico es el colapso de las cavidades cardíacas que puede apreciarse por modo M o bidimensional • Colapso AD • Colapso diastolico del VD • Colapso de cavidades izquierdas • Variaciones recíprocas del diámetro de ambos ventrículos en relación con el ciclo respiratorio. • Ingurgitación de la VCI con disminución de las variaciones respiratorias en su diámetro • Swinging heart Inespecífico pero muy sensible Su ausencia descarta TC
  • 67.
  • 68.
  • 71.
  • 72.
  • 73.
    El colapso delas cavidades derechas es el Indicador más sensible de Taponamiento Cardíaco Pero las anormalidades del llenado cardíaco son los indicadores más específicos Eco Doppler Alteraciones hemodinámicas Pulso paradójico
  • 74.
    Ecocardiograma- Doppler Taponamiento Cardíaco Flujos Venosos Flujos Transvalvulares VCS- V suprahepáticas Inspiración Cambios respiratorios Onda E mitral 25% Onda E Tricuspíedea 40 %
  • 75.
    Ecocardiograma- Doppler Taponamiento Cardíaco Flujo Mitral Flujo Tricuspídeo
  • 76.
    • Taquicardia sinusal •Complejos de bajo voltaje • Alternancia eléctrica
  • 77.
    Derrame Pericárdico Manejo Leves o Moderados Severos- idiopáticos (sin taponamiento) Crónicos (As- > 3 meses) (sin taponamiento) Conservador Controversial Seguimiento clínico y ecocardiográfico Seguimiento? Pericardiocentesis? Drenaje si se sospecha Evaluar Riesgo/beneficio Purulento y eventualmente Neoplásico
  • 78.
    Rendimiento Diagnóstico de la Pericardiocentesis Derrames con Derrames leves Grandes Derrames Taponamiento clínico 5% 7 a 26 % 30% En forma rutinaria no está indicada en ausencia de taponamiento
  • 79.
    Pericardiocentesis Contraindicaciones Absoluta: Disección Aórtica Relativas: Coagulopatías Plaquetas < 50.000 mm3 Tratamiento con Anticoagulantes DP posteriores DP localizados DP pequeños Pericardial diseases. Guidelines ESC 2004
  • 80.
    Pericardiocentesis Salva vidas enel Taponamiento Cardíaco Indicación Clase I - Taponamiento Cardíaco - Derrame severo (> 20 mm) - Sospecha de derrame purulento - Sospecha de pericarditis tuberculosa Pericardial diseases. Guidelines ESC 2004
  • 81.
    Pericardiocentesis  Con guíaElectrocardiográfica Poco seguro  Con guía Ecocardiográfica  Guiado por Fluoroscopía (en Hemodinamia) (cateterismo de la arteria pulmonar simultáneo) (elección) Pericardial diseases. Guidelines ESC 2004
  • 82.
    Pericardiocentesis técnica 30 Subxiphoid area Pericardial diseases. Guidelines ESC 2004
  • 83.
    Drenaje Quirúrgico abordaje subxifoideo - Pericarditis Purulenta - Si se requiere tejido pericárdico para biopsia - Derrames recurrentes Guiado por pericardioscopio flexible - Hemopericardio traumático Pericardial diseases. Guidelines ESC 2004
  • 84.
    Análisis del DerramePericárdico Cito-físico-químico EXUDADO TRASUDADO Densidad > 1.015 Proteínas > 3 g/dl – Derrame/suero > 0,5 LDH > 200 mg/dl- Derrame/suero > 0,6 77,9+/-41 Glucosa 96,1+/-50,7 Recuento de leucocitos indicación IIb Colesterol
  • 85.
    Análisis del DerramePericárdico Puede hacer diagnóstico de pericarditis viral, bacteriana, fúngica, por colesterol y maligna Sospecha de Sospecha de Sospecha de Sospecha de Malignidad TBC Purulencia Virus Citología Tinción AAR 3 cultivos de PCR Marcadores Tumorales Cultivo de Mycobacterium Pericardio y Nivel de evidencia B, CEA BACTEC-460 sangre periférica indicación IIa AFP ADA (aerobios y anaerobios) CA125 IF gamma CA72-4 Lisozima pericárdica CA-15-3 PCR CA-19-9 CD-30 CD-25 Nivel de evidencia B, indicación I etc Pericardial diseases. Guidelines ESC 2004
  • 86.
    Pericarditis neoplásica • TCcon < 2 signos inflamatorios. (dolor- frote - SST - fiebre) OR 2.9 derrame maligno • Los T metastásicos 40 veces más frecuentes • Incidencia de derrame en autopsias 15 a 30% • Pulmón- mama- melanoma-linfoma-leucemias • Derrames generalmente severos con TC inminente y recidivantes • 2/3 no hay invasión de células neoplásicas (radiación- oportunistas) • Puede ser la primer manifestación de la enfermedad
  • 87.
    Pericarditis neoplásica Confirmación Tratamiento diagnóstica Infiltrado maligno en el saco pericárdico Taponamiento Derrame no Grandes Citología Cardíaco Marcadores Tumorales severo derrames CEA Pericardiocentesis AFP conservador drenaje CA125 CA72-4 Clase I Clase IIa CA-15-3 CA-19-9 CD-30 CD-25 etc Antineoplásicos sistémicos (↓Recurrencia 67%)
  • 88.
    Derrame Pericárdico neoplásico otros tratamientos • Tratamientos intrapericárdicos (citostáticos-esclerosantes) • Ventana pleuro-pericárdica • Ventana percutánea pericárdica • Pericardiectomía. Pericardial diseases. Guidelines ESC 2004
  • 89.
    Pericarditis Tuberculosa • Presentaciónvariable: Derrame en la mayoría Taponamiento Cardíaco 60% Frecuente evolución a la constricción • Mortalidad sin tratamiento 85%
  • 90.
    Pericarditis Tuberculosa Confirmación Tratamiento diagnóstica Tinción AAR •Isoniacida (6 meses) Cultivo de Mycobacterium BACTEC-460 •Rifampicina (6 meses) ADA •Piracinamida (2 meses) IF gamma Lisozima pericárdica PCR •Corticoides (IIb. Evidencia A) •Drenaje: TC Pericardiocentesis (S 33 a 76 %) o •Pericardiectomía: PC Biopsia por pericardioscopia (S 100%)
  • 91.
    Pericarditis Purulenta • Paciente en muy mal estado general (fiebre- leucocitosis) • Factores predisponentes.- • Infección contigua o a distancia (hematógena) • Fatal sin tratamiento. • Mortalidad 40% con tratamiento. Taponamiento 80%. Sepsis Muy frecuentemente Constricción
  • 92.
    Pericarditis Purulenta Confirmación Tratamiento diagnóstica PUS PMN > 10.000/ml •ATB sistémicos (antiestafilocóco + 3 cultivos de líquido Pericardico y aminoglucósidos) sangre periférica (aerobios y anaerobios) •Drenaje quirúrgico Ante la sospecha PERICARDIOCENTESEIS
  • 93.
    Pericarditis neoplásica Pericarditis tuberculosa Pericarditis purulenta Derrame pericárdico, taponamiento cardíaco y muerte
  • 94.
    Pericarditis Constrictiva • Estadío final evolutivo de muchos de los procesos que afectan al pericardio.- • En la mayoría de los casos no se reconoce una etiología específica.- En los últimos años ha cambiado Espectro etiológico 2° a radiación y cirugía cardíaca TBC Manifestaciones de la enfermedad 1959 calcificaciones 90% 2000 calcificaciones 27%
  • 95.
    Pericarditis Constrictiva PericarditisConstrictiva calcificada Pericarditis Constrictiva no calcificada Pericarditis efusivo-constrictiva Pericarditis Constrictiva elástica Constricción oculta Constricción Transitoria
  • 96.
    Pericarditis constrictiva Presentación Predominan los síntomas de congestión venosa sistémica: Signo de Kussmaul ingurgitación yugular edemas en MMII Rápido colapso diastólico Y hepatomegalia ascitis Auscultación de Knock pericárdico (ruido protodiastólico)
  • 97.
    Pericarditis constrictiva Criterios Diagnósticos Compromiso hemodinámico Engrosamiento Pericárdico Manifestaciones clínicas Radiografía (calcificación) Eco Doppler Tomografía Resonancia Estudio hemodinámico ETT/ ETE Constricción con Pericardio no engrosado en 18%
  • 99.
  • 100.
    Pericarditis constrictiva Ecocardiograma Doppler •Patente restrictiva del EA Lleno Mitral •Análisis de los flujos venosos sistémicos y pulmonares •Variaciones respiratorias ↓ > 25% onda E insp
  • 101.
    Pericarditis constrictiva Ecocardiograma Doppler Flujo Mitral Flujo Venas Sistémicas Variaciones Respiratorias
  • 102.
    Estudio hemodinámico Raíz Cuadrada
  • 103.
  • 104.
    Pericarditis Constrictiva Engrosamiento Pericárdico ECO transtorácico Detecta pericardio > 5 mm ETE Sensibilidad 95% Pericardio > 3 mm Especificidad 86% TAC y RMI son la elección No diferencia fibrosis de calcificación Constricción con Pericardio no engrosado en 18%
  • 106.
    Pericarditis constrictiva Radiografía de Torax 50% Calcificaciones 50% derrame pleural
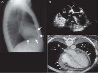
  • 107.
    Pericarditis constrictiva Tomografía Computada
  • 108.
    Pericarditis constrictiva Métodos de Imagen La apariencia normal del pericardio en la TAC y/o la RMI no excluye el diagnóstico Un pericardio engrosado en la TAC y/o la RMI no es sinónimo por sí mismo de Pericarditis Constrictiva
  • 109.
    Constricción Cardíaca Transitoria En la fase de resolución de pericarditis aguda Idiopática y/o viral Tratamiento conservador
  • 110.
    Pericarditis Constrictiva Crónica Tratamiento Pericardiectomía En pacientes con insuficiencia cardíaca congestiva Toracotomía Esternotomía Anterolateral Media Mortalidad Global Se reduce al 5 % si se excluyen los en pacientes seleccionados pacientes con atrofia miocárdica y 6- 12% fibrosis.
  • 111.
    Pericarditis Constrictiva Crónica Tratamiento Pericardiectomía En pacientes con insuficiencia cardíaca congestiva Hasta el 60% permanece con trastorno hemodinámico por Doppler Los operados precozmente tienen una sobrevida semejante a la población general El pronóstico es desfavorable en la PC 2° a radiación
  • 112.
    Pericarditis Constrictiva Crónica Tratamiento conservador En pacientes en CF I sin ICC
  • 113.
    Consideraciones Finales • Lasenfermedades que afectan al pericardio lo pueden hacer bajo la forma de una PA, un DP, un TP o una PC. • Pueden ser estadios de la misma enfermedad o presentarse aislada. • Es importante que sepamos los criterios diagnósticos de las distintas entidades, cuales son las herramientas diagnósticas que nos van a ayudar en cada caso individual. • Ante un paciente con derrame saber que la pericardiocentesis salva vidas en el TC
  • 114.
    Consideraciones Finales • Tenersiempre en mente que hay tres etiologías (neoplásica, tuberculosa y purulenta) que son fatales sin tratamiento oportuno y adecuado • En cuanto a la constricción pericárdica, pensarla ante un paciente con ICC derecha sin una causa evidente. Tratar de documentar el trastorno hemodinámico y definir el método de imágenes más adecuado para demostrar el engrosamiento pericárdico, sabiendo que hay un porcentaje de pacientes que van a tener una apariencia normal y a pesar de esto, requerir tratamiento.-