Staphylococcus aureus
Víctor Cortés Sánchez




                   Departamento de Agentes Biológicos
Definición
• Staphylococcus aureus es un agente frecuente de
  infección, tanto en el ámbito comunitario como en el
  hospitalario.




                   Departamento de Agentes Biológicos
Departamento de Agentes Biológicos
• Produce una amplia gama de enfermedades,
  desde infecciones cutáneas superficiales a
  infecciones partes blandas y ósteo-articulares
  como abscesos profundos, celulitis, infección
  de heridas quirúrgicas, osteomielitis, etc; de
  las cuales es el agente más frecuentemente
  aislado, pudiendo estas infecciones alcanzar
  situaciones de gravedad extrema con riesgo
  de vida.


                 Departamento de Agentes Biológicos
Departamento de Agentes Biológicos
• Es también agente de sepsis, neumonías,
  endocarditis e infecciones del sistema
  nervioso central. Algunas cepas causan
  enfermedades mediadas por toxinas, como
  toxi-infecciones alimentarias, síndrome del
  shock tóxico y síndromes escarlatiniformes




                 Departamento de Agentes Biológicos
Epidemiología
•   Distribución Universal
•   No tienen prevalencia estacional
•   Higiene deficiente
•   Pacientes inmunodeprimidos ***




                  Departamento de Agentes Biológicos
• Transmisión de persona a persona a través de
  contacto directo o de la exposición a fómites
  contaminados.
• Los factores de riesgo son la presencia de
  cuerpos extraños cirugía previa, uso de
  antibióticos que supriman la flora microbiana
  normal.
• S. aureus causa enfermedad mediante la
  producción de toxina o a través de la invasión
  directa y la destrucción del tejido.

                 Departamento de Agentes Biológicos
Agente Causal
• Coco gram +
• Catalasa +
• Coagulasa +
• 86% resistente a
  penicilina.
• Inmoviles.
• Fermentan manitol,
  glucosa, lactosa y
  maltosa.

                 Departamento de Agentes Biológicos
• Resistente al calor y la
  deshidratación.
• Termofilo
• Tolera bastante a los
  desinfectantes.
• Ph= 7.4 a 7.6
• Anaerobia Facultativa.
• Habita en el borde
  anterior de las narinas,
  piel humana y medio
  ambiente.
                    Departamento de Agentes Biológicos
Factores de Virulencia
•   Factores de agregación
•   Coagulasas
•   Hemolisinas
•   Leucidinas
•   Enterotoxinas
•   Toxinas exfoliativas
•   Proteasas, Lipasas, ADNasas.

                  Departamento de Agentes Biológicos
Departamento de Agentes Biológicos
Toxinas Estafilocócicas.
                  Toxina                                            Efectos Biológicos
Citotoxinas (Alpha, Beta, Gamma, Delta)          Destrucción tisular y citolisis.
Leucocidina de Panton- Valentine                 Hemolisis y Exfoliación cutánea.
Toxinas exfoliaivas ( ETA y ETB)                 Dermatosis exfoliativa.
Enterotoxinas (A a E: G a I)                     Enfermedad Diarreica Aguda.
Toxina 1 del síndrome del Shock tóxico           Exotoxina resistente a proteolisis




                               Departamento de Agentes Biológicos
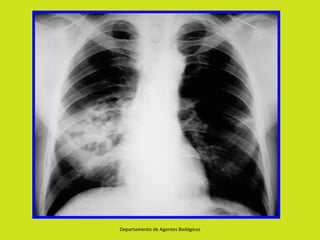
NEUMOLOGÍA




  Departamento de Agentes Biológicos
•   Neumonía necrosante
•   Neumonía de comienzo súbito
•   Neumonía en focos múltiples
•   Formación de Neumatoceles – Neumotórax
•   Empiema es complicación frecuente.
•   Neumonía Grave en menores de 12 meses.




                 Departamento de Agentes Biológicos
Departamento de Agentes Biológicos
Departamento de Agentes Biológicos
Cuadro Clínico
•   Ataque al estado general .
•   Escalofríos
•   Diaforesis intensa
•   Disnea
•   Cianosis
•   Tos intensa – Expectoración purulenta.


                  Departamento de Agentes Biológicos
DERMATOLOGÍA




   Departamento de Agentes Biológicos
•   Impétigo
•   Foliculitis
•   Forúnculos
•   Carbuncos




                  Departamento de Agentes Biológicos
GASTROENTEROLOGIA




     Departamento de Agentes Biológicos
• Intoxicación alimenticia: después de haber
  ingerido alimentos contaminados con la
  toxina termoestable, inicio rápido de vómitos
  intensos, diarrea y cólicos; resolución en el
  plazo de 24 horas.




                 Departamento de Agentes Biológicos
• Shock Toxico: Intoxicación multisistemica,
  caracterizada por fiebre, hipotensión,
  exantema mucoeritematoso.




                 Departamento de Agentes Biológicos
Diagnostico
•   Clínico - Epidemiológico
•   Cultivo de Sal y Manitol
•   Tinción de gram
•   Catalasa y Coagulasa +
•   Serología poco eficiente.




                   Departamento de Agentes Biológicos
Tratamiento
• Dicloxacilina: Infecciones adquiridas en la
  comunidad.
• Vancomicina: Infecciones adquiridas en el
  ámbito hospitalario.




                 Departamento de Agentes Biológicos

5. Staphylococcus aureus

  • 1.
    Staphylococcus aureus Víctor CortésSánchez Departamento de Agentes Biológicos
  • 2.
    Definición • Staphylococcus aureuses un agente frecuente de infección, tanto en el ámbito comunitario como en el hospitalario. Departamento de Agentes Biológicos
  • 3.
  • 4.
    • Produce unaamplia gama de enfermedades, desde infecciones cutáneas superficiales a infecciones partes blandas y ósteo-articulares como abscesos profundos, celulitis, infección de heridas quirúrgicas, osteomielitis, etc; de las cuales es el agente más frecuentemente aislado, pudiendo estas infecciones alcanzar situaciones de gravedad extrema con riesgo de vida. Departamento de Agentes Biológicos
  • 5.
  • 6.
    • Es tambiénagente de sepsis, neumonías, endocarditis e infecciones del sistema nervioso central. Algunas cepas causan enfermedades mediadas por toxinas, como toxi-infecciones alimentarias, síndrome del shock tóxico y síndromes escarlatiniformes Departamento de Agentes Biológicos
  • 7.
    Epidemiología • Distribución Universal • No tienen prevalencia estacional • Higiene deficiente • Pacientes inmunodeprimidos *** Departamento de Agentes Biológicos
  • 8.
    • Transmisión depersona a persona a través de contacto directo o de la exposición a fómites contaminados. • Los factores de riesgo son la presencia de cuerpos extraños cirugía previa, uso de antibióticos que supriman la flora microbiana normal. • S. aureus causa enfermedad mediante la producción de toxina o a través de la invasión directa y la destrucción del tejido. Departamento de Agentes Biológicos
  • 9.
    Agente Causal • Cocogram + • Catalasa + • Coagulasa + • 86% resistente a penicilina. • Inmoviles. • Fermentan manitol, glucosa, lactosa y maltosa. Departamento de Agentes Biológicos
  • 10.
    • Resistente alcalor y la deshidratación. • Termofilo • Tolera bastante a los desinfectantes. • Ph= 7.4 a 7.6 • Anaerobia Facultativa. • Habita en el borde anterior de las narinas, piel humana y medio ambiente. Departamento de Agentes Biológicos
  • 11.
    Factores de Virulencia • Factores de agregación • Coagulasas • Hemolisinas • Leucidinas • Enterotoxinas • Toxinas exfoliativas • Proteasas, Lipasas, ADNasas. Departamento de Agentes Biológicos
  • 12.
  • 13.
    Toxinas Estafilocócicas. Toxina Efectos Biológicos Citotoxinas (Alpha, Beta, Gamma, Delta) Destrucción tisular y citolisis. Leucocidina de Panton- Valentine Hemolisis y Exfoliación cutánea. Toxinas exfoliaivas ( ETA y ETB) Dermatosis exfoliativa. Enterotoxinas (A a E: G a I) Enfermedad Diarreica Aguda. Toxina 1 del síndrome del Shock tóxico Exotoxina resistente a proteolisis Departamento de Agentes Biológicos
  • 14.
    NEUMOLOGÍA Departamentode Agentes Biológicos
  • 15.
    Neumonía necrosante • Neumonía de comienzo súbito • Neumonía en focos múltiples • Formación de Neumatoceles – Neumotórax • Empiema es complicación frecuente. • Neumonía Grave en menores de 12 meses. Departamento de Agentes Biológicos
  • 16.
  • 17.
  • 18.
    Cuadro Clínico • Ataque al estado general . • Escalofríos • Diaforesis intensa • Disnea • Cianosis • Tos intensa – Expectoración purulenta. Departamento de Agentes Biológicos
  • 19.
    DERMATOLOGÍA Departamento de Agentes Biológicos
  • 20.
    Impétigo • Foliculitis • Forúnculos • Carbuncos Departamento de Agentes Biológicos
  • 21.
    GASTROENTEROLOGIA Departamento de Agentes Biológicos
  • 22.
    • Intoxicación alimenticia:después de haber ingerido alimentos contaminados con la toxina termoestable, inicio rápido de vómitos intensos, diarrea y cólicos; resolución en el plazo de 24 horas. Departamento de Agentes Biológicos
  • 23.
    • Shock Toxico:Intoxicación multisistemica, caracterizada por fiebre, hipotensión, exantema mucoeritematoso. Departamento de Agentes Biológicos
  • 24.
    Diagnostico • Clínico - Epidemiológico • Cultivo de Sal y Manitol • Tinción de gram • Catalasa y Coagulasa + • Serología poco eficiente. Departamento de Agentes Biológicos
  • 25.
    Tratamiento • Dicloxacilina: Infeccionesadquiridas en la comunidad. • Vancomicina: Infecciones adquiridas en el ámbito hospitalario. Departamento de Agentes Biológicos