Traumatismo
craneoencefalico
Guillermo Enriquez Coronel
Academia de Neurologia Fac. Medicina BUAP
CLINICA DE PARKINSON DE PUEBLA
www.clinicadeparkinsonpuebla.com
Niño con TCE , fallecio
TCE
Producto de la socidad INcivilizada
Principal causa de muerte y secuelas en personas jovenes.
Mas de 2 millones son vistos en los servicios de urgencias de
USA y el 25 % son admitidos a hospital .
El 10 % de todas las muertes son de origen traumatico en
USA y la mitad de esas muertes traumaticas comprometen al
cerebro.
En USA un TCE ocurre cada 7 segundos y una muerte cada 5
minutos .
El TCE ocurre en todas las edades pero siempre el pico es
mayor en personas jovenes.
Los hombres son afectadas 75 %
TCE
Fracturas de craneo
Lineales, deprimidas, conminutas.
Fracturas abiertas y cerradas
El 80 % de las fractura son lineales. Ocurren mas
frecuentemente en la region temporoparietal donde el
craneo es delgado
El encontrar una fractura supone una lesion
importante.
Las fracturas no desplazadas, se tratan de manera
conservadora.
.
TCE
 Las fracturas deprimidas , conminutas , requieren
exploracion quirugica
 Las fracturas de la base de craneo pueden ser
lineales, deprimidas o conminutas.
Puede haber lesion de nervios craneales o ruptura
dural que puede dar meningitis
Hemotimpano , perforacion timpanica,perdida
auditiva, otorrea, otorragia, paralisis facial, signos de
Battle, anosmia, equimosis periorbitaria.
La perdida de la conciencia en el momento del
impacto es causado por movimientos de
aceleracion-desaceleracion de la cabeza que
produce lesión de los axones.
Cuando la alteracion de la conciencia es leve,
menos de 6 hrs., se utiliza el termino
concusion. La causa de la perdida de la
conciencia es alteracion del sistema activador
reticular ascendente .
Concusion cerebral y lesión
axonal difusa
Experimentalmente el rotar la cabeza sin
haber golpe Y DETENERSE, puede producir
concusión en animales de experimentacion
La mayoria de pacientes con concusion tienen
normal TAC o RM
Solo 5 % de pacientes con concusion cerebral
tienen, hemorragia cerebral. NO
REQUIEREN CIRUGIA
Lesion Axonal Difusa, se aplica cuando un
paciente tarda mas de 6 hrs en estado de
coma. Y cuando no exista otra causa por
TAC o RM que la explique.
Se presenta lesion axonal tanto
macroscopica como microscopica.
El coma de 6 a 24 hrs en llamdao LAX leve
El coma de 24 hrs o mas es llamado como
moderado o grave dependiendo o no de lesion
de tallo cerebral , por hernias habiendo
decortiacion o descerebracion.
Disfuncion autonomica : hipertension,
hiperhidrosis, fiebre. Es comun en LAX grave, y
puede reflejar daño hipotalamico.
La perdida de la conciencia puede durar, dias,
meses o años y cuando recobran la conciencia ,
quedan con severa daño cognitivo, espasticidad,
y ataxia.
EDEMA CEREBRAL
Incremento en el contenido de agua cerebral
extravascular
Incremento de volumen sanguineo cerebral,
resultando en vasodilatacion
El edema cerebral EN GENERAL se clasifica en
citotoxico, vasogenico e intersticial
Puede ser difuso o focal adyacente al parenquima
o extradural.
Contusion hemorragica
NO SE OPERA
Contusion cerebral son hemorragias parenquimaosas que
resulta de rosamiento y magullamiento del cerebro sobre las
partes salientes del craneo.
Se presenta en los lobulos frontal y temporal.. Se presentan
laceraciones.
CONTUSION CEREBRAL
CONTUSION CEREBRAL
NO CONMOCION CEREBRAL
Hematoma subdural
El origen es de sangre venosa entre la aracnoides y
la duramadre.
 Es originado por movimientos del cerebro dentro
del craneo que conduce un estiramiento y
desgarramiento de las venas que drenan de la
superficie del cerebro a los senos durales, o ruptura
de arterias piales.
Hematoma subdural
 La mayoria de los hematomas son
localizados sobre la convexidad cerebral
lateral, pero la sangre subdural puede asi
estar sobre la superficie medial , entre el
tentorio y el lobulo occipital , entre el lobulo
temporal y la base de craneo o la fosa
posterior
Hematoma Subdural
La TAC muestra la imagen hiperdensa
biconcava en la superficie.
En el anciano o alcoholico , el paciente con
atrofia cerebral son susceptibles al hematoma
subdural.
Hematoma Subdural
HEMATOMA SUBDURAL AGUDO
Aparecen dentro de 72 hrs., pero la mayoria de los pacientes
tienen sintomas desde le momento del TCE.
Ocurren menos comunmente despues de truma vehicular, y
mas comun despues de caidas y asaltos.
La mitad de los pacientes con hematoma subdural agudo
pierden la conciencia en el momento del trauma;25 % estan en
coma al llegar al hospital y la mitad estan despiertos , la
perdida de la conciencia para un segundo tiempo, es decir un
intervalo lucido de minutos u horas
Hematoma subdural agudo
Hemiparesia, y anormalidades pupilares.,
cefalea, y alteracion conciencia
HERNIA PARADOJICA DE
KERNOHAM., Babinski ipsilateral
Hematoma subdural cronico
HEMATOMA SUBDURAL CRONICO
Inician la sintomatologia despues de 21 dias
Ocurren en personas de mas de 50 años.
En 25 % a 50% no se menciona el antecedente de TCE.
La mitad de los pacientes tiene historias de alcoholismo o epilepsia y el
trauma ha sido olvidado.
Otras causas son discrasias sanguíneas. HEMOFILIA
El cuadro clinico es cambios en el estado mental, llegando a la
DEMENCIA
TAC zona isodensa o hipodensa. Puede haber HIGROMAS.
TRATAMIENTO: QUIRURGICO. Reoperaciones en 15 %.
HEMATOMA EPIDURAL
Ocurre en el 1 % de los TCE
Es ocasionado por ruptura de arteria
meningea media, pero en 15 % es
ocasionado por ruptura de senos
venosos.
75 % es asociado fractura de craneo. La
dura es separada del craneo por sangre
y se incrementa hasta que el vaso es
comprimido por el coagulo.
Son localizados sobre la convexidad en la fosa
craneal media,pero puede haber en la fosa
anterior.
Pueden ocurrir en la fosa posterior.
Ocurre en personas jovenes. Hay perdida de la
conciencia, despues un periodo lucido para
despues caer en coma. Hemiplejia, pupila
ipsilateral o no; CEFALEA Y ALTERACION
CONCIENCIA
Puede haber signos cerebelosos, rigidez de nuca,
Por TAC es la forma de lente BICONVEXO.
Herniacion, y muerte puede ser rapido, por lo que
requiere CIRUGIA URGENTE
HEMATOMA EPIDURAL
caso clinico
 Historia de Mexico
 En los pueblos pequeños
hay fiestas, alcohol y
traumas
 Joven que salio a la fiesta
tomo alcohol, se peleo
,llego a su casa en la
madrugada , atáxico
 Se quedo dormido todo
el domingo
Hematoma epidural
 Se opero de manera
inmediata por el Dr.
Salvador Rodriguez
Peralta
Hemorragia Subaracnoidea
Es la extravasacion de sangre al espacio subaracnoideo a
consecuencia de l TCE
Se puede identificar realizando una PL ( no se hace)
Por TAC se observa la sangre en la convexidad a diferencia de
la ruptura de aneurisma en donde se ve la sangre en las
cisternas.
Las complicaciones como Hidrocefalia e isquemia son poco
frecuentes
Signo en donde se sienta el pác.
Al flexionar la cabeza
Caso clínico del dia 31 de dic 2015
Niña con TCE
 Niña de 2.5 años de edad
 Vehiculo en mov
 Llega a hosp privado
 La quieren pasar a uci y
multi-especialistas
 Acepte el caso y se
atendió en la cruz roja
 Estuvo 5 días y efgreso
sin cirugía
TCE
TCE
FRACTURA
TCE
TCE
TCE
TCE
TCE
TCE
Complicaciones inmediatas
Edema cerebral- citotoxico
Lesion axonal difusa
Hernias cerebrales
Contusion hemorragica
Hematoma subdural
Hematoma epidural
Hemorragia subaracnoidea
Fistula carotido-cavernosa- fractura de la base de craneo
Trombosis septica de senos durales – fractura abierta
Meningitis – fractura abierta
Absceso cerebral-fractura abierta
Embolia grasa- fractura de huesos largos
Neumoencefalo- fractura de craneo
Escala de Glasgow
clasificar el TCE
Apertura ocular
Espontanea……………..4
A la voz ………………..3
Al dolor…………………2
Ninguna ………………..1
Respuesta motora
Obedece al comando……6
Localiza el dolor…………5
Retira al dolor……………4
Postura en flexion………..3 DECORTICACION
Postura en extension……..2 DESCEREBRACION
Ninguna………………….1
Respuesta verbal
Conversa Orientado.............5
Conversa desorientado…..4
Palabras inapropiadas…….3
Sonidos incompresibles…..2
Ninguno………………….1
Gravedad en TCE
LEVE
Examen neurologico normal
No concusion
No intoxicacion por drogas o alcohol ( muy raro)
Puede haber cefalea y mareo
Puede abrasion del scalpe , laceracion o
cefalohematoma ( CHICHON- CRANEO)
EL PACIENTE NO SE HOSPITALIZA
TCE moderado
MODERADO
Grado de Coma de Glasgow de 9-14
( confuso, letargico o estuporoso)
Concusion
Amnesia postraumatica
Vomito
Crisis convulsiva
Fractura de craneo o lesion facial grave
Ingesta de alcohol o drogas
Edad: menos de 2 años o mas de 65 años
ANTE CUALQUIER PUNTO O SITUACION : HOSPITALIZAR
TCE grave
Grado de la Escala de Glasgow de 3- 8
puntos
Progresivo deterioro del nivel de conciencia
Signos neurologicos focales
Fracturas deprimida
HOSPITALIZACION EN TERAPIA INTENSIVA
Diagnostico TCE ,TRIAGE
1.- EXPLORACION GENERAL : A.B.C.
2.- EXPLORACION DEL TORAX Y ABDOMEN
3.- EXPLORACION NEUROLOGIA
4.- TOMOGRAFIA COMPUTARIZADA DE CRANEO SIMPLE, TCE
MODERADO Y GRAVE
5.- MONITORIZACION DEL PRESION INTRACRANEANA
Criterios para admision a
Hospital, TCE
SANGRE INTRACRANEAL O FRACTURA IDENTIFICADA
CONFUSION, AGITACION O DEPRESION DE LA
CONCIENCIA
SIGNOS O SINTOMAS NEUROLOGICOS FOCALES
CRISIS CONVULSIVAS POSTRAUMATICAS
INTOXICACION POR ALCOHOL O DROGAS :
ENFERMEDAD COMORBIDA IMPORTANTE , DM, HTA
AUSENCIA DE UNA OBSERVACION ADECUADA EN SU
HOGAR , PERSONA AQUE VIVE SOLA
Tratamiento TCE
MANEJO DE LA PRESION INTRACRANEANA
Puede requerir cirugia intracraneal
Sedacion
Manitol 0.25 mgs a 1 gr lV cada 2 a 6 hrs lV
Hiperventilacion
Pentobarbital 5-20 mgs/ Kg y mantener 1-4 mg /kg/hr
Hipotermia sistemica
Complicaciones tardias del TCE
EPILEPSIA
SINDROME ORGANICO CEREBRAL , DEMENCIA
SINDROME POSTRAUMATICO , ANSIEDAD VERTIGO ETC
LESION DE PARES CRANEALES
SINDROME EXTRAPIRAMIDAL
HIDROCEFALIA NORMOTENSA O SINDROME DE HAKIM –
ADAMS
Ataxia, incontrol de esfinteres y alteracion de la conciencia
PARTO, EN MEXICO ES DISTOCICO CASI SIEMPRE
NIÑO MALTRATADO
ENCEFALOPATIA PUGILISTICA
Caso del BMW de la ciudad de
Mexico
Conclusiones de TCE
 Debe ser valorada clínicamente y no solo ver
una Rx simple de cráneo
 El 80 % de los TCE NO SE OPERAN
 Debe ser evaluado el paciente hasta un mes o
mas después del TCE
 Un juego simple del niño o adolescente o un
asalto por leve que sea , debe evaluarse de
manera total
 Los ANTROS , y el exceso de alcohol deben
evitarse , y no conducir vehiculo rápido
TCE
GRACIAS POR SU ATENCION
Guillermo Enríquez Coronel
www.clinicadeparkinsonpuebla.com

Tce 2020

  • 1.
    Traumatismo craneoencefalico Guillermo Enriquez Coronel Academiade Neurologia Fac. Medicina BUAP CLINICA DE PARKINSON DE PUEBLA www.clinicadeparkinsonpuebla.com
  • 3.
    Niño con TCE, fallecio
  • 6.
    TCE Producto de lasocidad INcivilizada Principal causa de muerte y secuelas en personas jovenes. Mas de 2 millones son vistos en los servicios de urgencias de USA y el 25 % son admitidos a hospital . El 10 % de todas las muertes son de origen traumatico en USA y la mitad de esas muertes traumaticas comprometen al cerebro. En USA un TCE ocurre cada 7 segundos y una muerte cada 5 minutos . El TCE ocurre en todas las edades pero siempre el pico es mayor en personas jovenes. Los hombres son afectadas 75 %
  • 7.
    TCE Fracturas de craneo Lineales,deprimidas, conminutas. Fracturas abiertas y cerradas El 80 % de las fractura son lineales. Ocurren mas frecuentemente en la region temporoparietal donde el craneo es delgado El encontrar una fractura supone una lesion importante. Las fracturas no desplazadas, se tratan de manera conservadora. .
  • 8.
    TCE  Las fracturasdeprimidas , conminutas , requieren exploracion quirugica  Las fracturas de la base de craneo pueden ser lineales, deprimidas o conminutas. Puede haber lesion de nervios craneales o ruptura dural que puede dar meningitis Hemotimpano , perforacion timpanica,perdida auditiva, otorrea, otorragia, paralisis facial, signos de Battle, anosmia, equimosis periorbitaria.
  • 9.
    La perdida dela conciencia en el momento del impacto es causado por movimientos de aceleracion-desaceleracion de la cabeza que produce lesión de los axones. Cuando la alteracion de la conciencia es leve, menos de 6 hrs., se utiliza el termino concusion. La causa de la perdida de la conciencia es alteracion del sistema activador reticular ascendente . Concusion cerebral y lesión axonal difusa
  • 10.
    Experimentalmente el rotarla cabeza sin haber golpe Y DETENERSE, puede producir concusión en animales de experimentacion La mayoria de pacientes con concusion tienen normal TAC o RM Solo 5 % de pacientes con concusion cerebral tienen, hemorragia cerebral. NO REQUIEREN CIRUGIA
  • 11.
    Lesion Axonal Difusa,se aplica cuando un paciente tarda mas de 6 hrs en estado de coma. Y cuando no exista otra causa por TAC o RM que la explique. Se presenta lesion axonal tanto macroscopica como microscopica. El coma de 6 a 24 hrs en llamdao LAX leve
  • 12.
    El coma de24 hrs o mas es llamado como moderado o grave dependiendo o no de lesion de tallo cerebral , por hernias habiendo decortiacion o descerebracion. Disfuncion autonomica : hipertension, hiperhidrosis, fiebre. Es comun en LAX grave, y puede reflejar daño hipotalamico. La perdida de la conciencia puede durar, dias, meses o años y cuando recobran la conciencia , quedan con severa daño cognitivo, espasticidad, y ataxia.
  • 17.
    EDEMA CEREBRAL Incremento enel contenido de agua cerebral extravascular Incremento de volumen sanguineo cerebral, resultando en vasodilatacion El edema cerebral EN GENERAL se clasifica en citotoxico, vasogenico e intersticial Puede ser difuso o focal adyacente al parenquima o extradural.
  • 21.
    Contusion hemorragica NO SEOPERA Contusion cerebral son hemorragias parenquimaosas que resulta de rosamiento y magullamiento del cerebro sobre las partes salientes del craneo. Se presenta en los lobulos frontal y temporal.. Se presentan laceraciones.
  • 22.
  • 23.
  • 27.
    Hematoma subdural El origenes de sangre venosa entre la aracnoides y la duramadre.  Es originado por movimientos del cerebro dentro del craneo que conduce un estiramiento y desgarramiento de las venas que drenan de la superficie del cerebro a los senos durales, o ruptura de arterias piales.
  • 28.
    Hematoma subdural  Lamayoria de los hematomas son localizados sobre la convexidad cerebral lateral, pero la sangre subdural puede asi estar sobre la superficie medial , entre el tentorio y el lobulo occipital , entre el lobulo temporal y la base de craneo o la fosa posterior
  • 29.
    Hematoma Subdural La TACmuestra la imagen hiperdensa biconcava en la superficie. En el anciano o alcoholico , el paciente con atrofia cerebral son susceptibles al hematoma subdural.
  • 30.
    Hematoma Subdural HEMATOMA SUBDURALAGUDO Aparecen dentro de 72 hrs., pero la mayoria de los pacientes tienen sintomas desde le momento del TCE. Ocurren menos comunmente despues de truma vehicular, y mas comun despues de caidas y asaltos. La mitad de los pacientes con hematoma subdural agudo pierden la conciencia en el momento del trauma;25 % estan en coma al llegar al hospital y la mitad estan despiertos , la perdida de la conciencia para un segundo tiempo, es decir un intervalo lucido de minutos u horas
  • 31.
    Hematoma subdural agudo Hemiparesia,y anormalidades pupilares., cefalea, y alteracion conciencia HERNIA PARADOJICA DE KERNOHAM., Babinski ipsilateral
  • 34.
    Hematoma subdural cronico HEMATOMASUBDURAL CRONICO Inician la sintomatologia despues de 21 dias Ocurren en personas de mas de 50 años. En 25 % a 50% no se menciona el antecedente de TCE. La mitad de los pacientes tiene historias de alcoholismo o epilepsia y el trauma ha sido olvidado. Otras causas son discrasias sanguíneas. HEMOFILIA El cuadro clinico es cambios en el estado mental, llegando a la DEMENCIA TAC zona isodensa o hipodensa. Puede haber HIGROMAS. TRATAMIENTO: QUIRURGICO. Reoperaciones en 15 %.
  • 35.
    HEMATOMA EPIDURAL Ocurre enel 1 % de los TCE Es ocasionado por ruptura de arteria meningea media, pero en 15 % es ocasionado por ruptura de senos venosos. 75 % es asociado fractura de craneo. La dura es separada del craneo por sangre y se incrementa hasta que el vaso es comprimido por el coagulo.
  • 36.
    Son localizados sobrela convexidad en la fosa craneal media,pero puede haber en la fosa anterior. Pueden ocurrir en la fosa posterior. Ocurre en personas jovenes. Hay perdida de la conciencia, despues un periodo lucido para despues caer en coma. Hemiplejia, pupila ipsilateral o no; CEFALEA Y ALTERACION CONCIENCIA Puede haber signos cerebelosos, rigidez de nuca, Por TAC es la forma de lente BICONVEXO. Herniacion, y muerte puede ser rapido, por lo que requiere CIRUGIA URGENTE
  • 37.
    HEMATOMA EPIDURAL caso clinico Historia de Mexico  En los pueblos pequeños hay fiestas, alcohol y traumas  Joven que salio a la fiesta tomo alcohol, se peleo ,llego a su casa en la madrugada , atáxico  Se quedo dormido todo el domingo
  • 39.
    Hematoma epidural  Seopero de manera inmediata por el Dr. Salvador Rodriguez Peralta
  • 43.
    Hemorragia Subaracnoidea Es laextravasacion de sangre al espacio subaracnoideo a consecuencia de l TCE Se puede identificar realizando una PL ( no se hace) Por TAC se observa la sangre en la convexidad a diferencia de la ruptura de aneurisma en donde se ve la sangre en las cisternas. Las complicaciones como Hidrocefalia e isquemia son poco frecuentes
  • 44.
    Signo en dondese sienta el pác. Al flexionar la cabeza
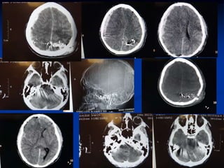
  • 45.
    Caso clínico deldia 31 de dic 2015 Niña con TCE  Niña de 2.5 años de edad  Vehiculo en mov  Llega a hosp privado  La quieren pasar a uci y multi-especialistas  Acepte el caso y se atendió en la cruz roja  Estuvo 5 días y efgreso sin cirugía
  • 46.
  • 47.
  • 48.
  • 49.
  • 50.
  • 51.
  • 52.
  • 53.
  • 54.
  • 55.
    Complicaciones inmediatas Edema cerebral-citotoxico Lesion axonal difusa Hernias cerebrales Contusion hemorragica Hematoma subdural Hematoma epidural Hemorragia subaracnoidea Fistula carotido-cavernosa- fractura de la base de craneo Trombosis septica de senos durales – fractura abierta Meningitis – fractura abierta Absceso cerebral-fractura abierta Embolia grasa- fractura de huesos largos Neumoencefalo- fractura de craneo
  • 56.
    Escala de Glasgow clasificarel TCE Apertura ocular Espontanea……………..4 A la voz ………………..3 Al dolor…………………2 Ninguna ………………..1 Respuesta motora Obedece al comando……6 Localiza el dolor…………5 Retira al dolor……………4 Postura en flexion………..3 DECORTICACION Postura en extension……..2 DESCEREBRACION Ninguna………………….1 Respuesta verbal Conversa Orientado.............5 Conversa desorientado…..4 Palabras inapropiadas…….3 Sonidos incompresibles…..2 Ninguno………………….1
  • 57.
    Gravedad en TCE LEVE Examenneurologico normal No concusion No intoxicacion por drogas o alcohol ( muy raro) Puede haber cefalea y mareo Puede abrasion del scalpe , laceracion o cefalohematoma ( CHICHON- CRANEO) EL PACIENTE NO SE HOSPITALIZA
  • 58.
    TCE moderado MODERADO Grado deComa de Glasgow de 9-14 ( confuso, letargico o estuporoso) Concusion Amnesia postraumatica Vomito Crisis convulsiva Fractura de craneo o lesion facial grave Ingesta de alcohol o drogas Edad: menos de 2 años o mas de 65 años ANTE CUALQUIER PUNTO O SITUACION : HOSPITALIZAR
  • 59.
    TCE grave Grado dela Escala de Glasgow de 3- 8 puntos Progresivo deterioro del nivel de conciencia Signos neurologicos focales Fracturas deprimida HOSPITALIZACION EN TERAPIA INTENSIVA
  • 60.
    Diagnostico TCE ,TRIAGE 1.-EXPLORACION GENERAL : A.B.C. 2.- EXPLORACION DEL TORAX Y ABDOMEN 3.- EXPLORACION NEUROLOGIA 4.- TOMOGRAFIA COMPUTARIZADA DE CRANEO SIMPLE, TCE MODERADO Y GRAVE 5.- MONITORIZACION DEL PRESION INTRACRANEANA
  • 61.
    Criterios para admisiona Hospital, TCE SANGRE INTRACRANEAL O FRACTURA IDENTIFICADA CONFUSION, AGITACION O DEPRESION DE LA CONCIENCIA SIGNOS O SINTOMAS NEUROLOGICOS FOCALES CRISIS CONVULSIVAS POSTRAUMATICAS INTOXICACION POR ALCOHOL O DROGAS : ENFERMEDAD COMORBIDA IMPORTANTE , DM, HTA AUSENCIA DE UNA OBSERVACION ADECUADA EN SU HOGAR , PERSONA AQUE VIVE SOLA
  • 62.
    Tratamiento TCE MANEJO DELA PRESION INTRACRANEANA Puede requerir cirugia intracraneal Sedacion Manitol 0.25 mgs a 1 gr lV cada 2 a 6 hrs lV Hiperventilacion Pentobarbital 5-20 mgs/ Kg y mantener 1-4 mg /kg/hr Hipotermia sistemica
  • 72.
    Complicaciones tardias delTCE EPILEPSIA SINDROME ORGANICO CEREBRAL , DEMENCIA SINDROME POSTRAUMATICO , ANSIEDAD VERTIGO ETC LESION DE PARES CRANEALES SINDROME EXTRAPIRAMIDAL HIDROCEFALIA NORMOTENSA O SINDROME DE HAKIM – ADAMS Ataxia, incontrol de esfinteres y alteracion de la conciencia PARTO, EN MEXICO ES DISTOCICO CASI SIEMPRE NIÑO MALTRATADO ENCEFALOPATIA PUGILISTICA
  • 73.
    Caso del BMWde la ciudad de Mexico
  • 77.
    Conclusiones de TCE Debe ser valorada clínicamente y no solo ver una Rx simple de cráneo  El 80 % de los TCE NO SE OPERAN  Debe ser evaluado el paciente hasta un mes o mas después del TCE  Un juego simple del niño o adolescente o un asalto por leve que sea , debe evaluarse de manera total  Los ANTROS , y el exceso de alcohol deben evitarse , y no conducir vehiculo rápido
  • 78.
    TCE GRACIAS POR SUATENCION Guillermo Enríquez Coronel www.clinicadeparkinsonpuebla.com