C
NEUMONÍAS Y
COMPLICACIONES
JOSÉ UZCÁTEGUI LEÓN
COMPLEJO ASISTENCIAL UNIVERSITARIO DE SALAMANCA
RADIODIAGNÓSTICO
Neumonías Bacterianas
• Radiografía convencional suele ser el primer método para su
diagnostico y para determinar su extensión
• Demuestra sus complicaciones (Derrame pleural, Empiema, Absceso..)
• Su característica esencial es la consolidación pulmonar
Apariencia radiológica de las
Neumonías
• Se pueden dividir según su patrón radiológico en
•Bronconeumonías
•Neumonía lobar
•Neumonía redonda
•Neumonía intersticial
Neumonía Lobar
• El organismo es inhalado hacia espacios aéreos periféricos o distales donde la
bacteria daña la pared alveolar y causa inflamación y consolidación local
• Puede afectar todo un lóbulo pulmonar pero raramente la hace por presentar
síntomas precoces y la antiobioticoterapia oportuna.
• Si la vía aérea no se afecta puede existir la presencia de broncograma
• Se propaga por comunicaciones interalveolares Poros de Kohn
Neumonía Lobar
• Neumonía por
Neumococo,
consolidación
homogénea con
broncograma.
Neumonía Lobar
• Organismos típicos:
Pneumococo y Klebsiela
• Suele producir una opacidad
periférica, confluente,
homogénea.
Bronconeumonía
• El organismo se deposita en el epitelio bronquial y se extiende hacia los alveolos adyacentes.
• Inicialmente se observan áreas parcheadas de consolidación en uno o mas segmentos y si
progresa pueden ser multifocales y/o bilaterales
• Puede afectar a unos alveolos y respetar otros.
• Ausencia de broncograma
• Hay pérdida de volumen porque afecta vía aérea.
Bronconeumonía
• Áreas parcheadas de
consolidación en lóbulo
superior y inferior
izquierdo
Neumonía Redonda
• Puede ser el inicio de una infección con imagen nodular o esférica.
• Suelen ser nódulos mal definidos y pueden contener broncograma
aéreo
• Hay que hacer diagnostico diferencial con nódulo pulmonar
• Si es neumonía un control a las 2-3 semanas de su aparición se
resuelve con tratamiento antibiótico
Neumonía Redonda
• http://westjem.com/images-in-emergency-medicine/evolution-
of-a-round-pneumonia.html
Niños tienen pocas
vías colaterales de
ventilación y
alveolos mas
pequeños en
comparación con
adultos.
Neumonía Redonda
• Aumento de
densidad de
bordes mal
definidos.
• El tratamiento
antibiótico
produce mejoría
10 días después
http://posterng.netkey.at/esr/viewing/index.php?module=viewing_poster&ta
sk=viewsection&pi=123408&ti=410426&searchkey=
Neumonía intersticial
• Causadas por virus, M. Pneumoniae, P. jiroveci.
• Afecta el espacio intersticial predominantemente aunque no exclusivamente
• Patrón suele ser bilateral, simétrico, con opacidades lineales o retículo-
nodulares
• Engrosamiento de especio peribronquial.
• Atelectasias discoideas pueden ser comunes
Neumonía intersticial
• Patrón retículo –
nodular en un
paciente con
neumonía por
mycoplasma
Diagnostico Diferencial
Con cualquier etiología que pueda causar reemplazo de el aire alveolar normal por alguna
sustancia.
• Agua : Edema pulmonar
• Sangre : hemorragia/Infarto (TEP)
• Pus : Neumonía
• Células : Carcinoma bronquio-alveolar, Neumonía Organizada, Linfoma,
Neumonía eosinofílica
• Otras substancias; Proteínas, grasa
• Atelectasia
Diagnostico Diferencial
• Importante tener en cuenta;
• Forma de presentación y evolución
• Signos y Síntomas clínicos
• Resolución con tratamiento antibiótico
• Antecedentes
Neumonía Organizada
• Consolidación
Lobar superior
derecha
HC: 194951
Neumonía Organizada
• Mismo paciente 2 meses
después
• Consolidación Lobar
superior y inferior
izquierda.
HC: 194951
Neumonía Organizada• Mismo paciente 2 meses
después
• Consolidación Lobar
superior y inferior
izquierda.
HC: 194951
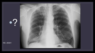
•?
HC: 20341
•?
HC: 20341
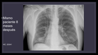
•Mismo
paciente 8
meses
después
HC: 20341
Adenocarcinoma
•Mismo paciente 8 meses después. Masa LID
HC: 20341
Falta de resolución de Neumonía
• Error de diagnóstico (Diagnósticos Diferenciales)
• Incorrecto tratamiento (resistencia antibióticos)
• Aparición de complicaciones.
• Pacientes inmunodeprimidos o con enfermedades crónicas
• Plantear posibilidad de realizar TC
Neumonía no Complicada
• En una NAC se espera mejoría subjetiva del paciente dentro de 3 – 5
días
• Fiebre, taquipnea y hipoxemia se resuelven en 3 días.
• Fatiga y tos puede durar hasta 14 días
• Se puede esperar hasta 4 semanas para una resolución radiológica
completa
COMPLICACIONES
•Derrame Paraneumonico Simple
•Empiema
•Absceso
•Pneumatocele
•Necrosis Pulmonar
•Fistula bronco-pleural
Derrame Pleural y Empiema
• Acumulo le líquido en espacio pleural
• Puede clasificarse en 3 estadios evolutivos
• Derrame paraneumonico simple (Exudativa)
• Empiema (Fibropurulenta)
• Organización (fibrotorax)
Derrame paraneumonico
• Se debe a aumento de la permeabilidad en la pleura visceral debido al proceso
inflamatorio adyacente.
• Son exudados estériles con nivel de glucosa entre 40 – 60 mg/dl y pH mayor a 7.20
• Son pequeños
• No suelen ser localizados
• Imagen en menisco
• Se resuelven con tto antibiótico
Derrame
paraneumonico
Derrame paraneumonico
• Se ubican en posiciones
postero-inferiores por
gravedad
• Tienen menor densidad
que las atelectasias, masas
pleurales o engrosamiento
pleural.
• 10 – 20 UH
Empiema
• Se utiliza su termino cuando el derrame pleural se infecta y existe pus
• Sospecha cuando la clínica de una neumonía persiste y no mejora
• 75% son por bacterias anaerobias o cultivos mixtos
• Bajos niveles de glucosa (menor a 40 mg/dl)
• pH menor a 7.20
• Un derrame pleural localizado en paciente con neumonía sugiere la
formación de un empiema
Empiema
• Un empiema puede contener aire y se puede confundir con un absceso
en una placa convencional.
• Se observa en la TC
• Forma lenticular o elíptica
• Son localizados
• Bordes lisos uniformes BIEN DEFINIDOS
• Con contraste realzan los bordes de la pleura parietal y visceral
• Puede observarse mayor atenuación de grasa extrapleural
Empiema
• Sospechar ante
engrosamiento pleural
con aumento de
densidad pulmonar
adyacente.
Empiema
Empiema
• Múltiples colecciones lenticulares
• Paredes finas
• Comprimen el parénquima
pulmonar adyacente (vasos y
bronquios son desplazados)
Empiema
• Empiema por
estafilococo.
Engrosamiento y realce
de pleura parietal y
visceral.
Empiema
• Forma elíptica.
Localizado.
• Base pleural.
Ecografía y Empiema
• Puede detectar pequeños
derrames plurales
• Observan septos internos.
• Útil para guiar toracocentesis
Empiema
• En ocasiones un empiema puede tener aire en su interior.
• Ante este hallazgo sospechar 3 situaciones
• 1 - Que se haya realizado toracocentesis
• 2 - Colección con organismos productores de gas
• 3 – La formación de una fistula Bronco pleural.
Absceso Pulmonar
• Representa una infección pulmonar que produce destrucción de tejido con
necrosis.
• Cuando comunica con bronquios hay cavitación y niveles liquido – aire.
• Paciente puede expectorar su contenido
• Los bordes internos varían de lisos (90%) a irregulares (10%).
• Grosor de pared entre 0.5 y 1.5 cm.
• Causa mas frecuente son bacterias anaerobias.
Absceso Pulmonar
• Pueden ser únicos o múltiples
• Tienen baja atenuación central
• Paredes realzan con la administración de contraste
Absceso Pulmonar• Imagen focal en LII que
contiene nivel liquido
aire.
• Sospechar en pacientes
que puedan tener
aspiración hacia la vía
aérea.
• Alcoholismo
• ECV
• Epilepsia
• Ancianos
Absceso Pulmonar• Imagen focal en LII
que contiene nivel
liquido aire
Absceso Pulmonar• Masa en segmento
posterior de lóbulo
superior derecho.
HC: 271523
Absceso Pulmonar
• Imagen Redonda.
Engrosamiento difuso de
la pared con realce al
CIV.
HC: 271523
Empiema vs Absceso
• Son ovalados
• Bordes bien definidos en TC y
finos
• Comprimen parénquima
pulmonar adyacente
• Ángulos Obtusos
• Comprimen el parénquima
adyacente
• Son redondos
• Bordes mal definidos y gruesos
• Paredes irregulares con cambio
de grosor
• Ángulos agudos
• No comprimen el parénquima
adyacente
Pneumatocele
• Espacio aéreo de paredes finas que se forma en la resolución de una neumonía.
• Se propone que puede ser debido a mecanismo de válvula por inflamación proximal
de bronquio, o porque un absceso pulmonar rompe su contenido a la vía aérea
• Estafilococo agente mas frecuentemente relacionado
• Similar a una bulla
• No requieren tratamiento
• Crecen en tamaño en las primeros días o semanas y se resuelven en semanas a
meses
Pneumatocele
• Pneumatocele por
estafilococo.
• Raro pero puede producir
neumotorax.
Pneumatocele
• Paredes finas
• Opacidades en vidrio
deslustrado en la periferia
Neumonía Necrosante
• Se da en pacientes inmunodeprimidos y enfermos crónicos
• Asociada a Estafilococo Aureus (sobre todo meticilino resistentes y
positivos para Panton Valentine Leukocidin), Klebsiela, Anaerobios.
• Gran necrosis de tejido pulmonar
• Inicialmente se observan áreas radiolúcidas dentro de una
consolidación que luego confluyen para formar una cavidad que
contiene líquido.
Neumonia Necrosante
Neumonia Necrosante
Fistula broncopleural
• Se produce cuando hay una rotura o discontinuidad de la pleura visceral por
destrucción de tejido
• Se da mas frecuentemente por formación de Abscesos, Neumonía Necrotizante o
Empiema.
• Raramente el sitio de discontinuidad de la pleura visceral es posible verlo en la TC.
• Sospechar ante un patrón de liquido aire en la radiografía convencional
• Clínicamente presenta: Expectoración purulenta o sanguinolenta, aumento de fiebre.
• Puede ocurrir distres respiratorio con formación de neumotórax
• Requiere drenaje con tubo
Fistula bronco pleural
• Cuando sospechar:
• Incremento de un espacio aéreo intrapleural anteriormente estable
• Aparición de un nuevo nivel liquido aire
• Cambios en un ya conocido nivel liquido aire
• Desarrollo de un Neumotorax a tensión
Fistula bronco pleural
Signos que sugieran que una neumonía es
secundaria a Neoplasia Pulmonar
En radiografía convencional
• Alteración en la forma de la consolidación (Signo de la S de Golden)
• Debido a la masa del tumor
• Presencia de masa visible (centrales) o adenopatías hiliares (una neumonía raramente causa
adenopatías visibles en una Rx Convencional)
• Falta de resolución completa de la neumonía pasado 2-4 semanas de tto
• Estenosis visible de un bronquio
Signo de la S de Golden
Usualmente debido a Carcinomas centrales
Signo de la S de Golden
BIBLIOGRAFIA
• David M Hansell, David A Lynch, H Page McAdams, Alexander A Bankier, Imaging diseases of
the chest Fifth Edition
• Muller – Silva High Yield Imaging: Chest
• Webb – Higgins Thoracic Imaging; Pulmonary and cardiovascular Radiology
• http://www.ncbi.nlm.nih.gov/pubmed/9490962
• http://uptodate.publicaciones.saludcastillayleon.es/contents/search?search=necrotizing+neumo
nia&sp=0&searchType=PLAIN_TEXT&source=USER_INPUT&searchControl=TOP_PULLDOW
N&searchOffset
• http://medind.nic.in/iae/t10/i2/iaet10i2p97.pdf

Neumonías y complicaciones

  • 1.
    C NEUMONÍAS Y COMPLICACIONES JOSÉ UZCÁTEGUILEÓN COMPLEJO ASISTENCIAL UNIVERSITARIO DE SALAMANCA RADIODIAGNÓSTICO
  • 2.
    Neumonías Bacterianas • Radiografíaconvencional suele ser el primer método para su diagnostico y para determinar su extensión • Demuestra sus complicaciones (Derrame pleural, Empiema, Absceso..) • Su característica esencial es la consolidación pulmonar
  • 3.
    Apariencia radiológica delas Neumonías • Se pueden dividir según su patrón radiológico en •Bronconeumonías •Neumonía lobar •Neumonía redonda •Neumonía intersticial
  • 4.
    Neumonía Lobar • Elorganismo es inhalado hacia espacios aéreos periféricos o distales donde la bacteria daña la pared alveolar y causa inflamación y consolidación local • Puede afectar todo un lóbulo pulmonar pero raramente la hace por presentar síntomas precoces y la antiobioticoterapia oportuna. • Si la vía aérea no se afecta puede existir la presencia de broncograma • Se propaga por comunicaciones interalveolares Poros de Kohn
  • 5.
    Neumonía Lobar • Neumoníapor Neumococo, consolidación homogénea con broncograma.
  • 6.
    Neumonía Lobar • Organismostípicos: Pneumococo y Klebsiela • Suele producir una opacidad periférica, confluente, homogénea.
  • 7.
    Bronconeumonía • El organismose deposita en el epitelio bronquial y se extiende hacia los alveolos adyacentes. • Inicialmente se observan áreas parcheadas de consolidación en uno o mas segmentos y si progresa pueden ser multifocales y/o bilaterales • Puede afectar a unos alveolos y respetar otros. • Ausencia de broncograma • Hay pérdida de volumen porque afecta vía aérea.
  • 8.
    Bronconeumonía • Áreas parcheadasde consolidación en lóbulo superior y inferior izquierdo
  • 9.
    Neumonía Redonda • Puedeser el inicio de una infección con imagen nodular o esférica. • Suelen ser nódulos mal definidos y pueden contener broncograma aéreo • Hay que hacer diagnostico diferencial con nódulo pulmonar • Si es neumonía un control a las 2-3 semanas de su aparición se resuelve con tratamiento antibiótico
  • 10.
    Neumonía Redonda • http://westjem.com/images-in-emergency-medicine/evolution- of-a-round-pneumonia.html Niñostienen pocas vías colaterales de ventilación y alveolos mas pequeños en comparación con adultos.
  • 11.
    Neumonía Redonda • Aumentode densidad de bordes mal definidos. • El tratamiento antibiótico produce mejoría 10 días después http://posterng.netkey.at/esr/viewing/index.php?module=viewing_poster&ta sk=viewsection&pi=123408&ti=410426&searchkey=
  • 12.
    Neumonía intersticial • Causadaspor virus, M. Pneumoniae, P. jiroveci. • Afecta el espacio intersticial predominantemente aunque no exclusivamente • Patrón suele ser bilateral, simétrico, con opacidades lineales o retículo- nodulares • Engrosamiento de especio peribronquial. • Atelectasias discoideas pueden ser comunes
  • 13.
    Neumonía intersticial • Patrónretículo – nodular en un paciente con neumonía por mycoplasma
  • 14.
    Diagnostico Diferencial Con cualquieretiología que pueda causar reemplazo de el aire alveolar normal por alguna sustancia. • Agua : Edema pulmonar • Sangre : hemorragia/Infarto (TEP) • Pus : Neumonía • Células : Carcinoma bronquio-alveolar, Neumonía Organizada, Linfoma, Neumonía eosinofílica • Otras substancias; Proteínas, grasa • Atelectasia
  • 15.
    Diagnostico Diferencial • Importantetener en cuenta; • Forma de presentación y evolución • Signos y Síntomas clínicos • Resolución con tratamiento antibiótico • Antecedentes
  • 16.
  • 17.
    Neumonía Organizada • Mismopaciente 2 meses después • Consolidación Lobar superior y inferior izquierda. HC: 194951
  • 18.
    Neumonía Organizada• Mismopaciente 2 meses después • Consolidación Lobar superior y inferior izquierda. HC: 194951
  • 19.
  • 20.
  • 21.
  • 22.
    Adenocarcinoma •Mismo paciente 8meses después. Masa LID HC: 20341
  • 23.
    Falta de resoluciónde Neumonía • Error de diagnóstico (Diagnósticos Diferenciales) • Incorrecto tratamiento (resistencia antibióticos) • Aparición de complicaciones. • Pacientes inmunodeprimidos o con enfermedades crónicas • Plantear posibilidad de realizar TC
  • 24.
    Neumonía no Complicada •En una NAC se espera mejoría subjetiva del paciente dentro de 3 – 5 días • Fiebre, taquipnea y hipoxemia se resuelven en 3 días. • Fatiga y tos puede durar hasta 14 días • Se puede esperar hasta 4 semanas para una resolución radiológica completa
  • 25.
  • 26.
    Derrame Pleural yEmpiema • Acumulo le líquido en espacio pleural • Puede clasificarse en 3 estadios evolutivos • Derrame paraneumonico simple (Exudativa) • Empiema (Fibropurulenta) • Organización (fibrotorax)
  • 27.
    Derrame paraneumonico • Sedebe a aumento de la permeabilidad en la pleura visceral debido al proceso inflamatorio adyacente. • Son exudados estériles con nivel de glucosa entre 40 – 60 mg/dl y pH mayor a 7.20 • Son pequeños • No suelen ser localizados • Imagen en menisco • Se resuelven con tto antibiótico
  • 28.
  • 29.
    Derrame paraneumonico • Seubican en posiciones postero-inferiores por gravedad • Tienen menor densidad que las atelectasias, masas pleurales o engrosamiento pleural. • 10 – 20 UH
  • 30.
    Empiema • Se utilizasu termino cuando el derrame pleural se infecta y existe pus • Sospecha cuando la clínica de una neumonía persiste y no mejora • 75% son por bacterias anaerobias o cultivos mixtos • Bajos niveles de glucosa (menor a 40 mg/dl) • pH menor a 7.20 • Un derrame pleural localizado en paciente con neumonía sugiere la formación de un empiema
  • 31.
    Empiema • Un empiemapuede contener aire y se puede confundir con un absceso en una placa convencional. • Se observa en la TC • Forma lenticular o elíptica • Son localizados • Bordes lisos uniformes BIEN DEFINIDOS • Con contraste realzan los bordes de la pleura parietal y visceral • Puede observarse mayor atenuación de grasa extrapleural
  • 32.
    Empiema • Sospechar ante engrosamientopleural con aumento de densidad pulmonar adyacente.
  • 33.
  • 34.
    Empiema • Múltiples coleccioneslenticulares • Paredes finas • Comprimen el parénquima pulmonar adyacente (vasos y bronquios son desplazados)
  • 35.
    Empiema • Empiema por estafilococo. Engrosamientoy realce de pleura parietal y visceral.
  • 36.
  • 37.
    Ecografía y Empiema •Puede detectar pequeños derrames plurales • Observan septos internos. • Útil para guiar toracocentesis
  • 38.
    Empiema • En ocasionesun empiema puede tener aire en su interior. • Ante este hallazgo sospechar 3 situaciones • 1 - Que se haya realizado toracocentesis • 2 - Colección con organismos productores de gas • 3 – La formación de una fistula Bronco pleural.
  • 39.
    Absceso Pulmonar • Representauna infección pulmonar que produce destrucción de tejido con necrosis. • Cuando comunica con bronquios hay cavitación y niveles liquido – aire. • Paciente puede expectorar su contenido • Los bordes internos varían de lisos (90%) a irregulares (10%). • Grosor de pared entre 0.5 y 1.5 cm. • Causa mas frecuente son bacterias anaerobias.
  • 40.
    Absceso Pulmonar • Puedenser únicos o múltiples • Tienen baja atenuación central • Paredes realzan con la administración de contraste
  • 41.
    Absceso Pulmonar• Imagenfocal en LII que contiene nivel liquido aire. • Sospechar en pacientes que puedan tener aspiración hacia la vía aérea. • Alcoholismo • ECV • Epilepsia • Ancianos
  • 42.
    Absceso Pulmonar• Imagenfocal en LII que contiene nivel liquido aire
  • 43.
    Absceso Pulmonar• Masaen segmento posterior de lóbulo superior derecho. HC: 271523
  • 44.
    Absceso Pulmonar • ImagenRedonda. Engrosamiento difuso de la pared con realce al CIV. HC: 271523
  • 45.
    Empiema vs Absceso •Son ovalados • Bordes bien definidos en TC y finos • Comprimen parénquima pulmonar adyacente • Ángulos Obtusos • Comprimen el parénquima adyacente • Son redondos • Bordes mal definidos y gruesos • Paredes irregulares con cambio de grosor • Ángulos agudos • No comprimen el parénquima adyacente
  • 46.
    Pneumatocele • Espacio aéreode paredes finas que se forma en la resolución de una neumonía. • Se propone que puede ser debido a mecanismo de válvula por inflamación proximal de bronquio, o porque un absceso pulmonar rompe su contenido a la vía aérea • Estafilococo agente mas frecuentemente relacionado • Similar a una bulla • No requieren tratamiento • Crecen en tamaño en las primeros días o semanas y se resuelven en semanas a meses
  • 47.
    Pneumatocele • Pneumatocele por estafilococo. •Raro pero puede producir neumotorax.
  • 48.
    Pneumatocele • Paredes finas •Opacidades en vidrio deslustrado en la periferia
  • 49.
    Neumonía Necrosante • Seda en pacientes inmunodeprimidos y enfermos crónicos • Asociada a Estafilococo Aureus (sobre todo meticilino resistentes y positivos para Panton Valentine Leukocidin), Klebsiela, Anaerobios. • Gran necrosis de tejido pulmonar • Inicialmente se observan áreas radiolúcidas dentro de una consolidación que luego confluyen para formar una cavidad que contiene líquido.
  • 50.
  • 51.
  • 52.
    Fistula broncopleural • Seproduce cuando hay una rotura o discontinuidad de la pleura visceral por destrucción de tejido • Se da mas frecuentemente por formación de Abscesos, Neumonía Necrotizante o Empiema. • Raramente el sitio de discontinuidad de la pleura visceral es posible verlo en la TC. • Sospechar ante un patrón de liquido aire en la radiografía convencional • Clínicamente presenta: Expectoración purulenta o sanguinolenta, aumento de fiebre. • Puede ocurrir distres respiratorio con formación de neumotórax • Requiere drenaje con tubo
  • 53.
    Fistula bronco pleural •Cuando sospechar: • Incremento de un espacio aéreo intrapleural anteriormente estable • Aparición de un nuevo nivel liquido aire • Cambios en un ya conocido nivel liquido aire • Desarrollo de un Neumotorax a tensión
  • 54.
  • 56.
    Signos que sugieranque una neumonía es secundaria a Neoplasia Pulmonar En radiografía convencional • Alteración en la forma de la consolidación (Signo de la S de Golden) • Debido a la masa del tumor • Presencia de masa visible (centrales) o adenopatías hiliares (una neumonía raramente causa adenopatías visibles en una Rx Convencional) • Falta de resolución completa de la neumonía pasado 2-4 semanas de tto • Estenosis visible de un bronquio
  • 57.
    Signo de laS de Golden Usualmente debido a Carcinomas centrales
  • 58.
    Signo de laS de Golden
  • 59.
    BIBLIOGRAFIA • David MHansell, David A Lynch, H Page McAdams, Alexander A Bankier, Imaging diseases of the chest Fifth Edition • Muller – Silva High Yield Imaging: Chest • Webb – Higgins Thoracic Imaging; Pulmonary and cardiovascular Radiology • http://www.ncbi.nlm.nih.gov/pubmed/9490962 • http://uptodate.publicaciones.saludcastillayleon.es/contents/search?search=necrotizing+neumo nia&sp=0&searchType=PLAIN_TEXT&source=USER_INPUT&searchControl=TOP_PULLDOW N&searchOffset • http://medind.nic.in/iae/t10/i2/iaet10i2p97.pdf