CASO CLÍNICO                  V
 DEL ARCHIVO PERSONAL



              gamottar@yahoo.com.mx
TTE. COR. MC. GASPAR ALBERTO MOTTA RAMIREZ
     M.M.C. JOSE MANUEL ZARATE MARTINEZ
   M.M.C. MARIA CRISTINA RIVERA GONZALEZ.




    CASO CLÍNICO
      DEL ARCHIVO PERSONAL
CASO CLÍNICO
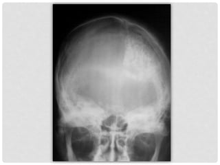
Hallazgo radiológico en
proyecciones simples de
cráneo, AP y lateral, en
paciente masculino de 22
años con cefalea, sin mas datos
clínicos en su solicitud médica.
PROYECCIONES
RADIOLÓGICAS
   SIMPLE,
  INICIALES.
HALLAZGO RADIOLÓGICOS

Las radiografías simple de cráneo
muestran calcificaciones
intracraneanas con patrón
giriforme, proyectadas en
topografía del hemisferio cerebral
izquierdo.
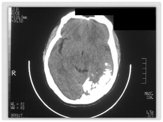
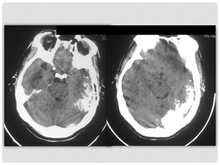
TOMOGRAFIA
COMPUTADA
 DE CRANEO
TC
Se corroboran las calcificaciones
intracraneanas, extensas,
unilaterales, con patrón giriforme
en topografía del hemisferio
cerebral izquierdo, de predominio
posterior, en el lóbulo temporal.
CASO CLÍNICO            V
 DIAGNÓSTICO
        gamottar@yahoo.com.mx
SÍNDROME DE STURGE-WEBER

El síndrome de Sturge-Weber (angiomatosis
encefalotrigeminal) es una enfermedad rara.
Es un síndrome no hereditario caracterizado por una
marca de nacimiento (usualmente en la cara)
conocida como mancha en vino de Oporto, y por
problemas neurológicos.
Otras particularidades son: angiomas en diferentes
localizaciones,   calcificaciones   cerebrales,   crisis
epilépticas y glaucoma.
SÍNDROME DE STURGE-WEBER

              ETIOPATOGENIA
Es un síndrome de etiopatogenia desconocida,
aunque parece deberse a un deficiente desarrollo
de la vascularización embriológica, por un error que
afecta específicamente a una zona de la cresta
neural, y que es la responsable del origen el tejido
conectivo de la dermis facial, la coroides ocular y la
piamadre.
SÍNDROME DE STURGE-WEBER

El síndrome de Sturge Weber no tiene un patrón
genético claro y no existe evidencia directa de
predisposición hereditaria.
No hay reportes de mujeres que hayan tenido más
de un hijo con síndrome de Sturge Weber.
SÍNDROME DE STURGE-WEBER

                 CLINICA
• MANCHA ROJO VINO: mas común en la cara
  que en el cuerpo, suele apreciarse siguiendo
  una o varias de las ramas del nervio
  trigémino.
• CONVULSIONES: debido a alteraciones
  vasculares intracraneales y calcificaciones
  cerebrales.
• PROBLEMAS VISUALES (glaucoma,
  hemianopsia).
• PARÁLISIS O DEBILIDAD DE UN LADO.
SÍNDROME DE STURGE-WEBER

    SÍNTOMA CARACTERÍSTICO:
La “mancha de vino oporto” es una zona plana
cuyo color puede variar entre el rojo y el violeta
oscuro y se caracteriza por afectar al menos uno de
los párpados superiores y la zona de la frente. La
causa de la mancha es la formación de pequeños
vasos sanguíneos bajo la piel. Uno de cada tres
casos puede presentarse en forma bilateral y se les
ha asociado con un retraso mental mas severo.
Imágenes que ejemplifican el nevo
     cutáneo característico




            http://www.uv.es/derma/CLindex/CLtumb/CLtumbe24.html
            http://www.uv.es/derma/CLindex/CLtumb/CLtumbe21.html
SÍNDROME DE STURGE-WEBER

       CLASIFICACIÓN (3 TIPOS)
De acuerdo a la presencia de 1 o mas de estos
síntomas (nevo cutáneo facial, parálisis y problemas
oculares) es posible clasificar la enfermedad en:
• Síndrome de Sturge Weber tri-sintomático
  completo: los 3 síntomas están presentes.
• Síndrome de Sturge Weber bi-sintomático
  incompleto: cuando hay compromiso óculo-
  cutáneo o neuro cutáneo.
• Síndrome de Sturge Weber mono-sintomático:
  cuando sólo existe compromiso neural o cutáneo.
SÍNDROME DE STURGE-WEBER

    MANIFESTACIONES BUCALES
Las lesiones bucales son unilaterales y terminan
abruptamente en la línea media. Se pueden
presentar hiperplasias vasculares de coloración
rojiza en el labio y la mucosa del carrillo.
Suele observarse hiperplasia gingival en el lado
afectado y se caracteriza por un aumento en
el componente vascular y hemorragia gingival
al ser expuesto a un mínimo traumatismo.
SÍNDROME DE STURGE-WEBER

    MANIFESTACIONES BUCALES
Otro factor agravante es la terapia con fenitoina
utilizada por los pacientes para el tratamiento de las
crisis convulsivas, que pueden exacerbar el cuadro
de hiperplasia gingival. La hipertrofia del hueso
maxilar del lado afectado por la lesión causa
maloclusión y asimetría facial.
Imágenes que
  ejemplifican la
hiperplasia gingival
    característica



   Acta odontol. Venez v.44 n.2 Caracas ago. 2006
SÍNDROME DE STURGE-WEBER

CARACTERÍSTICAS IMAGENOLÓGICAS.

        CALCIFICACIONES INTRACRANEANAS:
Un aspecto radiográfico común en este síndrome es
la presencia de calcificaciones intracraneales, así
como hemangiomas en la aracnoides y piamadre,
acompañados de atrofia y esclerosis de la corteza
cerebral.
SÍNDROME DE STURGE-WEBER

CARACTERÍSTICAS IMAGENOLÓGICAS.
Los hemangiomas en las leptomeninges y la atrofia
de la corteza cerebral, pueden ser observados y
evaluados en exámenes de Resonancia Magnética.
SÍNDROME DE STURGE-WEBER

CARACTERÍSTICAS IMAGENOLÓGICAS.
Las calcificaciones intracraneales y las reabsorciones
horizontal y vertical en el hueso alveolar pueden ser
evaluadas en proyecciones radiográficas más simples
como la radiografía lateral de cráneo, postero-anterior
de seno frontal, así como en panorámicas y
periapicales de los dientes involucrados por la lesión.
SÍNDROME DE STURGE-WEBER

         TRATAMIENTO MÉDICO
El tratamiento se debe enfocar principalmente al
control de las crisis convulsivas (puede incluir
intervenciones quirúrgicas de alto riesgo).
Además, los pacientes deben ser sometidos a
exámenes periódicos oculares. A partir del primer mes
de vida se pueden tratar con láser los nevos cutáneos
para reducirlos o eliminarlos.
SÍNDROME DE STURGE-WEBER

 TRATAMIENTO ODONTOLÓGICO
Los pacientes deben ser sometidos a exámenes
bucales periódicos y a un control minucioso de la
placa bacteriana, ya que ésta puede agravar el
cuadro vascular. Cualquier tratamiento de
naturaleza quirúrgico en áreas asociadas a
hemangiomas está contraindicado debido al riesgo
de hemorragias fatales. Tratamientos profilácticos,
endodónticos y restauradores pueden ser realizados
en dientes asociados a hemangiomas, evitando
traumatizar las mucosas y encías.
SÍNDROME DE STURGE-WEBER

 TRATAMIENTO ODONTOLÓGICO
Los tratamientos ortodóncicos no están
contraindicados, sin embargo debe prestarse
especial atención para evitar traumatizar tejidos
blandos y si se requieren extracciones, éstas deben
ser efectuadas en un ámbito hospitalario y con
atención absoluta sobre el control de hemorragias.
En pacientes con crisis epilépticas está
contraindicado el uso de ortodoncia removible.
CASO CLÍNICO                  V
 DEL ARCHIVO PERSONAL



              gamottar@yahoo.com.mx

Sindrome de sturge weber

  • 1.
    CASO CLÍNICO V DEL ARCHIVO PERSONAL gamottar@yahoo.com.mx
  • 2.
    TTE. COR. MC.GASPAR ALBERTO MOTTA RAMIREZ M.M.C. JOSE MANUEL ZARATE MARTINEZ M.M.C. MARIA CRISTINA RIVERA GONZALEZ. CASO CLÍNICO DEL ARCHIVO PERSONAL
  • 3.
    CASO CLÍNICO Hallazgo radiológicoen proyecciones simples de cráneo, AP y lateral, en paciente masculino de 22 años con cefalea, sin mas datos clínicos en su solicitud médica.
  • 4.
    PROYECCIONES RADIOLÓGICAS SIMPLE, INICIALES.
  • 7.
    HALLAZGO RADIOLÓGICOS Las radiografíassimple de cráneo muestran calcificaciones intracraneanas con patrón giriforme, proyectadas en topografía del hemisferio cerebral izquierdo.
  • 8.
  • 10.
    TC Se corroboran lascalcificaciones intracraneanas, extensas, unilaterales, con patrón giriforme en topografía del hemisferio cerebral izquierdo, de predominio posterior, en el lóbulo temporal.
  • 11.
    CASO CLÍNICO V DIAGNÓSTICO gamottar@yahoo.com.mx
  • 12.
    SÍNDROME DE STURGE-WEBER Elsíndrome de Sturge-Weber (angiomatosis encefalotrigeminal) es una enfermedad rara. Es un síndrome no hereditario caracterizado por una marca de nacimiento (usualmente en la cara) conocida como mancha en vino de Oporto, y por problemas neurológicos. Otras particularidades son: angiomas en diferentes localizaciones, calcificaciones cerebrales, crisis epilépticas y glaucoma.
  • 13.
    SÍNDROME DE STURGE-WEBER ETIOPATOGENIA Es un síndrome de etiopatogenia desconocida, aunque parece deberse a un deficiente desarrollo de la vascularización embriológica, por un error que afecta específicamente a una zona de la cresta neural, y que es la responsable del origen el tejido conectivo de la dermis facial, la coroides ocular y la piamadre.
  • 14.
    SÍNDROME DE STURGE-WEBER Elsíndrome de Sturge Weber no tiene un patrón genético claro y no existe evidencia directa de predisposición hereditaria. No hay reportes de mujeres que hayan tenido más de un hijo con síndrome de Sturge Weber.
  • 15.
    SÍNDROME DE STURGE-WEBER CLINICA • MANCHA ROJO VINO: mas común en la cara que en el cuerpo, suele apreciarse siguiendo una o varias de las ramas del nervio trigémino. • CONVULSIONES: debido a alteraciones vasculares intracraneales y calcificaciones cerebrales. • PROBLEMAS VISUALES (glaucoma, hemianopsia). • PARÁLISIS O DEBILIDAD DE UN LADO.
  • 16.
    SÍNDROME DE STURGE-WEBER SÍNTOMA CARACTERÍSTICO: La “mancha de vino oporto” es una zona plana cuyo color puede variar entre el rojo y el violeta oscuro y se caracteriza por afectar al menos uno de los párpados superiores y la zona de la frente. La causa de la mancha es la formación de pequeños vasos sanguíneos bajo la piel. Uno de cada tres casos puede presentarse en forma bilateral y se les ha asociado con un retraso mental mas severo.
  • 17.
    Imágenes que ejemplificanel nevo cutáneo característico http://www.uv.es/derma/CLindex/CLtumb/CLtumbe24.html http://www.uv.es/derma/CLindex/CLtumb/CLtumbe21.html
  • 18.
    SÍNDROME DE STURGE-WEBER CLASIFICACIÓN (3 TIPOS) De acuerdo a la presencia de 1 o mas de estos síntomas (nevo cutáneo facial, parálisis y problemas oculares) es posible clasificar la enfermedad en: • Síndrome de Sturge Weber tri-sintomático completo: los 3 síntomas están presentes. • Síndrome de Sturge Weber bi-sintomático incompleto: cuando hay compromiso óculo- cutáneo o neuro cutáneo. • Síndrome de Sturge Weber mono-sintomático: cuando sólo existe compromiso neural o cutáneo.
  • 19.
    SÍNDROME DE STURGE-WEBER MANIFESTACIONES BUCALES Las lesiones bucales son unilaterales y terminan abruptamente en la línea media. Se pueden presentar hiperplasias vasculares de coloración rojiza en el labio y la mucosa del carrillo. Suele observarse hiperplasia gingival en el lado afectado y se caracteriza por un aumento en el componente vascular y hemorragia gingival al ser expuesto a un mínimo traumatismo.
  • 20.
    SÍNDROME DE STURGE-WEBER MANIFESTACIONES BUCALES Otro factor agravante es la terapia con fenitoina utilizada por los pacientes para el tratamiento de las crisis convulsivas, que pueden exacerbar el cuadro de hiperplasia gingival. La hipertrofia del hueso maxilar del lado afectado por la lesión causa maloclusión y asimetría facial.
  • 21.
    Imágenes que ejemplifican la hiperplasia gingival característica Acta odontol. Venez v.44 n.2 Caracas ago. 2006
  • 22.
    SÍNDROME DE STURGE-WEBER CARACTERÍSTICASIMAGENOLÓGICAS. CALCIFICACIONES INTRACRANEANAS: Un aspecto radiográfico común en este síndrome es la presencia de calcificaciones intracraneales, así como hemangiomas en la aracnoides y piamadre, acompañados de atrofia y esclerosis de la corteza cerebral.
  • 25.
    SÍNDROME DE STURGE-WEBER CARACTERÍSTICASIMAGENOLÓGICAS. Los hemangiomas en las leptomeninges y la atrofia de la corteza cerebral, pueden ser observados y evaluados en exámenes de Resonancia Magnética.
  • 26.
    SÍNDROME DE STURGE-WEBER CARACTERÍSTICASIMAGENOLÓGICAS. Las calcificaciones intracraneales y las reabsorciones horizontal y vertical en el hueso alveolar pueden ser evaluadas en proyecciones radiográficas más simples como la radiografía lateral de cráneo, postero-anterior de seno frontal, así como en panorámicas y periapicales de los dientes involucrados por la lesión.
  • 27.
    SÍNDROME DE STURGE-WEBER TRATAMIENTO MÉDICO El tratamiento se debe enfocar principalmente al control de las crisis convulsivas (puede incluir intervenciones quirúrgicas de alto riesgo). Además, los pacientes deben ser sometidos a exámenes periódicos oculares. A partir del primer mes de vida se pueden tratar con láser los nevos cutáneos para reducirlos o eliminarlos.
  • 28.
    SÍNDROME DE STURGE-WEBER TRATAMIENTO ODONTOLÓGICO Los pacientes deben ser sometidos a exámenes bucales periódicos y a un control minucioso de la placa bacteriana, ya que ésta puede agravar el cuadro vascular. Cualquier tratamiento de naturaleza quirúrgico en áreas asociadas a hemangiomas está contraindicado debido al riesgo de hemorragias fatales. Tratamientos profilácticos, endodónticos y restauradores pueden ser realizados en dientes asociados a hemangiomas, evitando traumatizar las mucosas y encías.
  • 29.
    SÍNDROME DE STURGE-WEBER TRATAMIENTO ODONTOLÓGICO Los tratamientos ortodóncicos no están contraindicados, sin embargo debe prestarse especial atención para evitar traumatizar tejidos blandos y si se requieren extracciones, éstas deben ser efectuadas en un ámbito hospitalario y con atención absoluta sobre el control de hemorragias. En pacientes con crisis epilépticas está contraindicado el uso de ortodoncia removible.
  • 30.
    CASO CLÍNICO V DEL ARCHIVO PERSONAL gamottar@yahoo.com.mx