“NUNCA PELEAR CON ALGUIEN ARMADO”
TRAUMA
   DE
 TÓRAX
        2010
DR. MANUEL JIMENEZ ARENAS
OBJETIVOS
1. CONOCER LA IMPORTANCIA DEL TRAUMA DE

  TÓRAX

2. IDENTIFICAR Y TRATAR EL TRAUMA DE TORAX QUE

  MATA DE INMEDIATO

3. IDENTIFICAR Y TRATAR EL TRAUMA QUE

  PUEDE MATAR EN FORMA MEDIATA Y TARDÍA
LESIONES QUE MATAN DE INMEDIATO
1. OBSTRUCCIÓN DE LA VÍA AÉREA

2. NEUMOTÓRAX A TENSIÓN

3. TÓRAX INESTABLE Y CONTUSIÓN PULMONAR

4. HEMOTÓRAX MASIVO

5. TAMPONADE CARDIACO

6. “NEUMOTÓRAX ABIERTO”
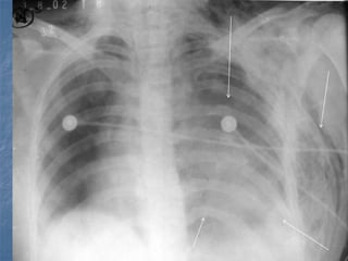
POR LA HERIDA SE OBSERVAN LOS PULMONES
LESIONES QUE PUEDEN MATAR EN FORMA MEDIATA



1.   Neumotórax simple
2.   Hemotórax simple
3.   Contusión pulmonar
4.   Lesión de árbol traqueobronquial
5.   Trauma contuso de corazón
6.   Ruptura aórtica
7.   Lesión de diafragma
8.   Perforación de esófago
DRENO 1,500 ML.
DE SANGRE
FRESCA
Otras Lesiones

I. Enfisema subcutáneo

II. Lesiones que atraviesan el tórax

III. Fracturas de esternón, clavículas y
   costillas
TRAUMA DE TÓRAX
   PENETRANTE

   CERRADO (CONTUSO)

   CAUSA 20 A 25% DE MUERTES POR
    TRAUMA

   16,000 MUERTES POR AÑO
TRAUMA PENETRANTE

   ZONAS URBANAS

   ARMA DE FUEGO

   ARMA BLANCA

   ARMA DE AIRE
TRAUMA CERRADO
   VEHICULO AUTOMOTOR 70 A 80%

   CAIDA DE GRANDES ALTURAS

   COMPRESION RÍGIDA

DESACELERACIÓN
           IMPACTO DIRECTO
                        COMPRESIÓN
T
R
A   T

U   Ó

M   R

A   A
    X

D
E
IMPORTANCIA
1:4 MUERTES ES CAUSADA POR TRAUMA DE
TÓRAX (33% EN LA ESCENA)

SOLO 10% DEL TRAUMA CERRADO REQUIERE
TORACOTOMÍA.

DE 15 A 30% DE LESIONES PENETRANTES
REQUIEREN TORACOTOMÍA.

85 A 90% SE RESUELVEN CON
PROCEDIMIENTOS SENCILLOS.
PUNSION Y TUBO PLEURAL
     2º EIC
     LMC




                      5º EIC
                      LAA o
                      LAM



              Aire o sangre
FISIOPATOLOGIA




VENTILACION
DIFUSION
HEMATOSIS
INTERCAMBIO
CIRUGIA CON TORACOSCOPIA VIDEOASISTIDA

 2º EIC
 LMC




            5º EIC
            LAA
            LAM
T
    HIPOXIA
R
A
                  A
U
                  C
M
A                 I
                  D
T
O                 O
R
Á
                  S
C
                  I
I
C                 S
O
    HIPERCAPNIA
TIPO DE LESIONES

1. LESIONES QUE PONEN EN PELIGRO LA VIDA
   EN FORMA INMEDIATA (EVALUACIÓN
   INICIAL O REVISION PRIMARIA)

2. LESIONES QUE PONEN EN PELIGRO LA VIDA
   EN FORMA MEDIATA (EVALUACIÓN
   SECUNDARIA O REVISION SECUNDARIA)

3. LESIONES QUE NO PONEN EN PELIGRO LA
   VIDA (REVISION SECUNDARIA)
EVITAR

   NEUMOTORAX IATROGENICO

   HEMOTORAX IATROGENICO

   PERFORACIÓN ENSOFAGICA
    IATROGENICA
1


LESIONES QUE PONEN EN PELIGRO LA

VIDA EN FORMA INMEDIATA
1. OBSTRUCCIÓN DE LA VIA AÉREA

2. NEUMOTÓRAX A TENSIÓN

3. NEUMOTÓRAX ABIERTO

4. TÓRAX INESTABLE

5. HEMOTÓRAX MASIVO

6. TAMPONADE CARDIACO
¿QUE HACER?

       REVISIÓN INICIAL

IDENTIFICAR LAS LESIONES QUE PONEN EN
 PELIGRO LA VIDA EN FORMA INMEDIATA



            ¿COMO?
          A, B, C, D, E.
CONCEPTO A. T. L. S.
   A.- VIA AÉREA CON PROTECCION DE LA
        LA COLUMNA CERVICAL.
   B.- RESPIRACIÓN Y VENTILACIÓN CON
        ADMINISTRACIÓN DE OXÍGENO.
   C.- CIRCULACIÓN CON CONTROL DEL
        SANGRADO
   D.- INCAPACIDADES CON ESCALA DE COMA
   E.- DESNUDAR Y PROTEGER DE
        HIPOTERMIA.
1
EVALUACIÓN INICIAL O REVISIÓN PRIMARIA
CON REANIMACIÓN Y ANEXOS NECESARIOS
                    2
EVALUACIÓN SECUNDARIA CON REEVALUACIÓN
Y ANEXOS NECESARIOS
                    3
ESTABILIZACIÓN Y REEVALUACIÓN CONTÍNUA
                    4
TRASLADO A UNIDAD DE CUIDADOS
DEFINITIVOS
REVISIÓN INICIAL
A. VIA AÉREA PERMEABLE CON CONTROL
   DE COLUMNA CERVICAL

B. VENTILACIÓN ADECUADA CON
   OXIGENACION (12 - 15 LTS. X´)
   NEUMOTÓRAX A TENSIÓN
   NEUMOTÓRAX ABIERTO
   TÓRAX INESTABLE

C. CIRCULACIÓN CON CONTROL DEL
   SANGRADO (PRESION):
   HEMOTÓRAX MASIVO
   TAMPONADE
¿DIAGNÓSTICO EN TRAUMA DE TÓRAX?

              OBSERVE

               SIENTA

              ESCUCHE

              PERCUTA


¡EL DIAGNÓSTICO ES CLÍNICO!
DIAGNÓSTICO

   ANTECEDENTES (AMPLIA)

   EXAMEN FÍSICO

   LABORATORIO

   IMAGENOLOGIA
AMPLIA

   Alergias
   Medicamentos
   Patología previa y embarazo
   Libaciones
   Ingesta
   Ambiente y eventos
EVITE LA INTUBACION SELECTIVA DE BRONQUIO PRINCIPAL DERECHO

EVITE LA CREACION DE UN NEUMOTORAX IATROGENICO CON VENTILADOR
OBSTRUCCION DE VIA AÉREA




Estridor
laríngeo;
dificultad                                  NO
respiratoria      TRACCION DEL MENTON

severa;           O LA MANDIBULA
tiraje
intercostal,
subcostal y
cianosis.                     NUNCA
                                          JAMAS
OBSTRUCCIÓN DE LA VÍA AÉREA

Estado de alerta, cuerpos extraños,
secreciones, vómito, o sangre.

Manejo no invasivo: intubación.

Manejo invasivo.- cricotiroidotomía por
                  punción

                 cricotiroidotomía quirúrgica

                  URGENCIOLOGO

                 traqueostomía: cirujano
?
NEUMOTÓRAX TENSIÓN
Acumulación de aire en el espacio pleural, desde el
pulmón o por herida en la pared produciendo el
colapso del pulmón.


Dolor, falta de aire, dificultad respiratoria,
taquicardia, hipotensión, respiración paradójica


Desviación de la tráquea, ausencia de murmullo
vesicular, timpanismo, distensión de las
venas del cuello y cianosis.

¡¡¡PUNSION PLEURAL: 2o. EILMC Y SELLO DE AGUA!!!
?
NEUMOTÓRAX ABIERTO
Entrada de aire al espacio pleural por la
herida en la pared torácica con colapso
pulmonar.

Cubrir el defecto por 3 lados y dejar uno
abierto

Sello de agua distal al defecto

Tratamiento quirúrgico definitivo.
?
TÓRAX INESTABLE
Fractura de 2 o más costillas en dos o
más lugares con pérdida del soporte
óseo de un segmento del tórax.

Contusión pulmonar y dolor, respiración
superficial, respiración paradójica,
crepitación ósea, enfisema subcutáneo.

Radiografía de tórax.
TRATAMIENTO
Objetivos: estabilizar la pared torácica, reducir el
espacio muerto respiratorio y tratar la contusión
pulmonar.

Mediciones de la mecánica pulmonar y
determinaciones de gases en sangre arterial.

Intubación: según la gravedad de la contusión
pulmonar y los datos de insuficiencia respiratoria.
Fisioterapia pulmonar agresiva
Oxigenoterapia
Analgesia efectiva
Aspiración de secreciones
Humidificación del aire
Ejercicios respiratorios
Drenaje postural
Movilización temprana
Antiboticoterapia
Estabilización costal
Intubación
Ventilación mecánica (?)
VENTILACIÓN MECÁNICA
SIGNOS DE INSUFICIENCIA RESPIRATORIA
Choque severo
Trauma craneoencefálico severo
Padecimiento quirúrgico asociado
Obstrucción de vía aérea
F. R. > 35 x’ O < 8 x’
PaO2 < 60 mmHg CON FiO2 > 0.5
PaCO2 > 55 mmHg CON FiO2 > 0.5
PaO2 CON TASA DE FiO2 < 200
CAPACIDAD VITAL < 15 ml/Kg
FEV1 < 10 ml/Kg
Fuerza inspiratoria > 25 cmH2O
Gradiente de oxigeno alveolar-arterial > 450
Fracción de corto circuito > 0.2
Espacio muerto > 0.6
?
Masivo
HEMOTORAX MASIVO
Pulmón comprometido colapsado.

El mediastino desplazado comprimiendo al pulmón y grandes
vasos.

Choque hipovolémico, taquipnea, ausencia de ruidos
respiratorios y matidez.

Reponer el volumen sanguíneo.

Tubo de tórax 32 ó 34f.

Toracotomía exploradora.
?
CONTUSIÓN

                        TAPONAMIENTO CARDIACO

                        •   AUMENTO DE LA PVC
                        •   TONOS CARDIACOS APAGADOS
                        •   HIPOTENSION ARTERIAL
                            TRIADA DE BECK

                        •   PULSO PARADÓJICO:
                            DISMINUCIÓN DE LA T/A A LA
                            INSPIRACIÓN > 10 mmHg

                        •   SIGNO DE KUSMAUL O
                            AUMENTO DE LA PVC A LA
                            INSPIRACIÓN
                            (PATOGNOMONICO)

                        •   ACTIVIDAD ELECTRICA SIN
                            PULSO (AEP)

INJURGITACION YUGULAR   •   US TRANSTORÁCICO O ECO
SI NO HAY CHOQUE            DOPLER
TAMPONADE

EVALUACIÓN SONOGRÁFICA DIRIGIDA

DE TRAUMA (FAST)

           TRATAMIENTO

        PERICARDIOCENTESIS.
TORACOTOMÍA PARA REANIMACIÓN



LESIONES PENETRANTES DE TÓRAX CON
ACTIVIDAD ELECTRICA SIN PULSO




TORACOTOMÍA ANTERIOR IZQUIERDA
OBJETIVOS
1. DRENAJE PERICARDICO (15 A 30 ml.)

2. CONTROL DE HEMORRAGIA

3. MASAJE A CIELO ABIERTO

4. PINZAR LA AORTA DESCENDENTE
2

LESIONES QUE PONEN EN PELIGRO LA

VIDA EN FORMA MEDIATA O TARDÍA
REVISIÓN SECUNDARIA: OBJETIVOS
     B. IDENTIFICAR E INICIAR EL TRATAMIENTO DE:

 1. NEUMOTÓRAX SIMPLE

 2. HEMOTÓRAX SIMPLE

 3. CONTUSIÓN PULMONAR

 4. RUPTURA TRAQUEOBRONQUIAL

 5. LESIÓN CARDIACA POR TRAUMA CERRADO

 6. RUPTURA TRAUMÁTICA DE LA AORTA

 7. LESIÓN TRAUMÁTICA DEL DIAFRAGMA

 8. LESIONES QUE ATRAVIEZAN EL MEDIASTINO
9. Hernia pulmonar

10. Sangrado de pared torácica

11. Fractura escapular

12. Luxación escapulotorácica

13. Fractura de clavícula

14. Luxación esternoclavicular

15. Fractura de esternón

16. Fractura de 1a. Y 2a. Costillas

17. Fracturas costales
NEUMOTÓRAX SIMPLE
HEMOTÓRAX SIMPLE
Sangre en el espacio pleural.




                                Origen:
                                vasos intercostales pulmones
                                vasos bronquiales
                                vasos pulmonares
                                grandes vasos.
CONTUSION PULMONAR
LESIONES DEL ARBOL TRAQUEOBRONQUIAL

            TRAUMA CERRADO

            FATALES

            2-3CM DE LA CARINA

            MUERTE INSTANTANEA

            HEMOPTISIS

            ENFISEMA
            SUBCUTÁNEO

            NEUMOTÓRAX A

            TENSIÓN

            DESVIACIÓN DEL

            MEDIASTINO
CONTUSION CARDIACA

HIPOTENSIÓN



ECG ALTERADO



ECO BIDIMENSIONAL
?
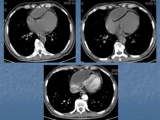
RUPTURA TRAUMÁTICA DE LA AORTA
RX DE TORAX:
1. ENSANCHAMIENTO DEL MEDIASTINO.
2. BORRAMIENTO DEL BOTON AORTICO.
3. DESVIACION DE TRAQUEA A LA DERECHA.
4. BORRAMIENTO DE LA VENTANA AORTOPULMONAR.
5. DEPRESIÓN DEL BRONQUIO IZQUIERDO.
6. DESVIAICIÓN DEL ESÓFAGO A LA DERECHA.
7. ENSANCHAMIENTO DE LA FRANJA PARATRAQUEAL.
8. ENSANCHAMIENTO DE LA INTERFASE PARAVERTEBRAL.
9. GORRO PLEURAL
10. HEMOTÓRAX IZQUIERDO.
11. FRACTURA DE 1A. O 2A. COSTILLAS O DEL OMOPLATO.



AORTOGRAMA
?
RUPTURA DIAFRAGMÁTICA
   Contusiones severas del
    abdomen, aumento presión
    intraabdominal, contenido
    abdominal hacia cavidad
    torácica.
   Hemidiafragma izquierdo
   Extremadamente difícil de
    diagnosticar.
   Molestias abdominales
   Ruidos respiratorios
    disminuídos o ruidos
    intestinales en tórax
   Abdomen: en batea o en
    vacío
TRATAMIENTO
   87% casos se
    resuelven mediante
    laparotomía
   8% por toracotomía
   5% procedimientos
    combinados.



                         Contraste
                         de vías
                         digestivas
                         en Tórax.
3

LESIONES QUE NO PONEN EN PELIGRO LA

VIDA
1) ENFISEMA SUBCUTÁNEO

2) ASFIXIA POSTRAUMÁTICA O LESION POR
   APLASTAMIENTO

3) FRACTURAS COSTALES, ESTERNÓN Y ESCÁPULA

4) RUPTURA ESOFÁGICA

5) TRASLADO DE PACIENTES

6) PACIENTES QUE SERÁN OPERADOS

7) PACIENTES QUE REQUIEREN VENTILACION POSITIVA
?
Cianosis craneofacial
Edema facial
Petequias
Aspecto moribundo
Inconciencia
Confusión
Hematuria
Hemotímpano
Epistaxis
ASFIXIA TRAUMÁTICA
Lesiones severas cerradas o por aplastamiento del
tórax y abdomen.

Aumenta la presión intratorácica y fuerza la sangre
al lado derecho del corazón, a las venas torácicas
superiores y del cuello.

La presión es transmitida a capilares del cerebro,
cabeza y cuello.

Distensión brusca de sangre estancada.
   Cianosis de cara y cuello.
   Edema y hemorragia de las
    conjuntivas.




                                        Manejo
                                 Reconocer la entidad.
                                 Mantener vía aérea
                                 permeable.
                                 Cuidado de lesiones
                                 asociadas.
DR. MANUEL JIMENEZ ARENAS
Trauma Tórax ESM IPN ATLS

Trauma Tórax ESM IPN ATLS

  • 1.
    “NUNCA PELEAR CONALGUIEN ARMADO”
  • 2.
    TRAUMA DE TÓRAX 2010 DR. MANUEL JIMENEZ ARENAS
  • 3.
    OBJETIVOS 1. CONOCER LAIMPORTANCIA DEL TRAUMA DE TÓRAX 2. IDENTIFICAR Y TRATAR EL TRAUMA DE TORAX QUE MATA DE INMEDIATO 3. IDENTIFICAR Y TRATAR EL TRAUMA QUE PUEDE MATAR EN FORMA MEDIATA Y TARDÍA
  • 4.
    LESIONES QUE MATANDE INMEDIATO 1. OBSTRUCCIÓN DE LA VÍA AÉREA 2. NEUMOTÓRAX A TENSIÓN 3. TÓRAX INESTABLE Y CONTUSIÓN PULMONAR 4. HEMOTÓRAX MASIVO 5. TAMPONADE CARDIACO 6. “NEUMOTÓRAX ABIERTO”
  • 5.
    POR LA HERIDASE OBSERVAN LOS PULMONES
  • 6.
    LESIONES QUE PUEDENMATAR EN FORMA MEDIATA 1. Neumotórax simple 2. Hemotórax simple 3. Contusión pulmonar 4. Lesión de árbol traqueobronquial 5. Trauma contuso de corazón 6. Ruptura aórtica 7. Lesión de diafragma 8. Perforación de esófago
  • 7.
    DRENO 1,500 ML. DESANGRE FRESCA
  • 8.
    Otras Lesiones I. Enfisemasubcutáneo II. Lesiones que atraviesan el tórax III. Fracturas de esternón, clavículas y costillas
  • 9.
    TRAUMA DE TÓRAX  PENETRANTE  CERRADO (CONTUSO)  CAUSA 20 A 25% DE MUERTES POR TRAUMA  16,000 MUERTES POR AÑO
  • 10.
    TRAUMA PENETRANTE  ZONAS URBANAS  ARMA DE FUEGO  ARMA BLANCA  ARMA DE AIRE
  • 11.
    TRAUMA CERRADO  VEHICULO AUTOMOTOR 70 A 80%  CAIDA DE GRANDES ALTURAS  COMPRESION RÍGIDA DESACELERACIÓN IMPACTO DIRECTO COMPRESIÓN
  • 12.
    T R A T U Ó M R A A X D E
  • 13.
    IMPORTANCIA 1:4 MUERTES ESCAUSADA POR TRAUMA DE TÓRAX (33% EN LA ESCENA) SOLO 10% DEL TRAUMA CERRADO REQUIERE TORACOTOMÍA. DE 15 A 30% DE LESIONES PENETRANTES REQUIEREN TORACOTOMÍA. 85 A 90% SE RESUELVEN CON PROCEDIMIENTOS SENCILLOS.
  • 14.
    PUNSION Y TUBOPLEURAL 2º EIC LMC 5º EIC LAA o LAM Aire o sangre
  • 15.
  • 16.
    CIRUGIA CON TORACOSCOPIAVIDEOASISTIDA 2º EIC LMC 5º EIC LAA LAM
  • 17.
    T HIPOXIA R A A U C M A I D T O O R Á S C I I C S O HIPERCAPNIA
  • 19.
    TIPO DE LESIONES 1.LESIONES QUE PONEN EN PELIGRO LA VIDA EN FORMA INMEDIATA (EVALUACIÓN INICIAL O REVISION PRIMARIA) 2. LESIONES QUE PONEN EN PELIGRO LA VIDA EN FORMA MEDIATA (EVALUACIÓN SECUNDARIA O REVISION SECUNDARIA) 3. LESIONES QUE NO PONEN EN PELIGRO LA VIDA (REVISION SECUNDARIA)
  • 20.
    EVITAR  NEUMOTORAX IATROGENICO  HEMOTORAX IATROGENICO  PERFORACIÓN ENSOFAGICA IATROGENICA
  • 21.
    1 LESIONES QUE PONENEN PELIGRO LA VIDA EN FORMA INMEDIATA
  • 22.
    1. OBSTRUCCIÓN DELA VIA AÉREA 2. NEUMOTÓRAX A TENSIÓN 3. NEUMOTÓRAX ABIERTO 4. TÓRAX INESTABLE 5. HEMOTÓRAX MASIVO 6. TAMPONADE CARDIACO
  • 23.
    ¿QUE HACER? REVISIÓN INICIAL IDENTIFICAR LAS LESIONES QUE PONEN EN PELIGRO LA VIDA EN FORMA INMEDIATA ¿COMO? A, B, C, D, E.
  • 24.
    CONCEPTO A. T.L. S.  A.- VIA AÉREA CON PROTECCION DE LA LA COLUMNA CERVICAL.  B.- RESPIRACIÓN Y VENTILACIÓN CON ADMINISTRACIÓN DE OXÍGENO.  C.- CIRCULACIÓN CON CONTROL DEL SANGRADO  D.- INCAPACIDADES CON ESCALA DE COMA  E.- DESNUDAR Y PROTEGER DE HIPOTERMIA.
  • 25.
    1 EVALUACIÓN INICIAL OREVISIÓN PRIMARIA CON REANIMACIÓN Y ANEXOS NECESARIOS 2 EVALUACIÓN SECUNDARIA CON REEVALUACIÓN Y ANEXOS NECESARIOS 3 ESTABILIZACIÓN Y REEVALUACIÓN CONTÍNUA 4 TRASLADO A UNIDAD DE CUIDADOS DEFINITIVOS
  • 26.
    REVISIÓN INICIAL A. VIAAÉREA PERMEABLE CON CONTROL DE COLUMNA CERVICAL B. VENTILACIÓN ADECUADA CON OXIGENACION (12 - 15 LTS. X´) NEUMOTÓRAX A TENSIÓN NEUMOTÓRAX ABIERTO TÓRAX INESTABLE C. CIRCULACIÓN CON CONTROL DEL SANGRADO (PRESION): HEMOTÓRAX MASIVO TAMPONADE
  • 27.
    ¿DIAGNÓSTICO EN TRAUMADE TÓRAX?  OBSERVE  SIENTA  ESCUCHE  PERCUTA ¡EL DIAGNÓSTICO ES CLÍNICO!
  • 28.
    DIAGNÓSTICO  ANTECEDENTES (AMPLIA)  EXAMEN FÍSICO  LABORATORIO  IMAGENOLOGIA
  • 29.
    AMPLIA  Alergias  Medicamentos  Patología previa y embarazo  Libaciones  Ingesta  Ambiente y eventos
  • 30.
    EVITE LA INTUBACIONSELECTIVA DE BRONQUIO PRINCIPAL DERECHO EVITE LA CREACION DE UN NEUMOTORAX IATROGENICO CON VENTILADOR
  • 31.
    OBSTRUCCION DE VIAAÉREA Estridor laríngeo; dificultad NO respiratoria TRACCION DEL MENTON severa; O LA MANDIBULA tiraje intercostal, subcostal y cianosis. NUNCA JAMAS
  • 32.
    OBSTRUCCIÓN DE LAVÍA AÉREA Estado de alerta, cuerpos extraños, secreciones, vómito, o sangre. Manejo no invasivo: intubación. Manejo invasivo.- cricotiroidotomía por punción cricotiroidotomía quirúrgica URGENCIOLOGO traqueostomía: cirujano
  • 33.
  • 34.
    NEUMOTÓRAX TENSIÓN Acumulación deaire en el espacio pleural, desde el pulmón o por herida en la pared produciendo el colapso del pulmón. Dolor, falta de aire, dificultad respiratoria, taquicardia, hipotensión, respiración paradójica Desviación de la tráquea, ausencia de murmullo vesicular, timpanismo, distensión de las venas del cuello y cianosis. ¡¡¡PUNSION PLEURAL: 2o. EILMC Y SELLO DE AGUA!!!
  • 35.
  • 36.
    NEUMOTÓRAX ABIERTO Entrada deaire al espacio pleural por la herida en la pared torácica con colapso pulmonar. Cubrir el defecto por 3 lados y dejar uno abierto Sello de agua distal al defecto Tratamiento quirúrgico definitivo.
  • 37.
  • 39.
    TÓRAX INESTABLE Fractura de2 o más costillas en dos o más lugares con pérdida del soporte óseo de un segmento del tórax. Contusión pulmonar y dolor, respiración superficial, respiración paradójica, crepitación ósea, enfisema subcutáneo. Radiografía de tórax.
  • 40.
    TRATAMIENTO Objetivos: estabilizar lapared torácica, reducir el espacio muerto respiratorio y tratar la contusión pulmonar. Mediciones de la mecánica pulmonar y determinaciones de gases en sangre arterial. Intubación: según la gravedad de la contusión pulmonar y los datos de insuficiencia respiratoria.
  • 41.
    Fisioterapia pulmonar agresiva Oxigenoterapia Analgesiaefectiva Aspiración de secreciones Humidificación del aire Ejercicios respiratorios Drenaje postural Movilización temprana Antiboticoterapia Estabilización costal Intubación Ventilación mecánica (?)
  • 42.
    VENTILACIÓN MECÁNICA SIGNOS DEINSUFICIENCIA RESPIRATORIA Choque severo Trauma craneoencefálico severo Padecimiento quirúrgico asociado Obstrucción de vía aérea F. R. > 35 x’ O < 8 x’ PaO2 < 60 mmHg CON FiO2 > 0.5 PaCO2 > 55 mmHg CON FiO2 > 0.5 PaO2 CON TASA DE FiO2 < 200 CAPACIDAD VITAL < 15 ml/Kg FEV1 < 10 ml/Kg Fuerza inspiratoria > 25 cmH2O Gradiente de oxigeno alveolar-arterial > 450 Fracción de corto circuito > 0.2 Espacio muerto > 0.6
  • 43.
  • 44.
  • 45.
    HEMOTORAX MASIVO Pulmón comprometidocolapsado. El mediastino desplazado comprimiendo al pulmón y grandes vasos. Choque hipovolémico, taquipnea, ausencia de ruidos respiratorios y matidez. Reponer el volumen sanguíneo. Tubo de tórax 32 ó 34f. Toracotomía exploradora.
  • 46.
  • 47.
    CONTUSIÓN TAPONAMIENTO CARDIACO • AUMENTO DE LA PVC • TONOS CARDIACOS APAGADOS • HIPOTENSION ARTERIAL TRIADA DE BECK • PULSO PARADÓJICO: DISMINUCIÓN DE LA T/A A LA INSPIRACIÓN > 10 mmHg • SIGNO DE KUSMAUL O AUMENTO DE LA PVC A LA INSPIRACIÓN (PATOGNOMONICO) • ACTIVIDAD ELECTRICA SIN PULSO (AEP) INJURGITACION YUGULAR • US TRANSTORÁCICO O ECO SI NO HAY CHOQUE DOPLER
  • 48.
    TAMPONADE EVALUACIÓN SONOGRÁFICA DIRIGIDA DETRAUMA (FAST) TRATAMIENTO PERICARDIOCENTESIS.
  • 49.
    TORACOTOMÍA PARA REANIMACIÓN LESIONESPENETRANTES DE TÓRAX CON ACTIVIDAD ELECTRICA SIN PULSO TORACOTOMÍA ANTERIOR IZQUIERDA
  • 50.
    OBJETIVOS 1. DRENAJE PERICARDICO(15 A 30 ml.) 2. CONTROL DE HEMORRAGIA 3. MASAJE A CIELO ABIERTO 4. PINZAR LA AORTA DESCENDENTE
  • 51.
    2 LESIONES QUE PONENEN PELIGRO LA VIDA EN FORMA MEDIATA O TARDÍA
  • 52.
    REVISIÓN SECUNDARIA: OBJETIVOS B. IDENTIFICAR E INICIAR EL TRATAMIENTO DE: 1. NEUMOTÓRAX SIMPLE 2. HEMOTÓRAX SIMPLE 3. CONTUSIÓN PULMONAR 4. RUPTURA TRAQUEOBRONQUIAL 5. LESIÓN CARDIACA POR TRAUMA CERRADO 6. RUPTURA TRAUMÁTICA DE LA AORTA 7. LESIÓN TRAUMÁTICA DEL DIAFRAGMA 8. LESIONES QUE ATRAVIEZAN EL MEDIASTINO
  • 54.
    9. Hernia pulmonar 10.Sangrado de pared torácica 11. Fractura escapular 12. Luxación escapulotorácica 13. Fractura de clavícula 14. Luxación esternoclavicular 15. Fractura de esternón 16. Fractura de 1a. Y 2a. Costillas 17. Fracturas costales
  • 55.
  • 57.
    HEMOTÓRAX SIMPLE Sangre enel espacio pleural. Origen: vasos intercostales pulmones vasos bronquiales vasos pulmonares grandes vasos.
  • 60.
  • 64.
    LESIONES DEL ARBOLTRAQUEOBRONQUIAL TRAUMA CERRADO FATALES 2-3CM DE LA CARINA MUERTE INSTANTANEA HEMOPTISIS ENFISEMA SUBCUTÁNEO NEUMOTÓRAX A TENSIÓN DESVIACIÓN DEL MEDIASTINO
  • 66.
  • 67.
  • 69.
    RUPTURA TRAUMÁTICA DELA AORTA RX DE TORAX: 1. ENSANCHAMIENTO DEL MEDIASTINO. 2. BORRAMIENTO DEL BOTON AORTICO. 3. DESVIACION DE TRAQUEA A LA DERECHA. 4. BORRAMIENTO DE LA VENTANA AORTOPULMONAR. 5. DEPRESIÓN DEL BRONQUIO IZQUIERDO. 6. DESVIAICIÓN DEL ESÓFAGO A LA DERECHA. 7. ENSANCHAMIENTO DE LA FRANJA PARATRAQUEAL. 8. ENSANCHAMIENTO DE LA INTERFASE PARAVERTEBRAL. 9. GORRO PLEURAL 10. HEMOTÓRAX IZQUIERDO. 11. FRACTURA DE 1A. O 2A. COSTILLAS O DEL OMOPLATO. AORTOGRAMA
  • 71.
  • 73.
    RUPTURA DIAFRAGMÁTICA  Contusiones severas del abdomen, aumento presión intraabdominal, contenido abdominal hacia cavidad torácica.  Hemidiafragma izquierdo  Extremadamente difícil de diagnosticar.  Molestias abdominales  Ruidos respiratorios disminuídos o ruidos intestinales en tórax  Abdomen: en batea o en vacío
  • 74.
    TRATAMIENTO  87% casos se resuelven mediante laparotomía  8% por toracotomía  5% procedimientos combinados. Contraste de vías digestivas en Tórax.
  • 75.
    3 LESIONES QUE NOPONEN EN PELIGRO LA VIDA
  • 78.
    1) ENFISEMA SUBCUTÁNEO 2)ASFIXIA POSTRAUMÁTICA O LESION POR APLASTAMIENTO 3) FRACTURAS COSTALES, ESTERNÓN Y ESCÁPULA 4) RUPTURA ESOFÁGICA 5) TRASLADO DE PACIENTES 6) PACIENTES QUE SERÁN OPERADOS 7) PACIENTES QUE REQUIEREN VENTILACION POSITIVA
  • 81.
    ? Cianosis craneofacial Edema facial Petequias Aspectomoribundo Inconciencia Confusión Hematuria Hemotímpano Epistaxis
  • 83.
    ASFIXIA TRAUMÁTICA Lesiones severascerradas o por aplastamiento del tórax y abdomen. Aumenta la presión intratorácica y fuerza la sangre al lado derecho del corazón, a las venas torácicas superiores y del cuello. La presión es transmitida a capilares del cerebro, cabeza y cuello. Distensión brusca de sangre estancada.
  • 84.
    Cianosis de cara y cuello.  Edema y hemorragia de las conjuntivas. Manejo Reconocer la entidad. Mantener vía aérea permeable. Cuidado de lesiones asociadas.
  • 85.