Martin Arneodo Traumatismos Craneoencefálicos Jornadas de Trauma
TEC Es el resultado de la transmisión y transformación de energía exógena sobre las coberturas, el cráneo y su contenido
Primera causa de muerte < 44 años > 50% de causa de muerte por trauma 10% son fatales. 30-50% moderado a severo 5-10% déficit residual  Causas mas frecuentes Accidentes vehiculares Caídas Violencia urbana Prácticas deportivas Otras: accidentes domiciliarios, autoagresión, etc TEC Estadística
Clínica y manejo inicial
Asegurar vía aérea permeable y estabilizacion de columna Asegurar ventilación Control de hemorragias externas y de la circulación central y periférica Collar cervical y examen de conciencia Examen neurológico (escala de Glasgow o trauma score modificado) Examen abdominal Lesiones (cabeza, cuello, tórax, abdomen, extremidades, etc) Procedimientos : máscara de oxígeno, punción cricotiroidea, punción pericárdica etc.   TRAUMATISMOS ENCEFALOCRANEANOS “ A” “ B” “ C” “ D” “ E” PREVENCIÓN Injurias Secundarias ATENCIÓN PREHOSPITALARIA E INICIAL ATENCIÓN DEFINITIVA 0 hora ~  7  días Distribución de la mortalidad por trauma Atención  Prehospitalaria
Manejo Inicial ABC D Escala de Glasgow: Punt R. Ocular R. Verbal R.Motora 6 - - Obedece 5 - Orientada Localiza el dolor 4 Espontánea Confusa Retira el miembro 3 Voz Incoherente Flexión 2 Dolor Incomprensible Extensión 1 ninguna ninguna ninguna
Gravedad según GCS Clasificación de Gennarelli Mínimo: 15 ptos sin PC ni Amnesia Leve: 14 o 15 ptos con PC o Amnesia Moderado: 9-13 ptos o PC + de 5 min o signo de foco Grave: - de 8 ptos Descartar: Alcohol, ACV, Hipoglucemia, estado posictal, síncope
TRAUMATISMOS ENCEFALOCRANEANOS R iesgo de  Lesión   I ntracraneal  Q uirúrgica GCS Riesgo Otros  Riesgo 15 1 : 3615 No 1 : 31300 Politrauma 1 : 6700 Fractura de cráneo 1 : 81 Fractura y Politrauma 1 : 29 9 – 14 1 : 51 Sin fractura 1 : 580 Fractura de cráneo 1 : 5 3 – 8 1 : 7 Sin fractura 1 : 27 Fractura de cráneo 1 : 4
Lesiones particulares
Lesiones particulares Injurias Primarias  : Contusión Laceración Lesión Axonal Difusa Injurias Secundarias : Hemorragias Hipoxia Isquemias   :  a) Shock Sistémico b) Disminución del Flujo Cerebral c) Desplazamiento de Linea Media
 
Hematoma de galea  Hematoma periostico Fractura  Hematoma epidural Hematoma subdural Hemorragia subaracnoidea Contusión Edematosa Contusión hemorrágica Hemorragia ventricular Enfoque Centrípeto
Entre el periostio y  galea. En niños abundante  pérdida de sangre. Hematoma subgaleal
Hematoma Subperiostico Entre el periostio y  hueso En niños  Da impresión que esta hundido Llega hasta suturas
Lineal Deprimida Hundimiento Base de cráneo Fracturas
Fracturas lineales 70% A través de articulaciones  temporo-parietales Línea media u occipital. Puede dar orígenes a HED
 
Fracturas de la base de cráneo Anterior Rinorragia y/o rinorraquia Pneumo encéfalo Nivel líquido en s.p.n. Equimosis periorbiraria  Infección Déficit Neurológico Trauma vascular Oclusión Fístula CC
Disección traumática carotídea 2 hs 10hs Día2
Transversas menos comunes Destrucción laberíntica Sordera Parálisis facial Fracturas del Temporal Paralelos al peñasco 70-90% Fístula de LCR Hipoacusia de conducción
Jóvenes de 20 a 40 años Presentación aguda Fractura 90% Período lúcido de  6 a 18 hs en el 50% Temporal 90% Mortalidad 15-20% Bi convexo Hiperdenso Causas Laceración meníngea Fractura de calvario Sangrado arterial o sinusal Hematoma epidural
HED Biconvexo No pasa las  suturas Pasa la linea media
H.E.D : desprendimiento del SLS Los senos venosos son desdoblamientos de la duramadre
H.E.D pequeños: control.
HED Mayores 20 cc : QX
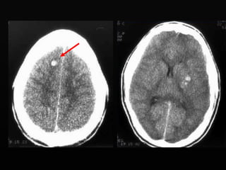
Daño cerebral más severo y pronóstico más pobre que el HED. 50-80 mortalidad en trauma agudo 24 hs. 25% en subagudo 2-10 días. Peor pronóstico con atrofia y alcoholismo  Ruptura de venas puentes Puede asociarse con laceración de superficie cerebral Cubre gran parte del hemisferio cerebral Estadios Agudo menos de 3 días. Subagudo de 4 a 21 días.  Crónico más de 21 días Hematoma Subdural
HSD Agudo
Higroma
Nuevo sangrado
Hematoma subdural subagudo
Antecedente de trauma poco claro Historia reciente (semanas o meses): Trastornos de la memoria Confusión Cambios en la personalidad Convulsiones +/- leve hemiparesia Fluctuación del nivel de conciencia. Puede ser bilateral Múltiples errores de diagnóstico: isquemia, tumor, demencia, etc. HSD crónico
HSD Crónico: sangrados reiterados
Injuria de vasos Extravasación de sangre Petequial y perivascular Hiperhemia y efecto de masa Puede progresar a hematoma Frontales y temporales Convulsiones Hemiparesia Afasia Cambios de la personalidad 75% de mortalidad Contusión cerebral
zona de « golpe » = zona de impacto    HED zona de « contragolpe » contusión frcuente , HSD, sangrado subaracnoideo
 
 
Contusión hemorrágica Hematoma
Lesiones axonales Alta velocidad. Aceleración – desaceleración. Rotación angular Profundas Ruptura de conexiones de axones. Lesión de vasos con micro hemorragias. Estado vegetativo persistente Pic normal
Lesiones axonales difusas gravedad creciente Union SB-SG Cuerpo calloso Tronco cerebral
 
TAC -  IRM  +
TRAUMATISMOS ENCEFALOCRANEANOS SEVEROS Fractura Hundimiento Hematoma Extradural Hematoma Subdural Contusión Frontal Tratamiento Médico Contusión Temporal Tratamiento  Quirúrgico TRAUMATISMOS ENCEFALOCRANEANOS
Tiempos quirúrgicos
Pasos quirúrgicos generales Sala quirúrgica
Fijación
Tratamiento de partes blandas
Craneotomía
Cierre
Tipos de Abordajes Hemi bicoronal - pterional
Tipos de Abordajes Bi coronal - Soutar
Tipos de Abordajes Penfield
Tipos de Abordajes Herraduras
Tipos de Abordajes Región Posterior
Tipos de Abordajes Combinados
Lo que  NO  hay que hacer Canalizar con Dextrosa Calmar dolor y ansiedad con benzodiacepinas Dejar de reevaluar los pacientes con politraumatismos Enfocarse sólo en sistema nervioso. PEDIR TAC de COLUMNA CERVICAL sin motivo Dejar los pacientes horas sobre la tabla de raquis (valorar si está conciente, si hay dolor, si cayo de altura, si vamos a hacer Rx de toda la columna) Desestimar TAQUICARDIA como posible indicador de hipotensión incipiente.
RECORDAR SIEMPRE CINEMATICA
GRACIAS

Tec instrument

  • 1.
    Martin Arneodo TraumatismosCraneoencefálicos Jornadas de Trauma
  • 2.
    TEC Es elresultado de la transmisión y transformación de energía exógena sobre las coberturas, el cráneo y su contenido
  • 3.
    Primera causa demuerte < 44 años > 50% de causa de muerte por trauma 10% son fatales. 30-50% moderado a severo 5-10% déficit residual Causas mas frecuentes Accidentes vehiculares Caídas Violencia urbana Prácticas deportivas Otras: accidentes domiciliarios, autoagresión, etc TEC Estadística
  • 4.
  • 5.
    Asegurar vía aéreapermeable y estabilizacion de columna Asegurar ventilación Control de hemorragias externas y de la circulación central y periférica Collar cervical y examen de conciencia Examen neurológico (escala de Glasgow o trauma score modificado) Examen abdominal Lesiones (cabeza, cuello, tórax, abdomen, extremidades, etc) Procedimientos : máscara de oxígeno, punción cricotiroidea, punción pericárdica etc. TRAUMATISMOS ENCEFALOCRANEANOS “ A” “ B” “ C” “ D” “ E” PREVENCIÓN Injurias Secundarias ATENCIÓN PREHOSPITALARIA E INICIAL ATENCIÓN DEFINITIVA 0 hora ~ 7 días Distribución de la mortalidad por trauma Atención Prehospitalaria
  • 6.
    Manejo Inicial ABCD Escala de Glasgow: Punt R. Ocular R. Verbal R.Motora 6 - - Obedece 5 - Orientada Localiza el dolor 4 Espontánea Confusa Retira el miembro 3 Voz Incoherente Flexión 2 Dolor Incomprensible Extensión 1 ninguna ninguna ninguna
  • 7.
    Gravedad según GCSClasificación de Gennarelli Mínimo: 15 ptos sin PC ni Amnesia Leve: 14 o 15 ptos con PC o Amnesia Moderado: 9-13 ptos o PC + de 5 min o signo de foco Grave: - de 8 ptos Descartar: Alcohol, ACV, Hipoglucemia, estado posictal, síncope
  • 8.
    TRAUMATISMOS ENCEFALOCRANEANOS Riesgo de Lesión I ntracraneal Q uirúrgica GCS Riesgo Otros Riesgo 15 1 : 3615 No 1 : 31300 Politrauma 1 : 6700 Fractura de cráneo 1 : 81 Fractura y Politrauma 1 : 29 9 – 14 1 : 51 Sin fractura 1 : 580 Fractura de cráneo 1 : 5 3 – 8 1 : 7 Sin fractura 1 : 27 Fractura de cráneo 1 : 4
  • 9.
  • 10.
    Lesiones particulares InjuriasPrimarias : Contusión Laceración Lesión Axonal Difusa Injurias Secundarias : Hemorragias Hipoxia Isquemias : a) Shock Sistémico b) Disminución del Flujo Cerebral c) Desplazamiento de Linea Media
  • 11.
  • 12.
    Hematoma de galea Hematoma periostico Fractura Hematoma epidural Hematoma subdural Hemorragia subaracnoidea Contusión Edematosa Contusión hemorrágica Hemorragia ventricular Enfoque Centrípeto
  • 13.
    Entre el periostioy galea. En niños abundante pérdida de sangre. Hematoma subgaleal
  • 14.
    Hematoma Subperiostico Entreel periostio y hueso En niños Da impresión que esta hundido Llega hasta suturas
  • 15.
    Lineal Deprimida HundimientoBase de cráneo Fracturas
  • 16.
    Fracturas lineales 70%A través de articulaciones temporo-parietales Línea media u occipital. Puede dar orígenes a HED
  • 17.
  • 18.
    Fracturas de labase de cráneo Anterior Rinorragia y/o rinorraquia Pneumo encéfalo Nivel líquido en s.p.n. Equimosis periorbiraria Infección Déficit Neurológico Trauma vascular Oclusión Fístula CC
  • 19.
  • 20.
    Transversas menos comunesDestrucción laberíntica Sordera Parálisis facial Fracturas del Temporal Paralelos al peñasco 70-90% Fístula de LCR Hipoacusia de conducción
  • 21.
    Jóvenes de 20a 40 años Presentación aguda Fractura 90% Período lúcido de 6 a 18 hs en el 50% Temporal 90% Mortalidad 15-20% Bi convexo Hiperdenso Causas Laceración meníngea Fractura de calvario Sangrado arterial o sinusal Hematoma epidural
  • 22.
    HED Biconvexo Nopasa las suturas Pasa la linea media
  • 23.
    H.E.D : desprendimientodel SLS Los senos venosos son desdoblamientos de la duramadre
  • 24.
  • 25.
  • 26.
    Daño cerebral mássevero y pronóstico más pobre que el HED. 50-80 mortalidad en trauma agudo 24 hs. 25% en subagudo 2-10 días. Peor pronóstico con atrofia y alcoholismo Ruptura de venas puentes Puede asociarse con laceración de superficie cerebral Cubre gran parte del hemisferio cerebral Estadios Agudo menos de 3 días. Subagudo de 4 a 21 días. Crónico más de 21 días Hematoma Subdural
  • 27.
  • 28.
  • 29.
  • 30.
  • 31.
    Antecedente de traumapoco claro Historia reciente (semanas o meses): Trastornos de la memoria Confusión Cambios en la personalidad Convulsiones +/- leve hemiparesia Fluctuación del nivel de conciencia. Puede ser bilateral Múltiples errores de diagnóstico: isquemia, tumor, demencia, etc. HSD crónico
  • 32.
  • 33.
    Injuria de vasosExtravasación de sangre Petequial y perivascular Hiperhemia y efecto de masa Puede progresar a hematoma Frontales y temporales Convulsiones Hemiparesia Afasia Cambios de la personalidad 75% de mortalidad Contusión cerebral
  • 34.
    zona de « golpe »= zona de impacto HED zona de « contragolpe » contusión frcuente , HSD, sangrado subaracnoideo
  • 35.
  • 36.
  • 37.
  • 38.
    Lesiones axonales Altavelocidad. Aceleración – desaceleración. Rotación angular Profundas Ruptura de conexiones de axones. Lesión de vasos con micro hemorragias. Estado vegetativo persistente Pic normal
  • 39.
    Lesiones axonales difusasgravedad creciente Union SB-SG Cuerpo calloso Tronco cerebral
  • 40.
  • 41.
    TAC - IRM +
  • 42.
    TRAUMATISMOS ENCEFALOCRANEANOS SEVEROSFractura Hundimiento Hematoma Extradural Hematoma Subdural Contusión Frontal Tratamiento Médico Contusión Temporal Tratamiento Quirúrgico TRAUMATISMOS ENCEFALOCRANEANOS
  • 43.
  • 44.
  • 45.
  • 46.
  • 47.
  • 48.
  • 49.
    Tipos de AbordajesHemi bicoronal - pterional
  • 50.
    Tipos de AbordajesBi coronal - Soutar
  • 51.
  • 52.
  • 53.
    Tipos de AbordajesRegión Posterior
  • 54.
  • 55.
    Lo que NO hay que hacer Canalizar con Dextrosa Calmar dolor y ansiedad con benzodiacepinas Dejar de reevaluar los pacientes con politraumatismos Enfocarse sólo en sistema nervioso. PEDIR TAC de COLUMNA CERVICAL sin motivo Dejar los pacientes horas sobre la tabla de raquis (valorar si está conciente, si hay dolor, si cayo de altura, si vamos a hacer Rx de toda la columna) Desestimar TAQUICARDIA como posible indicador de hipotensión incipiente.
  • 56.
  • 57.