FAMILIA    HERPETOVIRIDAE
  Familia Herpetoviridae: ADN lineal doble cadena. Cápside icosaédrica. Tegumento fibroso asimétrico que conecta la cara interna de la envoltura con la cara externa de la cápside. Envoltura : trilaminar, con espículas y peplómeros. Mide 180 a 20nm.
Familia Herpetoviridae Capaces de producir infecciones latentes: reactivar meses a años despúes de la enfermedad aguda. Tropismo. Transformación?
Familia Herpetoviridae Inestables a T° ambiente. Rápida inactivación en solventes de lípidos. Transmisión por contacto íntimo: Contacto orogenital, sexual, saliva,contacto cutáneo mucoso directo,transfusiones, transplantes .
Clasificación : Infección de linfocitos. Latencia. Oncogenicidad. Virus de Epstein Barr Herpesvirus 8 Gamma herpesvirus Latencia, infeccio nes lentas, agrandamiento de células Citomegalovirus Herpes virus 6 y 7 Betaherpes virus Infección breve, destruye células, latencia en ganglios neurales sensoriales Herpesvirus tipo1,2 y Varicela Zoster Alfaherpes virus
Herpes simplex tipo 1 y 2 ADN lineal doble cadena. Distribución mundial. Contagio a traves de secreciones infectadas.; HSV-1 secreciones orales y HSV-2 secreciones genitales. Más frecuente en raza negra, solteros y con bajo nivel socioeconómico. Neonatal: de madres infectadas con lesiones activas genitales. Las recurrencias se desencadenan ante la luz solar, stress , inmudepresión, traumatismo local y menstruación.
 
PATOGENIA PRINCE : Unidad de infección:neurona ganglionar periférica, axón (célula de Schawn) y epitelio inervado. Adquisición del virus: Primoinfección. Latencia:  ADN circular extracromosomal en núcleo celular:  gen LATs: marcador de latencia.  No se detecta Ag ni virus, si ADN por PCR.
PATOGENIA 2: Reactivación con trasmisión : aum. de señales de latencia, aum. de mediadores químicos que aumentan la replicación . Señales aferentes que modifican la expresión del genoma. Fenómenos psiconeuroendócrinos asociados. En infección productiva se aisla en cultivo y se detecta antígenos.
Clínica: Primoinfección. Recurrencias. Lesiones mucocutáneas: orolabial, genital, perianal-anal. Esofagitis. Queratoconjuntivitis. Panadizo herpético. Complicaciones:  Meningitis aséptica. Encefalitis herpética. Herpes y embarazo
Lesiones de herpes genital y el virus herpes simple
Lesiones orolabiales del virus herpes simple tipo 1:
DIAGNÓSTICO: Directo : citológico: células gigantes multinucleadas(citodiagnóstico de Tzanck) Antígeno por IF en raspado de base de vesículas. Aislamiento en Hep-2, riñón de conejo ó humano. Identificación en shell vial +IF :más rápido y más sensible.  PCR. Indirecto :  seroconversión para IgG en 2 muestras pareads. IgM específica.
Citodiagnóstico de Tzanck
Primoinfección en embarazo (50% riesgo): transmite al recién nacido: por vía hemática: causa alteraciones severas del SNC, y vísceras, ó por canal de parto, diseminado en piel. En las  recurrencias  (madre infectada antes) los Ac. protegen al feto: poco riesgo (5%).
 
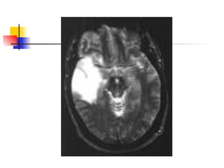
Encefalitis herpética 1era causa de encefalitis esporádica. Por primoinfección, por reactivación de infección latente,en el R.nacido por herpes II. Se ubica en lóbulos órbito-frontal y temporal (trigémino). Diagnóstico:  fiebre, trastornos de conciencia y/o conducta, signos focales de instalación rápida. LCR: pleocitosis, pred,linfocitario, glucosa normal.
Encefalitis herpética Cultivo + < 4% en adultos; 50% en neonatos. PCR + en LCR en 24 horas. EEG: espigas de alto voltyaje y ondas lentas. TAC negativa hjasta después del 5to día. RMN + a las 24 horas Biopsia de cerebro: Ag por IF, aislamiento por cultivo y PCR Tratamiento: ACICLOVIR
 
Citomegalovirus: Beta herpesvirus: Virus de la enfermedad por inclusión citomegálica. Latencia en células mononucleares y PMN. Trasmisión por tejidos y líquidos orgánicos. Elevada seroprevalencia mundial. Vías de infección: sexual, transfusional,pasaje por canal de parto, transplacentaria, amamntamiento, por fauces, transplante.
Manifestaciones clínicas: Infección congénita: 1% de los recién nacidos pueden nacer infectados. 5% de ellos tiene clínica compatible con Enfermedad Citomegálica: ictericia hepatoesplenomegalia,microcefalia y corriorretinitis. Secuelas: sordera, CI bajo.
 
Manifestaciones clínicas: Mononucleosis infecciosa (complicaciones: hepatitis, neumonía intersticial,miocarditis,etc.) CMV en inmunodeprimidos:hepatitis, neumonía,enfermedad del tracto intestinal,retinitis, compromiso del SNC.
Diagnóstico: Aislamiento del virus en secreciones orales,genitales ó en orina.(demora 1 a 3 semanas), aunque con el método del shell-vial se redujo a 48 hs. Búsqueda de Ac. por ELISA IgG e IgM específica en sangre del recién nacido. Búsqueda del  antígeno pp65  específico para CMV.
 
Virus Varicela-Zoster Alfaherpesvirus: acción directa: destrucción tisular por acción viral. Varicela: enfermedad endemoepidémica de la infancia (primoinfección).  El Herpes Zoster: reactivación. Patogenia: ingresa por vias respiratorias, se dirige a ganglios--- sangre--- otros órganos, piel: erupción maculopapulosa generalizada: vesícula.costra.
 
Varicela-Zoster Cara, tronco a extremidades:centrípeta. Invierno-primavera. Queda latente en células no neurales. Complicaciones: encefalitis, ataxia cerebelosa, neumonitis. Reactivación: Herpes Zoster: inmunodeprimidos. Mayores de 70 años: disemina a neuronas ganglionares, a nervio sensorial: erupción cutánea localizada dolorosa.
 
Diagnóstico Básicamente CLÍNICO IgM.Seroconversión. IFD, ELISA,Citodiagnóstico de Tzanck: en las lesiones (ante lesiones atípicas ó en inmunodeprimidos). PCR
Virus de Epstein -Barr Descubierto en estudios de Linfoma de Burkitt en África Oriental. Dos estados: latencia y replicación activa. EBNA : Ags que están presentes en la infección latente. EA : Ags tempranos:Ags que se expresan en la replicación activa (dos tipos, difusos uy restringidos). VCA  : Ags estructurales (de la cápside)  MA : los de la membrana nuclear.
Patogenia: Ingresa por vía oral, excretándose por secreciones orofaríngeas por meses. Afecta a Linfocitos B y las células epiteliales de la nasofaringe. Infección inaparente, excepto cuando es adolescente ó adulto el infectado, produciéndose la mononucleosis infecciosa.
Virus de Epstein -Barr En la 1era semana de la infección el 20% de los linfocitos B expresan EBNA, luego esa proporción disminuye.Esos linfocitos producen inmunoglobulinas IgA e IgG, así como IgM heterófilos. Compromiso de todo el sistema reticuloendotelial. Aparición de linfocitos atípicos en la 1era a 4ta semana.
Virus de Epstein -Barr El virus queda latente en LB: capacidad de inducir transformación!! 90% de la biopsias de Linfoma de Burkitt detectan ADN viral del VEB (en área endémica). Involucrado en neumonitis intersticial difusa ,el síndrome de fatiga crónica y causante de la leucoplasia oral vellosa.
 
Virus de Epstein –Barr: Diagnóstico: Detección de Ac. Séricos dirigidos contra los difernetes antígenos virales. Detección de Ac. Heterófilos (reacción de Paul-Bunnell). Técnicas de aislamiento en cultivo: laborioso y no de rutina.
Otros Herpesvirus: SK Linfoma ? Enferm.de Castleman? Sarkoma de Kaposi Linfadenopatías + rash Símil mononucleosis Herpes virus humano 8 LTCD4 Roseóla infantil Herpes virus humano 7 Linfomas de células B ? LCD4 Neumonitis Roseóla infantil Fiebre, otitis ½ Encefalitis Herpes virus humano 6 Asociación a cánceres humanos Estado de latencia Infección en el inmunoderpimido Infección recurrente Infección típica 1° virus

Virus Herpesvirus

  • 1.
    FAMILIA HERPETOVIRIDAE
  • 2.
    FamiliaHerpetoviridae: ADN lineal doble cadena. Cápside icosaédrica. Tegumento fibroso asimétrico que conecta la cara interna de la envoltura con la cara externa de la cápside. Envoltura : trilaminar, con espículas y peplómeros. Mide 180 a 20nm.
  • 3.
    Familia Herpetoviridae Capacesde producir infecciones latentes: reactivar meses a años despúes de la enfermedad aguda. Tropismo. Transformación?
  • 4.
    Familia Herpetoviridae Inestablesa T° ambiente. Rápida inactivación en solventes de lípidos. Transmisión por contacto íntimo: Contacto orogenital, sexual, saliva,contacto cutáneo mucoso directo,transfusiones, transplantes .
  • 5.
    Clasificación : Infecciónde linfocitos. Latencia. Oncogenicidad. Virus de Epstein Barr Herpesvirus 8 Gamma herpesvirus Latencia, infeccio nes lentas, agrandamiento de células Citomegalovirus Herpes virus 6 y 7 Betaherpes virus Infección breve, destruye células, latencia en ganglios neurales sensoriales Herpesvirus tipo1,2 y Varicela Zoster Alfaherpes virus
  • 6.
    Herpes simplex tipo1 y 2 ADN lineal doble cadena. Distribución mundial. Contagio a traves de secreciones infectadas.; HSV-1 secreciones orales y HSV-2 secreciones genitales. Más frecuente en raza negra, solteros y con bajo nivel socioeconómico. Neonatal: de madres infectadas con lesiones activas genitales. Las recurrencias se desencadenan ante la luz solar, stress , inmudepresión, traumatismo local y menstruación.
  • 7.
  • 8.
    PATOGENIA PRINCE :Unidad de infección:neurona ganglionar periférica, axón (célula de Schawn) y epitelio inervado. Adquisición del virus: Primoinfección. Latencia: ADN circular extracromosomal en núcleo celular: gen LATs: marcador de latencia. No se detecta Ag ni virus, si ADN por PCR.
  • 9.
    PATOGENIA 2: Reactivacióncon trasmisión : aum. de señales de latencia, aum. de mediadores químicos que aumentan la replicación . Señales aferentes que modifican la expresión del genoma. Fenómenos psiconeuroendócrinos asociados. En infección productiva se aisla en cultivo y se detecta antígenos.
  • 10.
    Clínica: Primoinfección. Recurrencias.Lesiones mucocutáneas: orolabial, genital, perianal-anal. Esofagitis. Queratoconjuntivitis. Panadizo herpético. Complicaciones: Meningitis aséptica. Encefalitis herpética. Herpes y embarazo
  • 11.
    Lesiones de herpesgenital y el virus herpes simple
  • 12.
    Lesiones orolabiales delvirus herpes simple tipo 1:
  • 13.
    DIAGNÓSTICO: Directo :citológico: células gigantes multinucleadas(citodiagnóstico de Tzanck) Antígeno por IF en raspado de base de vesículas. Aislamiento en Hep-2, riñón de conejo ó humano. Identificación en shell vial +IF :más rápido y más sensible. PCR. Indirecto : seroconversión para IgG en 2 muestras pareads. IgM específica.
  • 14.
  • 15.
    Primoinfección en embarazo(50% riesgo): transmite al recién nacido: por vía hemática: causa alteraciones severas del SNC, y vísceras, ó por canal de parto, diseminado en piel. En las recurrencias (madre infectada antes) los Ac. protegen al feto: poco riesgo (5%).
  • 16.
  • 17.
    Encefalitis herpética 1eracausa de encefalitis esporádica. Por primoinfección, por reactivación de infección latente,en el R.nacido por herpes II. Se ubica en lóbulos órbito-frontal y temporal (trigémino). Diagnóstico: fiebre, trastornos de conciencia y/o conducta, signos focales de instalación rápida. LCR: pleocitosis, pred,linfocitario, glucosa normal.
  • 18.
    Encefalitis herpética Cultivo+ < 4% en adultos; 50% en neonatos. PCR + en LCR en 24 horas. EEG: espigas de alto voltyaje y ondas lentas. TAC negativa hjasta después del 5to día. RMN + a las 24 horas Biopsia de cerebro: Ag por IF, aislamiento por cultivo y PCR Tratamiento: ACICLOVIR
  • 19.
  • 20.
    Citomegalovirus: Beta herpesvirus:Virus de la enfermedad por inclusión citomegálica. Latencia en células mononucleares y PMN. Trasmisión por tejidos y líquidos orgánicos. Elevada seroprevalencia mundial. Vías de infección: sexual, transfusional,pasaje por canal de parto, transplacentaria, amamntamiento, por fauces, transplante.
  • 21.
    Manifestaciones clínicas: Infeccióncongénita: 1% de los recién nacidos pueden nacer infectados. 5% de ellos tiene clínica compatible con Enfermedad Citomegálica: ictericia hepatoesplenomegalia,microcefalia y corriorretinitis. Secuelas: sordera, CI bajo.
  • 22.
  • 23.
    Manifestaciones clínicas: Mononucleosisinfecciosa (complicaciones: hepatitis, neumonía intersticial,miocarditis,etc.) CMV en inmunodeprimidos:hepatitis, neumonía,enfermedad del tracto intestinal,retinitis, compromiso del SNC.
  • 24.
    Diagnóstico: Aislamiento delvirus en secreciones orales,genitales ó en orina.(demora 1 a 3 semanas), aunque con el método del shell-vial se redujo a 48 hs. Búsqueda de Ac. por ELISA IgG e IgM específica en sangre del recién nacido. Búsqueda del antígeno pp65 específico para CMV.
  • 25.
  • 26.
    Virus Varicela-Zoster Alfaherpesvirus:acción directa: destrucción tisular por acción viral. Varicela: enfermedad endemoepidémica de la infancia (primoinfección). El Herpes Zoster: reactivación. Patogenia: ingresa por vias respiratorias, se dirige a ganglios--- sangre--- otros órganos, piel: erupción maculopapulosa generalizada: vesícula.costra.
  • 27.
  • 28.
    Varicela-Zoster Cara, troncoa extremidades:centrípeta. Invierno-primavera. Queda latente en células no neurales. Complicaciones: encefalitis, ataxia cerebelosa, neumonitis. Reactivación: Herpes Zoster: inmunodeprimidos. Mayores de 70 años: disemina a neuronas ganglionares, a nervio sensorial: erupción cutánea localizada dolorosa.
  • 29.
  • 30.
    Diagnóstico Básicamente CLÍNICOIgM.Seroconversión. IFD, ELISA,Citodiagnóstico de Tzanck: en las lesiones (ante lesiones atípicas ó en inmunodeprimidos). PCR
  • 31.
    Virus de Epstein-Barr Descubierto en estudios de Linfoma de Burkitt en África Oriental. Dos estados: latencia y replicación activa. EBNA : Ags que están presentes en la infección latente. EA : Ags tempranos:Ags que se expresan en la replicación activa (dos tipos, difusos uy restringidos). VCA : Ags estructurales (de la cápside) MA : los de la membrana nuclear.
  • 32.
    Patogenia: Ingresa porvía oral, excretándose por secreciones orofaríngeas por meses. Afecta a Linfocitos B y las células epiteliales de la nasofaringe. Infección inaparente, excepto cuando es adolescente ó adulto el infectado, produciéndose la mononucleosis infecciosa.
  • 33.
    Virus de Epstein-Barr En la 1era semana de la infección el 20% de los linfocitos B expresan EBNA, luego esa proporción disminuye.Esos linfocitos producen inmunoglobulinas IgA e IgG, así como IgM heterófilos. Compromiso de todo el sistema reticuloendotelial. Aparición de linfocitos atípicos en la 1era a 4ta semana.
  • 34.
    Virus de Epstein-Barr El virus queda latente en LB: capacidad de inducir transformación!! 90% de la biopsias de Linfoma de Burkitt detectan ADN viral del VEB (en área endémica). Involucrado en neumonitis intersticial difusa ,el síndrome de fatiga crónica y causante de la leucoplasia oral vellosa.
  • 35.
  • 36.
    Virus de Epstein–Barr: Diagnóstico: Detección de Ac. Séricos dirigidos contra los difernetes antígenos virales. Detección de Ac. Heterófilos (reacción de Paul-Bunnell). Técnicas de aislamiento en cultivo: laborioso y no de rutina.
  • 37.
    Otros Herpesvirus: SKLinfoma ? Enferm.de Castleman? Sarkoma de Kaposi Linfadenopatías + rash Símil mononucleosis Herpes virus humano 8 LTCD4 Roseóla infantil Herpes virus humano 7 Linfomas de células B ? LCD4 Neumonitis Roseóla infantil Fiebre, otitis ½ Encefalitis Herpes virus humano 6 Asociación a cánceres humanos Estado de latencia Infección en el inmunoderpimido Infección recurrente Infección típica 1° virus