DEFINICIÓN
Se denomina trauma abdominal,
cuando éste compartimento
orgánico sufre la acción violenta
de agentes que producen lesiones
de diferente magnitud y
gravedad, en los elementos que
constituyen la cavidad abdominal
ABDOMEN TRAUMÁTICO
 CLASIFICACIÓN
 Trauma cerrado
 Trauma penetrante
CERRADO PENETRANTE
INCIDENCIA 80-90% 10-20%
CAUSAS AccidenteTráfico (68%)
Arma Blanca (60%)
Arma Fuego (20%)
LESIONES
Bazo (50 - 60%)
Hígado (34%)
Intestino delgado (5 -
15%)
Intestino delgado (30
- 50%) Hígado (24%)
Bazo (14%)
Ronald V. Maier. Clínicas quirúrgicas de Norteamérica
2007, volumen 87, Numero 1.
MECANISMOS DE LESIÓN
TRAUMACERRADO
Impacto cerrado
Compresión o lesión por
aplastamiento de vísceras
Deforman órganos sólidos
y huecos
Ruptura con hemorragia
secundaria y peritonitis
TRAUMA PENETRANTE
Arma blanca y de
fuego de baja
velocidad
Proyectiles de alta
velocidad
Causan daño al tejido por
laceración o corte
Tienen efecto de cavitación
temporal y lesiones adicionales
en su desviación y fragmentación
 Se encuentra alrededor del orificio
de entrada.
 Incrustación en la piel de granos de
pólvora en combustión incompleta.
 Puntos oscuros en la piel en forma
más o menos concéntrica.
 Pudiendo considerarse entre los 50
cm de distancia para revólver o
pistola.
Artículo "Las Heridas de Bala" por Rogelio Antonio González - Crio Inspector de la Polocía Federal Argentina -
nº9 de la Revista "policía y Criminalítica" ed. Policial Agosto 2001
 Plano Corporal: los proyectiles podrán no sólo
atravesar cualquier parte de la superficie cutánea sino
también tendrá que tenerse presente que los mismos
podrán ingresar por orificios naturales:
- auricular
- ocular
- nasal
- bucal
- anal
Artículo "Las Heridas de Bala" por Rogelio Antonio González - Crio Inspector de la Polocía Federal Argentina -
nº9 de la Revista "policía y Criminalítica" ed. Policial Agosto 2001
 Al ingresar al organismo podrán tomar dos
trayectorias poco comunes:
- la circungirantes se producen cuando el proyectil
choca contra un plano ósea y son desviados
considerablemente según la forma.
- la migratoria, en la que el proyectil toma una
vena o arteria siguiendo una corriente sanguínea.
Artículo "Las Heridas de Bala" por Rogelio Antonio González - Crio Inspector de la Polocía Federal Argentina -
nº9 de la Revista "policía y Criminalítica" ed. Policial Agosto 2001
 Laceración directa del tejido que atraviesan.
 Daño tisular es secundario a la penetración del objeto a
los tejidos.
 Hay transferencia mínima de energía y el daño de los
tejidos se limita al tracto mismo de la herida.
ARMA CORTOPUNZANTE
Schwartz SI, Shires GT, Spencer FC, Daly JM, Fisher
JE, Galloway AC. Principles of Surgery.
7ª ed. New York: McGraw Hill; 1999.
E va l u a c i ó n
 Pacientes hipotensos se
debe determinar si hay
lesión abdominal
 Pacientes
hemodinámicamente
normales sin signos de
peritonitis, se realiza
evaluación más
detalladamente
HISTORIA
 Información de lo ocurrido(velocidad, tipo)
 Información sobre signos vitales, lesiones
obvias y respuesta al tratamiento
prehospitalario
 En trauma penetrante: tiempo transcurrido,
tipo de arma, distancia, número de puñaladas
o balazos recibidos.
 Intensidad y localización del dolor abdominal
EXAMEN FISICO
Documentar los hallazgos positivos o negativos
Inspección: observar
Abdomen ant y post, torax
bajo y perineo
 Se debe buscar lesiones
que alerten de daños
internos
 Fracturas de costillas
Auscultación:
Para confirmar presencia
o ausencia de ruidos
intestinales
Sangre intraperitoneal
libre o contenido
gastrointestinal
Lesiones de estructuras
vecinas
Percusión:
Causa un ligero
movimiento del peritoneo
y puede evidenciar signos
sutiles de peritonitis
Puede demostrar sonidos
timpánicos en una
dilatación gástrica aguda
Matidez difusa cuando
existe hemoperitoneo
Palpación:
Buscar defensa muscular
voluntaria del paciente, es un
signo de irritación peritoneal
Se debe descubrir y localizar
signo de rebote superficial o
profundo (positivo indica
peritonitis por extravasación
de sangre o contenido
gastrointestinal)
Evaluación de heridas
penetrantes:
 Herida por arma blanca,
con signos de peritonitis
o distención abdominal
requiere laparatomía
 Heridas penetrantes
superficiales se debe
explorar para determinar
su profundidad de
penetración.
Examen peneano,
perineal y rectal
 Presencia de sangre en
el meato uretral
sugiere desgarro
uretral
 Examen rectal para
evaluar el tono del
esfínter, posición de la
próstata y determinar
existencia de fracturas
en huesos pélvicos
Examen vaginal
• Laceración de la
vagina por
fragmentos óseos de
fractura o fracturas
pélvicas o heridas
penetrantes
INTUBACIÓN
Sonda gástrica
 Para aliviar la dilatación
gástrica
 Descomprimir el estómago
antes de un lavado
peritoneal diagnóstico
 Sangre en secreciones
gástricas sugiere lesión de
esófago o tracto
gastrointestinal superior
Catéter urinario:
 Para aliviar la
retención
 Descomprimir la
vejiga antes de un
lavado peritoneal
diagnóstico
SANGRE
• Debe ser obtenida de uno
de los accesos venosos
iniciales.
• Para determinar su tipo y
cruzar en paciente
hemodinámicamente
inestable.
• Para otras pruebas como:
BH, k, glucosa, amilasa,
niveles de alcohol y HGC.
MUESTRA DE ORINA
• Rastreo de drogas
• Pruebas de embarazo.
American College of surgeons, committe on
trauma.chicago, III, 2005.
Muestras de sangre y orina
Evaluación
ESTUDIOS RADIOLÓGICOS
1. Rx en trauma cerrado
Rx lateral de
columna cervical,
tórax AP, y lat.
de pelvis
Rx de abdomen
acostado, de pie,
y decubito lateral
Sombra del psoas
ATLS. Colegio Americano de Cirujanos
2. Rx en trauma Penetrante
3. Estudios contrastados
catéter #8 inflado balón 1.5 a 2ml, 15 a 20 ml
contraste sin diluir.
Ruptura vesical
ATLS. Colegio Americano de Cirujanos
 Rx de Tórax
 Rx de abdomen acostado
 Uretrografía
 Cistografía
 TAC
 Gastrointestin
al
ESTUDIOS DG ESPECIALESTRAUMA CERRADO
1. Lavado Peritoneal diagnóstico Sen. 98%
ATLS.ColegioAmericano de Cirujanos
Cambios en el
estado de
conciencia
Cambios en la
sensibilidad
Lesión estructural
adyacente
Exámen físico
dudoso
Signo de cinturón
CONTRAINDICACIONES
 Operaciones previas
 Obesidad
 Cirrosis avanzada
 Coagulopatía
A. Positivo
 Aspiración de >10 ml de sangre
 Hematíes >100.000/mm3.
 Leucocitos >500/mm3.
 Amilasa >175 UI/l.
 FosfatasaA >3UI/l
 Presencia de bilis, bacterias o restos alimentarios.
ATLS.ColegioAmericano de Cirujanos
B. Negativo
 Hematíes <50.000/mm3.
 Leucocitos 100/mm3.
 Amilasa <75 UI/l.
ATLS. ColegioAmericano de Cirujanos
CONTRAINDICACIONES
Vejiga llena Útero grávido No colaboración
 Distención por obstrucción intestinal o Íleo adinámico
 Evitar vecindad con cicatrices
ATLS. Colegio Americano de Cirujanos
 Operaciones previas
 Obesidad
 Cirrosis avanzada
 Coagulopatía
COMPLICACIONES
- 1.6% infección de la herida
- perforación de vejiga
- laceración de vasos ilíacos
- perforación de una víscera
- desgarro del mesenterio
- hematoma de pared o hernia en el sitio del procedimiento
ATLS. Colegio Americano de Cirujanos
2. Ultrasonido diagnóstico
 Hemoperitoneo
 Sensibilidad y especificidad comparable LPD yTAC
 Tiene iguales indicaciones LPD
 Comprometen su utilidad: obesidad, aire, subcutáneo, operaciones
previas.
 Imágenes: saco pericárdico, fosa hepatorrenal y esplenorrenal,
pelvis
ATLS. Colegio Americano de Cirujanos
3.Tomografía computarizada
 Solo en pctes hemodinámicamente estables
 Tiene iguales indicaciones LPD
 Dg retroperitoneo y órganos pélvicos
ATLS. Colegio Americano de Cirujanos
ESTUDIOS DG ESPECIALESTRAUMA PENETRANTE
1. Heridas enTórax Inferior
 Examen físico seriado
 Rayos X seriados
 Toracoscopía
 Laparoscopía
 TAC
ATLS. Colegio Americano de Cirujanos
Exploración Local de Herida y EF seriado vs LPD
heridas por arma blanca
 55 a 60% = hiopotensión, peritonitis, evisceración de
epiplón o intestino delgado = laparotomía de
urgencia
 40 a 45 % la mitad requiere cirugía; EF seriado en 24 h da 94%
de confibilidad vs LPD 90% de conbiabilidad
ATLS. Colegio Americano de Cirujanos
EF seriado vs TAC con doble o triple medio de
contraste en lesiones del Flanco o espalda
 Músculos protegen, EF seriado es muy confiable (línea
axilar anterior)
 TAC consume tiempo, igual confiabilidad
 LPD positivo = laparotomía de urgencia
ATLS. Colegio Americano de Cirujanos
INDICACIONES PARA LAPAROTOMÍA
A. indicaciones basadas en la evaluación
abdominal
 Trauma cerrado de abdomen con LPD o ultrasonido positivo
 Trauma cerrado con hipotensión recurrente
 Datos de peritonitis
 Sangrado de esómago, recto o tracto genitourinario
 Heridas por arma de fuego que involucran cavidad peritoneal
o retroperitoneo
 Evisceración
ATLS.ColegioAmericano de Cirujanos
B. indicaciones basadas en estudios radiológicos.
 Perforación de la vejiga demostrada en la cistografía
 Demostración porTAC de lesión del páncreas, tracto
gastrointestinal y lesiones específicas del hígado bazo y/o riñón
 Examen radiológico contrastado positivo del tracto
gastrointestinal alto o bajo.
 Aire libre, presencia de aire retroperitoneal o ruptura del
hemidiafragma en trauma cerrado.
ATLS.ColegioAmericano de Cirujanos
Prioridades de la laparotomía
 Asegurar la hemostasis
 Controlar la contaminación
 Identificar las lesiones
 Reparar los tejidos
Sociedad Panamericana de Trauma
LESIONES ESPECÍFICAS
Diafragma
izquierdo
5 a 10 cm
En la Rx inicial de tórax incluyen:
Elevación o borramiento del
hemidiafragma , hemotórax.
Medicina Intensiva. Dr. Carlos Lovesio.
ATLS
Frecuencia del 5,1% en trauma cerrado.
Y el 14 al 20% son de tipo contuso.
Los mecanismos pueden ser:
contusivos directos o por fuerzas
de cizallamiento.
En
perforación:
Hay la presencia de aire o material en el espacio
pararenal derecho.
Cuando la perforación se produce cerca del ángulo
de Treitz, el material extravasado puede verse
dentro de la cavidad peritoneal.
Presencia de aire
retroperitoneal se debe
sospechar de lesión.
Medicina Intensiva. Dr. Carlos Lovesio.
ATLS
ESCALA DE INJURIA DUODENAL Y TRATAMIENTO.
Medicina Intensiva. Dr. Carlos Lovesio.
ATLS
PÁNCREAS: Golpe directo
en epigastrio.
Lo comprime
contra la columna
vertebral.
Las fuerzas
compresivas producen
una contusión,
hematoma, laceración
o fractura del órgano.
Dolor
abdominal,
Distensión,
vómitos.
Leucocitosis e
hiperamilasem
ia.
Las manifestaciones :
Son de poca
sensibilidad y
especificidad.
Medicina Intensiva. Dr. Carlos Lovesio.
ATLS
ECOGRA
FIA:
Se identifica colecciones líquidas ocupando
los espacios peripancreáticos y pararrenales
anterior y posterior.
TAC:
Edema o líquido peripancreático, agrandamiento
focal o difuso del parénquima, irregularidad del
contorno o línea de fractura con separación a través
del eje axial del páncreas en el cuerpo o cuello.
ERCP:
Medicina Intensiva. Dr. Carlos Lovesio.
ATLS
ESCALA DE INJURIA PANCREÁTICA Y TRATAMIENTO.
Medicina Intensiva. Dr. Carlos Lovesio.
ATLS
GENITOURINARIO:
Golpes directos
en el dorso o
costado
Producen
contusiones,
hematomas o
equimosis
INDICACIONES PARA EVALUAR: con
hematuria macro y microscópica.
 Herida penetrante abdominal.
 Hipotensión en trauma abdominal
cerrado.
 Lesiones intraabdominales en trauma
cerrado.
TAC.
PIELOGRAFÍA
ENDOVENOSA.
ARTERIOGRAFÍA
RENAL. Medicina Intensiva. Dr. Carlos Lovesio.
ATLS
ESCALA DE INJURIA RENAL Y TRATAMIENTO.
La presencia de sangre en
el meato.
Una posición anormal de la
próstata en el tacto rectal.
Un hematoma del pene,
escroto o periné.
Las fracturas
pelvianas:
Posible injuria
uretral.
UROGRAMA O
TAC.
Medicina Intensiva. Dr. Carlos Lovesio.
ATLS
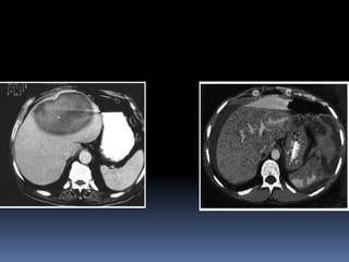
HIGADO: Más lesionado en
un trauma.
Con hallazgos
físicos mínimos.
Aún con cantidades
de sangre libre en
la cavidad .
• Apareciendo imágenes
heterogéneas, hiper o
hipoecogénicas,
compatibles con diversas
lesiones hepáticas.
ECOGRAFIA
• Más sensible para el
diagnóstico.TAC
Medicina Intensiva. Dr. Carlos Lovesio.
ATLS
ESCALA DE INJURIA HEPÁTICA
Medicina Intensiva. Dr. Carlos Lovesio.
ATLS
BAZO:
Impacto sobre la parte
inferior del hemitórax
izquierdo o en el
hipocondrio izq.
Signos radiológicos
de ruptura:
La tríada clásica (elevación del
hemidiafragma izquierdo,
atelectasia basal izquierda y
pequeño derrame pleural
izquierdo)
TAC :
laceraciones,
hematomas, y
sangrado activo. Medicina Intensiva. Dr. Carlos Lovesio.
ATLS
ESCALA DE INJURIA ESPLÉNICA.
1) inestabilidad
hemodinámica
(PAS<90 mm
Hg y FC>110)
luego de
administrar
2.000 ml de
fluidos.
2) examen físico
abdominal
positivo.
3) TAC con
grado lesional
IV y V.
4) Trauma
craneano
severo
asociado.
5) edad mayor
de 55 años.
CRITERIOS PARA LA REALIZACIÓN DE UNA LAPAROTOMÍA.
Medicina Intensiva. Dr. Carlos Lovesio.
ATLS
ESTÓMAGO:
Por trauma cerrado son raras,
ocurriendo en el 0,9 al 1,7% de los
casos.
A que el aire intraperitoneal
puede estar ausente y los
hallazgos peritoneales estar
oscurecidos por otras
lesiones.
Diagnóstico
difícil
TAC:
Presencia de neumoperitoneo,
material de contraste oral
extravasado o material amorfo,
correspondiente a restos
alimenticios, en la cavidad libre.
Medicina Intensiva. Dr. Carlos Lovesio.
ATLS
Medicina Intensiva. Dr. Carlos Lovesio.
ATLS
INTESTINO DELGADO:
Resultan de una
brusca
desaceleración.
Con el desgarro de los
puntos de fijación o sostén
Dependiendo del órgano
afectado, la aparición de los
síntomas puede demorar
muchas horas.
Se debe tener un
alto grado de
sospecha de este
tipo de lesión en
pacientes que
presentan lesiones
abrasivas de la piel
del abdomen en la
zona del cinturón
de seguridad.
Las Rx de abdomen
son relativamente
insensibles para
detectar una lesión
intestinal.
La ruptura de una
víscera hueca puede
producir aire libre,
ya sea intra o
retroperitoneal.
Medicina Intensiva. Dr. Carlos Lovesio.
ATLS
COLON:
Resultan por
comprensión del
abdomen superior.
Los sitios más
frecuentes de lesión son
el colon transverso, el
sigmoide y el ciego.
Las lesiones del colon
transverso pueden causar
hematomas intramurales y
laceraciones de la serosa sin
pérdida del contenido colónico
TAC:
Medicina Intensiva. Dr. Carlos Lovesio.
ATLS
FRACTURAS PÉLVICAS:
Resultado de
atropellamientos,
choques de autos
y motocicletas.
Los pacientes con choque hemorrágico
y fracturas pélvicas tienen 4 focos para
la pérdida de sangre.
Fuente
extrapélvica.
Lesiones
arteriales
pélvicas.
Plexos
venosos
pélvicos
Fractura de
las
superficies
óseas.
Las 4 fuerzas que
llevan a la fractura
pélvica son:
Comprensión
anteroposterior.
Comprensión
lateral.
Cizallamiento
vertical.
Tipo complejo
(combinado).
Medicina Intensiva. Dr. Carlos Lovesio.
ATLS
MANEJO PREHOSPITALARIO
 Inmovilización y prevención de
daño adicional
 Control de la vía aérea
 Control de la hemorragia
 Acceso venoso
 Manejo de la evisceración
 Remisión de los pacientes
-Alteraciones de los signos
vitales:Glasgow <14, FR <10 o >29,
PA sistólica <90
- Evidencia de lesiones específicas
- Mecanismo que indique riesgo de
lesión grave oculta
Evaluación y
mantenimiento de
la VA, con control
de la columna
cervical
Ventilación
Evaluación del
Estado Cardio
circulatorio
Evaluación del
Déficit neurológico
Guía de práctica clínica basada en la evidencia;
Aso Colombiana de facultades de Medicina.
 Exposición
* Pulso elevado por encima de 90 por minuto.
* Frecuencia respiratoria por encima de 32 o por
debajo de 12.
*Tensión arterial sistólica por debajo de 90 mm Hg.
Producida por
asfixia o
choque
hipovolémico.
vía aérea , asegurar la
ventilación, control de la
hemorragia visible y aplicación
de líquidos endovenosos.
ATLS
ASCOFAME
Manejo primario:
Canalización de una o dos venas
con agujas de calibre 18, 16 o 14 y la
aplicación de LR 2.000 cc en un
adulto y 10 a 20 cc por kilo de peso en
los pacientes pediátricos.
Valorar el estado de
conciencia y la
diuresis.
ATLS
ASCOFAME
Se realiza una HC más detallada, un
examen cuidadoso y estudios diagnósticos
para determinar si existe o no indicación
para realizar una intervención quirúrgica.
Se debe realizar
laparotomía en
forma rutinaria a
quién:
Inestabilidad
hemodinámica.
Signos de
irritación
peritoneal.
Evisceración.
Hematemesis o
enterorragia. ATLS
ASCOFAME
REVISIÓN
SECUNDARIA: AMPLIA
Alergias,
Medicaciones importantes,
Patologías previas,
Libaciones,
Ambiente y eventos relacionados con el
trauma
TRAUMA CERRADO:
* Si el paciente era peatón o pasajero; en este caso la posición del paciente
dentro del vehículo.
* Cantidad de energía aplicada durante el impacto, medida con base en la
deformación del vehículo. En accidentes de tránsito de alta velocidad
no es inusual tener mínimos síntomas y hallazgos físicos y luego ocurrir
su deterioro entre seis a 24 horas.
ATLS
ASCOFAME
TRAUMA
PENETRANTE:
Si el trauma es cortante o contuso-penetrante y el
tamaño aproximado.
En los casos de herida por arma de fuego, la
probabilidad de lesión es casi 100%, por lo que es
indicación de cirugía, si el proyectil penetró la cavidad.
ATLS
ASCOFAME
Trauma abadominal

Trauma abadominal

  • 1.
    DEFINICIÓN Se denomina traumaabdominal, cuando éste compartimento orgánico sufre la acción violenta de agentes que producen lesiones de diferente magnitud y gravedad, en los elementos que constituyen la cavidad abdominal ABDOMEN TRAUMÁTICO
  • 2.
     CLASIFICACIÓN  Traumacerrado  Trauma penetrante
  • 3.
    CERRADO PENETRANTE INCIDENCIA 80-90%10-20% CAUSAS AccidenteTráfico (68%) Arma Blanca (60%) Arma Fuego (20%) LESIONES Bazo (50 - 60%) Hígado (34%) Intestino delgado (5 - 15%) Intestino delgado (30 - 50%) Hígado (24%) Bazo (14%) Ronald V. Maier. Clínicas quirúrgicas de Norteamérica 2007, volumen 87, Numero 1.
  • 4.
    MECANISMOS DE LESIÓN TRAUMACERRADO Impactocerrado Compresión o lesión por aplastamiento de vísceras Deforman órganos sólidos y huecos Ruptura con hemorragia secundaria y peritonitis
  • 5.
    TRAUMA PENETRANTE Arma blancay de fuego de baja velocidad Proyectiles de alta velocidad Causan daño al tejido por laceración o corte Tienen efecto de cavitación temporal y lesiones adicionales en su desviación y fragmentación
  • 6.
     Se encuentraalrededor del orificio de entrada.  Incrustación en la piel de granos de pólvora en combustión incompleta.  Puntos oscuros en la piel en forma más o menos concéntrica.  Pudiendo considerarse entre los 50 cm de distancia para revólver o pistola. Artículo "Las Heridas de Bala" por Rogelio Antonio González - Crio Inspector de la Polocía Federal Argentina - nº9 de la Revista "policía y Criminalítica" ed. Policial Agosto 2001
  • 7.
     Plano Corporal:los proyectiles podrán no sólo atravesar cualquier parte de la superficie cutánea sino también tendrá que tenerse presente que los mismos podrán ingresar por orificios naturales: - auricular - ocular - nasal - bucal - anal Artículo "Las Heridas de Bala" por Rogelio Antonio González - Crio Inspector de la Polocía Federal Argentina - nº9 de la Revista "policía y Criminalítica" ed. Policial Agosto 2001
  • 8.
     Al ingresaral organismo podrán tomar dos trayectorias poco comunes: - la circungirantes se producen cuando el proyectil choca contra un plano ósea y son desviados considerablemente según la forma. - la migratoria, en la que el proyectil toma una vena o arteria siguiendo una corriente sanguínea. Artículo "Las Heridas de Bala" por Rogelio Antonio González - Crio Inspector de la Polocía Federal Argentina - nº9 de la Revista "policía y Criminalítica" ed. Policial Agosto 2001
  • 9.
     Laceración directadel tejido que atraviesan.  Daño tisular es secundario a la penetración del objeto a los tejidos.  Hay transferencia mínima de energía y el daño de los tejidos se limita al tracto mismo de la herida. ARMA CORTOPUNZANTE Schwartz SI, Shires GT, Spencer FC, Daly JM, Fisher JE, Galloway AC. Principles of Surgery. 7ª ed. New York: McGraw Hill; 1999.
  • 10.
    E va lu a c i ó n  Pacientes hipotensos se debe determinar si hay lesión abdominal  Pacientes hemodinámicamente normales sin signos de peritonitis, se realiza evaluación más detalladamente
  • 11.
    HISTORIA  Información delo ocurrido(velocidad, tipo)  Información sobre signos vitales, lesiones obvias y respuesta al tratamiento prehospitalario  En trauma penetrante: tiempo transcurrido, tipo de arma, distancia, número de puñaladas o balazos recibidos.  Intensidad y localización del dolor abdominal
  • 12.
    EXAMEN FISICO Documentar loshallazgos positivos o negativos Inspección: observar Abdomen ant y post, torax bajo y perineo  Se debe buscar lesiones que alerten de daños internos  Fracturas de costillas
  • 13.
    Auscultación: Para confirmar presencia oausencia de ruidos intestinales Sangre intraperitoneal libre o contenido gastrointestinal Lesiones de estructuras vecinas
  • 14.
    Percusión: Causa un ligero movimientodel peritoneo y puede evidenciar signos sutiles de peritonitis Puede demostrar sonidos timpánicos en una dilatación gástrica aguda Matidez difusa cuando existe hemoperitoneo
  • 15.
    Palpación: Buscar defensa muscular voluntariadel paciente, es un signo de irritación peritoneal Se debe descubrir y localizar signo de rebote superficial o profundo (positivo indica peritonitis por extravasación de sangre o contenido gastrointestinal)
  • 16.
    Evaluación de heridas penetrantes: Herida por arma blanca, con signos de peritonitis o distención abdominal requiere laparatomía  Heridas penetrantes superficiales se debe explorar para determinar su profundidad de penetración.
  • 17.
    Examen peneano, perineal yrectal  Presencia de sangre en el meato uretral sugiere desgarro uretral  Examen rectal para evaluar el tono del esfínter, posición de la próstata y determinar existencia de fracturas en huesos pélvicos Examen vaginal • Laceración de la vagina por fragmentos óseos de fractura o fracturas pélvicas o heridas penetrantes
  • 18.
    INTUBACIÓN Sonda gástrica  Paraaliviar la dilatación gástrica  Descomprimir el estómago antes de un lavado peritoneal diagnóstico  Sangre en secreciones gástricas sugiere lesión de esófago o tracto gastrointestinal superior
  • 19.
    Catéter urinario:  Paraaliviar la retención  Descomprimir la vejiga antes de un lavado peritoneal diagnóstico
  • 20.
    SANGRE • Debe serobtenida de uno de los accesos venosos iniciales. • Para determinar su tipo y cruzar en paciente hemodinámicamente inestable. • Para otras pruebas como: BH, k, glucosa, amilasa, niveles de alcohol y HGC. MUESTRA DE ORINA • Rastreo de drogas • Pruebas de embarazo. American College of surgeons, committe on trauma.chicago, III, 2005. Muestras de sangre y orina
  • 21.
    Evaluación ESTUDIOS RADIOLÓGICOS 1. Rxen trauma cerrado Rx lateral de columna cervical, tórax AP, y lat. de pelvis Rx de abdomen acostado, de pie, y decubito lateral Sombra del psoas ATLS. Colegio Americano de Cirujanos
  • 22.
    2. Rx entrauma Penetrante 3. Estudios contrastados catéter #8 inflado balón 1.5 a 2ml, 15 a 20 ml contraste sin diluir. Ruptura vesical ATLS. Colegio Americano de Cirujanos  Rx de Tórax  Rx de abdomen acostado  Uretrografía  Cistografía  TAC  Gastrointestin al
  • 23.
    ESTUDIOS DG ESPECIALESTRAUMACERRADO 1. Lavado Peritoneal diagnóstico Sen. 98% ATLS.ColegioAmericano de Cirujanos Cambios en el estado de conciencia Cambios en la sensibilidad Lesión estructural adyacente Exámen físico dudoso Signo de cinturón CONTRAINDICACIONES  Operaciones previas  Obesidad  Cirrosis avanzada  Coagulopatía
  • 24.
    A. Positivo  Aspiraciónde >10 ml de sangre  Hematíes >100.000/mm3.  Leucocitos >500/mm3.  Amilasa >175 UI/l.  FosfatasaA >3UI/l  Presencia de bilis, bacterias o restos alimentarios. ATLS.ColegioAmericano de Cirujanos
  • 25.
    B. Negativo  Hematíes<50.000/mm3.  Leucocitos 100/mm3.  Amilasa <75 UI/l. ATLS. ColegioAmericano de Cirujanos
  • 26.
    CONTRAINDICACIONES Vejiga llena Úterográvido No colaboración  Distención por obstrucción intestinal o Íleo adinámico  Evitar vecindad con cicatrices ATLS. Colegio Americano de Cirujanos  Operaciones previas  Obesidad  Cirrosis avanzada  Coagulopatía
  • 27.
    COMPLICACIONES - 1.6% infecciónde la herida - perforación de vejiga - laceración de vasos ilíacos - perforación de una víscera - desgarro del mesenterio - hematoma de pared o hernia en el sitio del procedimiento ATLS. Colegio Americano de Cirujanos
  • 28.
    2. Ultrasonido diagnóstico Hemoperitoneo  Sensibilidad y especificidad comparable LPD yTAC  Tiene iguales indicaciones LPD  Comprometen su utilidad: obesidad, aire, subcutáneo, operaciones previas.  Imágenes: saco pericárdico, fosa hepatorrenal y esplenorrenal, pelvis ATLS. Colegio Americano de Cirujanos
  • 29.
    3.Tomografía computarizada  Soloen pctes hemodinámicamente estables  Tiene iguales indicaciones LPD  Dg retroperitoneo y órganos pélvicos ATLS. Colegio Americano de Cirujanos
  • 32.
    ESTUDIOS DG ESPECIALESTRAUMAPENETRANTE 1. Heridas enTórax Inferior  Examen físico seriado  Rayos X seriados  Toracoscopía  Laparoscopía  TAC ATLS. Colegio Americano de Cirujanos
  • 33.
    Exploración Local deHerida y EF seriado vs LPD heridas por arma blanca  55 a 60% = hiopotensión, peritonitis, evisceración de epiplón o intestino delgado = laparotomía de urgencia  40 a 45 % la mitad requiere cirugía; EF seriado en 24 h da 94% de confibilidad vs LPD 90% de conbiabilidad ATLS. Colegio Americano de Cirujanos
  • 34.
    EF seriado vsTAC con doble o triple medio de contraste en lesiones del Flanco o espalda  Músculos protegen, EF seriado es muy confiable (línea axilar anterior)  TAC consume tiempo, igual confiabilidad  LPD positivo = laparotomía de urgencia ATLS. Colegio Americano de Cirujanos
  • 35.
    INDICACIONES PARA LAPAROTOMÍA A.indicaciones basadas en la evaluación abdominal  Trauma cerrado de abdomen con LPD o ultrasonido positivo  Trauma cerrado con hipotensión recurrente  Datos de peritonitis  Sangrado de esómago, recto o tracto genitourinario  Heridas por arma de fuego que involucran cavidad peritoneal o retroperitoneo  Evisceración ATLS.ColegioAmericano de Cirujanos
  • 36.
    B. indicaciones basadasen estudios radiológicos.  Perforación de la vejiga demostrada en la cistografía  Demostración porTAC de lesión del páncreas, tracto gastrointestinal y lesiones específicas del hígado bazo y/o riñón  Examen radiológico contrastado positivo del tracto gastrointestinal alto o bajo.  Aire libre, presencia de aire retroperitoneal o ruptura del hemidiafragma en trauma cerrado. ATLS.ColegioAmericano de Cirujanos
  • 37.
    Prioridades de lalaparotomía  Asegurar la hemostasis  Controlar la contaminación  Identificar las lesiones  Reparar los tejidos Sociedad Panamericana de Trauma
  • 38.
    LESIONES ESPECÍFICAS Diafragma izquierdo 5 a10 cm En la Rx inicial de tórax incluyen: Elevación o borramiento del hemidiafragma , hemotórax. Medicina Intensiva. Dr. Carlos Lovesio. ATLS
  • 39.
    Frecuencia del 5,1%en trauma cerrado. Y el 14 al 20% son de tipo contuso. Los mecanismos pueden ser: contusivos directos o por fuerzas de cizallamiento. En perforación: Hay la presencia de aire o material en el espacio pararenal derecho. Cuando la perforación se produce cerca del ángulo de Treitz, el material extravasado puede verse dentro de la cavidad peritoneal. Presencia de aire retroperitoneal se debe sospechar de lesión. Medicina Intensiva. Dr. Carlos Lovesio. ATLS
  • 40.
    ESCALA DE INJURIADUODENAL Y TRATAMIENTO. Medicina Intensiva. Dr. Carlos Lovesio. ATLS
  • 41.
    PÁNCREAS: Golpe directo enepigastrio. Lo comprime contra la columna vertebral. Las fuerzas compresivas producen una contusión, hematoma, laceración o fractura del órgano. Dolor abdominal, Distensión, vómitos. Leucocitosis e hiperamilasem ia. Las manifestaciones : Son de poca sensibilidad y especificidad. Medicina Intensiva. Dr. Carlos Lovesio. ATLS
  • 42.
    ECOGRA FIA: Se identifica coleccioneslíquidas ocupando los espacios peripancreáticos y pararrenales anterior y posterior. TAC: Edema o líquido peripancreático, agrandamiento focal o difuso del parénquima, irregularidad del contorno o línea de fractura con separación a través del eje axial del páncreas en el cuerpo o cuello. ERCP: Medicina Intensiva. Dr. Carlos Lovesio. ATLS
  • 43.
    ESCALA DE INJURIAPANCREÁTICA Y TRATAMIENTO. Medicina Intensiva. Dr. Carlos Lovesio. ATLS
  • 44.
    GENITOURINARIO: Golpes directos en eldorso o costado Producen contusiones, hematomas o equimosis INDICACIONES PARA EVALUAR: con hematuria macro y microscópica.  Herida penetrante abdominal.  Hipotensión en trauma abdominal cerrado.  Lesiones intraabdominales en trauma cerrado. TAC. PIELOGRAFÍA ENDOVENOSA. ARTERIOGRAFÍA RENAL. Medicina Intensiva. Dr. Carlos Lovesio. ATLS
  • 45.
    ESCALA DE INJURIARENAL Y TRATAMIENTO.
  • 47.
    La presencia desangre en el meato. Una posición anormal de la próstata en el tacto rectal. Un hematoma del pene, escroto o periné. Las fracturas pelvianas: Posible injuria uretral. UROGRAMA O TAC. Medicina Intensiva. Dr. Carlos Lovesio. ATLS
  • 48.
    HIGADO: Más lesionadoen un trauma. Con hallazgos físicos mínimos. Aún con cantidades de sangre libre en la cavidad . • Apareciendo imágenes heterogéneas, hiper o hipoecogénicas, compatibles con diversas lesiones hepáticas. ECOGRAFIA • Más sensible para el diagnóstico.TAC Medicina Intensiva. Dr. Carlos Lovesio. ATLS
  • 49.
    ESCALA DE INJURIAHEPÁTICA Medicina Intensiva. Dr. Carlos Lovesio. ATLS
  • 51.
    BAZO: Impacto sobre laparte inferior del hemitórax izquierdo o en el hipocondrio izq. Signos radiológicos de ruptura: La tríada clásica (elevación del hemidiafragma izquierdo, atelectasia basal izquierda y pequeño derrame pleural izquierdo) TAC : laceraciones, hematomas, y sangrado activo. Medicina Intensiva. Dr. Carlos Lovesio. ATLS
  • 52.
    ESCALA DE INJURIAESPLÉNICA.
  • 53.
    1) inestabilidad hemodinámica (PAS<90 mm Hgy FC>110) luego de administrar 2.000 ml de fluidos. 2) examen físico abdominal positivo. 3) TAC con grado lesional IV y V. 4) Trauma craneano severo asociado. 5) edad mayor de 55 años. CRITERIOS PARA LA REALIZACIÓN DE UNA LAPAROTOMÍA. Medicina Intensiva. Dr. Carlos Lovesio. ATLS
  • 54.
    ESTÓMAGO: Por trauma cerradoson raras, ocurriendo en el 0,9 al 1,7% de los casos. A que el aire intraperitoneal puede estar ausente y los hallazgos peritoneales estar oscurecidos por otras lesiones. Diagnóstico difícil TAC: Presencia de neumoperitoneo, material de contraste oral extravasado o material amorfo, correspondiente a restos alimenticios, en la cavidad libre. Medicina Intensiva. Dr. Carlos Lovesio. ATLS
  • 55.
    Medicina Intensiva. Dr.Carlos Lovesio. ATLS
  • 56.
    INTESTINO DELGADO: Resultan deuna brusca desaceleración. Con el desgarro de los puntos de fijación o sostén
  • 57.
    Dependiendo del órgano afectado,la aparición de los síntomas puede demorar muchas horas. Se debe tener un alto grado de sospecha de este tipo de lesión en pacientes que presentan lesiones abrasivas de la piel del abdomen en la zona del cinturón de seguridad. Las Rx de abdomen son relativamente insensibles para detectar una lesión intestinal. La ruptura de una víscera hueca puede producir aire libre, ya sea intra o retroperitoneal. Medicina Intensiva. Dr. Carlos Lovesio. ATLS
  • 58.
    COLON: Resultan por comprensión del abdomensuperior. Los sitios más frecuentes de lesión son el colon transverso, el sigmoide y el ciego. Las lesiones del colon transverso pueden causar hematomas intramurales y laceraciones de la serosa sin pérdida del contenido colónico TAC: Medicina Intensiva. Dr. Carlos Lovesio. ATLS
  • 59.
    FRACTURAS PÉLVICAS: Resultado de atropellamientos, choquesde autos y motocicletas. Los pacientes con choque hemorrágico y fracturas pélvicas tienen 4 focos para la pérdida de sangre. Fuente extrapélvica. Lesiones arteriales pélvicas. Plexos venosos pélvicos Fractura de las superficies óseas. Las 4 fuerzas que llevan a la fractura pélvica son: Comprensión anteroposterior. Comprensión lateral. Cizallamiento vertical. Tipo complejo (combinado). Medicina Intensiva. Dr. Carlos Lovesio. ATLS
  • 62.
    MANEJO PREHOSPITALARIO  Inmovilizacióny prevención de daño adicional  Control de la vía aérea  Control de la hemorragia  Acceso venoso  Manejo de la evisceración  Remisión de los pacientes -Alteraciones de los signos vitales:Glasgow <14, FR <10 o >29, PA sistólica <90 - Evidencia de lesiones específicas - Mecanismo que indique riesgo de lesión grave oculta
  • 64.
    Evaluación y mantenimiento de laVA, con control de la columna cervical Ventilación Evaluación del Estado Cardio circulatorio Evaluación del Déficit neurológico Guía de práctica clínica basada en la evidencia; Aso Colombiana de facultades de Medicina.  Exposición
  • 66.
    * Pulso elevadopor encima de 90 por minuto. * Frecuencia respiratoria por encima de 32 o por debajo de 12. *Tensión arterial sistólica por debajo de 90 mm Hg. Producida por asfixia o choque hipovolémico. vía aérea , asegurar la ventilación, control de la hemorragia visible y aplicación de líquidos endovenosos. ATLS ASCOFAME
  • 67.
    Manejo primario: Canalización deuna o dos venas con agujas de calibre 18, 16 o 14 y la aplicación de LR 2.000 cc en un adulto y 10 a 20 cc por kilo de peso en los pacientes pediátricos. Valorar el estado de conciencia y la diuresis. ATLS ASCOFAME
  • 68.
    Se realiza unaHC más detallada, un examen cuidadoso y estudios diagnósticos para determinar si existe o no indicación para realizar una intervención quirúrgica. Se debe realizar laparotomía en forma rutinaria a quién: Inestabilidad hemodinámica. Signos de irritación peritoneal. Evisceración. Hematemesis o enterorragia. ATLS ASCOFAME
  • 69.
    REVISIÓN SECUNDARIA: AMPLIA Alergias, Medicaciones importantes, Patologíasprevias, Libaciones, Ambiente y eventos relacionados con el trauma TRAUMA CERRADO: * Si el paciente era peatón o pasajero; en este caso la posición del paciente dentro del vehículo. * Cantidad de energía aplicada durante el impacto, medida con base en la deformación del vehículo. En accidentes de tránsito de alta velocidad no es inusual tener mínimos síntomas y hallazgos físicos y luego ocurrir su deterioro entre seis a 24 horas. ATLS ASCOFAME
  • 70.
    TRAUMA PENETRANTE: Si el traumaes cortante o contuso-penetrante y el tamaño aproximado. En los casos de herida por arma de fuego, la probabilidad de lesión es casi 100%, por lo que es indicación de cirugía, si el proyectil penetró la cavidad. ATLS ASCOFAME