HipotiroidismoDr. José Luis Charles GonzálezResidente de Medicina InternaJueves, Abril 22, 2010
ObjetivosRevisar los puntos clave acerca de la presentación clínica del hipotiroidismoAbordar el diagnostico y tratamiento según las fuentes bibliográficas mas actualesActualizar el manejo conforme a las guías actuales del tratamiento del hipotiroidismo
EpidemiologíaLa prevalencia aumenta con la edadEs 10 veces mas común en mujeresEs común en áreas con deficiencia de yodoPacientes con anticuerpos antiperoxidasa tiroidea y con valores de TSH por arriba de lo normal, tienen riesgo aumentado de desarrollarloEndocrinol Metab Clin N Am 36 (2007) 595–615
EpidemiologíaLa prevalencia de hipotiroidismo clínico varia entre 0.1-2% (0.3% en EUA)La prevalencia del hipotiroidismo subclínico es hasta de 15% en mujeres ancianas (4.3% en EUA)Endocrinol Metab Clin N Am 36 (2007) 595–615
EtiologíaHipotiroidismo centralTumores, metástasis, hemorragia, necrosis, aneurismas que afecten la hipófisisCirugía, traumaEnfermedades infiltrativasInfeccionesTumores cerebralesAnormalidades congénitas, defectos en la liberación de TRH, TSH o ambasEndocrinol Metab Clin N Am 36 (2007) 595–615
EtiologíaHipotiroidismo primarioTiroiditis autoinmune crónicaTiroiditis postparto, subaguda, silenteDeficiencia o exceso de yodoCirugía de tiroides, tratamiento con yodo 131, radiación externaEnfermedades infiltrativasMedicamentosAgenesia o disgenesia de la tiroidesEndocrinol Metab Clin N Am 36 (2007) 595–615
Medicamentos que afectan la función tiroidea con un eje hormonal intactoInhibición de la síntesis de T4/T3PropiltiouraciloMetimazolInhibición de la secreción de T4/T3LitioYodoAmiodaronaAminoglutatimidaTiroiditisInterferonIL-2AmiodaronaSunitinibBest Practice & Research ClinicalEndocrinology & Metabolism 23 (2009) 793–800
Medicamentos que afectan la función tiroidea con un eje hormonal intactoHipertiroidismo de Jod-BasedowYodoAmiodaronaSupresión de TSHGlucocorticoidesAgonistas de la dopaminaAnálogos de la somatostatinaCarbamazepinaMetforminaElevación de TSHMetiraponaBest Practice & Research ClinicalEndocrinology & Metabolism 23 (2009) 793–800
Medicamentos que afectan la función tiroidea con un eje hormonal intactoArtefactos de laboratorio por desplazamiento de la tiroglobulinaFurosemidaFenitoinaProbenecidHeparinaAINEsBest Practice & Research ClinicalEndocrinology & Metabolism 23 (2009) 793–800
Medicamentos que afectan la función tiroidea en pacientes que toman levotiroxinaInhibición de la absorción de levotiroxinaHierro, calcioHidróxido de aluminioColestiramina, colestipolSucralfatoRaloxifenoIncremento en el metabolismo hepáticoFenobarbitalFenitoinaCarbamazepinaRifampicinaBest Practice & Research ClinicalEndocrinology & Metabolism 23 (2009) 793–800
Medicamentos que afectan la función tiroidea en pacientes que toman levotiroxinaDisminución del metabolismo hepáticoMetforminaInhibición de la 5’desyodasaPropiltiouracilo, metimazolPropanololGlucocorticoidesIncremento en niveles de tiroglobulinasEstrógenosRaloxifeno, tamoxifenoMetadonaDisminución en niveles de tiroglobulinasAndrógenosGlucocorticoidesAcido nicotínicoBest Practice & Research ClinicalEndocrinology & Metabolism 23 (2009) 793–800
Hipotiroidismo centralSe divide en secundario (afección de hipófisis) o terciario (afección de hipotálamo)Los adenomas hipofisiarios son lo mas comúnTambién presente en sarcoidosis, TB y enfermedades granulomatosas.Puede ser reversible o permanenteLa mayoría de las veces se presentan otras deficiencias hipofisiarias en el cuadro clínicoEndocrinol Metab Clin N Am 36 (2007) 595–615
Hipotiroidismo primarioResponsable de la mayoría de los casosLa tiroiditis crónica autoinmune (de Hashimoto) es la causa principal en áreas deficientes de yodoPuede o no presentarse con bocioFisiopatológicamente, existe destrucción de la glándula tiroides, mediada por anticuerpos, los cuales pueden ir contra peroxidasa, tiroglobulina, receptor TSH o anticuerpos bloqueadores de TSHEndocrinol Metab Clin N Am 36 (2007) 595–615
Hipotiroidismo primarioUn paciente puede presentar tirotoxicosis debido a la presencia de anticuerpos estimulantes de tiroides (Hashitoxicosis)Cuando se debe a tiroiditis autoinmune, puede ser parte de un síndrome de falla poliglandular que puede incluir insuficiencia suprarrenal autoinmune, DM1, hipogonadismo, anemia perniciosa y vitiligoEndocrinol Metab Clin N Am 36 (2007) 595–615
YodoLa deficiencia de yodo es la causa mas común de hipotiroidismoA menudo se presentan bocios grandesPuede haber hipotiroidismo transitorio por exceso de yodo (efecto Wolff-Chaikoff)Grandes cantidades de yodo se encuentran en medios de contraste y en la amiodaronaEndocrinol Metab Clin N Am 36 (2007) 595–615
HipotiroidismoLa tiroidectomía, la terapia con yodo radioactivo, la radiación externa de la cabeza y cuello, el habitar en zonas expuestas a radioactividad, tienen una prevalencia mas alta a anticuerpos antitiroideos, con riesgo alto de desarrollar hipotiroidismoEndocrinol Metab Clin N Am 36 (2007) 595–615
HipotiroidismoEl tratamiento de mujeres tirotoxicas durante el embarazo con medicamentos antitiroideos puede causar hipotiroidismo en el neonatoEn el hipotiroidismo subclinico los niveles de T4 y T3 están en limites normales, con falla tiroidea leve, así como aumento leve en los niveles séricos de TSHEndocrinol Metab Clin N Am 36 (2007) 595–615
HIPOTIROIDISMO CONGENITO Niña de 17 años
Diagnosticada al nacer
No recibió tratamiento
Puente nasal pobremente desarrollado
Hipertelorismo
Orejas anchas y mas grandes a los apropiado para su tamaño de cabeza
Macroglosia
Extremidades cortas respecto al troncoKliegman: Nelson Textbook of Pediatrics, 18th ed.
Historia naturalExiste progresión a hipotiroidismo abierto en 4-18% de pacientes subclinicos cada añoEsto se incrementa en presencia de anticuerpos antitiroideos, valores de TSH por arriba de 20mU/ml, terapia de ablación con yodo radioactivo, terapia de radiación externa y tratamiento crónico con litioEndocrinol Metab Clin N Am 36 (2007) 595–615
Fontanelas abiertas
Suturas sin fusionar
Dientes “de leche” y permanentes presentes
Centros epifisiarios sin crecimiento
Ausencia de epífisis radial distal
Edad ósea estimada de 9 mesesKliegman: Nelson Textbook of Pediatrics, 18th ed.
SíntomasPueden ser asintomáticos, o con síntomas inespecíficos como fatiga, debilidad generalizada, depresión, trastornos del sueño, de la memoria o cognitivosPredominan en las mujeres y estas puedes tener irregularidades menstruales y problemas de fertilidadEndocrinol Metab Clin N Am 36 (2007) 595–615
Presentación clínicaDepende de la severidad de la condiciónAlgunos pacientes presentan síntomas leves a  pesar de tener niveles bajos de hormonas tiroideas y viceversaExiste acumulación de glucosaminoglucanos de  la matriz en los líquidos intersticiales, por incremento en la síntesis de acido hialuronicoEndocrinol Metab Clin N Am 36 (2007) 595–615
Signos y síntomas de hipotiroidismo(en orden descendente de frecuencia)
Sistema cardiovascularEl hipotiroidismo subclinico en un factor de riesgo cardiovascularIncrementa la incidencia de aterosclerosis aortica e infarto al miocardio en mujeresIncrementa los niveles de colesterol LDL y disminuye los niveles de colesterol HDLEndocrinol Metab Clin N Am 36 (2007) 595–615
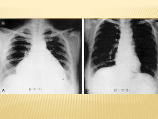
Sistema cardiovascularLa contractibilidad cardiaca y la frecuencia cardiaca están reducidas, provocando disminución del gasto cardiaco y de la tolerancia al ejercicioExiste aumento de las resistencias vasculares sistémicas, así como de la presión diastólicaPueden presentarse derrames pericardicos y pleurales, ocasionando bajo voltaje en los electrocardiogramas de algunos pacientesEndocrinol Metab Clin N Am 36 (2007) 595–615
Nutrición y metabolismoExiste una desaceleración del metabolismo corporalLa tasa metabólica basal, el consumo de oxigeno, la termogénesis, la ingesta de alimentos, el apetito, la síntesis de ácidos grasos y la lipolisis, están todos reducidosPero el peso corporal puede incrementarse debido a retención de sal y agua, además de acumulación de grasaEndocrinol Metab Clin N Am 36 (2007) 595–615
Nutrición y metabolismoEl colesterol total y el LDL están aumentados debido a disminución de la eliminación del LDLLos triglicéridos están normales o aumentados; el paciente presenta un perfil de lípidos aterogenicoSe observa hiponatremia en pacientes con hipotiroidismo profundo debido a la excreción de agua libre por el riñónLa creatinina sérica esta aumentada en muchos pacientesEndocrinol Metab Clin N Am 36 (2007) 595–615
Piel y fanerasLa piel es seca, pálida y en ocasiones amarillaEdema duro (acumulación de glucosaminoglucanos)El cabello es frágil y débil; las uñas son mas quebradizasExiste edema pretibial que sugiere el diagnosticoTambién la sudoración esta disminuidaEndocrinol Metab Clin N Am 36 (2007) 595–615
Sistema nerviosoExiste somnolencia, bradipsiquia, alteraciones en la memoriaReducción en el flujo sanguíneo cerebral y en el metabolismo de la glucosaSíndrome de túnel del carpoEndocrinol Metab Clin N Am 36 (2007) 595–615
Sistema respiratorioEl hipotiroidismo profundo se complica con hipoventilacion e hipercapniaEsto es debido a debilidad muscular y respuesta respiratoria inapropiada a la hipoxemia e hipercapniaEl hipotiroidismo causa o empeora la apnea del sueñoEndocrinol Metab Clin N Am 36 (2007) 595–615
Sistema gastrointestinalExiste reducción de la motilidad	intestinal que ocasiona constipaciónComo en otras enfermedades	autoinmunes, existe un riesgo	elevado de presentar anemia	perniciosa y atrofia gástricaEndocrinol Metab Clin N Am 36 (2007) 595–615
Sistema reproductorAlteraciones en el ciclo menstrualElevación leve a moderada de los niveles de prolactina debido a la excreción aumentada de prolactina por el efecto estimulador de la TRHLa hiperprolactinemia puede ocasionar hipogonadismo hipogonadotropico, con disminución de la fertilidad y aumento de perdidas fetalesLa testosterona puede estar reducida en los hombresEndocrinol Metab Clin N Am 36 (2007) 595–615
Hipotiroidismo y embarazoSe presenta clínicamente en 1-2% de los embarazos y de forma subclinica hasta en 2.5% de los embarazosExiste un aumento del requerimiento de hormona tiroidea, debido al aumento del metabolismo corporal de la madre y al transporte transplacentario de tiroxina, esencial para la organogénesis del fetoEndocrinol Metab Clin N Am 36 (2007) 595–615
Hipotiroidismo y embarazoSe recomienda el aumento automático en las dosis de reemplazo hormonal, en pacientes hipotiroideas, de manera temprana en el embarazoEl hipotiroidismo materno durante el embarazo se asocia a aborto espontaneo, preeclampsia, perdidas fetales, óbitos, partos pretermino y hemorragia postpartoEndocrinol Metab Clin N Am 36 (2007) 595–615
Hipotiroidismo y embarazoLa función tiroidea fetal inicia cerca de las 10-12 SDG, y los valores de T4 libre y TSH alcanzan valores de adulto a las 16 SDGDurante los primeros 6 meses del embarazo, la hormona tiroidea es provista exclusivamente por la madre, periodo en el que se desarrolla y madura el SNC en el fetoEndocrinol Metab Clin N Am 36 (2007) 595–615
Hipotiroidismo y embarazoEl hipotiroidismo materno en etapas tempranas del embarazo, puede llevar a daño severo o permanente en las funciones neuro-psico-intelectuales del fetoEn etapas tardías del embarazo, el hipotiroidismo materno puede llevar a un deterioro menos significativo y parcialmente reversibleEndocrinol Metab Clin N Am 36 (2007) 595–615
DiagnosticoEsta basado en la combinación de clínica y laboratoriosEstudios de imagen son necesarios en pacientes con hipotiroidismo centralLos estrógenos, síndrome nefrítico y estados de hipoproteinemia pueden alterar los niveles de T4 y T3 a través de su efecto en la TGB y la albuminaEndocrinol Metab Clin N Am 36 (2007) 595–615
DiagnosticoPacientes con hipotiroidismo primario tienen TSH elevada, T4 libre y T3 total  bajasPacientes con hipotiroidismo subclinico tienen TSH elevada (4-15 mlU/mL) y T4 libre y T3 total normalesEndocrinol Metab Clin N Am 36 (2007) 595–615
DiagnosticoPacientes con hipotiroidismo central tienen T4 libre y T3 total bajas, y la TSH puede estar baja, normal o levemente elevadaSi este se sospecha, debe investigarse el resto de las hormonas hipofisarias y de establecerse el diagnostico, debe confirmarse con estudios de imagen (inicialmente una resonancia magnética)Endocrinol Metab Clin N Am 36 (2007) 595–615
DiagnosticoPacientes que se están recuperando de afecciones agudas no tiroideas, tienen un repunte en el nivel de TSH, la T4 y T3 están usualmente normales.Estos no deben ser tratados hormonalmente y su función tiroidea se recuperara después de 2 a 3 semanasEndocrinol Metab Clin N Am 36 (2007) 595–615
DiagnosticoPuede haber falta de apego al tratamiento farmacológico en algunos pacientes, que pueden no tomar sus medicamentos y tomar varias pastillas el día de la consultaEn estos pacientes, un nivel elevado de TSH con niveles normales-altos o elevados de T4 libre son típicosEndocrinol Metab Clin N Am 36 (2007) 595–615
TratamientoLa mayoría de los pacientes deberán ser tratados de por vida, excepto en los casos de hipotiroidismo transitorio, tiroiditis subaguda y pacientes con hipotiroidismo inducido por medicamentosEndocrinol Metab Clin N Am 36 (2007) 595–615
TratamientoPuede iniciarse con una dosis completa de 1.6 mg/kg/día en pacientes adultos jóvenes y saludables, sin comorbilidadesEn pacientes ancianos o con cardiopatía isquémica, es prudente iniciar la levotiroxina a una dosis de 25-50 mg una vez al díaEndocrinol Metab Clin N Am 36 (2007) 595–615
TratamientoDebido a que la vida media plasmática de la levotiroxina es de 7 días, los resultados de la dosis única diaria llevan hasta 6 semanas en ser alcanzados, con T3 y T4 a valores establesLa dosis puede ser incrementada de 12.5-25mgs cada 1-2 semanas hasta lograr alcanzar una TSH normalEndocrinol Metab Clin N Am 36 (2007) 595–615
Formulas de levotiroxinaLas recomendaciones actuales de la ATA, TES, AACE alientan a los pacientes a permanecer con un mismo productoCuando los pacientes deben cambiar entre comercial y genérico, la TSH debe ser revisada cada 2 a 4 semanas, y en base a esto modificar la dosisEndocrinol Metab Clin N Am 36 (2007) 595–615
Factores que afectanla absorción de levotiroxinaSe absorbe en forma primaria en el yeyuno, 70% de la dosis administrada se absorbe en un estomago vacioIdealmente debe ser tomada en un estomago vacio 30 minutos antes del desayunoEndocrinol Metab Clin N Am 36 (2007) 595–615
Monitoreo del tratamientoLos niveles séricos de TSH deben ser medidos 4-6 semanas después de comenzar el tratamiento, y cada 4-6 semanas después de esta revisión, hasta alcanzar niveles normales de TSHMuchos médicos buscan niveles de TSH entre 0.4-2.0 mlU/L, particularmente en pacientes jóvenes o saludablesEndocrinol Metab Clin N Am 36 (2007) 595–615
Efectos adversos de la levotiroxinaPuede existir hipertiroidismo por sobredosis (hasta 1 de cada 5 cursa con hipertiroidismo subclínico)Niveles bajos de TSH en mujeres mayores a 65 años, se asocian a riesgo elevado de fracturas de cadera y columna vertebralNiveles de TSH menores a 0.1 se asocian con riesgo elevado de FA en mayores de 60 añosEndocrinol Metab Clin N Am 36 (2007) 595–615
Manejo del hipotiroidismoen el embarazoSe recomienda que en mujeres tratadas por hipotiroidismo, la dosis se aumente en un 30% tan pronto se confirme el embarazoMonitorear la función tiroidea cada 2-3 semanas tan pronto se confirme el embarazo y en base a esto ajustar la dosisEndocrinol Metab Clin N Am 36 (2007) 595–615
Manejo del hipotiroidismoen el embarazoAlgunos médicos recomiendan niveles de TSH de 0.4-2.0 mlU/L como meta durante el embarazoSe recomienda monitoreo de la función tiroidea en mujeres embarazadas, como aquellas con historia de enfermedades en la tiroides o autoinmunes o en aquellas con historia familiar de enfermedades tiroideasEndocrinol Metab Clin N Am 36 (2007) 595–615
Tratamiento delhipotiroidismo subclínicoMas del 95% de pacientes saludables y eutiroideos, manejan niveles séricos de TSH entre 0.4-2.5 mlU/LLas ultimas guías de la AACE recomiendan niveles de TSH entre 0.3-3.0mlU/LTratar a los pacientes con niveles arriba de 4.5mlU/L previene la progresión a hipotiroidismo clínicoEndocrinol Metab Clin N Am 36 (2007) 595–615

Hipotiroidismo

  • 1.
    HipotiroidismoDr. José LuisCharles GonzálezResidente de Medicina InternaJueves, Abril 22, 2010
  • 2.
    ObjetivosRevisar los puntosclave acerca de la presentación clínica del hipotiroidismoAbordar el diagnostico y tratamiento según las fuentes bibliográficas mas actualesActualizar el manejo conforme a las guías actuales del tratamiento del hipotiroidismo
  • 3.
    EpidemiologíaLa prevalencia aumentacon la edadEs 10 veces mas común en mujeresEs común en áreas con deficiencia de yodoPacientes con anticuerpos antiperoxidasa tiroidea y con valores de TSH por arriba de lo normal, tienen riesgo aumentado de desarrollarloEndocrinol Metab Clin N Am 36 (2007) 595–615
  • 4.
    EpidemiologíaLa prevalencia dehipotiroidismo clínico varia entre 0.1-2% (0.3% en EUA)La prevalencia del hipotiroidismo subclínico es hasta de 15% en mujeres ancianas (4.3% en EUA)Endocrinol Metab Clin N Am 36 (2007) 595–615
  • 5.
    EtiologíaHipotiroidismo centralTumores, metástasis,hemorragia, necrosis, aneurismas que afecten la hipófisisCirugía, traumaEnfermedades infiltrativasInfeccionesTumores cerebralesAnormalidades congénitas, defectos en la liberación de TRH, TSH o ambasEndocrinol Metab Clin N Am 36 (2007) 595–615
  • 6.
    EtiologíaHipotiroidismo primarioTiroiditis autoinmunecrónicaTiroiditis postparto, subaguda, silenteDeficiencia o exceso de yodoCirugía de tiroides, tratamiento con yodo 131, radiación externaEnfermedades infiltrativasMedicamentosAgenesia o disgenesia de la tiroidesEndocrinol Metab Clin N Am 36 (2007) 595–615
  • 8.
    Medicamentos que afectanla función tiroidea con un eje hormonal intactoInhibición de la síntesis de T4/T3PropiltiouraciloMetimazolInhibición de la secreción de T4/T3LitioYodoAmiodaronaAminoglutatimidaTiroiditisInterferonIL-2AmiodaronaSunitinibBest Practice & Research ClinicalEndocrinology & Metabolism 23 (2009) 793–800
  • 9.
    Medicamentos que afectanla función tiroidea con un eje hormonal intactoHipertiroidismo de Jod-BasedowYodoAmiodaronaSupresión de TSHGlucocorticoidesAgonistas de la dopaminaAnálogos de la somatostatinaCarbamazepinaMetforminaElevación de TSHMetiraponaBest Practice & Research ClinicalEndocrinology & Metabolism 23 (2009) 793–800
  • 10.
    Medicamentos que afectanla función tiroidea con un eje hormonal intactoArtefactos de laboratorio por desplazamiento de la tiroglobulinaFurosemidaFenitoinaProbenecidHeparinaAINEsBest Practice & Research ClinicalEndocrinology & Metabolism 23 (2009) 793–800
  • 11.
    Medicamentos que afectanla función tiroidea en pacientes que toman levotiroxinaInhibición de la absorción de levotiroxinaHierro, calcioHidróxido de aluminioColestiramina, colestipolSucralfatoRaloxifenoIncremento en el metabolismo hepáticoFenobarbitalFenitoinaCarbamazepinaRifampicinaBest Practice & Research ClinicalEndocrinology & Metabolism 23 (2009) 793–800
  • 12.
    Medicamentos que afectanla función tiroidea en pacientes que toman levotiroxinaDisminución del metabolismo hepáticoMetforminaInhibición de la 5’desyodasaPropiltiouracilo, metimazolPropanololGlucocorticoidesIncremento en niveles de tiroglobulinasEstrógenosRaloxifeno, tamoxifenoMetadonaDisminución en niveles de tiroglobulinasAndrógenosGlucocorticoidesAcido nicotínicoBest Practice & Research ClinicalEndocrinology & Metabolism 23 (2009) 793–800
  • 13.
    Hipotiroidismo centralSe divideen secundario (afección de hipófisis) o terciario (afección de hipotálamo)Los adenomas hipofisiarios son lo mas comúnTambién presente en sarcoidosis, TB y enfermedades granulomatosas.Puede ser reversible o permanenteLa mayoría de las veces se presentan otras deficiencias hipofisiarias en el cuadro clínicoEndocrinol Metab Clin N Am 36 (2007) 595–615
  • 14.
    Hipotiroidismo primarioResponsable dela mayoría de los casosLa tiroiditis crónica autoinmune (de Hashimoto) es la causa principal en áreas deficientes de yodoPuede o no presentarse con bocioFisiopatológicamente, existe destrucción de la glándula tiroides, mediada por anticuerpos, los cuales pueden ir contra peroxidasa, tiroglobulina, receptor TSH o anticuerpos bloqueadores de TSHEndocrinol Metab Clin N Am 36 (2007) 595–615
  • 16.
    Hipotiroidismo primarioUn pacientepuede presentar tirotoxicosis debido a la presencia de anticuerpos estimulantes de tiroides (Hashitoxicosis)Cuando se debe a tiroiditis autoinmune, puede ser parte de un síndrome de falla poliglandular que puede incluir insuficiencia suprarrenal autoinmune, DM1, hipogonadismo, anemia perniciosa y vitiligoEndocrinol Metab Clin N Am 36 (2007) 595–615
  • 17.
    YodoLa deficiencia deyodo es la causa mas común de hipotiroidismoA menudo se presentan bocios grandesPuede haber hipotiroidismo transitorio por exceso de yodo (efecto Wolff-Chaikoff)Grandes cantidades de yodo se encuentran en medios de contraste y en la amiodaronaEndocrinol Metab Clin N Am 36 (2007) 595–615
  • 19.
    HipotiroidismoLa tiroidectomía, laterapia con yodo radioactivo, la radiación externa de la cabeza y cuello, el habitar en zonas expuestas a radioactividad, tienen una prevalencia mas alta a anticuerpos antitiroideos, con riesgo alto de desarrollar hipotiroidismoEndocrinol Metab Clin N Am 36 (2007) 595–615
  • 20.
    HipotiroidismoEl tratamiento demujeres tirotoxicas durante el embarazo con medicamentos antitiroideos puede causar hipotiroidismo en el neonatoEn el hipotiroidismo subclinico los niveles de T4 y T3 están en limites normales, con falla tiroidea leve, así como aumento leve en los niveles séricos de TSHEndocrinol Metab Clin N Am 36 (2007) 595–615
  • 21.
  • 22.
  • 23.
  • 24.
  • 25.
  • 26.
    Orejas anchas ymas grandes a los apropiado para su tamaño de cabeza
  • 27.
  • 28.
    Extremidades cortas respectoal troncoKliegman: Nelson Textbook of Pediatrics, 18th ed.
  • 29.
    Historia naturalExiste progresióna hipotiroidismo abierto en 4-18% de pacientes subclinicos cada añoEsto se incrementa en presencia de anticuerpos antitiroideos, valores de TSH por arriba de 20mU/ml, terapia de ablación con yodo radioactivo, terapia de radiación externa y tratamiento crónico con litioEndocrinol Metab Clin N Am 36 (2007) 595–615
  • 30.
  • 31.
  • 32.
    Dientes “de leche”y permanentes presentes
  • 33.
  • 34.
  • 35.
    Edad ósea estimadade 9 mesesKliegman: Nelson Textbook of Pediatrics, 18th ed.
  • 36.
    SíntomasPueden ser asintomáticos,o con síntomas inespecíficos como fatiga, debilidad generalizada, depresión, trastornos del sueño, de la memoria o cognitivosPredominan en las mujeres y estas puedes tener irregularidades menstruales y problemas de fertilidadEndocrinol Metab Clin N Am 36 (2007) 595–615
  • 37.
    Presentación clínicaDepende dela severidad de la condiciónAlgunos pacientes presentan síntomas leves a pesar de tener niveles bajos de hormonas tiroideas y viceversaExiste acumulación de glucosaminoglucanos de la matriz en los líquidos intersticiales, por incremento en la síntesis de acido hialuronicoEndocrinol Metab Clin N Am 36 (2007) 595–615
  • 38.
    Signos y síntomasde hipotiroidismo(en orden descendente de frecuencia)
  • 40.
    Sistema cardiovascularEl hipotiroidismosubclinico en un factor de riesgo cardiovascularIncrementa la incidencia de aterosclerosis aortica e infarto al miocardio en mujeresIncrementa los niveles de colesterol LDL y disminuye los niveles de colesterol HDLEndocrinol Metab Clin N Am 36 (2007) 595–615
  • 41.
    Sistema cardiovascularLa contractibilidadcardiaca y la frecuencia cardiaca están reducidas, provocando disminución del gasto cardiaco y de la tolerancia al ejercicioExiste aumento de las resistencias vasculares sistémicas, así como de la presión diastólicaPueden presentarse derrames pericardicos y pleurales, ocasionando bajo voltaje en los electrocardiogramas de algunos pacientesEndocrinol Metab Clin N Am 36 (2007) 595–615
  • 43.
    Nutrición y metabolismoExisteuna desaceleración del metabolismo corporalLa tasa metabólica basal, el consumo de oxigeno, la termogénesis, la ingesta de alimentos, el apetito, la síntesis de ácidos grasos y la lipolisis, están todos reducidosPero el peso corporal puede incrementarse debido a retención de sal y agua, además de acumulación de grasaEndocrinol Metab Clin N Am 36 (2007) 595–615
  • 45.
    Nutrición y metabolismoElcolesterol total y el LDL están aumentados debido a disminución de la eliminación del LDLLos triglicéridos están normales o aumentados; el paciente presenta un perfil de lípidos aterogenicoSe observa hiponatremia en pacientes con hipotiroidismo profundo debido a la excreción de agua libre por el riñónLa creatinina sérica esta aumentada en muchos pacientesEndocrinol Metab Clin N Am 36 (2007) 595–615
  • 47.
    Piel y fanerasLapiel es seca, pálida y en ocasiones amarillaEdema duro (acumulación de glucosaminoglucanos)El cabello es frágil y débil; las uñas son mas quebradizasExiste edema pretibial que sugiere el diagnosticoTambién la sudoración esta disminuidaEndocrinol Metab Clin N Am 36 (2007) 595–615
  • 49.
    Sistema nerviosoExiste somnolencia,bradipsiquia, alteraciones en la memoriaReducción en el flujo sanguíneo cerebral y en el metabolismo de la glucosaSíndrome de túnel del carpoEndocrinol Metab Clin N Am 36 (2007) 595–615
  • 50.
    Sistema respiratorioEl hipotiroidismoprofundo se complica con hipoventilacion e hipercapniaEsto es debido a debilidad muscular y respuesta respiratoria inapropiada a la hipoxemia e hipercapniaEl hipotiroidismo causa o empeora la apnea del sueñoEndocrinol Metab Clin N Am 36 (2007) 595–615
  • 51.
    Sistema gastrointestinalExiste reducciónde la motilidad intestinal que ocasiona constipaciónComo en otras enfermedades autoinmunes, existe un riesgo elevado de presentar anemia perniciosa y atrofia gástricaEndocrinol Metab Clin N Am 36 (2007) 595–615
  • 52.
    Sistema reproductorAlteraciones enel ciclo menstrualElevación leve a moderada de los niveles de prolactina debido a la excreción aumentada de prolactina por el efecto estimulador de la TRHLa hiperprolactinemia puede ocasionar hipogonadismo hipogonadotropico, con disminución de la fertilidad y aumento de perdidas fetalesLa testosterona puede estar reducida en los hombresEndocrinol Metab Clin N Am 36 (2007) 595–615
  • 54.
    Hipotiroidismo y embarazoSepresenta clínicamente en 1-2% de los embarazos y de forma subclinica hasta en 2.5% de los embarazosExiste un aumento del requerimiento de hormona tiroidea, debido al aumento del metabolismo corporal de la madre y al transporte transplacentario de tiroxina, esencial para la organogénesis del fetoEndocrinol Metab Clin N Am 36 (2007) 595–615
  • 56.
    Hipotiroidismo y embarazoSerecomienda el aumento automático en las dosis de reemplazo hormonal, en pacientes hipotiroideas, de manera temprana en el embarazoEl hipotiroidismo materno durante el embarazo se asocia a aborto espontaneo, preeclampsia, perdidas fetales, óbitos, partos pretermino y hemorragia postpartoEndocrinol Metab Clin N Am 36 (2007) 595–615
  • 57.
    Hipotiroidismo y embarazoLafunción tiroidea fetal inicia cerca de las 10-12 SDG, y los valores de T4 libre y TSH alcanzan valores de adulto a las 16 SDGDurante los primeros 6 meses del embarazo, la hormona tiroidea es provista exclusivamente por la madre, periodo en el que se desarrolla y madura el SNC en el fetoEndocrinol Metab Clin N Am 36 (2007) 595–615
  • 58.
    Hipotiroidismo y embarazoElhipotiroidismo materno en etapas tempranas del embarazo, puede llevar a daño severo o permanente en las funciones neuro-psico-intelectuales del fetoEn etapas tardías del embarazo, el hipotiroidismo materno puede llevar a un deterioro menos significativo y parcialmente reversibleEndocrinol Metab Clin N Am 36 (2007) 595–615
  • 60.
    DiagnosticoEsta basado enla combinación de clínica y laboratoriosEstudios de imagen son necesarios en pacientes con hipotiroidismo centralLos estrógenos, síndrome nefrítico y estados de hipoproteinemia pueden alterar los niveles de T4 y T3 a través de su efecto en la TGB y la albuminaEndocrinol Metab Clin N Am 36 (2007) 595–615
  • 61.
    DiagnosticoPacientes con hipotiroidismoprimario tienen TSH elevada, T4 libre y T3 total bajasPacientes con hipotiroidismo subclinico tienen TSH elevada (4-15 mlU/mL) y T4 libre y T3 total normalesEndocrinol Metab Clin N Am 36 (2007) 595–615
  • 63.
    DiagnosticoPacientes con hipotiroidismocentral tienen T4 libre y T3 total bajas, y la TSH puede estar baja, normal o levemente elevadaSi este se sospecha, debe investigarse el resto de las hormonas hipofisarias y de establecerse el diagnostico, debe confirmarse con estudios de imagen (inicialmente una resonancia magnética)Endocrinol Metab Clin N Am 36 (2007) 595–615
  • 64.
    DiagnosticoPacientes que seestán recuperando de afecciones agudas no tiroideas, tienen un repunte en el nivel de TSH, la T4 y T3 están usualmente normales.Estos no deben ser tratados hormonalmente y su función tiroidea se recuperara después de 2 a 3 semanasEndocrinol Metab Clin N Am 36 (2007) 595–615
  • 65.
    DiagnosticoPuede haber faltade apego al tratamiento farmacológico en algunos pacientes, que pueden no tomar sus medicamentos y tomar varias pastillas el día de la consultaEn estos pacientes, un nivel elevado de TSH con niveles normales-altos o elevados de T4 libre son típicosEndocrinol Metab Clin N Am 36 (2007) 595–615
  • 66.
    TratamientoLa mayoría delos pacientes deberán ser tratados de por vida, excepto en los casos de hipotiroidismo transitorio, tiroiditis subaguda y pacientes con hipotiroidismo inducido por medicamentosEndocrinol Metab Clin N Am 36 (2007) 595–615
  • 68.
    TratamientoPuede iniciarse conuna dosis completa de 1.6 mg/kg/día en pacientes adultos jóvenes y saludables, sin comorbilidadesEn pacientes ancianos o con cardiopatía isquémica, es prudente iniciar la levotiroxina a una dosis de 25-50 mg una vez al díaEndocrinol Metab Clin N Am 36 (2007) 595–615
  • 69.
    TratamientoDebido a quela vida media plasmática de la levotiroxina es de 7 días, los resultados de la dosis única diaria llevan hasta 6 semanas en ser alcanzados, con T3 y T4 a valores establesLa dosis puede ser incrementada de 12.5-25mgs cada 1-2 semanas hasta lograr alcanzar una TSH normalEndocrinol Metab Clin N Am 36 (2007) 595–615
  • 70.
    Formulas de levotiroxinaLasrecomendaciones actuales de la ATA, TES, AACE alientan a los pacientes a permanecer con un mismo productoCuando los pacientes deben cambiar entre comercial y genérico, la TSH debe ser revisada cada 2 a 4 semanas, y en base a esto modificar la dosisEndocrinol Metab Clin N Am 36 (2007) 595–615
  • 71.
    Factores que afectanlaabsorción de levotiroxinaSe absorbe en forma primaria en el yeyuno, 70% de la dosis administrada se absorbe en un estomago vacioIdealmente debe ser tomada en un estomago vacio 30 minutos antes del desayunoEndocrinol Metab Clin N Am 36 (2007) 595–615
  • 72.
    Monitoreo del tratamientoLosniveles séricos de TSH deben ser medidos 4-6 semanas después de comenzar el tratamiento, y cada 4-6 semanas después de esta revisión, hasta alcanzar niveles normales de TSHMuchos médicos buscan niveles de TSH entre 0.4-2.0 mlU/L, particularmente en pacientes jóvenes o saludablesEndocrinol Metab Clin N Am 36 (2007) 595–615
  • 73.
    Efectos adversos dela levotiroxinaPuede existir hipertiroidismo por sobredosis (hasta 1 de cada 5 cursa con hipertiroidismo subclínico)Niveles bajos de TSH en mujeres mayores a 65 años, se asocian a riesgo elevado de fracturas de cadera y columna vertebralNiveles de TSH menores a 0.1 se asocian con riesgo elevado de FA en mayores de 60 añosEndocrinol Metab Clin N Am 36 (2007) 595–615
  • 74.
    Manejo del hipotiroidismoenel embarazoSe recomienda que en mujeres tratadas por hipotiroidismo, la dosis se aumente en un 30% tan pronto se confirme el embarazoMonitorear la función tiroidea cada 2-3 semanas tan pronto se confirme el embarazo y en base a esto ajustar la dosisEndocrinol Metab Clin N Am 36 (2007) 595–615
  • 76.
    Manejo del hipotiroidismoenel embarazoAlgunos médicos recomiendan niveles de TSH de 0.4-2.0 mlU/L como meta durante el embarazoSe recomienda monitoreo de la función tiroidea en mujeres embarazadas, como aquellas con historia de enfermedades en la tiroides o autoinmunes o en aquellas con historia familiar de enfermedades tiroideasEndocrinol Metab Clin N Am 36 (2007) 595–615
  • 77.
    Tratamiento delhipotiroidismo subclínicoMasdel 95% de pacientes saludables y eutiroideos, manejan niveles séricos de TSH entre 0.4-2.5 mlU/LLas ultimas guías de la AACE recomiendan niveles de TSH entre 0.3-3.0mlU/LTratar a los pacientes con niveles arriba de 4.5mlU/L previene la progresión a hipotiroidismo clínicoEndocrinol Metab Clin N Am 36 (2007) 595–615