Universidad de Cuenca
facultad de Odontología
Ortodoncia.
Tema: Sistema 4x2
Od. Giuseppe Reyes.
Que es?
Es un tratamiento interceptivo
ortodoncico fijo que se realiza en edades
tempranas para resolver problemas
comunes que se presentan en estos
pacientes. Es una alternativa a la
ortopedia. Consiste en colocar 4 brackets
anteriores y 2 tubos en el sector
posterior
3 de las condiciones mas comunes
referidas al especialista en ortodoncia
para tratamientos temprano son:
Mordida cruzada anterior.
Mordida cruzada posterior.
Incisivos impactados.
El tiempo del tratamiento ortodoncico ha sido objeto de debate durante
muchos años, este y otros aspectos han sido ampliamente investigados :
• Efectividad clínica.
• Beneficio psicológicos
• Influencias en los resultados y duración del tratamiento
• Efectividad del costo.
Dichas investigaciones abarcaron también en el
tiempo de la corrección de las mordidas cruzadas y
el impacto de un diente anterior faltante.
Dr. Larry White dijo que las mordidas
cruzadas posteriores deben ser
tratadas a tiempo por función , del
mismo modo las cruzadas anteriores
por estética.
Ninou y Stephens dijeron
que las mordidas cruzadas
con un desplazamiento
funcional deben ser
tratadas y que el uso de
aparatología fija maxilar es
su alternativa a eleccion
Dr. Gu. Encontro que en un
grupo de 17 pacientes con
mordida cruzada anterior,
el tiempo de tratamiento
duro en promedio 8 ½
meses usando el sistema
4x2, agrego que no
encontró recidiva luego de
un año.
La evidencia parece sugerir
que un tratamiento corto
ortodoncico en la dentición
mixta puede mejorar la
funcionabilidad y estética ,
reduce el bullying y
permanece relativamente
estable una vez retirada la
aparatología.
Consideraciones para la corrección de la mordida
cruzada anterior.
Que es?
Una mordida cruzada
anterior implica uno o mas
incisivos superiores en
linguo versión.
La mordida cruzada que
involucre uno o dos dientes es
frecuente encontrarla en
pacientes armónicos debido a la
falta de espacio para los dientes
permanentes
Los pacientes que presenten una
mordida cruzada anterior
incluyendo los 4 incisivos es
debido a un patrón esquelético de
CIII
Es prudente advertir a los padres
sobre un posible desfavorable
crecimiento y la necesidad de
una cirugía a futuro
Factores a considerar:
• Presencia o ausencia de un desplazamiento anterior mandibular.
• Posible daño que pudo haber ocurrido en la dentición por excesivo
desgaste o daños en los tejidos periodontales.
• Prevencion del establecimiento del desarrollo de la maloclusion.
• Disponibilidad de espacio.
• La posición de los caninos permanentes.
• La profundidad del overbite.
La corrección de la mordida
cruzada anterior se puede
conseguir con aparatos
removibles siempre y cuando los
movimientos sean solo de tipping
De requerirse movimientos en
cuerpo d elos dientes es
preferible utilizar el sistema 4x2
En casos con dientes rotados la
mejor opción será también el uso
de este tipo de tratamiento.
Consideraciones para la corrección de la mordida
cruzada posterior.
• Mordida cruzada posterior unilateral.
• Mordida cruzada posterior bilateral
• Mordida en tijera.
Lo mas importante es la consideración de la etiología ,
es decir un buen diagnostico.
• La magnitud : involucra un solo
diente o todo el segmento
• Que tan significante es el
componente esquelético ,
podremos compensarlo con
movimientos ortodoncicos.
Consideraciones para los
incisivos impactados.
Es un problema que debe ser tratado en
edades tempranas , ya que puede causar un
factor psicológico no muy bueno para el niño
en crecimiento.
La incidencia no es bien conocida , pero la
literatura nos indica de un estimado del 2,6%
de una población referida.
Las causas en la falla de la
erupcion incluyen:
• Historia de trauma previo.
• Extracción temprana de los dientes
deciduos permitiendo el cierre del
espacio para el permanente y la
formación de encía fibrosa.
• Diente deciduo retenido.
• Supernumerario.
• Odontomas.
Ventajas de los
aparatos fijos.
• Minimo disconfort
• Reduce la necesidad de la colaboración del
paciente.
• Incrementa el control de los movimientos dentales.
• Los movimientos son posibles en los tres planos del
espacio.
Desventajas de los
aparatos removibles.
• La aparatologíaes raramente usada el tiempo
necesario.
• Los dispositivos se dañan o pierden.
• Dificultad en el habla y deglución.
• Gingivitis, infecciones por hingos, hiperplasia
palatina.
• Incorrecta activación.
• Permiten solo el tipping de los dientes.
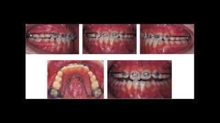
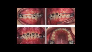
Casos clínicos
4x2
4x2
4x2
4x2
4x2
4x2
4x2
4x2
4x2
4x2

4x2

  • 1.
    Universidad de Cuenca facultadde Odontología Ortodoncia. Tema: Sistema 4x2 Od. Giuseppe Reyes.
  • 3.
    Que es? Es untratamiento interceptivo ortodoncico fijo que se realiza en edades tempranas para resolver problemas comunes que se presentan en estos pacientes. Es una alternativa a la ortopedia. Consiste en colocar 4 brackets anteriores y 2 tubos en el sector posterior
  • 4.
    3 de lascondiciones mas comunes referidas al especialista en ortodoncia para tratamientos temprano son: Mordida cruzada anterior.
  • 5.
  • 6.
    El tiempo deltratamiento ortodoncico ha sido objeto de debate durante muchos años, este y otros aspectos han sido ampliamente investigados : • Efectividad clínica. • Beneficio psicológicos • Influencias en los resultados y duración del tratamiento • Efectividad del costo.
  • 7.
    Dichas investigaciones abarcarontambién en el tiempo de la corrección de las mordidas cruzadas y el impacto de un diente anterior faltante. Dr. Larry White dijo que las mordidas cruzadas posteriores deben ser tratadas a tiempo por función , del mismo modo las cruzadas anteriores por estética.
  • 8.
    Ninou y Stephensdijeron que las mordidas cruzadas con un desplazamiento funcional deben ser tratadas y que el uso de aparatología fija maxilar es su alternativa a eleccion Dr. Gu. Encontro que en un grupo de 17 pacientes con mordida cruzada anterior, el tiempo de tratamiento duro en promedio 8 ½ meses usando el sistema 4x2, agrego que no encontró recidiva luego de un año.
  • 9.
    La evidencia parecesugerir que un tratamiento corto ortodoncico en la dentición mixta puede mejorar la funcionabilidad y estética , reduce el bullying y permanece relativamente estable una vez retirada la aparatología.
  • 10.
    Consideraciones para lacorrección de la mordida cruzada anterior.
  • 11.
    Que es? Una mordidacruzada anterior implica uno o mas incisivos superiores en linguo versión. La mordida cruzada que involucre uno o dos dientes es frecuente encontrarla en pacientes armónicos debido a la falta de espacio para los dientes permanentes
  • 12.
    Los pacientes quepresenten una mordida cruzada anterior incluyendo los 4 incisivos es debido a un patrón esquelético de CIII Es prudente advertir a los padres sobre un posible desfavorable crecimiento y la necesidad de una cirugía a futuro
  • 13.
    Factores a considerar: •Presencia o ausencia de un desplazamiento anterior mandibular. • Posible daño que pudo haber ocurrido en la dentición por excesivo desgaste o daños en los tejidos periodontales. • Prevencion del establecimiento del desarrollo de la maloclusion. • Disponibilidad de espacio. • La posición de los caninos permanentes. • La profundidad del overbite.
  • 14.
    La corrección dela mordida cruzada anterior se puede conseguir con aparatos removibles siempre y cuando los movimientos sean solo de tipping De requerirse movimientos en cuerpo d elos dientes es preferible utilizar el sistema 4x2 En casos con dientes rotados la mejor opción será también el uso de este tipo de tratamiento.
  • 15.
    Consideraciones para lacorrección de la mordida cruzada posterior. • Mordida cruzada posterior unilateral. • Mordida cruzada posterior bilateral • Mordida en tijera.
  • 16.
    Lo mas importantees la consideración de la etiología , es decir un buen diagnostico. • La magnitud : involucra un solo diente o todo el segmento • Que tan significante es el componente esquelético , podremos compensarlo con movimientos ortodoncicos.
  • 17.
    Consideraciones para los incisivosimpactados. Es un problema que debe ser tratado en edades tempranas , ya que puede causar un factor psicológico no muy bueno para el niño en crecimiento. La incidencia no es bien conocida , pero la literatura nos indica de un estimado del 2,6% de una población referida.
  • 18.
    Las causas enla falla de la erupcion incluyen: • Historia de trauma previo. • Extracción temprana de los dientes deciduos permitiendo el cierre del espacio para el permanente y la formación de encía fibrosa. • Diente deciduo retenido. • Supernumerario. • Odontomas.
  • 19.
    Ventajas de los aparatosfijos. • Minimo disconfort • Reduce la necesidad de la colaboración del paciente. • Incrementa el control de los movimientos dentales. • Los movimientos son posibles en los tres planos del espacio.
  • 20.
    Desventajas de los aparatosremovibles. • La aparatologíaes raramente usada el tiempo necesario. • Los dispositivos se dañan o pierden. • Dificultad en el habla y deglución. • Gingivitis, infecciones por hingos, hiperplasia palatina. • Incorrecta activación. • Permiten solo el tipping de los dientes.
  • 21.