Incrustar presentación
Descargar para leer sin conexión
























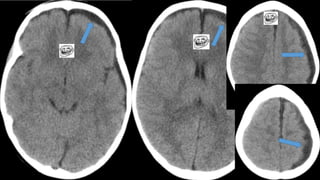
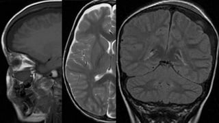
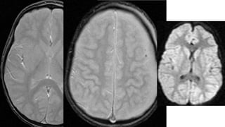
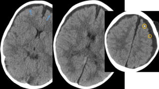
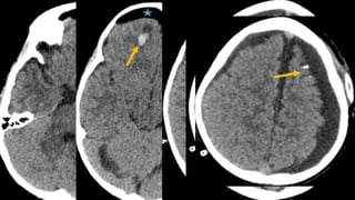
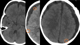
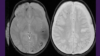
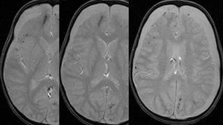
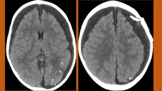
Este documento presenta el caso de un niño de 3 años que sufrió episodios de paresia y alteraciones neurológicas. Exámenes revelaron la presencia de un higroma cerebral que fue drenado. A pesar de una mejoría inicial, el niño continuó presentando síntomas neurológicos intermitentes. Exámenes posteriores identificaron una rara vasculopatía que afecta vasos cerebrales y otros órganos, con un pronóstico grave.






















