CONTUSIONES TOBILLO Y
TARSO
FEAs COT CHARE Guadix
Javier Pérez Cardeña
Fco Javier Pariente Cazorla
PIE
ANATOMIA
PLANTAR
DORSAL
BIOMECANICA
A-B: Arco Anterior
A-C: Arco Medial
B-C: Arco Posterior
Distribución peso corporal en función de la posición
Tarso
Art
Chopart
Art
Lisfranc
Fracturas más frecuentes del tarso
• Fx Retropié:
– Fx Calcáneo
– Fx Astrágalo
• Fx Mediopié:
– Art de Chopart o mediotarsiana
– Art de Lisfranc o tarsometatarsiana
Fx Calcáneo
• Más frecuentes del tarso
• Resultados malos: Secuelas (dolor crónico
y/o debilidad)
• Alta energía o hueso osteoporótico:
caídas de altura (ojo Raquis y/o pelvis)
Anatomía
Exploración Clínica
• Dolor intenso e impotencia funcional
• Importante tumefacción
• Deformidad
• Flictenas: > 24 h
Radiología
• Lateral
• AP
• Axial
• TAC
Tratamiento
• Conservador:
– Poco desplazadas. Extraarticulares
– Vendaje muy algodonado
– Descarga extremidad 4-6 semanas
• Quirúrgico:
– Hundimiento o separación importante
– Fx articulares
– Diferir (enfriar partes blandas)
CONTROVERSIAS. RESULTADOS INCIERTOS
Fx Astrágalo
• 2ª en frecuencia
• Ojo accidentes de tráfico (frenazo) y
caídas de altura
Tratamiento
• No desplazadas: CONSERVADOR (Yeso
suropédico o Férula)
• Desplazadas: QUIRURGICO
Fx- Lux Lisfranc
• Urgencia
• Infrecuentes
• Alta energía. Acc deportivos
• Ojo Sdme compartimental
Mecanismo lesional
• Torsión:
– Abd forzada antepié sobre tarso: Fx base 2º
MTT + Fx cuboides. Jinete o Accidentes de
tráfico
• Compresión axial brusca sobre pie fijo:
Tobillo en neutro o en equino máximo.
Fallo al pisar el freno o caída desde altura
• Aplastamiento: Gran afectación partes
blandas. Accidentes laborales
Exploración Clínica
• Dolor, deformidad, importante tumefacción
ante y mediopié
• Exp NV: Posible lesión art pedia
Radiología
Tratamiento
• Objetivo: Reducción anatómica
• Conservador: Yeso/férula NO
DESPLAZADAS
• Quirúrgico: Desplazadas
(> 1 mm)
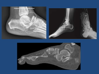
Fx-Lux Chopart
• Infrecuentes
• Alta energía o
torsión
deportistas/bailarin
es
• Ojo esguinces con
mucha clínica
• Exploración clínica parecida a Lisfranc.
• Ojo Sdme compartimental
• Tratamiento parecido al Lifranc
• Secuelas: Artrosis postraumática
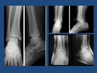
TOBILLO
Anatomía
Patología más Frecuente
• Esguinces
• Fracturas
FRACTURAS DE TOBILLO
• Alta incidencia
• Ojo a las Fx-Lux: Lesión importante de
partes blandas
Exploración
• Dolor
• Impotencia Funcional
• Tumefacción
• Deformidad variable
• Lesiones de partes blandas
• NV!!
• Mención especial: Palpar peroné en toda
su longuitud (Maissoneuve, Dupuytren)
Clasificación Danis-Weber
Radiología
Dudas: Rx Oblicuas y/o Rx Rodilla
Tratamiento
• Urgencias:
– Reducción de luxaciones
– Limpieza y protección de heridas
– Ampollas intactas
– Inmovilización con férula posterior
– Nuevas Rx
Tratamiento conservador
• Fracturas no desplazadas y estables:
Yeso/férula suropédica
• Fracturas desplazadas en las que se
consigue reducción estable: Yeso
suropédico
Tratamiento Quirúrgico
• Fracturas desplazadas e inestables
• Necesitan posición muy forzada para
reducción
• Fracturas bimaleolares
• Fracturas abiertas
ESGUINCES DE TOBILLO
• 75 % Lesiones en tobillo
• Alta cronicidad
• Torceduras y actividad deportiva
Mecanismo lesional
LLE
LLI o DELTOIDEO
• LLE:
– El más frecuente
– Flexión plantar + Inversión
• LLI:
– Eversión y dorsiflexión
Clasificación
I II III
Exploración Clínica
• Dolor espontáneo/palpación
• Tumefacción
• Impotencia funcional
• Hematoma
• Arco de movilidad
• Estabilidad
• Capacidad de deambulación
Estabilidad
Reglas de Ottawa (Ottawa ankles rules)
• Decidir si Rx
• 1992
• Alta sensibilidad (Aprox 99 % primeras 24
h)
• Complementa a la exploración
• 1 +: Realizar Rx pie/Tobillo
A veces No Dolor!!!
Tratamiento
ESGUINCES GRADO I y II
• Reposo 48/72 h
• Miembro elevado
• Frío local c/4-5 h
• AINEs
• Vendaje
Funcional
ESGUINCES GRADO III
Take at home
• Fx Tarso:
– Exploración Clínica muy importante (sospecha)
– Adecuada Rx. Si dudas (TAC)
– Siempre consultar con COT HUVN
• Esguinces de tobillo
– Exploración: Inestabilidad
– Reglas Ottawa: Rx
– G I y II: RICE + RHB + MAP
– G III: Yeso + COT
• Fx Tobillo:
– Consultar COT HUVN
MUCHAS GRACIAS

Sesion pie y tobillo