Sistema Nacional del Desarrollo Integral de la Familia
C N M A I C R I L “I Z T A P A L A P A ”
E s c u e l a de T e r a p i a F í s i c a y O c u p a c i o n a l
S U B L U X A C I O N E S
Luis Ignacio Hernández Benítez
L a u r a J i m é n e z L ó p e z
G i o v a n n i L overa Delgado
G r u p o : 5 t o s e m e s t r e d e L i c . T e r a p i a F í s i c a
A s i g n a t u r a : T e r a p i a F í s i c a e n O r t o p e d i a
D o c e n t e : L i c e n c i a d a A n a b e l P e d r a l V e g a
Definición
Desplazamiento parcial de una articulación por
estiramiento de tejidos blandos.
Este tipo de trastornos, aprisionan los nervios,
desencadenando múltiples problemas físicos,
reduciendo la movilidad articular, afectando
directamente la biomecánica corporal
Cuando se aprisionan los nervios queda
comprometida la funcionalidad articular
asociada al mismo, por tal razón las
subluxaciones tienen un efecto domino
perjudicial de la salud general del individuo.
Las subluxaciones desencadenan múltiples
trastornos dolorosos y con tendencia a
complicarse, algunas condiciones de salud
que predisponen para este padecimiento son:
mala alimentación, malas practicas deportivas,
sedentarismo, patologías musculo
esqueléticas , etc.
C a u s a s
Malas
posturas
Factores
Neonatale
s
Movilizacione
s
inapropiadas
Factores
traumático
s (caídas,
golpes,
etc.)
Sobreesfuerz
os
musculares
También pueden ocurrir debido a
enfermedades tales como la artritis
reumatoide, que suele causar una
subluxación de las articulaciones del dedo
por lo que se deforman.
Pueden suceder en
cualquier articulación
del cuerpo,
incluyendo las
articulaciones de la
rodilla, de los dedos o
de cadera, etc.
Inflamación + Dolor
en la articulación afectada .
Puede haber una deformidad evidente en la zona.
 La persona puede no ser capaz de moverse.
Se piensa que la
subluxación de la columna
vertebral puede causar
síntomas en todo el
cuerpo, incluyendo la
pérdida del equilibrio,
estreñimiento, falta de
energía y dolores de
cabeza.
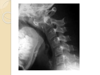
Se utilizan los rayos X
para el diagnóstico de
la subluxación.
También se están
usando
electromiografía de
superficie,
termografía, medición
de la longitud de las
piernas o la palpación
de la columna
vertebral para
Subluxación de la Cabeza del
Radio
Suele producirse al
ejercer una tracción
brusca del antebrazo en
extensión y ligera
pronación, por ejemplo
cuando un adulto que
pasea con un niño
pequeño lo toma de la
mano e intenta
levantarlo sobre un
escalón u otro obstáculo
Después del accidente el niño acusa fuerte
dolor en el codo, manteniendo el antebrazo
en ligera flexión y pronación. El niño rehúsa
mover su miembro y un ligero grado de
supinación que queramos imprimir acusa
dolor intenso.
La palpación revela dolor localizado en la
cabeza del radio y ocasionalmente puede
verse que la cabeza del radio es más
prominente en el lado enfermo que en el
opuesto. La extensión así como la flexión del
codo son normales.
El estudio radiológico es casi siempre
negativo, pero se deben tomar placas en
ambos miembros para comparación:
Factores de medición: 1º. Que la separación
del espacio ínteróseo es mayor y más notable
en el lado enfermo, hay un ligero grado de
separación entre la cabeza del radio y el
Capítelum del lado lesionado
El tratamiento de la subluxación de la cabeza
del radio en niños menores es muy simple.
Reducción donde algún "sonido" palpable y
audible es percibido en el momento en que la
cabeza radial se incorpora a su posición
anatómica normal y desde ese momento
como por arte de magia se produce un ligero
alivio rápido, asombroso y permanente.
Alguna férula liviana y posterior de yeso o
un cabestrillo simple, deberá ser llevado por
un período de 4 a 6 días.
Subluxación Atlantoaxoideo
Epidemiología
La subluxación atloaxoidea afecta a 25% de
los pacientes que padecen artritis reumatoide
(AR).
La media de tiempo que transcurre entre la
aparición de los síntomas de AR y el
diagnóstico de subluxación atloaxoidea fue de
14 años en un estudio realizado en 1987 con
15 pacientes.
Más de 85% de los pacientes que padecen
artritis reumatoide (AR) moderada o grave
presentan signos radiográficos de
Etiología
 Traumática
 No traumática: Por artritis
reumatoide, espondilitis anquilosante, síndrome
de Grisel
 Coexistencia con invaginación basilar entre un
2-3% de los pacientes con artritis reumatoide,
síndrome de Klippel-Feil
Fisiopatología
El compromiso inflamatorio de las
articulaciones sinoviales atloaxoídeas
provoca cambios erosivos en la apófisis
odontoides y descalcificación y
desprendimiento de la inserción del
ligamento transverso del atlas. Todo elle
causa una inestabilidad que permite la
subluxación anterior del atlas sobre el
axis.
Son dos los mecanismos mediante los
cuales puede generarse compresión de
la médula espinal cervical superior:
1) por el efecto de guillotina de C1
sobre C2.
2) por el tejido de granulación sinovial
que se forma alrededor de la
odontoides.
Clasificación
Existen dos tipos frecuentes de compromiso
cervical en la AR (que habitualmente
aparecen juntos):
1. la subluxación atloaxoidea anterior: es la
manifestación más frecuente de la AR en
la columna cervical; se observa hasta en
25% de los pacientes que padecen AR
2. 2. la impresión basilar (IB): translocación
ascendente de la apófisis odontoides; se
observa en ~ 8% de los pacientes que
padecen AR.
Con menos frecuencia se observa:
1. Subluxación posterior de la articulación
atloaxoidea: debe haber una fractura
asociada o una erosión artrítica casi total o
completa de la odontoides.
2. Subluxaciones subaxiales (por debajo de
C2).
3. Insuficiencia de la arteria vertebral,
secundaria a cambios ocurridos en la
charnela craneocervical.
Clínica
Esta afección es, por lo general, de evolución
progresiva. La media de edad en que
aparecen los primeros síntomas es de 57
años.
El dolor es local (en las zonas cervical
superior y suboccipital, a menudo debido a la
compresión radicular de C2) o referido (a las
zonas mastoidea, occipital, temporal o frontal)
Diagnóstico
 RX cervical lateral
 Aumento del intervalo atlantodental > 3
mm.
 Se debe completar el estudio con TAC para
visualizar rotaciones o subluxaciones
laterales.
 La resonancia nos permitirá evaluar el
pannus, erosiones de la apófisis odontoides
y la compresión medular.
Complicaciones
Morbimortalidad Debido a la frecuencia con
que están comprometidas otras funciones,
entre ellas la pulmonar, la cardíaca y la
endocrina, la mortalidad quirúrgica oscila entre
5% y 15%.
El índice de fracaso de fusión con alambrado
y artrodesis de C1-C2 llega a 50% en una
publicación, pero los índices habituales son
menores (en una serie, en 18% de los
pacientes la unión fue fibrosa). El lugar más
frecuente de fracaso de la fusión ósea es la
interfase entre el injerto óseo y el arco
posterior de C1.
Tratamiento
La evolución natural de la enfermedad:
en la mayoría de los pacientes, la
subluxación atloaxoidea progresa, pero
en un pequeño porcentaje puede llegar
a estabilizarse o a fusionarse
espontáneamente.
Una vez que se produce la mielopatía,
puede ser irreversible, por lo que se
recomienda la consulta temprana para
evaluar la necesidad de tratamiento
quirúrgico cuando se sospecha afectación
de la columna cervical por artritis
reumatoide. Incluso los pacientes con
mielopatía cervical avanzada deben ser
discutidos para el tratamiento quirúrgico,
ya que existe una mejora de la función tras
la cirugía (Mukerji y Todd, 2011).
Cuanto más grave sea la mielopatía, mayor
es el riesgo de muerte súbita las
probabilidades de hallar mielopatía aumentan
significativamente una vez que la subluxación
alcanza > 9 mm.
El envaramiento craneano asociado
disminuye aún más la tolerancia a la
subluxación atloaxoidea.
Conocimiento de la morbimortalidad del
tratamiento quirúrgico.
Casos en los que es conveniente realizar un
tratamiento en los casos sintomáticos: en casi
todos es necesario efectuar un tratamiento
quirúrgico (en la mayoría,
artrodesis/alambrado de C1-C2).
EN LOS CASOS
ASINTOMÁTICOS: EL
TRATAMIENTO DE ESTOS
CASOS ES MUY POLÉMICO
A. algunos autores opinan que la
artrodesis quirúrgica no es necesaria en
los pacientes asintomáticos si la
distancia entre C1 y la apófisis
odontoides es inferior a cierto valor
discriminatorio. Las recomendaciones
sobre cuál debe ser ese valor
discriminatorio han oscilado entre 6 mm
y 10 mm, pero el valor que se menciona
con mayor frecuencia es 8 mm.
B. con frecuencia, estos pacientes
tienen la indicación de llevar un collar
ortopédico sobre todo cuando están
fuera de su casa, pese a que la opinión
general reconoce que un collar no
proporciona ayuda ni protección
significativa.
C. algunos casos de muerte súbita de
casos de AR previamente asintomáticos
pueden deberse a subluxación
atloaxoidea y, por ende, pueden
atribuirse por error a una arritmia
cardíaca, etc.; por lo tanto, todos los
pacientes asintomáticos que presenten
inestabilidad significativa (definida
según la distancia que existe entre C1 y
la apófisis odontoides) deben ser
sometidos a tratamiento quirúrgico.
Reducción
 Antes de efectuar una fusión de C1-C2 o del
occipucio con C1-C2, es necesario reducir la
subluxación o descomprimir la región superior de
la médula.
 Menezes realiza una evaluación previa de
reducibilidad en todos los pacientes subluxados
mediante un halo cervical de tracción compatible
con RM, de la siguiente forma: comenzar con
2,300 kg y aumentar el peso gradualmente
durante una semana. En la mayoría de los
casos, la subluxación se reduce al cabo de 2-3
días. Si ello no ocurre después de 7 días,
entonces probablemente sea imposible reducirla.
Sólo ~ 20% de los casos no son reducibles (la
mayoría tiene la apófisis odontoides desplazada
> 15 mm por encima del agujero occipital).
Subluxación
temporomandibular
Que es:
Una luxación mandibular significa que la parte
inferior de la mandíbula se ha salido de su
posición normal en una o en ambas
articulaciones donde ésta se conecta al
cráneo (articulaciones temporomandibulares).
causas
La causa más común de una luxación de la
mandíbula es una lesión en la cara que puede
deberse a:
 Agresión física.
 Accidente industrial.
 Accidente automovilístico.
 Lesión recreativa o deportiva.
Síntomas
Algunos de los síntomas de una subluxación de la mandíbula
son:
 Dificultad para abrir bien la boca.
 Mordida que se siente "fuera de su sitio" o torcida.
 Dificultad para hablar.
 Babeo producto de la imposibilidad de cerrar la boca.
 Mandíbula que puede protruir hacia adelante.
 Dolor en la cara o en la mandíbula, localizado delante de la
oreja del lado afectado, y que empeora con el movimiento.
 Dientes que no se alinean apropiadamente.
No se debe
NO intente corregir la posición de la
mandíbula. Debe hacerlo un médico.
Cuándo contactar a un profesional
médico
Una luxación mandibular requiere
atención médica inmediata.
Los síntomas de emergencia abarcan
dificultad respiratoria o hemorragia
profusa.
Si la subluxación es severa, se puede
necesitar cirugía.
Inmediatamente después de la lesión, el
hielo se puede utilizar para reducir la
inflamación.
Un programa de terapia física se recomienda
generalmente para fortalecer los músculos
alrededor de la subluxación para reducir la
posibilidad de recurrencia.
Tratamiento
El descanso también
es importante
asegurarse de que
los ligamentos y el
tejido circundante ha
cicatrizado por
completo antes de
volver a las
actividades
extenuantes.
La subluxación debe ser tratada
rápidamente para evitar complicaciones.
El fortalecimiento de las articulaciones es la
clave para prevenir subluxaciones.
Reposo
Reeducación
Manejo
del
dolor
Fortalecimiento
preventivo

Subluxaciones

  • 2.
    Sistema Nacional delDesarrollo Integral de la Familia C N M A I C R I L “I Z T A P A L A P A ” E s c u e l a de T e r a p i a F í s i c a y O c u p a c i o n a l S U B L U X A C I O N E S Luis Ignacio Hernández Benítez L a u r a J i m é n e z L ó p e z G i o v a n n i L overa Delgado G r u p o : 5 t o s e m e s t r e d e L i c . T e r a p i a F í s i c a A s i g n a t u r a : T e r a p i a F í s i c a e n O r t o p e d i a D o c e n t e : L i c e n c i a d a A n a b e l P e d r a l V e g a
  • 3.
    Definición Desplazamiento parcial deuna articulación por estiramiento de tejidos blandos. Este tipo de trastornos, aprisionan los nervios, desencadenando múltiples problemas físicos, reduciendo la movilidad articular, afectando directamente la biomecánica corporal
  • 4.
    Cuando se aprisionanlos nervios queda comprometida la funcionalidad articular asociada al mismo, por tal razón las subluxaciones tienen un efecto domino perjudicial de la salud general del individuo. Las subluxaciones desencadenan múltiples trastornos dolorosos y con tendencia a complicarse, algunas condiciones de salud que predisponen para este padecimiento son: mala alimentación, malas practicas deportivas, sedentarismo, patologías musculo esqueléticas , etc.
  • 5.
    C a us a s Malas posturas Factores Neonatale s Movilizacione s inapropiadas Factores traumático s (caídas, golpes, etc.) Sobreesfuerz os musculares
  • 6.
    También pueden ocurrirdebido a enfermedades tales como la artritis reumatoide, que suele causar una subluxación de las articulaciones del dedo por lo que se deforman.
  • 7.
    Pueden suceder en cualquierarticulación del cuerpo, incluyendo las articulaciones de la rodilla, de los dedos o de cadera, etc.
  • 8.
    Inflamación + Dolor enla articulación afectada . Puede haber una deformidad evidente en la zona.  La persona puede no ser capaz de moverse.
  • 9.
    Se piensa quela subluxación de la columna vertebral puede causar síntomas en todo el cuerpo, incluyendo la pérdida del equilibrio, estreñimiento, falta de energía y dolores de cabeza.
  • 11.
    Se utilizan losrayos X para el diagnóstico de la subluxación. También se están usando electromiografía de superficie, termografía, medición de la longitud de las piernas o la palpación de la columna vertebral para
  • 13.
    Subluxación de laCabeza del Radio Suele producirse al ejercer una tracción brusca del antebrazo en extensión y ligera pronación, por ejemplo cuando un adulto que pasea con un niño pequeño lo toma de la mano e intenta levantarlo sobre un escalón u otro obstáculo
  • 14.
    Después del accidenteel niño acusa fuerte dolor en el codo, manteniendo el antebrazo en ligera flexión y pronación. El niño rehúsa mover su miembro y un ligero grado de supinación que queramos imprimir acusa dolor intenso. La palpación revela dolor localizado en la cabeza del radio y ocasionalmente puede verse que la cabeza del radio es más prominente en el lado enfermo que en el opuesto. La extensión así como la flexión del codo son normales.
  • 15.
    El estudio radiológicoes casi siempre negativo, pero se deben tomar placas en ambos miembros para comparación: Factores de medición: 1º. Que la separación del espacio ínteróseo es mayor y más notable en el lado enfermo, hay un ligero grado de separación entre la cabeza del radio y el Capítelum del lado lesionado
  • 16.
    El tratamiento dela subluxación de la cabeza del radio en niños menores es muy simple. Reducción donde algún "sonido" palpable y audible es percibido en el momento en que la cabeza radial se incorpora a su posición anatómica normal y desde ese momento como por arte de magia se produce un ligero alivio rápido, asombroso y permanente. Alguna férula liviana y posterior de yeso o un cabestrillo simple, deberá ser llevado por un período de 4 a 6 días.
  • 17.
  • 18.
    Epidemiología La subluxación atloaxoideaafecta a 25% de los pacientes que padecen artritis reumatoide (AR). La media de tiempo que transcurre entre la aparición de los síntomas de AR y el diagnóstico de subluxación atloaxoidea fue de 14 años en un estudio realizado en 1987 con 15 pacientes. Más de 85% de los pacientes que padecen artritis reumatoide (AR) moderada o grave presentan signos radiográficos de
  • 19.
    Etiología  Traumática  Notraumática: Por artritis reumatoide, espondilitis anquilosante, síndrome de Grisel  Coexistencia con invaginación basilar entre un 2-3% de los pacientes con artritis reumatoide, síndrome de Klippel-Feil
  • 20.
    Fisiopatología El compromiso inflamatoriode las articulaciones sinoviales atloaxoídeas provoca cambios erosivos en la apófisis odontoides y descalcificación y desprendimiento de la inserción del ligamento transverso del atlas. Todo elle causa una inestabilidad que permite la subluxación anterior del atlas sobre el axis.
  • 21.
    Son dos losmecanismos mediante los cuales puede generarse compresión de la médula espinal cervical superior: 1) por el efecto de guillotina de C1 sobre C2. 2) por el tejido de granulación sinovial que se forma alrededor de la odontoides.
  • 22.
    Clasificación Existen dos tiposfrecuentes de compromiso cervical en la AR (que habitualmente aparecen juntos): 1. la subluxación atloaxoidea anterior: es la manifestación más frecuente de la AR en la columna cervical; se observa hasta en 25% de los pacientes que padecen AR 2. 2. la impresión basilar (IB): translocación ascendente de la apófisis odontoides; se observa en ~ 8% de los pacientes que padecen AR.
  • 23.
    Con menos frecuenciase observa: 1. Subluxación posterior de la articulación atloaxoidea: debe haber una fractura asociada o una erosión artrítica casi total o completa de la odontoides. 2. Subluxaciones subaxiales (por debajo de C2). 3. Insuficiencia de la arteria vertebral, secundaria a cambios ocurridos en la charnela craneocervical.
  • 24.
    Clínica Esta afección es,por lo general, de evolución progresiva. La media de edad en que aparecen los primeros síntomas es de 57 años. El dolor es local (en las zonas cervical superior y suboccipital, a menudo debido a la compresión radicular de C2) o referido (a las zonas mastoidea, occipital, temporal o frontal)
  • 25.
    Diagnóstico  RX cervicallateral  Aumento del intervalo atlantodental > 3 mm.  Se debe completar el estudio con TAC para visualizar rotaciones o subluxaciones laterales.  La resonancia nos permitirá evaluar el pannus, erosiones de la apófisis odontoides y la compresión medular.
  • 27.
    Complicaciones Morbimortalidad Debido ala frecuencia con que están comprometidas otras funciones, entre ellas la pulmonar, la cardíaca y la endocrina, la mortalidad quirúrgica oscila entre 5% y 15%.
  • 28.
    El índice defracaso de fusión con alambrado y artrodesis de C1-C2 llega a 50% en una publicación, pero los índices habituales son menores (en una serie, en 18% de los pacientes la unión fue fibrosa). El lugar más frecuente de fracaso de la fusión ósea es la interfase entre el injerto óseo y el arco posterior de C1.
  • 29.
    Tratamiento La evolución naturalde la enfermedad: en la mayoría de los pacientes, la subluxación atloaxoidea progresa, pero en un pequeño porcentaje puede llegar a estabilizarse o a fusionarse espontáneamente.
  • 30.
    Una vez quese produce la mielopatía, puede ser irreversible, por lo que se recomienda la consulta temprana para evaluar la necesidad de tratamiento quirúrgico cuando se sospecha afectación de la columna cervical por artritis reumatoide. Incluso los pacientes con mielopatía cervical avanzada deben ser discutidos para el tratamiento quirúrgico, ya que existe una mejora de la función tras la cirugía (Mukerji y Todd, 2011).
  • 31.
    Cuanto más gravesea la mielopatía, mayor es el riesgo de muerte súbita las probabilidades de hallar mielopatía aumentan significativamente una vez que la subluxación alcanza > 9 mm. El envaramiento craneano asociado disminuye aún más la tolerancia a la subluxación atloaxoidea. Conocimiento de la morbimortalidad del tratamiento quirúrgico.
  • 32.
    Casos en losque es conveniente realizar un tratamiento en los casos sintomáticos: en casi todos es necesario efectuar un tratamiento quirúrgico (en la mayoría, artrodesis/alambrado de C1-C2).
  • 33.
    EN LOS CASOS ASINTOMÁTICOS:EL TRATAMIENTO DE ESTOS CASOS ES MUY POLÉMICO
  • 34.
    A. algunos autoresopinan que la artrodesis quirúrgica no es necesaria en los pacientes asintomáticos si la distancia entre C1 y la apófisis odontoides es inferior a cierto valor discriminatorio. Las recomendaciones sobre cuál debe ser ese valor discriminatorio han oscilado entre 6 mm y 10 mm, pero el valor que se menciona con mayor frecuencia es 8 mm.
  • 35.
    B. con frecuencia,estos pacientes tienen la indicación de llevar un collar ortopédico sobre todo cuando están fuera de su casa, pese a que la opinión general reconoce que un collar no proporciona ayuda ni protección significativa.
  • 36.
    C. algunos casosde muerte súbita de casos de AR previamente asintomáticos pueden deberse a subluxación atloaxoidea y, por ende, pueden atribuirse por error a una arritmia cardíaca, etc.; por lo tanto, todos los pacientes asintomáticos que presenten inestabilidad significativa (definida según la distancia que existe entre C1 y la apófisis odontoides) deben ser sometidos a tratamiento quirúrgico.
  • 37.
    Reducción  Antes deefectuar una fusión de C1-C2 o del occipucio con C1-C2, es necesario reducir la subluxación o descomprimir la región superior de la médula.  Menezes realiza una evaluación previa de reducibilidad en todos los pacientes subluxados mediante un halo cervical de tracción compatible con RM, de la siguiente forma: comenzar con 2,300 kg y aumentar el peso gradualmente durante una semana. En la mayoría de los casos, la subluxación se reduce al cabo de 2-3 días. Si ello no ocurre después de 7 días, entonces probablemente sea imposible reducirla. Sólo ~ 20% de los casos no son reducibles (la mayoría tiene la apófisis odontoides desplazada > 15 mm por encima del agujero occipital).
  • 38.
  • 39.
    Que es: Una luxaciónmandibular significa que la parte inferior de la mandíbula se ha salido de su posición normal en una o en ambas articulaciones donde ésta se conecta al cráneo (articulaciones temporomandibulares).
  • 40.
    causas La causa máscomún de una luxación de la mandíbula es una lesión en la cara que puede deberse a:  Agresión física.  Accidente industrial.  Accidente automovilístico.  Lesión recreativa o deportiva.
  • 41.
    Síntomas Algunos de lossíntomas de una subluxación de la mandíbula son:  Dificultad para abrir bien la boca.  Mordida que se siente "fuera de su sitio" o torcida.  Dificultad para hablar.  Babeo producto de la imposibilidad de cerrar la boca.  Mandíbula que puede protruir hacia adelante.  Dolor en la cara o en la mandíbula, localizado delante de la oreja del lado afectado, y que empeora con el movimiento.  Dientes que no se alinean apropiadamente.
  • 42.
    No se debe NOintente corregir la posición de la mandíbula. Debe hacerlo un médico. Cuándo contactar a un profesional médico Una luxación mandibular requiere atención médica inmediata. Los síntomas de emergencia abarcan dificultad respiratoria o hemorragia profusa.
  • 43.
    Si la subluxaciónes severa, se puede necesitar cirugía. Inmediatamente después de la lesión, el hielo se puede utilizar para reducir la inflamación.
  • 44.
    Un programa deterapia física se recomienda generalmente para fortalecer los músculos alrededor de la subluxación para reducir la posibilidad de recurrencia. Tratamiento
  • 45.
    El descanso también esimportante asegurarse de que los ligamentos y el tejido circundante ha cicatrizado por completo antes de volver a las actividades extenuantes.
  • 46.
    La subluxación debeser tratada rápidamente para evitar complicaciones. El fortalecimiento de las articulaciones es la clave para prevenir subluxaciones.
  • 47.