Manifestaciones Radiológicas
de la Coccidioidomicosis
Dr. Max Joao Martínez Utrera
Médico Radiólogo
maxjoao@hotmail.com
CASO CLINICO 1
• MA
• Edad: 32 años.
• AHF: Padre hipertenso..
• APNP: Originario de Veracruz, actualmente radica en Chihuahua, de regulares
hábitos higiénicos, habitación con todos los servicios, escolaridad secundaria.
• APP: Asma bronquial de 7 años de diagnostico tratada con
broncodilatadores(salbutamol).
HISTORIA CLINICA
• Paciente referido del Hospital Militar Regional de Chihuahua con
evolución de 7 años con disnea de grandes esfuerzos, sibilancias
nocturnas, exacerbado en los últimos 2 meses, sin mejoría al
tratamiento.
• En radiografía de tórax se evidencia nódulo pulmonar izquierdo.
• Se envía para certificación.
PADECIMIENTO ACTUAL
• SIGNOS VITALES:
• FC: 65 lpm, FR 20 rpm, TA 110/72 mmHg, Temperatura 36
grados.
• Tórax con cinética conservada a la auscultación con
sibilancias en ambos campos pulmonares, ruidos cardiacos
rítmicos sincrónicos.
• Resto de exploración normal.
Exploración física
• BH: Leucocitos 8700, Hb 15.8, Plaquetas de 32200.
• QS: Glucosa 92mg/dl, creat 0.9.
• EGO: normal.
• ESPIROMETRIA: 28-06-11
• Obstrucción moderada y de baja capacidad vital, posible
restricción del volumen pulmonar.
Estudios de laboratorio y
GABINETE
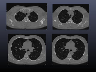
Tc torax 28-06-2011
Tc torax 28-06-2011
Tc torax 28-06-2011
Tc torax 28-06-2011
• CONCLUSION TOMOGRAFICA:
• Nódulo pulmonar cavitado en el segmento 4 izquierdo con
afección de parénquima adyacente, lo cual como primera
posibilidad corresponde a Tuberculosis y diagnostico
diferencial de Coccidiodiomicosis.
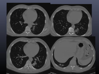
Tc torax 28-06-2011
• Sesión conjunta de cirugía cardiotorácica y Neumología 30-
julio-2011: procedimiento quirúrgico.
• Toracotomía exploradora mas toma de biopsia 08-07-2011.
Evolución
• Numero:Q 5529-11:
• Parénquima pulmonar con extensa inflamación crónica
granulomatosa, con necrosis central caseificante y
cavitación. La tinción de PAS con diastasa demostró la
presencia de aisladas formas esferuloides, algunas de
ellas con esporas compatibles con Coccidioidomicosis.
Reporte HISTOPATOLOGICO
Caso 2
ANTECEDENTES
• Originario de Ver., radica en Torreón.
• Niega alergias, niega convivencia con mascotas.
• Tabaquismo positivo 5 cigarrillos al día por 20 años
suspendido hace 13. alcoholismo social.
• Niega enfermedades crónicas y cirugías.
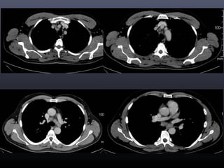
TELE DE TORAX
TC TORAX 10-08-2013
• MASA PULMONAR EN SEGMENTO
POSTEROBASAL CON MULTIPLES
NODULOS DE DISTRIBUCION ALEATORIA
QUE COMO PRIMERA POSIBILDAD
CORRESPONDE CON PROCESO
NEOPLASICO CON ADENOPATIAS
MEDIASTINALES
• Se decide su ingreso para estudios de extensión.
• Refiere tres episodios de febrícula en el ultimo mes,
manejado como IVAS, con tratamiento antibiótico
(levofloxacino)
• Exploración física normal.
• Saturación O2: 94% al aire ambiente
DIAGNOSTICO DE INGRESO
• ENFERMEDAD PULMONAR
MULTINODULAR CAVITADA A DESCARTAR
ENFERMEDAD INFECCIOSA VS CA
PULMONAR O METASTASIS DE PRIMARIO
NO CONOCIDO.
Broncoscopia 12-08-2013
• Segmentos y subsegmentos permeables al 100%.
• Sin lesiones macroscópicas sugestivas de
vascularidad.
• Se toman biopsias transbronquiales del lóbulo
inferior izq.
RESULTADOS DE ESTUDIOS• Biopsia negativa para malignidad.
• PCR negativa.
• Marcadores tumorales negativos
• Tinciones con cocos Gramm positivos.
• Cultivos negativos.
• Basciloscopia seriada: negativo.
• KOH presencia de esferulas y endosporas.
TRATAMIENTO
• CEFTRIAXONA 1 gr. Cada 12 horas por 7 días.
• FLUCONAZOL 200mg VO cada 12 hrs por un
mes.
• TC DE TORAX del 9-SEPT-2013
• Desaparición de la mayoría de los nódulos
pulmonares visibles en estudio previo.
DIAGNOSTICO FINAL
• COCCIDIODOMICOSIS RESUELTA
• PLAN DE MANEJO:
TC DE TORAX EN UN AÑO PARA VALORACION POR EL
SERVICIO DE NEUMOLOGIA.
Coccidioidomicosi
s
Revisión
Coccidioidomicosis
• “Fiebre del Valle de San
Joaquín”
• Coahuila, México.
• Hongos Dimorfos
Coccidioides immitis y
Coccidioides posadasii.
Rev Med Inst Mex Seguro Soc 2010; 48 (4):447-452
Rev Med Inst Mex Seguro Soc 2010; 48 (4):447-452
Etiopatogenia
Historia Natural de la Enfermedad
Infección
Inicial
•Neumonitis que progresa
por contigüidad y luego
invade los ganglios linfáticos
hiliares e traqueobronquiales
•Fungemia.
Respuesta Humoral
IL2, IL12, INF-gamma
Formación de Granulomas
Progresión
IL4, IL10
Aumento de IgE y eosinofilia
Granulomas laxos e ineficientes
Med Cutan Iber Lat Am 2010; 38 (5): 179-188
Factores de Riesgo
• Inmunosupresión.
• Deficiencia de la inmunidad celular.
• Deficiencia de la inmunidad humoral.
• Malignidad.
• Embarazo (1er. Trimestre)
Med Cutan Iber Lat Am 2010; 38 (5): 179-188
Manifestaciones Clínicas
• Primoinfección pulmonar asintomática o subclínica
• Primoinfección sintomática, secuelas de la
primoinfección pulmonar.
• Neumopatía persistente
• Coccidioidomicosis pulmonar crónica excavada
• Coccidioidomicosis diseminada subaguda o crónica.
Med Cutan Iber Lat Am 2010; 38 (5): 179-188
Manifestaciones Clínicas
• Primoinfección pulmonar asintomática o subclínica
– 60% de los infectados
Med Cutan Iber Lat Am 2010; 38 (5): 179-188
Manifestaciones Clínicas
• Primoinfección sintomática, secuelas de la
primoinfección pulmonar.
– Manifestaciones de gripa o neumonía.
– Dolor torácico.
– Rash toxico.
• Eritema nudoso.
• Eritema polimorfo.
– Poliartropatia inflamatoria.
Med Cutan Iber Lat Am 2010; 38 (5): 179-188
Manifestaciones Clínicas
• Neumopatía persistente
– Persistencia por mas de 6 semanas.
– Infiltrados focales o reticulonodulillares.
– Diseminación Respiratoria.
– Insuficiencia respiratoria aguda del Adulto.
Med Cutan Iber Lat Am 2010; 38 (5): 179-188
Manifestaciones Clínicas
• Coccidioidomicosis pulmonar crónica excavada
– Coexistencia con patologías pulmonares previas en especial
EPOC.
– Evolución durante años.
Med Cutan Iber Lat Am 2010; 38 (5): 179-188
Manifestaciones Clínicas
• Coccidioidomicosis diseminada subaguda o crónica.
– Deficiencia de la inmunidad celular.
– Inmunosupresión.
– Afección cutánea, Ganglionar, óseo y del Sistema Nervioso
Central.
Med Cutan Iber Lat Am 2010; 38 (5): 179-188
Manifestaciones Radiológicas
•Clave Diagnóstica:
– Infiltrado denso, Consolidación de predominio en
lóbulos superiores.
– Adenopatías Hiliares o mediastinales.
Neil M. Ampel M.D. Pulmonary Coccidioidomycosis, University of Arizona, Nov 2011.
Patrones pulmonares
Neil M. Ampel M.D. Pulmonary Coccidioidomycosis, University of Arizona, Nov 2011.
ENERO 2008 JUNIO 2008
Consolidaciones
Patrones Pulmonares
Patrón Miliar
Neil M. Ampel M.D. Pulmonary Coccidioidomycosis, University of Arizona, Nov 2011.
Patrones Pulmonares
Patrón Reticular nodular
Maffessanti M, Dalpiaz G. Diffuse Lung Diseases
Patrones Pulmonares
Patrón Reticular lineal
Maffessanti M, Dalpiaz G. Diffuse Lung Diseases
Patrones Pulmonares
Patrón Nodular
Maffessanti M, Dalpiaz G. Diffuse Lung Diseases
Diagnósticos Diferenciales
Neumonía Bacteriana Neumonía por micobacterias Tuberculosis
Complicaciones
Neil M. Ampel M.D. Pulmonary Coccidioidomycosis, University of Arizona, Nov 2011.
1 Octubre 2008 10 Octubre 2008 30 Octubre 2008
Nódulos:
•Resolución del infiltrado pulmonar inicial.
•Curso Benigno
•Cavitarse
•Resolución en 1-5 años.
PET/ CT
Neil M. Ampel M.D. Pulmonary Coccidioidomycosis, University of Arizona, Nov 2011.
Seguimiento de los nódulos
• No fumadores
• Serologías
positivas a
coccidioidomicosis
Observación
Rx Tórax cada 3 meses
Biopsia
• Fumadores
• No positivos en
serologías a
Coccidioidomicosis
Neil M. Ampel M.D. Pulmonary Coccidioidomycosis, University of Arizona, Nov 2011.
Cavitaciones
• Previamente lesiones
nodulares
• Pueden ser sintomáticos o
asintomáticos
• Síntomas
– Tos
– Hemoptisis
– Dolor pleurítico
– Cultivos de esputo positivos
• Menos probable de
involucionar si >4cm o
persiste por 2 años.
Neil M. Ampel M.D. Pulmonary Coccidioidomycosis, University of Arizona, Nov 2011.
Cavitaciones
• Considerar terapia Médica si:
– Tos persistente.
– Hemoptisis.
– Dolor pleurítico.
• Considerar infección si:
– Hay niveles hidroaereos.
– Sintomatología Clínica.
• Considerar Tratamiento Quirúrgico si:
– No hay involución en 1-2 años
– Eje mayor >4cm.
Neil M. Ampel M.D. Pulmonary Coccidioidomycosis, University of Arizona, Nov 2011.
Cavitaciones
• Considerar Terapia
endovascular:
– Hemoptisis masiva (300-
600ml/24hrs.
– Signos Angiograficos:
• Hipertrofia y/o tortuosidad de las arterias
bronquiales
• Aneurismas (Rasmussen´s).
– Tasa de Éxito 77-94%
– Complicaciones:
• Oclusion de la arteria espinal anterior
January K Lopez MD. Hsin Yi Lee MD. Bronchial Artery Embolization for treatment of life Threatening Hemoptysis. Seminars of
interventional radiology 23-3, 2006
Conclusiones
• Diagnóstico Radiológico en la etapa clinica “Neumopatia
persistente”.
• Identificar Patrones Radiológicos de afección pulmonar .
– Consolidación
– Reticulonodular
– Miliar
• Complicaciones.
• Cronicidad.

Manifestaciones Radiológicas de la Coccidiodiomicosis

  • 1.
    Manifestaciones Radiológicas de laCoccidioidomicosis Dr. Max Joao Martínez Utrera Médico Radiólogo maxjoao@hotmail.com
  • 2.
  • 3.
    • MA • Edad:32 años. • AHF: Padre hipertenso.. • APNP: Originario de Veracruz, actualmente radica en Chihuahua, de regulares hábitos higiénicos, habitación con todos los servicios, escolaridad secundaria. • APP: Asma bronquial de 7 años de diagnostico tratada con broncodilatadores(salbutamol). HISTORIA CLINICA
  • 4.
    • Paciente referidodel Hospital Militar Regional de Chihuahua con evolución de 7 años con disnea de grandes esfuerzos, sibilancias nocturnas, exacerbado en los últimos 2 meses, sin mejoría al tratamiento. • En radiografía de tórax se evidencia nódulo pulmonar izquierdo. • Se envía para certificación. PADECIMIENTO ACTUAL
  • 5.
    • SIGNOS VITALES: •FC: 65 lpm, FR 20 rpm, TA 110/72 mmHg, Temperatura 36 grados. • Tórax con cinética conservada a la auscultación con sibilancias en ambos campos pulmonares, ruidos cardiacos rítmicos sincrónicos. • Resto de exploración normal. Exploración física
  • 6.
    • BH: Leucocitos8700, Hb 15.8, Plaquetas de 32200. • QS: Glucosa 92mg/dl, creat 0.9. • EGO: normal. • ESPIROMETRIA: 28-06-11 • Obstrucción moderada y de baja capacidad vital, posible restricción del volumen pulmonar. Estudios de laboratorio y GABINETE
  • 7.
  • 8.
  • 9.
  • 10.
  • 11.
    • CONCLUSION TOMOGRAFICA: •Nódulo pulmonar cavitado en el segmento 4 izquierdo con afección de parénquima adyacente, lo cual como primera posibilidad corresponde a Tuberculosis y diagnostico diferencial de Coccidiodiomicosis. Tc torax 28-06-2011
  • 12.
    • Sesión conjuntade cirugía cardiotorácica y Neumología 30- julio-2011: procedimiento quirúrgico. • Toracotomía exploradora mas toma de biopsia 08-07-2011. Evolución
  • 13.
    • Numero:Q 5529-11: •Parénquima pulmonar con extensa inflamación crónica granulomatosa, con necrosis central caseificante y cavitación. La tinción de PAS con diastasa demostró la presencia de aisladas formas esferuloides, algunas de ellas con esporas compatibles con Coccidioidomicosis. Reporte HISTOPATOLOGICO
  • 14.
  • 15.
    ANTECEDENTES • Originario deVer., radica en Torreón. • Niega alergias, niega convivencia con mascotas. • Tabaquismo positivo 5 cigarrillos al día por 20 años suspendido hace 13. alcoholismo social. • Niega enfermedades crónicas y cirugías.
  • 16.
  • 17.
  • 20.
    • MASA PULMONAREN SEGMENTO POSTEROBASAL CON MULTIPLES NODULOS DE DISTRIBUCION ALEATORIA QUE COMO PRIMERA POSIBILDAD CORRESPONDE CON PROCESO NEOPLASICO CON ADENOPATIAS MEDIASTINALES
  • 21.
    • Se decidesu ingreso para estudios de extensión. • Refiere tres episodios de febrícula en el ultimo mes, manejado como IVAS, con tratamiento antibiótico (levofloxacino) • Exploración física normal. • Saturación O2: 94% al aire ambiente
  • 22.
    DIAGNOSTICO DE INGRESO •ENFERMEDAD PULMONAR MULTINODULAR CAVITADA A DESCARTAR ENFERMEDAD INFECCIOSA VS CA PULMONAR O METASTASIS DE PRIMARIO NO CONOCIDO.
  • 23.
    Broncoscopia 12-08-2013 • Segmentosy subsegmentos permeables al 100%. • Sin lesiones macroscópicas sugestivas de vascularidad. • Se toman biopsias transbronquiales del lóbulo inferior izq.
  • 24.
    RESULTADOS DE ESTUDIOS•Biopsia negativa para malignidad. • PCR negativa. • Marcadores tumorales negativos • Tinciones con cocos Gramm positivos. • Cultivos negativos. • Basciloscopia seriada: negativo. • KOH presencia de esferulas y endosporas.
  • 25.
    TRATAMIENTO • CEFTRIAXONA 1gr. Cada 12 horas por 7 días. • FLUCONAZOL 200mg VO cada 12 hrs por un mes.
  • 26.
    • TC DETORAX del 9-SEPT-2013 • Desaparición de la mayoría de los nódulos pulmonares visibles en estudio previo.
  • 27.
    DIAGNOSTICO FINAL • COCCIDIODOMICOSISRESUELTA • PLAN DE MANEJO: TC DE TORAX EN UN AÑO PARA VALORACION POR EL SERVICIO DE NEUMOLOGIA.
  • 28.
  • 29.
    Coccidioidomicosis • “Fiebre delValle de San Joaquín” • Coahuila, México. • Hongos Dimorfos Coccidioides immitis y Coccidioides posadasii. Rev Med Inst Mex Seguro Soc 2010; 48 (4):447-452
  • 30.
    Rev Med InstMex Seguro Soc 2010; 48 (4):447-452 Etiopatogenia
  • 31.
    Historia Natural dela Enfermedad Infección Inicial •Neumonitis que progresa por contigüidad y luego invade los ganglios linfáticos hiliares e traqueobronquiales •Fungemia. Respuesta Humoral IL2, IL12, INF-gamma Formación de Granulomas Progresión IL4, IL10 Aumento de IgE y eosinofilia Granulomas laxos e ineficientes Med Cutan Iber Lat Am 2010; 38 (5): 179-188
  • 32.
    Factores de Riesgo •Inmunosupresión. • Deficiencia de la inmunidad celular. • Deficiencia de la inmunidad humoral. • Malignidad. • Embarazo (1er. Trimestre) Med Cutan Iber Lat Am 2010; 38 (5): 179-188
  • 33.
    Manifestaciones Clínicas • Primoinfecciónpulmonar asintomática o subclínica • Primoinfección sintomática, secuelas de la primoinfección pulmonar. • Neumopatía persistente • Coccidioidomicosis pulmonar crónica excavada • Coccidioidomicosis diseminada subaguda o crónica. Med Cutan Iber Lat Am 2010; 38 (5): 179-188
  • 34.
    Manifestaciones Clínicas • Primoinfecciónpulmonar asintomática o subclínica – 60% de los infectados Med Cutan Iber Lat Am 2010; 38 (5): 179-188
  • 35.
    Manifestaciones Clínicas • Primoinfecciónsintomática, secuelas de la primoinfección pulmonar. – Manifestaciones de gripa o neumonía. – Dolor torácico. – Rash toxico. • Eritema nudoso. • Eritema polimorfo. – Poliartropatia inflamatoria. Med Cutan Iber Lat Am 2010; 38 (5): 179-188
  • 36.
    Manifestaciones Clínicas • Neumopatíapersistente – Persistencia por mas de 6 semanas. – Infiltrados focales o reticulonodulillares. – Diseminación Respiratoria. – Insuficiencia respiratoria aguda del Adulto. Med Cutan Iber Lat Am 2010; 38 (5): 179-188
  • 37.
    Manifestaciones Clínicas • Coccidioidomicosispulmonar crónica excavada – Coexistencia con patologías pulmonares previas en especial EPOC. – Evolución durante años. Med Cutan Iber Lat Am 2010; 38 (5): 179-188
  • 38.
    Manifestaciones Clínicas • Coccidioidomicosisdiseminada subaguda o crónica. – Deficiencia de la inmunidad celular. – Inmunosupresión. – Afección cutánea, Ganglionar, óseo y del Sistema Nervioso Central. Med Cutan Iber Lat Am 2010; 38 (5): 179-188
  • 39.
    Manifestaciones Radiológicas •Clave Diagnóstica: –Infiltrado denso, Consolidación de predominio en lóbulos superiores. – Adenopatías Hiliares o mediastinales. Neil M. Ampel M.D. Pulmonary Coccidioidomycosis, University of Arizona, Nov 2011.
  • 40.
    Patrones pulmonares Neil M.Ampel M.D. Pulmonary Coccidioidomycosis, University of Arizona, Nov 2011. ENERO 2008 JUNIO 2008 Consolidaciones
  • 41.
    Patrones Pulmonares Patrón Miliar NeilM. Ampel M.D. Pulmonary Coccidioidomycosis, University of Arizona, Nov 2011.
  • 42.
    Patrones Pulmonares Patrón Reticularnodular Maffessanti M, Dalpiaz G. Diffuse Lung Diseases
  • 43.
    Patrones Pulmonares Patrón Reticularlineal Maffessanti M, Dalpiaz G. Diffuse Lung Diseases
  • 44.
    Patrones Pulmonares Patrón Nodular MaffessantiM, Dalpiaz G. Diffuse Lung Diseases
  • 45.
    Diagnósticos Diferenciales Neumonía BacterianaNeumonía por micobacterias Tuberculosis
  • 46.
    Complicaciones Neil M. AmpelM.D. Pulmonary Coccidioidomycosis, University of Arizona, Nov 2011. 1 Octubre 2008 10 Octubre 2008 30 Octubre 2008 Nódulos: •Resolución del infiltrado pulmonar inicial. •Curso Benigno •Cavitarse •Resolución en 1-5 años.
  • 47.
    PET/ CT Neil M.Ampel M.D. Pulmonary Coccidioidomycosis, University of Arizona, Nov 2011.
  • 48.
    Seguimiento de losnódulos • No fumadores • Serologías positivas a coccidioidomicosis Observación Rx Tórax cada 3 meses Biopsia • Fumadores • No positivos en serologías a Coccidioidomicosis Neil M. Ampel M.D. Pulmonary Coccidioidomycosis, University of Arizona, Nov 2011.
  • 49.
    Cavitaciones • Previamente lesiones nodulares •Pueden ser sintomáticos o asintomáticos • Síntomas – Tos – Hemoptisis – Dolor pleurítico – Cultivos de esputo positivos • Menos probable de involucionar si >4cm o persiste por 2 años. Neil M. Ampel M.D. Pulmonary Coccidioidomycosis, University of Arizona, Nov 2011.
  • 50.
    Cavitaciones • Considerar terapiaMédica si: – Tos persistente. – Hemoptisis. – Dolor pleurítico. • Considerar infección si: – Hay niveles hidroaereos. – Sintomatología Clínica. • Considerar Tratamiento Quirúrgico si: – No hay involución en 1-2 años – Eje mayor >4cm. Neil M. Ampel M.D. Pulmonary Coccidioidomycosis, University of Arizona, Nov 2011.
  • 51.
    Cavitaciones • Considerar Terapia endovascular: –Hemoptisis masiva (300- 600ml/24hrs. – Signos Angiograficos: • Hipertrofia y/o tortuosidad de las arterias bronquiales • Aneurismas (Rasmussen´s). – Tasa de Éxito 77-94% – Complicaciones: • Oclusion de la arteria espinal anterior January K Lopez MD. Hsin Yi Lee MD. Bronchial Artery Embolization for treatment of life Threatening Hemoptysis. Seminars of interventional radiology 23-3, 2006
  • 52.
    Conclusiones • Diagnóstico Radiológicoen la etapa clinica “Neumopatia persistente”. • Identificar Patrones Radiológicos de afección pulmonar . – Consolidación – Reticulonodular – Miliar • Complicaciones. • Cronicidad.