GASTROENTEROLOGÍA
DR. MAURICIO HEIRAS ARROYO
Alumnos:
 Stephanie López Hernández 299585
 Edgar Alejandro Sáenz Ordóñez 299787
Grupo 7-7
UNIVERSIDAD AUTÓNOMA DE CHIHUAHUA
FACULTAD DE MEDICINA Y CIENCIAS BIOMÉDICAS.
HEPATITIS A
Generalidades
• Hepatitis virica aguda mas frecuente.
• Autolimitada
• Virus ARN monocatenario citopático
• Transmisión fecal-oral (agua, alimentos)
• Diferencias:
• Estructura
• Mecanismo de replicación
• Mecanismo de transmisión
• Tiempo de incubación
• Cronicidad - mortalidad
Virologia
• Familia: Picornaviridae
• Genero: Hepatovirus
• Forma: icosaédrica
• Diametro: 27 -28 nm
• ARN sentido positivo
• 1 solo serotipo
Aqui sobrevive Aqui no
• Entorno ácido
• Agua marina
• Heces desecadas (4 semanas)
• Ostras vivas (5 días)
• 85ºC
• 1 minuto
Ciclo Vital
• Unión a receptor de superficie (VHA cr-1)
• Entrada a la célula
• Perdida de cubierta
• Formación de polirribosoma
• Poliproteina 2,227 AAS
• Regiones:
• P1: Estructurales PV1, PV2, PV3
• P2 y P3: No estructurales (de replicación)
• Sintesis de mas ARN y traducción.
• Ensamblaje de viriones maduros.
Ciclo Vital
• Genotipos Humanos: I, II, III, VII
• Heterogeneidad de nucleotidos, estructura
antigenica conservada.
• Virulencia: PV1/2A y 2C
• Vacunas comerciales: HM175 y CR326:
• Protección frente a todas las cepas de importancia
humana.
• Aparición de Insuficiencia Hepática Fulminante
Epidemiología
• Incidencia disminuyendo (Vacuna)
• 2010: 17, 000 infecciones
• Aprox. 0.5 / 1000, 000
• Historico: Niños de 5 a 14 años
• 2006: Adultos 20 a 44 años
• Factores de riesgo:
• Viajes internacionales (45.8%)
• Contacto con infectado (14.8%)
• Contacto con personal de guarderia (7.6%)
• Exposición alimentaria (7.2%)
Patrones Epidemiológicos
Paises Insalubres Paises industrializados Comunidades cerradas
La mayor parte de los niños
sufren infección a edades
tempranas, sintomática (anti
– HVA) o asintomática.
Prevalencia de infección baja
en niños y adultos jovenes,
mas alta en los mayores.
Forma epidémica: Toda la
población se infecta y
desarrolla inmunidad.
Recien nacidos reinician
infección.
Transmisión
• Fecal – oral
• Contacto entre personas
• Ingesta de alimentos o agua
contaminada
• Posible parenteral:
Transfusiones, drogas
Patogenia
• Ciclo enterohepático:
• Sobrevive ácido gástrico, atraviesa intestino
delgado.
• Vena porta.
• Replicación y secreción en hepatocitos.
• Conductos biliares
• Heces
• Anticuerpos – inmunidad interrumpen.
• No citopático: Los hepatocitos sufren
necrosis por los anti-VHA que atacan al
virus.
Caracteristicas Clínicas
• Episodio agudo autolimitado no cronificado.
• Incubación: 2 – 4 semanas (hasta 6)
• Caracteristica Clinica MAS FRECUENTE en casos de
hepatitis A: ICTERICIA
• Complicaciones:
• Curso grave o recidivante
• Colestasis grave
• Morbilidad en adultos y niños mayores
• Disfunción hepatocelular grave en adultos y ancianos
LOS 5 PATRONES CLÍNICOS
Asintomático sin ictericia
Sintomatico con ictericia, autolimitado a los 2
meses
Colestásico con ictericia de 10 semanas o mas
de evolución
Recidivante con 2 o mas brotes de infección
aguda en un periodo de 6 a 10 semanas
Insuficiencia Hepática Fulminante
• Niños menores de 2 años suelen ser asintomaticos.
• Sintomática: 20% menores de 2 años 80% de 5 años o
mas.
• Colestasis prolongada infrecuente y puede conducir a
tecnicas diagnosticas invasivas.
• Recidivante en un 10 – 15% de los casos de hepatitis A
aguda en un periodo de 6 meses tras la resolución.
Fase Prodrómica Fase ictérica.
3 – 30 dias después
de la infección.
Unos dias a 2
semanas
• Fiebre
• Malestar
• Ictericia
• Fatiga
• Debilidad
• Anorexia
• Náusea
• Vomito
• Dolor abdominal
• Cefalea
• Altralgia
• Hipersensibilidad
en cuadrante
supero externo
• Ligera
Hepatomegalia
• Esplenomegalia
• Adenopatías
cervicales
Orina
oscura 1-
2
semanas
antes de
sintomas
prodrómic
os en el
90%
• Recuperación clínica completa en 2 meses (60%) o 6
meses
• Pronostico global excelente.
• No se asocia a aumento de mortalidad en gestantes
(E)
• Diferencial con otras hepatitis mediante pruebas
serologicas
• Puede estar sobreañadida a una hepatitis B o C.
Hepatitis A Fulminante
• Insuficiencia hepática fulminante infrecuente en jovenes
• Factores de riesgo de IHF:
• > 75 años
• Hepatopatía de base
• Hepatitis crónica virica
• Manifestación:
• Primera semana 55%
• Primeras 4 semanas 90%
• > 4 semanas raro
Manifestaciones Extrahepáticas
• Frecuencia VHA < VHB
• Exantema evanescente (14%)
• Artralgias (11%)
• Vasculitis leucocitoclastica
• Glomerulonefritis
• Artritis
• Predilección por miembros inferiores.
• Pacientes con enfermedad prolongada tienen
mayor frecuencia de manifestaciones
extrehepáticas.
• Hepatitis autoinmunitaria (casos poco
frecuentes.
Diagnóstico
• Indistinguible clínicamente de otras
hepatitis víricas, diagnóstico por
anticuerpos séricos anti-VHA.
• Positividad: Desde sintomas a 4 meses
después. (IgM).
• IgG anti-VHA: de por vida, marcador de
infección previa.
• Determinación de ARN en suero, heces y
tejido hepático amplificado por PCR:
Centros de investigación.
Prevención
• OMS 2012:
• Alta endemia: Evitar los programas de
vacunación a gran escala. (Niños
asintomáticos).
• Endemia intermedia: Se recomienda
vacunación. (Adultos susceptibles)
• Endemia baja o muy baja: Vacunación
dirigida a beneficios individuales:
• Viajes
• Transfusiones
• Hepatopatía crónica
• Adictos a drogas parenterales
Tratamiento
• Sintomático (no farmacos especificos).
• Prevención vacuna frente VHA.
• Existe vacuna para profilaxis antes y después de la
exposición.
• Personas con hepatitis A asintomática pueden ser
riesgo de infección para los demás.
• Ventaja de protección a largo plazo, seguridad y
disponibilidad frente a IG frente VHA.
• Exposición reciente al VHA, sin vacunación previa:
• Dosis única 0.02ml/kg lo mas pronto posible en el plazo
de las 2 semanas siguientes a la exposición.
Vacuna
• Autorizada en 1995
• 2 vacunas con virus inactivados, procedente de
VHA obtenido de cultivo celular, purificado,
inactivado con formol y con alumbre como
adyuvante.
• HAVRIX: Cepa HM175 ( Ig duran 20 años )
• VAQTA: Cepa CR326
• Efectos secundarios: Dolor en el lugar de la
inyección, cefalea y malestar.
• Efectos adversos: Guillain-Barré, TPI, elevación
aminotransferasa sérica, convulsiones (niños):
• Ninguno atribuido de forma definitiva a la vacuna.
HEPATITIS B
EPIDEMIOLOGÍA
• 400 millones- crónica.
15-40%- Cirrosis o Carcinoma hepatocelular- muerte.
Vacunación y uso de tx antiviral: ↓ IHA e IHC.
↑ HB Crónica y CHC: Vías de desarrollo- exposición perinatal y en los primeros años de vida.
Regiones de baja prevalencia (EU y Europa occidental)- casos nuevos en adultos: Contactos
heterosexuales promiscuos y adicción a drogas parenterales + infrautilización de vacunación.
8% portadora crónica
Riesgo inf. 60-80%
-Transmisión perinatal y
contagio horizontal entre niños-
Riesgo: 20-60%
-Transmisión horizontal y
exposición neonatal.
Riesgo <20 %
-Transmisión horizontal
entre adultos jóvenes-
Transmisión sexual y
drogas IV.
EPIDEMIOLOGÍA
• Infecciones nuevas en todo el mundo: transmisión perinatal
½: portadores con HBsAg +
60-90% madres portadoras de HBeAg transmiten a su descendencia
Madres con anticuerpos anti HBeAg 5-15%
• Vacunación ↓ incidencia.
Infectividad
• Exposición percutánea o mucosa a líquidos corporales infecciosos.
• 500 veces + infeccioso que el VIH y 10 veces + que el VHC.
• HBeAg +: riesgo + de transmisión de madre a hijo o tras un pinchazo o contacto doméstico.
• ADN: PCR en líquidos corporales.
• Reservorio intrahepático y extrahepático:
 Intrahepático: replica principalmente en los hepatocitos. Pequeñas cant. En tej. Años después de la aparente
resolución de la infección crónica.
 Extrahepático: intermediarios de replicación y proteínas codificadas: glándula suprarrenal, testículo, colon, ganglios
nerviosos o piel. Células mononucleares periféricas: peq cant. Años después de la resolución inf crónica.
Frec. ↑ transmisión del VHB de órganos dondantes anti-HBc +.
VIROLOGÍA
• VHB: virus ADN pequeño de la familia
Hepadnaviridae.
• Pequeño con un genoma de ADN que
tiene una configuración parcialmente
bicatenaria circular relajada.
• Genoma está compuesto por cuatro
marcos de lectura abiertos (ORF) y
tiene un diseño compacto en el cual
varios genes se solapan y utilizan el
mismo ADN para codificar distintas
proteínas víricas.
• 4 genes del virus: core, superficie, X
y polimerasa.
VIROLOGÍA
• El gen del core codifica la proteína de core de la nucleocápside, que es importante para el
ensamblaje del virus y la producción de HBeAg.
• El gen de superficie codifica las proteínas pre-S1, pre-S2 y S (que incluye una proteína de
superficie grande [L], intermedia [M] y pequeña [S]).
• El gen X codifica la proteína X, con propiedades transactivadoras y que puede tener
importancia en la carcinogenia hepática.
• El gen de la polimerasa cuenta con un ORF grande (unos 800 aminoácidos) y se solapa en
toda la longitud del ORF de superficie. Codifica una proteína grande con funciones esenciales
en el ensamblaje y la replicación del ADN (incluyendo las actividades de priming, de la ADN
polimerasa dependiente de ADN y ARN, y de la ARNasa H).
REPLICACIÓN DEL VIRUS
• Se replica a través de un ARN intermediario y necesita una enzima transcriptasa inversa/
polimerasa vírica activa.
• Frecuencia de mutaciones del VHB es superior a la de otros virus ADN (se estiman unas
1013-1015 mutaciones puntuales diarias).
• Gran número de mutaciones en el genoma del virus, muchas de las cuales son silentes o no
modifican la secuencia de aminoácidos de las proteínas codificadas.
REPLICACIÓN DEL VIRUS
• Replicación comienza con la encapsidación del ARN pregenómico mediante interacciones
complejas entre las proteínas del huésped y el virus. La ADN polimerasa inversa del VHB
transcribe el ARN pregenómico en un ADN del VHB de cadena negativa, que sirve como
molde para la síntesis de la cadena positiva para formar un genoma parcialmente
bicatenario.
• Al tiempo que se sintetiza el ADN del VHB, la nucleocápside madura y, por un mecanismo
todavía mal comprendido, interactúa con la proteína S para iniciar el ensamblaje del virus
en el retículo endoplásmico.
REPLICACIÓN DEL VIRUS
• La proteína S se sintetiza en el retículo endoplásmico, donde los agregados de
monómeros que excluyen las proteínas de la membrana del huésped posteriormente
protruyen a modo de yemas hacia la luz en forma de partículas subvíricas. Cuando se
forma, el HBsAg sufre glucosilación en el retículo endoplásmico y el aparato de Golgi.
• Las partículas subvíricas no infecciosas (formas esféricas y filamentosas del HBsAg) se
secretan en gran abundancia en comparación con los viriones maduros. Estas partículas
subvíricas del HBsAg son 102- 105 más abundantes que los viriones y se pueden acumular en
concentraciones de varios cientos de microgramos por mililitro de suero.
GENOTIPOS
• 10 genotipos: A-J y numerosos subtipos.
• Divergencia 8% o + en toda la secuencia
del genoma.
• Clasificación de los genotipos no
condiciona diferencias en el tratamiento.
 Excepción:pacientes candidatos al
tratamiento con IFN.
 En los pacientes que son buenos candidatos
por la edad y otros factores), la
genotipificación del virus puede ser útil,
porque los genotipos A y B se asocian a una
mayor frecuencia de respuesta virológica
mantenida y eliminación del HBsAg
PATOGENIA
• No se suele considerar un virus citopático, y se considera que la gravedad de la hepatopatía
por este virus se relaciona con la intensidad de la respuesta inmunitaria que provoca.
• Para conseguir eliminar de forma eficaz y proteger al paciente frente a la reinfección a largo
plazo: respuesta inmunitaria celular (ppal responsable de la patogenia) como la humoral.
• La respuesta inmunitaria frente al VHB incluye:
respuesta innata o inespecífica (p. ej., células citolíticas naturales e IFN)
Adaptativa: anticuerpos frente a los antígenos del virus, linfocitos T CD4+ con un HLA de clase II
determinado y linfocitos T citotóxicos CD8+ con un HLA de clase I determinado.
PATOGENIA
Infección aguda:
• La mayor parte de las moléculas de ADN del VHB se eliminan con rapidez del hígado por
mecanismos no citopáticos mediados por citocinas (células sist. Inm. Innato-LTCD8+).
• Las respuestas inmunitarias mediadas por células son eficientes en la infección autolimitada,
porque las respuestas son enérgicas, multiespecíficas y orientadas hacia las funciones de los
linfocitos T colaboradores de tipo 1.
Infección crónica:
• Baja respuesta de linfocitos T específicos frente al virus, limitada y débil.
• Mayoría de las células mononucleares que infiltran el hígado en un momento determinado no
son específicas frente a un antígeno.
PATOGENIA
• LT CD8+: apoptosis de hepatocitos
infectados.
• LT CD4+: producen citocinas antivirales
y colaboran en la producción de
anticuerpos neutralizantes: limita la
diseminación intrahepática del virus
durante la infección primaria y tiene un
papel esencial para prevenir la
reinfección.
EVOLUCIÓN NATURAL
4 fases:
1. Tolerancia inmunitaria
2. Eliminación inmunitaria
3. Fase de portador inactivo
4. Reactivación
INFECCIÓN CRÓNICA EN ETAPAS TEMPRANAS DE LA VIDA.
EVOLUCIÓN
NATURAL
Tolerancia inmunitaria:
• la más precoz de las que se reconocen cuando existen
antecedentes de infección en el momento del nacimiento o
los primeros años de vida.
• HBeAg+, altas concentraciones del ADN del VHB (≥ 107
UI/ml), concentraciones de aminotransferasas séricas
bajas o normales, y necroinflamación o fibrosis hepática
mínimas o ausentes por completo.
• Velocidad de pérdida de HBeAg es baja: induce una
situación de tolerancia inmunitaria frente al VHB en los
neonatos.
• Transmisión perinatal: mecanismos posibles
responsables.
EVOLUCIÓN NATURAL
Inmunitaria activa:
• Suele empezar varias décadas después de la infección por el VHB.
• Aumento de las concentraciones de aminotransferasas séricas, unas concentraciones
de ADN del VHB menores que en la fase de tolerancia inmunitaria y evidencia histológica
de hepatitis crónica.
• Lisis de los hepatocitos infectados mediados por LTCD8+.
• Duración: muchos años.
• Seroconversión del HBeAg (pérdida del HBeAg con aparición de anti-HBe en el suero).
• Frecuencia media anual de seroconversión del HBeAg espontánea oscila entre un 8-15% niños
mayores o adultos con elevación de la ALT sérica: frecuencia menor en niños asiáticos e ID.
EVOLUCIÓN NATURAL
Inmunitaria activa:
• Seroconversión del HBeAg no siempre indica una enfermedad quiescente.
• 30%- post entran en una fase de enfermedad activa, debido a la selección de mutantes
negativos para el HBeAg (mutación en el precore, en el promotor del core o una combinación
de ambas).
• 50% tienen múltiples fluctuaciones en las concentraciones de ADN del VHB y las
aminotransferasas cada año, y el reconocimiento de la enfermedad activa y el descarte del
estado de portador inactivo del HBsAg pueden necesitar evaluaciones seriadas de las
concentraciones de ADN del VHB y aminotransferasas en el suero.
EVOLUCIÓN NATURAL
Portador inactivo:
• Mayor parte de los que sufren la seroconversión del HBeAg.
• Caracterizada por la normalización de la ALT sérica y una concentración de ADN del VHB
en suero baja (< 2.000 UI/ml) o indetectable.
• Durar toda la vida, algunos reactivación: espontánea o por pérdida del control inmunitario sobre
la replicación vírica o por un tx con fármacos inmunodepresores.
Reactivación: reaparición de unas concentraciones altas de ADN del VHB en el suero,
asociadas o no a la serorreversión del HBeAg, y con frecuencia acompañada de un
destacado aumento de los niveles de ALT sérica.
EVOLUCIÓN NATURAL
• Si la fase inmunitaria activa de la hepatitis B no se trata, cabría esperar que un 20% de los
pacientes desarrollaran una cirrosis como mínimo.
• Factores que aumentan el riesgo de cirrosis:
Edad avanzada
Sexo masculino
Estado de fibrosis en el momento de presentación
Replicación mantenidad del VHB
Infección combinada por el VHd, VHC o VIH
Consumo abusivo de alcohol: cirrosis y CHC.
EVOLUCIÓN NATURAL
CIRROSIS
• Dos complicaciones ppales: descompensación hepática y CHC.
• Factores aumento del riesgo de CHC
 sexo masculino, 45 años de edad o más, familiar de primer grado con un CHC, presencia de cirrosis,
positividad para el HBeAg, reversión de anti-HBe a positividad del HBeAg y aumento de las
concentraciones de ADN del VHB independientemente del estado del HBeAg.
• Mutaciones del promotor del core (que se suelen asociar a unos niveles más altos de
replicación vírica) y el genotipo C son factores de riesgo aditivos que explican la mayor
frecuencia de transformación a CHC.
• Se puede encontrar un CHC en pacientes cirróticos que han sufrido seroconversión de HBsAg.
ALT sérica como marcador subrogado
de actividad
de la enfermedad
• Medida de la actividad de la enfermedad en los pacientes con una hepatitis crónica B.
• Una concentración de ALT sérica dentro de los valores normales es un marcador subrogado
imperfecto para valorar la ausencia de actividad de la enfermedad.
• Laboratorios de análisis clínicos definen sus valores normales en función de la sangre de
donantes sin hepatopatía conocida, pero dentro de estas poblaciones se pueden incluir
obesos, alcohólicos y diabéticos, lo que tiende a incrementar el límite superior del supuesto
valor normal.
• De hecho, la mortalidad por todas las causas y la específica hepática aumenta cuando la
concentración de ALT sérica supera 20 U/l en mujeres
30 U/l en hombres
Niveles de ADN del VHB y
complicaciones
a largo plazo
• Concentración sérica del ADN del VHB es el mejor factor predictivo aislado de
progresión futura a la cirrosis y a CHC en personas infectadas por el VHB.
• Tanto la duración como el nivel de viremia son importantes factores de riesgo para el
desarrollo de un CHC.
• Los datos también sugieren que la supresión del ADN del VHB, espontánea o como
consecuencia del tratamiento antiviral, reduce el riesgo de CHC.
EVOLUCIÓN
CLÍNICA
HEPATITIS B AGUDA
• EDAD: Ppal determinante de la
evolución clínica
• Exposición perinatal: portador crónico
95% (tolerancia inm).
Niños <5 años: riesgo 30%-
Adultos IC: 2-5%
MC:
• 2/3 cuadro subclínico o asintomáticos.
• 1/3 hepatitis aguda
• 1% Insuficiencia hepática aguda- frec.
Supervivencia espontánea: 20%
Trasplante hepático: 50-60%.
CARACTERÍSTICAS CLÍNICAS Y
PATOLÓGICAS
Incubación:
2-3 meses
(días-6
meses)
Desaparece 1-
3 meses Aminotransferasas ↑
1,000 a 2000 U/l: ALT
Hepatitis ictérica:
↑Bilirrubina
HBsAg ↑ Desaparecen
3 meses del
inicio
Complejos HBsAg-anti-HBs- complemento: sinovial y vasos
cutáneos.
Persistencia HBsAg >6 meses:
portador
Pronóstico: INR
CARACTERÍSTICAS CLÍNICAS Y
PATOLÓGICAS
INSUFICIENCIA HEPÁTICA AGUDA: 4 SEMANAS de inicio de Sx
1. Disfunción multiorgánica
2. Coagulopatía
3. Encefalopatía
4. Mortalidad elevada- Tx rápido con antivirales y trasplante hepático.
• + 40 años: más susceptibles a la IH de inicio tardío: varios meses después: encefalopatía y disfunción
renal.
• Lisis masiva de mecanismo inmunitario de los hepatocitos infectados y trastorno de la regeneración de
los hepatocitos nuevos.
HEPATITIS B CRÓNICA
• Pacientes que se infectan en los primeros años de vida: 1/3-1/4- hepatopatía progresiva.
Cirrosis
CHC
• Pronóstico depende de: huésped (edad, sexo masculino, origen genético, estado inmunitario) y
virus (nivel de ADN del VHB en el suero, genotipo del VHB, patrones de mutación).
• Principal determinante de la supervivencia: gravedad de la hepatopatía cuando el
paciente consulta por vez primera.
• El riesgo de desarrollo de CHC es cuatro veces mayor en los hombres que en las mujeres.
• Descompensación hepática precoz: indicación de tx antiviral- valorar trasplante hepático.
HEPATITIS B CRÓNICA
• La eliminación del HBsAg del suero de los pacientes con cirrosis por el VHB se asocia a
un pronóstico excelente:
mejora de la histología y función hepática
menor riesgo de reactivación del virus
aumento de la supervivencia a largo plazo.
• Sin embargo, la eliminación del HBsAg tampoco garantiza que no se desarrolle en el futuro un
CHC en los pacientes con una cirrosis previa.
CARACTERÍSTICAS
CLÍNICAS Y PATOLÓGICAS
• No suelen referir antecedentes de hepatitis aguda o
sintomática.
• Asintomáticos incluso en periodos de reactivación.
• SX:
Fatiga
+ cirrosis: ictericia franca y signos de insuficiencia hepática,
telangiectasias en araña, ascitis y edema periférico.
Hepatoesplenomegalia
• Exacerbación: concentraciones de ALT de hasta 1,000 U/l,
cuadro clínico no se diferencia de Hepatitis B aguda,
existencia de IgM anti-HBc.
Sospechar progresión:
 Hiperesplenismo
 Hipoalbuminemia (sin nefropatía)
 Prolongación del TP
 Niveles de AST ↑
Manifestaciones extrahepáticas
• Más frecuencia Hepatitis B Crónica.
• SIN HEPATOPATÍA CLÍNICA: CONFUNDIRSE
• Patogenia: Respuesta inmunitaria aberrante frente a proteínas víricas extrahepáticas.
Inmunocomplejos circulantes activan complemento.
Complemento sérico ↓
Dermatitis-artritis Panarteritis
nudosa
Glomerulonefritis
Manifestaciones extrahepáticas
• Glomerulonefritis:
 Membranosa y membranoproliferativa
 Síndrome nefrótico
 Dx: Para diagnosticarlo se debe demostrar una glomerulonefritis por inmunocomplejos en la biopsia renal y
depósitos glomerulares de uno o más antígenos del VHB, como el HBsAg, HBcAg o el HBeAg, en el estudio
inmunohistoquímico.
 Niños: resolutiva de meses a años (tras las seroconversión a HBeAg).
 Adultos: progresa de manera lenta pero inexorable.
 IFN-a y análogos de nucleós(t)idos.
• Crioglobulinemia:
Tipo II: IgG policlonal e IgM monoclonal.
Tipo III: IgG policlonal y factor reumatoide.
 Paucisintomática o asintomática.
 Asociarse a una vasculitis sistémica.
 Análogos de nucleós(t)idos.
Características histopatológicas
• Infección crónica: infiltración por células mononucleares de los espacios portales.
• Durante la reactivación de la hepatitis B, la inflamación lobulillar es más intensa y recuerda
a la presente en la hepatitis vírica aguda.
• La esteatosis no es una característica de la hepatitis B crónica, a diferencia de lo que sucede
en la hepatitis C crónica.
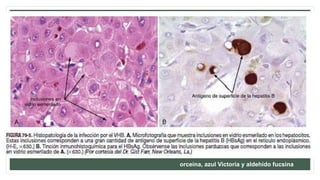
• Único rasgo histológico: microscopia óptica convencional y considerado específico de la
hepatitis B crónica es la presencia de hepatocitos en vidrio esmerilado.
acumulación de partículas de HBsAg (de 20-30 nm de diámetro) en el retículo endoplásmico
dilatado.
• Cuando existen en abundancia, estos los hepatocitos suelen indicar replicación activa del
virus
orceína, azul Victoria y aldehído fucsina
DIAGNÓSTICO
• HBsAg aparece en el suero a las 2-10 semanas de exposición al VHB y antes de que el
paciente desarrolle síntomas o se eleven las concentraciones de aminotransferasas
séricas.
• En la hepatitis aguda autolimitada, el HBsAg suele ser indetectable a los 4-6 meses.
• La persistencia del HBsAg durante más de 6 meses indica cronificación del VHB.
• Desaparición del HBsAg se sigue en unas pocas semanas de la aparición de anti-HBs.
• En la mayor parte de los pacientes, el anti-HBs persiste durante toda la vida y aporta
inmunidad a largo plazo.
• El anti-HBs puede no ser detectable durante un período de ventana que dura de semanas
a meses tras la desaparición del HBsAg.
• En este período, el diagnóstico de infección aguda por el VHB se establece mediante la detección
de anti-HBc de tipo IgM en suero.
DIAGNÓSTICO
• Detectar anti-HBc en la infección aguda y crónica por el VHB.
• Durante la infección aguda predominan los anti- HBc de clase IgM, y se suelen detectar durante 4-6
meses tras un episodio agudo de hepatitis y en raras ocasiones hasta 2 años.
 Exacerbaciones de una hepatitis B crónica y con frecuencia se emplean como marcador subrogado de replicación
vírica activa.
• Los anti-HBc de clase IgG se encuentran en pacientes que se recuperan de una hepatitis B aguda y
también son el tipo descrito en los pacientes que se cronifican.
• La reactividad aislada para anti-HBc puede aparecer en una serie de situaciones clínicas
adicionales
 FALSO +: respuesta primaria a la vacunación frente al VHB en lugar de la re
 respuesta primaria a la vacunación frente al VHB en lugar de la respuesta de recuerdo spuesta de recuerdo
DIAGNÓSTICO
• HBeAg es una proteína vírica presente en el suero durante las fases precoces de la infección aguda
por el VHB.
• La reactividad del HBeAg suele desaparecer cuando las concentraciones de aminotransferasas
llegan al máximo o poco después
• la persistencia del HBeAg a los 3 meses del comienzo de la enfermedad o más indica una alta
probabilidad de cronificación de la infección por el VHB.
• HBeAg + HBsAg= alto nivel de replicación- mayor infectividad.
DIAGNÓSTICO
• Se puede determinar el ADN del VHB en el suero con técnicas cualitativas o cuantitativas.
• La mayor parte de los laboratorios de EE.UU. emplean una PCR cuantitativa que permite detectar
menos de 400 copias/ml. Se suele emplear la técnica Cobas TaqMan, que permite la detección fiable
de concentraciones de ADN del VHB en un rango lineal que oscila desde 25 UI/ml (unas 100 copias/ml)
a 108 UI/ml.
• Se suele cuantificar el ADN del VHB en suero para evaluar si el paciente es candidato a tratamiento
antiviral con monitorización de la respuesta.
• altas concentraciones basales de ADN del VHB (> 109 copias/ml) suelen responder peor al
tratamiento con IFN en comparación con los que tienen concentraciones más bajas.
• Por el contrario, no se ha demostrado que las concentraciones basales de ADN del virus se
correlacionen con la respuesta al tratamiento con análogos de nucleós(t)idos, porque estos fármacos
consiguen una inhibición más potente de la replicación del virus.
• La monitorización de las concentraciones de ADN del VHB en intervalos clave, como a las 12 y 24
semanas de tratamiento, permite predecir la probabilidad de eliminación del HBeAg durante el
tratamiento con IFN pegilado y análogos de nucleós(t)idos.
DIAGNÓSTICO
• PCR cualitativa es todavía más sensible que la cuantitativa para detectar el ADN del VHB.
• Se pueden detectar pequeñas cantidades de ADN del virus en el suero y las células
mononucleares periféricas años después de la recuperación de una hepatitis B aguda o crónica.
Tratamiento
• 7 Farmacos:
• Analogos de Nucleósidos: Supresión potente de
la replicación por efecto inhibidor en ADN
polimerasa, biodisponibilidad oral, buen perfil de
seguridad. Pacientes con cirrosis descompensada.
• IFN-a: Actividad inmunoestimuladora y antiviral.
Disminución mas rapida de HBsAg.
• Menos potentes y menor uso por efectos
secundarios: deterioro de insuficiencia hepática e
infecciones graves.
Objetivos
• Supresión a largo plazo de la replicación vírica:
• Detener progresión de hepatopatía
• Prevenir complicaciones tardías (Cirrosis, insuficiencia, CHC)
• Aumentar la supervivencia
PROBLEMAS:
• Menos del 10% reciben tratamiento antiviral
• Nacido en pais endemico – enfermo como inmigrante – falla en el
diagnostico +
• Barreras culturales para el tratamiento:
• Aislamiento de programas de salud
• Desconocimiento del ingles
• Creencias religiosas y de estigmatización.
Selección del Farmaco
• Niveles séricos de ALT
• Concentraciones de ADN de VHB
• Histología Hepática
• Costo de Tratamientos
• Riesgo de efectos adversos
• Edad del paciente
• Comorbilidades
Definiciones de Respuesta
Criterios para valorar respuesta al tratamiento: Segun
resultados:
• Bioquímicos: Normalización de ALT sérica
• Virológicos: Desaparición mantenida del ADN del VHB,
seroconversión HBeAg por anti-Hbe (la mejor garantía de
no recaidas).
• Histológicos: Mejora de 2 puntos o mas en escala
necroinflamatoria sin empeoramiento de la fibrosis.
Analogos de Nucleosidos y
Nucleótidos
• Pacientes no tratados previamente
(naive).
• Seroconversión del HBeAg lenta
(años - indefinido):
• Ausencia de efectos secundarios
• Buen perfil de resistencia.
• 15 – 20% sufren recaida al año de
suspender el tratamiento: mantener
6 meses tras seroconversión.
ADN SEROCONVERSIÓN
70 – 85% negativizan ADN de
VHB durante el primer año
Solo un 20 – 25% tiene
seroconversión al primer año
85 – 95% al segundo año 40% a los 5 años (con apego y
sin resistencia)
Un pequeño grupo permanece
con ADN a pesar de respuesta
clínica y bioquímica.
Se requiere tratamiento a largo
plazo o de mantenimiento en
HBeAg negativos por alta
frecuencia de recaidas.
• LAMIVUDINA
• No se recomienda de primera línea por
alta resistencia pero se usa en paises
emergentes o a corto plazo, resistencia
tambien contra entecavir.
• ADEFOVIR DIPIVOXILO
• En EUA se cambió por tenofovir, en
otros paises es el primario o cuando
hay resistencia a lamivudina
(combinados). Nefrotoxicidad.
• ENTECAVIR
• El mas potente y con menos
resistencia. Beneficios a largo plazo:
regresión de fibrosis/cirrosis: menor
incidencia de CHC.
• TELBIVUDINA
• Mas potente que lamivudina pero
con alta y cruzada resistencia (nunca
sustitutivo). No es de primera línea:
solo pacientes especificos y
suspender si ADN continua tras 24
semanas. Alternativa segura en
alteraciones renales
• TENOFOVIR
• Mas potente que adefovir y entecavir
+ No se han descrito resistencias:
Tratamiento de primera linea.
• Algunos problemas como reducción
de la densidad ósea, daño tubular
renal y sindrome de Fanconi.
• EMTRICITABINA
• Similar a Lamivudina, sirve mucho
combinado cuando también tienen
VIH.
Monitorización
• Tratamiento con analogos:
• Determinaciones eriadas de ALT y ADN del VHB cada 4 meses
durante el primer año.
• Ampliar seguimientos a 6 meses cuando se consigue ADN <
2,000 UI/ml y si el paciente cumple el tratamiento.
• Fracaso del tratamiento
• Raro con tenofovir o entecavir (culpa de apego del paciente)
• Resistencia genotipica: Cambio en un nucleotido en el gen de
la polimerasa del ADN del VHB, que se asocia a evidencia
clínica de resistencia al farmaco.
RESISTENCI
A
DAR
Lamivudina,
adefovir o
entecavir
Tenofovir
Adefovir Entecavir
Dar un segundo
analogo.
Interferón (IFN-a)
• Convencional
• Pegilado: Mayor potencia y Tolerancia
• Tratamiento de 48 semanas (1 año)
• Contraindicado en pacientes con cirrosis (picos de ALT)
• Respuestas mantenidad, mayor perdida de HBsAg a largo plazo
• No se asocia a resistencias
• Disminución mas rapida de HBsAg debida a eliminación por
mecanismo inmunitario del ADNccc (molde para trasncripción) del
virus.
• Tratamiento combinado en estudio
Recomendaciones
• Tratar a los pacientes con evidencia bioquímica de lesión hepática y concentraciones de AND
superiores a 20,000 UI/ml HBeAg positivos o 2000 UI/ml en los negativos.
• Niveles sericos de ALT del doble del limite superior.
• Primera línea en cirrosis descompensada: Analogos de nucleótidos.
• Biopsia hepática no se recomienda a menos que existan dudas de la magnitud: ecografia,
elastografia.
• Mantener tratamiento durante 6 a 12 meses tras la seroconversión para reducir riesgo de
recaida.
Prevención
• Pasiva y Activa.
• IGHB:
• Plasma con altos titulos de anti-HBs
• Eficacia en prevención en personas de alto
riesgo (hemodialisis, parejas de infectados,
Rn de madres infectadas) junto con
vacunación simultanea.
• En general seguro (racción anafilactica).
Vacuna de la Hepatitis B
• ADN recombinante HBsAg(gen S) en el genoma de levadura.
• 2 vacunas: Recombivax HB y Engerix-B
• Adyuvante con hidroxido de aluminio
• Intramuscular, deltoides (adultos) o muslo anterolateral (lactantes y
neonatos)
• 90% Titulo anti-HBs >100mUI/ml : Protección del 100%
• Reducción de Ig en los primeros 2 años: 20 – 50% hasta debajo de niveles
protectores.
• Hipo rrespondedores: Tabaquismo, obesidad, inyección en la nalga,
hepatopatia crónica, edades extremas, inmunosuprimidos entre otros: dosis
mas alta.
• No refuerzo: Memoria previene infección incluso con titulos bajos
(inmunocompetentes).
Protocolo de
Vacunación
• Protocolo tipico: 0, 1 y 6
meses.
• Tercera dosis es la que
permite el titulo elevado de
anti-HBs
• Inmunodeprimidos y
hemodialisis: 4 dosis
• Vacunar a los adolescentes
que no fueron vacunados en
la infancia.

Hepatitis viral A y B

  • 1.
    GASTROENTEROLOGÍA DR. MAURICIO HEIRASARROYO Alumnos:  Stephanie López Hernández 299585  Edgar Alejandro Sáenz Ordóñez 299787 Grupo 7-7 UNIVERSIDAD AUTÓNOMA DE CHIHUAHUA FACULTAD DE MEDICINA Y CIENCIAS BIOMÉDICAS.
  • 2.
  • 3.
    Generalidades • Hepatitis viricaaguda mas frecuente. • Autolimitada • Virus ARN monocatenario citopático • Transmisión fecal-oral (agua, alimentos) • Diferencias: • Estructura • Mecanismo de replicación • Mecanismo de transmisión • Tiempo de incubación • Cronicidad - mortalidad
  • 4.
    Virologia • Familia: Picornaviridae •Genero: Hepatovirus • Forma: icosaédrica • Diametro: 27 -28 nm • ARN sentido positivo • 1 solo serotipo Aqui sobrevive Aqui no • Entorno ácido • Agua marina • Heces desecadas (4 semanas) • Ostras vivas (5 días) • 85ºC • 1 minuto
  • 5.
    Ciclo Vital • Unióna receptor de superficie (VHA cr-1) • Entrada a la célula • Perdida de cubierta • Formación de polirribosoma • Poliproteina 2,227 AAS • Regiones: • P1: Estructurales PV1, PV2, PV3 • P2 y P3: No estructurales (de replicación) • Sintesis de mas ARN y traducción. • Ensamblaje de viriones maduros.
  • 6.
    Ciclo Vital • GenotiposHumanos: I, II, III, VII • Heterogeneidad de nucleotidos, estructura antigenica conservada. • Virulencia: PV1/2A y 2C • Vacunas comerciales: HM175 y CR326: • Protección frente a todas las cepas de importancia humana. • Aparición de Insuficiencia Hepática Fulminante
  • 7.
    Epidemiología • Incidencia disminuyendo(Vacuna) • 2010: 17, 000 infecciones • Aprox. 0.5 / 1000, 000 • Historico: Niños de 5 a 14 años • 2006: Adultos 20 a 44 años • Factores de riesgo: • Viajes internacionales (45.8%) • Contacto con infectado (14.8%) • Contacto con personal de guarderia (7.6%) • Exposición alimentaria (7.2%)
  • 8.
    Patrones Epidemiológicos Paises InsalubresPaises industrializados Comunidades cerradas La mayor parte de los niños sufren infección a edades tempranas, sintomática (anti – HVA) o asintomática. Prevalencia de infección baja en niños y adultos jovenes, mas alta en los mayores. Forma epidémica: Toda la población se infecta y desarrolla inmunidad. Recien nacidos reinician infección.
  • 9.
    Transmisión • Fecal –oral • Contacto entre personas • Ingesta de alimentos o agua contaminada • Posible parenteral: Transfusiones, drogas
  • 11.
    Patogenia • Ciclo enterohepático: •Sobrevive ácido gástrico, atraviesa intestino delgado. • Vena porta. • Replicación y secreción en hepatocitos. • Conductos biliares • Heces • Anticuerpos – inmunidad interrumpen. • No citopático: Los hepatocitos sufren necrosis por los anti-VHA que atacan al virus.
  • 12.
    Caracteristicas Clínicas • Episodioagudo autolimitado no cronificado. • Incubación: 2 – 4 semanas (hasta 6) • Caracteristica Clinica MAS FRECUENTE en casos de hepatitis A: ICTERICIA • Complicaciones: • Curso grave o recidivante • Colestasis grave • Morbilidad en adultos y niños mayores • Disfunción hepatocelular grave en adultos y ancianos
  • 13.
    LOS 5 PATRONESCLÍNICOS Asintomático sin ictericia Sintomatico con ictericia, autolimitado a los 2 meses Colestásico con ictericia de 10 semanas o mas de evolución Recidivante con 2 o mas brotes de infección aguda en un periodo de 6 a 10 semanas Insuficiencia Hepática Fulminante
  • 14.
    • Niños menoresde 2 años suelen ser asintomaticos. • Sintomática: 20% menores de 2 años 80% de 5 años o mas. • Colestasis prolongada infrecuente y puede conducir a tecnicas diagnosticas invasivas. • Recidivante en un 10 – 15% de los casos de hepatitis A aguda en un periodo de 6 meses tras la resolución.
  • 15.
    Fase Prodrómica Faseictérica. 3 – 30 dias después de la infección. Unos dias a 2 semanas • Fiebre • Malestar • Ictericia • Fatiga • Debilidad • Anorexia • Náusea • Vomito • Dolor abdominal • Cefalea • Altralgia • Hipersensibilidad en cuadrante supero externo • Ligera Hepatomegalia • Esplenomegalia • Adenopatías cervicales Orina oscura 1- 2 semanas antes de sintomas prodrómic os en el 90% • Recuperación clínica completa en 2 meses (60%) o 6 meses • Pronostico global excelente. • No se asocia a aumento de mortalidad en gestantes (E) • Diferencial con otras hepatitis mediante pruebas serologicas • Puede estar sobreañadida a una hepatitis B o C.
  • 17.
    Hepatitis A Fulminante •Insuficiencia hepática fulminante infrecuente en jovenes • Factores de riesgo de IHF: • > 75 años • Hepatopatía de base • Hepatitis crónica virica • Manifestación: • Primera semana 55% • Primeras 4 semanas 90% • > 4 semanas raro
  • 18.
    Manifestaciones Extrahepáticas • FrecuenciaVHA < VHB • Exantema evanescente (14%) • Artralgias (11%) • Vasculitis leucocitoclastica • Glomerulonefritis • Artritis • Predilección por miembros inferiores. • Pacientes con enfermedad prolongada tienen mayor frecuencia de manifestaciones extrehepáticas. • Hepatitis autoinmunitaria (casos poco frecuentes.
  • 19.
    Diagnóstico • Indistinguible clínicamentede otras hepatitis víricas, diagnóstico por anticuerpos séricos anti-VHA. • Positividad: Desde sintomas a 4 meses después. (IgM). • IgG anti-VHA: de por vida, marcador de infección previa. • Determinación de ARN en suero, heces y tejido hepático amplificado por PCR: Centros de investigación.
  • 20.
    Prevención • OMS 2012: •Alta endemia: Evitar los programas de vacunación a gran escala. (Niños asintomáticos). • Endemia intermedia: Se recomienda vacunación. (Adultos susceptibles) • Endemia baja o muy baja: Vacunación dirigida a beneficios individuales: • Viajes • Transfusiones • Hepatopatía crónica • Adictos a drogas parenterales
  • 21.
    Tratamiento • Sintomático (nofarmacos especificos). • Prevención vacuna frente VHA. • Existe vacuna para profilaxis antes y después de la exposición. • Personas con hepatitis A asintomática pueden ser riesgo de infección para los demás. • Ventaja de protección a largo plazo, seguridad y disponibilidad frente a IG frente VHA. • Exposición reciente al VHA, sin vacunación previa: • Dosis única 0.02ml/kg lo mas pronto posible en el plazo de las 2 semanas siguientes a la exposición.
  • 22.
    Vacuna • Autorizada en1995 • 2 vacunas con virus inactivados, procedente de VHA obtenido de cultivo celular, purificado, inactivado con formol y con alumbre como adyuvante. • HAVRIX: Cepa HM175 ( Ig duran 20 años ) • VAQTA: Cepa CR326 • Efectos secundarios: Dolor en el lugar de la inyección, cefalea y malestar. • Efectos adversos: Guillain-Barré, TPI, elevación aminotransferasa sérica, convulsiones (niños): • Ninguno atribuido de forma definitiva a la vacuna.
  • 24.
  • 25.
    EPIDEMIOLOGÍA • 400 millones-crónica. 15-40%- Cirrosis o Carcinoma hepatocelular- muerte. Vacunación y uso de tx antiviral: ↓ IHA e IHC. ↑ HB Crónica y CHC: Vías de desarrollo- exposición perinatal y en los primeros años de vida. Regiones de baja prevalencia (EU y Europa occidental)- casos nuevos en adultos: Contactos heterosexuales promiscuos y adicción a drogas parenterales + infrautilización de vacunación.
  • 26.
    8% portadora crónica Riesgoinf. 60-80% -Transmisión perinatal y contagio horizontal entre niños- Riesgo: 20-60% -Transmisión horizontal y exposición neonatal. Riesgo <20 % -Transmisión horizontal entre adultos jóvenes- Transmisión sexual y drogas IV.
  • 27.
    EPIDEMIOLOGÍA • Infecciones nuevasen todo el mundo: transmisión perinatal ½: portadores con HBsAg + 60-90% madres portadoras de HBeAg transmiten a su descendencia Madres con anticuerpos anti HBeAg 5-15% • Vacunación ↓ incidencia.
  • 28.
    Infectividad • Exposición percutáneao mucosa a líquidos corporales infecciosos. • 500 veces + infeccioso que el VIH y 10 veces + que el VHC. • HBeAg +: riesgo + de transmisión de madre a hijo o tras un pinchazo o contacto doméstico. • ADN: PCR en líquidos corporales. • Reservorio intrahepático y extrahepático:  Intrahepático: replica principalmente en los hepatocitos. Pequeñas cant. En tej. Años después de la aparente resolución de la infección crónica.  Extrahepático: intermediarios de replicación y proteínas codificadas: glándula suprarrenal, testículo, colon, ganglios nerviosos o piel. Células mononucleares periféricas: peq cant. Años después de la resolución inf crónica. Frec. ↑ transmisión del VHB de órganos dondantes anti-HBc +.
  • 29.
    VIROLOGÍA • VHB: virusADN pequeño de la familia Hepadnaviridae. • Pequeño con un genoma de ADN que tiene una configuración parcialmente bicatenaria circular relajada. • Genoma está compuesto por cuatro marcos de lectura abiertos (ORF) y tiene un diseño compacto en el cual varios genes se solapan y utilizan el mismo ADN para codificar distintas proteínas víricas. • 4 genes del virus: core, superficie, X y polimerasa.
  • 30.
    VIROLOGÍA • El gendel core codifica la proteína de core de la nucleocápside, que es importante para el ensamblaje del virus y la producción de HBeAg. • El gen de superficie codifica las proteínas pre-S1, pre-S2 y S (que incluye una proteína de superficie grande [L], intermedia [M] y pequeña [S]). • El gen X codifica la proteína X, con propiedades transactivadoras y que puede tener importancia en la carcinogenia hepática. • El gen de la polimerasa cuenta con un ORF grande (unos 800 aminoácidos) y se solapa en toda la longitud del ORF de superficie. Codifica una proteína grande con funciones esenciales en el ensamblaje y la replicación del ADN (incluyendo las actividades de priming, de la ADN polimerasa dependiente de ADN y ARN, y de la ARNasa H).
  • 32.
    REPLICACIÓN DEL VIRUS •Se replica a través de un ARN intermediario y necesita una enzima transcriptasa inversa/ polimerasa vírica activa. • Frecuencia de mutaciones del VHB es superior a la de otros virus ADN (se estiman unas 1013-1015 mutaciones puntuales diarias). • Gran número de mutaciones en el genoma del virus, muchas de las cuales son silentes o no modifican la secuencia de aminoácidos de las proteínas codificadas.
  • 33.
    REPLICACIÓN DEL VIRUS •Replicación comienza con la encapsidación del ARN pregenómico mediante interacciones complejas entre las proteínas del huésped y el virus. La ADN polimerasa inversa del VHB transcribe el ARN pregenómico en un ADN del VHB de cadena negativa, que sirve como molde para la síntesis de la cadena positiva para formar un genoma parcialmente bicatenario. • Al tiempo que se sintetiza el ADN del VHB, la nucleocápside madura y, por un mecanismo todavía mal comprendido, interactúa con la proteína S para iniciar el ensamblaje del virus en el retículo endoplásmico.
  • 34.
    REPLICACIÓN DEL VIRUS •La proteína S se sintetiza en el retículo endoplásmico, donde los agregados de monómeros que excluyen las proteínas de la membrana del huésped posteriormente protruyen a modo de yemas hacia la luz en forma de partículas subvíricas. Cuando se forma, el HBsAg sufre glucosilación en el retículo endoplásmico y el aparato de Golgi. • Las partículas subvíricas no infecciosas (formas esféricas y filamentosas del HBsAg) se secretan en gran abundancia en comparación con los viriones maduros. Estas partículas subvíricas del HBsAg son 102- 105 más abundantes que los viriones y se pueden acumular en concentraciones de varios cientos de microgramos por mililitro de suero.
  • 36.
    GENOTIPOS • 10 genotipos:A-J y numerosos subtipos. • Divergencia 8% o + en toda la secuencia del genoma. • Clasificación de los genotipos no condiciona diferencias en el tratamiento.  Excepción:pacientes candidatos al tratamiento con IFN.  En los pacientes que son buenos candidatos por la edad y otros factores), la genotipificación del virus puede ser útil, porque los genotipos A y B se asocian a una mayor frecuencia de respuesta virológica mantenida y eliminación del HBsAg
  • 37.
    PATOGENIA • No sesuele considerar un virus citopático, y se considera que la gravedad de la hepatopatía por este virus se relaciona con la intensidad de la respuesta inmunitaria que provoca. • Para conseguir eliminar de forma eficaz y proteger al paciente frente a la reinfección a largo plazo: respuesta inmunitaria celular (ppal responsable de la patogenia) como la humoral. • La respuesta inmunitaria frente al VHB incluye: respuesta innata o inespecífica (p. ej., células citolíticas naturales e IFN) Adaptativa: anticuerpos frente a los antígenos del virus, linfocitos T CD4+ con un HLA de clase II determinado y linfocitos T citotóxicos CD8+ con un HLA de clase I determinado.
  • 38.
    PATOGENIA Infección aguda: • Lamayor parte de las moléculas de ADN del VHB se eliminan con rapidez del hígado por mecanismos no citopáticos mediados por citocinas (células sist. Inm. Innato-LTCD8+). • Las respuestas inmunitarias mediadas por células son eficientes en la infección autolimitada, porque las respuestas son enérgicas, multiespecíficas y orientadas hacia las funciones de los linfocitos T colaboradores de tipo 1. Infección crónica: • Baja respuesta de linfocitos T específicos frente al virus, limitada y débil. • Mayoría de las células mononucleares que infiltran el hígado en un momento determinado no son específicas frente a un antígeno.
  • 39.
    PATOGENIA • LT CD8+:apoptosis de hepatocitos infectados. • LT CD4+: producen citocinas antivirales y colaboran en la producción de anticuerpos neutralizantes: limita la diseminación intrahepática del virus durante la infección primaria y tiene un papel esencial para prevenir la reinfección.
  • 40.
    EVOLUCIÓN NATURAL 4 fases: 1.Tolerancia inmunitaria 2. Eliminación inmunitaria 3. Fase de portador inactivo 4. Reactivación INFECCIÓN CRÓNICA EN ETAPAS TEMPRANAS DE LA VIDA.
  • 41.
    EVOLUCIÓN NATURAL Tolerancia inmunitaria: • lamás precoz de las que se reconocen cuando existen antecedentes de infección en el momento del nacimiento o los primeros años de vida. • HBeAg+, altas concentraciones del ADN del VHB (≥ 107 UI/ml), concentraciones de aminotransferasas séricas bajas o normales, y necroinflamación o fibrosis hepática mínimas o ausentes por completo. • Velocidad de pérdida de HBeAg es baja: induce una situación de tolerancia inmunitaria frente al VHB en los neonatos. • Transmisión perinatal: mecanismos posibles responsables.
  • 42.
    EVOLUCIÓN NATURAL Inmunitaria activa: •Suele empezar varias décadas después de la infección por el VHB. • Aumento de las concentraciones de aminotransferasas séricas, unas concentraciones de ADN del VHB menores que en la fase de tolerancia inmunitaria y evidencia histológica de hepatitis crónica. • Lisis de los hepatocitos infectados mediados por LTCD8+. • Duración: muchos años. • Seroconversión del HBeAg (pérdida del HBeAg con aparición de anti-HBe en el suero). • Frecuencia media anual de seroconversión del HBeAg espontánea oscila entre un 8-15% niños mayores o adultos con elevación de la ALT sérica: frecuencia menor en niños asiáticos e ID.
  • 43.
    EVOLUCIÓN NATURAL Inmunitaria activa: •Seroconversión del HBeAg no siempre indica una enfermedad quiescente. • 30%- post entran en una fase de enfermedad activa, debido a la selección de mutantes negativos para el HBeAg (mutación en el precore, en el promotor del core o una combinación de ambas). • 50% tienen múltiples fluctuaciones en las concentraciones de ADN del VHB y las aminotransferasas cada año, y el reconocimiento de la enfermedad activa y el descarte del estado de portador inactivo del HBsAg pueden necesitar evaluaciones seriadas de las concentraciones de ADN del VHB y aminotransferasas en el suero.
  • 44.
    EVOLUCIÓN NATURAL Portador inactivo: •Mayor parte de los que sufren la seroconversión del HBeAg. • Caracterizada por la normalización de la ALT sérica y una concentración de ADN del VHB en suero baja (< 2.000 UI/ml) o indetectable. • Durar toda la vida, algunos reactivación: espontánea o por pérdida del control inmunitario sobre la replicación vírica o por un tx con fármacos inmunodepresores. Reactivación: reaparición de unas concentraciones altas de ADN del VHB en el suero, asociadas o no a la serorreversión del HBeAg, y con frecuencia acompañada de un destacado aumento de los niveles de ALT sérica.
  • 46.
    EVOLUCIÓN NATURAL • Sila fase inmunitaria activa de la hepatitis B no se trata, cabría esperar que un 20% de los pacientes desarrollaran una cirrosis como mínimo. • Factores que aumentan el riesgo de cirrosis: Edad avanzada Sexo masculino Estado de fibrosis en el momento de presentación Replicación mantenidad del VHB Infección combinada por el VHd, VHC o VIH Consumo abusivo de alcohol: cirrosis y CHC.
  • 47.
    EVOLUCIÓN NATURAL CIRROSIS • Doscomplicaciones ppales: descompensación hepática y CHC. • Factores aumento del riesgo de CHC  sexo masculino, 45 años de edad o más, familiar de primer grado con un CHC, presencia de cirrosis, positividad para el HBeAg, reversión de anti-HBe a positividad del HBeAg y aumento de las concentraciones de ADN del VHB independientemente del estado del HBeAg. • Mutaciones del promotor del core (que se suelen asociar a unos niveles más altos de replicación vírica) y el genotipo C son factores de riesgo aditivos que explican la mayor frecuencia de transformación a CHC. • Se puede encontrar un CHC en pacientes cirróticos que han sufrido seroconversión de HBsAg.
  • 48.
    ALT sérica comomarcador subrogado de actividad de la enfermedad • Medida de la actividad de la enfermedad en los pacientes con una hepatitis crónica B. • Una concentración de ALT sérica dentro de los valores normales es un marcador subrogado imperfecto para valorar la ausencia de actividad de la enfermedad. • Laboratorios de análisis clínicos definen sus valores normales en función de la sangre de donantes sin hepatopatía conocida, pero dentro de estas poblaciones se pueden incluir obesos, alcohólicos y diabéticos, lo que tiende a incrementar el límite superior del supuesto valor normal. • De hecho, la mortalidad por todas las causas y la específica hepática aumenta cuando la concentración de ALT sérica supera 20 U/l en mujeres 30 U/l en hombres
  • 49.
    Niveles de ADNdel VHB y complicaciones a largo plazo • Concentración sérica del ADN del VHB es el mejor factor predictivo aislado de progresión futura a la cirrosis y a CHC en personas infectadas por el VHB. • Tanto la duración como el nivel de viremia son importantes factores de riesgo para el desarrollo de un CHC. • Los datos también sugieren que la supresión del ADN del VHB, espontánea o como consecuencia del tratamiento antiviral, reduce el riesgo de CHC.
  • 50.
    EVOLUCIÓN CLÍNICA HEPATITIS B AGUDA •EDAD: Ppal determinante de la evolución clínica • Exposición perinatal: portador crónico 95% (tolerancia inm). Niños <5 años: riesgo 30%- Adultos IC: 2-5% MC: • 2/3 cuadro subclínico o asintomáticos. • 1/3 hepatitis aguda • 1% Insuficiencia hepática aguda- frec. Supervivencia espontánea: 20% Trasplante hepático: 50-60%.
  • 51.
    CARACTERÍSTICAS CLÍNICAS Y PATOLÓGICAS Incubación: 2-3meses (días-6 meses) Desaparece 1- 3 meses Aminotransferasas ↑ 1,000 a 2000 U/l: ALT Hepatitis ictérica: ↑Bilirrubina HBsAg ↑ Desaparecen 3 meses del inicio Complejos HBsAg-anti-HBs- complemento: sinovial y vasos cutáneos. Persistencia HBsAg >6 meses: portador Pronóstico: INR
  • 52.
    CARACTERÍSTICAS CLÍNICAS Y PATOLÓGICAS INSUFICIENCIAHEPÁTICA AGUDA: 4 SEMANAS de inicio de Sx 1. Disfunción multiorgánica 2. Coagulopatía 3. Encefalopatía 4. Mortalidad elevada- Tx rápido con antivirales y trasplante hepático. • + 40 años: más susceptibles a la IH de inicio tardío: varios meses después: encefalopatía y disfunción renal. • Lisis masiva de mecanismo inmunitario de los hepatocitos infectados y trastorno de la regeneración de los hepatocitos nuevos.
  • 53.
    HEPATITIS B CRÓNICA •Pacientes que se infectan en los primeros años de vida: 1/3-1/4- hepatopatía progresiva. Cirrosis CHC • Pronóstico depende de: huésped (edad, sexo masculino, origen genético, estado inmunitario) y virus (nivel de ADN del VHB en el suero, genotipo del VHB, patrones de mutación). • Principal determinante de la supervivencia: gravedad de la hepatopatía cuando el paciente consulta por vez primera. • El riesgo de desarrollo de CHC es cuatro veces mayor en los hombres que en las mujeres. • Descompensación hepática precoz: indicación de tx antiviral- valorar trasplante hepático.
  • 54.
    HEPATITIS B CRÓNICA •La eliminación del HBsAg del suero de los pacientes con cirrosis por el VHB se asocia a un pronóstico excelente: mejora de la histología y función hepática menor riesgo de reactivación del virus aumento de la supervivencia a largo plazo. • Sin embargo, la eliminación del HBsAg tampoco garantiza que no se desarrolle en el futuro un CHC en los pacientes con una cirrosis previa.
  • 55.
    CARACTERÍSTICAS CLÍNICAS Y PATOLÓGICAS •No suelen referir antecedentes de hepatitis aguda o sintomática. • Asintomáticos incluso en periodos de reactivación. • SX: Fatiga + cirrosis: ictericia franca y signos de insuficiencia hepática, telangiectasias en araña, ascitis y edema periférico. Hepatoesplenomegalia • Exacerbación: concentraciones de ALT de hasta 1,000 U/l, cuadro clínico no se diferencia de Hepatitis B aguda, existencia de IgM anti-HBc.
  • 56.
    Sospechar progresión:  Hiperesplenismo Hipoalbuminemia (sin nefropatía)  Prolongación del TP  Niveles de AST ↑
  • 57.
    Manifestaciones extrahepáticas • Másfrecuencia Hepatitis B Crónica. • SIN HEPATOPATÍA CLÍNICA: CONFUNDIRSE • Patogenia: Respuesta inmunitaria aberrante frente a proteínas víricas extrahepáticas. Inmunocomplejos circulantes activan complemento. Complemento sérico ↓ Dermatitis-artritis Panarteritis nudosa Glomerulonefritis
  • 58.
    Manifestaciones extrahepáticas • Glomerulonefritis: Membranosa y membranoproliferativa  Síndrome nefrótico  Dx: Para diagnosticarlo se debe demostrar una glomerulonefritis por inmunocomplejos en la biopsia renal y depósitos glomerulares de uno o más antígenos del VHB, como el HBsAg, HBcAg o el HBeAg, en el estudio inmunohistoquímico.  Niños: resolutiva de meses a años (tras las seroconversión a HBeAg).  Adultos: progresa de manera lenta pero inexorable.  IFN-a y análogos de nucleós(t)idos. • Crioglobulinemia: Tipo II: IgG policlonal e IgM monoclonal. Tipo III: IgG policlonal y factor reumatoide.  Paucisintomática o asintomática.  Asociarse a una vasculitis sistémica.  Análogos de nucleós(t)idos.
  • 59.
    Características histopatológicas • Infeccióncrónica: infiltración por células mononucleares de los espacios portales. • Durante la reactivación de la hepatitis B, la inflamación lobulillar es más intensa y recuerda a la presente en la hepatitis vírica aguda. • La esteatosis no es una característica de la hepatitis B crónica, a diferencia de lo que sucede en la hepatitis C crónica. • Único rasgo histológico: microscopia óptica convencional y considerado específico de la hepatitis B crónica es la presencia de hepatocitos en vidrio esmerilado. acumulación de partículas de HBsAg (de 20-30 nm de diámetro) en el retículo endoplásmico dilatado. • Cuando existen en abundancia, estos los hepatocitos suelen indicar replicación activa del virus
  • 60.
    orceína, azul Victoriay aldehído fucsina
  • 63.
    DIAGNÓSTICO • HBsAg apareceen el suero a las 2-10 semanas de exposición al VHB y antes de que el paciente desarrolle síntomas o se eleven las concentraciones de aminotransferasas séricas. • En la hepatitis aguda autolimitada, el HBsAg suele ser indetectable a los 4-6 meses. • La persistencia del HBsAg durante más de 6 meses indica cronificación del VHB. • Desaparición del HBsAg se sigue en unas pocas semanas de la aparición de anti-HBs. • En la mayor parte de los pacientes, el anti-HBs persiste durante toda la vida y aporta inmunidad a largo plazo. • El anti-HBs puede no ser detectable durante un período de ventana que dura de semanas a meses tras la desaparición del HBsAg. • En este período, el diagnóstico de infección aguda por el VHB se establece mediante la detección de anti-HBc de tipo IgM en suero.
  • 64.
    DIAGNÓSTICO • Detectar anti-HBcen la infección aguda y crónica por el VHB. • Durante la infección aguda predominan los anti- HBc de clase IgM, y se suelen detectar durante 4-6 meses tras un episodio agudo de hepatitis y en raras ocasiones hasta 2 años.  Exacerbaciones de una hepatitis B crónica y con frecuencia se emplean como marcador subrogado de replicación vírica activa. • Los anti-HBc de clase IgG se encuentran en pacientes que se recuperan de una hepatitis B aguda y también son el tipo descrito en los pacientes que se cronifican. • La reactividad aislada para anti-HBc puede aparecer en una serie de situaciones clínicas adicionales  FALSO +: respuesta primaria a la vacunación frente al VHB en lugar de la re  respuesta primaria a la vacunación frente al VHB en lugar de la respuesta de recuerdo spuesta de recuerdo
  • 65.
    DIAGNÓSTICO • HBeAg esuna proteína vírica presente en el suero durante las fases precoces de la infección aguda por el VHB. • La reactividad del HBeAg suele desaparecer cuando las concentraciones de aminotransferasas llegan al máximo o poco después • la persistencia del HBeAg a los 3 meses del comienzo de la enfermedad o más indica una alta probabilidad de cronificación de la infección por el VHB. • HBeAg + HBsAg= alto nivel de replicación- mayor infectividad.
  • 66.
    DIAGNÓSTICO • Se puededeterminar el ADN del VHB en el suero con técnicas cualitativas o cuantitativas. • La mayor parte de los laboratorios de EE.UU. emplean una PCR cuantitativa que permite detectar menos de 400 copias/ml. Se suele emplear la técnica Cobas TaqMan, que permite la detección fiable de concentraciones de ADN del VHB en un rango lineal que oscila desde 25 UI/ml (unas 100 copias/ml) a 108 UI/ml. • Se suele cuantificar el ADN del VHB en suero para evaluar si el paciente es candidato a tratamiento antiviral con monitorización de la respuesta. • altas concentraciones basales de ADN del VHB (> 109 copias/ml) suelen responder peor al tratamiento con IFN en comparación con los que tienen concentraciones más bajas. • Por el contrario, no se ha demostrado que las concentraciones basales de ADN del virus se correlacionen con la respuesta al tratamiento con análogos de nucleós(t)idos, porque estos fármacos consiguen una inhibición más potente de la replicación del virus. • La monitorización de las concentraciones de ADN del VHB en intervalos clave, como a las 12 y 24 semanas de tratamiento, permite predecir la probabilidad de eliminación del HBeAg durante el tratamiento con IFN pegilado y análogos de nucleós(t)idos.
  • 67.
    DIAGNÓSTICO • PCR cualitativaes todavía más sensible que la cuantitativa para detectar el ADN del VHB. • Se pueden detectar pequeñas cantidades de ADN del virus en el suero y las células mononucleares periféricas años después de la recuperación de una hepatitis B aguda o crónica.
  • 68.
    Tratamiento • 7 Farmacos: •Analogos de Nucleósidos: Supresión potente de la replicación por efecto inhibidor en ADN polimerasa, biodisponibilidad oral, buen perfil de seguridad. Pacientes con cirrosis descompensada. • IFN-a: Actividad inmunoestimuladora y antiviral. Disminución mas rapida de HBsAg. • Menos potentes y menor uso por efectos secundarios: deterioro de insuficiencia hepática e infecciones graves.
  • 69.
    Objetivos • Supresión alargo plazo de la replicación vírica: • Detener progresión de hepatopatía • Prevenir complicaciones tardías (Cirrosis, insuficiencia, CHC) • Aumentar la supervivencia PROBLEMAS: • Menos del 10% reciben tratamiento antiviral • Nacido en pais endemico – enfermo como inmigrante – falla en el diagnostico + • Barreras culturales para el tratamiento: • Aislamiento de programas de salud • Desconocimiento del ingles • Creencias religiosas y de estigmatización.
  • 70.
    Selección del Farmaco •Niveles séricos de ALT • Concentraciones de ADN de VHB • Histología Hepática • Costo de Tratamientos • Riesgo de efectos adversos • Edad del paciente • Comorbilidades
  • 71.
    Definiciones de Respuesta Criteriospara valorar respuesta al tratamiento: Segun resultados: • Bioquímicos: Normalización de ALT sérica • Virológicos: Desaparición mantenida del ADN del VHB, seroconversión HBeAg por anti-Hbe (la mejor garantía de no recaidas). • Histológicos: Mejora de 2 puntos o mas en escala necroinflamatoria sin empeoramiento de la fibrosis.
  • 73.
    Analogos de Nucleosidosy Nucleótidos • Pacientes no tratados previamente (naive). • Seroconversión del HBeAg lenta (años - indefinido): • Ausencia de efectos secundarios • Buen perfil de resistencia. • 15 – 20% sufren recaida al año de suspender el tratamiento: mantener 6 meses tras seroconversión. ADN SEROCONVERSIÓN 70 – 85% negativizan ADN de VHB durante el primer año Solo un 20 – 25% tiene seroconversión al primer año 85 – 95% al segundo año 40% a los 5 años (con apego y sin resistencia) Un pequeño grupo permanece con ADN a pesar de respuesta clínica y bioquímica. Se requiere tratamiento a largo plazo o de mantenimiento en HBeAg negativos por alta frecuencia de recaidas.
  • 74.
    • LAMIVUDINA • Nose recomienda de primera línea por alta resistencia pero se usa en paises emergentes o a corto plazo, resistencia tambien contra entecavir. • ADEFOVIR DIPIVOXILO • En EUA se cambió por tenofovir, en otros paises es el primario o cuando hay resistencia a lamivudina (combinados). Nefrotoxicidad. • ENTECAVIR • El mas potente y con menos resistencia. Beneficios a largo plazo: regresión de fibrosis/cirrosis: menor incidencia de CHC. • TELBIVUDINA • Mas potente que lamivudina pero con alta y cruzada resistencia (nunca sustitutivo). No es de primera línea: solo pacientes especificos y suspender si ADN continua tras 24 semanas. Alternativa segura en alteraciones renales • TENOFOVIR • Mas potente que adefovir y entecavir + No se han descrito resistencias: Tratamiento de primera linea. • Algunos problemas como reducción de la densidad ósea, daño tubular renal y sindrome de Fanconi. • EMTRICITABINA • Similar a Lamivudina, sirve mucho combinado cuando también tienen VIH.
  • 75.
    Monitorización • Tratamiento conanalogos: • Determinaciones eriadas de ALT y ADN del VHB cada 4 meses durante el primer año. • Ampliar seguimientos a 6 meses cuando se consigue ADN < 2,000 UI/ml y si el paciente cumple el tratamiento. • Fracaso del tratamiento • Raro con tenofovir o entecavir (culpa de apego del paciente) • Resistencia genotipica: Cambio en un nucleotido en el gen de la polimerasa del ADN del VHB, que se asocia a evidencia clínica de resistencia al farmaco. RESISTENCI A DAR Lamivudina, adefovir o entecavir Tenofovir Adefovir Entecavir Dar un segundo analogo.
  • 76.
    Interferón (IFN-a) • Convencional •Pegilado: Mayor potencia y Tolerancia • Tratamiento de 48 semanas (1 año) • Contraindicado en pacientes con cirrosis (picos de ALT) • Respuestas mantenidad, mayor perdida de HBsAg a largo plazo • No se asocia a resistencias • Disminución mas rapida de HBsAg debida a eliminación por mecanismo inmunitario del ADNccc (molde para trasncripción) del virus. • Tratamiento combinado en estudio
  • 77.
    Recomendaciones • Tratar alos pacientes con evidencia bioquímica de lesión hepática y concentraciones de AND superiores a 20,000 UI/ml HBeAg positivos o 2000 UI/ml en los negativos. • Niveles sericos de ALT del doble del limite superior. • Primera línea en cirrosis descompensada: Analogos de nucleótidos. • Biopsia hepática no se recomienda a menos que existan dudas de la magnitud: ecografia, elastografia. • Mantener tratamiento durante 6 a 12 meses tras la seroconversión para reducir riesgo de recaida.
  • 78.
    Prevención • Pasiva yActiva. • IGHB: • Plasma con altos titulos de anti-HBs • Eficacia en prevención en personas de alto riesgo (hemodialisis, parejas de infectados, Rn de madres infectadas) junto con vacunación simultanea. • En general seguro (racción anafilactica).
  • 79.
    Vacuna de laHepatitis B • ADN recombinante HBsAg(gen S) en el genoma de levadura. • 2 vacunas: Recombivax HB y Engerix-B • Adyuvante con hidroxido de aluminio • Intramuscular, deltoides (adultos) o muslo anterolateral (lactantes y neonatos) • 90% Titulo anti-HBs >100mUI/ml : Protección del 100% • Reducción de Ig en los primeros 2 años: 20 – 50% hasta debajo de niveles protectores. • Hipo rrespondedores: Tabaquismo, obesidad, inyección en la nalga, hepatopatia crónica, edades extremas, inmunosuprimidos entre otros: dosis mas alta. • No refuerzo: Memoria previene infección incluso con titulos bajos (inmunocompetentes).
  • 80.
    Protocolo de Vacunación • Protocolotipico: 0, 1 y 6 meses. • Tercera dosis es la que permite el titulo elevado de anti-HBs • Inmunodeprimidos y hemodialisis: 4 dosis • Vacunar a los adolescentes que no fueron vacunados en la infancia.

Notas del editor

  • #5 20
  • #8 Nelson tiene 13 años
  • #26 Insuficiencia hepática aguda Crónica
  • #52 30% ictericia
  • #66 Si se realiza una PCR comercial, casi un 90% de los pacientes con una hepatitis crónica B positivoSi se realiza una PCR comercial, casi un 90% de los pacientes con una hepatitis crónica B positivos para HBeAg tendrán unas concentraciones de ADN del virus por encima de 105 copias/ml de forma mantenida, con un valor medio de 8,37 log10 (> 108 copias/ml).97 Durante la fase de tolerancia inmunitaria, estas cifras pueden llegar a 1012-13. Por el contrario, los pacientes positivos para anti-HBe tienen unas concentraciones de ADN del VHB mucho más bajas (105-108 copias/ml), y los valores más altos se encuentran en los que tienen unos valores de ALT aumentados de forma persistente o intermitente. s para HBeAg tendrán unas concentraciones de ADN del virus por encima de 105 copias/ml de forma mantenida, con un valor medio de 8,37 log10 (> 108 copias/ml).97 Durante la fase de tolerancia inmunitaria, estas cifras pueden llegar a 1012-13. Por el contrario, los pacientes positivos para anti-HBe tienen unas concentraciones de ADN del VHB mucho más bajas (105-108 copias/ml), y los valores más altos se encuentran en los que tienen unos valores de ALT aumentados de forma persistente o intermitente.
  • #67 Si se realiza una PCR comercial, casi un 90% de los pacientes con una hepatitis crónica B positivoSi se realiza una PCR comercial, casi un 90% de los pacientes con una hepatitis crónica B positivos para HBeAg tendrán unas concentraciones de ADN del virus por encima de 105 copias/ml de forma mantenida, con un valor medio de 8,37 log10 (> 108 copias/ml).97 Durante la fase de tolerancia inmunitaria, estas cifras pueden llegar a 1012-13. Por el contrario, los pacientes positivos para anti-HBe tienen unas concentraciones de ADN del VHB mucho más bajas (105-108 copias/ml), y los valores más altos se encuentran en los que tienen unos valores de ALT aumentados de forma persistente o intermitente. s para HBeAg tendrán unas concentraciones de ADN del virus por encima de 105 copias/ml de forma mantenida, con un valor medio de 8,37 log10 (> 108 copias/ml).97 Durante la fase de tolerancia inmunitaria, estas cifras pueden llegar a 1012-13. Por el contrario, los pacientes positivos para anti-HBe tienen unas concentraciones de ADN del VHB mucho más bajas (105-108 copias/ml), y los valores más altos se encuentran en los que tienen unos valores de ALT aumentados de forma persistente o intermitente.
  • #68 Si se realiza una PCR comercial, casi un 90% de los pacientes con una hepatitis crónica B positivoSi se realiza una PCR comercial, casi un 90% de los pacientes con una hepatitis crónica B positivos para HBeAg tendrán unas concentraciones de ADN del virus por encima de 105 copias/ml de forma mantenida, con un valor medio de 8,37 log10 (> 108 copias/ml).97 Durante la fase de tolerancia inmunitaria, estas cifras pueden llegar a 1012-13. Por el contrario, los pacientes positivos para anti-HBe tienen unas concentraciones de ADN del VHB mucho más bajas (105-108 copias/ml), y los valores más altos se encuentran en los que tienen unos valores de ALT aumentados de forma persistente o intermitente. s para HBeAg tendrán unas concentraciones de ADN del virus por encima de 105 copias/ml de forma mantenida, con un valor medio de 8,37 log10 (> 108 copias/ml).97 Durante la fase de tolerancia inmunitaria, estas cifras pueden llegar a 1012-13. Por el contrario, los pacientes positivos para anti-HBe tienen unas concentraciones de ADN del VHB mucho más bajas (105-108 copias/ml), y los valores más altos se encuentran en los que tienen unos valores de ALT aumentados de forma persistente o intermitente.